Hyperekplexia. Clinical observation
- Authors: Fomina M.Y.1, Melashenko T.V.1, Palchik A.B.1, Pavlova O.I.1, Malekov D.A.1
-
Affiliations:
- Saint Petersburg State Pediatric Medical University
- Issue: Vol 12, No 4 (2021)
- Pages: 83-88
- Section: Clinical observation
- URL: https://bakhtiniada.ru/pediatr/article/view/90075
- DOI: https://doi.org/10.17816/PED12483-88
- ID: 90075
Cite item
Abstract
The differential diagnosis of paroxysmal conditions, as well as disorders of muscle tone (hypertension) in the neonatal period and in young children is quite complicated. Various states of the nervous system in newborns are transient and permanent, optimal and suboptimal, normal and pathological. Among them, we can mention non-epileptic paroxysmal states of early childhood. In some cases, non-epileptic paroxysmal states of early childhood is accompanied by motor disorders, manifested by an excessive increase in limb tone in newborns. This pathological condition of muscle tone in the English-language literature is referred to by the term stiffness baby (the syndrome of a “rigid” or “fettered” baby). Neonatal pathological muscle hypertonicity, unlike physiological hypertonicity of muscles of a newborn, is a rather rare condition. The article presents literature data and a description of the clinical observation of a patient with hyperekplexia. Hyperekplexia is a rare paroxysmal movement disorder in young children. The main clinical variants of the disease, methods of diagnosis and correction, the main mutations associated with this condition are considered. The article describes the own clinical observation of an early-age patient with hyperekplexia, its clinical picture, features of paroxysmal states and therapy, neuroimaging data, electroencephalographic phenomena recorded in the patient and genetic testing that confirmed the diagnosis of non-epileptic paroxysmal disorders. The child has a mutation in the ATAD1 gene associated with type 4 Hyperekplexia (618011).
Keywords
Full Text
Non-epileptic paroxysmal disorders represent a heterogeneous group of neurological disorders that are benign and cause diagnostic difficulties among clinicians due to the similarity of their manifestations with epileptic seizures. The main problem remains in identifying and establishing the diagnosis of non-epileptic paroxysmal states of childhood [1, 2]. Variants of genetic syndromes associated with this pathology have been identified. This includes hyperekplexia (HE), an encephalopathy caused by mutations in the BRATI and GRIA4 genes. A mutation in the ATAD1 gene was also identified and described as a possible cause of persistent neonatal pathological hypertonicity [12, 15]. According to the classification of epilepsy simulators, HE refers to the paroxysmal motion disorders. This rare disorder, noted in the newborns and infants, is characterized by the excessive startle reflexes in response to auditory, somatosensory, or visual stimuli, leading to tonic rigidity and generalized hyperreflexia, which can cause apnea and difficulty with feeding [1, 7, 13]. The disorder is often accompanied by nocturnal myoclonus. In most cases, this disease has an autosomal dominant mode of inheritance, with full penetrance and variable expression [11]. It is most often based on the mutation of arginine at position 271, which transforms β-alanine and taurine on the glycerol receptor from agonists to competitive antagonists (GLRA1 gene). These changes affect the conductivity of chlorides through the α 1-subunit of inhibitory glycine receptors in the caudal region of the reticular formation of the pons, which leads to the overexcitation of neurons due to the weakening of glycinergic inhibitory effect [5, 8]. New genes responsible for developing HE (GLRB, SLC6A5, GPHN, ARHGEF9, etc.) have been found over the years of research [9]. There could also be sporadic cases [6, 10].
In the range of non-epileptic paroxysmal motion disorders, known as epilepsy simulators, the phenomenon of HE is most typical for newborns and infants.
