外周神经系统标准成像基础:磁共振神经影像学
- 作者: Morozova S.N.1, Sinkova V.V.1, Grishina D.A.1, Tumilovich T.A.1, Chechetkin A.O.1, Krotenkova M.V.1, Suponeva N.A.1
-
隶属关系:
- Research Center of Neurology
- 期: 卷 4, 编号 3 (2023)
- 页面: 356-368
- 栏目: 科学评论
- URL: https://bakhtiniada.ru/DD/article/view/254074
- DOI: https://doi.org/10.17816/DD430292
- ID: 254074
如何引用文章
详细
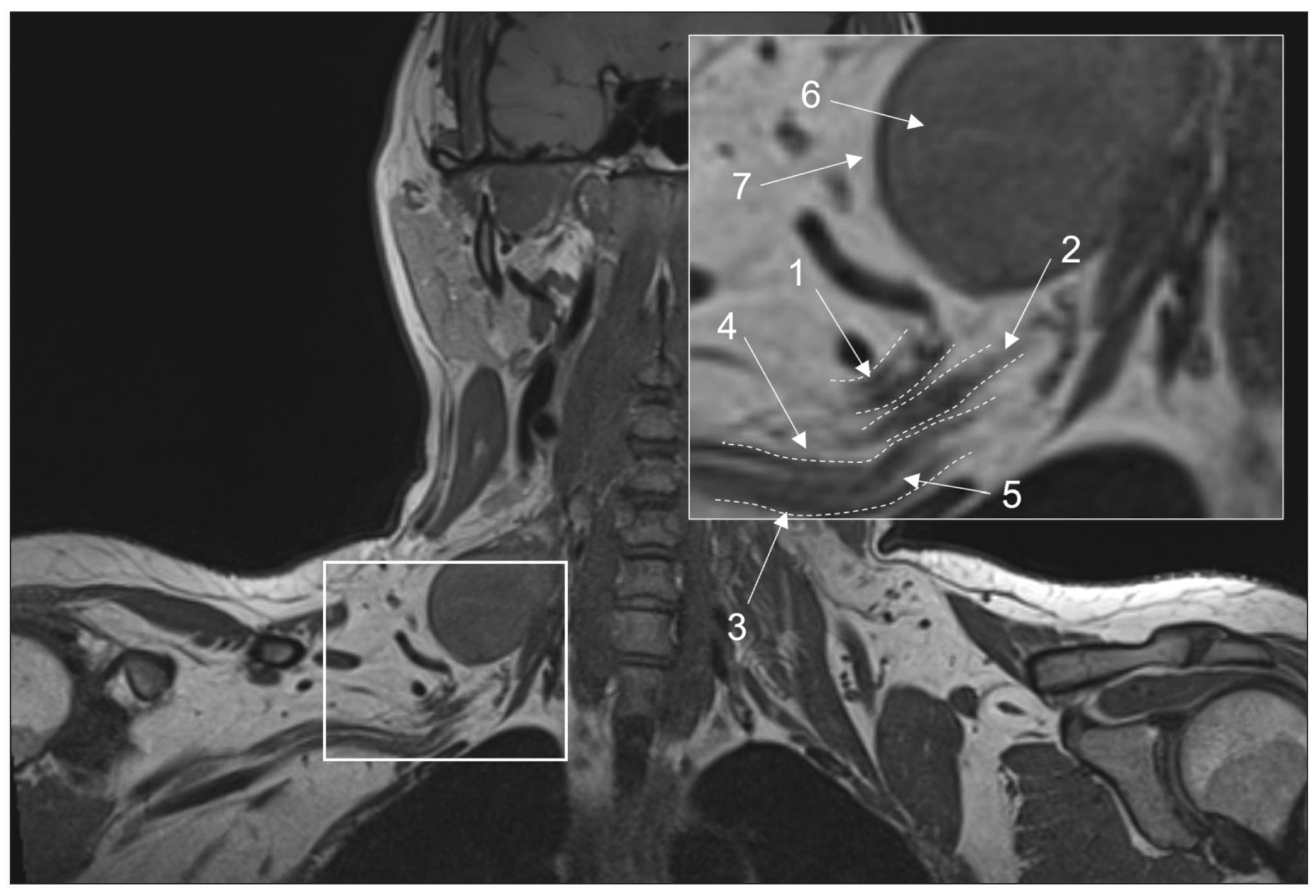
周围神经病是最常见的神经系统疾病之一。虽然已经有了完善的辅助仪器诊断方法,如神经肌电描记术和超声检查,但对各种原因引起的周围神经损坏,尤其是其近端损坏的诊断和鉴别诊断仍很困难。目前,外周神经的磁共振成像已被积极引入临床实践,成为一种宝贵的辅助诊断工具。
本文重点介绍上述检查方法的主要优点和局限性、使用磁共振成像来显示出周围神经系统结构的历史、考虑到现代技术能力的不同定位周围神经磁共振成像协议书的主要要求,包括对标准检查中使用的磁共振成像序列及其诊断价值、使用造影剂的建议以及各种脂肪抑制机制的优缺点的详细讨论。
目前,对正常和各种病变下的周围神经几乎没有标准化的描述,这降低该方法的诊断价值。为了提高该方法的信息量并扩大其应用范围,还需要对大量健康受试者和患有各种外周神经系统疾病的患者进行研究。
作者简介
Sofya N. Morozova
Research Center of Neurology
编辑信件的主要联系方式.
