Role of I182, R187 and K188 Amino Acids of the Catalytic Domain of HIV-1 Integrase in the Processes of Reverse Transcription and Integration
- Authors: Kikhai T.F.1, Agapkina Y.Y.1, Prikazchikova T.A.1, Vdovina M.V.1, Shekhtman S.P.1, Fomicheva S.V.1, Korolev S.P.1, Gottikh M.B.1
-
Affiliations:
- Lomonosov Moscow State University
- Issue: Vol 89, No 3 (2024)
- Pages: 418-431
- Section: Articles
- URL: https://bakhtiniada.ru/0320-9725/article/view/263715
- DOI: https://doi.org/10.31857/S0320972524030047
- EDN: https://elibrary.ru/WKSAES
- ID: 263715
Cite item
Full Text
Abstract
The structural organization of HIV-1 integrase is based on a tetramer formed by two protein dimers. Within this tetramer, the catalytic domain of one subunit of the first dimer interacts with the N-terminal domain of a subunit of the second dimer. It is the tetrameric structure that allows both ends of viral DNA to be correctly positioned relative to cellular DNA and to implement the catalytic functions of integrase, namely 3′-processing and strand transfer. However, during the HIV-1 replicative cycle, integrase is responsible not only for the integration stage, it is also involved in reverse transcription and is necessary at the stage of capsid formation of newly formed virions. HIV-1 integrase is proposed to be a structurally dynamic protein and its biological functions depend on its structure. Accordingly, studying the interactions between the domains of integrase that provide its tetrameric structure is important for understanding its multiple functions. In this work, we investigated the role of three amino acids of the catalytic domain I182, R187 and K188, located in the contact region of two integrase dimers in the tetramer structure, in reverse transcription and integration. It has been shown that the R187 residue is extremely important for the formation of the correct integrase structure, which is necessary at all stages of its functional activity. The I182 residue is necessary for successful integration and is not important for reverse transcription, while the K188 residue, on the contrary, is involved in the formation of the integrase structure, which is important for effective reverse transcription.
Full Text
Принятые сокращения: а.о. – аминокислотный остаток; ВИЧ-1 – вирус иммунодефицита человека первого типа; ИН – интеграза; ОТ – обратная транскриптаза.
ВВЕДЕНИЕ
Вирус иммунодефицита человека первого типа (ВИЧ-1) относится к семейству ретровирусов, он поражает иммунную систему человека, вызывая ВИЧ-инфекцию и СПИД. Жизненный цикл ВИЧ-1 начинается с проникновения вируса в клетку, за которым следует синтез ДНК-копии вирусной РНК, осуществляемый вирусной обратной транскриптазой (ОТ). Этот процесс происходит внутри вирусного капсида в составе сложного РНК-белкового комплекса, в который входит вирусная РНК и ферменты: ОТ и интеграза (ИН). ИН связывает синтезированную ДНК-копию и катализирует две последовательные реакции – отщепление динуклеотида GT с 3′-концов вирусной ДНК (3′-процессинг) и последующее ее встраивание в ДНК инфицированной клетки (перенос цепи). Процесс интеграции – это важнейшая каталитическая функция ИН в репликативном цикле вируса. Замены аминокислот активного центра ИН, D64, D116 и E152, приводят к полной потере ее каталитической активности и инактивации вируса [1]. Однако показано, что замены некоторых других аминокислот не влияют на каталитическую активность ИН, но тем не менее существенно снижают инфекционность вируса. Это связано с тем, что ИН участвует в разных стадиях жизненного цикла ВИЧ-1 и взаимодействует с разными вирусными и клеточными белками [2].
Так, известно, что ИН и ОТ взаимодействуют между собой [3], и нарушение этого взаимодействия в результате аминокислотных замен в ИН отрицательно влияет на эффективность обратной транскрипции, при этом количество ОТ и вирусной РНК в вирионе остается на уровне вируса дикого типа [4–6]. Эксперименты с использованием метода CLIP-seq продемонстрировали, что ИН непосредственно взаимодействует с вирусной геномной РНК [7]. Эти взаимодействия влияют на морфологию вирусных частиц, при их нарушении рибонуклеопротеиновый комплекс обнаруживается вне оболочки капсида, часто оказывается ассоциирован с вирусной мембраной. Неправильная локализация вирусного генома также может быть причиной нарушения обратной транскрипции [7]. Предполагается и еще один косвенный механизм влияния ИН на эффективность обратной транскрипции. Показано, что аминокислотная замена C130S в ИН приводит к уменьшению уровня вирусного капсида в цитоплазме и снижению его стабильности. Возможно, это обусловлено тем, что у вируса с мутантной ИН снижено включение в состав вириона циклофилина А (CypA) – клеточного кофактора капсидного белка ВИЧ-1 [8].
Установлено также, что стадия репарации повреждений клеточного генома, возникающих в результате интеграции в него вирусной ДНК, обеспечивается в результате взаимодействия ИН с клеточными белками [9, 10]. Таким образом, функции ИН в жизненном цикле ВИЧ-1 не ограничиваются только интеграцией, она обладает и другими важными некаталитическими функциями.
ИН ВИЧ-1 относится к классу полинуклеотидтрансфераз и имеет трехдоменную структурную организацию. N-Концевой домен (1–50 а.о.) содержит консервативный ННСС-мотив, координирующий ион цинка. Каталитический домен (51–212 а.о.) включает активный центр фермента, представляющий собой мотив DD35E, аминокислоты которого координируют два иона магния. С-Концевой домен (213–288 а.о.) богат положительно заряженными аминокислотами и обладает SH3-подобной структурой [11].
В настоящее время полная структура ИН ВИЧ-1 не определена. Однако структура комплекса ИН с вирусной ДНК, в составе которого происходит интеграция вирусной ДНК в клеточную и который называется интасомой, реконструирована на основании структур, полученных для других ретровирусов. В ней ИН обладает тетрамерной [12, 13] или гексадекамерной структурой, причем гексадекамер сформирован из четырех тетрамеров [14].
В структуре интасомы ВИЧ-1, предложенной в работе Passos et al. [13], ИН представлена в виде тетрамера, составленного из двух димеров. В каждом из димеров одна субъединица предоставляет активный центр для катализа, а другая – участвует в поддержании структуры интасомы. При этом каталитические домены тех субъединиц, которые формируют активные центры, сближены с N-концевыми доменами противоположных субъединиц. Эти пограничные области взаимодействия каталитического и N-концевого доменов ИН также сближены и с вирусной ДНК. Соответственно, аминокислоты, расположенные в области междоменного контакта, могут быть вовлечены в разные взаимодействия, осуществляемые ИН, и влиять на разные процессы, в которых она участвует. Так, ранее было показано, что замены некоторых аминокислот участка 180–188 существенно снижают эффективность обратной транскрипции, возможно, из-за нарушения связывания мутантных вариантов ИН с ОТ и/или нарушения мультимерной структуры ИН [15].
В настоящей работе мы проанализировали влияние замен аминокислот I182А, R187А и K188А на эффективность обратной транскрипции и интеграции, а также, получив рекомбинантные белки, детально исследовали влияние этих замен на каталитические функции ИН, ее способность связывать ДНК и РНК, ее взаимодействие с ОТ и мультимеризацию. Обнаружено, что все эти замены в той или иной мере действительно влияют на репликативную способность вируса, однако причины этого влияния у разных мутантов различны.
