Diagnostic errors in assessing magnetic resonance imaging semiotics of primary extracerebral tumors: a case series
- Authors: Surovcev E.N.1,2, Kapishnikov A.V.1
-
Affiliations:
- Samara State Medical University
- Dr. Sergey Berezin Medical Institute (MIBS)
- Issue: Vol 5, No 3 (2024)
- Pages: 642-655
- Section: Case reports
- URL: https://bakhtiniada.ru/DD/article/view/310046
- DOI: https://doi.org/10.17816/DD626158
- ID: 310046
Cite item
Full Text
Abstract
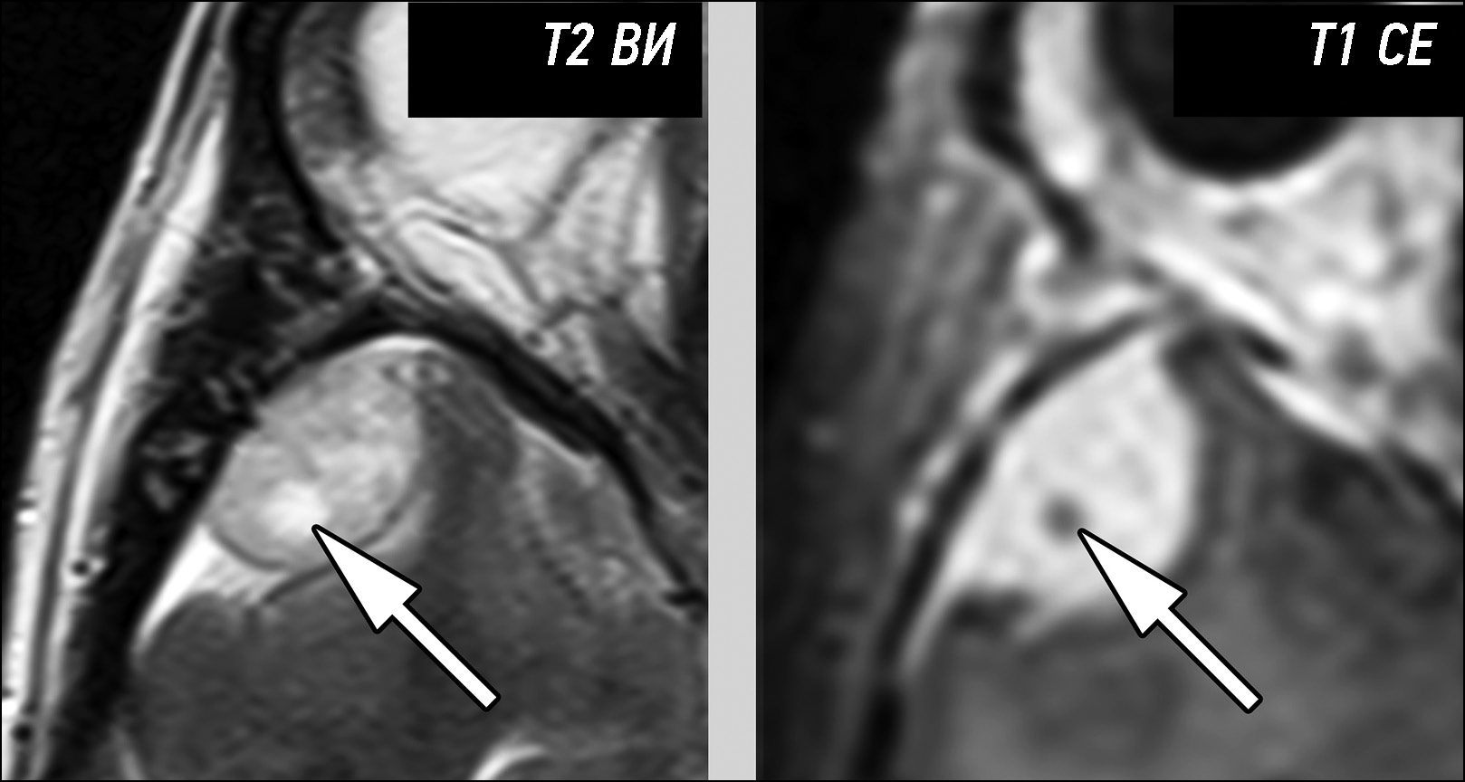
Primary extracerebral tumors are represented by benign and malignant neoplasms of the meninges and cranial nerves. Their presurgical differential diagnosis is based on the analysis of magnetic resonance imaging semiotics. The critically significant aspects for classifying tumors of this group include the following: neoplasm structure, contrast enhancement type, delimiting from the brain tissue, and relationship with the meninges or cranial nerves. Differential diagnosis of extracerebral tumors based on visual analysis of magnetic resonance imaging data is generally not challenging because most tumors have typical magnetic resonance imaging semiotics. However, in cases with atypical magnetic resonance imaging signs, reliable differentiation of tumors can be challenging. Moreover, the greatest complexity is the differentiation of meningioma grades, distinction between solitary fibrous tumors and meningiomas, and identification of the tumor type when localized in the cerebellopontine angles. The case series presented the most typical features leading to errors in the differential diagnosis of primary extracerebral tumors. All the presented tumors were verified with postsurgical histological examination. The analysis of the case reports demonstrates that a review of the combined semiotic signs can lower the number of diagnostic errors.
Full Text
##article.viewOnOriginalSite##About the authors
Evgeniy N. Surovcev
Samara State Medical University; Dr. Sergey Berezin Medical Institute (MIBS)
Author for correspondence.
