Том 2, № 2 (2021)
- Год: 2021
- Статей: 8
- URL: https://bakhtiniada.ru/DD/issue/view/3395
- DOI: https://doi.org/10.17816/DD.22
Оригинальные исследования
Возможности снижения лучевой нагрузки при проведении компьютерной томографии для оценки изменений в лёгких, характерных для СOVID-19: использование адаптивной статистической итеративной реконструкции
Аннотация
Обоснование. Большинство пациентов с COVID-19 во время госпитализации проходит многократные визуализационные обследования, кумулятивный эффект которых может значительно увеличивать общую дозу полученного облучения. Эффективная доза облучения может быть снижена за счёт уменьшения тока и напряжения рентгеновской трубки, что, однако, снижает качество изображения. Возможным решением этой проблемы может стать внедрение технологии адаптивной статистической итерационной реконструкции «сырых данных» компьютерной томографии (КТ) ― Adaptive Statistical Iterative Reconstruction (ASIR). В последнее время в литературе появились сведения об эффективности низкодозной КТ (НДКТ) в диагностике COVID-19.
Цель ― анализ качества и диагностической ценности НДКТ-изображений лёгких после применения итеративного алгоритма обработки; оценка возможности снижения лучевой нагрузки на пациента при диагностике COVID-19.
Материал и методы. В проспективном исследовании приняли участие пациенты, проходившие стационарное лечение в инфекционном отделении МНОЦ МГУ им. М.В. Ломоносова. Исследования КТ выполнялись при поступлении и выписке; в период госпитализации их повторяли по мере клинической необходимости. При первом исследовании использовался стандартный протокол КТ с напряжением тока на трубке 120 кВ и автоматическим модулированием силы тока в диапазоне 200–400 мА, при повторных КТ применяли протокол НДКТ с уменьшенными параметрами напряжения тока на трубке (100 или 110 кВ) и автоматической модуляцией тока в диапазоне 40–120 мА. Для оценки диагностической ценности НДКТ по сравнению со стандартной КТ было проведено анкетирование среди врачей отделения лучевой диагностики МНОЦ МГУ. Анкета включала в себя сравнительную характеристику двух методик при выявлении таких патологических процессов, как уплотнение лёгочной ткани по типу матового стекла, уплотнение по типу матового стекла с ретикулярными изменениями, участки консолидации лёгочной ткани, лимфаденопатия.
Результаты. В исследовании принял участие 151 пациент; средний возраст 58±14,2 года; 53,6% мужчин. При НДКТ в сравнении со стандартной КТ лучевая нагрузка снижалась в среднем в 2,96 раза, компьютерно-томографический индекс дозы (CTDI) ― в 2,6 раза, средняя поглощённая доза (DLP) ― в 3,1 раза, сила тока на трубке ― в 1,83 раза, напряжение на трубке ― в 1,2 раза. Полученные анкетные данные свидетельствуют о том, что при проведении НДКТ эффективность выявления основных признаков вирусной пневмонии и оценки динамики состояния пациента существенно не меняется по сравнению с КТ, проведённой по стандартному протоколу.
Заключение. Результаты сравнения стандартной и НДКТ демонстрируют отсутствие значимых потерь диагностической информации и качества при снижении лучевой нагрузки. Таким образом, НДКТ грудной клетки может использоваться в рутинной практике для успешной диагностики COVID-19.
94-104
Вариабельность заключений при интерпретации КТ-снимков: один за всех и все за одного
Аннотация
Обоснование. Разметка наборов медицинских изображений во многом полагается на субъективную интерпретацию наблюдаемых подозрительных структур. На настоящий момент не существует рекомендованного протокола по определению эталонных данных (ground truth), основанных на врачебных описаниях.
Цель ― анализ правильности и согласованности оценок рентгенологов, принимавших участие в подготовке общедоступного набора данных CTLungCa-500; определение взаимосвязи этих показателей с количеством специалистов, проводящих независимую интерпретацию изображений, полученных при компьютерно-томографическом (КТ) исследовании.
