Рентгенологическая оценка изменений в сосудах лёгких и желудочно-кишечного тракта у пациентов с COVID-19, направленных в специализированный медицинский центр в г. Ченнаи (Индия): проспективное одномоментное исследование
- Авторы: Sathishkumar H.1, Faizal A.2, Majith A.2, Raj V.2, Venkataramani A.3
-
Учреждения:
- Government Chengalpattu Medical College and Hospital
- Saveetha Medical College and Hospital, Saveetha Institute of Medical and Technical Sciences
- Mahatma Gandhi Medical College and Research Institute
- Выпуск: Том 5, № 3 (2024)
- Страницы: 480-490
- Раздел: Оригинальные исследования
- URL: https://bakhtiniada.ru/DD/article/view/310033
- DOI: https://doi.org/10.17816/DD626759
- ID: 310033
Цитировать
Полный текст
Аннотация
Обоснование. Пандемия коронавирусной инфекции (COVID-19) характеризовалась высокими показателями заболеваемости и смертности во всём мире с момента своего появления в 2019 году. COVID-19 является в первую очередь респираторным заболеванием, однако может поражать и другие системы органов, в том числе сосуды и желудочно-кишечный тракт. В число осложнений COVID-19 входят тромбозы артерий и вен, при этом многочисленные исследования свидетельствуют о повышении риска развития тромбоэмболии лёгочной артерии. По результатам патологоанатомического вскрытия пациентов с COVID-19 были выявлены случаи развития тромбоза сосудов лёгких и ишемии кишечника.
Цель — оценка рентгенологических признаков изменений сосудов лёгких (в частности — тромбоэмболии лёгочной артерии) и изменений сосудов желудочно-кишечного тракта у пациентов с COVID-19, направленных в специализированный медицинский центр в г. Ченнаи (Индия).
Материалы и методы. 100 пациентам с COVID-19, соответствовавшим критериям отбора для участия в исследовании, была проведена компьютерная томографическая ангиография сосудов лёгких и компьютерная томография брюшной полости с контрастированием. Оценку изменений в сосудах лёгких и кишечника проводил рентгенолог с 5-летним опытом работы. В дальнейшем с целью определения значимости взаимосвязи COVID-19 с возникновением изменений в сосудах лёгких и кишечника был проведён статистический анализ.
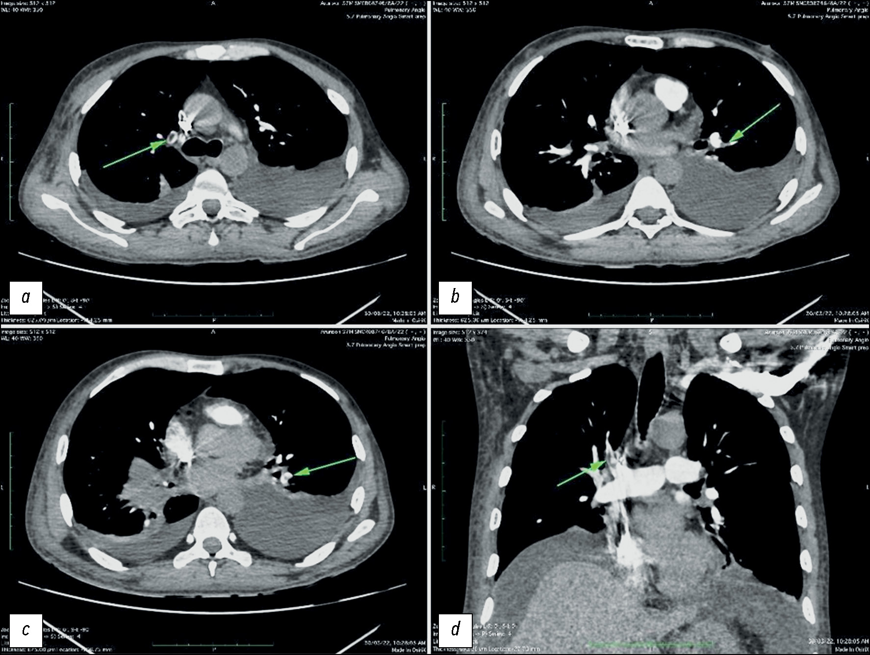
Результаты. В исследовании у 11 пациентов была выявлена тромбоэмболия лёгочной артерии, а у 7 пациентов — значительные изменения в сосудах кишечника, в том числе утолщение стенки кишечника, мезентериальная ишемия и инфаркт сальника, что указывает на потенциальное поражение сосудов желудочно-кишечного тракта у пациентов с COVID-19. Была обнаружена положительная корреляция между наличием COVID-19 и развитием тромбоэмболии лёгочной артерии, которая была диагностирована в среднем через 11 дней с момента начала заболевания. По данным компьютерной томографической ангиографии сосудов лёгких тромбоэмболия лёгочной артерии была выявлена у 7 из 24 пациентов с тяжёлым острым респираторным течением COVID-19. Кроме того, данное осложнение наблюдалась у 7 из 10 пациентов, находившихся на искусственной вентиляции лёгких. У 4 из 7 пациентов с изменениями в сосудах кишечника была также выявлена тромбоэмболия лёгочной артерии, что указывает на значимую взаимосвязь данных изменений. Наблюдаемые изменения в сосудах кишечника были обусловлены внутрисосудистым образованием тромбов.