The main clinical manifestation of HE is the startle reflex, which represents the involuntary bilateral symmetrical movements of the muscles of face and body in the form of grimacing; blinking; abducting the arms; clenching the hands into a fist; and bending the neck, trunk, hips, and knees. Some authors describe the startle reflex as “fright” reflex, a “response to an unexpected stimulus” reflex. Normally, the startle reflex is determined in the fetus and healthy newborns in response to a sound stimulus, followed by a rapid adaptation, and is present in varying degrees of severity throughout the life. In human ontogeny, the startle reflex is formed at the eighth week of gestation. It is advisable to divide startle syndromes into three main categories, which are HE and similar clinical conditions, stimulus-induced states (both epileptic and non-epileptic), and neuropsychiatric disorders accompanied by the stimulus-dependent pathological responses. The physiological reflex is multiplied in HE. Moreover, HE interferes with the normal activity, and it could be provoked by various unexpected tactile, sound, or visual stimuli [3, 13].
Major and minor forms of HE are distinguished, depending on the timing of the onset, as well as the presence and severity of main symptoms. With a minor form of HE, only an excessive startle reflex is registered. The triad of the symptoms underlying the major form of HE consists of congenital generalized stiffness, excessive “fearfulness,” and muscle stiffness during fright; nocturnal myoclonus is also often noted. At an older age, an excessive startle response is expressed in stiffness and sudden falls [7].
Infants with a major HE are at a high risk of sudden death syndrome. The occurrence of obstructive apnea due to oropharyngeal discoordination, followed by aspiration during feeding, or the occurrence of central apnea due to brain stem dysfunction are the mechanisms underlying this condition in HE [1, 2].
A typical trigger of HE is light tapping on the bridge of the child’s nose, which causes or increases the muscle stiffness. However, maneuver proposed by the F. Vigevano is a technique that could relieve the stiffness and even save a child’s life in case of prolonged apnea. It comprises forced and simultaneous flexion of the head and legs, which, in most cases, terminates the paroxysm and restores spontaneous breathing [14].
Due to the similarity of this condition with cerebral palsy, infantile forms of epilepsy, myoclonic, and atactic syndromes, and therefore its erroneous interpretation, a HE pediatric patient’s examination should include clinical, electrophysiological, molecular genetics, and neuroimaging approaches [1, 2, 4].
Interictal electroencephalogram in HE children does not reveal pathological patterns. The ictal electroencephalogram typically shows motor artifacts, followed by a slowing section that is clinically consistent with apnea.
The neuroimaging presentation in HE pediatric patients is nonspecific and in most cases, structural changes in the brain matter are not detected. Treatment for HE depends on its form. Minor forms usually do not require a drug therapy. However, in many other non-epileptic paroxysmal conditions with the major form of HE, treatment is necessary alongwith the use of the anticonvulsants. For treating the major form of HE, the drug of choice is clonazepam, an agonist of gamma-aminobutyric acid receptors, used in the doses of 0.03–0.2 mg/kg/day [2, 3]. The drug reduces HE manifestations; however, muscle stiffness in most cases decreases insignificantly. Other drugs effective for HE includes clobazam, phenobarbital, valproic acid and its derivatives, and fluoxetine. The prognosis is favorable and with a correct therapy, no motor and cognitive deficits are registered in the long-term follow-up [2].
Clinical case
Two month old patient (Date of birth: 02/10/2020) was admitted to the intensive care unit (ICU) of the St. Petersburg State Pedagogical Medical University with a diagnosis of hypoxic injury of the central nervous system, spastic tetra paresis, body weight deficit by 29%, and acute obstructive bronchitis. The case history revealed that the child was born in the first pregnancy, which proceeded with a threatened miscarriage, anemia, gestational toxicosis, and acute respiratory viral infection (influenza). It was the first childbirth by a cesarean section. Birth weight was 4,300 g, body length was 57 cm, and Apgar score was 6/7 points. From birth, the child’s condition was assessed as severe due to the signs of respiratory failure, a syndrome of the central nervous system depression. According to the medical records, convulsive syndrome was noted. Respiratory support was performed in CPAP mode (constant positive airway pressure). On the second day, the depression syndrome was replaced by increased neuro-reflex excitability. Pneumonia was diagnosed, enteral nutrition was canceled, oxygen therapy under an oxygen tent was prescribed, and the child was transferred in a serious condition from the maternity hospital to the ICU. He received the infusion therapy, Mydocalm®, Hopantenic acid, and L-Carnitine. The child’s condition was stabilized, but the oxygen dependence persisted. No audiological or genetic screening was performed. On March 12, 2020, he was discharged under the supervision of a pediatrician of the primary care facility. After two days, the child’s condition was deteriorated, and the symptoms of central nervous system depression and shortness of breath intensified. The child was admitted to the pulmonology department. During the whole month, no positive changes were noted and the phenomena of spasticity increased consistently. The child was transferred to the clinic of the St. Petersburg State Pedagogical Medical University in a serious condition.
