Vol 6, No 4 (2025)
- Year: 2025
- Articles: 10
- URL: https://bakhtiniada.ru/DD/issue/view/25567
- DOI: https://doi.org/10.17816/DD.64
Full Issue
Original Study Articles
First experience with whole-body magnetic resonance imaging using MET-RADS-P criteria for interim efficacy evaluation of 225Ac-PSMA radioligand therapy in metastatic castration-resistant prostate cancer
Abstract
BACKGROUND: Radioligand therapy with actinium-225–prostate-specific membrane antigen (225Ac-PSMA) is a novel and promising treatment modality for metastatic castration-resistant prostate cancer. Whole-body magnetic resonance imaging (WB-MRI) is a noninvasive, non-ionizing imaging technique that provides comprehensive information on skeletal and extraskeletal metastatic lesions, structured using the MET-RADS-P (METastasis Reporting and Data System for Prostate Cancer) and enabling detailed assessment of treatment response. However, the use of this system has not been widely adopted, and its diagnostic accuracy requires clinical validation.
AIM: This study aimed to evaluate the interim efficacy of 225Ac-PSMA radioligand therapy using WB-MRI based on MET-RADS-P criteria in patients with metastatic castration-resistant prostate cancer, assess method reproducibility (intra-observer agreement), and compare imaging findings with changes in prostate-specific antigen (PSA) levels.
METHODS: WB-MRI was performed twice in patients with metastatic castration-resistant prostate cancer: before administration of 225Ac-PSMA-617 with activity 6–12 MBq and 1–2 months after a single cycle of radioligand therapy, with parallel measurement of PSA levels. Prospective response assessment was conducted using MET-RADS-P criteria for WB-MRI and PCWG criteria for PSA level trends. Reproducibility of MET-RADS-P criteria was evaluated through repeated reading of WB-MRI studies by the same radiologist with a 6-month interval.
RESULTS: After one cycle of radioligand therapy, MET-RADS-P progression was identified in 4 of 20 patients with metastatic castration-resistant prostate cancer (20%) who completed the study. In three of these patients, progression was detected at an earlier time point than indicated by PSA level trends. More than half of the patients demonstrated discordant responses, including three with progression. Differences in PSA level trends were observed between concordant positive responses and various patterns of discordant response according to MET-RADS-P criteria. In cases of concordant response, the MET-RADS-P integrated assessment showed good correlation with biochemical response. MET-RADS-P criteria demonstrated excellent reproducibility for the primary response category pattern and for integrated response assessment. Reproducibility for the secondary response category pattern was substantial.
