Combination of tuberculosis of the intra thoracic lymph nodes and acute lymphoblastic leukemia in a child
- Authors: Lozovskaya M.E.1, Yarovaya Y.A.1, Vasilieva E.B.1, Klochkova L.V.1, Malysheva E.A.2, Noskova O.M.3
-
Affiliations:
- St. Petersburg State Pediatric Medical University
- Children’s TB Dispensary No. 14
- St. Petersburg City Children Infectious Diseases No. 3
- Issue: Vol 12, No 6 (2021)
- Pages: 89-96
- Section: Clinical observation
- URL: https://bakhtiniada.ru/pediatr/article/view/77801
- DOI: https://doi.org/10.17816/PED12689-96
- ID: 77801
Cite item
Full Text
Abstract
According to scientific research, malignant neoplasms in children are biomedical risk factors for the development of tuberculosis (TB). On the contrary, the occurrence of oncological disease in a child against the background of an existing tuberculous process is extremely rare. The combination of malignant neoplasm and tuberculosis creates difficulties in differential diagnosis, treatment of diseases, prevention of exacerbations and relapses. This article presents a clinical observation – the development of acute lymphoblastic leukemia (ALL) in a 6-year-old child against the background of TB of the intrathoracic lymph nodes during treatment. TB proceeded favorably despite multiple family contact in the child and resistance of Mycobacterium tuberculosis to anti-tuberculosis drugs in adult relatives of the patient. At the onset of ALL, bilateral pulmonary infiltrates and pleural effusion were observed, which were not associated with TB. Specific polychemotherapy for ALL and continued chemotherapy for TB led to the cure of two diseases. Supportive cytostatic and immunosuppressive therapy for ALL required periodic courses of anti-relapse anti-tuberculosis therapy for 5 years. After 10 years of observation, the child is healthy. Thus, the possibility of a rare in clinical practice combination of TB and ALL in children should be taken into account in the diagnosis and treatment of these diseases. During courses of immunosuppressive therapy for ALL, there is a risk of reactivation of TB. It is necessary to recommend long-term observation of such children by a phthisiatrician and an oncologist to prevent recurrence of both diseases.
Full Text
ВВЕДЕНИЕ
Туберкулез (ТБ) и онкологическое заболевание — частая сочетанная патология у взрослых, у которых рак легкого обычно развивается в результате метаплазии эпителия слизистой оболочки бронхов или участков эпителизации стенок каверн, что считается предраковыми изменениями [6, 8, 11]. У детей самым частым онкологическим заболеванием является острый лейкоз, при этом в структуре детских лейкозов доминирует острый лимфобластный лейкоз (ОЛЛ), на долю которого приходится 75–80 % случаев [3, 4, 10]. Известно, что риск ребенка заболеть туберкулезом в большой степени определяется наличием сопутствующей патологии [2, 7]. Заболеваемость туберкулезом в группе детей с онкологическими заболеваниями в 11 раз выше, чем в общей популяции этой возрастной группы [15], у детей с острым лимфобластным лейкозом в 22 раза выше, чем у остальных детей [14]. При этом в 47 % случаев активный туберкулез развивался в течение первых пяти месяцев химиотерапии лейкоза, что свидетельствует о реактивации латентной инфекции на фоне иммуносупрессии [14]. Пациенты с гематологическими злокачественными новообразованиями подвергаются повышенному риску развития туберкулеза из-за Т-клеточного иммунодефицита, связанного с заболеванием и/или его лечением [13]. В этом случае туберкулез, как правило, присоединяется к ранее возникшему онкологическому процессу. Таким образом, онкологические заболевания у детей относятся к медико-биологическим факторам риска туберкулеза [9]. Для определения риска развития туберкулеза у детей с лейкозами используют тесты in vitro, основанные на выработке интерферона-гамма клетками крови под воздействием специфичных антигенов микобактерий туберкулеза (МБТ) — Interferon-Gamma Release Assays (IGRA) тесты [5, 12]. Напротив, возникновение онкогематологического заболевания у ребенка на фоне уже существующего туберкулезного процесса является крайне редкой ситуацией, мы не обнаружили описания таких случаев в научной литературе. В связи с этим демонстрация данного клинического наблюдения представляет интерес с точки зрения как течения двух заболеваний, так и тактики дальнейшего наблюдения.
