Лучевая диагностика в комплексной оценке особенностей нейропластичности у недоношенных новорожденных с экстремально низкой массой тела
- Авторы: Мелашенко Т.В.1, Тащилкин А.И.1, Наркевич Т.А.1, Поздняков А.В.1, Красногорская О.Л.1, Насыров Р.А.1, Иванов Д.О.1, Львов В.С.1
-
Учреждения:
- ФГБОУ ВО «Санкт-Петербургский государственный педиатрический медицинский университет» Минздрава России
- Выпуск: Том 9, № 6 (2018)
- Страницы: 21-28
- Раздел: Статьи
- URL: https://bakhtiniada.ru/pediatr/article/view/11220
- DOI: https://doi.org/10.17816/PED9621-28
- ID: 11220
Цитировать
Аннотация
Актуальность. Оценка церебральной зрелости, паттернов нейропластичности наряду с выявлением структурной патологии головного мозга у недоношенных новорожденных позволяет в той или иной степени определить прогноз развития неврологических нарушений у этих детей. С использованием методов нейровизуализации появилась возможность прижизненной диагностики паттернов церебральной зрелости и нейропластичности у новорожденных. Система оценки церебральной зрелости у недоношенных новорожденных по результатам МРТ включает определение степени регрессии герминального матрикса. Регрессия неповрежденного герминального матрикса предполагает паттерн нейропластичности в условиях завершения миграции нейронов.
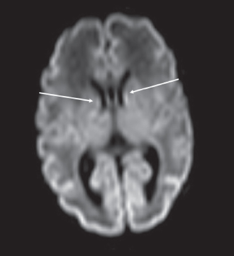
Методы и материал. Выполнено исследование паттерна нейропластичности — регрессии герминального матрикса у недоношенных новорожденных с экстремально низкой массой тела (ЭНМТ) при рождении методами краниальной сонографии (КСГ) и магнитно-резонансной томографии (МРТ). Был обследован 21 недоношенный новорожденный с ЭНМТ без нейровизуализационных признаков повреждения герминального матрикса, в первую очередь кровоизлияния из герминального матрикса. Проведено измерение герминального матрикса передних отделов боковых желудочков головного мозга у исследуемых детей методом КСГ. Выполнено МРТ головного мозга 15 недоношенным детям группы исследования в постконцептуальном возрасте (ПКВ) 27–38 недель с использованием традиционных импульсных последовательностей и дополнительно DWI — диффузионно-взвешенных изображений в стандартных проекциях. Также выполнено патоморфологическое исследование герминального матрикса в области передних отделов боковых желудочков у трех умерших детей из группы исследования.
Результаты и выводы. Выявлена регрессия герминального матрикса у недоношенных новорожденных с полной редукцией к 30 неделям ПКВ по результатам КСГ. Применение DWI ВИ позволило выявить герминальный матрикс у недоношенных детей до 34 недель ПКВ, тогда как при помощи других импульсных последовательностей удается визуализировать герминальный матрикс до 32 недель ПКВ.
Результаты патоморфологического исследования герминального матрикса. Установлено уменьшение толщины герминального матрикса боковых желудочков с увеличением постконцептуального возраста умерших детей.
Полный текст
Открыть статью на сайте журналаОб авторах
Татьяна Владимировна Мелашенко
ФГБОУ ВО «Санкт-Петербургский государственный педиатрический медицинский университет» Минздрава России
Автор, ответственный за переписку.