МАТЕРИАЛЫ И МЕТОДЫ
Плазмиды, олигонуклеотиды и ферменты. В работе были использованы следующие плазмиды: pLTRLuc, кодирующая геном псевдовируса, представленный репортерным геном люциферазы светлячка; pCMVΔ8.2R, кодирующая вирусные белки за исключением Env («Addgene», США); pCMV-VSVG, кодирующая белок оболочки вируса везикулярного стоматита («Addgene»); pET-15b_ИН, кодирующая интегразу ВИЧ-1 с His6-тагом на N-конце; pGGW-GST-IN, кодирующая интегразу ВИЧ-1 с GST-тагом на N-конце; получена на основе вектора pGGW-GST. Варианты pCMVΔ8.2R_mut, pET-15b_ИН и pGGW-GST-IN с мутациями в гене интегразы (замены I182A, R187A и K188А) получены методом Quick Change II сайт-направленного мутагенеза («Agilent Technologies», США) с использованием праймеров, представленных в табл. 1.
Таблица 1. Олигонуклеотиды, использованные в работе
Название | Последовательность праймеров (5′→3′) |
I182As | сcccttttcttttaaaattgtgggcgaatactgccatttgtactgctg |
I182Aas | сagcagtacaaatggcagtattcgcccacaattttaaaagaaaagggg |
R187As | аatggcagtattcatccacaattttaaagcaaaaggggggattggg |
R187Aas | cccaatccccccttttgctttaaaattgtggatgaatactgccatt |
K188As | ccccaatcccccctgctcttttaaaattgtggatgaatactgc |
K188Aas | gcagtattcatccacaattttaaaagagcaggggggattgggg |
U5B | gtgtggaaaatctctagcagt |
U5B-2 | gtgtggaaaatctctagca |
U5A | actgctagagattttccacac |
Также в табл. 1 представлены олигонуклеотиды U5B, U5B-2 и U5A, формирующие ДНК-субстраты ИН для тестирования ее каталитической и ДНК/РНК-связывающей активности.
Приводим последовательность рибоолигонуклеотида, формирующего шпильку TAR (TAR-РНК) – gggucucucugguuagaccagaucugagccugggagcucucuggcuaacuagggaaccc.
В работе были использованы следующие ферменты: ИН ВИЧ-1 дикого типа (ИН_wt) и с заменами аминокислот I182A, R187A и K188А (ИН_I182A, ИН_R187A и ИН_K188A) с His6-тагом на N-конце; выделяли по методике, описанной ранее [16], соответствующие белки с GST-тагом на N-конце; выделяли по методике, описанной ниже в подразделе «Экспрессия и выделение ИН с GST-тагом».
Обратная транскриптаза ВИЧ-1 гетеродимер р51/р66 с His6-тагом на N-конце каждой субъединицы любезно предоставлена к.б.н. В.Т. Валуевым-Эллистоном (Институт молекулярной биологии им. В.А. Энгельгардта РАН, Москва, Россия).
Ведение клеточной культуры. Клетки HEK 293Т культивировали в среде DMEM, содержащей 10% FBS, 100 МЕ/мл пенициллина и 100 мкг/мл стрептомицина («Invitrogen», США), в инкубаторе с температурой 37 °C и увлажненной атмосферой, содержащей 5% CO2.
Подготовка ВИЧ-подобных псевдовирусных частиц. Сборку ВИЧ-подобных псевдовирусных частиц проводили согласно ранее опубликованной методике [17]. Для этого клетки HEK 293Т котрансфицировали тремя плазмидами: pLTRLuc, кодирующей люциферазу светлячка, pCMVΔ8.2R или pCMVΔ8.2R-mut, содержащей соответствующие мутации в гене ИН, и pCMV-VSVG, используя кальций-фосфатную трансфекцию. Через 48 ч собирали супернатанты, псевдовирусы концентрировали центрифугированием при 30 000 g в течение 2 ч и ресуспендировали в PBS. Уровень р24 определяли с помощью ИФА-набора ВИЧ-1 «р24-антиген» («Вектор Бест», Россия).
Трансдукция клеток. Клетки HEK 293Т инфицировали добавлением псевдовирусов в клеточную среду в конечной концентрации 100 пг р24 на 105 клеток. Клетки собирали через 24 ч после инфицирования, подсчитывали количество клеток и измеряли активность люциферазы в клеточных лизатах с использованием считывателя микропланшетов SYNERGY H1 («BioTek», США) и набора системы анализа люциферазы («Promega», США). Полученные данные нормализовали по количеству клеток.
Количественный ПЦР. Через 24 ч после трансдукции клеток HEK 293Т псевдовирусными частицами выделяли суммарную фракцию ДНК и определяли количество общей и интегрированной вирусной ДНК, как описано ранее [18].
Экспрессия и выделение ИН с GST-тагом. Для получения ИН_wt и ее мутантных форм ИН_I182A, ИН_R187A и ИН_K188A, несущих N-концевую GST-метку, клетки CodonPlus Escherichia coli BL21(DE3) трансформировали плазмидой, кодирующей GST-IN (pGGW-GST-IN) или ее мутантным вариантом; ночную культуру (10 мл) переносили в 300 мл среды 2,5% LB («VWR», США), и культуру клеток выращивали до поглощения 0,8 при 600 нм. Экспрессию рекомбинантного белка индуцировали добавлением 1 мМ ИПТГ, продукцию белка осуществляли в течение 16 ч при 18 °С. Затем клетки центрифугировали (40 мин, 4 °С, 4000 об./мин), ресуспендировали в 80 мл буфера А (50 мМ Tris-HCl (рН 7,8); 1 М NaCl; 10% глицерин; 4 мМ β-меркаптоэтанол) и подвергали обработке ультразвуком. После этого нерастворимый клеточный дебрис удаляли центрифугированием (30 мин, 4 °С, 10 000 g), а супернатант добавляли к 1 мл глутатион-сефарозы («Thermo Scientific», США), уравновешенной буфером А, и инкубировали 3 ч при 4 °С. Затем смолу трижды промывали 50 мл буфера А. Белок элюировали 1 мл буфера Б (50 мМ Tris-HCl (рН 7,8); 1 М NaCl; 10% глицерин; 4 мМ β-меркаптоэтанол; 50 мМ глутатион) в нескольких фракциях. Элюаты белков диализировались в буфере A. Перед замораживанием к образцам был добавлен глицерин до концентрации 20%.
Анализ обмена субъединиц ИН. Анализ субъединичного обмена был выполнен, как описано ранее [19]. Смешивали ИН c GST-тагом (100 нМ) и ИН с His6-тагом (100 или 200 нМ) и инкубировали в буфере B (20 мМ HEPES (pH 7,5); 100 мМ NaCl; 7,5 мМ MgCl2; 2 мМ β-меркаптоэтанол и 0,1% (v/v) NP-40) в течение 60 мин при комнатной температуре. Образцы центрифугировали в течение 2 мин при 1000 g для удаления неспецифических агрегатов. Супернатанты инкубировали c глутатион-сефарозой, предварительно обработанной 0,1 мг/мл БСА, в течение 60 мин при комнатной температуре. После инкубации смолу промывали, а связанные белки элюировали буфером Г (50 мМ Tris-HCl (рН 6,8); 1% SDS; 10% глицерин; 100 мМ β-меркаптоэтанол; 0,0025% бромфеноловый синий). Элюат анализировали с помощью вестерн-блота.