КЛИНИЧЕСКОЕ НАБЛЮДЕНИЕ
Пациент, 5 лет на момент выявления заболевания туберкулезом (2006 г. р.), житель Санкт-Петербурга. Из раннего анамнеза известно, что мальчик от первой беременности, протекавшей с угрозой прерывания на сроке 26–27 нед., преэклампсией 2-й половины. Роды на сроке 35 нед., вес 2280 г, длина 44 см, оценка по шкале Апгар 7/8 баллов.
Анамнез по туберкулезной инфекции
Привит БЦЖ в родильном доме на 5-е сутки жизни, рубчик 3 мм. Ребенок из неблагоприятных социальных и эпидемиологических условий. С возраста 1 год (2007) состоял на диспансерном наблюдении по поводу множественного семейного туберкулезного контакта. Всего в семье четверо больных туберкулезом (помимо данного ребенка): бабушка — выявлена в марте 2007 г. с диссеминированным туберкулезом легких, выделением МБТ, чувствительных только к этамбутолу и высоким дозам изониазида, умерла в апреле 2007 г.; дедушка болен с 2010 г. — инфильтративный туберкулез легких, МБТ (+), чувствительность только к парааминосалициловой кислоте (ПАСК) и капреомицину, дважды оперирован; в последующем переход в хроническую форму, с 2011 г. проживает в другом регионе; мама больна с 2010 г. — инфильтративный туберкулез легких, МБТ (–), клиническое излечение от 2011 г.; тетя больна с 2011 г. — очаговый туберкулез МБТ (–), клиническое излечение в том же году. Динамика пробы Манту с 2 ТЕ у ребенка: май 2007 г. — папула 6 мм, сентябрь 2007 г. — 17 мм, 2008 г. — 14 мм, 2010 г. — 12 мм, 2011 г. — папула 7 мм, что указывало на инфицированность МБТ с 2007 г. Проба с аллергеном туберкулезным рекомбинантным в 2011 г. — папула 10 мм. Мальчик получил курсы превентивного лечения туберкулезной инфекции: в санатории «Малютка» в 2007 и 2008 гг. препаратами изониазид и пиразинамид (170 дней). Далее амбулаторно превентивные курсы в 2009 и 2010 гг. по 2 мес.
Перенесенные и сопутствующие заболевания. С возраста 1 год часто болел острой респираторной вирусной инфекцией, обструктивным бронхитом. В возрасте двух лет была диагностирована бронхиальная астма, атопическая, бытовая сенсибилизация. Приступы 3–4 раза в год, купировались ипратропия бромидом + фенотеролом, будесонидом ингаляционно. Получал базисную терапию салметеролом + флутиказоном. В период наблюдения по туберкулезу приступов бронхиальной астмы не было. Из детских инфекций перенес ветряную оспу в 3 года.
Наследственность. У матери в детском возрасте было заболевание крови (документов нет).
Анамнез заболевания. В процессе диспансерного наблюдения по туберкулезному контакту, в связи с положительной пробой с аллергеном туберкулезным рекомбинантным, проведена впервые мультиспиральная компьютерная томография (МСКТ) органов грудной полости 22.08.2011 (рис. 1) с внутривенным контрастированием. Заключение: «В легких без очаговых и инфильтративных изменений. Выявляются лимфоузлы трахеобронхиальной группы справа (до 8 мм), трахеобронхиальной группы слева (до 7 мм), лимфатические узлы корней легких с двух сторон (до 6 мм), бифуркационной группы (до 7 мм). В структуре лимфатических узлов корней легких и вдоль промежуточного бронха множественные кальцинаты».
