Radiologic diagnostics in complex estimation of the features of neuroplasticity in preterm newborns with extremely low birth weight
- Authors: Melashenko T.V.1, Tashilkin A.I.1, Narkevich T.A.1, Pozdnyakov A.V.1, Krasnogorskaya O.L.1, Nasyrov R.A.1, Ivanov D.O.1, Lvov V.S.1
-
Affiliations:
- St. Petersburg State Pediatric Medical University, Ministry of Healthcare of the Russian Federation
- Issue: Vol 9, No 6 (2018)
- Pages: 21-28
- Section: Articles
- URL: https://bakhtiniada.ru/pediatr/article/view/11220
- DOI: https://doi.org/10.17816/PED9621-28
- ID: 11220
Cite item
Abstract
Patterns of neuroplasticity and cerebral maturation in preterm neonate can be assessed by MRI and cranial ultrasound. The score system of brain maturation includes the account of germinal matrix (GM) regression by MRI. The GM regression can be considered as pattern of neuroplasticity. There have been investigated the changes of neuroplasticity pattern or GM regression in preterm neonates with extremely low birth weight (ELBW) without intragerminal/intraventricular hemorrhages (n = 21). It is believe that the main causes of impair of GM are the intragerminal hemorrhages and hypoxia. The methods of study were cranial ultrasound (CU) and MRI. The measurement of GM was carried out by CU in anterior horn of the lateral ventricles of neonates in the study group (25-29 weeks). It was detected the GM regression in preterm neonates with increasing age, and complete GM regression to 30 week. MRI has been performed in 15 neonates from the study group on 27-38 weeks age with using the common pulse sequences – T1 WI, T2 WI and Flair. GM was detected by MRI up to 34 weeks inclusive by using the additional pulse sequence – DWI. By using common pulse sequences the GM was visualized up to 32 weeks age. Furthermore there has been pathological examination of GM in anterior horn of lateral ventricle in dead neonates from the study group (n = 3). We revealed the thickness reduction of GM in the lateral ventricles with increasing age of the dead neonates. Also we identified the delay of the GM reduction in two dead neonates 36-38 weeks age (post conceptual age) what may indicate the disorder of neuroplasticity in those preterm neonates. The performed study showed the capability of CU and MRI in examination of neuroplasticity in preterm neonates.
Full Text
BACKGROUND
Neuroplasticity is understood as the continuous (ongoing) adaptation of the brain to new functional conditions in the event of natural or pathological damage [1]. Neuroplasticity is most pronounced at the early stages of ontogenesis, especially in premature infants and it regulates repair and reorganization of the brain in premature infants with high risk of brain damage caused by influences of the so-called extrauterine and endogenous factors of cerebral immaturity. Under pathological conditions, neuroplasticity confers compensatory (regenerative) brain function. Dysregulation of neuroplasticity in premature infants can lead to impaired or delayed cerebral maturity, determining follow up neuropsychiatric development [6].
Neuroimaging technologies provide diagnosis of structural cerebral damage as well as patterns of cerebral maturity and neuroplasticity in newborns [7]. Presently, cranial sonography (CUS) and magnetic resonance imaging (MRI) are commonly used for the diagnosis of brain pathologies in neonates [14].
Cerebral maturity in premature neonates is assessed by determining the degree of regression of the sub-ependymal germinal matrix of brain lateral ventricles with MRI images [3]. Regression of the sub-ependymal germinal matrix is a unique characteristic of progressive cerebral development in fetuses and premature infants, characterized by cellular involution of the brain with the most active cellular organization of the cerebral cortex during ontogenesis. Regression of the germinal matrix starts at week 25 of gestation. Histopathological findings in the studies of the neonatal brain showed complete regression in the physiological development of the brain by week 36 of gestation. Regression of the germinal matrix indicates the end of neuronal migration, which in turn implies a neuroplasticity pattern upon completion of the main wave of neuronal migration. Sub-ependymal germinal matrix regression disorder in premature infants allows indicate the impairment of physiological cerebral development [15].
