«Необычное» течение лимфаденопатии у пациента с болезнью Кавасаки: описание клинического случая и данные литературы
- Авторы: Канева М.А.1, Боровлева К.В.1, Передереева В.С.1, Федотова Е.П.1, Мельникова Л.Н.1, Филиппов Д.В.1, Яковлева Т.В.1, Костик М.М.1
-
Учреждения:
- ФГБОУ ВО «Санкт-Петербургский государственный педиатрический медицинский университет» Минздрава России
- Выпуск: Том 9, № 3 (2018)
- Страницы: 111-117
- Раздел: Статьи
- URL: https://bakhtiniada.ru/pediatr/article/view/9140
- DOI: https://doi.org/10.17816/PED93111-117
- ID: 9140
Цитировать
Полный текст
Аннотация
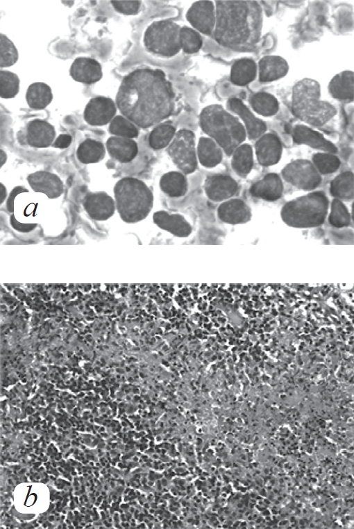
Болезнь Кавасаки — это острое лихорадочное заболевание детского возраста, одним из характерных проявлений которого является лимфаденопатия. Чаще всего поражение лимфатических узлов представлено односторонним болезненным увеличением одного или нескольких лимфоузлов шейной группы не менее 1,5 см в диаметре, появляющимся одновременно с лихорадкой и постепенно исчезающим после купирования воспаления. Возможно также менее значительное увеличение лимфоузлов других локализаций: подмышечных, паховых, паратрахеальных, парааортальных, ретроперитонеальных, лимфатических узлов брыжейки. Морфологически наиболее типичны негнойное некротическое поражение лимфоузлов с наличием субкапсулярных некротических очагов, а также неспецифические изменения в виде увеличения паракортикальной зоны и расширения синуса. В статье представлен клинический случай диагностики болезни Кавасаки, сопровождающийся выраженной лимфаденопатией, сохранением лихорадки и прогрессированием лимфаденопатии, появлением надключичного лимфоузла после введения внутривенного иммуноглобулина, что свидетельствовало о негладком течении заболевания и потребовало проведения дифференциальной диагностики, в первую очередь с лимфопролиферативным заболеванием. Представлен обзор «необычных» случаев лимфаденопатии у пациентов с болезнью Кавасаки, описанных в литературе. Подчеркнута важность проведения гистологического исследования лимфатического узла при негладком течении заболевания. Описаны гистологические варианты поражения лимфатических узлов у пациентов с болезнью Кавасаки.
Ключевые слова
Полный текст
Открыть статью на сайте журналаОб авторах
Мария Александровна Канева
ФГБОУ ВО «Санкт-Петербургский государственный педиатрический медицинский университет» Минздрава России
Автор, ответственный за переписку.
Email: mariekan92@gmail.com
врач-педиатр, детское приемное отделение
Россия, Санкт-ПетербургКсения Владимировна Боровлева
ФГБОУ ВО «Санкт-Петербургский государственный педиатрический медицинский университет» Минздрава России
Email: Shoks19@yandex.ru
врач-педиатр, детское приемное отделение
Россия, Санкт-ПетербургВероника Сергеевна Передереева
ФГБОУ ВО «Санкт-Петербургский государственный педиатрический медицинский университет» Минздрава России
Email: 89213916088@yandex.ru
врач ультразвуковой диагностики, отделение лучевой диагностики
Россия, Санкт-ПетербургЕлена Павловна Федотова
ФГБОУ ВО «Санкт-Петербургский государственный педиатрический медицинский университет» Минздрава России
Email: kris6060@mail.ru
канд. мед. наук, доцент, кафедра патологической анатомии с курсом судебной медицины
Россия, Санкт-ПетербургЛариса Николаевна Мельникова
ФГБОУ ВО «Санкт-Петербургский государственный педиатрический медицинский университет» Минздрава России
Email: laramel@yandex.ru
канд. мед. наук, доцент, кафедра госпитальной педиатрии
Россия, Санкт-ПетербургДмитрий Владимирович Филиппов
ФГБОУ ВО «Санкт-Петербургский государственный педиатрический медицинский университет» Минздрава России
Email: koolbaza@yandex.ru
канд. мед. наук, врач-хирург, хирургическое отделение № 3
Россия, Санкт-ПетербургТамара Вячеславовна Яковлева
ФГБОУ ВО «Санкт-Петербургский государственный педиатрический медицинский университет» Минздрава России
Email: Infection-2@mail.ru
врач-инфекционист, заведующая, инфекционное отделение № 2
Россия, Санкт-ПетербургМихаил Михайлович Костик
ФГБОУ ВО «Санкт-Петербургский государственный педиатрический медицинский университет» Минздрава России
Email: kost-mikhail@yandex.ru
д-р мед. наук, доцент, кафедра госпитальной педиатрии
Россия, Санкт-ПетербургСписок литературы
- Руководство по детской ревматологии / Под ред. Н.А. Геппе, Н.С. Подчерняевой, Г.А. Лыскиной. - М.: ГЭОТАР-Медиа, 2011. [NA Geppe, NS Podchernyaevа, GA Lyskinа, editors. Pediatric rheumatology tutorial. M.: GEOTAR-Media; 2011. (In Russ.)]