Email: Radiology@mail.ru
канд. мед. наук, невролог отделения реанимации и интенсивной терапии новорожденных
Россия, Санкт-ПетербургАлексей Иванович Тащилкин
ФГБОУ ВО «Санкт-Петербургский государственный педиатрический медицинский университет» Минздрава России
Email: Radiology@mail.ru
ассистент кафедры медицинской биофизики, врач-рентгенолог отделения лучевой диагностики
Россия, Санкт-ПетербургТатьяна Александровна Наркевич
ФГБОУ ВО «Санкт-Петербургский государственный педиатрический медицинский университет» Минздрава России
Email: Radiology@mail.ru
ассистент кафедры патологической анатомии с курсом судебной медицины
Россия, Санкт-ПетербургАлександр Владимирович Поздняков
ФГБОУ ВО «Санкт-Петербургский государственный педиатрический медицинский университет» Минздрава России
Email: Radiology@mail.ru
д-р мед. наук, профессор, заведующий отделением лучевой диагностики, заведующий кафедрой медицинской биофизики
Россия, Санкт-ПетербургОльга Леонидовна Красногорская
ФГБОУ ВО «Санкт-Петербургский государственный педиатрический медицинский университет» Минздрава России
Email: Radiology@mail.ru
канд. мед. наук, доцент кафедры патологической анатомии с курсом судебной медицины
Россия, Санкт-ПетербургРуслан Абдуллаевич Насыров
ФГБОУ ВО «Санкт-Петербургский государственный педиатрический медицинский университет» Минздрава России
Email: Radiology@mail.ru
д-р мед. наук, профессор, заведующий кафедрой патологической анатомии с курсом судебной медицины
Россия, Санкт-ПетербургДмитрий Олегович Иванов
ФГБОУ ВО «Санкт-Петербургский государственный педиатрический медицинский университет» Минздрава России
Email: Radiology@mail.ru
д-р мед. наук, профессор, ректор
Россия, Санкт-ПетербургВиктор Сергеевич Львов
ФГБОУ ВО «Санкт-Петербургский государственный педиатрический медицинский университет» Минздрава России
Email: viktorlvov@list.ru
аспирант кафедры медицинской биофизики
Россия, Санкт-ПетербургСписок литературы
- Гусев У.И., Камчатнов П.Р. Пластичность нервной системы // Журнал неврологии и психиатрии им. С.С. Корсакова. - 2004. - № 3. - С. 73-79. [Gusev UI, Kamchatnov PR. Plastichnost’ nervnoj sistemy. Zhurnal nevrologii i psihiatrii im. S.S. Korsakova. 2004;(3):73-79. (In Russ.)]
- Buch K, Podhaizer D, Tsai A, et al. Residual Germinal Matrix Tissue Detected on High- Resolution Ultrasound in Very Premature Neonates. In: Proceedings of the EPOS Congress: ECR2015; 4-8 Mar 2015. Vienna; 2015.
- Childs AM, Ramenghi LA, Cornette L, et al. Cerebral maturation in premature infants: quantitative assessment using MR imaging. AJNR Am J Neuroradiol. 2001;22(8):1577-1582.
- Counsell SJ, Kennea NL, Herlihy AH, et al. T2 relaxation values in the developing preterm brain. AJNR Am J Neuroradiol. 2003;24(8):1654-1660.
- Counsell SJ. Magnetic resonance imaging of preterm brain injury. Arch Dis Child Fetal Neonatal Ed. 2003;88(4):269F-274. doi: 10.1136/fn.88.4.F269.
- Deipolyi AR, Mukherjee P, Gill K, et al. Comparing microstructural and macrostructural development of the cerebral cortex in premature newborns: diffusion tensor imaging versus cortical gyration. Neuroimage. 2005;27(3):579-86. doi: 10.1016/j.neuroimage.2005.04.027.
- El-Dib M, Massaro AN, Bulas D, Aly H. Neuroimaging and neurodevelopmental outcome of premature infants. Am J Perinatol. 2010;27(10):803-818. doi: 10.1055/s-0030-1254550.
- Helwich E, Bekiesinska-Figatowska M, Bokiniec R. Recommendations regarding imaging of the central nervous system in fetuses and neonates. J Ultrason. 2014;14(57):203-216. doi: 10.15557/JoU.2014.0020.
- Herculano-Houzel S. Not all brains are made the same: new views on brain scaling in evolution. Brain Behav Evol. 2011;78(1):22-36. doi: 10.1159/000327318.
- Lewitus E, Kelava I, Huttner WB. Conical expansion of the outer subventricular zone and the role of neocortical folding in evolution and development. Front Hum Neurosci. 2013;7:424. doi: 10.3389/fnhum.2013.00424.
- Matsumoto JA, Gaskin CM, Kreitel KO, et al. MRI atlas Pediatric Brain Maturation and Anatomy. Oxford: Oxford University Press; 2015.
- Prager A, Roychowdhury S. Magnetic resonance imaging of the neonatal brain. Indian J Pediatr. 2007;74(2):173-84. doi: 10.1007/s12098-007-0012-3.
- Shi Y, Kirwan P, Smith J, et al. Human cerebral cortex development from pluripotent stem cells to functional excitatory synapses. Nat Neurosci. 2012;15(3):477-86, S471. doi: 10.1038/nn.3041.
- Vainak N, Calin AM, Fufezan O, et al. Neonatal brain ultrasound - a practical guide for the young Radiologist. In: Proceedings of the EPOS Congress: ECR2014; 6-10 Mar 2014, Vienna. doi: 10.1594/ecr2014/C-0527.
- Intracranial hemorrhage: germinal matrix-intraventricular hemorrhage. In: Neurology of the Newborn. 5th ed. Ed. by J.J. Volpe. Philadelphia: Saunders Elsevier; 2008. P. 517-528.
Дополнительные файлы











