Ранняя хирургическая коррекция инфекционного эндокардита митрального клапана у 16-летней пациентки
- Авторы: Бадуров Р.Б.1, Шихвердиев Н.Н.1, Корнишина Т.Л.1, Иванилова А.А.1, Новак М.Ю.1
-
Учреждения:
- Федеральное государственное бюджетное образовательное учреждение высшего образования «Санкт-Петербургский государственный педиатрический медицинский университет» Министерства здравоохранения Российской Федерации
- Выпуск: Том 11, № 3 (2020)
- Страницы: 119-124
- Раздел: Клинический случай
- URL: https://bakhtiniada.ru/pediatr/article/view/42543
- DOI: https://doi.org/10.17816/PED113119-124
- ID: 42543
Цитировать
Аннотация
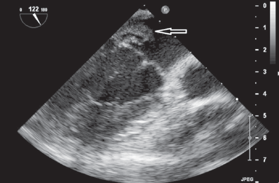
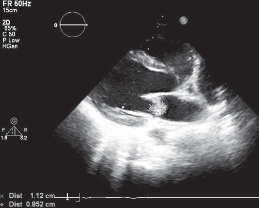
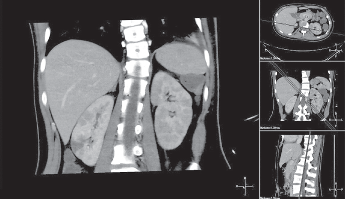
Оптимальные сроки операции на клапанах сердца у пациентов с активным инфекционным эндокардитом (ИЭ) до сих пор остаются спорными. Общеизвестно, что наиболее частой причиной смерти больных с левосторонним ИЭ является системная тромбоэмболия, поражающая церебральные, коронарные или почечные сосуды, которая может развиться еще до появления клинических проявлений поражения клапанного аппарата сердца. В настоящее время раннее хирургическое вмешательство рассматривается как наиболее эффективный метод лечения большинства форм активного ИЭ с поражением левых отделов сердца, которое подразумевает под собой выполнение хирургической коррекции еще до завершения полного терапевтического курса антибиотиков. Представляется клинический случай раннего успешного хирургического лечения инфекционного эндокардита митрального клапана (МК) у пациентки А., 16 лет. Заболевание протекало остро, с рецидивирующими эмболиями, повлекшими за собой инфаркт правой почки, а также остеомиелит левой ключицы. Хирургическое вмешательство производилось в срочном порядке из правосторонней переднебоковой торакотомии. Операция была проведена на 4-е сутки от момента госпитализации в кардиохирургический стационар. Однако потеря времени на догоспитальном этапе лечения, стремительное развитие грубых деструктивных изменений на МК, к сожалению, не позволили выполнить реконструктивное вмешательство. Произведено протезирование МК. Течение послеоперационного периода гладкое, на 3 сутки девочка была переведена в общесоматическое отделение. При контрольной эхокардиографии через 3 года сократительная функция миокарда сохранена, фракция выброса 65 %, функция протеза не нарушена.
Ключевые слова
Полный текст
Открыть статью на сайте журналаОб авторах
Руслан Бекирович Бадуров
Федеральное государственное бюджетное образовательное учреждение высшего образования «Санкт-Петербургский государственный педиатрический медицинский университет» Министерства здравоохранения Российской Федерации
Автор, ответственный за переписку.
Email: badurov.r@gmail.com
канд. мед. наук, доцент, кафедра сердечно-сосудистой хирургии
Россия, Санкт-ПетербургНазим Низамович Шихвердиев
Федеральное государственное бюджетное образовательное учреждение высшего образования «Санкт-Петербургский государственный педиатрический медицинский университет» Министерства здравоохранения Российской Федерации
Email: nazniz@mail.ru
д-р мед. наук, профессор, кафедра сердечно-сосудистой хирургии
Россия, Санкт-ПетербургТатьяна Леонидовна Корнишина
Федеральное государственное бюджетное образовательное учреждение высшего образования «Санкт-Петербургский государственный педиатрический медицинский университет» Министерства здравоохранения Российской Федерации
Email: tk.06@mail.ru
ассистент, кафедра госпитальной педиатрии
Россия, Санкт-ПетербургАлина Андреевна Иванилова
Федеральное государственное бюджетное образовательное учреждение высшего образования «Санкт-Петербургский государственный педиатрический медицинский университет» Министерства здравоохранения Российской Федерации
Email: iv.alina@bk.ru
студентка 4-го курса, кафедра сердечно-сосудистой хирургии
Россия, Санкт-ПетербургМария Юрьевна Новак
Федеральное государственное бюджетное образовательное учреждение высшего образования «Санкт-Петербургский государственный педиатрический медицинский университет» Министерства здравоохранения Российской Федерации
Email: marylovepeace@mail.ru
ассистент, кафедра сердечно-сосудистой хирургии
Россия, Санкт-ПетербургСписок литературы
- Марченко С.П. Реконструктивная хирургия атриовентрикулярных клапанов сердца: Автореф. дис. … д-ра мед. наук. – СПб., 2008. – 47 с. [Marchenko SP. Rekonstruktivnaya khirurgiya atrioventrikulyarnykh klapanov serdtsa. [dissertation] Saint Petersburg; 2008. 47 p. (In Russ.)]