Upon admission, there were impairments of consciousness found; the patient reacted to the examination with a short-term opening of his eyes. The child did not fix the gaze and did not follow the objects. He had pseudobulbar disorders (impaired swallowing and sucking). The tone was significantly increased in the extensor muscle groups of extremities. Joint movement was limited and tendon reflexes were extremely brisk. Several dysontogenic phenotypic aspects were revealed, such as a tallow, flattened face and bridge of the nose, a short nasal dorsum, a Gothic palate, and the circinate tongue. The patient had a wide and short neck and low deformed auricles. The chest was wide, with the nipple hypertelorism and diastasis of the rectus abdominis muscles. The hands were pronated and first fingers were adducted. The patient had a hydrocele and inguinoscrotal hernia on the right, pathological position of the feet. The child was examined by a geneticist and the presumptive diagnosis of Edwards syndrome or Pierre Robin’s syndrome was made.
Startle reactions to an unexpected stimulus (sound, flash of the light during photo-stimulation, touch) were noted. Generalized motor reaction (sudden startle) was accompanied by a periodical bronchospasm. The child showed paroxysmal states, such as apnea, myoclonus, and episodes that resembled focal motor seizures, as well as episodes of bronchospasm during the case follow-up. The video electroencephalogram was monitored over time; however, the data did not support the hypothesis that the paroxysms were caused by epilepsy (Fig. 1).
Fig. 1. Ictal electroencefalogpam of a child at the age of 3 months. A myographic artifact is registered. There are no epileptic changes
Рис. 1. Иктальная электроэнцефалограмма ребенка в возрасте 3 мес. Регистрируется миографический артефакт. Эпилептических изменений нет
At the age of three months, an MRI of the brain revealed symptoms of delayed myelination, including an increase in the magnetic resonance signal of the posterior parts of the globus pallidus on both sides (Fig. 2).
Fig. 2. Magnetic resonance imaging of a patient at the age of 3 months. Axial sections, T1 VI, T2 VI, Flair. The signs of delayed myelination, were found to be symmetrical at the level of the perirolandic region. The architectonics of the furrows and convolutions have not been changed
Рис. 2. Магнитно-резонансная томограмма пациента в возрасте 3 мес. Аксиальные срезы, Т1ВИ, Т2 ВИ, Flair. Выявлены признаки задержки миелинизации, симметричные на уровне перироландической области. Архитектоника борозд и извилин не изменена
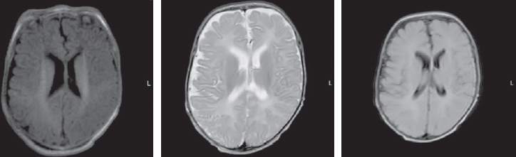
The child’s condition remained critical, with impaired consciousness, extension contractures in the elbow and knee joints, and non-epileptic paroxysmal states, such as bronchospasm and apnea persisting. Startle reflexes were pronounced and with any tactile stimulation, startle (generalized myoclonus) was registered. With the progression of neurological disorders, an increase in the cystic-atrophic changes was noted and hydrocephalus was formed. The data of MRI over a time, performed at the age of four months, are presented in Fig. 3.