Заключение. Согласно полученным результатам, можно заключить, что у пациентов с тяжёлым течением COVID-19 часто возникает сопутствующая тромбоэмболия лёгочной артерии, а также имеют место изменения в сосудах кишечника. Кроме того, многофакторный анализ позволил выявить связь между инвазивной искусственной вентиляцией лёгких и развитием тромбоэмболии лёгочной артерии. Таким образом, решения в рамках ведения таких пациентов должны приниматься по результатам компьютерной томографии с контрастированием, поскольку стандартная компьютерная томография без контрастирования не даёт необходимой информации.
Полный текст
Открыть статью на сайте журналаОб авторах
Hariharan Sathishkumar
Government Chengalpattu Medical College and Hospital
Email: harisathish00788@gmail.com
ORCID iD: 0009-0005-3198-9899
MD
Индия, ЧенгалпаттуAfwaan Faizal
Saveetha Medical College and Hospital, Saveetha Institute of Medical and Technical Sciences
Email: affanfaizal4498@gmail.com
ORCID iD: 0009-0000-9664-6698
MD
Индия, ЧеннаиAbdul Majith
Saveetha Medical College and Hospital, Saveetha Institute of Medical and Technical Sciences
Автор, ответственный за переписку.
Email: radsaveetha@gmail.com
ORCID iD: 0009-0005-2351-2644
MD
Индия, ЧеннаиVishnu Raj
Saveetha Medical College and Hospital, Saveetha Institute of Medical and Technical Sciences
Email: vishnurajsedhu@gmail.com
ORCID iD: 0009-0004-2436-4586
MD
Индия, ЧеннаиAgathiyanathan Venkataramani
Mahatma Gandhi Medical College and Research Institute
Email: aakashv3@gmail.com
ORCID iD: 0009-0004-7403-8164
Индия, Пудучерри
Список литературы
- Manfrini N., Notarbartolo S., Grifantini R., Pesce E. SARS-CoV-2: A Glance at the Innate Immune Response Elicited by Infection and Vaccination // Antibodies. 2024. Vol. 13, N 1. P. 13. doi: 10.3390/antib13010013
- Thornton G.M., Fleck B.A., Kroeker E., et al. The impact of heating, ventilation, and air conditioning design features on the transmission of viruses, including the 2019 novel coronavirus: A systematic review of ventilation and coronavirus // PLOS Glob Public Health. 2022. Vol. 2, N 7. P. e0000552. doi: 10.1371/journal.pgph.0000552
- Chen A.T., Wang C.Y., Zhu W.L., Chen W. Coagulation Disorders and Thrombosis in COVID-19 Patients and a Possible Mechanism Involving Endothelial Cells: A Review // Aging Dis. 2022. Vol. 13, N 1. P. 144–156. doi: 10.14336/AD.2021.0704
- Nemec H.M., Ferenczy A., Christie B.D. 3rd, Ashley D.W., Montgomery A. Correlation of D-dimer and Outcomes in COVID-19 Patients // Am Surg. 2022. Vol. 88, N 9. P. 2115–2118. doi: 10.1177/00031348221091940
- Stark K., Massberg S. Interplay between inflammation and thrombosis in cardiovascular pathology // Nat Rev Cardiol. 2021. Vol. 18. P. 666–682. doi: 10.1038/s41569-021-00552-1
- Al-Samkari H., Karp Leaf R.S., Dzik W.H., et al. COVID-19 and coagulation: bleeding and thrombotic manifestations of SARS-CoV-2 infection // Blood. 2020. Vol. 136, N 4. P. 489–500. doi: 10.1182/blood.2020006520
- Covino M., De Matteis G., Polla D.A.D., et al. Predictors of in-hospital mortality AND death RISK STRATIFICATION among COVID-19 PATIENTS aged ≥80 YEARs OLD // Archives of Gerontology and Geriatrics. 2021. Vol. 95. P. 104383. doi: 10.1016/j.archger.2021.104383
- Parekh M., Donuru A., Balasubramanya R., Kapur S. Review of the Chest CT Differential Diagnosis of Ground-Glass Opacities in the COVID Era // Radiology. 2020. Vol. 297, N 3. P. E289–E302. doi: 10.1148/radiol.2020202504
- Danzi G.B., Loffi M., Galeazzi G., Gherbesi E. Acute pulmonary embolism and COVID-19 pneumonia: a random association? // Eur Heart J. 2020. Vol. 41, N 19. P. 1858. doi: 10.1093/eurheartj/ehaa254
- Chi G., Lee J.J., Jamil A., et al. Venous thromboembolism among hospitalized patients with COVID-19 undergoing thromboprophylaxis: a systematic review and meta-analysis // J Clin Med. 2020. Vol. 9, N 8. P. 2489. doi: 10.3390/jcm9082489
- Grillet F., Behr J., Calame P., Aubry S., Delabrousse E. Acute pulmonary embolism associated with COVID-19 pneumonia detected with pulmonary CT angiography // Radiology. 2020. Vol. 296, N 3. P. E186–E188. doi: 10.1148/radiol.2020201544
- Abdelmohsen M.A., Alkandari B.M., Gupta V.K., et al. Gastrointestinal tract imaging findings in confirmed COVID-19 patients: a non-comparative observational study // Egypt J Radiol Nucl Med. 2021. Vol. 52. doi: 10.1186/s43055-021-00433-0
Дополнительные файлы





