The possibilities of computed tomography using heart-axis-oriented multiplanar reformations in diagnostics of the great arteries transposition
- Authors: Sadykova G.K.1, Ivanov D.O.1, Bagaturia G.O.1, Ipatov V.V.2, Ryazanov V.V.1
-
Affiliations:
- St. Petersburg State Pediatric Medical University
- S.M. Kirov Military Medical Academy
- Issue: Vol 9, No 4 (2018)
- Pages: 28-35
- Section: Articles
- URL: https://bakhtiniada.ru/pediatr/article/view/10401
- DOI: https://doi.org/10.17816/PED9428-35
- ID: 10401
Cite item
Full Text
Abstract
This article contents the results of computed tomography with intravenous bolus contrast media administration data analysis in children with transposition and congenitally corrected transposition of the great arteries with the consequental performing of the multiplanar heart-axis-oriented reformations. Among 148 examined children transposition of great arteries was detected in 13 patients (9 boys and 4 girls aged 1-144 day of life); congenitally corrected transposition was found in 4 cases of children aged from 6 months to 15 years and 6 months (2 boys and 2 girls). In this article comprehensive anatomical criteria of each heart chamber morphology are presented and reformations where these criteria can be seen are shown. Also in the article is given comparative characterization of heart and great arteries structures in transposition and congenitally corrected transposition in every certain heart-axis-oriented reformation. By the results of consequently performed heart-axis-oriented reformations data analysis the peculiar anatomical signs of transposition and congenitally corrected transposition are determined. The results of data analysis show that from the list of offered reformations the peculiar anatomical signs of both kinds of transposition are significantly determined in long-axis of right ventricle inflow tract reformation, left heart chambers reformation, supply ventricle division reformation, short-axis reformation at the level of great arteries. Computed tomographic angiocardiography heart-axis-oriented multiplanar reformations permit full and correct assessment of heart and main vessels, which is important for planning of surgical treatment in congenital heart diseases.
Full Text
Введение
«Транспозиция» — термин, используемый для описания дискордантных желудочково-артериальных соединений независимо от того, конкордантны или дискордантны предсердно-желудочковые соединения [1, 5]. По умолчанию термином «транспозиция» обозначают сочетание дискордантных желудочково-артериальных соединений с конкордантными предсердно-желудочковыми соединениями. «Врожденно корригированная транспозиция» или просто «корригированная транспозиция» обозначает сочетание дискордантных желудочково-артериальных соединений и дискордантных предсерд но-желудочковых соединений [1, 5].
Транспозиция магистральных сосудов — это порок сердца, при котором аорта отходит от морфологически правого желудочка, а легочная артерия — от морфологически левого желудочка (дискордантные желудочково-артериальные соединения), при этом морфологически правое предсердие соединяется с морфологически правым желудочком, морфологически левое предсердие — с морфологически левым желудочком (конкордантное предсердно-желудочковое соединение) [3, 5, 6, 9, 11, 17]. Это приводит к тому, что малый и большой круги кровообращения разомкнуты и функционируют не последовательно (как в норме), а параллельно [13]. Условием жизнеспособности ребенка является наличие сопутствующих внутрисердечных и внесердечных компенсирующих дефектов [12]. Шунт может быть представлен дефектом межпредсердной перегородки, дефектом межжелудочковой перегородки, открытым артериальным протоком. Дефект межжелудочковой перегородки встречается у 50 % пациентов [18]. Транспозиция называется простой, если сочетается с межпредсердным сообщением (открытое овальное окно, вторичный дефект межпредсердной перегородки). А если в качестве компенсирующего дефекта имеется дефект межжелудочковой перегородки, то транспозиция называется сложной [8]. Основными клиническими проявлениями транспозиции магистральных артерий служат цианоз и одышка [20].