Fig. 3. Magnetic resonance imaging of a patient at the age of 4 months. Axial sections, T1 VI, T2 VI, Flair. There is a negative dynamics in the form of cystic-atrophic changes in the large hemispheres of the brain with the formation of atrophic hydrocephalus. The appearance of symmetrical subshell clusters in the form of subdural hygromas
Рис. 3. Магнитно-резонансная томограмма пациента в возрасте 4 мес. Аксиальные срезы, Т1ВИ, Т2 ВИ, Flair. Наблюдается отрицательная динамика в виде кистозно-атрофических изменений в больших полушариях головного мозга с формированием атрофической гидроцефалии. Появление симметричных подоболочечных скоплений в виде субдуральных гигром
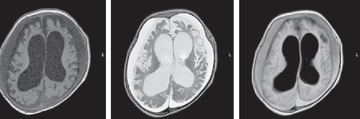
The MRI, performed at seven months of child’s age, revealed a moderate increase in the severity of atrophic changes. Bilateral cystic encephalomalacia of the cerebral hemispheres as well as atrophic hydrocephalus with dilatation of the external and internal cerebrospinal fluid spaces occured. Bilateral chronic subdural hematomas (hygromas) progressed (Fig. 4).
Fig. 4. Magnetic resonance imaging of a patient at the age of 7 months. Axial sections, T1 VI, T2 VI, Flair. There is a bilateral cystic encephalomalacia of the large hemispheres of the brain, atrophic expansion of the external and internal liquor spaces – a moderate increase in the severity of changes. Bilateral chronic subdural hematomas (hygromas) – a moderate increase in fluid volume
Рис. 4. Магнитно-резонансная томограмма пациента в возрасте 7 мес. Аксиальные срезы, Т1ВИ, Т2 ВИ, Flair. Отмечается билатеральная кистозная энцефаломаляция больших полушарий головного мозга, атрофическое расширение наружных и внутренних ликворных пространства — умеренное нарастание степени выраженности изменений. Двусторонние хронические субдуральные гематомы (гигромы) — умеренное увеличение объема жидкости
Considering the pronounced clinical presentation of brain damage (chronic impairment of the consciousness, spasticity, hypokinesia, and HE phenomena) and an increase in the structural changes of brain, a genetic examination was performed to clarify the disease etiology. Sequencing of the exome was performed to determine the genetic damage (mutations) in the DNA that could cause hereditary disease. A mutation in the ATAD1 gene associated with type-4 HE was revealed (618011). DNA change was 10:g.89514551C>A. HE-4 is an autosomal recessive disease which has the onset in the neonatal period and whose phenotypic characteristics coincide with the data of our patient. A homo/hemizygous variant, not previously described in the literature, which leads to the emergence of a stop codon with an unclear clinical significance was revealed. To clarify the variant pathogenicity, it is recommended to examine the patient’s parents (Sanger trio sequencing).
Therefore, we present a clinical case of the “constrained” (or “rigid”) child syndrome caused by a mutation in the ATAD1 gene, which encodes thorase, AAA + adenosine triphosphatase, involved in the control of postsynaptic receptor internalization. Typical clinical signs common to all patients with this disease, such as muscle hypertension, absence of the spontaneous movements, almost complete absence of motor development, and the phenomenon of HE, were registered in this child. This phenotype is characterized by the intractable episodes, hypertension, and is caused by the biallelic mutations in the BRAT1 gene.
Conclusions
This clinical case may be of practical interest to specialists, such as neurologists, neonatologists, and pediatricians because it highlights the fact that in the presence of pathological hypertonicity with paroxysmal conditions in infants, encephalopathy caused by a mutation in the ATAD1 gene and childhood epileptic encephalopathy, which is a lethal rigidity and multifocal seizure syndrome with a similar clinical presentation, should be ruled out first.
Additional information
Author contributions. All authors confirm the compliance of their authorship with the international ICMJE criteria (all the authors made a significant contribution to the development of the concept, research, and preparation of the article. All authors have read and approved the final version before its publication).
Conflict of interest. The authors declare no conflict of interest.
Funding. The study had no external funding.
About the authors
M. Y. Fomina
Saint Petersburg State Pediatric Medical University
Author for correspondence.