Рис. 1. Пациент, 5 лет. Компьютерная томография грудной клетки (туберкулез внутригрудных лимфоузлов) от 22.08.2011
Fig. 1. Patient, 5 years old. Computed tomography of the chest (tuberculosis of the intrathoracic lymph nodes), 22.08.2011
Установлен диагноз: «Туберкулез внутригрудных лимфатических узлов бронхопульмональных, трахеобронхиальных групп с двух сторон, бифуркационной группы в фазе неполной кальцинации, МБТ (–)». Интенсивная фаза химиотерапии проведена в условиях стационара с 23.09.2011 по 21.03.2012. С учетом резистограммы источника, возраста, переносимости противотуберкулезных препаратов и характера процесса подобран индивидуальный режим химиотерапии: амикацин, изониазид, ПАСК, этамбутол. Заболевание туберкулезом протекало с умеренно выраженными симптомами интоксикации: бледность, периорбитальный цианоз, периферический микрополиаденит. Физическое развитие: 4-е центильные коридоры по массе тела и росту. Клинический анализ крови при поступлении в стационар: гемоглобин (Нb) — 121 г/л, эритроциты (Er) — 4,2 · 1012/л, лейкоциты (L) — 7,2 · 109/л, палочкоядерные нейтрофилы (п/я) — 2 %, сегментоядерные нейтрофилы (с/я) — 36 %, моноциты (мон.) — 4 %, эзинофилы (эоз.) — 15 %, лимфоциты (лимф.) — 42 %, базофилы (баз.) — 1 %, скорость оседания эритроцитов (СОЭ) — 4 мм/ч. Биохимические показатели в пределах нормы. Анализ мочи — в норме. Ультразвуковое исследование органов брюшной полости без патологии. Фибробронхоскопия: «Слизистая оболочка трахеи и бронхов без воспалительных изменений. Рубцовые изменения на стенке верхнедолевого бронха слева». Исследования мокроты, промывных вод бронхов на МБТ отрицательны. На фоне проводимого лечения получена положительная динамика: исчезновение интоксикационного синдрома, прибавка массы тела (2,6 кг). Контрольная МСКТ от 20.02.2012, заключение: «Положительная динамика в виде уменьшения внутригрудных лимфоузлов, нарастания кальцинации». Выписан 23 марта 2012 г. из стационара на амбулаторное лечение, от санаторного лечения отказался. Основной курс лечения к моменту выписки составил 6 мес. Клинический анализ крови при выписке, 20.03.2012: Нb — 137 г/л, L — 7,4 · 109/л, тромбоциты (Tr) — 214 · 109/л, п/я — 1 %, с/я — 49 %, мон. — 3 %, эоз. — 3 %, лимф. — 43 %, мон. — 4 %, СОЭ — 6 мм/ч. Фазу продолжения противотуберкулезной химиотерапии проводили двумя противотуберкулезными препаратами (изониазид + этамбутол) в противотуберкулезном диспансере. Переносимость лечения была хорошей. Последнее посещение диспансера перед ухудшением состояния 23.04.2012, был выполнен клинический анализ крови: Нb — 129 г/л, L — 5,5 · 109 /л, п/я — 0, с/я — 48 %, эоз. — 5 %, лимф. — 43 %, мон. — 4 %, СОЭ — 16 мм/ч. Ребенок жалоб не предъявлял, при осмотре патологии не выявлено.
Резкое ухудшение состояния с середины мая 2012 г., когда появились боли в животе, бледность кожных покровов, лихорадка до фебрильных цифр. Обратились в поликлинику 23.05.2012, состояние расценено как острая респираторная вирусная инфекция, от госпитализации отказался. Выполнена обзорная рентгенограмма органов грудной полости — без патологии. Мама пациента из-за болей в животе у ребенка самостоятельно приняла решение о прекращении им приема противотуберкулезных препаратов. 30.05.2012 в связи с дальнейшим ухудшением состояния мальчик госпитализирован в Детскую инфекционную больницу № 5 с диагнозом «Инфекционный мононуклеоз?», откуда переведен в отделение химиотерапии лейкозов Детской городской больницы № 1.