Корригированная транспозиция магистральных сосудов характеризуется дискордантными желудочково-артериальными соединениями и дискордантными предсердно-желудочковыми соединениями: морфологически правое предсердие соединяется с морфологически левым желудочком, от которого отходит легочная артерия, морфологически левое предсердие соединяется с морфологически правым желудочком, от которого отходит аорта. При этом пороке системная и легочная циркуляция крови происходит последовательно, как в норме. Этот порок в изолированном виде не проявляется гемодинамическими нарушениями, выявляется случайно в различном возрасте. По данным литературы, наиболее поздняя первичная диагностика корригированной транспозиции магистральных сосудов была у пациента в возрасте 83 лет [15]. При корригированной транспозиции возникают нарушения гемодинамики только при наличии сопутствующих пороков [3, 6, 7, 9, 11].
Материалы и методы
В исследование были включены 148 пациентов со сложными врожденными пороками сердца и магистральных артерий, которым были выполнены трансторакальная эхокардиография, КТ-ангиокардиография без ЭКГ-синхронизации, оперативное лечение. Из 148 пациентов со сложными врожденными пороками сердца и магистральных артерий транспозиция магистральных сосудов встречалась у 13 пациентов (в возрасте от 1 до 144 дней жизни; 9 — мужского пола, 4 — женского пола), корригированная транспозиция магистральных сосудов — у 4 пациентов (в возрасте от 6 мес. до 15 лет 6 мес.; 2 — мужского пола, 2 — женского пола). Данные КТ-ангиокардиографии пациентов с транспозицией магистральных сосудов были проанализированы путем последовательного построения многоплоскостных реформаций, ориентированных на оси сердца.
Результаты исследования
С помощью построения многоплоскостных реформаций, ориентированных на оси сердца, проведен анализ данных рентгеновской компьютерной томографии с внутривенным болюсным введением контрастного вещества, выполненной детям с транспозицией и корригированной транспозицией магистральных артерий.
Каждой камере сердца, даже при наличии сердечного порока, присущи постоянные анатомические характеристики, на основе которых определяется их морфология [2]. Поэтому при врожденных пороках сердца важно определить морфологию каждой камеры сердца: морфологически правое предсердие, морфологически левое предсердие, морфологически правый желудочек, морфологически левый желудочек [20].
К анатомическим признакам морфологически правого предсердия относятся: ушко, системный венозный синус (в него впадают верхняя полая вена, нижняя полая вена, коронарный синус), вестибулярный отдел (окружает отверстие трехстворчатого клапана). К анатомическим признакам морфологически левого предсердия относятся: ушко, легочный венозный синус (расположены устья легочных вен), вестибулярный отдел (окружает отверстие митрального клапана).
Из всех анатомических признаков предсердий наиболее постоянными являются форма ушек, соединение ушек с предсердной полостью, специфическое распределение гребенчатых мышц относительно вестибулярных отделов предсердий, что позволяет однозначно отнести предсердие к морфологически правому или левому [1, 19].
Анализ компьютерно-томографических данных необходимо начинать с определения морфологии предсердий.
Из вышеперечисленных признаков в реформации по длинной оси приносящего тракта правого желудочка и реформации левых камер сердца можно точно определить морфологию предсердий, основываясь на форме ушек и характере их соединения с предсердной полостью. Кроме этого, ушки предсердий визуализируются в реформации по короткой оси на уровне магистральных артерий.
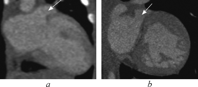
Анатомические признаки ушка, характерного для морфологически правого предсердия (треугольная форма с тупой вершиной, широкое соединение с предсердной полостью, слабо выраженная дольчатость [1, 2, 4, 16]), определяют в реформации по длинной оси приносящего тракта правого желудочка (рис. 1). В этой реформации видно, что при транспозиции морфологически правое предсердие соединяется с морфологически правым желудочком (см. рис. 1, а), а при корригированной транспозиции морфологически правое предсердие — с морфологически левым желудочком (см. рис. 1, b).