CONCLUSION: The use of MET-RADS-P criteria to WB-MRI in patients with metastatic castration-resistant prostate cancer enabled earlier detection of progression in skeletal and extraskeletal lesions compared with PSA level trends and demonstrated good intra-observer agreement. Further investigation of the prognostic value of MET-RADS-P criteria in the context of 225Ac-PSMA radioligand therapy is warranted.
526-540
Classification of adrenocortical carcinoma, pheochromocytoma, and adrenal adenomas using contrast-enhanced computed tomography with machine learning and texture features: a cross-sectional study
Abstract
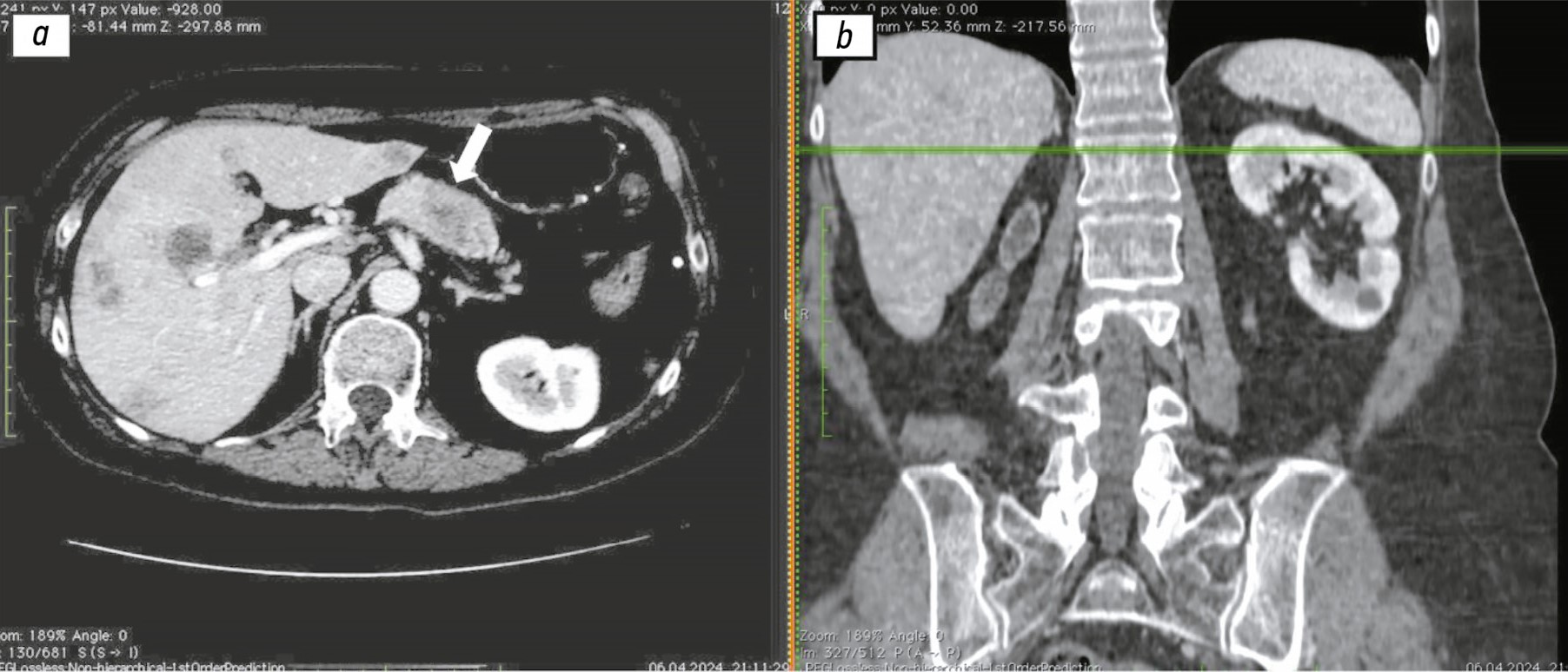
BACKGROUND: Differential diagnosis of adrenocortical carcinoma, pheochromocytoma, and adrenal adenomas based on contrast-enhanced computed tomography remains challenging because of substantial overlap in their radiologic characteristics. Existing classification approaches based on conventional morphological criteria demonstrate limited accuracy, which may result in misdiagnosis and inappropriate treatment strategies.
AIM: This study aimed to develop a machine learning model for multiclass classification of adrenal lesions (adenomas, adrenocortical carcinoma, and pheochromocytoma) using contrast-enhanced computed tomography data with texture features.
METHODS: This was a single-center, cross-sectional study with retrospective computed tomography data acquisition and prospective re-analysis of imaging results. Contrast-enhanced computed tomography images were processed using PyRadiomics to extract texture features for each computed tomography phase. Data standardization was performed to reduce the impact of variability in scanning parameters. LightGBM, XGBoost, and CatBoost gradient boosting models were trained using stratified five-fold cross-validation. Diagnostic performance was assessed using recall, precision, F1-score, macro-averaged F1-score, specificity, balanced accuracy, and area under the receiver operating characteristic curve (AUC) for each diagnostic category.
RESULTS: The study included data from 425 patients with histologically verified adrenal tumors: 42 cases of adrenocortical carcinoma, 204 pheochromocytomas, and 179 adrenal adenomas. The developed machine learning models demonstrated high classification performance by cross-validation for adrenal adenomas (F1-score up to 0.916 for the XGBoost model) and pheochromocytomas (F1-score up to 0.855 for the XGBoost model), but substantially lower performance for adrenocortical carcinoma (F1-score up to 0.521 for the CatBoost model). The highest AUC values reached 0.971 for adenomas (LightGBM), 0.924 for pheochromocytomas (LightGBM), and 0.879 for adrenocortical carcinoma (CatBoost). Balanced accuracy reached up to 0.773, and the macro-averaged F1-score reached 0.747 (CatBoost model). Analysis of the most informative features showed that parameters reflecting texture homogeneity and intensity across different contrast-enhancement phases were most relevant for classification.