Email: kulikovasn@gmail.com
ORCID iD: 0000-0002-9093-344X
SPIN 代码: 2434-7827
MD, Cand. Sci. (Med.)
俄罗斯联邦, MoscowViktoriya V. Sinkova
Research Center of Neurology
Email: 000564321@mail.ru
ORCID iD: 0000-0003-2285-2725
俄罗斯联邦, Moscow
Darya A. Grishina
Research Center of Neurology
Email: dgrishina82@gmail.com
ORCID iD: 0000-0002-7924-3405
SPIN 代码: 6577-1799
MD, Cand. Sci. (Med.)
俄罗斯联邦, MoscowTaisia A. Tumilovich
Research Center of Neurology
Email: tumilovich.taisiya@bk.ru
ORCID iD: 0000-0002-9538-9690
SPIN 代码: 2264-9457
俄罗斯联邦, Moscow
Andrey O. Chechetkin
Research Center of Neurology
Email: andreychechetkin@gmail.com
ORCID iD: 0000-0002-8726-8928
SPIN 代码: 9394-6995
MD, Dr. Sci. (Med.)
俄罗斯联邦, MoscowMarina V. Krotenkova
Research Center of Neurology
Email: krotenkova_mrt@mail.ru
ORCID iD: 0000-0003-3820-4554
SPIN 代码: 9663-8828
MD, Dr. Sci. (Med.)
俄罗斯联邦, MoscowNatalya A. Suponeva
Research Center of Neurology
Email: nasu2709@mail.ru
ORCID iD: 0000-0003-3956-6362
SPIN 代码: 3223-6006
MD, Dr. Sci. (Med.), Professor, Corresponding member of the Russian Academy of Sciences
俄罗斯联邦, Moscow参考
- Hammi C, Yeung B. Neuropathy. [Updated 2022 Oct 15]. In: StatPearls [Internet]. Treasure Island (FL): StatPearls Publishing; 2023. Available from: https://www.ncbi.nlm.nih.gov/books/NBK542220/.
- Chen Y, Haacke EM, Li J. Peripheral nerve magnetic resonance imaging. F1000Research. 2019;(8):1803. doi: 10.12688/f1000research.19695.1
- Kollmer J, Bendszus M. Magnetic resonance neurography: Improved diagnosis of peripheral neuropathies. Neurotherapeutics. 2021;18(4):2368–2383. doi: 10.1007/s13311-021-01166-8
- Thompson PD, Thomas PK. Clinical patterns of peripheral neuropathy. In: Dyck PJ, Thomas PK, editors. Peripheral neuropathy. 4th ed. Elsevier Saunders, Philadelphia: 2005. Р. 1137–1161.
- Piradov MA, Suponeva NA, Grishina DA, Pavlov YeV. Electroneuromyography: Algorithms and recommendations in polyneuropathies. Moscow: Goryachaya liniya-Telecom; 2021. 198 р. (In Russ).
