Односторонний изолированный перелом крыловидного отростка клиновидной кости: клинический случай
- Авторы: Balzano R.F.1, Testini V.2, Cammarota A.3, Guglielmi G.1,2,4
-
Учреждения:
- Radiology Unit, Barletta University Campus UNIFG, “Dimiccoli” Hospital
- Department of Clinical and Experimental Medicine, Foggia University School of Medicine
- Radiation Oncology Unit, IRCCS CROB, Rionero in Vulture
- Radiology Unit, Hospital “Casa Sollievo Della Sofferenza”, San Giovanni Rotondo
- Выпуск: Том 3, № 1 (2022)
- Страницы: 71-77
- Раздел: Клинические случаи и серии клинических случаев
- URL: https://bakhtiniada.ru/DD/article/view/90282
- DOI: https://doi.org/10.17816/DD90282
- ID: 90282
Цитировать
Аннотация
Переломы крыловидного отростка часто сочетаются с переломами по типу Ле-Фор и могут наблюдаться при других переломах лицевых костей, таких как переломы стенок лобных пазух и носо-глазнично-решётчатые переломы. Изолированные переломы крыловидного отростка встречаются крайне редко.
В отличие от переломов по типу Ле-Фор, которые необходимо лечить хирургическим путём с фиксацией нестабильных отломков для восстановления формы и функции и стабилизацией крыловидного отростка, изолированные переломы пластинок крыловидного отростка не требуют хирургического лечения.
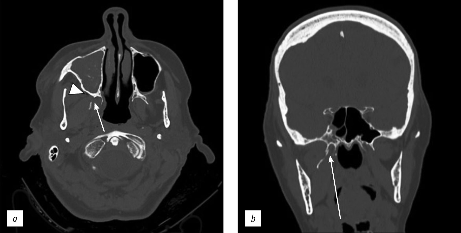
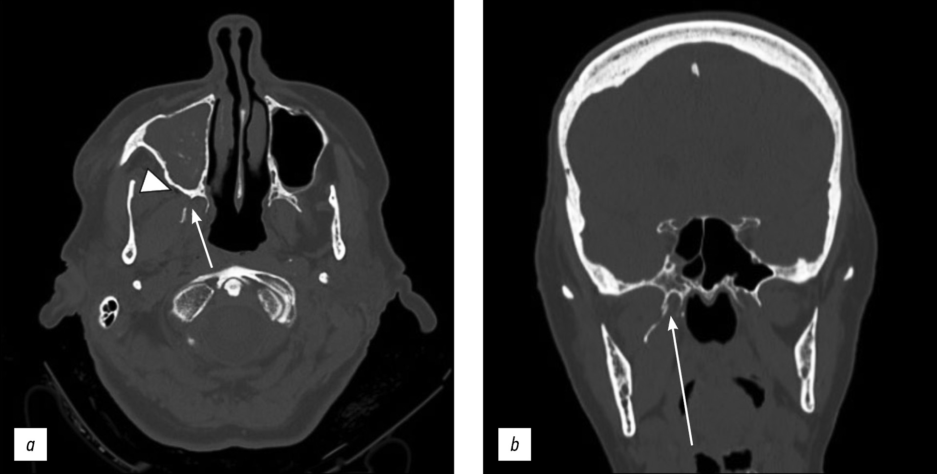
В статье описывается редкий случай изолированного одностороннего перелома крыловидного отростка у 71-летней пациентки с черепно-мозговой травмой и гематомой у основания правой глазницы, полученными в результате потери сознания.
Компьютерная томография показала односторонний перелом пластинки крыловидного отростка справа с признаками эмфиземы в жевательно-челюстном пространстве с ипсилатеральной стороны. Кроме того, у пациентки выявлен перелом медиальной стенки вехрнечелюстной пазухи справа с признаками гемосинуса. Переломы основания черепа или повреждения твёрдой мозговой оболочки не обнаружены. Пациентка получала консервативное лечение.
Полный текст
Открыть статью на сайте журналаОб авторах
Rosario F. Balzano
Radiology Unit, Barletta University Campus UNIFG, “Dimiccoli” Hospital
Email: ro.balzano@gmail.com
Италия, Фоджа
Valentina Testini
Department of Clinical and Experimental Medicine, Foggia University School of Medicine
Email: testinivalentina@gmail.com
Италия, Фоджа
Aldo Cammarota
Radiation Oncology Unit, IRCCS CROB, Rionero in Vulture
Email: aldo.cammarota@crob.it
Италия, Потенца
Giuseppe Guglielmi
Radiology Unit, Barletta University Campus UNIFG, “Dimiccoli” Hospital; Department of Clinical and Experimental Medicine, Foggia University School of Medicine; Radiology Unit, Hospital “Casa Sollievo Della Sofferenza”, San Giovanni Rotondo
Автор, ответственный за переписку.
