Vol 2, No 1 (2021)
- Year: 2021
- Articles: 8
- URL: https://bakhtiniada.ru/DD/issue/view/3394
- DOI: https://doi.org/10.17816/DD.21
Original Study Articles
Diagnostic accuracy of computed tomography for identifying hospitalizations for patients with COVID-19
Abstract
BACKGROUND: In Russia, a semi-quantitative CT 0–4 scoring system is used in the analysis of thoracic computed tomography (CT) scans of COVID-19 patients to grade the severity of lung lesions. Despite the widespread use of this approach, the scoring system’s diagnostic accuracy for identification hospitalizations for patients with the disease is currently unknown.
AIM: To evaluate the sensitivity, specificity, positive (PPV) and negative (NPV) predictive value of the CT 0–4 system for the triage of COVID-19 patients.
MATERIALS AND METHODS: This retrospective study enrolled 575 patients of Moscow clinics with laboratory-verified COVID-19, aged 57.2±13.9 years, 55% females. All patients were examined with four consecutive chest CT scans, and the disease severity was assessed using the CT 0–4 scoring system. Sensitivity and specificity were calculated as conditional probabilities that a patient would experience clinical improvement or deterioration, depending on the preceding CT examination results. For the calculation of the NPV and PPV, we estimated the COVID-19 prevalence in Moscow. The data on total cases of COVID-19 from March 6 to November 28, 2020, were taken from the Rospotrebnadzor website. We used several ARIMA and EST models with different parameters to fit the data and forecast the incidence.
RESULTS: The median specificity of the CT 0–4 scoring system was 69% (95% CI 32%, 100%), and the sensitivity was 92% (95% CI 74%, 100%). The best statistical model describing the epidemiological situation in Moscow was ARIMA (0,2,1). According to our calculations, with the predicted point prevalence of 9.6%, the values of PPV and NPV were 56% and 97%, correspondingly.
CONCLUSION: The maximum Youden’s index was observed for the period between the first and the second chest CT examinations when the majority of the included patients experienced clinical deterioration. The CT 0–4 scoring system makes it possible to safely exclude the development of pathological changes in patients with mild and moderate disease (categories CT-0 and CT-1), thereby optimizing the burden on hospitals in an unfavorable epidemic situation.
5-16
Students opinion about E-Learning in a Master course in Interventional Radiology: a survey among participants
Abstract
AIM: To evaluate the opinion of students about Tele-education in a post-graduate University Master in Interventional Radiology.
METHODS: The core curriculum of the Master is divided into 3 e-Learning modules and 2 e-Learning plus Hands-on Training modules. E-Learning is delivered through a webinar platform that allows to perform a synchronous training providing real-time lectures that are recorded for streaming on a dedicated website. The Hands-on Training is provided on site, assisting interventional radiologists in interventional procedures on patients. An online survey of 12 questions has been prepared to determine the quality of training. Students indicated their level of agreement regarding the impact of eLearning and Hands on Training using a 5-point scale. The mean score of the level of agreement was calculated.
RESULTS: The series include 16 participants. The 62.5% work in a public non-academic Hospital and 80% have already performed >300 interventional procedures as primary operator.
The main advantage of the eLearning module was considered the capability to facilitate the attendance to lectures (68.8%) followed by the low cost training (18.8%), with a good agreement between participants. No students scored the statements as less than 3. The Master fulfilled the learning expectations in 81.3% of cases with a good agreement between participants.
CONCLUSIONS: The participants were highly satisfied and would recommend the Master to other colleagues. The blended type of education of our Master received high appreciation and could be a model to be follow in the future, also in IR.
17-26
How does artificial intelligence effect on the assessment of lung damage in COVID-19 on chest CT scan?
Abstract
BACKGROUND: During the pandemic, computed tomography (CT) was one of the most important tools for assessing COVID-19-related lung changes. In COVID-19 patients, radiologists in Moscow used the adapted CT0-4 scale to visually assess the dependence of the severity of the general condition on the nature and severity of radiological signs of changes in the lungs based on computed tomography. In a large stream of scans, the doctor may miss findings and make errors in assessing the volume of lung damage, so the use of AI services in outpatient healthcare during a pandemic can be beneficial.
AIM: The goal of this study is to compare the distribution of CT0-4 categories designed by radiologists with the results of AI services processing and categories formed without AI services.
