Maternal body estrogen exposure influences the mice offspring ovaries’ morphology
- 作者: Sulaymanova R.T.1, Khayrullin R.M.1, Lebedeva A.I.2, Sulaymanova L.I.3, Askhabova E.D.4
-
隶属关系:
- University “Reaviz”
- All-Russian Eye and Plastic Surgery Center
- City Polyclinic No. 52 of the Department of Health of Moscow
- O.M. Filatov Municipal Clinical Hospital No. 15 of the Department of Health of Moscow
- 期: 卷 12, 编号 6 (2021)
- 页面: 55-62
- 栏目: Original studies
- URL: https://bakhtiniada.ru/pediatr/article/view/106324
- DOI: https://doi.org/10.17816/PED12655-62
- ID: 106324
如何引用文章
详细
Background. The question of the effect of female sex hormones and their analogues on humans and experimental animals is of great interest in medicine.
Aim. The aim of the work was to study the morphological features of the ovaries of the offspring of laboratory mice during the administration of estrogens to the maternal body.
Materials and methods. Female laboratory mice after fertilization were divided into groups: two control and two experimental, which at the stage of development of gestation E11.5 underwent intramuscular, single administration of experimental doses of estrogens. The first experimental group was injected with the synthetic drug synestrol in the form of a 2% oil solution at a total dose of 50 mcg / kg (n = 5; S-50), the first control group was injected with olive oil at a dose of 0.2 μm/kg (n = 5). The second experimental group was injected with a 0.4 ml 0.0005% fulvestrant oil solution at a dose of 100 mcg/kg (n = 5; F-100), the second control group (n = 5) received sterile castor oil at a dose of 0.8 μm/kg.
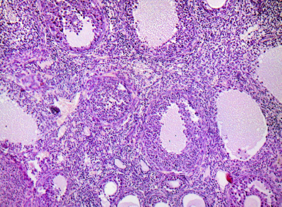
Results. Persistent morphological changes are observed in the ovaries of the offspring of the first experimental group S-50: an increase in the average area of the cortical substance, a decrease in the area of the medulla, an increase in the average number of yellow bodies, an increase in the average number of luteal cells in the yellow body, a decrease in the total number of follicles and atretic bodies, indicating a violation of the folliculogenesis process, an increase in the average diameter of blood vessels demonstrating increased blood circulation. With the introduction of the drug fulvestrant 100 mcg / kg in the second experimental group F-100, morphological changes in the form of an increase in the average area of the cortical substance, a decrease in the average area of the medulla, sclerosis of the stromal component, accompanied by a restructuring of the vascular network with signs of atresia and cystic degeneration of the follicular epithelium in secondary and tertiary follicles are considered on a slice of the ovaries of the offspring.
Conclusions. The obtained results of the study confirm the urgency of the problem of implementing complex measures aimed at limiting the effects of estrogenetic drugs introduced into the maternal body during pregnancy, in order to prevent adverse effects on the development of the ovaries of offspring.
作者简介
Rimma Sulaymanova
University “Reaviz”
编辑信件的主要联系方式.
Email: rimma2006@bk.ru
ORCID iD: 0000-0002-1658-9054
SPIN 代码: 4933-2131
PhD, Cand. Sci. (Biol.), Associate Professor of the Department of Medical and Biological Disciplines
俄罗斯联邦, Saint PetersburgRadik Khayrullin
University “Reaviz”
Email: r.m.hayrullin@reaviz.online
MD, PhD, Dr. Sci. (Med.), Professor of the Department of Morphology and Pathology
俄罗斯联邦, Saint PetersburgAnna Lebedeva
All-Russian Eye and Plastic Surgery Center
Email: Jeol02@mail.ru
Dr. Sci. (Biol.), Senior Researcher of the Research Department of Morphology
俄罗斯联邦, UfaLuisa Sulaymanova
City Polyclinic No. 52 of the Department of Health of Moscow
Email: lsulajmanova@bk.ru
Pediatrician
俄罗斯联邦, MoscowEliza Askhabova
O.M. Filatov Municipal Clinical Hospital No. 15 of the Department of Health of Moscow
Email: eliza_askhabova92@mail.ru
Pediatrician
俄罗斯联邦, Moscow参考
- Аvtandilov GG. Meditsinskaya morfometriya. Rukovodstvo. Moscow: Meditsina; 1990. 384 p. (In Russ.)
