用于诊断前列腺癌的优化双参数磁共振成像协议
- 作者: Abuladze L.R.1, Semenov D.S.1, Panina O.Y.1,2,3, Vasilev Y.A.1
-
隶属关系:
- Research and Practical Clinical Center for Diagnostics and Telemedicine Technologies
- City Clinical Oncological Hospital No. 1
- Moscow State University of Medicine and Dentistry named after A.I. Evdokimov
- 期: 卷 3, 编号 3 (2022)
- 页面: 166-177
- 栏目: 技术说明
- URL: https://bakhtiniada.ru/DD/article/view/108484
- DOI: https://doi.org/10.17816/DD108484
- ID: 108484
如何引用文章
详细
论证。前列腺癌在男性癌症发病率结构中占据主导地位之一。目前的PI-RADS建议构成了对磁共振成像协议的要求,无法在功能性断层扫描仪的大部分上完全实施。因此,各医疗机构进行检查的方法各不相同,这往往对图像解读和目标病理诊断的质量产生负面影响。
目标是为现有的核磁共振成像开发一种用于诊断前列腺癌的双参数磁共振成像的优化方案,允许潜在的有效筛查和早期发现肿瘤。同时,该协议应尽可能接近当前的PI-RADS v2.1建议,并满足放射科效率的要求。
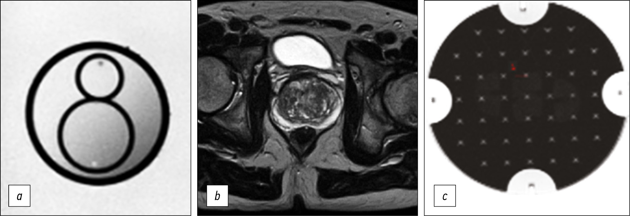
材料与方法。莫斯科市卫生管理局医疗机构对获得的前列腺磁共振图像进行的初步分析表明,该研究的实施缺乏统一的方法。通过反复调整扫描参数,我们建立了一个协议,可提供可接受的可视化质量,同时尽可能满足PI-RADS要求。为了量化所获得图像的质量,使用了美国放射科医师协会推荐的磁共振成像控制体模。
结果。我们已为Excelart Vantage1.5 T断层扫描仪开发了一个优化的双参数协议,其中包括三个平面的作加权像和弥散加权成像 ,总时间不到11分钟。同时,确保了高水平的前列腺细节,图像质量参数(亮度不均匀性、非线性、分辨率和所选部分的厚度)对应于制造商的可接受范围。
结论。拟议的协议可以对前列腺进行有效的评估。将其引入医疗机构的实践会对人群中前列腺癌的可探测性 产生重大影响。应该指出的是,该协议的持续时间使得可以根据研究的目标,补充几乎任何一套脉冲序列。
作者简介
Liya R. Abuladze
Research and Practical Clinical Center for Diagnostics and Telemedicine Technologies
Email: l.abuladze@npcmr.ru
ORCID iD: 0000-0001-6745-1672
SPIN 代码: 5640-9989
俄罗斯联邦, Moscow
Dmitriy S. Semenov
Research and Practical Clinical Center for Diagnostics and Telemedicine Technologies
Email: d.semenov@npcmr.ru
ORCID iD: 0000-0002-4293-2514
SPIN 代码: 2278-7290
Scopus 作者 ID: 57213154475
Researcher ID: P-5228-2017
Researcher of the Department of Innovative Technologies
俄罗斯联邦, MoscowOlga Y. Panina
Research and Practical Clinical Center for Diagnostics and Telemedicine Technologies; City Clinical Oncological Hospital No. 1; Moscow State University of Medicine and Dentistry named after A.I. Evdokimov
Email: olgayurpanina@gmail.com
ORCID iD: 0000-0002-8684-775X
SPIN 代码: 5504-8136
Researcher ID: AAG-6447-2020
俄罗斯联邦, Moscow; Moscow; Moscow
Yuriy A. Vasilev
Research and Practical Clinical Center for Diagnostics and Telemedicine Technologies
编辑信件的主要联系方式.
