Особенности электрофизиологической активности у новорожденного с тяжелым постгипоксическим повреждением головного мозга (постгипоксической церебральной депрессией)
- Авторы: Мелашенко Т.В.1, Фомина М.Ю.1, Пальчик А.Б.1, Павлова О.И.1
-
Учреждения:
- ФГБОУ ВО «Санкт-Петербургский государственный педиатрический медицинский университет» Минздрава России
- Выпуск: Том 11, № 6 (2020)
- Страницы: 13-20
- Раздел: Оригинальные статьи
- URL: https://bakhtiniada.ru/pediatr/article/view/64733
- DOI: https://doi.org/10.17816/PED11613-20
- ID: 64733
Цитировать
Аннотация
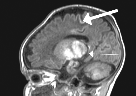
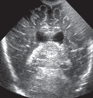
В статье кратко приведены литературные данные и описание клинического динамического наблюдения пациента с тяжелым гипоксическим повреждением головного мозга (от неонатального периода до 4-го месяца жизни) в условиях отделения реанимации и интенсивной терапии новорожденных. Представлены описание клинической картины, особенности пароксизмальных состояний и антиэпилептической терапии, динамика данных нейровизуализации, электроэнцефалографических феноменов, регистрируемых у пациента с церебральной депрессией и структурными церебральными повреждениями. Показана значимость электроэнцефалографического исследования в условиях отделения реанимации как информативного метода оценки церебральной активности у детей раннего возраста с синдромом угнетения центральной нервной системы. Дезорганизация фоновой активности, свидетельствующая о структурных церебральных повреждениях, длительное персистирование медленноволновой активности, выявление эпилептических изменений в виде генерализованных вспышек заостренных волн в диапазоне тета, паттерн альфа-комы, впоследствии сменившийся супрессией фонового паттерна у пациента, являются типичными электрофизиологическими нарушениями, регистрирующимися при тяжелой гипоксической энцефалопатии. В условиях ограничения возможностей визуальной диагностики пациента с нарушением сознания электроэнцефалография остается единственным методом получения информации о функциональном состоянии головного мозга, а данные, полученные при исследовании, — важным прогностическим критерием.
Полный текст
Открыть статью на сайте журналаОб авторах
Татьяна Владимировна Мелашенко
ФГБОУ ВО «Санкт-Петербургский государственный педиатрический медицинский университет» Минздрава России
Автор, ответственный за переписку.
Email: melashenkotat@mail.ru
Кандидат мед. наук, ординатор Отделения реанимации и интенсивной терапии новорожденных
Россия, Санкт-ПетербургМария Юрьевна Фомина
ФГБОУ ВО «Санкт-Петербургский государственный педиатрический медицинский университет» Минздрава России
Email: myfomina@mail.ru
Доктор мед. наук, профессор, кафедра неонатологии с курсами неврологии и акушерства-гинекологии ФП и ДПО
Россия, Санкт-ПетербургАлександр Бейнусович Пальчик
ФГБОУ ВО «Санкт-Петербургский государственный педиатрический медицинский университет» Минздрава России
Email: xander57@mail.ru
Доктор мед. наук, профессор, кафедра неонатологии с курсами неврологии и акушерства-гинекологии ФП и ДПО
Россия, Санкт-ПетербургОльга Ивановна Павлова
ФГБОУ ВО «Санкт-Петербургский государственный педиатрический медицинский университет» Минздрава России
Email: eegenmg@mail.ru
Ординатор, Отделение функциональной диагностики
Россия, Санкт-ПетербургСписок литературы
- Жирмунская Е.А. Клиническая электроэнцефалография (обзор литературы и перспективы использования метода). – М.: Мэйби, 1991. – 118 с. [Zhirmunskaja EA. Klinicheskaya ehlektroehntsefalografiya (obzor literatury i perspektivy ispol’zovaniya metoda). Moscow: Mehibi; 1991. 118 p. (In Russ.)]
