Эндобронхиальное введение сурфактанта у доношенного новорожденного с респираторным дистресс-синдромом (клинический случай)
- Авторы: Иванов Д.О.1, Кирьяков К.С.1, Пшениснов К.В.1, Тесаева И.А.2, Насипова М.У.2, Сизаева Е.А.3, Габисов А.Т.1
-
Учреждения:
- Санкт-Петербургский государственный педиатрический медицинский университет
- Республиканский перинатальный центр Чеченской Республики
- Детская городская больница № 17 Святителя Николая Чудотворца
- Выпуск: Том 13, № 6 (2022)
- Страницы: 107-115
- Раздел: Клинический случай
- URL: https://bakhtiniada.ru/pediatr/article/view/133046
- DOI: https://doi.org/10.17816/PED136107-115
- ID: 133046
Цитировать
Аннотация
Респираторный дистресс-синдром новорожденных — основная причина острой дыхательной недостаточности в неонатальном периоде. Несмотря на достигнутые успехи и существующие международные рекомендации, в ряде случаев имеет место тяжелое течение данного заболевания, что требует персонифицированного подхода к пациенту и мероприятиям интенсивной терапии.
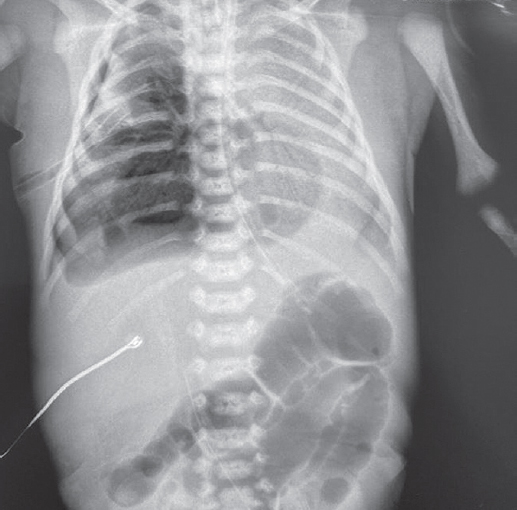
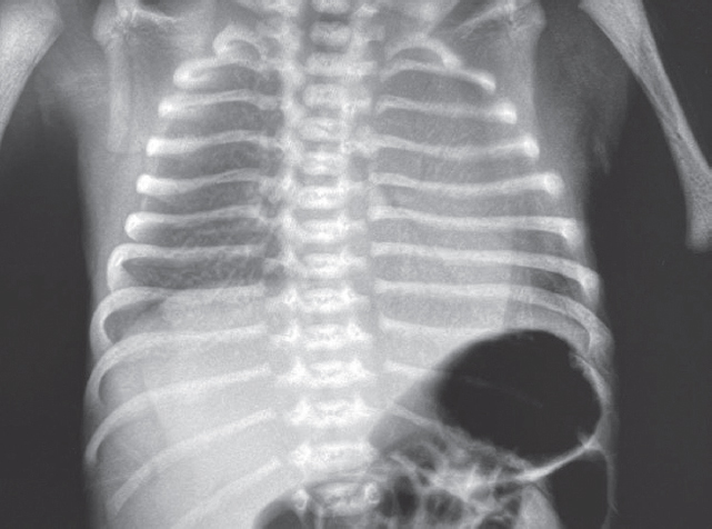
В статье представлен случай успешного лечения острого респираторного дистресс-синдрома у доношенного новорожденного, осложнившегося баротравмой легких, с применением монобронхиального введения экзогенного сурфактанта под рентгенологическим контролем. С целью оценки течения заболевания и эффективности лечения проведен ретроспективный анализ медицинской документации. С первых минут жизни у ребенка отмечались дыхательные расстройства, что стало основанием для проведения неинвазивной искусственной вентиляции легких. В динамике выявлено прогрессирование гиперкапнии и гипоксемии, в связи с чем была выполнена интубация трахеи и начата конвекциональная искусственная вентиляция легких с FiO2 = 1,0. Ключевой элемент терапии, позволивший достичь стабилизации состояния и регрессирования нарушений газообмена с полным выздоровлением пациента, — монобронхиальное введение экзогенного сурфактанта.
Монобронхиальное введение сурфактанта при остром респираторном дистресс-синдроме с гетерогенным поражением легких является эффективным вариантом лечения и может использоваться в клинической практике при рефрактерной гипоксемии.
Ключевые слова
Полный текст
Открыть статью на сайте журналаОб авторах
Дмитрий Олегович Иванов
Санкт-Петербургский государственный педиатрический медицинский университет
Email: doivanov@yandex.ru
д-р мед. наук, профессор, ректор, заведующий кафедрой неонатологии с курсами неврологии, акушерства и гинекологии факультета послевузовского и дополнительного профессионального образования
Россия, Санкт-ПетербургКирилл Сергеевич Кирьяков
Санкт-Петербургский государственный педиатрический медицинский университет
Email: kiryakov.ks@yandex.ru
врач – анестезиолог-реаниматолог отделения анестезиологии-реанимации для детей с кардиохирургической патологией клиники
Россия, Санкт-ПетербургКонстантин Викторович Пшениснов
Санкт-Петербургский государственный педиатрический медицинский университет
Автор, ответственный за переписку.