- Шевченко Ю.Л. Хирургическое лечение инфекционного эндокардита. – СПб.: Наука, 1995. – 230 с. [Shevchenko YuL. Khirurgicheskoe lechenie infektsionnogo endokardita. Saint Petersburg: Nauka; 1995. 230 p. (In Russ.)]
- Шихвердиев Н.Н., Хубулава Г.Г., Марченко С.П. Клапансохраняющие оперативные вмешательства в хирургии митральных пороков инфекционной этиологии: показания и варианты коррекции // Вестник аритмологии. – 2004. – Т. 35. – № S2. – C. 166. [Shikhverdiev NN, Khubulava GG, Marchenko SP. Klapansokhranyayushchie operativnye vmeshatel’stva v khirurgii mitral’nykh porokov infektsionnoy etiologii: pokazaniya i varianty korrektsii Journal of arrhythmology. 2004;35(S2):166. (In Russ.)]
- Шихвердиев Н.Н., Хубулава Г.Г., Марченко С.П., Аскеров М.А. Реконструктивные вмешательства на митральном клапане: варианты коррекции, непосредственные и отдаленные результаты // Артериальная гипертензия. – 2008. – Т. 14. – № 1. – С. 91–96. [Shikhverdiev NN, Khubulava GG, Marchenko SP, Askerov MA. Mitral valverepair: types of correction, immediateand long-term results. Arterialnaia gipertenziia. 2008;14(1):91-96. (In Russ.)]
- Davierwala PM, Marin-Cuartas M, Misfeld M, Borger MA. The value of an “Endocarditis Team”. Ann Cardiothorac Surg. 2019;8(6):621-629. https://doi.org/10.21037/acs.2019.09.03.
- Kang DH, Kim YJ, Kim SH, et al. Early Surgery versus Conventional Treatment for Infective Endocarditis. N Engl J Med. 2012;366(26):2466-2473. https://doi.org/10.1056/NEJMoa1112843.
- Lalani T, Cabell CH, Benjamin DK, et al. Analysis of the Impact of Early Surgery on In-Hospital Mortality of Native Valve Endocarditis. Use of Propensity Score and Instrumental Variable Methods to Adjust for Treatment-Selection Bias. Circulation. 2010;121:1005-1013. https://doi.org/10.1161/CIRCULATIONAHA.109.864488.
- Liang F, Song B, Liu R, et al. Optimal timing for early surgery in infective endocarditis: a meta-analysis. Interact Cardiovasc Thorac Surg. 2016;22(3):336-345. https://doi.org/10.1093/icvts/ivv368.
- Nishimura RA, Otto CM, Bonow RO, et al. 2017 AHA/ACC Focused Update of the 2014 AHA/ACC Guideline for the Management of Patients with Valvular Heart Disease. J Am Coll Cardiol. 2017;70(2):252-289. https://doi.org/10.1016/j.jacc.2017.03.011.
- Pettersson GB, Hussain ST. Current AATS guidelines on surgical treatment of infective endocarditis. Ann Cardiothorac Surg. 2019;8(6):630-644. https://doi.org/10.21037/acs.2019.10.05.
- Shang E, Forrest GN, Chizmar T, et al. Mitral Valve Infective Endocarditis: Benefit of Early Operation and Aggressive Use of Repair. Ann Thorac Surg. 2009;87(6):1728-1733. https://doi.org/10.1016/j.athoracsur.2009.02.098.
- Wang, A. Statement from the International Collaboration on Endocarditis on the current status of surgical outcome in infective endocarditis. Ann Cardiothorac Surg. 2019;8(6):678-680. https://doi.org/10.21037/acs.2019.05.19.
Дополнительные файлы