The sub-ependymal germinal matrix can be identified as hyperechoic areas in the anterior lateral ventricle (in the projection of the Monro foramen) using CUS up to and including gestational week 29 [7, 8, 13]. The germinal matrix can be visualized on MRI up to gestational week 30, as hypointense signals on T2 weighted images (WI) and hyperintensive signals on T1 weighted images (WI), in the caudal groove region along the lateral ventricle wall [10].
In the present study, we aimed to compare the results of two neuroimaging methods widely used in the in vivo for assessment of neuroplasticity patterns (regression of the germinal matrix) in premature infants with extremely low body weight (ELBW), and post mortem histology study of the germinal matrix in dead premature infants with ELBW.
STUDY MATERIAL
In the present study, 21 premature infants with ELBW (average body weight at birth, 849 ± 249 grams) and gestation ages of 25–29 weeks (average gestational age at birth, 26.85 ± 3.25 weeks) were included.
A post mortem histology study of the brain was performed in three dead premature infants without in live and postmortem signs of intraventricular hemorrhage from the germinal matrix (IVH). The postconceptual age (PCA) of the dead children was 32–38 weeks at the time histology material was obtained. In live MRI of the brain was performed in two out of the three dead children, and CUS was performed in all the three children with the use of the study design described under the Research Methods section.
Infants with neuroimaging signs of hemorrhage in the germinal matrix, brain development abnormalities, chromosomal diseases, and neuroinfections were excluded from the study.
RESEARCH METHODS
The first CUS was performed by using the anterior fontanel for all neonates (4 premature neonates in gestational week 25, 5 premature neonates in gestational week 26, and three premature neonates in gestational weeks 27, 28, and 29). Every preterm neonate underwent once daily ultrasound B brain scanning using the standard method with microconvex and linear transducers (5–7 Hz) [14]. Thickness of the visualized germinal matrix was measured in millimeters (mm) in the anterior horn of the lateral ventricles using the CUS (the Monro foramen projection, Fig. 1).
Fig. 1. CUS image of preterm newborn, gestational age 28 wks., frontal scan. Arrows indicate the area of visualization of the germinal matrix
Рис. 1. Краниальная сонография недоношенного новорожденного, 28 недель гестации, фронтальный скан. Стрелками указаны области визуализации герминального матрикса
Brain MRI (Philips Ingenia tomograph 1.5 T) was performed in 15 premature infants with the standard protocols for brain examination in neonates involving 3D programs for T1- and T2-weighted images, and fluid-attenuated inversion recovery [FLAIR] images as well as diffusion-weighted images (DWI) in the coronary, axial, and sagittal sections, using a head radio-frequency coil. Protocols were performed without patient sedation while MRI study but monitoring vital functions [12].
Study design (Fig. 2). CUS was performed in all infants on days 1, 2, 3, 5, and 7 after birth. Repeated CUS were designed to rule out hemorrhages from the germinal matrix. During primary CUS, the thickness of the visualized germinal matrix was measured in mm. Brain MRI was performed once in 15 premature infants at PCA of 27–38 weeks; of which, nine at PCAs of 27–32 weeks, two at PCAs of 33–34 weeks, and four at PCA of 35–38 weeks. Two infants underwent a repeated study at the PCA of 38 weeks.
Histology study. The sampling of brain tissue fragments was performed in the germinal matrix of the lateral ventricles in the areas of anterior horn, posterior horn, at the level of the Monro foramen and the frontal lobe, and the caudothalamic groove. Paraffin sections were stained with hematoxylin, eosin, and thionin using the Nissl method. A microscopic study was performed using a ZEISS AXIO microscope, and a morphometric study was conducted using a 3DHISTECH Pannoramic scanning microscope with the Pannoramic Viewer program installed.
