Development and internal validation of a model to predict the class of focal liver lesions at magnetic resonance imaging by texture analysis
- Authors: Vasilev Y.A.1, Vladzymyrskyy A.V.1, Golubev F.V.1, Omelyanskaya O.V.1, Savin N.A.1, Gordienko D.V.1, Blokhin I.A.1
-
Affiliations:
- Research and Practical Clinical Center for Diagnostics and Telemedicine Technologies of the Moscow Health Care Department
- Issue: Vol 53, No 5 (2025)
- Pages: 260-267
- Section: ARTICLES
- URL: https://bakhtiniada.ru/2072-0505/article/view/358423
- DOI: https://doi.org/10.18786/2072-0505-2025-53-024
- ID: 358423
Cite item
Full Text
Abstract
Rationale: The differential diagnosis of focal liver lesions remains challenging, particularly in situations where the use of contrast agents in magnetic resonance imaging (MRI) is contraindicated (e. g., due to renal failure or allergy) or when the findings on T2-weighted images (T2WI) lack any pathognomonic signs. In these scenarios, an additional diagnostic tool is required to support decision-making, and a clinical-radiomic model capable of accurately classifying focal lesions based on T2WI data with accuracy and precision could be relevant.
Aim: To develop and perform internal validation of a clinical-radiomic model for the differential diagnosis of focal liver lesions based on T2WI.
Methods: This was a retrospective cross-sectional single-center study with an open anonymized WORC-Liver dataset, containing T2WI abdominal MRI images of patients with focal liver lesions (the original data collection performed at Erasmus Medical Center (Rotterdam, the Netherlands) between 2002 and 2018 using 1.5T Siemens, Philips, and General Electric scanners). Image processing included normalization (SimpleITK, Z-score) and interpolation to isotropic 1 × 1 × 1 mm³ voxels. Radiomic feature extraction was performed using intensity histograms and gray-level matrices (PyRadiomics). The characteristics were classified using the XGBoost algorithm with an 80:20 train-validation split.
Results: From the initial dataset of 186 cases, 146 patients (72 with malignant and 74 with benign lesions) were selected for analysis. On the internal validation set (n = 30), the model showed high diagnostic performance: ROC-AUC 96% (95% confidence interval [CI]: 0.89–1.00), sensitivity 87% (95% CI: 77–97), specificity 93% (95% CI: 85–100). The analysis of variable importance revealed the largest contributions from the following ones: patient age (SHAP +0.88), manufacturer: GE (SHAP +0.35), patient sex (SHAP +0.29), and original_gldm_DependenceNonUniformity (SHAP +0.17).
Conclusion: We were able to develop a high-accuracy clinical-radiomic model for the non-invasive differential diagnosis of focal liver lesions using native T2WI. The results demonstrate the model's potential for clinical application, particularly when the contrast administration is contraindicated. Its implementation would require further validation in larger and more diverse datasets.
Full Text
Диагностика очаговых образований печени (ООП) – одна из ключевых задач современной клинической практики. Масштабный ретроспективный анализ данных 45 319 пациентов, которым проводилось ультразвуковое исследование органов брюшной полости (как в рамках скрининга, так и по клиническим показаниям), показал, что у 15,1% от общего числа обследованных было идентифицировано как минимум одно ООП [1]. Для выявления гепатоцеллюлярного рака (ГЦР) рекомендуется многофазная компьютерная томография (КТ) и/или магнитно-резонансная томография (МРТ) печени и брюшной полости с контрастированием1, при этом МРТ при сопоставимой с КТ специфичности характеризуется более высокой чувствительностью [2]. Вместе с тем существуют трудности дифференциальной диагностики злокачественных и доброкачественных ООП, обусловленные как объективным сходством изображений вследствие перекреста признаков, так и субъективными ошибками при их интерпретации [3–5].
Радиомика предлагает объективный подход к анализу изображений, извлекая из них сотни количественных признаков, неразличимых для человеческого глаза [6, 7]. В условиях вариативности протоколов МРТ при контрастном усилении Т2-взвешенные изображения (Т2-ВИ) представляют собой наиболее стандартизированный компонент исследования с высоким пространственным разрешением [8]. Это делает их прочной основой для построения воспроизводимых радиомических моделей, способных к обобщению данных из разных клиник.
