Solid-Phase Interaction in Powder Mixtures of Nickel with Aluminum
- Авторлар: Shkoda O.A.1, Lapshin O.V.1
-
Мекемелер:
- Tomsk Scientific Center, Siberian Branch, Russian Academy of Sciences
- Шығарылым: Том 97, № 10 (2023)
- Беттер: 1406-1414
- Бөлім: CHEMICAL KINETICS AND CATALYSIS
- ##submission.dateSubmitted##: 18.10.2023
- ##submission.datePublished##: 01.10.2023
- URL: https://bakhtiniada.ru/0044-4537/article/view/140322
- DOI: https://doi.org/10.31857/S0044453723100217
- EDN: https://elibrary.ru/GMFHUG
- ID: 140322
Дәйексөз келтіру
Толық мәтін
Аннотация
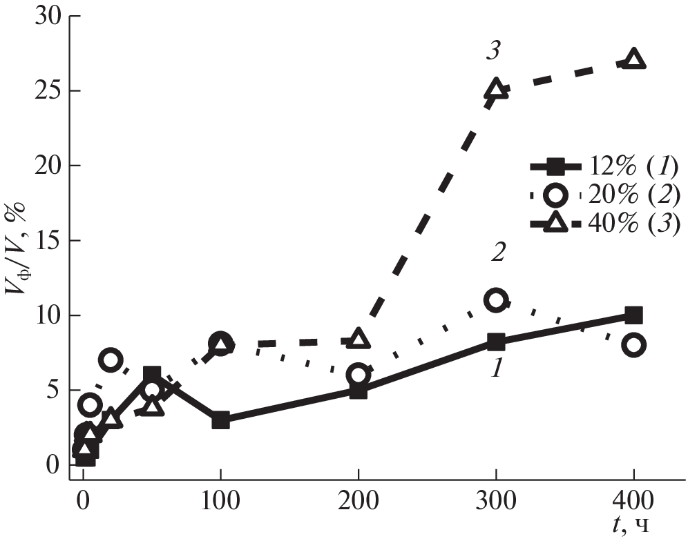
The characteristics of solid-phase interaction of 3Al + Ni and 3Ni + Al powder mixtures under annealing conditions at a temperature T = 693 K were studied by experimental and theoretical methods. The isothermal annealing time was varied from 1 to 400 h. The influence of initial porosity on the growth kinetics of the Ni2Al3 phase and on the volumetric changes in the 3Al + Ni powder mixture was studied. The constants that characterize the phase nucleation and growth kinetics in a dispersed powder mixture of nickel and aluminum were determined by the inverse problem method.
Негізгі сөздер
Авторлар туралы
O. Shkoda
Tomsk Scientific Center, Siberian Branch, Russian Academy of Sciences
Email: ovlap@mail.ru
634055, Tomsk, Russia
O. Lapshin
Tomsk Scientific Center, Siberian Branch, Russian Academy of Sciences
Хат алмасуға жауапты Автор.
Email: ovlap@mail.ru
634055, Tomsk, Russia
Әдебиет тізімі
- Портной К.И. // Порошковая металлургия. 1980. № 2. С. 33.
- Самсонов Г.В., Эпин А.П. Тугоплавкие покрытия. М.: Металлургия, 1973. 399 с.
- Desai V. // J. Mater. Eng. Perform. 2006. V. 58. № 1. P. 15.