Fig. 2. Study design: 1 – 21 preterm newborns with gestation ages 25-29 weeks; 2 – the findings of cranial ultrasound of 21 preterm newborns with gestation ages 25-29 weeks; 3 – the findings of preterm’s MRI (n = 15) with PCV ages 27-38 weeks
Рис. 2. Дизайн исследования: 1 — 21 новорожденный в возрасте 25–29 недель гестации; 2 — результаты краниальной сонографии (n = 21) у новорожденного в возрасте 25–29 недель гестации; 3 — результаты МРТ у недоношенных детей в постконцептуальном возрасте 27–38 недель (n = 15)
STUDY RESULTS
CUS showed an inverse relationship between the thickness of the germinal matrix in the anterior horn of the lateral ventricles and gestational age of the premature infants. Table 1 presents the results of a CUS in premature infants, demonstrating the regression changes in the thickness of the lateral ventricular germinal matrix.
Table 1 / Таблица 1
Evaluation of the germinal matrix in preterm newborns based on cranial ultrasound results
Оценка герминального матрикса боковых желудочков у недоношенных новорожденных по результатам краниальной сонографии
Gestational age (weeks) / Гестационный возраст (недели) | The value of the germinal matrix (mm) in newborns of different gestational ages / Значение величины герминального матрикса (мм) у новорожденных разного гестационного возраста | Mean (М ± δ) / Среднее значение (М ± δ) | ||||
1st day of life / 1-й день жизни | 2nd day of life / 2-й день жизни | 3rd day of life / 3-й день жизни | 5th day of life / 5-й день жизни | 7th day of life / 7-й день жизни | ||
25 | 2.2 | 2.4 | 2.6 | 2.2 | – | 2.36 ± 0.3 |
26 | 2.2 | 2.3 | 2.2 | 2.2 | 2.2 | 2.2 ± 0.1 |
27 | 1.9 | 1.8 | 2.0 | – | – | 1.93 ± 0.2 |
28 | 2.0 | 1.9 | 1.8 | – | – | 1.93 ± 0.2 |
29 | 1.8 | 1.7 | 1.6 | – | – | 1.7 ± 0.2 |
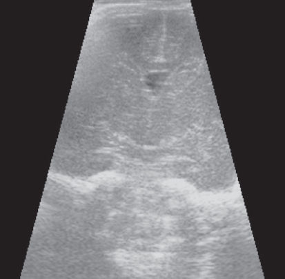
At the PCA of 30 weeks, the thickness of the germinal matrix could not be determined using CUS. An ultrasonographic image of the brain in a premature infant at the PCA above30 weeks showed lack of a visible germinal matrix in the anterior horn of lateral ventricles (Fig. 3).
Fig. 3. CUS image of preterm newborn, gestational age 30 weeks, frontal scan. The germinal matrix is not visualized
Рис. 3. Краниальная сонография недоношенного ребенка 30 недель ПКВ. Фронтальный скан. Герминальный матрикс в просветах передних отделов боковых желудочков не визуализируется
Table 2 summarizes the results of MRI studies.
Table 2 / Таблица 2
Evaluation of the germinal matrix in preterm newborns based on MR-images
Оценка герминального матрикса у недоношенных детей по результатам МР-исследования
Pulse sequences / Импульсные последовательности | DWI / ДВИ | T1-WI / T1 ВИ | T2-WI / Т2 ВИ | FLAIR / FLAIR |
PCA 27–32 weeks (n = 9) / ПКВ 27–32 недели (n = 9) | 8 (+) | 2 (+) | 7 (+) | Not determined / Не определялось |
PCA 33–34 weeks (n = 2) / ПКВ 33–34 недели (n = 2) | 2 (+) | Not determined / Не определялось | Not determined / Не определялось | Not determined / Не определялось |
PCA 35–38 weeks (n = 6) / ПКВ 35–38 недель (n = 6) | 1 (±) | Not determined / Не определялось | Not determined / Не определялось | Not determined / Не определялось |
Note: + the sign is well expressed, ± sign is not enough expressed, PCA – postconceptual age. Примечание: + — признак выражен хорошо, ± — признак выражен недостаточно. ПКВ — постконцептуальный возраст. | ||||
In MRI studies on premature infants at PCAs of 27–32 weeks, the germinal matrix was visualized in eight premature infants as DWI–MRI signals along the side walls of the brain lateral ventricles, as well as along the anterior horns above the caudate nuclei on both sides (Fig. 4). The germinal matrix was reliably detected in T2-weighted images from seven neonates (Fig. 5) and in T1-weighted images from two neonates (Fig. 6). The germinal matrix could not be visualized using FLAIR sequences.