При поступлении в гематологическое отделение: состояние тяжелое. Жалобы на боли в животе, слабость, отсутствие аппетита, костные боли. Температура субфебрильная. Периферические лимфоузлы шейной группы, подмышечные, паховые до 1,0 см плотные, безболезненные. Живот увеличен за счет выраженной гепатоспленомегалии: печень +16 см, селезенка +14 см из-под края реберной дуги, очень плотные. Тоны сердца ясные, ритмичные 110 в минуту. Одышки нет, частота дыхания 24 в минуту, дыхание жесткое, хрипов нет. В анализе крови от 31.05.2012: Er — 3,84 · 109/л, Hb — 103 г/л, Tr — 129 · 109/л, L — 7,2 · 109/л, бласты — 27 %, п/я — 5 %, с/я — 6 %, мон. — 3 %, лимф. — 59 %, СОЭ — 43 мм/ч.
Миелограмма от 04.06.2012. Ядерность костного мозга — 250 · 109/л, бласты — 98,4 %. Иммунофенотипирование мононуклеаров костного мозга методом проточной цитометрии: ОЛЛ. Биохимия крови 04.06.2012: белок — 46 г/л, аланинаминотрансфераза — 52 Е/л, аспартатаминотрансфераза — 51 Е/л, билирубин — 11,8 мкм/л, мочевина — 2,5 мм/л, креатинин — 0,04 мм/л, мочевая кислота — 0,13 мм/л, сахар — 4,7 мм/л, Na — 135 мм/л, K — 4,52 мм/л, Са — 1,19 мм/л, лактатдегидрогеназа — 1275 Е/л.
МСКТ грудной полости 04.06.2012 (рис. 2, а, b): «КТ-картина множественных двусторонних субплевральных инфильтратов легочной ткани, двусторонний гидроторакс. Выраженная гепатоспленомегалия. Лимфоузлы средостения и корней легких стабильны, по сравнению с МСКТ от 20.02.2012 с признаками кальцинации в прежнем объеме». Исследования на МБТ мокроты, промывных вод бронхов (микроскопия, полимеразная цепная реакция, посев) отрицательны».
Рис. 2. Пациент, 6 лет. Компьютерная томография грудной клетки от 04.06.2012: множественные двусторонние субплевральные инфильтраты в легких, двусторонний гидроторакс (а — аксиальная проекция, b — фронтальная проекция)
Fig. 2. Patient, 6 years old. Computed tomography of the chest, 04.06.2012: multiple bilateral subpleural infiltrates in the lungs, bilateral hydrothorax (а – axial projection, b – frontal projection)
После консультации фтизиатра специфический характер диссеминации в легких отвергнут. В связи с возможностью прогрессирования туберкулеза 07.06.2012 возобновлена противотуберкулезная терапия тремя противотуберкулезными препаратами — изониазидом, пиразинамидом, этамбутолом.
Клинический диагноз: «Острый лимфобластный лейкоз, Common-иммунологический вариант, 1-я активная фаза». Сопутствующий: «Туберкулез внутригрудных лимфоузлов в фазе кальцинации. Бронхиальная астма, ремиссия».
С 07.06.2012 начато лечение ОЛЛ по программе ALL–MB-2008. Ребенок получал дексаметазон, винкристин, рубомицин на фоне массивной антибактериальной терапии (меропенем, амикацин, флуконазол). Отмечались осложнения: нейтропения, токсическое поражение печени, почек, полинейропатия, язвенно-эрозивное поражение пищевода с положительной динамикой на фоне проводимой терапии. Ремиссия достигнута к 36-му дню терапии ОЛЛ (12.07.2012). Миелограмма на 36-й день терапии. 12.07.12: ядерность костного мозга 40,0 · 109/л, бласты — 0,4 %. Проведены курсы консолидации 1, 2, 3. Состояние ребенка улучшилось, контрольное МСКТ-исследование легких 27.06.2012 выявило положительную динамику рассасывания инфильтративных изменений в легочной ткани, плеврального выпота. Однако в связи с появлением хрипов в легких 19.07.2012 выполнена контрольная МСКТ грудной клетки, на которой обнаружено появление множественных двусторонних очагов в легких (рис. 3).