Email: Psh_k@mail.ru
д-р мед. наук, доцент, профессор кафедры анестезиологии, реаниматологии и неотложной педиатрии факультета послевузовского и дополнительного профессионального образования
Россия, Санкт-ПетербургИмани Ахмедовна Тесаева
Республиканский перинатальный центр Чеченской Республики
Email: dr.tesaeva89@mail.ru
заведующая отделением реанимации и интенсивной терапии новорожденных
Россия, Грозный, Чеченская РеспубликаМилана Умаровна Насипова
Республиканский перинатальный центр Чеченской Республики
Email: milananasipova92@gmail.com
врач – анестезиолог-реаниматолог отделения реанимации и интенсивной терапии новорожденных
Россия, Грозный, Чеченская РеспубликаЕлена Александровна Сизаева
Детская городская больница № 17 Святителя Николая Чудотворца
Email: Lena.sizaeva@yandex.ru
врач – анестезиолог-реаниматолог
Россия, Санкт-ПетербургАзамат Таймуразович Габисов
Санкт-Петербургский государственный педиатрический медицинский университет
Email: azamgabisov@mail.ru
ординатор кафедры неонатологии с курсами неврологии и акушерства-гинекологии факультета послевузовского и дополнительного профессионального образования
Россия, Санкт-ПетербургСписок литературы
- Александрович Ю.С., Пшениснов К.В. Респираторная поддержка при критических состояниях в педиатрии и неонатологии (руководство для врачей). Москва: ГЭОТАР-Медиа, 2020. 272 с.
- Александрович Ю.С., Иванов Д.О., Пшениснов К.В. Сердечно-легочная реанимация новорожденного в родильном зале // Педиатр. 2019. Т. 10, № 4. С. 5–16. doi: 10.17816/PED1045-16
- Александрович Ю.С., Пшениснов К.В., Хиенас В., и др. Инвазивная искусственная вентиляция легких у недоношенных новорожденных в родильном зале: всегда ли она оправдана? // Анестезиология и реаниматология. 2018. № 5. С. 44–52. doi: 10.17116/anaesthesiology201805144
- Ведение новорожденных с респираторным дистресс-синдромом. Клинические рекомендации / под ред. акад. РАН Н.Н. Володина. 2016. 38 с.
- Гомелла Т.Л. Неонатология. Т. 2. Москва: Бином. Лаборатория знаний, 2015.
- Запевалова Е.Ю., Клюхина Ю.Б., Бойцова Е.В., Кирбятьева М.А. Клиническое течение и структурные изменения легочной ткани у детей с бронхолегочной дисплазией в анамнезе // Педиатр. 2016. Т. 7, № 1. С. 50–57. doi: 10.17816/PED7150-57
- Иванов Д.О., Аврелькина Е.В., Александрович Ю.С., и др. Руководство по перинатологии. Т. 2. Санкт-Петербург: Информ-Навигатор, 2019. 1592 с.
- Моисеева К.Е. Некоторые результаты оценки динамики заболеваемости новорожденных в организациях родовспоможения // Медицина и организация здравоохранения. 2019. Т. 4, № 3. С. 40–47.
- Неонатология: национальное руководство. Краткое издание / под ред. Н.Н. Володина. Москва: ГЭОТАР-Медиа, 2013. 896 c.
- Соломаха А.Ю., Петрова Н.А., Иванов Д.О., Свиряев Ю.В. Нарушения дыхания во сне у недоношенных детей с бронхолегочной дисплазией и легочной гипертензией // Педиатр. 2017. Т. 8, № 6. С. 5–10. doi: 10.17816/PED865-10
- Шабалов Н. П. Неонатология: учебное пособие в 2 т. 7-е изд., перераб. и доп. Москва: ГЭОТАР-Медиа, 2020. Т. 2. 752 с.
- Хиенас В., Александрович Ю.С., Пшениснов К.В., и др. Оценка эффективности ранней неинвазивной респираторной поддержки у доношенных новорожденных // Вестник анестезиологии и реаниматологии. 2017. Т. 14, № 2. С. 20–26. doi: 10.21292/2078-5658-2017-14-2-20-26
- Keszler M., Carbone M.T., Cox C., Schumacher R.E. Severe respiratory failure after elective repeat cesarean delivery: a potentially preventable condition leading to extracorporeal membrane oxygenation // Pediatrics. 1992. Vol. 89, No. 4 (Pt 1). P. 670–672.
- Subramanian S., Gupta A.O., Bahri M., Kicklighter S.D. Transient tachypnea of the newborn. Available at: https://emedicine.medscape.com/article/976914-overview#a2
Дополнительные файлы