Рис. 1. В реформации по длинной оси приносящего тракта правого желудочка ушко морфологически правого предсердия при транспозиции магистральных сосудов (а, стрелка), при корригированной транспозиции магистральных сосудов (b, стрелка)
Fig. 1. Long-axis of right ventricle inflow tract reformation. The eyelet of the morphologically right ventricle in great arteries transposition (a, arrow) and in corrected great arteries transposition (b, arrow)
Анатомические признаки ушка, характерного для морфологически левого предсердия (узкая вытянутая форма с заостренным концом, узкое соединение с предсердной полостью, хорошо выраженная дольчатость [1, 2, 4, 16]), определяют в реформации левых камер сердца (рис. 2). В этой реформации обращает на себя внимание соединение морфологически левого предсердия с морфологически левым желудочком при транспозиции (рис. 2, а), соединение морфологически левого предсердия с морфологически правым желудочком при корригированной транспозиции (рис. 2, b).
Рис. 2. В реформации левых камер сердца ушко морфологически левого предсердия при транспозиции магистральных сосудов (а, стрелка), при корригированной транспозиции магистральных сосудов (b, стрелка)
Fig. 2. Left heart chambers reformation. The eyelet of the morphologically left ventricle in great arteries transposition (a, arrow) and in corrected great arteries transposition (b, arrow)
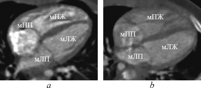
В правом и левом желудочках выделяют три отдела: приточный, трабекулярный и выходной. Каждый отдел желудочка имеет анатомические признаки, характерные для морфологически правого или левого желудочка [1, 2, 4, 9, 16, 17]. Из трех отделов желудочков наиболее постоянной является трабекулярная часть. Поэтому на основании анатомической характеристики трабекул в области верхушек производят разделение желудочков на морфологически правый и морфологически левый. Атриовентрикулярный клапан морфологически правого желудочка всегда расположен ближе к верхушке сердца в сравнении с атриовентрикулярным клапаном морфологически левого желудочка.
В реформации приточных отделов желудочков на основании характерных признаков трабекулярной части желудочков и расположения атриовентрикулярных клапанов определяют морфологию желудочков и их взаимное расположение. Трабекулярный отдел морфологически левого желудочка характеризуется многочисленными тонкими трабекулами с толстым плотным слоем миокарда и сглаженной поверхностью перегородки. Трабекулы разделены мелкими желобками, не вдающимися глубоко в миокард [1, 2, 4, 9, 14].
Для морфологически правого желудочка характерны следующие анатомические признаки трабекулярного отдела: небольшое количество грубых трабекул с тонким плотным слоем миокарда, при этом трабекулы разделены глубокими желобками, простирающимися вплоть до эпикарда; характерно наличие модераторного пучка [1, 2, 4, 9, 14] (рис. 3).
Рис. 3. Реформация приточных отделов желудочков. мЛЖ — морфологически левый желудочек; мЛП — морфологически левое предсердие; мПЖ — морфологически правый желудочек; мПП — морфологически правое предсердие
Fig. 3. Supply ventricles division reformation. мЛЖ – morphologically left ventricle; мЛП – morphologically leftatrium; мПЖ – morphologically right ventricle; мПП – morphologically rightatrium
При транспозиции магистральных артерий топология желудочков относительно расположения сердца в грудной полости следующая: морфологически правый желудочек располагается справа, спереди и снизу относительно морфологически левого желудочка (рис. 4).
Рис. 4. Реформация приточных отделов желудочков при транспозиции магистральных артерий. мЛЖ — морфологически левый желудочек; мЛП — морфологически левое предсердие; мПЖ — морфологически правый желудочек; мПП — морфологически правое предсердие
Fig. 4. Supply ventricles division reformation in great arteries transposition. мЛЖ – morphologically left ventricle; мЛП – morphologically left atrium; мПЖ – morphologically right ventricle; мПП – morphologically right atrium
При корригированной транспозиции магистральных артерий морфологически правый желудочек располагается слева и сзади от морфологически левого желудочка (рис. 5, 6).