Для оптимизации диагностики и персонализации лечебного процесса перспективным видится создание комбинированных моделей, которые наряду с радиомическими признаками Т2-ВИ учитывают и ключевые клинические данные. С помощью такого подхода можно получить надежный инструмент для поддержки принятия врачебных решений. В рамках настоящего исследования мы разработали алгоритм, основанный на комбинированном анализе радиомических признаков Т2-ВИ и клинических признаков, для дифференциальной диагностики ООП.
Цель – разработка и внутренняя валидация клинико-радиомической модели для дифференциальной диагностики ООП на основе Т2-ВИ, полученных при МРТ.
Материал и методы
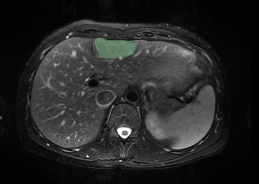
В настоящем ретроспективном кросс-секционном исследовании объектом клинико-радиомического анализа были магнитно-резонансные (МР) изображения органов брюшной полости (рис. 1), содержащие ООП, полученные из открытого набора данных WORC – WORC-Liver2 [9]. Набор данных 186 пациентов содержит сведения о поле и возрасте пациентов, данные биопсии, а также Т2-ВИ, информацию о характеристиках МР-томографов, маски ООП. Для клинико-радиомического анализа было отобрано 146 случаев. Все изображения были получены в Университете Эразма Роттердамского (Роттердам, Нидерланды) с использованием томографов 1,5 Т производства Philips (Нидерланды), Siemens (Германия) и General Electric (США) (не менее 5 случаев на тип томографа) в период с 2002 по 2018 г.
Рис. 1. Пример МР-изображения из набора данных WORC – WORC Liver (источник: https://xnat.health-ri.nl/data/projects/worc)
Критериями включения в исследование были ГЦР, внутрипеченочная холангиокарцинома, гепатоцеллюлярная аденома или фокальная нодулярная гиперплазия; патологически подтвержденный фенотип; наличие T2-ВИ МРТ. Критерии невключения: максимальный диаметр образования ≤ 3 см, фоновое заболевание печени, значительные артефакты при визуализации.
Исследование проводилось на базе ГБУЗ г. Москвы «Научно-практический клинический центр диагностики и телемедицинских технологий Департамента здравоохранения города Москвы» (ГБУЗ «НПКЦ ДиТ ДЗМ») в период с 4 ноября по 28 декабря 2024 г. Проведение ретроспективного исследования с вторичным использованием открытого набора данных одобрено независимым этическим комитетом Московского регионального отделения Российского общества рентгенологов и радиологов (протокол № 2/2025).
Сегментация изображений проводилась независимо двумя экспертами с опытом работы 21 год и 8 лет, которые не были осведомлены о характере изменений в печени.
Основной исход исследования: разработка клинико-радиомической модели и оценка показателей ее диагностической точности для дифференциации ООП по Т2-ВИ. «Мягкая» конечная точка – прогноз бинарной классификации опухоли (доброкачественный или злокачественный тип образования).
Формирование репрезентативной выборки данных осуществляли согласно регламенту подготовки наборов данных ГБУЗ «НПКЦ ДиТ ДЗМ» [10]. Для разработки модели данные были разделены на обучающую (80%) и валидационную (20%) подгруппы с использованием стратифицированной выборки для сохранения баланса классов. Обучение алгоритма XGBoost проводили с применением 5-кратной кросс-валидации для минимизации переобучения и обеспечения обобщающей способности моделей [11]. Был также выполнен подбор оптимальных гиперпараметров алгоритма. Для оценки классификатора использовали значение площади под ROC-кривой (англ. area under the curve, AUC), полученное на валидационной выборке. Были рассчитаны показатели диагностической точности, включая чувствительность, специфичность, точность. Положительную и отрицательную прогностическую ценность не рассчитывали в связи с тем, что данные показатели при работе с WORC-Liver не отражают распространенность ООП в популяции (баланс классов 1:1).