- Li J. Molecular regulators of nerve conduction: Lessons from inherited neuropathies and rodent genetic models. Exp Neurol. 2015;(267):209–218. doi: 10.1016/j.expneurol.2015.03.009
- Chung T, Prasad K, Lloyd TE. Peripheral neuropathy: Clinical and electrophysiological considerations. Neuroimaging Clin N Am. 2014;24(1):49–65. doi: 10.1016/j.nic.2013.03.023
- Dyck PJ, Oviatt KF, Lambert EH. Intensive evaluation of referred unclassified neuropathies yields improved diagnosis. Ann Neurol. 1981;10(3):222–226. doi: 10.1002/ana.410100304
- Stewart JD. Peripheral nerve fascicles: Anatomy and clinical relevance. Muscle Nerve. 2003;28(5):525–541. doi: 10.1002/mus.10454
- Mansurova AV, Chechetkin AO, Suponeva NA, et al. Possibilities of ultrasound in the diagnosis and differential diagnosis of amyotrophic lateral sclerosis: A literature review. Neuromuscular diseases. 2022;12(1):21–28. (In Russ). doi: 10.17650/2222-8721-2022-12-1-21-28
- Gasparotti R, Padua L, Briani C, Lauria G. New technolo-gies for the assessment of neuropathies. Nat Rev Neurol. 2017;13(4):203–216. doi: 10.1038/nrneurol.2017.31
- Deshmukh S, Sun K, Komarraju A, et al. Peripheral nerve imaging: Magnetic resonance and ultrasound correlation. Magn Reson Imaging Clin N Am. 2023;31(2):181–191. doi: 10.1016/j.mric.2023.01.003
- Ohana M, Moser T, Moussaouï A, et al. Current and future imaging of the peripheral nervous system. Diagn Interv Imaging. 2014;95(1):17–26. doi: 10.1016/j.diii.2013.05.008
- Muller I, Miguel M, Bong DA, et al. The peripheral nerves: Update on Ultrasound and magnetic resonance imaging. Clin Exp Rheumatol. 2018; 36(Suppl 114):145–58.
- Aggarwal A, Chhabra A. Magnetic resonance neurography: Is it so complicated that it needs a touch of genius? Eur Radiol. 2022;32(6):3912–3914. doi: 10.1007/s00330-021-08525-1
- Singh T, Kliot M. Imaging of peripheral nerve tumors. Neurosurg Focus. 2007;22(6):E6. doi: 10.3171/foc.2007.22.6.7
- Filler AG, Howe FA, Hayes CE, et al. Magnetic resonance neurography. Lancet. 1993;341(8846):659–661. doi: 10.1016/0140-6736(93)90422-d
- Howe FA, Filler AG, Bell BA, Griffiths JR. Magnetic resonance neurography. Magn Reson Med. 1992;28(2):328–338. doi: 10.1002/mrm.1910280215
- Mazal AT, Faramarzalian A, Samet JD, et al. MR neurography of the brachial plexus in adult and pediatric age groups: Evolution, recent advances, and future directions. Exp Rev Med Devices. 2020;17(2):111–122. doi: 10.1080/17434440.2020.1719830
- Joint Task Force of the EFNS and the PNS. European Federation of Neurological Societies/Peripheral Nerve Society guideline on management of multifocal motor neuropathy. Report of a joint task force of the European Federation of Neurological Societies and the Peripheral Nerve Society--first revision. J Peripher Nerv Syst. 2010;15(4):295–301. doi: 10.1111/j.1529-8027.2010.00290.x
- Van den Bergh PY, van Doorn PA, Hadden RD, et al. European Academy of Neurology/Peripheral Nerve Society guideline on diagnosis and treatment of chronic inflammatory demyelinating polyradiculoneuropathy: Report of a joint Task Force-Second revision. J Peripher Nerv Syst. 2021;26(3):242–268. doi: 10.1111/jns.12455
- Chhabra A, Madhuranthakam AJ, Andreisek G. Magnetic resonance neurography: Current perspectives and literature review. Eur Radiol. 2018;28(2):698–707. doi: 10.1007/s00330-017-4976-8
- Szaro P, McGrath A, Ciszek B, Geijer M. Magnetic resonance imaging of the brachial plexus. Part 1: Anatomical considerations, magnetic resonance techniques, and non-traumatic lesions. Eur J Radiol. 2022;20(9):100392. doi: 10.1016/j.ejro.2021.100392
