Combined surgical treatment of a giant peripheral nerve tumors of the “hourglass type” of the right cost-vertebral cornar
- Authors: Gorodnina A.V.1, Kudziev A.V.1, Nazarov A.S.1, Malyshok D.E.1, Оrlov А.Y.1
-
Affiliations:
- A.L. Polenov Russian Neurosurgical Institute — a Branch of Almazov National Medical Research Centre
- Issue: Vol 13, No 1 (2022)
- Pages: 43-50
- Section: Clinical observation
- URL: https://bakhtiniada.ru/pediatr/article/view/108380
- DOI: https://doi.org/10.17816/PED13143-50
- ID: 108380
Cite item
Abstract
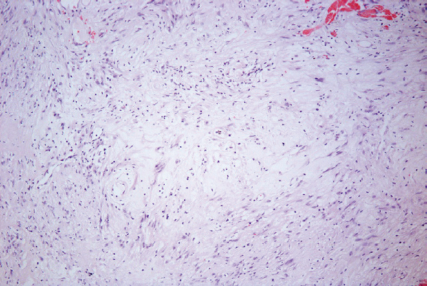
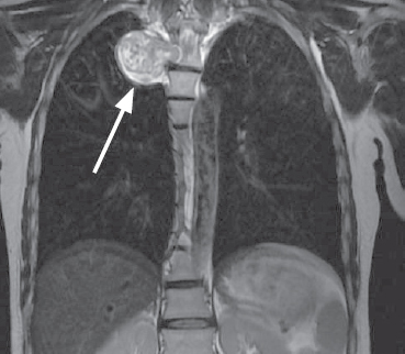
Paravertebral tumors of mediastinal localization — an extensive group of pathological processes, the surgical treatment of which is carried out by doctors of various specialties, such as neurosurgeons and surgical oncologists. Currently, thoracoscopic removal is considered to be the most preferred method of surgical treatment of these mass formations, in view of the least trauma, fewer complications, and a reduction in the time of postoperative recovery of patients. A clinical case of surgical treatment of a patient with a giant paravertebral tumor originating from the 4th thoracic root is presented. The tumor was an incidental finding during routine fluorography. There were no focal neurological symptoms. Taking into account the topographic and anatomical features of the volumetric formation, the patient underwent a combined two-stage surgical intervention, where the first stage was laminectomy and removal of the foraminal component of the tumor from the posterior approach, the second stage was single-port video-assisted thoracoscopic removal of the mediastinally located tumor fragment. The operation was performed under conditions of a collapsed lung on the side of the intervention. In the postoperative period, no neurological deficit was noted; according to the control introscopy, the tumor was removed completely. According to the results of histological examination – neurofibroma (Grade I).
Full Text
##article.viewOnOriginalSite##About the authors
Angelina V. Gorodnina
A.L. Polenov Russian Neurosurgical Institute — a Branch of Almazov National Medical Research Centre
Author for correspondence.
Email: angelinagorodnina@gmail.com
Neurosurgeon of Neurosurgery Department No. 1, Reseacher of Research Laboratory of Spinal and Peripheral Nervous System Neurosurgery
Russian Federation, Saint PetersburgAndrei V. Kudziev
A.L. Polenov Russian Neurosurgical Institute — a Branch of Almazov National Medical Research Centre
Email: andro_p@gmail.com
Neurosurgeon of Neurosurgery Department No. 1
Russian Federation, Saint PetersburgAleksandr S. Nazarov
A.L. Polenov Russian Neurosurgical Institute — a Branch of Almazov National Medical Research Centre
Email: nazarow_alex@mail.ru
MD, PhD, Chief of Neurosurgery Department No. 1
Russian Federation, Saint PetersburgDar’ya E. Malyshok
A.L. Polenov Russian Neurosurgical Institute — a Branch of Almazov National Medical Research Centre
Email: dashadzhil@gmail.com
Neurologist of the Department of Clinical neurophysiology
Russian Federation, Saint PetersburgАndrei Yu. Оrlov
A.L. Polenov Russian Neurosurgical Institute — a Branch of Almazov National Medical Research Centre
Email: andrei@mail.ru
MD, PhD, Dr. Med. Sci., Head of the Department of Clinical neurophysiology
Russian Federation, Saint PetersburgReferences
- Basankin IV, Naryzhnyi NV, Giulzatyan AA, Malakhov SB. A case report of hybrid surgical resection of a giant dumbbell neurinona in the thoracic spine. Innovative Medicine of Kuban. 2020;(4(20)):43–47. doi: 10.35401/2500-0268-2020-20-4-43-47
- Chunbo Li, Yun Ye, Yutong Gu, Jian Dong. Minimally invasive resection of extradural dumbbell tumors of thoracic spine: surgical techniques and literature review. European Spine Journal. 2016;25(12): 4108–4115. doi: 10.1007/s00586-016-677-z
- Eden K. The dumb-bell tumours of the spine. British Journal of Surgery. 1941;28(112):549–570. doi: 10.1002/bjs.18002811205
- Heuer GJ. So-called hour-glass tumors of the spine. Arch Surg. 1929;18(4):935–981. DOI: 10.1001/ archsurg.1929.0110130023001
- Liebsch C, Graf N, Wilke HJ. EUROSPINE2016 FULL PAPER AWARD: Wire cerclage can restore the stability of the thoracic spine after median sternotomy: an in vitro study with entire rib cage specimens. Eur Spine J. 2017;26(5): 1401–1407. doi: 10.1007/s00586-016-768-x
- Himmiche M, Joulali Y, Benabdallah IS, et al. Spinal schwannomas: case series Pan Afr Med J. 2019;33:199. (In French) doi: 10.1160/pamj.2019.33.199.17921
- Pojskić M, Zbytek B, Mutrie CJ, Arnautović KI. Spinal dumbbell epidural hemangioma: two stage/same sitting/same position posterior microsurgical and transthoracic endoscopic resection — case report and review of the literature. Acta Clin Croat. 2018;57(4):797–808. doi: 10.2071/acc.2018.57.0.27
- Sis HL, Mannen EM, Wong BM, et al. Effect of follower load on motion and stiffness of the human thoracic spine with intact rib cage. J Biomech. 2016;49(41): 3252–3259. doi: 10.1016/j.jbiomech.2016.08.003
- Sridhar K, Ramamurthi R, Vasudevan MC, et al. Giant invasive spinal schwannomas: definition and surgical management. J Neurosurg. 2001;94(2):210–215. doi: 10.3171/spi.2001.9.2.0210
- Chen X, Ma Q, Wang S, et al. Surgical treatment of thoracic dumbbell tumors. Eur J Surg Oncol. 2019;45(5): 851–856. doi: 10.1016/j.ejso.2018.10.536
Supplementary files