Получение радиоактивно меченых субстратов ИН и TAR-РНК. Для получения радиоактивно меченых ДНК-субстратов ИН и TAR-РНК проводили 5′-фосфорилирование 10 пмоль олигонуклеотидов U5B, U5B-2 или TAR-РНК, используя 2 пмоль [γ-32P]АТФ и Т4-полинуклеотидкиназу (10 единиц активности), в течение 60 мин при 37 °С. Реакцию останавливали добавлением 2 мкл 0,25 М ЭДТА, добавляли 10 пмоль комплементарного олигонуклеотида U5A (только для получения ДНК-субстратов ИН) и 20 мкл 3M CH3COONa; объем смеси доводили до 100 мкл milli-Q H2O. Затем Т4-полинуклеотидкиназу экстрагировали 100 мкл смеси фенол/хлороформ/изоамиловый спирт (25/24/1), и радиоактивно меченый ДНК-субстрат или TAR-РНК осаждали спиртом. Радиоактивность измеряли по Черенкову на счетчике Delta-300 («Tracor», Нидерланды).
Определение каталитической активности ИН. Для реакции 3′-концевого процессинга использовали 5 нМ ДНК-дуплекс [5′-32Р] U5B/U5A; для реакции переноса цепи – 10 нМ ДНК-дуплекс [5′-32Р] U5B-2/U5A. Эти дуплексы инкубировали со 100–800 нМ ИН в буфере, содержащем 20 мМ Hepes (pH 7,2), 7,5 мМ MgCl2 и 1 мМ ДТТ, при 37 °С в течение 1 ч, как описано в работе Shadrina et al. [20]. ДНК осаждали и анализировали электрофорезом в 20%-ном денатурирующем ПААГ. Гель визуализировали на приборе GE Typhoon FLA 9500 PhosphorImager («Molecular Dynamics», США). Эффективность 3′-концевого процессинга определяли по соотношению интенсивностей полос, соответствующих U5B и U5B-2; переноса цепи – полос, соответствующих U5B-2 и более высоко идущим продуктам с использованием программы ImageQuantTM 5.0.
Анализ взаимодействия ИН с ДНК-субстратом и TAR-РНК методом торможения в геле. Инкубировали 5 нМ 32Р-меченные ДНК-субстрат U5B/U5A или TAR-РНК с белками ИН_wt, ИН_I182_A, ИН_R187A и ИН_K188A в концентрации, возрастающей в интервале от 0 до 500 нМ, в 20 мкл буфера (20 мМ Hepes (pH 7,2); 7,5 мМ MgCl2; 1 мМ ДТТ; 10% глицерин; 50 мМ NaCl) в течение 30 мин при 20 °C, после чего смеси помещали в лед. Сформированные комплексы анализировали методом гель-электрофореза в 8%-ном ПААГ при 60 V в течение 3–4 ч в буфере, содержащем 20 мМ Tris-acetate (pH 7,2) и 7,5 мМ MgCl2, при 4 °C. Гель высушивали и визуализировали на приборе GE Typhoon FLA 9500 PhosphorImager. Определяли эффективность образования комплекса ИН/TAR-РНК или ИН/ДНК в (%) при изменении концентрации фермента с использованием программы ImageQuantTM 5.0. Данные, полученные по результатам трех экспериментов, аппроксимировали с помощью уравнения (1):
[эффективность образования комплекса, %] = , (1)
c использованием программы GraphPad Prism 8.0.1, где Вmax – максимальная эффективность связывания, [ИН] – концентрация ИН в нМ, KД – константа диссоциации в нМ, и рассчитывали значения константы диссоциации KД.
Анализ взаимодействия ИН с ОТ методом соосаждения. Для оценки взаимодействия ИН_wt и ее мутантов ИН_I182A, R187A, K188A c ОТ использовали метод соосаждения белков на глутатион-сефарозе. Для этого ИН с GST-тагом получали, как описано выше, но не элюировали с глутатион-сефарозы. Для определения количества иммобилизованной ИН фракции глутатион-сефарозы (10, 20, 30 мкл) обрабатывали элюирующим буфером, содержащим 50 мМ Tris-HCl (pH 6,8), 1% SDS, 10% глицерина, 100 мМ β-меркаптоэтанол, ~0,0025% бромфеноловый синий, нагревали до 90 °C в течение 5 мин и анализировали с помощью гель-электрофореза в 12%-ном ПААГ по Лэммли. Гель прокрашивали Кумасси, и количество ИН оценивали относительно нанесенных на этот же гель образцов ИН с известной концентрацией. Далее, количество глутатион-сефарозы, содержащее 50 пмоль ИН, инкубировали с 50 пмоль His6-ОТ в 250 мкл буфера, содержащего 20 мМ Hepes (pH 7,5), 2 мМ MgCl2, 100 мМ NaCl, 27,5 мМ CH3COOK, 0,5% (w/v) Triton X-100, при 4 °C в течение 30 мин при перемешивании. После этого смолу дважды отмывали 600 мкл того же буфера. Связанные со смолой белки элюировали буфером, содержащим 50 мМ Tris-HCl (pH 6,8), 1% SDS, 10% глицерина, 100 мМ β-меркаптоэтанол, ~0,0025% бромфеноловый синий, при нагревании до 90 °C в течение 5 мин и разделяли в 12%-ном ПААГ по Лэммли с последующим вестерн-блот-анализом.
Вестерн-блот-анализ. Образцы белка анализировали на наличие GST- или His6-метки с кроличьими анти-GST («Sigma», США) и мышиными анти-His6-антителами («Sigma») соответственно. В качестве вторичных антител использовали конъюгированные с пероксидазой хрена антитела к мыши («Sigma») и к кролику («Sigma») соответственно. Визуализацию специфических белковых полос осуществляли с использованием субстрата Clarity Western ECL («Bio-Rad», США) с помощью прибора ChemiDoc MP («Bio-Rad»).
РЕЗУЛЬТАТЫ ИССЛЕДОВАНИЯ
Влияние аминокислотных замен I182A, R187A и K188A в составе интегразы на эффективность ранних стадий репликации ВИЧ-1. Для анализа роли аминокислот I182, R187 и K188 ИН в репликации вируса мы использовали VSV-G-псевдотипированный репликативно некомпетентный вектор на основе ВИЧ-1 [17], который является удобной моделью для изучения ранних этапов жизненного цикла вируса: обратной транскрипции и интеграции. Сборка псевдовирусных частиц осуществлялась путем трансфекции клеток HEK 293T тремя плазмидами, кодирующими: 1) G-белок вируса везикулярного стоматита (VSV), 2) геном псевдовируса, в котором вирусные гены заменены на репортерный ген люциферазы светлячка, находящийся под контролем вирусного LTR-промотора, 3) структурные белки для формирования капсида вирусной частицы и ферменты ВИЧ-1. Для получения векторов с мутантными вариантами ИН, содержащими замены исследуемых аминокислот на аланин, в плазмиду, кодирующую ИН, вводились соответствующие мутации методом сайт-направленного мутагенеза. У всех полученных вирусных частиц определяли уровень р24. Клетки HEK 293Т трансдуцировали, добавляя псевдовирусные частицы в конечной концентрации 100 пг р24 на 105 клеток (при этом множественность инфекции (MOI) была равна единице). За эффективностью трансдукции клеток HEK 293T псевдовирусными частицами следили по уровню экспрессии люциферазы светлячка.