Материал и методы. Набор данных, в разметке которого принимали участие 34 рентгенолога, включает 536 КТ-исследований пациентов из группы риска развития рака лёгкого. Каждое КТ-исследование было независимо интерпретировано шестью специалистами, после чего обнаруженные ими подозрительные структуры проходили арбитраж другим экспертом. Для каждого эксперта подсчитывали количество истинно положительных, ложноположительных, истинно отрицательных и ложноотрицательных находок, на основании которых проводили оценку диагностической точности рентгенологов. Для анализа согласованности между заключениями рентгенологов использовали метрику процентного показателя.
Результаты. Увеличение количества специалистов, проводящих независимую интерпретацию КТ-исследований, ведёт к росту правильности их оценок при снижении согласованности. Среди факторов, влияющих на согласованность заключений между парами исследователей, выделяется расхождение мнений по поводу наличия лёгочного очага в конкретном участке КТ-снимка.
Заключение. Увеличение числа независимых первичных интерпретаций способно повысить их комбинированную правильность при условии проведения арбитража, причём квалификация рентгенологов не имеет определяющего значения для качества анализа. Проведение первичной разметки силами четырёх рентгенологов является оптимальным с точки зрения сочетания правильности интерпретации и её стоимости.
105-118
Обзоры
Повышение качества отчетов о наблюдательных исследованиях в эпидемиологии (STROBE): разъяснения и уточнения
Аннотация
Большинство медицинских исследований являются наблюдательными (observational). Сообщения о таких исследованиях часто невысокого качества, что затрудняет оценку сильных и слабых сторон работы, а также обобщаемости (generalizability) её результатов. Принимая во внимание эмпирические свидетельства и теоретические соображения, группа методологов, исследователей и научных редакторов разработала рекомендации «Повышение качества отчётов о наблюдательных исследованиях в эпидемиологии (STROBE): разъяснения и уточнения». Рекомендации STROBE содержат 22 пункта, связанных с оформлением следующих разделов научных статей: название, аннотация, введение, методы, результаты и их обсуждение, при этом 18 пунктов являются общими для когортных исследований (cohort studies), исследований «случай–контроль» (case-control studies) и одномоментных исследований (cross-sectional studies); 4 пункта специфичны для каждого из указанных дизайнов исследований (study designs). STROBE ― руководство для авторов, необходимое для повышения качества отчётов о наблюдательных исследованиях, облегчающее критическую оценку исследования и его интерпретацию рецензентами, редакторами журналов и читателями. Цель этой разъясняющей и уточняющей статьи ― способствовать более широкому применению, пониманию и распространению стандартов STROBE. В ней даётся разъяснение смысла и обоснование применения каждого пункта руководства (checklist). По каждому пункту приводятся один или несколько опубликованных примеров правильного представления исследований и, при возможности, библиографические ссылки на подходящие эмпирические исследования и методологическую литературу. Представлены примеры потоковых диаграмм (flow diagrams) для описания последовательности исследования. Рекомендации STROBE, настоящая статья и соответствующий веб-сайт (http://www.strobe-statement.org/) должны стать полезным источником для повышения качества отчётов о результатах наблюдательных исследований.
Настоящая статья является русскоязычным переводом оригинальной публикации [Vandenbroucke JP, von Elm E, Altman DG, Gotzsche PC, Mulrow CD, et al. Strengthening the Reporting of Observational Studies in Epidemiology (STROBE): Explanation and Elaboration. PLoS Med. 2007;4(10):e297. doi: 10.1371/journal.pmed.0040297] под редакцией доктор медицинских наук Р.Т. Сайгитова.
119-169
Роль системы контроля качества лучевой диагностики онкологических заболеваний в радиомике
Аннотация
Современные методы медицинской визуализации дают возможность качественно и количественно оценить как ткани опухоли, так и пространство вокруг неё. Прогресс в информатике, особенно с участием методов машинного обучения в анализе медицинских изображений, позволяет преобразовывать любые радиологические исследования в поддающиеся анализу наборы данных. Среди этих наборов данных затем можно искать статистически значимые корреляции с клиническими событиями, чтобы впоследствии оценивать их прогностическую значимость и способность предсказывать тот или иной клинический исход. Эта концепция впервые была описана в 2012 г. и получила название «радиомика». Особую значимость она представляет для онкологии, поскольку известно, что каждый тип опухоли может подразделяться на множество различных молекулярно-генетических подтипов, и просто визуальной характеристики сейчас уже недостаточно. А радиомика при абсолютной неинвазивности способна обеспечить врача-радиолога информацией, которую порой может дать только гистологическое исследование биопсийного материала. Однако, как и в любой методике, основанной на использовании больших данных, здесь остро встаёт вопрос о качестве исходной информации данных, потому как это прямым образом может повлиять на исход анализа и дать неверную диагностическую информацию.