Fig. 4. MRI of preterm newborn (PCA 28 wks.), DWI, axial plane. Hyperintensive MR-signal from the germinal matrix in the projection of the external parts of lateral ventricles (marked by arrows)
Рис. 4. МРТ головного мозга недоношенного ребенка (ПКВ 28 недель), ДВИ, аксиальная проекция. Визуализируется гиперинтенсивный МР-сигнал от герминального матрикса в проекции наружных отделов боковых желудочков (отмечен стрелками)
Fig. 5. MRI of preterm newborn (PCA 28 weeks), Т2-WI, axial plane. Arrows mark the areas of the germinal matrix located along the external walls of the lateral ventricles (hypointense MR signal)
Рис. 5. МРТ головного мозга недоношенного ребенка (ПКВ 28 недель). Т2 ВИ, аксиальная проекция, стрелками выделены участки
Fig. 6. MRI of preterm newborn (PCA 30 weeks), Т1-WI, axial plane. The germinal matrix is visualized in the anterior parts of the lateral ventricles (marked by arrow)
Рис. 6. МРТ головного мозга недоношенного ребенка (ПКВ 28 недель). Т1 ВИ, аксиальная проекция, герминальный матрикс визуализируется в передних отделах боковых желудочков (отмечен стрелкой) герминального матрикса, расположенного вдоль наружных стенок боковых желудочков, гипоинтенсивный МР-сигнал
In neonates who underwent MRI at PCAs of 33 and 34 weeks, the germinal matrix was visualized in two neonates as DWI–MRI signals along the side walls of the brain lateral ventricles (Fig. 7). On the remaining pulse sequences, the germinal matrix was not detected.
During MRI of premature infants above 34 weeks of PCA, the germinal matrix could be visualized on DWI-MRI in only one neonate, as a linear low-intensity MRI signal located along the lateral walls of the brain lateral ventricles. In the remaining patients, the germinal matrix could not be detected.
Fig. 7. MRI of preterm newborn (PCA 30 wks.), DWI, axial plane. The germinal matrix is visualized along the external walls of the lateral ventricles (marked by arrows)
Рис. 7. МРТ головного мозга недоношенного ребенка (ПКВ 34 недели). ДВИ, аксиальная проекция, герминальный матрикс визуализируется вдоль наружных стенок боковых желудочков (отмечен стрелками)
Two premature neonates underwent a double MRI study. The germinal matrix was detected in the first MRI study performed at the PCA of 27–32 weeks; however, it could not be detected in the second MRI study performed on the neonate after him reached full term.
Results of histology study of brain tissue in the lateral ventricular germinal matrix area. The thickness of the germinal matrix was measured in the anterior sections of the brain lateral ventricles. The variation in the thickness of the germinal matrix was inversely proportional to PCA in the deceased infants (Table 3, Figs. 8 and 9). It must be emphasized that microscopic examination of the anterior lateral ventricles revealed a preserved germinal matrix in both of the dead premature infants with PCAs of 36 weeks.