Рис. 5. Реформация приточных отделов желудочков при корригированной транспозиции магистральных артерий. мЛЖ — морфологически левый желудочек; мЛП — морфологически левое предсердие; мПЖ — морфологически правый желудочек; мПП — морфологически правое предсердие
Fig. 5. Supply ventricles division reformation in corrected great arteries transposition. мЛЖ – morphologically left ventricle; мЛП – morphologically left atrium; мПЖ – morphologically right ventricle; мПП – morphologically right atrium
Рис. 6. Реформация приточных отделов желудочков при корригированной транспозиции магистральных артерий. мЛЖ — морфологически левый желудочек; мЛП — морфологически левое предсердие; мПЖ — морфологически правый желудочек; мПП — морфологически правое предсердие
Fig. 6. Supply ventricles division reformation in corrected great arteries transposition. мЛЖ — morphologically left ventricle; мЛП — morphologically left atrium; мПЖ — morphologically right ventricle; мПП — morphologically right atrium
При обычном расположении морфологически правое предсердие находится справа от морфологически левого предсердия. При обратном расположении морфологически правое предсердие находится слева от морфологически левого предсердия. Положение предсердий почти всегда связано с положением внутренних органов, но не зависит от положения желудочков или магистральных артерий. При транспозиции (см. рис. 4) и корригированной транспозиции (см. рис. 5, 6) взаимное расположение предсердий, как правило, обычное.
В реформации по длинной оси левого желудочка в норме можно оценить все отделы левого желудочка, митрально-полулунное фиброзное продолжение, взаимоотношение желудочков и магистральных артерий, наличие дефектов межжелудочковой перегородки.
При транспозиции в этой реформации, в отличие от нормы, выходные тракты и магистральные артерии расположены параллельно. При этом визуализируются два параллельно расположенных сосуда: аорта — спереди от легочной артерии, которая является продолжением правого желудочка; легочная артерия — кзади от аорты, которая является продолжением левого желудочка (рис. 7, а). Параллельный ход магистральных артерий четко визуализируется и в реформации приточных отделов желудочков.
Рис. 7. В реформации по длинной оси левого желудочка при транспозиции магистральных сосудов: выходные тракты и магистральные артерии расположены параллельно (а); определяются митральное полулунное фиброзное продолжение (b, стрелка) и дефект межжелудочковой перегородки (c, стрелка). Ао — аорта; ЛА — легочная артерия; ЛЖ — левый желудочек; ПЖ — правый желудочек
Fig. 7. Long-axis of left ventricle reformation in great arteries transposition: outflow tracts and great arteries are parallel (а); semi-lunar fibrous prolongation (b, arrow) and interventricular sept defect (c, arrow) are determined. Ао – aorta; ЛА – pulmonary artery; ЛЖ – left ventricle; ПЖ – right ventricle
Достоверно визуализировать митрально-полулунное фиброзное продолжение, представляющее собой фиброзный контакт легочного клапана с митральным клапаном, при транспозиции удалось в 10 случаях (рис. 7, b). Дефект межжелудочковой перегородки визуализировался во всех случаях (рис. 7, c). В реформации по длинной оси левого желудочка удалось определить стеноз выходного тракта левого желудочка (рис. 8).
Рис. 8. В реформации по длинной оси левого желудочка при транспозиции магистральных сосудов определяется сужение выходного отдела левого желудочка. Ао — аорта; ЛА — легочная артерия; ВО — выходной отдел; ДМЖП — дефект межжелудочковой перегородки; ЛЖ — левый желудочек; ЛП — левое предсердие; ПЖ — правый желудочек
Fig. 8. Long-axis of left ventricle reformation in great arteries transposition: narrowing of the output portion of the left ventricle is determined. Ао – aorta; ЛА – pulmonary artery; ВО – the output portion; ЛЖ – left ventricle; ЛП – left atrium; ПЖ – right ventricle
При корригированной транспозиции в этой реформации выходные тракты и магистральные артерии расположены параллельно. При этом визуализируются параллельно расположенные желудочки с отходящими от них магистральными сосудами: аорта — спереди от легочной артерии, которая служит продолжением морфологически левого желудочка; легочная артерия — кзади от аорты, которая служит продолжением морфологически правого желудочка.