METHODS: We used retrospective study design, full study protocol is registered on ClinicalTrials.gov (NCT04489992). The results of primary CT scans with the CT0-4 categories were analyzed in outpatient medical institutions of the Health Department from April 08, 2020, to December 01, 2020, and separately for November (from November 01, 2020, to December 01, 2020). CT was performed on 48 computed tomographs in accordance with standard protocols, and the data was processed by the single radiology information systems. CTs in the test group received AI services, while CTs in the control group did not. The analysis includes five AI services: RADLogics COVID-19 (RADLogics, USA), COVID-IRA (IRA labs, Russia), Care Mentor AI, COVID (Care Mentor AI, Russia), Third Opinion. CT-COVID-19 (Third Opinion, Russia), and COVID-MULTIVOX (Gammamed, Russia). Moreover, AI services are encoded at random.
RESULTS: The CT scan results of 260,594 patients were examined (m/f % = 44/56, mean age = 49.5). The test group consisted of 115,618 CT scans, while the control group consisted of 144,976 CT scans. Depending on the specific AI service, CT0 was established by 2.3–18.5% less than the control group for different subgroups of categories. The categories CT3-4 were established by 4.7–27.6% less than without AI, and the categories CT4 by 40–60% less than without AI (p < 0.0001). For November (from November 01, 2020, to December 01, 2020), the CT scan results of 41,386 patients were analyzed (m/f % = 44/56, average age = 53.2 years). The test group consisted of 28,881 CT scans, while the control group included 12,505 CT scans. Depending on the specific AI service, CT0 was established by 1–2.6% less than the control group for different subgroups of categories. Further, the categories CT3–CT4 were established by 0.2–15.7% less than without AI, and the categories CT4 were established by 25% less than without AI (p = 0.001).
CONCLUSION: The use of AI services for primary CT scans on an outpatient basis reduces the number of CT0 and CT3–CT4 results, which can influence the therapeutic approach for COVID-19 patients.
27-38
Systematic reviews
Radiation diagnostics of cerebral cavernous malformations
Abstract
Cerebral cavernous malformations are a fairly common vascular pathology at the moment, with the number of detected cases increasing dramatically in recent years. This is because modern neuroimaging methods such as computed tomography (CT) and magnetic resonance imaging (MRI) have been introduced into clinical practice and are widely available. Prior to the advent of CT and MRI technologies, it was extremely difficult to diagnose this pathology, and the diagnosis was usually made intraoperatively or based on autopsy data. Further, the literature review is devoted to the radiological diagnosis of cerebral cavernous malformations (CM). The role of neuroimaging methods in the diagnosis of cavernous malformations, as well as the use of MRI for CM visualization, was analyzed. The advantages of MRI over other neuroimaging methods for this pathology have been demonstrated. Pulse sequences of MRI and signaling characteristics of various foci were characterized, depending on the morphological substrate. The significance of the susceptibility-weighted imaging sequence was also evaluated for the detection of multifocal lesions in cases of familial CM. The study of the main pulse sequences of MRI for visualization of CM will improve the protocol algorithm for the timely diagnosis of this pathology and the selection of therapeutic approach.
39-48
Technical Reports
Reference medical datasets (MosMedData) for independent external evaluation of algorithms based on artificial intelligence in diagnostics
Abstract
The article describes a novel approach to creating annotated medical datasets for testing artificial intelligence-based diagnostic solutions. Moreover, there are four stages of dataset formation described: planning, selection of initial data, marking and verification, and documentation. There are also examples of datasets created using the described methods. The technique is scalable and versatile, and it can be applied to other areas of medicine and healthcare that are being automated and developed using artificial intelligence and big data technologies.
49-66
Case reports
MRI evaluation of the neoadjuvant chemoradiation therapy result in a patient with rectal cancer, supplemented with T2-WI texture analysis of the tumor: a clinical case
Abstract
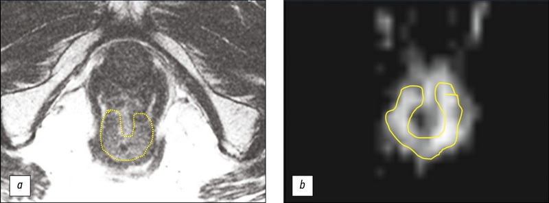
The article presents a clinical case of using the active follow-up strategy (the so-called watch & wait) in a 73-year-old patient with cancer of the lower rectum with a good response to neoadjuvant chemoradiation therapy (NCRT). After 3 years of regular follow-up, including digital rectal examination, rectoscopy and MRI, indicating the absence of tumor progression, PET/ CT with 18F-FDG was obtained, which revealed a region of hypermetabolic activity in the lower rectum (SUVmax 27.1), in connection with which it was decided to carry out surgical treatment. When discussing the issue of the volume of the operation, MRI data were taken into account, supplemented by the results of T2-weighted texture analysis, which confirmed the absence of progression. The patient underwent organ-preserving treatment in the amount of transanal tumor resection. Pathomorphological examination after surgery established the inflammatory changes in the intestinal wall and absence of tumor. This case demonstrates the effectiveness of the standard examination volume when using the watch & wait strategy and the possibility of using T2-WI texture analysis to increase the reliability of MRI assessment of tumor response to chemotherapy.