Fig. 8. A thin layer of the germinal matrix in a child, PCA 37-38 weeks (hematoxylin-eosin stain, ×100)
Рис. 8. Тонкий слой герминального матрикса у ребенка, ПКВ 37–38 недель (окраска гематоксилином и эозином, ×100)
Fig. 9. A wide layer of the germinal matrix in a child, PCA 31-32 weeks (hematoxylin-eosin stain, ×100)
Рис. 9. Широкий слой герминального матрикса у ребенка, ПКВ 31–32 недели (окраска гематоксилином и эозином, ×100)
Table 3 / Таблица 3
Dynamics of changes in the size of the germinal matrix in deceased preterm newborns, depending on their postconceptual age
Динамика изменения выраженности герминального матрикса у умерших недоношенных детей в зависимости от их постконцептуального возраста
Patient / Пациент | PCA at the time of collection of material (weeks) / ПКВ на момент забора материала (недели) | Birth weight (gr) / Вес при рождении (граммы) | The thickness of the germinal matrix of the right lateral ventricle (mkm) / Толщина ГМ правого бокового желудочка (мкм) | The thickness of the germinal matrix of the left lateral ventricle (mkm) / Толщина ГМ левого бокового желудочка |
1 | 38 | 934 | 934.8 | 499.54 |
2 | 35–36 | 740 | 343.39 | 713.97 |
3 | 31–32 | 980 | 2377 | 820.7 |
Note. PCA – postconceptual age; GM – germinal matrix. Примечание. ПКВ — постконцептуальный возраст; ГМ — герминальный матрикс. | ||||
DISCUSSION AND CONCLUSIONS
In the present study, we showed that the sub-ependymal germinal matrix of the lateral ventricles could be detected using CUS in all premature neonates up to and including 29 weeks of gestation. According to K. Buch, the germinal matrix can be visualized as a hyperechoic structure in only 13% of infants up to 29 weeks of gestation [2]. We showed a regressive change in the sonographic imaging of the germinal matrix with increasing gestational age in all premature infants with ELBW. CUS showed a significant reduction in the size of the germinal matrix in premature neonates with ELBW up to and including 29 weeks of gestation.
In contrast, in premature infants with ELBW, the germinal matrix could be visualized using MRI up to 32–34 weeks of PCA. The use of traditional pulse sequences such as T1 and T2 enables the visualization of the germinal matrix in preterm infants at a PCA of up to 32 weeks (Table 2), which is consistent with previously published data [11].
In the present study, the germinal matrix could be visualized using the T1-pulse sequence in only two infants at PCAs up to 32 weeks, as a hyperintensive signal from the lower wall of the anterior lateral ventricles. Using the T2-pulse sequence, the germinal matrix was detected in seven out of nine infants at PCAs of 27–32 weeks, as a hypointensive MRI signal from the anterior sections and outer walls of the lateral ventricles. S. Counsell recommends using a T2-pulse sequence to measure cerebral maturity in premature infants [4]. S. Counsell reported a decrease in the intensity of the T2 signal from the lateral walls and anterior sections of the lateral ventricles in premature infants at PCAs of up to 32 weeks. As suggested by S.J. Counsell, the preservation of the hypointense T2 signal from these structures in premature infants with PCAs above 32 weeks may indicate a glial migration disorder [5].
Using DWI–MRI, the sub-ependymal germinal matrix was detected in an overwhelming number of premature infants at PCAs of 27–32 weeks, and in two premature infants at PCAs of 33–34 weeks. The germinal matrix could be visualized on the DWI-sequence as a local hyperintense signal in the region of the anterior fields of lateral ventricles and a hyperintense linear signal in the external edge of the lateral ventricles (partially following the contour of the external wall of the ventricle). The DWI sensitivity in visualizing the germinal matrix exceeds that of other MRI pulse sequences and provides a more complete visualization picture of sub-ependymal germinal matrix regression in the ventricular areas of the brain in premature infants.
Histology findings showed a regression of the germinal matrix in the lateral ventricles of the brain with increasing PCA, which is consistent with findings from previous studies [9, 10]. The sub-ependymal germinal matrix was most pronounced in the anterior sections of the lateral ventricles. There was a delay in the complete reduction of the germinal matrix in two deceased infants born with ELBW at a PCA of 36 weeks and above, which may indicate a neuroplasticity disorder and delayed cerebral development in these neonates [10]. In the physiological development of the brain in premature infants with a PCA of 36 weeks, the germinal matrix cannot be identified using histological examination [13].