Email: myfomina@mail.ru
MD, Dr. Sci. (Med.), Professor, Department of Psychoneurology AF and DPO
Russian Federation, Saint PetersburgT. V. Melashenko
Saint Petersburg State Pediatric Medical University
Email: melashenkotat@mail.ru
MD, Cand. Sci. (Med.), Resident doctor, Perinatal Сenter. Department of Intensive Care and Neonatal Intensive Care
Russian Federation, Saint PetersburgA. B. Palchik
Saint Petersburg State Pediatric Medical University
Email: Axander57@mail.ru
MD, Dr. Sci. (Med.), Professor, Department of Neonatology with courses of neurology and obstetrics-gynecology of FP and DPO
Russian Federation, Saint PetersburgO. I. Pavlova
Saint Petersburg State Pediatric Medical University
Email: eegenmg@mail.ru
Resident doctor, Department of functional diagnostics
Russian Federation, Saint PetersburgD. A. Malekov
Saint Petersburg State Pediatric Medical University
Email: d.a.malekov@gmail.com
Resident doctor, Department of Radiation Diagnostics
Russian Federation, Saint PetersburgReferences
- Ivanov DO, Atlasov VO, Bobrov SA, et al.; Sev-Zap. Federal’nyj med. issled. centr im. Almazova VA; In-t Perinatologii i Pediatrii. Rukovodstvo po perinatologii. Ivanova DO, editor. Saint Petersburg: Inform-Navigator; 2015. 1214 p. (In Russ.)
- Pal’chik AB, Ponyatishin AE. Neepilepticheskie paroksizmy u grudnyh detej. Moscow: MEDprecs-inform; 2015. 136 p. (In Russ.)
- Pal’chik AB, Ponyatishin AE, Privorotskaya VV. Non-epileptic paroxysms in children: structure and phenomenology. Special education. 2017;(4):129–140. (In Russ.)
- Fomina MYU, Melashenko TV, Pavlova OI. Neonatal convulsions in full-term newborns: clinical and electrophysiological features. Pediatrician. 2018;9(5): 13–20. (In Russ.) doi: 10.17816/PED9513-20
- Andrew M, Owen MJ. Hyperekplexia: abnormal startle response due to glycine receptor mutations. Br J Psychiatry. 1997;170:106–108. doi: 10.1192/bjp.170.2.106
- Bunod R, Doummar D, Whalen S, et al. Congenital immobility and stiffness related to biallelic ATAD1 variants. Neurol Genet. 2020;6(6):520. doi: 10.1212/NXG.0000000000000520
- Chevre J, Berthier M, Bonneau D, et al. Hyperexplexia. Arch Pédiatr. 1995;2(5):469–472. (In French) doi: 10.1016/0929-693x(96)81184-5
- Hmami F, Wood SE, Chaouki S, et al. Neonatal hyperekplexia with homozygous p.R392H mutation in GLRA1. Epileptic Disord. 2014;16(3):354–357. doi: 10.1684/epd.2014.0663
- Li H, Yang ZX, Xue J, Qian P, Liu XY. Clinical and genetic analysis of hyperekplexia in a Chinese child and literature review. Zhonghua Er Ke Za Zhi. 2017;55(2):120–124. doi: 10.3760/cma.j.issn.0578-1310.2017.02.013
- Mine J, Taketani T, Yoshida K, Yokochi F, et al. Clinical and genetic investigation of 17 Japanese patients with hyperekplexia. Dev Med Child Neurol. 2015;57(4):372–377. doi: 10.1111/dmcn.12617
- Moriyoshi H, Hata Y, Inagaki R, et al. A pedigree of hereditary hyperekplexia. Rinsho Shinkeigaku. 2018;58(7): 435–439. doi: 10.5692/clinicalneurol.cn-001129
- Piard J, Essien Umanah GK, et al. ATAD1 encephalopathy and stiff baby syndrome: a recognizable clinical presentation. Brain. 2018;141(6): e50. doi: 10.1093/brain/awy100
- Gahlot SA, Pandey S. Hyperekplexia and other startle syndromes. Neurol Sci. 2020;416:117051. doi: 10.1016/j.jns.2020.117051
- Volpe JJ. Neurology of the Newborn. 5th Edition. Philadelphia: Saunders. Elsevier; 2008.
- Wolf NI, Zschocke J, Jakobs C, et al. ATAD1 encephalopathy and stiff baby syndrome: a recognizable clinical presentation. Brain. 2018;141(6): e49. doi: 10.1093/brain/awy095
Supplementary files