Email: giuseppe.guglielmi@unifg.it
ORCID iD: 0000-0002-4325-8330
доктор медицины, профессор, кафедра клинической и экспериментальной медицины.
Италия, Фоджа; Фоджа; Фоджа
Список литературы
- Boffano P., Roccia F., Zavattero E., et al. European Maxillofacial Trauma (EURMAT) project: a multicentre and prospective study // J Craniomaxillofac Surg. 2015. Vol. 43, N 1. Р. 62–70. doi: 10.1016/j.jcms.2014.10.011
- Winegar B.A., Murillo H., Tantiwongkosi B. Spectrum of critical imaging findings in complex facial skeletal trauma // Radiographics. 2013. Vol. 33, N 1. Р. 3–19. doi: 10.1148/rg.331125080
- Le Fort R. Etude experimentale sur les fractures de la machoire superieure // Rev Chir. 1901. Vol. 23. Р. 208–507.
- Patel B.C., Wright T., Waseem M. Le Fort Fractures. In: StatPearls. Treasure Island (FL): StatPearls Publishing; 2021.
- Choi J.W., Kim M.J. Treatment of panfacial fractures and three-dimensional outcome analysis: the occlusion first approach // J Craniofac Surg. 2019. Vol. 30, N 4. Р. 1255–1258. doi: 10.1097/SCS.0000000000005528
- Surya M., Soni P., Bharti R., Jamwal I. Isolated fracture of lateral pterygoid plate by penetrating foreign body ― a rarity indeed // Pol J Radiol. 2017. Vol. 82. Р. 137–140. doi: 10.12659/PJR.900407
- Garg R.K., Alsheik N.H., Afifi A.M., Gentry L.R. Pterygoid plate fractures: not limited to Le Fort Fractures // J Craniofac Surg. 2015. Vol. 26, N 6. Р. 1823–1825. doi: 10.1097/SCS.0000000000001901
- Truong A.Q., O’Brien D.C., Strong E.B., Dublin A. Lateral pterygoid plate fractures associated with mandible fractures // JAMA Facial Plast Surg. 2014. Vol. 16, N 6. Р. 437–439. doi: 10.1001/jamafacial.2014.645
- Unger J.M., Gentry L.R., Grossman J.E. Sphenoid fractures: prevalence, sites, and significance // Radiology. 1990. Vol. 175, N 1. Р. 175–180. doi: 10.1148/radiology.175.1.2315477
- Murray G.M., Phanachet I., Uchida S., et al. The human lateral pterygoidmuscle: a review of some experimental aspects and possible clinical relevance // Aust Dent J. 2004. Vol. 49, N 1. Р. 2–8. doi: 10.1111/j.1834-7819.2004.tb00042.x
- Phang S.Y., Whitehouse K,. Lee L., et al. Management of CSF leak in base of skull fractures in adults // Br J Neurosurg. 2016. Vol. 30, N 6. Р. 596–604. doi: 10.1080/02688697.2016.1229746
- Choi N.R., Shin S.H., Kim S.S., et al. Healing pattern of intentional pterygoid plate fracture after posterior movement of maxilla through Le Fort I osteotomy // J Craniomaxillofac Surg. 2018. Vol. 46, N 10. Р. 1828–1833. doi: 10.1016/j.jcms.2018.08.003
- Kaeppler G., Cornelius C.P., Ehrenfeld M., Mast G. Diagnostic efficacy of cone-beam computed tomography for mandibular fractures // Oral Surg Oral Med Oral Pathol Oral Radiol. 2013. Vol. l16, N 1. Р. 98–104. doi: 10.1016/j.oooo.2013.04.004
- De Oliveira D.M., Vasconcellos R.J., Filho J.R., Cypriano R.V. Fracture of the coronoid and pterygoid processes by firearms: case report // Braz Dent J. 2007. Vol. 18, N 2. Р. 168–170. doi: 10.1590/s0103-64402007000200016
Дополнительные файлы