Для всех псевдовирусов с мутантными вариантами ИН мы обнаружили снижение продукции люциферазы, по сравнению с вектором, содержащим ИН дикого типа (ИН_wt) (рис. 1). Наибольший эффект оказывала мутация R187A – сигнал люминесценции был снижен в 50 раз. Эти данные согласуются с описанными ранее в работах Takahata et al. [21] и Lu et al. [22]. Замена I182A также оказывала существенное влияние на репликацию вируса – сигнал люминесценции снижался в 10 раз. Замена K188A приводила к снижению продукции люциферазы в 1,5 раза. Таким образом, можно сказать, что исследуемые нами аминокислоты ИН действительно играют важную роль на ранних этапах репликации ВИЧ-1 – обратной транскрипции или интеграции ВИЧ-1.
Рис. 1. Относительный уровень люминесценции люциферазы светлячка в клетках, трансдуцированных псевдовирусами с ИН дикого типа (ИН_wt) и ее мутантными вариантами: ИН_I182A, ИН_R187A и ИН_K188A. Сигнал люциферазы измеряли через 24 ч после трансдукции, и результаты нормализовали на экспрессию люциферазы псевдовируса с ИН_wt. Представлены средние значения трех независимых экспериментов. Значимость определялась двусторонним дисперсионным анализом с поправкой Шидака на множественные сравнения; ** p < 0,01; *** p < 0,001
Влияние аминокислотных замен в интегразе на стадии обратной транскрипции и интеграции. Для выяснения конкретной стадии, на которую влияют замены I182А, R187А и K188А в структуре ИН, использовали метод Alu-специфичного ПЦР [18] и измеряли уровень тотальной вирусной кДНК и интегрированной кДНК в клетках после трансдукции псевдовирусными частицами дикого типа и с заменами в ИН (рис. 2). Изменение уровня всей вирусной кДНК указывает на изменение эффективности обратной транскрипции, а интегрированной кДНК – интеграции.
Рис. 2. Относительное количество общей вирусной кДНК (а) и интегрированной вирусной кДНК (б) после трансдукции клеток HEK 293T псевдовирусами с ИН_wt и мутантными белками. Представлены средние значения трех независимых экспериментов. Значимость определялась двусторонним дисперсионным анализом с поправкой Шидака на множественные сравнения; *** p < 0,001; ns – не значимо
Оказалось, что замена R187A приводит к снижению эффективности обеих стадий: обратной транскрипции и интеграции. При этом влияние замены R187A на интеграцию оказалось сильнее: количество интегрированной вирусной кДНК снижалось в 10 раз, а общей вирусной кДНК – только в 1,8 раз. Замена I182A влияла только на стадию интеграции, снижая количество интегрированной кДНК в 3 раза. Замена K188A приводила к снижению количества общей вирусной кДНК в 1,5 раза и практически не влияла на стадию интеграции. Детектируемое незначительное уменьшение уровня интегрированной ДНК, скорее всего, связано с пониженным уровнем тотальной вирусной ДНК (рис. 2, a).
Таким образом, аминокислотные замены I182А, R187А и K188А в составе ИН влияют на разные этапы репликации вируса. Для выяснения причин этого влияния мы проанализировали эффект этих замен на каталитическую активность ИН, ее способность связывать ДНК и РНК, а также на ее взаимодействие с ОТ.
Характеристика каталитической активности мутантных вариантов ИН. Для исследования влияния аминокислотных замен на свойства ИН методом сайт-направленного мутагенеза были получены векторы для прокариотической экспрессии вариантов ИН с заменами I182A, R187A и K188A. Все мутантные белки содержали на N-конце His6-таг для очистки на Ni-NTA-агарозе. Степень чистоты полученных препаратов ИН составила не менее 90%.
В процессе репликации вируса ИН осуществляет две последовательные реакции: 3′-концевой процессинг, при котором происходит отщепление динуклеотида GT с 3′-концов вирусной ДНК, и перенос цепи, который заключается во встраивании процессированной вирусной ДНК в клеточную ДНК. Обе эти реакции можно имитировать in vitro по стандартным методикам [20]. Для проведения реакции 3′-процессинга in vitro был использован дуплекс [5′-32P] U5B/U5A, последовательность которого соответствует концевой последовательности фрагмента U5 вирусной кДНК. На 5′-конец процессируемой цепи U5B, которая в результате реакции превращалась в укороченный на два нуклеотида продукт, была введена радиоактивная метка. В реакции переноса цепи в качестве и субстрата, и мишени использовался дуплекс [5′-32Р] U5B-2/U5A, в котором цепь U5B уже была укорочена на два нуклеотида (U5B-2).
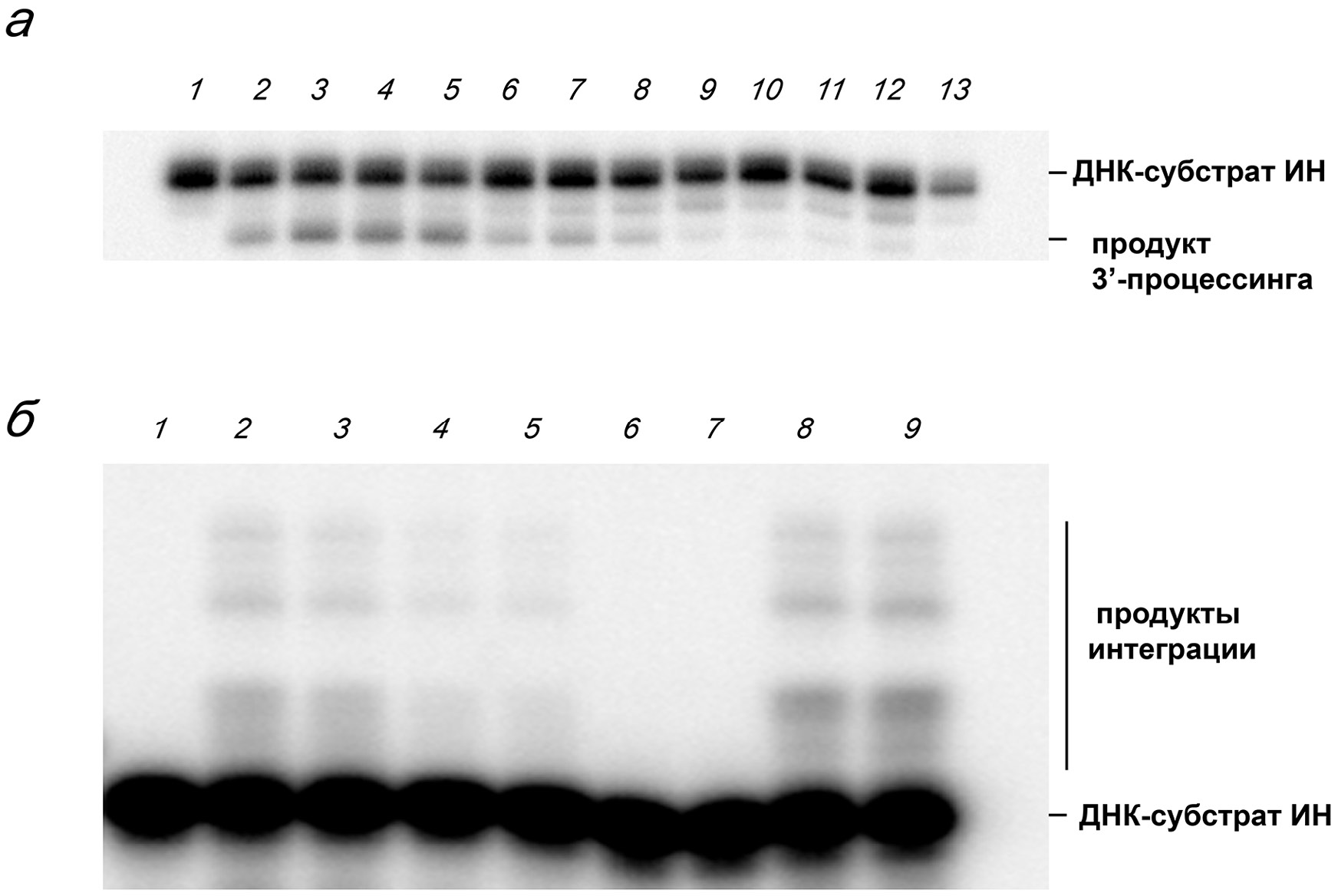
Мы проверили каталитическую активность мутантных вариантов ИН в реакции 3′-процессинга (рис. 3, а) и переноса цепи (рис. 3, б), используя разные концентрации белка. Каталитическая активность ИН_K188A сохранялась на уровне фермента дикого типа (ИН_wt) (рис. 3, а – дорожки 4, 5 и 2, 3 соответственно; рис. 3, б – дорожки 2, 3 и 8, 9 соответственно). Активность ИН_I182A была снижена на 50% по сравнению с ИН дикого типа (рис. 3, а – дорожки 6–9; рис. 3, б – дорожки 4, 5). ИН_R187A оказалась каталитически не активна в реакции переноса цепи (рис. 3, б – дорожки 6, 7) и проявляла не более 10% активности по сравнению с ИН_wt в реакции 3′-процессинга (рис. 3, а – дорожки 10–13).
