Клинический случай эритродермии, индуцированной фиброгастродуоденоскопией
- Авторы: Сыдиков А.А.1, Заславский Д.В.1, Егорова Ю.С.1, Чупров И.Н.2, Гурковская Я.Ю.3, Фоменко М.Н.3, Зубатов М.А.1, Насыров Р.А.1, Грекова Е.В.4
-
Учреждения:
- ФГБОУ ВО «Санкт-Петербургский государственный педиатрический медицинский университет» Минздрава России
- ФГБОУ ВО «Северо-Западный государственный медицинский университет им. И.И. Мечникова» Минздрава России
- ЛенОблЦентр специализированных видов медицинской помощи
- ФГАОУ ВО «Первый Московский государственный медицинский университет им. И.М. Сеченова» Минздрава России
- Выпуск: Том 9, № 5 (2018)
- Страницы: 103-108
- Раздел: Статьи
- URL: https://bakhtiniada.ru/pediatr/article/view/10823
- DOI: https://doi.org/10.17816/PED95103-108
- ID: 10823
Цитировать
Полный текст
Аннотация
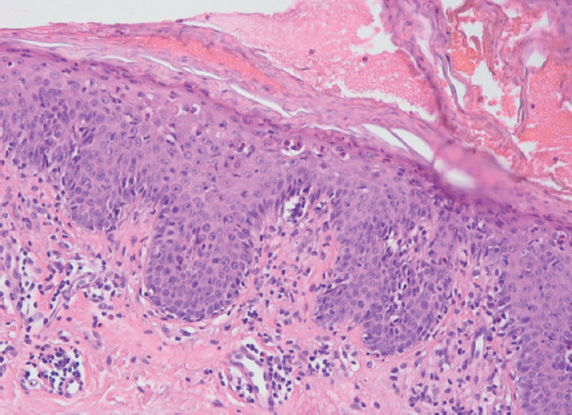
Эритродермия — сравнительно малоизученное угрожающее жизни состояние, характеризующееся диффузной гиперемией и шелушением всего кожного покрова. Среди причин эритродермии выделяют прогрессирование хронических дерматозов, рефрактерных к проводимой терапии, прием лекарственных препаратов или неадекватное местное лечение дерматозов. Кроме того, она может являться симптомом и/или признаком системных заболеваний (лимфома, лейкемия, опухоли легких, кишечника и яичников). Большинство описанных в литературе случаев эритродермии были индуцированы приемом различных видов лекарственных средств и биологически активных добавок. Высокая летальность данной категории больных связана как с основным заболеванием, послужившим причиной развития эритродермии, так и с характером возникающих метаболических расстройств. Эритродермия представляет собой одно из самых тяжелых состояний, угрожающих жизни больного, требующих особых подходов в диагностике и скорейшем начале лечения. При постановке диагноза и определении форм эритродермии одним из определяющих факторов выступает клинический осмотр и клинико-патологическая корреляция. Пациенты с заболеваниями пищеварительного тракта имеют высокий риск развития побочных эффектов от приема лекарственных препаратов и проведения инструментальных методов исследования. Одним из скрининговых методов исследования является фиброгастродуоденоскопия (ФГДС). Приводим описание первого в своей практике случая больного эритродермией, возникшей после ФГДС-исследования. Также в статье обсуждены вопросы патогенеза, дифференциальной диагностики эритродермии на основании клинической картины и гистологических признаков.
Ключевые слова
Полный текст
Открыть статью на сайте журналаОб авторах
Акмал Абдикахарович Сыдиков
ФГБОУ ВО «Санкт-Петербургский государственный педиатрический медицинский университет» Минздрава России
Автор, ответственный за переписку.
