腹部病理诊断中的关键脉冲序列
- 作者: Syrkashev E.M.1,2, Kadyrberdieva F.Z.2, Abuladze L.R.1, Semenov D.S.1, Privalova E.G.1
-
隶属关系:
- Moscow Center for Diagnostics and Telemedicine
- National Medical Research Center for Obstetrics, Gynecology and Perinatology
- 期: 卷 4, 编号 1 (2023)
- 页面: 39-50
- 栏目: 科学评论
- URL: https://bakhtiniada.ru/DD/article/view/146874
- DOI: https://doi.org/10.17816/DD123543
- ID: 146874
如何引用文章
详细
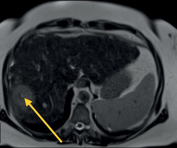
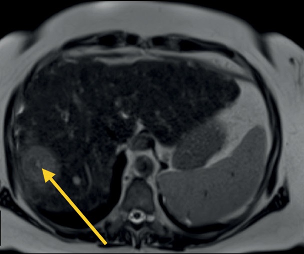
磁共振成像是诊断腹部和腹膜后器官疾病的主要方法之一,它允许显示出实质器官和空腔脏器的病灶或弥漫性变化,具有很高的诊断准确度和可重复性。与计算机断层扫描相比,磁共振成像在确定实质器官、胆道和胰管、腹膜和腹膜后器官的病理变化的敏感性和特异性方面有明显优势。
多参数扫描方案不仅提供器官的相互形貌及其结构的信息,而且提供组织的功能状态,使图像从结构评估过渡到功能评估。在大多数情况下,标准方案包括腹部扫描(T1-/T2-和扩散加权模式)和胆道扫描(磁共振胆胰管成象),但根据检查的目的和病人的情况,这个方案可以大大缩短或补充。
现有的技术发展和成果允许简化扫描过程和缩短成像时间,同时提高技术在不同医疗机构的方法重复性。
关键词
作者简介
Egor M. Syrkashev
Moscow Center for Diagnostics and Telemedicine; National Medical Research Center for Obstetrics, Gynecology and Perinatology
编辑信件的主要联系方式.
Email: egorsrkshv@mail.ru
ORCID iD: 0000-0003-4043-907X
SPIN 代码: 1901-5364
MD, Cand Sci (Med.)
俄罗斯联邦, Moscow; MoscowFaina Z. Kadyrberdieva
National Medical Research Center for Obstetrics, Gynecology and Perinatology
Email: k.faina1992@mail.ru
ORCID iD: 0009-0004-7787-3413
MD, Cand Sci (Med.)
俄罗斯联邦, MoscowLiya R. Abuladze
Moscow Center for Diagnostics and Telemedicine
Email: AbuladzeLR@zdrav.mos.ru
ORCID iD: 0000-0001-6745-1672
SPIN 代码: 8640-9989
MD
俄罗斯联邦, MoscowDmitriy S. Semenov
Moscow Center for Diagnostics and Telemedicine
Email: semenovds4@zdrav.mos.ru
ORCID iD: 0000-0002-4293-2514
SPIN 代码: 2278-7290
俄罗斯联邦, Moscow
Ekaterina G. Privalova
Moscow Center for Diagnostics and Telemedicine
Email: e-privalova@mail.ru
ORCID iD: 0000-0002-9851-9390
SPIN 代码: 6546-5135
MD, Dr.Sci. (Med.)
俄罗斯联邦, Moscow参考
- Hussain SM, Sorrell MF. Liver MRI: Correlation with other imaging modalities and histopathology, second edition. Springer; 2015. doi: 10.1007/978-3-319-06004-0
- Runge VM, Clanton JA, Partain CL, James AE. Respiratory gating in magnetic resonance imaging at 0.5 Tesla. Radiology. 1984;151(2):521–523. doi: 10.1148/radiology.151.2.6709928
- Bailes DR, Gilderdale DJ, Bydder GM, et al. Respiratory ordered phase encoding (ROPE): A method for reducing respiratory motion artefacts in MR imaging. J Comput Assist Tomogr. 1985;9(4):835–838.
- American College of Radiology [online]. ACR-SAR-SPR practice parameter for the performance of magnetic resonance (MR) Enterography. Available from: https://www.acr.org/-/media/ACR/Files/Practice-Parameters/MR-Enterog.pdf. Accessed: 17.01.2023.
- Semelka RC, Kelekis NL, Thomasson D, et al. HASTE MR imaging: Description of technique and preliminary results in the abdomen. J Mag Reson Imaging. 1996;6(4):698–699. doi: 10.1002/jmri.1880060420
- Rofsky NM, Lee VS, Laub G, et al. Abdominal MR imaging with a volumetric interpolated breath-hold examination. Radiology. 1999;212(3):876–884. doi: 10.1148/radiology.212.3.r99se34876
- Syrkashev EM, Solopova A, Kulabukhova EA. Magnetic resonance imaging in the diagnosis of peritoneal carcinomatosis indisseminated ovarian cancer. Obstetrics Gynecology. 2020;(9):38–47. doi: 10.18565/aig.2020.9.38-47
- Vanderveen KA, Hussain HK. Magnetic resonance imaging of cholangiocarcinoma. Cancer Imaging. 2004;4(2):104–115. doi: 10.1102/1470-7330.2004.0018
- Kilcoyne A, Kaplan JL, Gee MS. Inflammatory bowel disease imaging: Current practice and future directions. World J Gastroenterol. 2016;22(3):917–932. doi: 10.3748/wjg.v22.i3.917
- Koh DM, Collins DJ. Diffusion-weighted MRI in the body: Applications and challenges in oncology. AJR Am J Roentgenol. 2007;188(6):1622–1635. doi: 10.2214/AJR.06.1403
- Abuladze LR, Semenov DS, Panina OY, Vasilev YA. Optimized biparametric magnetic resonance imaging protocol for prostate cancer detection. Digit Diagnostics. 2022;3(3):166–177. doi: 10.17816/dd108484
- Thoeny HC, De Keyzer F. Extracranial applications of diffusion-weighted magnetic resonance imaging. Eur Radiol. 2007;17(6):1385–1393. doi: 10.1007/s00330-006-0547-0
- Charles-Edwards EM, De Souza NM. Diffusion-weighted magnetic resonance imaging and its application to cancer. Cancer Imaging. 2006;6(1):135–143. doi: 10.1102/1470-7330.2006.0021
- Kele PG, van der Jagt EJ. Diffusion weighted imaging in the liver. World J Gastroenterol. 2010;16(13):1567–1576. doi: 10.3748/wjg.v16.i13.1567
- Monticciolo L, Podberesky DJ, Pollack MS, et al. ACR-SAR-SPR practice parameter for the performance of magnetic resonance imaging (MRI) of the abdomen (Excluding the Liver). Semantic Scholar; 2015. Available from: https://www.semanticscholar.org/paper/ACR-%E2%80%93-SAR-%E2%80%93-SPR-PRACTICE-PARAMETER-FOR-THE-OF-(-MRI-Monticciolo-Podberesky/7dc9771a1b5aaec215c99fd74ab5e659738cf4fd. Accessed: 17.01.2023.
- Taron J, Martirosian P, Erb M, et al. Simultaneous multislice diffusion-weighted MRI of the liver: Analysis of different breathing schemes in comparison to standard sequences. J Magn Reson Imaging. 2016;44(4):865–879. doi: 10.1002/jmri.25204
补充文件