Рис. 3. Пациент, 6 лет. Компьютерная томография грудной клетки 19.07.2012: появление множественных двусторонних очагов в верхних отделах легких
Fig. 3. Patient, 6 years old. Chest computed tomography 19.06.2012: the appearance of multiple bilateral foci in the upper lungs
20.07.12 проведена фибробронхоскопия со взятием бронхоальвеолярного лаважа (БАЛ). Исследование БАЛ на МБТ: полимеразная цепная реакция двукратно, микроскопия и посев отрицательны. Микроскопия и посев БАЛ на грибы выявили Aspergilla niger, диагностирован инвазивный аспергиллез. Проведен курс терапии противогрибковым препаратом вориконазолом с положительной динамикой клинической и лабораторной. МСКТ: контрольное обследование 21.08.2012 — без патологических изменений в легких. Всего на отделении гематологии ДГБ № 1 ребенок находился с 31.05.2012 по 06.02.2013 (с перерывами). Весь этот период мальчик наблюдался фтизиатром, получал противотуберкулезную терапию: изониазид (с 08.06.2012 по 25.10.2012), пиразинамид (с 08.06.2012 через день по 25.10.2012), этамбутол (08.06.2012–23.07.2012 через день), ПАСК (24.07.2012–28.10.2012). 25.10.2012 установлено клиническое излечение туберкулеза, перевод в группу III-Б диспансерного учета.
Поддерживающая терапия ОЛЛ проведена с 06.02.2013 по 19.08.2014 (назначены курсы метатрексата, дексаметазона), у ребенка констатирована стойкая ремиссия лейкоза. На фоне иммуносупрессивной терапии отмечались транзиторные изменения со стороны анализов крови (анемия, лейкопения, тромбоцитопения) от 12.03.2014: Er — 3,75 · 109/л, Hb — 105 г/л, Tr — 142 · 109/л, L — 2,9 · 109/л, п/я — 4 %, с/я — 41 %, мон. — 5 %, эоз. — 5 %, лимф. — 45 %, СОЭ — 16 мм/ч, с последующей нормализацией. В остальном состояние ребенка без патологических изменений. Курсы противотуберкулезной химиотерапии двумя препаратами (изониазид + пиразинамид и изониазид + ПАСК) проводили в периоды иммуносупрессивной терапии. Поддерживающая терапия ОЛЛ прекращена с 2015 г. Противорецидивное лечение туберкулеза продолжал в 2014 и 2015 гг. в летний период в санатории «Петродворец» (режим химиотерапии изониазид + пиразинамид). После 2016 г. курсов противотуберкулезной химиотерапии не получал, но контроль в противотуберкулезном диспансере был продолжен. Особенность контрольной иммунодиагностики туберкулеза состояла в следующем. В связи с медотводом гематолога с момента заболевания ОЛЛ в 2012–2014 гг. кожные иммунологические пробы не проводили. В 2013 и 2014 гг. проведен in vitro IGRA-тест — T-SPOT.TB, результат положительный. В 2015 г. проба Манту с 2 ТЕ: папула 17 мм, проба с аллергеном туберкулезным рекомбинантным — 20 мм. В связи с выраженной местной реакцией мать мальчика отказалась от дальнейшего проведения кожных проб. МСКТ органов грудной полости 2013, 2014, 2015 гг.: «Очаговых и инфильтративных изменений не выявлено. Изменения во всех группах внутригрудных лимфатических узлов стабильны, их размеры и степень кальцификации не нарастают». Последнее обследование в противотуберкулезном диспансере проведено в 2018 г. Ребенку было 12 лет, здоров. Туберкулезный контакт отсутствует (мать и тетя — клиническое излечение, дедушка переехал в другой регион). T-SPOT.TB — положительный. Обзорная рентгенограмма органов грудной полости — патологии не выявлено (рис. 4).
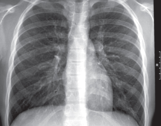
Рис. 4. Пациент, 12 лет. Обзорная рентгенограмма органов грудной клетки 16.08.2018 (6 лет наблюдения). Патологии не выявлено
Fig. 4. Patient, 12 years old. Plain X-ray of the chest organs 16.08.2018 (6 years of observation). No pathology was revealed
Клинический анализ крови — без патологии. Наблюдение в противотуберкулезном диспансере было завершено в 2018 г., в дальнейшем до настоящего времени наблюдается детской поликлиникой, здоров.
