Pulmonary artery pseudoaneurysm in a young man with pulmonary hypertension on computed tomography angiography
- Authors: Dautov T.B.1, Kaliyev B.B.1, Tukinov R.Y.1, Almenova D.S.1, Kozhakhmetova Z.Z.2, Zholshybek N.Z.3, Bastarbekova L.A.4, Ignatyev V.S.4
-
Affiliations:
- National Scientific Center for Maternal and Child Health of the Corporate Fund “University Medical Center”
- Astana Medical University
- Nazarbayev University School of Medicine
- National Research Cardiac Surgery Center
- Issue: Vol 5, No 3 (2024)
- Pages: 623-631
- Section: Case reports
- URL: https://bakhtiniada.ru/DD/article/view/310044
- DOI: https://doi.org/10.17816/DD625688
- ID: 310044
Cite item
Full Text
Abstract
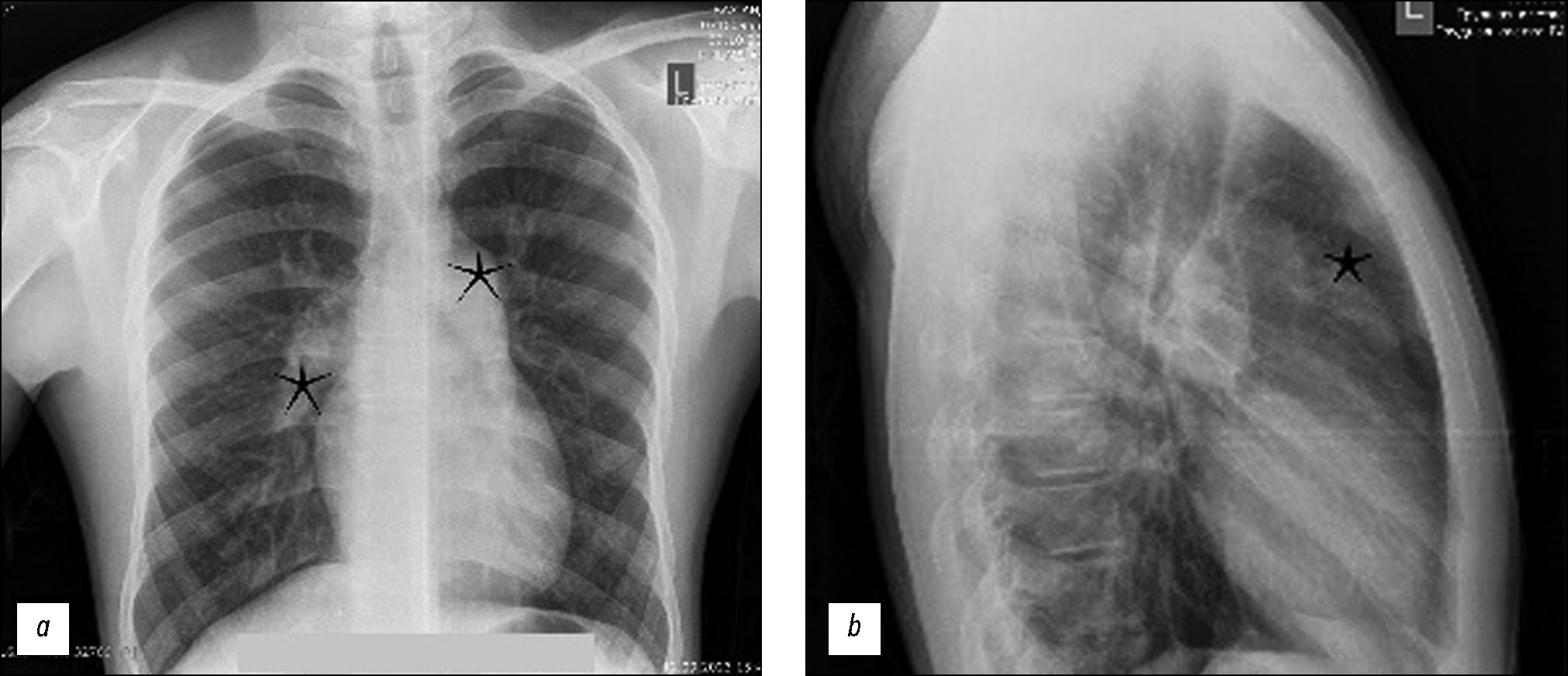
Pulmonary artery aneurysms and pseudoaneurysms are uncommon anomalies; however, their associated morbidity underscores the importance of recognizing them. Herein, we present a clinical case involving a 15-year-old male patient who presented at our clinic with complaints of hemoptysis. Upon diagnosis, a left lung aneurysm was found. Subsequent computed tomography angiography and intervention on the pulmonary arteries confirmed the presence of pulmonary artery aneurysms, elucidating that the hemoptysis was caused by the rupture of the aneurysm. The intervention on the pulmonary artery further confirmed the diagnosis. Early detection and management of pulmonary artery aneurysms are crucial, particularly in young patients, as timely intervention can prevent severe complications and improve patient outcomes. Raising awareness of these vascular abnormalities and promptly addressing them through appropriate diagnostic measures and interventions can help healthcare providers effectively mitigate the potential risks associated with pulmonary artery aneurysms, thereby enhancing patient care and prognosis.
Full Text
##article.viewOnOriginalSite##About the authors
Tairkhan B. Dautov
National Scientific Center for Maternal and Child Health of the Corporate Fund “University Medical Center”
Email: tairkhan.dautov@mail.ru
ORCID iD: 0000-0002-5267-0108
SPIN-code: 8632-6605
MD, Dr. Sci. (Medicine), Assistant Professor
Kazakhstan, AstanaBauyrzhan B. Kaliyev
National Scientific Center for Maternal and Child Health of the Corporate Fund “University Medical Center”
Author for correspondence.
Email: baur233113@mail.ru