В литературном обзоре мы анализируем возможные подходы к обеспечению качества исследований на всех этапах ― от технического контроля за состоянием диагностического оборудования до извлечения маркеров визуализации в онкологии и вычисления их корреляции с клиническими данными.
170-184
Роль маммографии в радиомике рака молочной железы
Аннотация
Маммография — в настоящее время единственный способ скрининга рака молочной железы (РМЖ). Хотя цифровая маммография служит основным и наиболее широкодоступным методом для выявления РМЖ, её эффективность в обнаружении и оценке внутриопухолевой гетерогенности опухоли ограничена. Пункционная биопсия не может отразить гистологической картины опухоли в целом из-за небольшого размера образца ткани или опухоли. По этой причине выбор подходящего лечения и определение прогноза становится затруднительным. В этом случае такой неинвазивный подход, как медицинская визуализация, даёт более полное представление об опухоли, перспективен при «виртуальной биопсии», а также в контроле прогрессирования заболевания и ответа на терапию.
Радиомика с помощью текстурного анализа позволяет взглянуть на снимок как на группу числовых характеристик, выйти за пределы привычного качественного зрительного восприятия интенсивностей и перейти к более глубокому анализу цифровых, пиксельных данных с целью повышения точности дифференциальной диагностики. Метод радиогеномики, являясь естественным продолжением радиомики, фокусируется на определении экспрессии генов исходя из лучевого фенотипа опухоли. В обзоре рассматриваются возможности применения маммографии в радиомике и радиогеномике РМЖ.
В статье представлен обзор литературы баз данных PubMed, Medline, Springer, eLibrary, а также найденных с помощью Google Scholar актуальных российских научных статей. Полученная релевантная информация объединена, структурирована и проанализирована с целью изучения роли маммографии в радиомике РМЖ.
185-199
Кавернозные мальформации головного мозга и современные взгляды на их лечение
Аннотация
Кавернозные мальформации головного мозга благодаря развитию современных методов нейровизуализации являются в последние годы всё чаще обнаруживаемой патологией. Несмотря на доброкачественный характер течения в большинстве случаев, данные образования могут приводить к развитию судорожного синдрома и серьёзным неврологическим нарушениям. Как правило, причинами клинических симптомов являются кровоизлияния в структуру каверном и окружающую паренхиму головного мозга. Выбор тактики ведения пациентов с кавернозными мальформациями головного мозга зависит от типа мальформации, её размеров, локализации, наличия повторных кровоизлияний и клинической картины.
Данный обзор литературы посвящён современным методам лечения кавернозных мальформаций головного мозга, в частности хирургическим подходам. В случаях глубинного расположения очагов в функционально значимых зонах головного мозга, для которых характерен максимальный риск осложнений при хирургическом вмешательстве, альтернативными выступают методы лучевой терапии, такие как стереотаксическая радиохирургия, протонная терапия. Рассматриваются возможности, эффективность и безопасность стереотаксического радиохирургического лечения, использование протонной терапии в лечении кавернозных мальформаций. Выявлены преимущества лучевых методов лечения кавернозных мальформаций.
200-210
Проблема утомления в лучевой диагностике: многообещающая область для научных исследований
Аннотация
Утомление врачей-рентгенологов может быть причиной большого количества врачебных ошибок. В данном обзоре описываются последние исследования, посвящённые изучению проблемы утомления в области лучевой диагностики. Мы приводим данные о методах измерений и влиянии утомления на точность результатов, получаемых в ходе лабораторных исследований и в условиях клинической практики. В статье раскрываются широкие возможности для будущих исследований в этой области, включая дополнительные меры, способствующие уменьшению количества ошибок, связанных с утомлением, и дальнейшее понимание того, каким образом показатели утомления соотносятся с возможными врачебными ошибками. Изучается возможность ответа на эти вопросы с помощью крупных популяционных наблюдательных исследований и комплексных рандомизированных контролируемых испытаний, проводимых в условиях реальной клинической практики.