ОБСУЖДЕНИЕ И ЗАКЛЮЧЕНИЕ
Приведенный клинический случай представляет редкое наблюдение развития ОЛЛ у ребенка на фоне лечения ТБ внутригрудных лимфоузлов. Особенностью туберкулезного процесса стала тенденция к заживлению, несмотря на множественный туберкулезный контакт, лекарственную устойчивость МБТ у больных туберкулезом взрослых родственников, что свидетельствует о достаточно стойком противотуберкулезном иммунитете у ребенка. Причинно-следственной связи между ТБ и ОЛЛ в данном случае не просматривается, туберкулез хронологически был первым заболеванием. На этапе диагностики лейкоза возникла необходимость исключения обострения туберкулезного процесса, поскольку у ребенка появились множественные участки инфильтрации в легочной ткани и плевральный выпот. Наиболее вероятными причинами этих изменений были лейкозная инфильтрация легких, которая наблюдается у 60–90 % больных острым лейкозом [1], и неспецифическая (инфекционная) пневмония. На этапе терапии ОЛЛ вновь потребовалось исключение реактивации туберкулезного процесса в связи с появлением множественных двусторонних очагов в легких. Отсутствие МБТ в патологическом материале и обнаружение A. niger позволило трактовать процесс как инвазивный аспергиллез на фоне снижения иммунологической реактивности организма при остром лейкозе. Быстрое рассасывание изменений в легких на фоне цитостатической и антибактериальной терапии, а затем антимикотической терапии подтвердило отсутствие прогрессирования ТБ. В дальнейшем на всех этапах лечения ОЛЛ ребенок получал «фтизиатрическое сопровождение» в виде продолжения основного курса противотуберкулезной терапии и противорецидивных курсов. Общий срок наблюдения ребенка в настоящее время составляет 10 лет от момента выявления ТБ и 9 лет от дебюта ОЛЛ. Таким образом, совместное наблюдение и лечение ребенка онкологами и фтизиатрами позволило добиться стойкого излечения мальчика, несмотря на серьезный прогноз по обоим взаимно отягощающим заболеваниям. Данный пример свидетельствует о необходимости онкологической настороженности детских фтизиатров, а также детских онкологов в отношении туберкулеза, поскольку возможно сочетание двух заболеваний: туберкулеза и лейкоза.
ДОПОЛНИТЕЛЬНАЯ ИНФОРМАЦИЯ
Вклад авторов. Все авторы подтверждают соответствие своего авторства международным критериям ICMJE (все авторы внесли существенный вклад в разработку концепции, проведение исследования и подготовку статьи, прочли и одобрили финальную версию перед публикацией).
Конфликт интересов. Авторы декларируют отсутствие явных и потенциальных конфликтов интересов, связанных с публикацией настоящей статьи.
Источник финансирования. Авторы заявляют об отсутствии внешнего финансирования при проведении исследования.
Информированное согласие на публикацию. Авторы получили письменное согласие законных представителей пациента на публикацию медицинских данных и фотографий.
About the authors
Marina E. Lozovskaya
St. Petersburg State Pediatric Medical University
Email: lozovskaja-marina@rambler.ru
Dr. Sci. (Med.), Professor, Head of Departmet of Phthisiatry
Russian Federation, Saint PetersburgYulia A. Yarovaya
St. Petersburg State Pediatric Medical University
Email: julia_yarovaya@mail.ru
Cand. Sci. (Med.), Associate Professor of Department of Phthisiatry
Russian Federation, Saint PetersburgElena B. Vasilieva
St. Petersburg State Pediatric Medical University
Email: helenchern27@mail.ru
Cand. Sci. (Med.), Associate Professor of Department of Phthisiatry
Russian Federation, Saint PetersburgLudmila V. Klochkova
St. Petersburg State Pediatric Medical University
Email: lklochkova@yahoo.com
Cand. Sci. (Med.), Associate Professor, Department of Phthisiatry
Russian Federation, Saint PetersburgElena A. Malysheva
Children’s TB Dispensary No. 14
Email: ptd14@zdrav.spb.ru
Phthisiatrician of Pediatric Department
Russian Federation, Saint PetersburgOlga M. Noskova
St. Petersburg City Children Infectious Diseases No. 3
Author for correspondence.