Для обработки изображений применяли методы нормализации изображения, а также интерполяторы для преобразования вокселей и изображений масок в изометрические воксели размером 1 × 1 × 1 мм³ [12]. Это обеспечивает однородность данных, поступающих с различных МР-томографов, что упрощает извлечение радиомических признаков и их анализ. Алгоритм нормализации изображения состоит из трансформации sitk.Image в трехмерный массив, применения метода нормализации ZScoreNormalize [13] и трансформации трехмерного массива в sitk.Image с сохранением информации об изображении.
Извлечение радиомических признаков производилось с использованием библиотеки PyRadiomics [14]. Были получены 11 текстурных признаков: Original Firstorder Variance; Original GLCM Correlation; Original GLDM DependenceNonUniformity; Original GLDM GrayLevelNonUniformity; Original GLDM LargeDependenceLowGrayLevelEmphasis; Original GLRLM GrayLevelNonUniformity; Original GLRLM LongRunLowGrayLevelEmphasis; Original GLRLM RunLengthNonUniformity; Original GLSZM LowGrayLevelZoneEmphasis; Original GLSZM ZoneEntropy; Original NGTDM Complexity.
Для обеспечения сопоставимости и однородности признаков между различными МР-изображениями при извлечении текстурных признаков были выбраны следующие параметры: binCount: 32, symmetricalGLCM: True, correctMask: True.
Радиомические признаки объединяли с категориальными данными о наименовании производителя томографа (закодированными с использованием метода конвертации категориальных данных в бинарный формат OneHotEncoding) и демографическими данными пациентов (пол и возраст). На вход алгоритм классификации получал массив признаков и возвращал класс в виде значения 0 или 1, где 0 – доброкачественное образование, 1 – злокачественное.
Размер выборки для ретроспективной валидации бинарного теста был рассчитан с использованием методики, описанной в работе J. A. Hanley и B. J. McNeil [15]. Необходимый размер выборки составил n = 130 при вероятности совершения ошибок I и II типа, равной α = 0,05 и β = 0,2 соответственно, ожидаемом значении AUC = 0,9, значении нулевой гипотезы AUC = 0,8, соотношении размеров выборок в отрицательных и положительных группах 1:1.
Для оценки эффективности разработанного алгоритма в различении ООП (AUC > 80%) был рассчитан 95% доверительный интервал (ДИ). Статистически значимым результатом было превышение нижней границы 95% ДИ порогового значения, заданного как 80%. Вероятность равенства нижней границы 95% ДИ пороговому значению была оценена с помощью Z-теста, при условии нормальности распределения данных [16, 17]. В связи с малым размером внутренней валидационной выборки для оценки стабильности результатов была использована процедура бутстрэппинга с генерацией псевдовыборки до n = 1000. Уровень статистической значимости (p-value) принят равным 0,05. ROC-кривые были построены с использованием библиотек Python (streamlit, SimpleITK, scipy, numpy, pandas) и R-Studio версии не ниже 4.2.0 для анализа данных. Вклад показателей модели в прогноз был оценен с помощью библиотеки Python SHAP [18].
Результаты
Общее число случаев ООП, полученных из открытого набора данных WORC – WORC-Liver, составило 186 (134 женщины и 52 мужчины). Средний возраст женщин – 44,9 года (95% ДИ 42,4–47,4), мужчин – 58,5 года (95% ДИ 53,6–63,3). Группу злокачественных новообразований составили 81 ГЦР и 13 внутрипеченочных холангио-карцином, доброкачественных – 48 гепатоцеллюлярных аденом и 44 фокальные нодулярные гиперплазии печени.
В исследование не было включено 40 случаев: с максимальным диаметром образования ≤ 3 см, фоновым заболеванием печени, значительными артефактами при визуализации. Из оставшихся 146 случаев 72 были злокачественными и 74 – доброкачественными очаговыми образованиями (рис. 2). Разделение выборки составляло 80:20 для обучающей и внутренней валидационной выборок соответственно.
Рис. 2. Блок-схема формирования выборки
После обучения клинико-радиомической модели при оценке на внутренней валидационной выборке из 30 пациентов были получены следующие показатели: чувствительность – 87% (95% ДИ 70–100), специфичность – 93% (95% ДИ 81–100), точность – 90% (95% ДИ 79–100), AUC = 0,9 (95% ДИ 0,89–1,00). Результаты представлены в матрице сопряженности (таблица). Алгоритм XGBoost показал высокую способность различать доброкачественные и злокачественные ООП. После бутстрэппинга 95% ДИ для AUC составил 0,89–1,00. При сравнении нижней границы ДИ с пороговым значением 0,8 Z-score составил 2,979 (p = 0,001).