- Аргинбаева Э.Г., Базылева О.А., Туренко Е.И. // Все материалы. Энциклопедический справочник. 2012. № 5. https://viam.ru/sites/default/files/scipub/2011/2011-205925.pdf
- Каблов Е.Н., Ломберг Б.С., Бунтушкин В.П. и др. // Металловедение и термическая обработка металлов. 2002. № 7. https://viam.ru/sites/default/files/scipub/2002/2002-203530.pdf
- Gabrovska M., Idakiev V., Tenchev K. et al. // Russ. J. Phys. Chem. A. 2013. V. 87. P. 2152. https://doi.org/10.1134/S0036024413130098
- Аркатова Л.А., Курина Л.Н., Галактионова Л.В. // Журн. физ. химии. 2009. Т. 83. № 4. С. 726. (Arkatova L.A., Kurina L.N., Galaktionova L.V. // Russ. J. Phys. Chem. A. 2009. V. 83. P. 624. )https://doi.org/10.1134/S0036024409040189
- Ogneva T.S., Bataev I.A., Mali V.I. et al. // Materials Characterization. 2021. V. 180. P. 12.https://doi.org/10.1016/j.matchar.2021.111415
- Ogneva T.S., Ruktuev A.A., Lazurenko D.V. et al. // IOP Conference Series: Materials Science and Engineering. 2020. V. 795. №1. P. 6.https://doi.org/10.1088/1757-899X/795/1/012002
- Lazurenko D., Ogneva T., Bataev I., et al. // IOP Conference Series: Materials Science and Engineering. 2016. V. 124. № 1. P. 6.https://doi.org/10.1088/1757-899X/124/1/012132
- Bataev I.A., Ogneva T., Bataev A. et al. // Materials & Design. 2015. V. 88. P. 1082. https://doi.org/10.1016/j.matdes.2015.09.103
- Шморгун В.Г., Богданов А.И., Таубе А.О. // Изв. -вузов. Черная металлургия. 2014. № 5. С. 64. https://doi.org/10.17073/0368-0797-2014-5-64-65
- Итин В.И., Найбороденко Ю.С. Высокотемпературный синтез интерметаллических соединений. Томск. Изд-во Том. ун-та. 1989. 214 с.
- Zhu P., Li J.C.M., Liu C.T. // Mater. Sci. Eng. A. 2002. V. 329–331. P. 57. https://doi.org/10.1016/S0921-5093(01)01549-0
- Zhu P., Li J.C.M., Liu C.T. // Mater. Sci. Eng. A. 1997. V. 239–240. P. 532. https://doi.org/10.1016/S0921-5093(97)00627-8
- Qiu X., Liu S., Guo J. et al. // Wang Metall. Mater. Trans. A. 2009. V. 40. Iss. 7. P. 1541. https://doi.org/10.1007/s11661-009-9840-2
- Kim H.Y., Chung D.S., Hong S.H. // Scripta Mater. 2006. V. 54. Iss. 9. P. 1715. https://doi.org/10.1016/j.scriptamat.2005.12.032
- Эмурлаева Ю.Ю., Рябинкина П.А., Лазуренко Д.В. et al. // Металловедение и термическая обработка металлов. 2021. № 12. https://doi.org/10.30906/mitom.2021.12.27-34
- Kodentsov A.A. // Diffusion Foundations. 2017. V. 13. p. 56–97. https://doi.org/10.4028/www.scientific.net/DF.13.56
- Kim H.Y., Chung D.S., Hong S.H. // Mater. Sci. Eng. A. 2005. V. 396. P. 376. https://doi.org/10.1016/j.msea.2005.01.044
- Biswas A., Roy S.K., Gurumurthy K.R. et al. // Acta Mater. 2002. V. 50. Iss. 4. P. 757. https://doi.org/10.1016/S1359-6454(01)00387-1
- Xia Z., Liu J., Zhu S. et al. // J. Mater. Sci. 1999. V. 34. P. 3731. https://doi.org/10.1023/A:1004624012683
- Kim H.Y., Chung D.S., Hong S.H. // Mater. Sci. Eng. A. 2005. V. 396. P. 376. https://doi.org/10.1016/j.msea.2005.01.044