CONCLUSION: Radiomics and machine learning methods provide high diagnostic accuracy for multiclass classification of adrenal lesions on contrast-enhanced computed tomography for adrenal adenomas and pheochromocytomas. However, diagnostic performance for adrenocortical carcinoma remains limited, which may be related to tumor heterogeneity and the relatively small number of cases.
541-557
Clinical Practice Guidelines
Use of Fleischner Society criteria for assessment of pulmonary nodules on computed tomography: practice guidelines
Abstract
This article is an adapted version of the “Use of the Fleischner Society Criteria for the Assessment of Pulmonary Nodules on Computed Tomography: Practice Guidelines” published in the series Best Practices in Radiological and Instrumental Diagnostics (2024, Issue 142). These guidelines reflect the consensus of the Fleischner Society regarding pulmonary nodules detected by computed tomography. They are developed to reduce the number of unnecessary follow-up examinations and provide clear management strategies for incidentally detected pulmonary nodules in patients outside lung cancer screening programs. Outside lung cancer screening, the unified Fleischner Society terminology and the standardized interpretation of chest computed tomography findings facilitates effective communication and mutual understanding among healthcare professionals in clinical practice, medical education, and scientific research. These practice guidelines were approved by the Chief External Expert in Radiological and Instrumental Diagnostics of the Moscow City Health Department and were recommended by the Scientific Expert Council of the Moscow City Health Department.
The guidelines are intended for radiologists, heads of radiology units or departments of diagnostic imaging, and chief medical officers of healthcare institutions that include radiology units or departments of diagnostic imaging.
558-570
Diagnostic ultrasound for rotational vertebral artery syndrome: indications, examination technique, diagnostic criteria, and algorithm (Russian expert consensus)
Abstract
This article presents a consensus statement by Russian experts dedicated to the ultrasound diagnosis of rotational vertebral artery syndrome. Rotational extravascular compression of the vertebral artery is reported in 5%–17% of cases. In turn, it represents a substantial cause of vertebrobasilar insufficiency; however, it may also be asymptomatic. Clinical signs of rotational vertebral artery syndrome are non-specific but are invariably associated with changes in head position and rapidly regress after return to the neutral position. The risk of developing clinical symptoms increases when the dominant vertebral artery is compressed. The most common level of compression is the third (V3) segment in young and middle-aged patients and the second (V2) segment in older individuals. The causes of rotational vertebral artery syndrome include congenital anomalies and acquired skeletal deformities, hypertrophy or spasm of the cervical muscles, and external compression by various space-occupying lesions of the neck.
The absence of unified standards and insufficient awareness among clinicians regarding the clinical signs and diagnostic approaches for rotational vertebral artery syndrome often result in overdiagnosis of this medical condition.
The paper describes the ultrasound examination technique using rotational head and neck maneuvers (including the arteries assessed, transducers employed, patient and examiner positioning, and types of head and neck rotation). Topographic and anatomical limitations of visualizing arteries of the vertebrobasilar circulation depending on head rotation are discussed, along with criteria for interpreting the results (including pre-compression, compression, and post-compression blood flow changes). In addition, a diagnostic algorithm is presented, outlining key elements that should be included in the examination report, as well as a clinical case example. The authors emphasize the importance of the follow-up hemodynamic assessment of segments of the vertebral artery, basilar artery, or posterior cerebral arteries to identify the level and regional significance of the compression. The proposed algorithm enables standardization of diagnostic approaches and reduces the risk of errors in clinical practice.
571-582
Reviews
Diagnostic and prognostic relevance of imaging-based body composition analysis in postmenopausal women: a review
Abstract
The article presents an assessment of body composition markers measured by imaging in clinical practice for postmenopausal and aging women. Body composition changes with aging and is specifically affected by endocrinological changes occurring with menopause. Several imaging markers have been proposed and used in the assessment of body composition status. The associations of different imaging markers with cardiometabolic risk and risks for other diseases, with impact on morbidity/mortality, functional impairment, and frailty, are discussed. The imaging markers confirmed by evidence and are applicable to clinical practice are highlighted. With this purpose, the current level of evidence in the literature on reliability and potential associations of each relevant marker was reviewed.