Рис. 3. Электрофоретический анализ каталитической активности ИН_wt и мутантов ИН_I182A, ИН_R187A, ИН_K188A в реакциях 3′-процессинга (а) и переноса цепи (б). а – Дуплекс U5B/U5A без ИН (дорожка 1); в присутствии ИН_wt (дорожки 2, 3); в присутствии ИН_K188A (дорожки 4, 5); в присутствии ИН_I182A (дорожки 6–9); в присутствии ИН_R187А (дорожки 10–13). Реакцию проводили с 5 нМ ДНК-дуплексом и увеличивающимися концентрациями ИН: 100 нМ (дорожки 2, 4, 6, 10); 200 нМ (дорожки 3, 5, 7, 11); 400 нМ (дорожки 8, 12) и 800 нМ (дорожки 9, 13). б – Дуплекс U5B-2/U5A без ИН (дорожка 1); в присутствии ИН_wt (дорожки 2, 3); в присутствии ИН_K182A (дорожки 4, 5); в присутствии ИН_I187A (дорожки 6, 7); присутствии ИН_R188А (дорожки 8, 9). Реакцию проводили с 10 нМ ДНК-дуплексом и концентрациями ИН: 100 нМ (дорожки 2, 4, 6, 8) и 200 нМ (дорожки 3, 5, 7, 9)
Характеристика ДНК-связывающей активности мутантных вариантов ИН. Каталитическая активность ИН зависит как от структуры ее активного центра, так и от способности связывать ДНК-субстрат. Мы проверили способность мутантных вариантов ИН связывать 21-звенный ДНК-субстрат (дуплекс [5′-32P] U5B/U5A). На рис. 4, а и в табл. 2 представлены результаты связывания ДНК-субстрата для всех исследуемых вариантов ИН, полученные методом торможения в геле.
Таблица 2. Константы диссоциации комплексов ИН с ДНК и РНК
ИН | ИН_wt | ИН_I182A | ИН_R187A | ИН_K188A |
KД (ИН/ДНК), нМ | 25 ± 3 | 220 ± 60 | 330 ± 20 | 60 ± 5 |
KД (ИН/РНК), нМ | 21 ± 5 | 67 ± 17 | 82 ± 12 | 36 ± 3 |
Примечание. Приведено среднее значение со стандартным отклонением, полученное по результатам как минимум трех независимых экспериментов.
Все исследуемые аминокислотные замены оказывали влияние на эффективность образования комплекса ИН с ДНК-субстратом, однако это влияние заметно различалось (рис. 4, а). Замена R187A вызвала очень сильное снижение эффективности связывания ДНК – KД увеличилась более чем в 13 раз по сравнению с ИН дикого типа (табл. 2). Замена I182A тоже ухудшала связывание ДНК, но в меньшей степени – KД возросла почти в 9 раз. При этом, несмотря на 100-кратный избыток белков, по сравнению с ДНК, нам не удалось достичь 100%-ной эффективности образования комплекса ИН с ДНК. Замена K188A не оказывала заметного влияния на эффективность связывания субстрата – КД была в 2,4 раза выше, чем для ИН дикого типа, но эта мутация не препятствовала 100%-ному связыванию ДНК уже при концентрации ИН 350–400 нМ.
Рис. 4. Влияние аминокислотных замен I182A, R187A и K188A в ИН на эффективность ее связывания с ДНК-субстратом и с TAR-РНК. a – Кривые связывания ИН с ДНК-дуплексом U5B/U5A, полученные методом торможения в геле. 5 нМ ДНК-субстрат инкубировали с ИН в разных концентрациях: 0, 25, 50, 100, 200 и 500 нМ. б – Кривые связывания ИН с TAR-РНК, полученные методом торможения в геле. 5 нМ TAR-РНК инкубировали с ИН в разных концентрациях: 0, 25, 50, 100, 200, 500 нМ
Характеристика РНК-связывающей активности мутантных ИН. Установлено, что ИН непосредственно взаимодействует с вирусной геномной РНК, и аминокислотные замены в ИН, которые ухудшают это связывание, приводят к образованию неинфекционных вирионов [6, 23]. При этом ИН проявляет явное предпочтение к отдельным структурным элементам вирусной РНК, например, к шпильке TAR (Trans Activation Response) [7].
Мы проверили, как замены I182A, R187A и K188A в ИН влияют на ее РНК-связывающую способность. Для этого мы использовали фрагмент РНК ВИЧ-1 – TAR-РНК, к которой, как указано выше, ИН имеет повышенное сродство. Оказалось, что, как и в случае с ДНК, все мутации снижали эффективность связывания, однако это снижение было не столь сильным (рис. 4, б). Для ИН_I182A и ИН_R187A KД увеличивалась в 3,1 и в 3,9 раз соответственно, а замена K188A снижала эффективность связывания в 1,7 раза (табл. 2).
Влияние замен I182A, R187A, K188A на взаимодействие ИН с обратной транскриптазой. Для проверки влияния аминокислотных замен в ИН на ее взаимодействие с ОТ использовали рекомбинантные белки: ИН с GST-тагом и ОТ с His6-тагом. ОТ инкубировали с разными вариантами ИН, затем проводили осаждение образовавшихся комплексов на глутатион-сефарозе и с помощью вестерн-блот-анализа определяли количество ОТ, соосажденной с ИН_wt и всеми мутантными белками. Оказалось, что ни одна из аминокислотных замен в ИН не оказывает заметного влияния на ее взаимодействие с ОТ (рис. 5).