A comparative analysis of findings from live MRI of the brain and hystology studies showed that in all dead infants, the germinal matrix could be identified in the anterior horns of the lateral ventricles by microscopic examination of brain preparations, as well as by MRI of the same area. In one of the dead children (patient 1 in Table 3) for whom MRI was performed at a PCA of 30 weeks, the germinal matrix was visualized on DWI-MRI and T2-pulse sequence in the area of the Monro foramen projection. In patient 2 (Table 3), for whom MRI was performed at a PCA of 27 weeks, the germinal matrix was visualized in the area of the Monro foramen and along the external walls of the lateral ventricles in the form of an alteration of the MRI signal on the DWI and T2-pulse sequence.
In conclusion, study of the sub-ependymal germinal matrix using radiological diagnostic methods and pathomorphological signs can help the assessment of neuroplasticity in premature infants with ELBW.
We show that ultrasonic technology, such as CUS, can be used to detect the neuroplasticity/regression patterns of the germinal matrix in all premature neonates up to and including 29 weeks of gestation. Regression of the germinal matrix with maximum decrease in visualization is registered by week 29 of gestation.
DWI-MRI enhances the assessment of germinal matrix regression in premature infants. The use of this pulse sequence allows the detection of germinal matrix in premature neonates at PCAs of up to and including 32 weeks of PCA as well as the in vivo assessment of neuroplasticity.
Post mortem histology analysis of the material of lateral ventricles confirmed the regression of the germinal matrix with increasing PCA. The absence of regression in the germinal matrix of the brain lateral ventricles, which was observed in two premature dead infants at a PCA of 36 weeks, may indicate impaired neuroplasticity.
About the authors
Tat'yana V. Melashenko
St. Petersburg State Pediatric Medical University, Ministry of Healthcare of the Russian Federation
Author for correspondence.
Email: Radiology@mail.ru
MD, PhD, Neurologist of Neonatal Intensive Care Unit
Russian Federation, Saint PetersburgAlexey I. Tashilkin
St. Petersburg State Pediatric Medical University, Ministry of Healthcare of the Russian Federation
Email: Radiology@mail.ru
Assistant of the Department of Medical Biophysics, radiologist of the Department of Radiology
Russian Federation, Saint PetersburgTatiana A. Narkevich
St. Petersburg State Pediatric Medical University, Ministry of Healthcare of the Russian Federation
Email: Radiology@mail.ru
Assistant, Department of Pathological Anatomy with the Course of Forensic Medicine
Russian Federation, Saint PetersburgAleksandr V. Pozdnyakov
St. Petersburg State Pediatric Medical University, Ministry of Healthcare of the Russian Federation
Email: Radiology@mail.ru
MD, PhD, Dr Med Sci, Professor, Head of Department of Radiology, Head of the Department of Medical Biophysics
Russian Federation, Saint PetersburgOlga L. Krasnogorskaya
St. Petersburg State Pediatric Medical University, Ministry of Healthcare of the Russian Federation
Email: Radiology@mail.ru
MD, PhD, Associate Professor of the Department of Pathological Anatomy with the Course of Forensic Medicine
Russian Federation, Saint PetersburgRuslan A. Nasyrov
St. Petersburg State Pediatric Medical University, Ministry of Healthcare of the Russian Federation
Email: Radiology@mail.ru
MD, PhD, Dr Med Sci, Professor, Head of the Department of Pathological Anatomy with the Course of Forensic Medicine
Russian Federation, Saint PetersburgDmitry O. Ivanov
St. Petersburg State Pediatric Medical University, Ministry of Healthcare of the Russian Federation
Email: Radiology@mail.ru
MD, PhD, Dr Med Sci, Professor, Rector
Russian Federation, Saint PetersburgViktor S. Lvov
St. Petersburg State Pediatric Medical University, Ministry of Healthcare of the Russian Federation
Email: viktorlvov@list.ru
Postgraduate Student of the Department of Medical Biophysics
Russian Federation, Saint PetersburgReferences
- Гусев У.И., Камчатнов П.Р. Пластичность нервной системы // Журнал неврологии и психиатрии им. С.С. Корсакова. - 2004. - № 3. - С. 73-79. [Gusev UI, Kamchatnov PR. Plastichnost’ nervnoj sistemy. Zhurnal nevrologii i psihiatrii im. S.S. Korsakova. 2004;(3):73-79. (In Russ.)]