This review describes what can and should be done with available imaging tools (e.g., dual-energy x-ray absorptiometry, ultrasound, computed tomography, and magnetic resonance imaging) in dedicated and opportunistic settings (i.e., tests for assessing body composition vs those for other clinical reasons but wherein exploitation of imaging data is possible) to improve the management and understanding of lifestyle needs of postmenopausal women and thus to prevent or decrease unhealthy aging and rate of women with aging-related diseases.
583-602
Digital technologies and artificial intelligence in the diagnosis of cardiovascular complications in pregnancy: a review
Abstract
Cardiovascular diseases during pregnancy remain a leading cause of maternal morbidity and mortality worldwide. The development of digital technologies and artificial intelligence offers new opportunities to improve risk stratification, early diagnosis, and monitoring of cardiovascular complications in pregnant women. Although effective, conventional diagnostic approaches, including electrocardiography, echocardiography, and biochemical markers are often limited by sensitivity, reproducibility, and feasibility for immediate use during pregnancy. Artificial intelligence models integrating multimodal data—clinical history, imaging, laboratory values, and wearable data—demonstrate the potential to detect subclinical changes that may remain unrecognized using standard diagnostic approaches. Emerging evidence supports the effectiveness of artificial intelligence in detecting arrhythmias, diagnosing peripartum cardiomyopathy, assessing valvular heart disease, and predicting cardiovascular risk and hypertensive disorders of pregnancy, including preeclampsia. Neural network–based models have shown advantages over traditional statistical methods, achieving high predictive accuracy (with areas under the ROC curve > 0.90 in some studies). Furthermore, the use of artificial intelligence in the interpretation of medical imaging and phonocardiographic recordings may reduce inter-observer variability and enhance diagnostic efficiency. Despite these promising findings, significant challenges remain, including data quality, algorithmic bias, ethical considerations, regulatory constraints, and limited clinical validation in pregnant populations. Responsible integration of artificial intelligence into obstetric and cardiovascular practice requires interdisciplinary collaboration, rigorous validation, and transparent control.
In summary, artificial intelligence technologies possess a transformative potential for optimizing the management of pregnant women with cardiovascular disease and may contribute to reducing maternal morbidity and mortality, provided that ethical and organizational barriers are adequately addressed.
603-617
Texture analysis and radiomics in the diagnosis of multiple sclerosis: a review
Abstract
The clinical signs of multifocal brain lesions, including multiple sclerosis, are highly variable and largely depend on lesion site and size. Differential diagnosis of such changes may be challenging in certain cases. Vascular, inflammatory, infectious, and hereditary diseases may demonstrate similar magnetic resonance imaging patterns, whereas their assessment is limited by technical factors and human visual perception. In recent years, novel approaches such as texture analysis and radiomics have been increasingly integrated into radiological research, facilitating the acquisition of imaging details that would otherwise remain undetectable by the naked eye. These methods include first-order statistical analysis of signal intensities, gray-level co-occurrence and gray-level run-length matrices, fractal and wavelet analyses, and the development of predictive models using machine learning algorithms. Radiomics was initially developed for oncologic imaging; however, now its capabilities are also applied in the diagnosis of other conditions.
This article presents a review of the current scientific data on the use of texture analysis and radiomics in the differential diagnosis of demyelinating diseases, with a particular focus on multiple sclerosis. Data search was conducted in PubMed and eLibrary using the keywords “radiomics,” “digital image texture analysis,” “multiple sclerosis,” “радиомика” (radiomics), “текстурный анализ” (texture analysis), and “рассеянный склероз” (multiple sclerosis). The search period covered the last 9 years. Only original studies (n = 17) investigating the use of radiomics and digital image texture analysis in the diagnosis of demyelinating diseases were included in this review.
Texture analysis and radiomics represent promising adjunctive tools for the evaluation of multifocal brain lesions in demyelinating diseases. However, their implementation in clinical practice requires the development of optimized feature extraction algorithms, identification of the most informative texture parameters, and standardization and validation of the resulting imaging biomarkers.
618-629
Case reports
Nonbacterial thrombotic endocarditis of the tricuspid valve with recurrent pulmonary embolism in a patient with pancreatic adenocarcinoma: a case report
Abstract
Nonbacterial thrombotic endocarditis is a rare condition that is typically asymptomatic and is most often diagnosed post mortem in patients with cancer, systemic lupus erythematosus, or antiphospholipid syndrome. In this condition, vegetations are predominantly localized in the left heart. In contrast, isolated involvement of the tricuspid valve in nonbacterial thrombotic endocarditis is extremely rare, and the the incidence of this localization has not been established.