- Мелашенко Т.В., Фомина М.Ю. Изменения электробиологической активности головного мозга у доношенных новорожденных с гипоксически-ишемической энцефалопатией // Педиатр. – 2020. – Т. 11. – № 2. – C. 73–84. [Melashenko TV, Fomina MYu. Changes in the electrobiological activity of the brain in full-term newborns with hypoxic-ischemic encephalopathy. Pediatrician (St. Petersburg). 2020;11(2):73-84. (In Russ.)] https://doi.org/10.17816/PED11273-84.
- Мелашенко Т.В., Фомина М.Ю., Павлова О.И. Особенности межиктальной электрической активности головного мозга у доношенных новорожденных с судорожным синдромом при церебральной ишемии // Нейрохирургия и неврология детского возраста. – 2018. – № 3(57). – С 8–14. [Melashenko TV, Fomina MYu, Pavlova OI. Features of interictal brain activity in term infants with convulsive syndrome in cerebral ischemia. Neurosurgery and neurology of childhood. 2018;3(57):8-14. (In Russ.)]
- Понятишин А.Е., Пальчик А.Б. Электроэнцефалография в неонатальной неврологии. – Санкт-Петербург: Сотис, 2010. – 172 c. [Ponjatishin AE, Pal’chik AB. Ehlektroehntsefalografiya v neonatal’noi nevrologii. Saint Petersburg: Sotis; 2010. 172 p. (In Russ).]
- Фомина М.Ю., Мелашенко Т.В., Павлова О.И. Неонатальные судороги у доношенных новорожденных: клинико-электрофизиологические особенности // Педиатр. – 2018. – Т. 9. – № 5. – C. 13–20. [Fomina MY, MeLashenko TV, Pavlova OI. Neonatal seizures in term infants: clinical and electrophysiological features. Pediatrician (St. Petersburg). 2018;9(5):13-20 (In Russ.)] https://doi.org/10.17816/PED9513-20.
- Bauer G, Trinka E, Koplan PW. EEG patterns in hypoxic encephalopathies (post-cardiac arrest syndrome): fluctuations, transitions, and reactions. J Clin Neurophysiol. 2013;30(5):477-489. https://doi.org/10.1097/wnp.0b013e3182a73e47.
- Hagberg H, Edwards AD, Groenendaal F. Perinatal brain damage: The term infant. Neurobiol Dis. 2016;92(Pt A):102-112. https://doi.org/10.1016/j.nbd.2015.09.011.
- Simon RP, Aminoff MJ. Electrographic status epilepticus in fatal anoxic coma. Ann Neurol. 1986;20(3):351-355. https://doi.org/10.1002/ana.410200313.
- Westmoreland B, Klass DW, Sharbrough FW, Reagan TJ. Alpha-coma: electroencephalographic, clinical, pathologic and etiological correlations. Arch Neurol. 1975;32(11):713-718. https://doi.org/10.1001/archneur.1975.00490530035001.
- Wilson JA, Nordal HJ. EEG ved coma. Tidsskr Nor Legeforen. 2013;133(1):53-57. (In Norwegian.) https://doi.org/10.4045/tidsskr.11.1432.
- Wusthoff CJ, Sullivan S, Glass HC, et al. Interrater Agreement in the Interpretation of Neonatal Electroencephalography in Hypoxic Ischemic Encephalopathy. Epilepsia. 2017;58(3):429-435. https://doi.org/10.1111/epi.13661.
- Volpe J, Inder T, Darras B, et al. Volpe’s Neurology of the Newborn. 6th Edn. Elеsivier; 2017.
- Young GB, McLachlan RS, Kreeft JH, DeMelo JD. An electroencephalographic classification system for coma. Can J Neurol Sci. 1997;24(4):320-325. https://doi.org/10.1017/S0317167100032996.
- Young G.B. The EEG in Coma. J of Clin Neurophysiol. 2000;17(5):473-485. https://doi.org/10.1097/ 00004691-200009000-00006.
Дополнительные файлы