- Buch K, Podhaizer D, Tsai A, et al. Residual Germinal Matrix Tissue Detected on High- Resolution Ultrasound in Very Premature Neonates. In: Proceedings of the EPOS Congress: ECR2015; 4-8 Mar 2015. Vienna; 2015.
- Childs AM, Ramenghi LA, Cornette L, et al. Cerebral maturation in premature infants: quantitative assessment using MR imaging. AJNR Am J Neuroradiol. 2001;22(8):1577-1582.
- Counsell SJ, Kennea NL, Herlihy AH, et al. T2 relaxation values in the developing preterm brain. AJNR Am J Neuroradiol. 2003;24(8):1654-1660.
- Counsell SJ. Magnetic resonance imaging of preterm brain injury. Arch Dis Child Fetal Neonatal Ed. 2003;88(4):269F-274. doi: 10.1136/fn.88.4.F269.
- Deipolyi AR, Mukherjee P, Gill K, et al. Comparing microstructural and macrostructural development of the cerebral cortex in premature newborns: diffusion tensor imaging versus cortical gyration. Neuroimage. 2005;27(3):579-86. doi: 10.1016/j.neuroimage.2005.04.027.
- El-Dib M, Massaro AN, Bulas D, Aly H. Neuroimaging and neurodevelopmental outcome of premature infants. Am J Perinatol. 2010;27(10):803-818. doi: 10.1055/s-0030-1254550.
- Helwich E, Bekiesinska-Figatowska M, Bokiniec R. Recommendations regarding imaging of the central nervous system in fetuses and neonates. J Ultrason. 2014;14(57):203-216. doi: 10.15557/JoU.2014.0020.
- Herculano-Houzel S. Not all brains are made the same: new views on brain scaling in evolution. Brain Behav Evol. 2011;78(1):22-36. doi: 10.1159/000327318.
- Lewitus E, Kelava I, Huttner WB. Conical expansion of the outer subventricular zone and the role of neocortical folding in evolution and development. Front Hum Neurosci. 2013;7:424. doi: 10.3389/fnhum.2013.00424.
- Matsumoto JA, Gaskin CM, Kreitel KO, et al. MRI atlas Pediatric Brain Maturation and Anatomy. Oxford: Oxford University Press; 2015.
- Prager A, Roychowdhury S. Magnetic resonance imaging of the neonatal brain. Indian J Pediatr. 2007;74(2):173-84. doi: 10.1007/s12098-007-0012-3.
- Shi Y, Kirwan P, Smith J, et al. Human cerebral cortex development from pluripotent stem cells to functional excitatory synapses. Nat Neurosci. 2012;15(3):477-86, S471. doi: 10.1038/nn.3041.
- Vainak N, Calin AM, Fufezan O, et al. Neonatal brain ultrasound - a practical guide for the young Radiologist. In: Proceedings of the EPOS Congress: ECR2014; 6-10 Mar 2014, Vienna. doi: 10.1594/ecr2014/C-0527.
- Intracranial hemorrhage: germinal matrix-intraventricular hemorrhage. In: Neurology of the Newborn. 5th ed. Ed. by J.J. Volpe. Philadelphia: Saunders Elsevier; 2008. P. 517-528.
Supplementary files