Рис. 5. Анализ взаимодействия ОТ с ИН дикого типа (ИН_wt) и с заменами I182A, R187A, K188A, содержащими N-концевой GST-таг, методом соосаждения на глутатион-сефарозе. ОT при отсутствии ИН (дорожка 1); ОT в присутствии ИН_wt (дорожка 2); ОT в присутствии ИН_I182A (дорожка 3); ОT в присутствии ИН_R187A (дорожка 4); ОT в присутствии ИН_K188A (дорожка 5). Инкубация ИН и ОТ в концентрации 250 нM проводилась в течение 30 мин при 4 °С
Влияние замен I182A, R187A, K188A в ИН на ее мультимеризацию. Предполагается, что ИН ВИЧ-1 является структурно-динамичным белком и способна образовывать множество олигомерных форм в растворе. В связи с этим мы исследовали, как замены I182A, R187A и K188A влияют на динамическое равновесие между субъединицами ИН. Для этого мы использовали метод обмена субъединицами, аналогичный предложенному в работе McKee et al. [19]. ИН_wt c GST-тагом инкубировали с ИН_wt или мутантными вариантами ИН, содержащими His6-таг, затем проводили осаждение образовавшихся комплексов на глутатион-сефарозе и с помощью вестерн-блот-анализа определяли количество соосажденного белка с His6-тагом, который должен соосаждаться, только если эффективно происходит обмен субъединицами. Оказалось, что только замена R187A нарушала динамический обмен между субъединицами (рис. 6; дорожки 5 и 6), замены аминокислот I182 и K188 ему не препятствовали (рис. 6; дорожки 3, 4 и 7, 8 соответственно).
Рис. 6. Анализ эффективности обмена субъединицами для ИН_wt и с заменами I182A, R187A и K188A. 100 нМ GST-ИН инкубировали в течение 2 ч при комнатной температуре с белками, содержащими His6-таг: ИН_wt (дорожки 1, 2), ИН_K182A (дорожки 3, 4), ИН_I187A (дорожки 5, 6), ИН_R188А (дорожки 7, 8). Концентрации белков с His6-тагом: 100 нМ (дорожки 1, 3, 5, 7) и 200 нМ (дорожки 2, 4, 6, 8). Дорожка 9 – контроль без GST-ИН
ОБСУЖДЕНИЕ РЕЗУЛЬТАТОВ
Аминокислоты каталитического домена ИН, находящиеся на стыке взаимодействия с N-концевым доменом, в том числе консервативный мотив 186KRK188, давно являются предметом исследований. Предполагалось, что этот мотив является сигналом ядерной локализации ИН [24]. Однако это предположение еще в 2000 году было опровергнуто, и было показано, что мутации в этом регионе приводят к существенному снижению эффективности обратной транскрипции [25]. Это подтверждалось и в последующих работах [6, 22]. В ряде работ установлено участие аминокислот этого региона в мультимеризации ИН [12, 15, 19, 26], и именно с этим связывалось их влияние на репликацию вируса. Elliott et al. [6] и Kessl et al. [7] показали, что нарушение тетрамеризации ИН, вызванное мутациями R187A и K188E, препятствует ее связыванию с вирусной РНК, что приводит к нарушению морфологии вириона и за счет этого влияет на репликацию вируса. Влияние на мультимеризацию ИН остатка I182 специально не изучалось, но было обнаружено, что замена I182А снижает эффективность обратной транскрипции [21].
Мы решили более детально выяснить причины ухудшения обратной транскрипции при заменах аминокислот, находящихся на стыке взаимодействия каталитического и N-концевого доменов двух димеров ИН в структуре ее тетрамера, и выбрали аминокислоты I182, R187 и K188. По данным рентгеноструктурного анализа, все они направлены в сторону N-концевого домена другой субъединицы [PDB 5U1C [13]] и, следовательно, могут участвовать в образовании тетрамера (рис. 7). Все исследуемые аминокислоты были заменены на аланин, поскольку мы посчитали, что использованная ранее замена K188E [6] может слишком сильно менять общую структуру ИН и не позволяет выяснить роль только одной аминокислоты.
Рис. 7. Расположение аминокислот I182, R187 и K188 в структуре ИН (по данным Passos et al. [13] (PDB 5U1C)). а – Структура тетрамера ИН ВИЧ-1. Разными цветами отмечены отдельные субъединицы ИН. б – Прямоугольником выделено и увеличено место расположения аминокислот I182, R187 и K188 (выделены ярко-желтым) каталитического домена одной субъединицы (выделен зеленым) и N-концевого домена другой субъединицы (выделен бирюзовым). в–д – Окружение аминокислот I182, R187 и K188 соответственно
В первую очередь с использованием псевдовирусных частиц мы подтвердили, что эти аминокислоты действительно важны для эффективной репликации вируса. Однако при определении стадии, которая нарушается при заменах исследуемых аминокислот, выяснилось, что не все замены влияют на обратную транскрипцию. Замена R187А существенно снижала эффективность обратной транскрипции, замена K188A вызывала незначительное снижение, а замена I182A вообще не влияла на эту стадию. Помимо этого, мы впервые установили, что замены I182A и R187А сильно снижают эффективность интеграции (рис. 2). Для того чтобы выяснить причины такого поведения мутантных псевдовирусов, мы получили рекомбинантные варианты ИН с этими же заменами и исследовали их свойства.
В соответствии с литературными данными [6], замена R187A приводила к нарушению мультимеризации ИН (рис. 6) и существенно снижала аффинность ИН к РНК (рис. 4, б; табл. 2). Именно эти два фактора, очевидно, объясняют зафиксированную в нашей работе низкую эффективность обратной транскрипции в случае этой замены в ИН. Отметим, однако, что мы не обнаружили влияния замены R187A на связывание ИН с ОТ (рис. 5). Это указывает на необязательность мультимерного состояния ИН для ее взаимодействия с ОТ. Кроме того, мы впервые установили, что замена R187A очень сильно подавляет способность ИН связывать ДНК-субстрат (рис. 4, а) и, соответственно, катализировать встраивание вирусной ДНК в геном клетки (рис. 2, б). Столь драматическое влияние замены R187A на функции ИН можно объяснить двумя причинами. Так, гуанидиновая группа остатка R187 может образовывать бидентантные водородные связи [27] с карбонильным кислородом боковой цепи остатка N18 (рис. 7, г). Однако более вероятно альтернативное образование водородных связей гуанидиновой группировки с карбонильным кислородом в пептидной цепи у остатка H16, которое раньше было предсказано в работах Hare et al. [12] и Passos et al. [13]. Этот остаток гистидина входит в состав важного структурного HHCC-мотива N-концевого домена ИН. Кроме того, предсказана водородная связь остатка R187 с вирусной ДНК [13]. Именно поэтому замена R187A оказывает такое существенное влияние. Таким образом, аминокислота R187 несет важную функцию, обеспечивающую правильную структуру ИН, необходимую как для каталитических, так и некаталитических ее функций.