Матрица ошибок валидации классификатора очаговых образований печени
Референс-тест | Результаты работы обученного алгоритма | |
Отрицательный результат | Положительный результат | |
Отрицательный результат | 14 | 1 |
Положительный результат | 2 | 13 |
При анализе вклада различных признаков в прогноз модели с использованием значений SHAP (рис. 3 и 4) выявлено несколько ключевых закономерностей. Наиболее значимым признаком при прогнозировании злокачественного новообразования был возраст пациента (age). Получено значение SHAP +0,88, что указывает на большой положительный вклад признака «возраст пациента»: с увеличением возраста вероятность прогноза злокачественного новообразования возрастает.
Рис. 3. SHAP-значения признаков комбинированной модели
Рис. 4. Положительные средние SHAP-значения для комбинированной модели
Признак manufacturer: GE (МР-томограф производства General Electric, США) вносит отрицательный вклад в прогноз злокачественного новообразования, при этом вклад параметра в положительный прогноз мал.
Малый положительный вклад в прогноз модели вносят также параметры sex (пол) (значение SHAP +0,29) и sum of 12 other features (сумма 12 других клинико-радиомических признаков) (значение SHAP +0,25). Наибольший положительный вклад в прогноз модели из радиомических признаков вносит признак original_gldm_DependenceNonUniformity (неоднородность зависимости в изображении), его среднее значение SHAP составило +0,17.
Обсуждение
В последнее время все чаще появляются работы, в которых используются инструменты машинного обучения [19]. В частности, Ю. В. Молостова и соавт. предложили прогностические модели для дифференциации регенераторных и диспластических узлов, раннего ГЦР и узлов ГЦР с атипичным характером контрастирования. Ретроспективный анализ МР-изображений 72 пациентов с подозрением на опухолевое поражение печени на фоне цирроза с использованием текстурного анализа показал, что наиболее высокими дифференциальными возможностями обладала модель Random Forest при AUC = 0,91 [20].
Помимо внедрения стандартных моделей по типу Random Forest, проводится разработка автоматизированных систем, основанных на методах глубокого обучения, направленных на сегментацию и последующий анализ ООП [21]. Так, C. A. Hamm и соавт. [22] разработали систему глубокого обучения на основе сверточной нейронной сети, обученной на 43 400 примерах, созданных методами аугментации. Модель способна классифицировать распространенные ООП, визуализируемые при многофазной МРТ, с точностью до 92%. R. Hu и соавт. применили алгоритм генетического программирования для дифференциальной диагностики двух распространенных видов первичного рака печени по данным многофазной МРТ [23]. Ручная и автоматизированная сегментации были выполнены для выбора оптимальной модели машинного обучения, точность, чувствительность и специфичность которой составили 73% (95% ДИ 59–85), 70% (95% ДИ 48–89) и 71% (95% ДИ 52–90) соответственно. Разработанная R. Hu и соавт. модель классифицировала ГЦР и внутрипеченочную холангиокарциному с чувствительностью и специфичностью, сопоставимыми с показателями врачей-рентгенологов [23]. S. Lysdahlgaard в целях применения для задач классификации радиомических признаков, извлеченных из нормальной ткани или опухоли печени, представил алгоритмы машинного обучения, включающие в себя оптимизацию гиперпараметров и 10-кратную кросс-валидацию [24]. Наивысшую производительность на тестовом наборе данных из 47 ООП показали Logistic regression, Random Forest и Support Vector Machine (100% чувствительность, специфичность и точность для каждой модели).
В настоящем исследовании разработана и валидирована комбинированная модель клинико-радиомического анализа для дифференциальной диагностики ООП на основе Т2-ВИ. Показано, что радиомические признаки, извлеченные из МРТ, в комбинации с техническими характеристиками томографа, а также с такими характеристиками, как пол и возраст пациента, могут быть использованы для классификации ООП, что открывает перспективы для оптимизации диагностического процесса. Полученные результаты сопоставимы с показателями ведущих исследований в области радиомики печени и превосходят некоторые из них по точности диагностики.