- Arzamastsev EV. Metodologicheskiye ukazaniya po izucheniyu obshchetoksicheskogo deystviya farmakologicheskikh veshchestv. Harbiev RU, ed. (In Russ.) Moscow: Medocina; 2005 C. 41–45.
- Gus’kova TA. A Preclinical toxicological study of drugs as a guarantee of their safe clinical investigations. (In Russ.) Toxicological Review. 2010;(5(104)):2–6.
- Sulaymanova RT. Anogenital distance as a biomarker of the prenatal action of estrogens and the risk of developing reproductive disorders of offspring. Journal of Anatomy and Histopathology. 2021;10(2):38–42. (In Russ.) doi: 10.18499/2225-7357-2021-10-2-38-42
- Patent RU № 2722988/ 05.06.2020. Sulaymanova RT, Murzabaev HK, Rahmatullina IR, et al. Method for simulating the procarcinogenic action of fulvestrant on female descendants ovary in laboratory mice. (In Russ.) Available from: https://patenton.ru/patent/RU2722988C1. Accessed: 12.11.2021
- Patent RU № 2676437/ 09.01.2018. Sulaymanova RT, Khayrullin RM, Imaeva AK, et al. Method for modeling pro-carcinogenic effect of synoestrol on the ovaries of the female offspring of laboratory mice. (In Russ.) Available from: https://patenton.ru/patent/RU2676437C1
- Khabriev RU. Rukovodstvo po eksperimental’nomu (doklinicheskomu) izucheniyu novykh farmakologicheskikh veshchestv. 2005:49–51. (In Russ.)
- Yusupova LR, Sulaymanova RT, Magadeev TR, et al. About the risk factor for breast cancer associated with prenatal estrogen metabolism. Fundamental’nye issledovaniya. (In Russ.) 2013;10(1):130–135.3.
- Bromer JG, Zhou Y, Taylor MB, et al. Bisphenol-A exposure in utero leads to epigenetic alterations in the developmental programming of uterine estrogen response. FASEB J. 2010;24(7):2273–2280. doi: 10.1096/fj.09-140533
- Cora MC, Kooistra L, Travlos G. Vaginal Cytology of the Laboratory Rat and Mouse: Review and Criteria for the Staging of the Estrous Cycle Using Stained Vaginal Smears. Toxicologic Pathology. 2015;43(6):776–793. doi: 10.1177/0192623315570339
- Chandhoke G, Shayegan B, Hotte SJ. Exogenous estrogen therapy, testicular cancer, and the male to female transgender population: a case report. J Med Case Rep. 2018;12(1):373. doi: 10.1186/s13256-018-1894-6
- Hatsumi T, Yamamuro Y. Downregulation of estrogen receptor gene expression by exogenous 17beta-estradiol in the mammary glands of lactating mice. Exp Biol Med (Maywood). 2006;231(3):311–316. doi: 10.1177/153537020623100311
- Iguchi T, Watanabe H, Katsu Y. Developmental effects of estrogenic agents on mice, fish, and frogs: a mini-review. Horm Behav. 2001;40(2):248–251. doi: 10.1006/hbeh.2001.1675
- Korach KS, Couse JF, Curtis SW, et al. Estrogen receptor gene disruption: molecular characterization and experimental and clinical phenotypes. Recent Prog Horm Res. 1996;51:159–186.
- Makieva S, Hutchinson LJ, Rajagopal SP, et al. Androgen-induced relaxation of uterine myocytes is mediated by blockade of both ca(2þ) flux and mlc phosphorylation. J Clin Endocrinol Metab. 2016;101(3):1055–1065. doi: 10.1210/jc.2015-2851
- Li S, Jiang K, Li J, et al. Estrogen enhances the proliferation and migration of ovarian cancer cells by activating transient receptor potential channel C3. J Ovarian Res. 2020;13(1):20. doi: 10.1186/s13048-020-00621-y
- Liang J, Shang Y. Estrogen and cancer. Annu Rev Physiol. 2013;75:225–240. doi: 10.1146/annurev-physiol-030212-183708
- Sulaymanova RT. Effect of the prenatal action of fulvestrant on the ovaries of the offspring of laboratory mice December. RUDN Journal of Medicine. 2021;25(3):256–262. doi: 10.22363/2313-0245-2021-25-3-256-262
- Soto AM, Maffini MV, Sonnenschein C. Neoplasia as development gone awry: the role of endocrine disruptors. Int J Androl. 2008;31(2):288–293. doi: 10.1111/j.1365-2605.2007.00834.x
补充文件