Email: dr.vasilev@me.com
ORCID iD: 0000-0002-0208-5218
SPIN 代码: 4458-5608
俄罗斯联邦, Moscow
参考
- Sung H, Ferlay J, Siegel RL, et al. Global cancer statistics 2020: GLOBOCAN estimates of incidence and mortality worldwide for 36 cancers in 185 countries. CA Cancer J Clin. 2021;71:209–49. doi: 10.3322/caac.21660
- Barentsz JO, Richenberg J, Clements R, et al. ESUR prostate MR guidelines 2012. Eur Radiol. 2012;22(4):746–757. doi: 10.1007/s00330-011-2377-y
- Weinreb JC, Barentsz JO, Choyke PL, et al. PI-RADS prostate imaging ― reporting and data system: 2015, version 2. Eur Urol. 2016;69(1):16–40. doi: 10.1016/j.eururo.2015.08.052
- Park SY, Jung DC, Oh YT, et al. Prostate cancer: PI-RADS version 2 helps preoperatively predict clinically significant cancers. Radiology. 2016;280(1):108–116. doi: 10.1148/radiol.16151133.
- Israël B, van der Leest M, Sedelaar M, et al. Multiparametric magnetic resonance imaging for the detection of clinically significant prostate cancer: what urologists need to know. part 2: interpretation. Eur Urol. 2020;77(4):469–480. doi: 10.1016/j.eururo.2019.10.024
- Tamada T, Kido A, Yamamoto A, et al. Comparison of biparametric and multiparametric mri for clinically significant prostate cancer detection with pi-rads version 2.1. J Magn Reson Imaging. 2021;53(1):283–291. doi: 10.1002/jmri.27283
- Patent RUS 208239 U1. Semenov DS, Petryaykin AV, Vasiliev YuA, et al. Phantom device for configuring protocols of magnetic resonance imaging of the prostate gland in patients with metal structures of the hip joint. (In Russ). Available from: https://www.elibrary.ru/item.asp?id=47429681. Accessed: 15.03.2022.
- Engels RR, Israël B, Padhani AR, et al. Multiparametric magnetic resonance imaging for the detection of clinically significant prostate cancer: what urologists need to know. Part 1: acquisition. Eur Urol. 2020;77(4):457–468. doi: 10.1016/j.eururo.2019.09.021
- Methodology for monitoring the parameters and characteristics of magnetic resonance tomographs under operating conditions Methodological recommendations No. 17 (approved 10.09.2011). (In Russ). Available from: https://docs.cntd.ru/document/456079947. Accessed: 15.03.2022.
- Siegel RL, Miller KD, Fuchs HE, et al. Cancer Statistics, 2021. CA Cancer J Clin. 2021;71(1):7–33. doi: 10.3322/caac.21654
- Ferlay J, Colombet M, Soerjomataram I, et al. Cancer incidence and mortality patterns in Europe: Estimates for 40 countries and 25 major cancers in 2018. Eur J Cancer. 2018;103:356–387. doi: 10.1016/j.ejca.2018.07.005
- Malignant neoplasms in Russia in 2020 (morbidity and mortality). Ed. by A.D. Kaprin, V.V. Starinsky, A.O. Shakhzadova. Moscow; 2021. 252 p. (In Russ).
- Patel AR, Klein EA. Risk factors for prostate cancer. Nat Clin Pract Urol. 2009;6(2):87–95. doi: 10.1038/ncpuro1290
- Sherrer RL, Glaser ZA, Gordetsky JB, et al. Comparison of biparametric MRI to full multiparametric MRI for detection of clinically significant prostate cancer. Prostate Cancer Prostatic Dis. 2019;22(2):331–336. doi: 10.1038/s41391-018-0107-0
- Zawaideh JP, Sala E, Shaida N, et al. Diagnostic accuracy of biparametric versus multiparametric prostate MRI: assessment of contrast benefit in clinical practice. Eur Radiol. 2020;30(7):4039–4049. doi: 10.1007/s00330-020-06782-0
- Van der Leest M, Israël B, Cornel EB, et al. High diagnostic performance of short magnetic resonance imaging protocols for prostate cancer detection in biopsy-naïve men: the next step in magnetic resonance imaging accessibility. Eur Urol. 2019;76(5):574–581. doi: 10.1016/j.eururo.2019.05.029
- Stanzione A, Ponsiglione A, Cuocolo R, et al. Abbreviated protocols versus multiparametric mri for assessment of extraprostatic extension in prostatic carcinoma: A multireader study. Anticancer Res. 2019;39(8):4449–4454. doi: 10.21873/anticanres.13617
- Gelezhe PB, Blokhin IA, Semenov SS, et al. Radiomics of magnetic resonance imaging in prostate cancer: what is currently known? Digital Diagnostics. 2021;2(4):441–452. (In Russ).
补充文件