Одно из ключевых преимуществ нашей модели заключается в возможности ее применения в ситуациях, когда использование контрастных препаратов при МРТ противопоказано или нежелательно, например, у больных с почечной недостаточностью или аллергией на контрастные вещества [25, 26]. В таких случаях анализ Т2-взвешенных МР-изображений с помощью предложенного алгоритма на основе радиомики может предоставить необходимую диагностическую информацию, повысив безопасность диагностического процесса. Разработанная модель может также служить инструментом «второго мнения», особенно в медицинском учреждении с небольшим штатом. В сложных случаях радиомический анализ может помочь врачу-рентгенологу принять более обоснованное решение, уменьшив вероятность ошибок и субъективных трактовок.
К ограничениям нашего исследования следует отнести небольшой объем выборки проанализированных случаев, что снижает обобщаемость модели и ее применимость в общей популяции. Ретроспективный и одноцентровой характер исследования также влияет на воспроизводимость полученных результатов в клинической практике. Поскольку в данной работе не проводилось прямого сравнения диагностической точности алгоритма и заключений врачей-рентгенологов, для однозначного вывода о клинической пользе алгоритма требуется проведение как минимум исследования в формате multireader-multicase. Планируется интерпретация исследований из набора данных в два этапа: без использования инструмента текстурного анализа и с ним; последующий расчет и сопоставление метрик точности позволят оценить влияние радиомического анализа на диагностическую эффективность врачей-рентгенологов. В нашем исследовании анализ методом SHAP выявил, что модель томографа имела высокую значимость для прогноза модели. Это может как отражать реальные различия в сигнале между аппаратами, так и указывать на наличие систематической ошибки. В частности, существует гипотетическая возможность, что врачи могли направлять пациентов с более сложными или подозрительными случаями на определенную модель томографа для получения изображений более высокого качества. Такая практика, если бы она имела место, могла бы искусственно завысить прогностическую важность этого признака в модели. Окончательное выяснение причин данной находки требует дальнейших исследований.
В будущем мы планируем провести внешнюю валидацию разработанной модели с использованием данных из Единого радиологического информационного сервиса (ЕРИС) Единой медицинской информационно-аналитической системы (ЕМИАС) г. Москвы. На этом этапе будет проверены обобщаемость и надежность модели на более широкой и разнообразной выборке, а также оценена ее способность работать с данными из различных медицинских учреждений и МР-томографов. Внешняя валидация позволит не только более тщательно изучить применимость разработанных моделей, но и определить их потенциальное влияние на клиническую практику.
Заключение
В рамках определения возможностей клинико-радиомического анализа нами была разработана и протестирована комбинированная модель для дифференциальной диагностики типа ООП по Т2-взвешенным МР-изображениям. Получен-ные результаты демонстрируют перспективность предложенного подхода, который позволяет повысить объективность и точность диагностики за счет использования количественных признаков, извлеченных из изображений. Экспериментальное исследование показало, что алгоритм XGBoost обеспечивает высокие показатели точности классификации при использовании комбинации радиомических признаков, характеристик МР-томографа и демографических данных пациента, извлеченных из DICOM-тегов. Несмотря на некоторые ограничения, связанные с объемом выборки и ретроспективным характером исследования, разработанная система обладает потенциалом для применения в клинической практике. В дальнейшем целесообразно проведение внешней валидации системы на более крупных и разнообразных наборах данных.
Дополнительная информация
Финансирование
Данная статья подготовлена авторским коллективом в рамках НИР «Научное обоснование методов лучевой диагностики опухолевых заболеваний с использованием радиомического анализа» (№ ЕГИСУ 123031500005-2) в соответствии с приказом Департамента здравоохранения города Москвы от 17.12.2024 № 1184 «Об утверждении государственных заданий, финансовое обеспечение которых осуществляется за счет средств бюджета города Москвы, государственным бюджетным (автономным) учреждениям, подведомственным Департаменту здравоохранения города Москвы, на 2025 год и плановый период 2026 и 2027 годов».