- Srivastava V.C. et al. // J. Mater. Eng. Perform. 2012. V. 21. № 9. P. 1912.https://doi.org/10.1007/s11665-011-0114-y
- Huang W., Chang Y.A. // Intermetallics. 1998. V. 6. Iss. 6. P. 487. https://doi.org/10.1016/S0966-9795(97)00099-X
- Xiao R., Guoqing Ch., Wenlong Zh. et al. // J. Wuhan University of Technology, Materials Science Edition. 2009. V. 24. № 5. P. 787. https://doi.org/10.1007/s11595-009-5787-9
- Fan Q., Chai H., Jin Z. // Intermetallics. 2001. V. 9. P. 609. https://doi.org/10.1016/S0966-9795(01)00046-2
- Morsi K., Shinde S., Olevsky E.A. // J. Mater. Sci. 2006. V. 41. № 17. P. 5699. https://doi.org/10.1007/s10853-006-0068-x
- Lucaci M., Gavriliu S., Lungu M. et al. // J. Optoelectron. Adv. M. 2004. V. 6. № 3. P. 947. https://old.joam.inoe.ro/arhiva/pdf6_3/Lucaci.pdf
- Mozaffari A., Hosseini M., Manesh H. // J. Alloys Compd. 2011. V. 509. P. 9938. https://doi.org/10.1016/j.jallcom.2011.07.103
- Kim H.Y., Chung D.S., Hong S.H. // Mater. Sci. Eng. A. 2005. V. 396. P. 376. https://doi.org/10.1016/j.msea.2005.01.044
- Архаров В.И., Баланаева Н.А., Богославский В.Н. Защитные покрытия на металлах. Киев: Наукова думка, 1971. С. 42.
- Боровский И.Б., Гуров К.П., Марчукова Ю.Э. Процессы взаимной диффузии в сплавах. М.: Наука, 1973. 360 с.
- Kwiecien I., Piotr Bobrowski P., Wierzbicka-Miernik A. et al. // Nanomaterials. 2019. V. 9 (2). P. 134; https://doi.org/10.3390/nano9020134
- Jung S.B., Minamino Y., Yamane T. et al. // J. Mater. Sci. Lett. 1993. V. 12. P. 1684. https://doi.org/10.1007/BF00418831
- Liu C.J., Mayer J.W. // J. Appl. Phys. 1988. V. 64. P. 651. https://doi.org/10.1063/1.341956
- Khieokae M., Hanamornroongruang R., Ramasoot R. et al. // Intermetallic Compound. AMR. 2014. V. 1025–1026. P. 731. https://doi.org/10.4028/www.scientific.net/amr.1025-1026.731
- Найбороденко Ю.С., Касацкий Н.Г., Шкода О.А. / Изв. вузов. Физика. 1996. № 7. С. 31–36. (Naiborodenko Yu.S., Kasatskii N.G., Shkoda O.A. // Russ. Phys. J. 1996. V.39. № 7. P. 626. )https://doi.org/10.1007/BF02439090
- Вол А.Е. Строение и свойства двойных металлических систем, М.: Физматгиз, 1959, т. 1, с. 753.
- Okamoto H. // J Phase Equilibria Diffus. 2004. 999 V. 25. № 4. P. 394. https://doi.org/10.1007/s11669-004-0163-0
- Ellner M., Kek S., Predel B. // Journal of the Less-Common Metals. 1989. V. 154. P. 207.https://doi.org/16/0022-5088(89)90185-9
- Damle Ch., Gopal A., Sastry M. // Nano Letters. 2002. V. 2. № 4. P. 365. https://doi.org/10.1021/nl015676m
- Вейнберг Ф. Приборы и методы физического металловедения. М.: Мир, 1974. С. 362
- Лапшин О.В., Болдырева Е.В., Болдырев В.В. // Журн. неорган. химии. 2021. Т. 66. № 13. С. 402. (Lapshin O.V., Boldyreva E.V., Boldyrev V.V. // Russian Journal of Inorganic Chemistry. 2021. V. 66. № 13. P. 433. )https://doi.org/10.1134/S0036023621030116
- Лапшин О.В., Овчаренко В.Е. // ФГВ. 2000. Т. 36. № 5. С. 22. (Lapshin O.V., Ovcharenko V.E. // Combust Explos Shock Waves. 2000. V. 36. № 5. P. 571.)https://doi.org/10.1007/BF02699519
Қосымша файлдар