В норме по короткой оси центральное положение занимает левый желудочек в виде округ лой структуры с относительно толстыми стенками. Правый желудочек — серповидной формы, с тонкими стенками, прилежит сверху и справа к левому желудочку (рис. 9, а). При транспозиции магистральных артерий взаимное расположение желудочков в этой реформации сохраняется (рис. 9, b). При корригированной транспозиции магистральных артерий взаимное расположение желудочков изменяется: желудочки в виде структур овальной формы расположены рядом, «бок о бок»; справа определяется морфологически левый желудочек, слева — морфологически правый желудочек (рис. 9, c) [9, 10].
Рис. 9. Реформация по короткой оси левого желудочка: а — норма; b — транспозиция магистральных сосудов; c — корригированная транспозиция магистральных сосудов. ЛЖ — левый желудочек; ПЖ — правый желудочек
Fig. 9. Short-axis of left ventricle reformation: а – normal; b – great arteries transposition; c – corrected great arteries transposition; ЛЖ — left ventricle; ПЖ — right ventricle
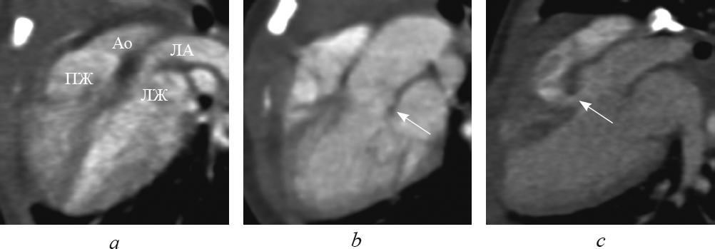
В норме по короткой оси на уровне магистральных артерий центральное положение занимает аорта в виде округлого образования. Кзади от аорты расположено морфологически левое предсердие. Вокруг аорты, по окружности за левым предсердием, располагаются межпредсердная перегородка, морфологически правое предсердие, выходной тракт правого желудочка, клапан легочной артерии, легочная артерия (рис. 10, а).
Рис. 10. Реформация по короткой оси на уровне магистральных артерий: а — норма; b — транспозиция магистральных сосудов; c — корригированная транспозиция магистральных сосудов. Ао — аорта; ВОПЖ — выходной отдел правого желудочка; ЛА — легочная артерия; ЛП — левое предсердие; ПП — правое предсердие
Fig. 10. Short-axis reformation at the level of great arteries: а – normal; b – great arteries transposition; c – corrected great arteries transposition. Ао – aorta; ВОПЖ – the output portion of the right ventricle; ЛА – pulmonary artery; ЛП – left atrium; ПП — right atrium
В реформации по короткой оси на уровне магистральных артерий при транспозиции (рис. 10, b) и корригированной транспозиции (рис. 10, c) магистральных артерий не визуализируются выходной тракт морфологически правого желудочка, ствол легочной артерии. В этой реформации при транспозициях визуализируются правое и левое предсердия с хорошо определяемыми ушками, аорта и легочная артерия на уровне клапанов. Центральное положение занимает легочная артерия, а аорта располагается кпереди по отношению к легочной артерии.
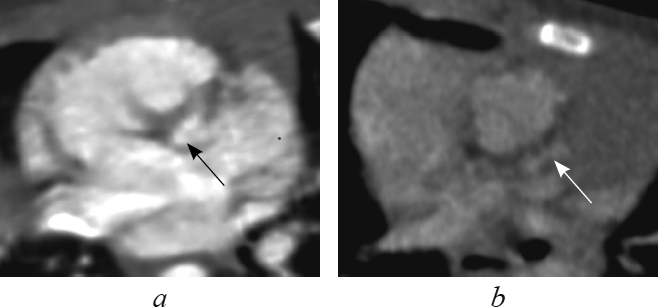
В реформации по короткой оси на уровне магистральных артерий определяют варианты пространственного взаимоотношения аорты с легочной артерией: аорта расположена прямо перед легочной артерией (рис. 11, а); спереди и слева от легочной артерии (рис. 11, b); спереди и справа от легочной артерии (рис. 11, c). В этой реформации визуализировались значимый стеноз (рис. 12, а), атрезия легочной артерии (рис. 12, b).