- Костинов М.П., Булгакова В.А., Абаева З.Р., и др. Иммунокоррекция в педиатрии. Практическое руководство для врачей / Под ред. М.П. Костинова. - М., 2001. [Kostinov MP, Bulgakova VA, Abaeva ZR, et al. MP Kostinov, editor. Immunotherapy in pediatrics. A practical guide for physicians. Moscow; 2001. (In Russ.)]
- Лушнова И.В. Парвовирусная B19 инфекция // Педиатр. - 2010. - Т. 1. - № 2. - С. 115-118. [Lushnova IV. Parvovirus В19 infection. Pediatrician (St. Petersburg). 2010;1(2):115-118. (In Russ.)]
- Akita H, Matsuoka S, Takahashi Y, et al. Kawasaki-like disease in early course of acute monocytic leukemia. Eur J Pediatr. 1992;151(3):177-178. doi: 10.1007/bf01954378.
- April MM, Burns JC, Newburger JW, Healy GB. Kawasaki Disease and Cervical Adenopathy. Arch Otolaryngol Head Neck Surg 1989;115(4):512-514. doi: 10.1001/archotol.1989.01860280110027.
- Dergun M, Kao A, Hauger SB, et al. Familial occurrence of Kawasaki syndrome in North America. Arch Pediatr Adolesc Med. 2005;159(9):876-881. doi: 10.1001/archpedi.159.9.876.
- Fujita Y, Nakamura Y, Sakata K, et al. Kawasaki disease in families. Pediatrics. 1989;84(4):666-669.
- Holman RC, Curns AT, Belay ED, et al. Kawasaki Syndrome in Hawaii. The Pediatric Infectious Disease Journal. 2005;24(5):429-433. doi: 10.1097/01.inf.0000160946.05295.91.
- Kato H, Sugimura T, Akagi T, et al. Long-term Consequences of Kawasaki Disease: A 10- to 21-Year Follow-up Study of 594 Patients. Circulation. 1996;94(6): 1379-1385. doi: 10.1161/01.cir.94.6.1379.
- McCrindle BW, Li JS, Minich LL, et al. Coronary artery involvement in children with Kawasaki disease: risk factors from analysis of serial normalized measurements. Circulation. 2007;116(2):174-179. doi: 10.1161/CIRCULATIONAHA.107.690875.
- Murray JC, Bomgaars LR, Carcamo B, Mahoney DH. Lymphoid malignancies following Kawasaki disease. Am J Hematol. 1995;50(4):299-300. doi: 10.1002/ajh.2830500414.
- Newburger JW, Takahashi M, Gerber MA, et al. Diagnosis, treatment, and long-term management of Kawasaki disease: a statement for health professionals from the Committee on Rheumatic Fever, Endocarditis and Kawasaki Disease, Council on Cardiovascular Disease in the Young, American Heart Association. Circulation. 2004;110(17):2747-2771. doi: 10.1161/01.CIR.0000145143.19711.78.
- Ozen S, Ruperto N, Dillon MJ, et al. EULAR/PReS endorsed consensus criteria for the classification of childhood vasculitides. Ann Rheum Dis. 2006;65(7): 936-941. doi: 10.1136/ard.2005.046300.
- Saji BT, Newburger JW, Burns JC, Takahashi M. Kawasaki Disease: Current Understanding of the Mechanism and Evidence-Based Treatment. Tokyo: Springer; 2017. doi: 10.1007/978-4-431-56039-5.
- Singh S, Vignesh P, Burgner D. The epidemiology of Kawasaki disease: a global update. Arch Dis Child. 2015;100(11):1084-1088. doi: 10.1136/archdischild-2014-307536.
- Tse SM, Silverman ED, McCrindle BW, Yeung RS. Early treatment with intravenous immunoglobulin in patients with Kawasaki disease. J Pediatr. 2002;140(4): 450-455. doi: 10.1067/mpd.2002.122469.
- Yokouchi Y, Oharaseki T, Harada M, et al. Histopathological study of lymph node lesions in the acute phase of Kawasaki disease. Histopathology. 2013;62(3): 387-396. doi: 10.1111/his.12007.
Дополнительные файлы