Конфликт интересов
Авторы декларируют отсутствие явных и потенциальных конфликтов интересов, связанных с публикацией настоящей статьи.
Участие авторов
Ю.А. Васильев – концепция исследования, утверждение итогового варианта текста рукописи; Ф.В. Голубев – сбор и анализ литературных данных; И.А. Блохин – концепция и дизайн исследования, редактирование текста рукописи, статистическая обработка; Н.А. Савин – написание и редактирование текста рукописи, сбор и анализ литературных источников; Д.В. Гордиенко – статистическая обработка; О.В. Омелянская, А.В. Владзимирский – редактирование и утверждение текста рукописи. Все авторы прочли и одобрили финальную версию статьи перед публикацией, согласны нести ответственность за все аспекты работы и гарантируют, что ими надлежащим образом были рассмотрены и решены вопросы, связанные с точностью и добросовестностью всех частей работы.
1 Рак печени (гепатоцеллюлярный). Клинические рекомендации Министерства здравоохранения Российской Федерации. Доступно по: https://cr.minzdrav.gov.ru/view-cr/1_3?ysclid=mihdz1u1f4511407720 (дата обращения 23.06.2025).
2 Xnat.health-ri.nl [интернет]. XNAT. Health-RI. 2013–. Доступно по: https://xnat.health-ri.nl/data/projects/worc (дата обращения 23.06.2025).
About the authors
Yuriy A. Vasilev
Research and Practical Clinical Center for Diagnostics and Telemedicine Technologies of the Moscow Health Care Department
Author for correspondence.
Email: VasilevYA1@zdrav.mos.ru
ORCID iD: 0000-0002-5283-5961
MD, PhD, Chief Physician
Russian Federation, ul. Petrovka 24–1, Moscow, 127051Anton V. Vladzymyrskyy
Research and Practical Clinical Center for Diagnostics and Telemedicine Technologies of the Moscow Health Care Department
Email: VladzimirskijAV@zdrav.mos.ru
ORCID iD: 0000-0002-2990-7736
SPIN-code: 3602-7120
MD, PhD, Deputy Director for Research
Russian Federation, ul. Petrovka 24–1, Moscow, 127051Filipp V. Golubev
Research and Practical Clinical Center for Diagnostics and Telemedicine Technologies of the Moscow Health Care Department
Email: golubevfv@zdrav.mos.ru
ORCID iD: 0009-0003-7173-4888
Radiologist, Department of Diagnostic Radiology No. 1
Russian Federation, ul. Petrovka 24–1, Moscow, 127051Olga V. Omelyanskaya
Research and Practical Clinical Center for Diagnostics and Telemedicine Technologies of the Moscow Health Care Department
Email: OmelyanskayaOV@zdrav.mos.ru
ORCID iD: 0000-0002-0245-4431
SPIN-code: 8948-6152
Chief Innovation Officer (CINO), R&D Directorate, Directorate of Innovation
Russian Federation, ul. Petrovka 24–1, Moscow, 127051Nikita A. Savin
Research and Practical Clinical Center for Diagnostics and Telemedicine Technologies of the Moscow Health Care Department
Email: savinna2@zdrav.mos.ru
ORCID iD: 0000-0001-9199-7229
PhD (in Phys.-Math.), Research Fellow, Medical Research Department
Russian Federation, ul. Petrovka 24–1, Moscow, 127051Daniel V. Gordienko
Research and Practical Clinical Center for Diagnostics and Telemedicine Technologies of the Moscow Health Care Department
Email: gordienkodv2@zdrav.mos.ru
ORCID iD: 0009-0007-9813-3475
Engineer, Innovative Technologies Department
Russian Federation, ul. Petrovka 24–1, Moscow, 127051Ivan A. Blokhin
Research and Practical Clinical Center for Diagnostics and Telemedicine Technologies of the Moscow Health Care Department
Email: BlokhinIA@zdrav.mos.ru
ORCID iD: 0000-0002-2681-9378
MD, PhD, Head of Sector for Radiology Research
Russian Federation, ul. Petrovka 24–1, Moscow, 127051References
- Kaltenbach TE, Engler P, Kratzer W, Oeztuerk S, Seufferlein T, Haenle MM, Graeter T. Prevalence of benign focal liver lesions: Ultrasound investigation of 45,319 hospital patients. Abdom Radiol (NY). 2016;41(1):25–32. doi: 10.1007/s00261-015-0605-7.