This article presents a clinical case of nonbacterial thrombotic endocarditis in a patient with pancreatic cancer and liver metastases, characterized by a rare variant of isolated tricuspid valve involvement and manifested by recurrent episodes of pulmonary embolism despite ongoing anticoagulant therapy.
The complexity of this case was due to recurrent pulmonary embolism following any attempt of even short-term discontinuation of anticoagulant therapy. At the same time, withdrawal of anticoagulation was a mandatory prerequisite for the safe biopsy of a metastatic lesion and subsequent histological verification, without which adequate antitumor therapy could not be initiated.
Given the limited amount of available data on the management of such patients, the therapeutic approach requires individualization and nonstandard clinical decision-making by the treating physician.
630-638
A suicide attempt with subtotal interruption of the high spinal cord without the involvement of any large vessels caused by a screwdriver in the neck: a case report
Abstract
We report a case of a 40-year-old male who presented to the emergency department with a self-inflicted penetrating neck injury caused by a screwdriver, following a recent cancer diagnosis. This report outlines the urgent, radiological, and surgical management of the injury, emphasizing the challenges posed by cervical spinal trauma. Upon arrival, the patient was conscious and hemodynamically stable, despite the presence of a screwdriver lodged in the lateral cervical region. CT revealed a transfixing injury at the C2–C3 level with spinal cord disruption, without the involvement of major cervical vessels. Urgent surgical intervention, including foreign body extraction and stabilization procedures, was performed under general anesthesia. The screwdriver was removed without intraoperative complications. Despite initial stability, the patient’s condition progressively deteriorated because of respiratory failure associated with high cervical spinal cord damage. A few days later, the patient died from complications of spinal cord injury and loss of autonomous respiration. This case demonstrates the complexity of managing penetrating cervical spine trauma. Moreover, C2–C3 level injuries can rapidly lead to life-threatening neurological outcomes even in the absence of major vascular damage. Early imaging and a coordinated, multidisciplinary approach are critical for management; however, prognosis in cases of high spinal cord involvement remains poor.
639-646
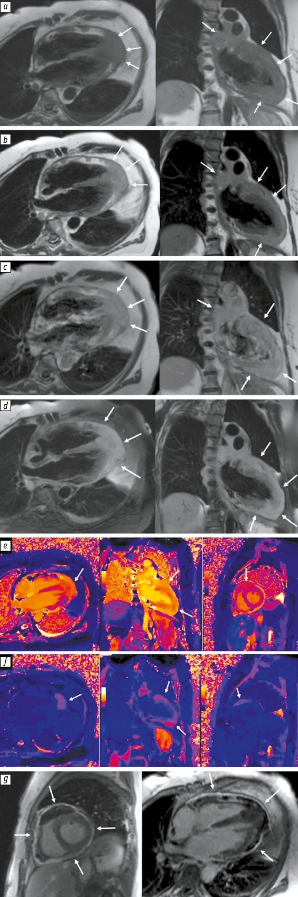
Mediastinal lymphoma with cardiac involvement mimicking acute coronary syndrome: a case report
Abstract
Lymphomas constitute a heterogeneous group of cancers characterized by uncontrolled clonal proliferation of lymphoid cells. They may arise in lymph nodes and extranodal organs and tissues. Primary mediastinal large B-cell lymphoma is a rare and aggressive subtype of B-cell lymphomas, accounting for approximately 2%–3% of all non-Hodgkin lymphomas.
This article presents a clinical case of primary mediastinal lymphoma with cardiac involvement in a 66-year-old female patient. The initial signs of the disease mimicked acute coronary syndrome, including chest pain, dyspnea, and cardiac rhythm disturbances. Diagnostic evaluation revealed a rapidly progressive mediastinal tumor invading the pericardium and myocardium, confirmed using modern imaging modalities (echocardiography, cardiac magnetic resonance imaging, and computed tomography) and pathological examination. Despite intensive treatment, the patient’s condition deteriorated rapidly, resulting in a fatal outcome.
This case highlights the diagnostic challenges associated with cardiac and pericardial involvement in mediastinal lymphomas and demonstrates the necessity of a multidisciplinary approach in the management of such rare and aggressive diseases.
647-658