Данная публикация является перепечатанной версией статьи [Taylor-Phillips S, Stinton C. Fatigue in radiology: a fertile area for future research. Br J Radiol. 2019;92:20190043. doi: 10.1259/bjr.20190043] с переводом оригинала на русский язык.
211-222
Клинические случаи и серии клинических случаев
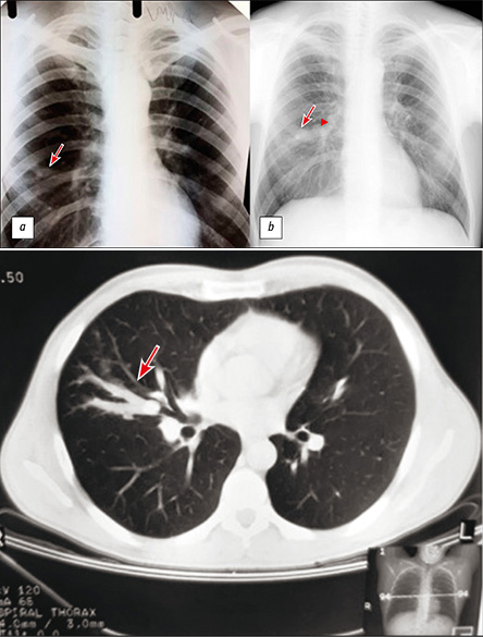
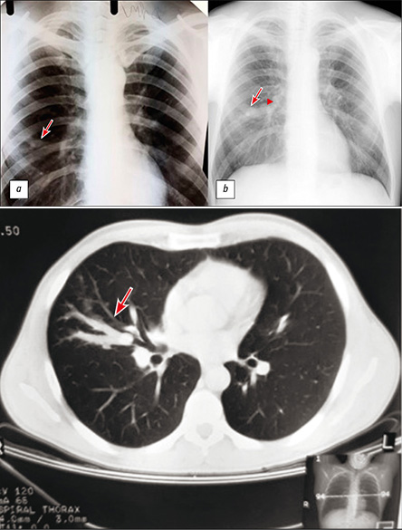
Длительный анамнез бронхоцеле, вызванный типичным карциноидом
Аннотация
В работе представлен клинический случай с длительным периодом наблюдения одиночного бронхоцеле (бронхогенной ретенционной кисты). При первоначальном комплексном обследовании, включающем такие исследования, как рентгенография, компьютерная томография органов грудной полости, фибробронхоскопия, иммунологические и бактериологические обследования на туберкулёз, данных за онкологическую и инфекционную природу изменений не выявлено. Изменения были расценены как последствия перенесённого неспецифического воспалительного процесса. Через 15 лет при плановом медицинском осмотре по данным рентгенографии органов грудной полости отмечено увеличение размеров бронхоцеле, а также появление округлого образования в медиальных отделах бронхоцеле. С помощью дополнительных методов исследования, таких как компьютерная томография органов грудной полости с внутривенным контрастированием, фибробронхоскопия с биопсией, установлено, что выявленное образование является типичным карциноидом.
Несмотря на то что бронхоцеле в большинстве случаев является доброкачественным изменением, из разнообразия причин, вызывающих его развитие, следует выделить обструкцию бронха новообразованием. Среди новообразований лёгкого типичный карциноид составляет всего 1–2%, характеризуется крайне медленным ростом и отсутствием специфичной клинической симптоматики. Несмотря на это, типичный карциноид относится к злокачественным нейроэндокринным образованиям I типа. В 10–15% случаев выявляются метастазы, преимущественно в медиастинальные лимфатические узлы, а также в печень, кости, реже в мягкие ткани.
Данное клиническое наблюдение говорит о том, что даже при отрицательных результатах первичного обследования локально расположенного бронхоцеле такие изменения требуют онкологической настороженности и периодических обследований в динамике.
223-230