- Roberts LR, Sirlin CB, Zaiem F, Almasri J, Prokop LJ, Heimbach JK, Murad MH, Mohammed K. Imaging for the diagnosis of hepatocellular carcinoma: A systematic review and meta-analysis. Hepatology. 2018;67(1):401–421. doi: 10.1002/hep.29487.
- Zhao AV, Karmazanovsky GG, Bugaev SA, Chugunov AO. [Diagnostic and treatment challenges in focal liver disease]. Almanac of Clinical Medicine. 2018;46(6):618–630. Russian. doi: 10.18786/2072-0505-2018-46-6-618-630.
- Matos AP, Velloni F, Ramalho M, AlObaidy M, Rajapaksha A, Semelka RC. Focal liver lesions: Practical magnetic resonance imaging approach. World J Hepatol. 2015;7(16):1987–2008. doi: 10.4254/wjh.v7.i16.1987.
- Li S, Zhou L, Chen R, Chen Y, Niu Z, Qian L, Fang Y, Xu L, Xu H, Zhang L. Diagnostic efficacy of contrast-enhanced ultrasound versus MRI Liver Imaging Reporting and Data System (LI-RADS) for categorising hepatic observations in patients at risk of hepatocellular carcinoma. Clin Radiol. 2021;76(2):161.e1–161.e10. doi: 10.1016/j.crad.2020.10.009.
- Kаrmаzаnovsky GG, Kondratyev EV, Gruzdev IS, Tikhonova VS, Shantarevich MY, Zamyatina KA, Stashkiv VI, Revishvili ASh. [Modern radiation diagnostics and intelligent personalized technologies in hepatopancreatology]. Annals of the Russian Academy of Medical Sciences. 2022;77(4):245–253. Russian. doi: 10.15690/vramn2053.
- Zamyatina KA, Godzenko MV, Kаrmаzаnovsky GG, Revishvili ASh. [Radiomics in liver and pancreatic disorders: А review]. Annals of HPB Surgery. 2022;27(1):40–47. Russian. doi: 10.16931/1995-5464.2022-1-40-47.
- Kаrmаzаnovsky GG, Shantarevich MY, Stashkiv VI, Revishvili ASh. [Reproducibility of CT and MRI texture features of hepatocellular carcinoma]. Medical Visualization. 2023;27(3):84–93. Russian. doi: 10.24835/1607-0763-1372.
- Starmans M, Timbergen M, Vos M, Padmos G, Grunhagen D, Verhoef C, Sleijfer S, Leenders G, Buisman F, Willemssen F, Koerkamp B, Angus L, Veldt A, Rajicic A, Odink A, Renckens M, Doukas M, Man R, Ijzermans J, Klein S. (2021). The WORC database: MRI and CT scans, segmentations, and clinical labels for 930 patients from six radiomics studies. medRxiv. 2021:2021.08.19.21262238. doi: 10.1101/2021.08.19.21262238.
- Morozov SP, Vladzimirsky AV, Andreychenko AE, Akhmad ES, Blokhin IA, Gombolevsky VA, Zinchenko VV, Kulberg NS, Novik VP, Pavlov NA. [Regulations on dataset preparation and approaches to representative data sampling. Part 1: Guidelines]. Best Practices in Medical Imaging. Issue 103. Moscow: Research and Practical Clinical Center for Diagnostics and Telemedicine Technologies of the Moscow Healthcare Department, 2022. 40 p. Russian.
- Allen DM. The relationship between variable selection and data augmentation and a method for prediction. Technometrics. 1974;16(1):125–127. doi: 10.1080/00401706.1974.10489157.
- Carré A, Klausner G, Edjlali M, Lerousseau M, Briend-Diop J, Sun R, Ammari S, Reuzé S, Alvarez Andres E, Estienne T, Niyoteka S, Battistella E, Vakalopoulou M, Dhermain F, Paragios N, Deutsch E, Oppenheim C, Pallud J, Robert C. Standardization of brain MR images across machines and protocols: Bridging the gap for MRI-based radiomics. Sci Rep. 2020;10(1):12340. doi: 10.1038/s41598-020-69298-z.