67-74
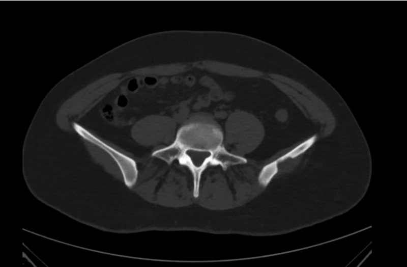
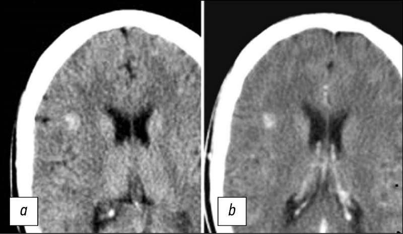
Diagnosis of solitary eosinophilic granuloma by CT, MRI, and 18F-FDG PET/CT: two clinical cases
Abstract
This paper presents two clinical cases of eosinophilic granuloma of bone diagnosed by CT, MRI, and 18F-FDG PET/CT. In both cases the patients were admitted to the clinic with suspected primary malignant bone tumor and the diagnosis of a solitary eosinophilic granuloma was made based on the results of comprehensive radiological diagnostic examination and histological verification. Solitary eosinophilic granuloma of bone is an infrequent condition, occurring in less than 1% of cases of skeletal tumor masses. The most common eosinophilic granuloma is found in the parietal and frontal bones of the skull and is an osteolytic volumetric mass that gradually increases in size. Although most bone tumors can be detected by radiography, computed tomography is preferred, primarily because of its superior ability to detect cortical bone destruction. The diagnostic accuracy of computed tomography and magnetic resonance imaging may be different. The combined use of radiological and radionuclide methods allows us to narrow the spectrum of differential diagnosis. Unfortunately, relatively low specificity of existing radiological diagnostic studies in most cases does not allow to establish a precise diagnosis, and biopsy with subsequent pathological examination remains the method of choice. These clinical observations demonstrate the need to include eosinophilic granuloma in the differential diagnosis when a solitary osteolytic focus is detected.
75-82
Correspondence
Radiotheranostics: fresh impetus of personalized medicine
Abstract
Radionuclide therapy is a radionuclide therapy based on molecular imaging using various radiopharmaceuticals (RP), allowing in vivo visualization (SPECT, PET) and selectively affecting pathological metabolic processes caused by a tumor. Using the paradigm of theranostics since the 1950s with the help of radioactive iodine, thyrotoxicosis and thyroid cancer have been successfully treated. In recent years, thanks to advances in the development of nuclear medicine (an increase in the number of cyclotrons, SPECT/CT and PET/CT in medical institutions) and, above all, radiopharmaceuticals, radiotherapy is developing very rapidly in the world. The emergence of new radioligands based on 177Lu, 225Ac and other radioisotopes stimulated a huge number (more than 300) clinical studies on radioligand therapy for prostate cancer, neuroendocrine tumors, pancreatic cancer, and other malignant neoplasms. One of the most promising areas of radiotherapy is the development of radioligands based on targeted anticancer drugs, which makes it possible to summarize in one radiotherapy two effects: inhibition of signaling cascades and radiation damage. Radiotechnology is multidisciplinary in nature, technologically complex, a priori integral (isotopes, radiopharmaceuticals, RFP, SPECT, PET), requires high competence and teamwork. The development of radiotherapy and the development of targeted radiopharmaceuticals in our country is in its infancy. The main problems are the lack of specialists in this field: doctors, physicists, chemists, radiopharmaceuticals, biologists, geneticists, engineers, programmers. The low awareness of doctors and patients about the possibilities of radio therapy is also a big brake on its development and introduction into clinical practice in the country.
83-89