ORCID iD: 0000-0003-4825-749X
SPIN-code: 7315-9129
Kazakhstan, Astana
Ruslan Y. Tukinov
National Scientific Center for Maternal and Child Health of the Corporate Fund “University Medical Center”
Email: ruslantukinov@gmail.com
ORCID iD: 0009-0007-5927-3686
Kazakhstan, Astana
Dinara S. Almenova
National Scientific Center for Maternal and Child Health of the Corporate Fund “University Medical Center”
Email: dinara.saktapbergenovna@gmail.com
ORCID iD: 0009-0001-4035-3498
Kazakhstan, Astana
Zhanar Z. Kozhakhmetova
Astana Medical University
Email: zhanar5@mail.ru
ORCID iD: 0000-0002-7255-0955
Kazakhstan, Astana
Nurmakhan Z. Zholshybek
Nazarbayev University School of Medicine
Email: nurmakhan.zholshybek@nu.edu.kz
ORCID iD: 0000-0003-2071-6949
Kazakhstan, Astana
Lyazzat A. Bastarbekova
National Research Cardiac Surgery Center
Email: lbastarbekova@mail.ru
ORCID iD: 0000-0001-8246-4754
Kazakhstan, Astana
Valeriy S. Ignatyev
National Research Cardiac Surgery Center
Email: valerik_96-2009@mail.ru
ORCID iD: 0009-0000-3607-2936
Kazakhstan, Astana
References
- Nguyen ET, Silva CI, Seely JM, et al. Pulmonary artery aneurysms and pseudoaneurysms in adults: findings at CT and radiography. AJR. American journal of roentgenology. 2007;188(2):W126–W134. doi: 10.2214/AJR.05.1652
- Nellaiyappan M, Omar HR, Justiz R, et al. Pulmonary artery pseudoaneurysm after Swan-Ganz catheterization: a case presentation and review of literature. European heart journal. Acute cardiovascular care. 2014;3(3):281–288. doi: 10.1177/2048872613520252
- Koneru H, Biswas Roy S, Islam M, et al. Pulmonary Artery Pseudoaneurysm: A Rare Cause of Fatal Massive Hemoptysis. Case reports in pulmonology. 2018;2018:8251967. doi: 10.1155/2018/8251967
- Theodoropoulos P, Ziganshin BA, Tranquilli M, Elefteriades JA. Pulmonary artery aneurysms: four case reports and literature review. The International journal of angiology. 2013;22(3):143–148. doi: 10.1055/s-0033-1347907
- Abreu AR, Campos MA, Krieger BP. Pulmonary artery rupture induced by a pulmonary artery catheter: a case report and review of the literature. Journal of Intensive Care Medicine. 2004;19(5):291–296. doi: 10.1177/0885066604265255
- Oguma T, Morise M, Harada K, et al. Pulmonary Artery Aneurysm/Pseudoaneurysm, a Delayed Complication of Lung Abscess: A Case Report. The Tokai journal of experimental and clinical medicine. 2015;40(3):86–89.