- Reinhold JC, Dewey BE, Carass A, Prince JL. Evaluating the impact of intensity normalization on MR image synthesis. Proc SPIE Int Soc Opt Eng. 2019;10949:109493H. doi: 10.1117/12.2513089.
- van Griethuysen JJM, Fedorov A, Parmar C, Hosny A, Aucoin N, Narayan V, Beets-Tan RGH, Fillion-Robin JC, Pieper S, Aerts HJWL. Computational radiomics system to decode the radiographic phenotype. Cancer Res. 2017;77(21):e104–e107. doi: 10.1158/0008-5472.CAN-17-0339.
- Hanley JA, McNeil BJ. The meaning and use of the area under a receiver operating characteristic (ROC) curve. Radiology. 1982;143(1):29–36. doi: 10.1148/radiology.143.1.7063747.
- Eden T, Yates F. On the validity of Fisher's z test when applied to an actual example of non-normal data. J Agric Sci. 1933;23(1):6–17. doi: 10.1017/S0021859600052862.
- Barri MA. A simulation showing the role of central limit theorem in handling non-normal distributions. Am J Educ Res. 2019;7(8):591–598. doi: 10.12691/education-7-8-8.
- Lundberg S, Lee SI. A unified approach to interpreting model predictions. arXiv. 2017;arXiv:1705.07874. doi: 10.48550/arXiv.1705.07874.
- Feng N, Wang K, Jiao Y. Integrating radiomics and machine learning for the diagnosis and prognosis of hepatocellular carcinoma. World J Gastrointest Oncol. 2025;17(7):106610. doi: 10.4251/wjgo.v17.i7.106610.
- Molostova IV, Medvedeva BM, Kondratyev EV, Ustalov AA, Novruzbekov MS, Olisov OD, Tarnopolsky VM. [The capabilities of machine learning radiomics based models in the MRI diagnosis of early HCC]. Journal of Oncology: Diagnostic Radiology and Radiotherapy. 2024;7(4):68–73. Russian. doi: 10.37174/2587-7593-2024-7-4-68-73.
- Gul S, Khan MS, Bibi A, Khandakar A, Ayari MA, Chowdhury MEH. Deep learning techniques for liver and liver tumor segmentation: A review. Comput Biol Med. 2022;147:105620. doi: 10.1016/j.compbiomed.2022.105620.
- Hamm CA, Wang CJ, Savic LJ, Ferrante M, Schobert I, Schlachter T, Lin M, Duncan JS, Weinreb JC, Chapiro J, Letzen B. Deep learning for liver tumor diagnosis part I: Development of a convolutional neural network classifier for multi-phasic MRI. Eur Radiol. 2019;29(7):3338–3347. doi: 10.1007/s00330-019-06205-9.
- Hu R, Li H, Horng H, Thomasian NM, Jiao Z, Zhu C, Zou B, Bai HX. Automated machine learning for differentiation of hepatocellular carcinoma from intrahepatic cholangiocarcinoma on multiphasic MRI. Sci Rep. 2022;12(1):7924. doi: 10.1038/s41598-022-11997-w.
- Lysdahlgaard S. Comparing radiomics features of tumour and healthy liver tissue in a limited CT dataset: A machine learning study. Radiography (Lond). 2022;28(3):718–724. doi: 10.1016/ j.radi.2022.03.015.
- Davenport MS, Perazella MA, Yee J, Dillman JR, Fine D, McDonald RJ, Rodby RA, Wang CL, Weinreb JC. Use of intravenous iodinated contrast media in patients with kidney disease: Consensus statements from the American College of Radiology and the National Kidney Foundation. Radiology. 2020;294(3):660–668. doi: 10.1148/radiol.2019192094.
- Ponrartana S, Moore MM, Chan SS, Victoria T, Dillman JR, Chavhan GB. Safety issues related to intravenous contrast agent use in magnetic resonance imaging. Pediatr Radiol. 2021;51(5):736–747. doi: 10.1007/s00247-020-04896-7.
Supplementary files