В отличие от замены R187A, замена K188A не влияла на эффективность интеграции, что согласуется с тем, что ИН_K188A проявляла такую же каталитическую активность в реакциях 3′-процессинга и переноса цепи, как и ИН_wt (рис. 3), хотя мы и наблюдали незначительное снижение аффинности ИН_K188A к ДНК-субстрату (табл. 2). Небольшое снижение количества интегрированной ДНК (рис. 2) является следствием некоторого снижения уровня общей вирусной ДНК, вызванного заменой K188A, что согласуется с данными литературы [6]. Учитывая, что мы не обнаружили влияния замены K188A ни на связывание ИН с обратной транскриптазой, ни на мультимеризацию ИН, объяснить негативное влияние этой замены на обратную транскрипцию можно только некоторым снижением аффинности ИН_К188А к TAR-РНК (табл. 2). Аминогруппа K188 может образовывать солевой мостик с карбоксильной группой D25 из N-концевого домена (рис. 7, д). Очевидно, это взаимодействие важно для правильного связывания РНК. Можно предположить, что замена K188A влияет не столько на способность ИН связывать РНК (аффинность падает незначительно), сколько на правильную структуру РНК-белкового комплекса. Соответственно, нарушение структуры этого комплекса изменяет морфологию вирусных частиц, что и вызывает ухудшение обратной транскрипции [6]. Надо, однако, заметить, что это нарушение крайне незначительно и приводит лишь к небольшому снижению уровня вирусной тотальной кДНК.
Наиболее неожиданные результаты были получены при анализе роли I182 в функционировании ИН. В нашей работе, как и в работе Takahata et al. [21], замена I182A существенно снижала инфекционность вируса, но не за счет ухудшения обратной транскрипции, а за счет низкой эффективности интеграции (рис. 2). Анализ свойств рекомбинантного белка ИН_I182А показал, что у него существенно понижена ДНК-связывающая способность (табл. 2) и каталитическая активность (рис. 3). Это хорошо объясняет низкий уровень интегрированной кДНК (рис. 2, б). Вероятно, это происходит из-за нарушения гидрофобных взаимодействий боковой цепи I182 с Y15, которые важны для формирования правильной структуры ИН. Заметим, однако, что структурные нарушения, вызванные заменой I182A, не столь серьезны, как при замене R187А. Замена I182A не нарушает мультимеризацию ИН (в отличие от R187А) и не влияет на ее связывание с ОТ. Интересно, что замена I182A приводит к 3-кратному снижению аффинности ИН к TAR-РНК (табл. 2), но никак не влияет на эффективность обратной транскрипции. Возможно, ИН_I182A связывает РНК хуже, но структура образующихся комплексов такова, что не нарушает морфологию вирусных частиц, и, соответственно, мы не наблюдаем снижения уровня тотальной вирусной кДНК.
ЗАКЛЮЧЕНИЕ
ИН ВИЧ-1 – это один из основных ферментов вируса, поэтому ее структура и функции являются предметом исследований на протяжении многих лет. В результате появляются все новые данные, доказывающие многообразие функций этого фермента. Однако некаталитические функции ИН ВИЧ-1 все еще остаются недостаточно изученными. Предполагалось, что замены исследуемых нами аминокислот I182, R187 и K188, находящихся на стыке каталитического и N-концевого доменов двух разных субъединиц ИН, влияют именно на ее некаталитические функции, т.е. относятся к так называемому II классу мутаций ИН, в отличие от мутаций I класса, влияющих на каталитические функции. Однако мы можем сделать вывод, что не всегда можно провести четкую границу и отнести мутации к тому или иному классу. Мы установили, что аминокислота R187 важна для репликации вируса как на стадии обратной транскрипции, так и интеграции, т.е. как для некаталитической, так и для каталитической функции ИН. Аминокислота K188 оказалась важна для успешного протекания обратной транскрипции, т.е. замену K188A можно отнести к мутациям II класса. Для I182 ранее было показано, что она важна для стадии обратной транскрипции, но в нашем исследовании оказалось, что ее замена снижает эффективность интеграции. Следовательно, замена I182А, скорее, относится к мутациям I класса.
Вклад авторов. М.Б. Готтих, Ю.Ю. Агапкина – концепция и руководство работой; Т.Ф. Кихай, Т.А. Приказчикова, С.П. Королев, М.В. Вдовина, С.П. Шехтман, С.В. Фомичева – проведение экспериментов и обсуждения результатов исследования; Т.Ф. Кихай, Ю.Ю. Агапкина, М.Б. Готтих – написание и редактирование текста статьи.
Финансирование. Работа выполнена при финансовой поддержке Российского научного фонда (грант № 22-14-00073).
Конфликт интересов. Авторы заявляют об отсутствии конфликта интересов.
Соблюдение этических норм. Настоящая статья не содержит описания выполненных авторами исследований с участием людей или использованием животных в качестве объектов.
About the authors
T. F. Kikhai
Lomonosov Moscow State University
Author for correspondence.
Email: kih.t1996@yandex.ru
Russian Federation, Moscow
Yu. Yu. Agapkina
Lomonosov Moscow State University
Email: kih.t1996@yandex.ru
Russian Federation, Moscow
T. A. Prikazchikova
Lomonosov Moscow State University
Email: kih.t1996@yandex.ru
Russian Federation, Moscow
M. V. Vdovina
Lomonosov Moscow State University
Email: kih.t1996@yandex.ru
Russian Federation, Moscow
S. P. Shekhtman
Lomonosov Moscow State University
Email: kih.t1996@yandex.ru
Russian Federation, Moscow
S. V. Fomicheva
Lomonosov Moscow State University
Email: kih.t1996@yandex.ru
Russian Federation, Moscow
S. P. Korolev
Lomonosov Moscow State University
Email: kih.t1996@yandex.ru
Russian Federation, Moscow
M. B. Gottikh
Lomonosov Moscow State University
Email: gottikh@belozersky.msu.ru
Russian Federation, Moscow
References
- Wiskerchen, M., and Muesing, M. A. (1995) Human immunodeficiency virus type 1 integrase: effects of mutations on viral ability to integrate, direct viral gene expression from unintegrated viral DNA templates, and sustain viral propagation in primary cells, J. Virol., 69, 376-386, https://doi.org/10.1128/JVI.69.1.376-386.1995.
- Engelman, A. N., and Kvaratskhelia, M. (2022) Multimodal functionalities of HIV-1 integrase, Viruses, 14, 926, https://doi.org/10.3390/v14050926.
- Wu, X., Liu, H., Xiao, H., Conway, J. A., Hehl, E., Kalpana, G. V., Prasad, V., and Kappes, J. C. (1999) Human immunodeficiency virus type 1 integrase protein promotes reverse transcription through specific interactions with the nucleoprotein reverse transcription complex, J. Virol., 73, 2126-2135, https://doi.org/10.1128/JVI.73.3. 2126-2135.1999.
- Engelman, A., Englund, G., Orenstein, J. M., Martin, M. A., and Craigie, R. (1995) Multiple effects of mutations in human immunodeficiency virus type 1 integrase on viral replication, J. Virol., 69, 2729-2736, https://doi.org/10.1128/JVI.69.5.2729-2736.1995.
- Leavitt, A. D., Robles, G., Alesandro, N., and Varmus, H. E. (1996) Human immunodeficiency virus type 1 integrase mutants retain in vitro integrase activity yet fail to integrate viral DNA efficiently during infection, J. Virol., 70, 721-728, https://doi.org/10.1128/JVI.70.2.721-728.1996.
- Elliott, J., Eschbach, J. E., Koneru, P. C., Li, W., Puray-Chavez, M., Townsend, D., Lawson, D. Q., Engelman, A. N., Kvaratskhelia, M., and Kutluay, S. B. (2020) Integrase-RNA interactions underscore the critical role of integrase in HIV-1 virion morphogenesis, Elife, 9, e54311, https://doi.org/10.7554/eLife.54311.