- Holzgrefe RE, Wagner ER, Singer AD, Daly ChA. Imaging of the peripheral nerve: Concepts and future direction of magnetic resonance neurography and ultrasound. Curr Concepts. 2019;44(12):1066–1079. doi: 10.1016/j.jhsa.2019.06.021
- Chhabra A, Flammang A, Padua A, et al. Magnetic resonance neurography: Technical considerations. Neuroimaging Clin N Am. 2014;24(1):67–78. doi: 10.1016/j.nic.2013.03.032
- Chalian M, Chhabra A. Top-10 tips for getting started with magnetic resonance neurography. Semin Musculoskelet Radiol. 2019;23(4):347–360. doi: 10.1055/s-0039-1677727
- Sneag DB, Queler S. Technological advancements in magnetic resonance neurography. Curr Neurol Neurosci Rep. 2019;19(10):75. doi: 10.1007/s11910-019-0996-x
- Thakkar RS, Del Grande F, Thawait GK, et al. Spectrum of high-resolution MRI findings in diabetic neuropathy. AJR Am J Roentgenol. 2012;199(2):407–412. doi: 10.2214/AJR.11.7893
- Thawait SK, Chaudhry V, Thawait GK, et al. Highresolution MR neurography of diffuse peripheral nerve lesions. AJNR Am J Neuroradiol. 2011;32(8):1365–1372. doi: 10.3174/ajnr.A2257
- McDonald CM, Carter GT, Fritz RC, et al. Magnetic resonance imaging of denervated muscle: Comparison to electromyography. Muscle Nerve. 2000;23(9):1431–1434. doi: 10.1002/1097-4598(200009)23:9<1431::aid-mus16>3.0.co;2-p
- Stoll G, Bendszus M, Perez J, Pham M. Magnetic resonance imaging of the peripheral nervous system. J Neurol. 2009;256(7):1043–1051. doi: 10.1007/s00415-009-5064-z
- Chhabra A, Thawait GK, Soldatos T, et al. High-resolution 3T MR neurography of the brachial plexus and its branches, with emphasis on 3D imaging. AJNR Am J Neuroradiol. 2013;34(3):486–497. doi: 10.3174/ajnr.A3287
- Bischoff C, Kollmer J, Schulte-Mattler W. State-of-the-art diagnosis of peripheral nerve trauma: Clinical examination, electrodiagnostic, and imaging. In: Haaster-Talini KA, Antoniadis G, editors. Modern concepts of peripheral nerve repair. 1st ed. Springer International Publishing; 2017. doi: 10.1007/978-3-319-52319-4_2
- Dixon WT. Simple proton spectroscopic imaging. Radiology. 1984;153(1):189–194. doi: 10.1148/radiology.153.1.6089263
- Grimm A, Meyer H, Nickel MD, et al. Evaluation of 2-point, 3-point, and 6-point Dixon magnetic resonance imaging with flexible echo timing for muscle fat quantification. Eur J Radiol. 2018;(103):57–64. doi: 10.1016/j.ejrad.2018.04.011
- Subhawong TK, Wang KC, Thawait SK, et al. High-resolution imaging of tunnels by magnetic resonance neurography. Skeletal Radiol. 2012;41(1):15–31. doi: 10.1007/s00256-011-1143-1
- Chhabra A, Chalian M, Soldatos T, et al. 3-T high-resolution MR neurography of sciatic neuropathy. Am J Roentgenol. 2012;198(4):357–364. doi: 10.2214/AJR.11.6981
- Kollmer J, Bendszus M, Pham M. MR neurography: Diagnostic imaging in the PNS. Clin Neuroradiol. 2015;25(Suppl 2):283–289. doi: 10.1007/s00062-015-0412-0
- Chhabra A, Deshmukh SD, Lutz AM, et al. Neuropathy score reporting and data system: A reporting guideline for MRI of peripheral neuropathy with a multicenter validation study. AJR Am J Roentgenol. 2022;219(2):279–291. doi: 10.2214/AJR.22.27422
- Chhabra A, Deshmukh SD, Lutz AM, et al. Neuropathy score reporting and data system (NS-RADS): MRI reporting guideline of peripheral neuropathy explained and reviewed. Skeletal Radiol. 2022;51(10):1909–1922. doi: 10.1007/s00256-022-04061-1
补充文件