Email: dib_3@mail.ru
Head of Tuberculosis Department No. 5
Russian Federation, Saint PetersburgReferences
- Aryaev NL, Kotova NV, Starec EA, et al. Detskaya pul’monologiya. Kiev: Zdorov´ya; 2005. 607 p. (In Russ.)
- Vasil’eva EB, Klochkova LV, Korol’ OI, et al. Tuberkulez u detej i podrostkov: Rukovodstvo. Saint Petersburg: Piter; 2005. 424 p. (In Russ.)
- Imyanitov EN, Hanson KP. Molekulyarnaya onkologiya: klinicheskie aspekty. Saint Petersburg: SPbMAPO; 2007. 213 p. (In Russ.)
- Kaznatcheev KS. Complicated questions of early diagnostics of acute leukemia at children. Vestnik NGU. Seriya: Biologiya, Klinicheskaya Medicina. 2011;9(2):211–214. (In Russ.)
- Lozovskaya ME, Belushkov VV, Gurina OP, et al. Comparative Evaluation Of Innovative Diagnostic Tests For Latent And Active TB Infection In Children. Pediatrician (St. Petersburg). 2014;5(3):46–50. (In Russ.) doi: 10.17816/PED5346-50
- Lozovskaya ME, Zaharova OP, Udal’cova EN. Tuberkulez u podrostkov v sovremennykh usloviyakh. Medicine: Theory and Practice. 2019;4(S):319–320. (In Russ.)
- Lozovskaya ME, Nikiforenko NA, Klochkova LV, et al. Clinical and epidemiological features of tuberculosis in young children in Saint Petersburg. Pediatrician (St. Petersburg). 2018;9(5):5–12. (In Russ.) doi: 10.17816/PED955-12
- Malysheva OK, Shniguer NU, Molodyk AA. Detection of oncological risk groups in infiltrative lung tuberculosis patients. Pulmonologiya. 2000;(1):19–23. (In Russ.)
- Panova LV, Ovsyankina ES, Khiteva AYu, et al. Oncological diseases as one of the problems of differential diagnosis in a tuberculosis hospital for children and adolescents. Pediatrics Journal named after G.N. Speransky. 2020;99(4):275–278. (In Russ.)
- Roitman EI, Sukhov VA, Miroshnichenko OM, Parfeeva EA. Prolonged remission in a child with acute lymphoblastic leukemia. Vestnik NovSU. 2016;97(6):58–62. (In Russ.)
- Sadovnikov AA, Panchenko KI. Rak legkogo na pochve ostatochnykh yavlenii posle perenesennogo tuberkuleza. Russian Journal of Thoracic and Cardiovascular Surgery. 2001;1:51–57. (In Russ.)
- Carvalho AC, Schumacher RF, Bigoni S, Soncini E. Contact investigation based on serial interferon-gamma release assays (IGRA) in children from the hematology-oncology ward after exposure to a patient with pulmonary tuberculosis. Infection. 2013;41(4):827–831. doi: 10.1007/s15010-013-0450-y
- Silva FA, Matos JO, de Q Mello FC, Nucci M. Risk factors for and attributable mortality from tuberculosis in patients with hematologic malignances. Haematologica. 2005;90(8):1110–1115.
- Stefan DC, Kruis AL, Schaaf HS, Wessels G. Tuberculosis in oncology patients. Ann Trop Paediatr. 2008;28(2): 111–116. doi: 10.1179/146532808X302125
- Wessels G., Hesseling P.B., Gie R.P., Nel E. The increased risk of developing tuberculosis in children with malignancy. Ann Trop Paediatr. 1992;12(3): 277–281. doi: 10.1080/02724936.1992.11747585
Supplementary files