- Senbaklavaci O, Kaneko Y, Bartunek A, et al. Rupture and dissection in pulmonary artery aneurysms: incidence, cause, and treatment-review and case report. The Journal of thoracic and cardiovascular surgery. 2001;121(5):1006–1008. doi: 10.1067/mtc.2001.112634
- Seguchi M, Wada H, Sakakura K, et al. Idiopathic pulmonary artery aneurysm. Circulation. 2011;124(14):e369–e370. doi: 10.1161/CIRCULATIONAHA.111.029033
- Chen Y, Gilman MD, Humphrey KL, et al. Pulmonary Artery Pseudoaneurysms: Clinical Features and CT Findings. AJR. American journal of roentgenology. 2017;208(1):84–91. doi: 10.2214/AJR.16.16312
- Bartter T, Irwin RS, Nash G. Aneurysms of the pulmonary arteries. Chest. 1988;94(5):1065–1075. doi: 10.1378/chest.94.5.1065
- Castañer E, Gallardo X, Rimola J, et al. Congenital and acquired pulmonary artery anomalies in the adult: radiologic overview. Radiographics. 2006;26(2):349–371. doi: 10.1148/rg.262055092
- Garcia A, Byrne JG, Bueno R, Flores RM. Aneurysm of the main pulmonary artery. Annals of thoracic and cardiovascular surgery. 2008;14(6):399–401.
- Guillaume B, Vendrell A, Stefanovic X, et al. Acquired pulmonary artery pseudoaneurysms: a pictorial review. The British journal of radiology. 2017;90(1073):20160783. doi: 10.1259/bjr.20160783
- Shin TB, Yoon SK, Lee KN, et al. The role of pulmonary CT angiography and selective pulmonary angiography in endovascular management of pulmonary artery pseudoaneurysms associated with infectious lung diseases. Journal of vascular and interventional radiology. 2007;18(7):882–887. doi: 10.1016/j.jvir.2007.04.023
- Lafita V, Borge MA, Demos TC. Pulmonary artery pseudoaneurysm: etiology, presentation, diagnosis, and treatment. Seminars in interventional radiology. 2007;24(1):119–123. doi: 10.1055/s-2007-971202
- Remy J, Lemaitre L, Lafitte JJ, et al. Massive hemoptysis of pulmonary arterial origin: diagnosis and treatment. AJR. American journal of roentgenology. 1984;143(5):963–969. doi: 10.2214/ajr.143.5.963
- Sbano H, Mitchell AW, Ind PW, Jackson JE. Peripheral pulmonary artery pseudoaneurysms and massive hemoptysis. AJR. American journal of roentgenology. 2005;184(4):1253–1259. doi: 10.2214/ajr.184.4.01841253
- Torres-Rojas MB, Cueto-Robledo G, Roldan-Valadez E, et al. Association Between the Degree of Severity of Pulmonary Hypertension With the Presence of Pulmonary Artery Aneurysm: A Brief Updated Review for Clinicians. Current Problems in Cardiology. 2023;48(6):101645. doi: 10.1016/j.cpcardiol.2023.101645
Supplementary files