Email: medik-85@bk.ru
канд. мед. наук, ассистент, кафедра патологической анатомии с курсом судебной медицины
Россия, Санкт-ПетербургДенис Владимирович Заславский
ФГБОУ ВО «Санкт-Петербургский государственный педиатрический медицинский университет» Минздрава России
Email: venerology@gmail.com
д-р мед. наук, профессор, профессор кафедры дерматовенерологии
Россия, Санкт-ПетербургЮлия Сергеевна Егорова
ФГБОУ ВО «Санкт-Петербургский государственный педиатрический медицинский университет» Минздрава России
Email: ys-egorova@mail.ru
канд. мед. наук, доцент, кафедра дерматовенерологии
Россия, Санкт-ПетербургИгорь Николаевич Чупров
ФГБОУ ВО «Северо-Западный государственный медицинский университет им. И.И. Мечникова» Минздрава России
Email: igorchuprov@gmail.com
д-р мед. наук, доцент, профессор кафедры патологической анатомии
Россия, Санкт-ПетербургЯнина Юрьевна Гурковская
ЛенОблЦентр специализированных видов медицинской помощи
Email: yaninagurkovskay@gmail.com
врач-дерматовенеролог
Россия, Санкт-ПетербургМарина Николаевна Фоменко
ЛенОблЦентр специализированных видов медицинской помощи
Email: m.fomenko2009@yandex.ru
врач-дерматовенеролог
Россия, Санкт-ПетербургМихаил Александрович Зубатов
ФГБОУ ВО «Санкт-Петербургский государственный педиатрический медицинский университет» Минздрава России
Email: zubatov@mail.ru
студент, VI курс
Россия, Санкт-ПетербургРуслан Абдуллаевич Насыров
ФГБОУ ВО «Санкт-Петербургский государственный педиатрический медицинский университет» Минздрава России
Email: ran.53@mail.ru
д-р мед. наук, профессор, заведующий, кафедра патологической анатомии с курсом судебной медицины
Россия, Санкт-ПетербургЕкатерина Владимировна Грекова
ФГАОУ ВО «Первый Московский государственный медицинский университет им. И.М. Сеченова» Минздрава России
Email: grekova_kate@mail.ru
аспирант, кафедра кожных и венерических болезней им. В.А. Рахманова
Россия, МоскваСписок литературы
- Заславский Д.В., Раводин Р.А., Татарская О.Б., и др. Эритродермия: современные вопросы диагностики и лечения // Педиатр. - 2014. - Т. 5. - № 1. - С. 97-102. [Zaslavskiy DV, Ravodin RA, Tatarskaya OB, et al. Erythroderma: the modern questions of diagnostics and treatment. Pediatrician (St. Petersburg). 2014;5(1):97-102. (In Russ.)]
- Заславский Д.В., Чупров И.Н., Сыдиков А.А., и др. Роль маркера IL-36γ/IL-1F9 в развитии эритродермии у пациентов с псориазом // Казанский медицинский журнал. - 2015. - Т. 96. - № 1. - С. 80-84. [Zaslavskiy DV, Chuprov IN, Sydikov AA, et al. The role of IL-36γ/IL-1F9 in developing erythroderma in patients with psoriasis. Kazan Med Zh. 2015;96(1):80-84. (In Russ.)]. doi: 10.17750/KMJ2015-080.
- Заславский Д.В., Сыдиков А.А., Чупров И.Н., и др. Значение показателя IL-36γ - потенциального биомаркера при псориатической эритродермии // Российский журнал кожных и венерических болезней. - 2015. - Т. 18. - № 5. - С. 30-33. [Zaslavskiy DV, Sydikov AA, Chuprov IN, et al. The IL-36γ is potential biomarker of psoriatic erythroderma. Russian journal of skin and sexually transmitted diseases. 2015;18(5):30-33. (In Russ.)]
- Заславский Д.В., Юновидова А.А., Волькенштейн П., и др. Комплексная терапия синдрома Сезари // Иммунопатология, аллергология, инфектология. - 2016. - № 1. - С. 6-13. [Zaslavskiy DV, Yunovidova AA, Wolkenstein P, et al. Combined therapy of Sezary syndrome. Immunopatologiya, allergologiya, infektologiya. 2016;(1):6-13. (In Russ.)]. doi: 10.14427/jipai.2016.1.6.