Email: evgeniisurovcev@mail.ru
ORCID iD: 0000-0002-8236-833X
SPIN-code: 5252-5661
Scopus Author ID: 57224906215
MD
Russian Federation, Samara; TogliattiAleksandr V. Kapishnikov
Samara State Medical University
Email: a.v.kapishnikov@samsmu.ru
ORCID iD: 0000-0002-6858-372X
SPIN-code: 6213-7455
Scopus Author ID: 6507900025
MD, Dr. Sci. (Medicine), Professor
Russian Federation, SamaraReferences
- Louis DN, Perry A, Wesseling P, et al. The 2021 WHO Classification of Tumors of the Central Nervous System: a summary. Neuro-Oncology. 2021;23(8):1231–1251. doi: 10.1093/neuonc/noab106
- Osborn AG, Salzman KL, Jhaveri MD. Diagnostic Imaging. Brain. Moscow: Izdatel’stvo Panfilova; 2018.
- Ostrom QT, Price M, Neff C, et al. CBTRUS Statistical Report: Primary Brain and Other Central Nervous System Tumors Diagnosed in the United States in 2015–2019. Neuro-oncology. 2022;5(24 suppl. 5):v1–v95. doi: 10.1093/neuonc/noac202
- Goldbrunner R, Weller M, Regis J, et al. EANO guideline on the diagnosis and treatment of vestibular schwannoma. Neuro-Oncology. 2020;22(1):31–45. doi: 10.1093/neuonc/noz153
- Goldbrunner R, Stavrinou P, Jenkinson MD, et al. EANO guideline on the diagnosis and management of meningiomas. Neuro-Oncology. 2021;23(11):1821–1834. doi: 10.1093/neuonc/noab150
- Roos DE, Patel SG, Potter AE, Zacest AC. When is an acoustic neuroma not an acoustic neuroma? Pitfalls for radiosurgeons. Journal of medical imaging and radiation oncology. 2015;59(4):474–479. doi: 10.1111/1754-9485.12328
- Cohen-Inbar O. Nervous System Hemangiopericytoma. The Canadian journal of neurological sciences. 2020;47(1):18–29. doi: 10.1017/cjn.2019.311
- Shin DW, Kim JH, Chong S, et al. Intracranial solitary fibrous tumor/hemangiopericytoma: tumor reclassification and assessment of treatment outcome via the 2016 WHO classification. Journal of Neuro-oncology. 2021;154(2):171–178. doi: 10.1007/s11060-021-03733-7
- Saigal G, Pisani L, Allakhverdieva E, et al. Utility of Microhemorrhage as a Diagnostic Tool in Distinguishing Vestibular Schwannomas from other Cerebellopontine Angle (CPA) Tumors. Indian Journal of Otolaryngology and Head and Neck Surgery. 2021;73(3):321–326. doi: 10.1007/s12070-021-02372-8
- Fountain DM, Young AMH, Santarius T. Malignant meningiomas. Handbook of Clinical Neurology. 2020;170:245–250. doi: 10.1016/B978-0-12-822198-3.00044-6
- Kabashi S, Ugurel MS, Dedushi K, Mucaj S. The Role of Magnetic Resonance Imaging (MRI) in Diagnostics of Acoustic Schwannoma. Acta Informatica Medica. 2020;28(4):287–291. doi: 10.5455/aim.2020.28.287-291
- Yan PF, Yan L, Zhang Z, et al. Accuracy of conventional MRI for preoperative diagnosis of intracranial tumors: A retrospective cohort study of 762 cases. International Journal of Surgery. 2016;36(Pt A):109–117. doi: 10.1016/j.ijsu.2016.10.023
- Ranabhat K, Bishokarma S, Agrawal P, et al. Role of MR Morphology and Diffusion-Weighted Imaging in the Evaluation of Meningiomas: Radio-Pathologic Correlation. JNMA. 2019;57(215):37–44. doi: 10.31729/jnma.3968
- Adeli A, Hess K, Mawrin C, et al. Prediction of brain invasion in patients with meningiomas using preoperative magnetic resonance imaging. Oncotarget. 2018;9(89):35974–35982. doi: 10.18632/oncotarget.26313
- Lin BJ, Chou KN, Kao HW, et al. Correlation between magnetic resonance imaging grading and pathological grading in meningioma. Journal of Neurosurgery. 2014;121(5):1201–1208. doi: 10.3171/2014.7.JNS132359
- Verma PK, Nangarwal B, Verma J, et al. A clinico-pathological and neuro-radiological study of angiomatous meningioma: Aggressive look with benign behaviour. Journal of Clinical Neuroscience. 2021;83:43–48. doi: 10.1016/j.jocn.2020.11.032
- El-Abtah ME, Murayi R, Lee J, et al. Radiological Differentiation Between Intracranial Meningioma and Solitary Fibrous Tumor/ Hemangiopericytoma: A Systematic Literature Review. World Neurosurgery. 2023;170:68–83. doi: 10.1016/j.wneu.2022.11.062
- Ohba S, Murayama K, Nishiyama Y, et al. Clinical and Radiographic Features for Differentiating Solitary Fibrous Tumor/ Hemangiopericytoma From Meningioma. World Neurosurgery. 2019;130:e383–e392. doi: 10.1016/j.wneu.2019.06.094
- Meng Y, Chaohu W, Yi L, et al. Preoperative radiologic characters to predict hemangiopericytoma from angiomatous meningioma. Clinical Neurology and Neurosurgery. 2015;138:78–82. doi: 10.1016/j.clineuro.2015.08.005
- Wang C, Xu Y, Xiao X, et al. Role of intratumoral flow void signs in the differential diagnosis of intracranial solitary fibrous tumors and meningiomas. Journal of neuroradiology. 2016;43(5):325–330. doi: 10.1016/j.neurad.2016.06.003
Supplementary files