Рис. 11. Пространственное взаимоотношение аорты с легочной артерией в реформации по короткой оси на уровне магистральных артерий: а — напротив; b — спереди и слева; c — спереди и справа. Ао — аорта; ЛА — легочная артерия
Fig. 11. The spatial relationship of the aorta and pulmonary artery in short-axis reformation at the level of great arteries: а – opposite; b – at the front and at the left; c – at the front and at the right. Ао – aorta; ЛА – pulmonary artery
Рис. 12. Стеноз (а) и атрезия (b) легочной артерии при транспозиции магистральных артерий (стрелки)
Fig. 12. Pulmonary artery stenosis (а) and atresia (b) in transposition (arrows)
Характерные анатомические признаки транспозиций достоверно определяются в следующих реформациях:
- по длинной оси приносящего тракта правого желудочка;
- левых камер сердца;
- приточных отделов желудочков;
- по короткой оси на уровне магистральных сосудов.
Выводы
Анализ последовательно построенных реконструкций, ориентированных на оси сердца, позволяет пошагово выявить характерные анатомические признаки транспозиции и корригированной транспозиции магистральных сосудов, сопутствующую внутрисердечную и внесердечную патологию, что дает возможность определить объем и сроки оперативного вмешательства.
About the authors
Gulnaz K. Sadykova
St. Petersburg State Pediatric Medical University
Author for correspondence.
Email: kokonya1980@mail.ru
Postgraduate Student, Department of Modern Diagnostics and Radiotherapy
Russian Federation, Saint PetersburgDmitry O. Ivanov
St. Petersburg State Pediatric Medical University
Email: doivanov@yandex.ru
MD, PhD, Dr Med Sci, Professor, Rector
Russian Federation, Saint PetersburgGeorgiy O. Bagaturia
St. Petersburg State Pediatric Medical University
Email: geobag@mail.ru
MD, Dr Med Sci, Professor, Chief of Department of Operative Surgery and Topographic Anatomy
Russian Federation, Saint PetersburgVictor V. Ipatov
S.M. Kirov Military Medical Academy
Email: mogidin@mail.ru
MD, Cand Sci Med, Docent of Department of Rentgenology and Radiology
Russian Federation, Saint PetersburgVlarimir V. Ryazanov
St. Petersburg State Pediatric Medical University
Email: 79219501454@yandex.ru
MD, Dr Med Sci, Professor, Department of Modern Diagnostics and Radiotherapy
Russian Federation, Saint PetersburgReferences
- Андерсон Р.Г., Спайсер Д.Е., Хлавачек Э.М., и др. Хирургическая анатомия сердца по Уилкоксу. - М.: Логосфера, 2015. [Anderson RH, Spicer DE, Hlavacek AM. Wilcox’s Surgical Anatomy of the Heart. Moscow: Logosfera; 2015. (In Russ.)]
- Банкл Г. Врожденные пороки сердца и крупных сосудов. - М.: Медицина, 1980. [Bankl H. Congenital Malformations of the Heart and Great Vessels. Translated into Russian. Moscow: Meditsina; 1980. (In Russ.)]
- Белоконь Н.А., Подзолков В.П. Врожденные пороки сердца. - М.: Москва, 1990. [Belokon’ NA, Podzolkov VP. Vrozhdennye poroki serdtsa. Moscow: Moskva; 1990. (In Russ.)]
- Бокерия Л.А., Беришвили И.И. Хирургическая анатомия сердца. Т. 1. - М.: НЦССХ им. Бакулева РАМН, 2009. [Bokeriya LA, Berishvili II. Khirurgicheskaya anatomiya serdtsa. Book 1. Moscow: NTsSSKh im. Bakuleva; 2009. (In Russ.)]