- Заславский Д.В., Юновидова А.А., Волькенштейн П., и др. Выбор терапевтической стратегии при синдроме Сезари: Случай из практики // Фарматека. - 2016. - № 20. - С. 53-58. [Zaslavskiy DV, Yunovidova AA, Wolkenstein P, et al. Choice of therapeutic strategy in sezary syndrome: case report. Farmateka. 2016;(20):53-58. (In Russ.)]
- Заславский Д.В., Чупров И.Н., Насыров Р.А., и др. Гистологические модели (паттерны) воспаления при эритродермии // Иммунопатология, аллергология, инфектология. - 2016. - № 4. - С. 65-73. [Zaslavsky DV, Chuprov IN, Nasyrov RA, et al. The histological patterns of inflammation in erythroderma. Immunopatologiya, allergologiya, infektologiya. 2016;(4):65-73. (In Russ.)]. doi: 10.14427/jipai.2016.4.65.
- Олисова О.Ю., Теплюк Н.П., Плиева Л.Р., Ломоносов К.М. Эритродермическая форма болезни Девержи // Российский журнал кожных и венерических болезней. - 2014. - T. 17. - № 1. - С. 18-20. [Olisova OY, Teplyuk NP, Plieva LR, Lomonosov KM. The erythrodermal form of devergie’s disease. Russian journal of skin and sexually transmitted diseases. 2014;17(1):18-20. (In Russ.)]
- Родионов А.Н., Заславский Д.В., Чупров И.Н., и др. Дерматопатология воспалительных заболеваний кожи / Под ред. А.Н. Родионова. - Ташкент: Baktria press, 2014. [Rodionov AN, Zaslavskiy DV, Chuprov IN, et al. AN Rodionov, editor. Dermatopatologiya vospalitel’nyh zabolevanij kozhi. Tashkent: Baktria press; 2014. (In Russ.)]
- Doyon JB, Liu KJ, Berman RA. Metoprolol-induced Total Body Erythroderma. J Gen Intern Med. 2017;32(2):221-2. doi: 10.1007/s11606-016-3900-2.
- Kopac P, Zidarn M, Kosnik M. Epidemiology of hypersensitivity reactions to penicillin in Slovenia. Acta Dermatovenerol Alp Pannonica Adriat. 2012;21(4): 65-67.
- Liu A, Giroux L. A Suspected Case of Silodosin-Induced Erythroderma. Drug Saf Case Rep. 2015;2(1):1. doi: 10.1007/s40800-014-0003-z.
- Ozmen S, Murat S, Yoney A. Cutaneous drug eruptions in children; single centre experience. Turk Arch Ped. 2011;46(4):63-67.
- Pichler WJ. Delayed Drug Hypersensitivity Reactions. Ann Intern Med. 2003;139(8):683. doi: 10.7326/0003-4819-139-8-200310210-00012.
- Rener-Primec Z, Balkovec V. Valproate-related erythrodermia with reversible encephalopathy: a rare but serious adverse reaction, case report. Acta Dermatovenerol Alp Pannonica Adriat. 2014;23(2): 35-38.
- Rothe MJ, Bernstein ML, Grant-Kels JM. Life-threatening erythroderma: diagnosing and treating the “red man”. Clin Dermatol. 2005;23(2):206-217. doi: 10.1016/j.clindermatol.2004.06.018.
- Saha M, Gorai S, Madhab V. Oxcarbazepine-induced drug rash with eosinophilia and systemic symptoms syndrome presenting as exfoliative dermatitis. J Pharmacol Pharmacother. 2016;7(3):142-145. doi: 10.4103/0976-500X.189681.
- Shiohara T, Kano Y, Takahashi R. Current concepts on the diagnosis and pathogenesis of drug induced hypersensitivity syndrome. JMAJ. 2009;52(5): 347-352.
- Wolf K, Goldsmith L, Katz S, et al. Fitzpatrick’s dermatology in general medicine. 7th ed. New York: McGraw-Hill; 2007.
- Zaccara G, Franciotta D, Perucca E. Idiosyncratic adverse reactions to antiepileptic drugs. Epilepsia. 2007;48(7): 1223-44. doi: 10.1111/j.1528-1167.2007.01041.x.
Дополнительные файлы