- Kessl, J. J., Kutluay, S. B., Townsend, D., Rebensburg, S., Slaughter, A., Larue, R. C., Shkriabai, N., Bakouche, N., Fuchs, J. R., Bieniasz, P. D., and Kvaratskhelia, M. (2016) HIV-1 integrase binds the viral RNA genome and is essential during virion morphogenesis, Cell, 166, 1257-1268.e12, https://doi.org/10.1016/j.cell.2016.07.044.
- Briones, M. S., Dobard, C. W., and Chow, S. A. (2010) Role of human immunodeficiency virus type 1 integrase in uncoating of the viral core, J. Virol., 84, 5181-5190, https://doi.org/10.1128/jvi.02382-09.
- Rozina, A., Anisenko, A., Kikhai, T., Silkina, M., and Gottikh, M. (2022) Complex relationships between HIV-1 integrase and its cellular partners, Int. J. Mol. Sci., 23, 12341, https://doi.org/10.3390/ijms232012341.
- Knyazhanskaya, E., Anisenko, A., Shadrina, O., Kalinina, A., Zatsepin, T., Zalevsky, A., Mazurov, D., and Gottikh, M. (2019) NHEJ pathway is involved in post-integrational DNA repair due to Ku70 binding to HIV-1 integrase, Retrovirology, 16, 30, https://doi.org/10.1186/s12977-019-0492-z.
- Агапкина Ю., Приказчикова Т., Смолов М., Готтих М. (2005) Структура и функции интегразы ВИЧ-1, Успехи биологической химии, 45, 87-112.
- Hare, S., Di Nunzio, F., Labeja, A., Wang, J., Engelman, A., and Cherepanov, P. (2009) Structural basis for functional tetramerization of lentiviral integrase, PLoS Pathog., 5, e1000515, https://doi.org/10.1371/journal.ppat.1000515.
- Passos, D. O., Li, M., Yang, R., Rebensburg, S. V., Ghirlando, R., Jeon, Y., Shkriabai, N., Kvaratskhelia, M., Craigie, R., and Lyumkis, D. (2017) Cryo-EM structures and atomic model of the HIV-1 strand transfer complex intasome, Science, 355, 89-92, https://doi.org/10.1126/science.aah5163.
- Ballandras-Colas, A., Maskell, D. P., Serrao, E., Locke, J., Swuec, P., Jónsson, S. R., Kotecha, A., Cook, N. J., Pye, V. E., Taylor, I. A., Andrésdóttir, V., Engelman, A. N., Costa, A., and Cherepanov, P. (2017) A supramolecular assembly mediates lentiviral DNA integration, Science, 355, 93-95, https://doi.org/10.1126/science.aah7002.
- Berthoux, L., Sebastian, S., Muesing, M. A., and Luban, J. (2007) The role of lysine 186 in HIV-1 integrase multimerization, Virology, 364, 227-236, https://doi.org/10.1016/j.virol.2007.02.029.
- Knyazhanskaya, E. S., Smolov, M. A., Kondrashina, O. V., and Gottikh, M. B. (2009) Relative comparison of catalytic characteristics of human foamy virus and HIV-1 integrases, Acta Naturae, 1, 78-80, https://doi.org/ 10.32607/20758251-2009-1-2-78-80.
- Mazurov, D., Ilinskaya, A., Heidecker, G., Lloyd, P., and Derse, D. (2010) Quantitative comparison of HTLV-1 and HIV-1 cell-to-cell infection with new replication dependent vectors, PLoS Pathog., 6, e1000788, https://doi.org/ 10.1371/journal.ppat.1000788.
- Vandergeeten, C., Fromentin, R., Merlini, E., Lawani, M. B., DaFonseca, S., Bakeman, W., McNulty, A., Ramgopal, M., Michael, N., Kim, J. H., Ananworanich, J., and Chomont, N. (2014) Cross-clade ultrasensitive PCR-based assays to measure HIV persistence in large-cohort studies, J. Virol., 88, 12385-12396, https://doi.org/10.1128/jvi.00609-14.
- McKee, C. J., Kessl, J. J., Shkriabai, N., Dar, M. J., Engelman, A., and Kvaratskhelia, M. (2008) Dynamic modulation of HIV-1 integrase structure and function by cellular lens epithelium-derived growth factor (LEDGF) protein, J. Biol. Chem., 283, 31802-31812, https://doi.org/10.1074/jbc.M805843200.
- Shadrina, O. A., Zatsepin, T. S., Agapkina, Yu. Yu., Isaguliants, M. G., and Gottikh, M. B. (2015) Influence of drug resistance mutations on the activity of HIV-1 subtypes A and B integrases: a comparative study, Acta Naturae, 7, 78-86, https://doi.org/10.32607/20758251-2015-7-1-78-86.
- Takahata, T., Takeda, E., Tobiume, M., Tokunaga, K., Yokoyama, M., Huang, Y.-L., Hasegawa, A., Shioda, T., Sato, H., Kannagi, M., and Masuda, T. (2017) Critical contribution of Tyr15 in the HIV-1 integrase (IN) in facilitating IN assembly and nonenzymatic function through the IN precursor form with reverse transcriptase, J. Virol., https:// doi.org/10.1128/jvi.02003-16.
- Lu, R., Limón, A., Devroe, E., Silver, P. A., Cherepanov, P., and Engelman, A. (2004) Class II integrase mutants with changes in putative nuclear localization signals are primarily blocked at a postnuclear entry step of human immunodeficiency virus type 1 replication, J. Virol., 78, 12735-12746, https://doi.org/10.1128/jvi.78.23.12735-12746.2004.
- Elliott, J. L., and Kutluay, S. B. (2020) Going beyond integration: the emerging role of HIV-1 integrase in virion morphogenesis, Viruses, 12, 1005, https://doi.org/10.3390/v12091005.
- Gallay, P., Hope, T., Chin, D., and Trono, D. (1997) HIV-1 infection of nondividing cells through the recognition of integrase by the importin/karyopherin pathway (nuclear import human immunodeficiency virus), Proc. Natl. Acad. Sci. USA, 94, 9825-9830, https://doi.org/10.1073/pnas.94.18.9825.
- Tsurutani, N., Kubo, M., Maeda, Y., Ohashi, T., Yamamoto, N., Kannagi, M., and Masuda, T. (2000) Identification of critical amino acid residues in human immunodeficiency virus type 1 IN required for efficient proviral DNA Formation at steps prior to integration in dividing and nondividing cells the multiple effects of in mutations suggest that, J. Virol., 74, 4795-4806, https://doi.org/10.1128/jvi.74.10.4795-4806.2000.
- De Houwer, S., Demeulemeester, J., Thys, W., Taltynov, O., Zmajkovicova, K., Christ, F., and Debyser, Z. (2012) Identification of residues in the C-terminal domain of HIV-1 integrase that mediate binding to the transportin-SR2 protein, J. Biol. Chem., 287, 34059-34068, https://doi.org/10.1074/jbc.M112.387944.
- Liat Shimoni, H., and Glusker, J. P. (1995) Hydrogen bonding motifs of protein side chains: descriptions of binding of arginine and amide groups, Protein Sci., 4, 65-74, https://doi.org/10.1002/pro.5560040109.
Supplementary files