- Бокерия Л.А., Беришвили И.И. Хирургическая анатомия сердца. Т. 3. - М.: НЦССХ им. Бакулева РАМН, 2009. [Bokeriya LA, Berishvili II. Khirurgicheskaya anatomiya serdtsa. Book 3. Moscow: NTsSSKh im. Bakuleva; 2009. (In Russ.)]
- Воробьев А.С. Амбулаторная эхокардиография у детей: руководство для врачей. - СПб.: СпецЛит, 2010. [Vorob’ev AS. Ambulatornaya ekhokardiographia u detey: rukovodstvo dlya vrachey. Saint Petersburg: Spetslit; 2010. (In Russ.)]
- Зиньковский М.Ф. Врожденные пороки сердца. - Киев: Книга-плюс, 2008. [Zin’kovskiy MF. Vrozhdennye poroki serdtsa. Kiev: Kniga-plus; 2008. (In Russ.)]
- Митина И.Н., Бондарев Ю.И. Неинвазивная ультразвуковая диагностика врожденных пороков сердца. - М.: Видар-М, 2004. [Mitina IN, Bondarev YI. Neinvazivnaya ultrazvukovaya diagnostika vrozhdennykh porokov serdtsa. Moscow: Vidar-M; 2004. (In Russ.)]
- Мутафьян О.А. Пороки сердца у детей и подростков. Руководство для врачей. - М.: ГЭОТАР-Медиа, 2009. [Mutafyan OA. Poroki serdtsa u detey i podrostkov. Rukovodstvo dlya vrachey. Moscow: GEOTAR-Media; 2009. (In Russ.)]
- Новиков В.И., Новикова Т.Н. Методика эхокардиографии. - СПб., 2012. [Novikov VI, Novikova TN. Metodika ekhokardiographii. Saint Petersburg; 2012. (In Russ.)]
- Шарыкин А.С. Врожденные пороки сердца. - М.: БИНОМ, 2009. [Sharykin AS. Vrozdennye poroki serdtsa. Moscow: Binom; 2009. (In Russ.)]
- Files MD, Arya B. Preoperative Physiology, Imaging, and Management of Transposition of the Great Arteries. Semin Cardiothorac Vasc Anesth. 2015;19(3):210-222. doi: 10.1177/1089253215581851.
- Frescura C, Thiene G. The Spectrum of Congenital Heart Disease with Transposition of the Great Arteries from the Cardiac Registry of the University of Padua. Front Pediatr. 2016;4:84. doi: 10.3389/fped.2016.00084.
- Otto CM. Textbook of clinical echocardiography. 5th ed. Philadelphia: Elsevier; 2013.
- Placci A, Lovato L, Bonvicini M. Congenitally corrected transposition of the great arteries in an 83-year-old asymptomatic patient: description and literature review. BMJ Case Rep. 2014;2014. doi: 10.1136/bcr-2014-204228.
- Schallert EK, Danton GH, Kardon R, Young DA. Describing congenital heart disease by using three-part segmental notation. Radiographics. 2013;33(2):E33-46. doi: 10.1148/rg.332125086.
- Squarcia U, Macchi C. Transposition of the great arteries. Curr Opin Pediatr. 2011;23(5):518-522. doi: 10.1097/MOP.0b013e32834aa551.
- Thadani SR, Foster E. Echocardiographic evaluation in transposition of the great arteries in the adult. Echocardiography. 2015;32 Suppl 2: S157-165. doi: 10.1111/echo.12151.
- Uemura H, Ho SY, Devine WA, et al. Atrial appendages and venoatrial connections in hearts from patients with visceral heterotaxy. Ann Thorac Surg. 1995;60(3):561-9. doi: 10.1016/0003-4975(95)00538-v.
- Xie LJ, Jiang L, Yang ZG, et al. Assessment of transposition of the great arteries associated with multiple malformations using dual-source computed tomography. PLoS One. 2017;12(11):e0187578. doi: 10.1371/journal.pone.0187578.
Supplementary files













