Loessoids and other indications of the northern periglaciation1
- Authors: Astakhov V.I.1,2,3
-
Affiliations:
- Saint-Petersburg University
- VSEGEI
- Institute of Geography RAS
- Issue: Vol 55, No 2 (2024)
- Pages: 5—33
- Section: LOESS-SOIL SERIES OF NORTHERN EURASIA
- URL: https://bakhtiniada.ru/2949-1789/article/view/276396
- DOI: https://doi.org/10.31857/S2949178924020018
- EDN: https://elibrary.ru/POOARU
- ID: 276396
Cite item
Full Text
Abstract
This is a review of research in the structure of the Late Pleistocene periglacial zone of northern formerly glaciated Russia obtained during the last 40 years. The discussion concerns sediments and landforms of flatlands formed in the last 60 ka after the disintegration of regional ice sheets of the early Late Pleistocene. A special emphasis is on poorly studied phenomena of subaerial sedimentation which in the north before 1990-s, unlike in southern Russia, was commonly disregarded in geological and geographical papers in favour of glacial and aqueous processes. However, presently a wide distribution of subaerial sediments including dune sand, niveo-aeolian sand and various loess-like silts is established. Monotonous silty formations are now mapped as associations of different subaerial sediments called `loessoids`. This term embraces equally the classical steppe loess, loess-like silts of the forest zone and icy aeolian silts of the yedoma type. Together with these indications of harsh continental climate in the northern periglacial environment related products of permafrost development such as ice wedges, solifluction sheets, sandy hillocks formed by topographic inversion of thermokarst sinkholes are considered. Also in this context the specific alluvium and cryoarid biota characteristic for the continental climate аre discussed. The obtained results do not support the popular reconstructions of forested landscapes of the modern type for the MIS3 interval. According to the new results jointly with the reinterpreted old data, treeless and forest-tundra landscapes are inferred for this time. This allows to consider the periglaciation of northern Russias a counterpart of the Central European Pleniglacial.
Full Text
1. ВВЕДЕНИЕ
Основные усилия геологических исследований Русского Севера c 1990-х гг. были направлены на датирование и реконструкцию обстановок последнего покровного оледенения, которое не выходило за пределы Полярного круга. Однако без исследования более обширной перигляциальной зоны нельзя понять современное состояние и тенденции развития ландшафтов северных российских равнин, а также провести успешную стратиграфическую корреляцию с соседними регионами. Такие исследования сталкиваются с множеством проблем ввиду своеобразия объекта, в котором сочетаются фации аридных и мерзлотных ландшафтов. “Перигляциальный ландшафт по всей совокупности специфических черт не похож ни на область вечной мерзлоты, ни на аридную область и практически не имеет своих аналогов в современных природных условиях” (Васильев, 1980, с. 16). Реконструкция перигляциальной обстановки базируется на интерпретации как палеонтологических, так и седиментологических данных с непременной привязкой результатов к геохронологической шкале методами инструментального датирования.
Рис. 1. Картосхема положения разрезов, обсуждаемых в тексте (указаны буквами). Толстые линии — границы ледниковых покровов разного возраста.
Fig. 1. Location map: discussed sites are lettered. Thick lines are limits of different glaciations.
Результаты палеонтологических и палеокриологических исследований в перигляциальной зоне освещены в литературе резко неравномерно, с неодинаковой детальностью по регионам. Особенно велики различия в объеме и качестве опубликованных седиментологических данных на юге и севере перигляциальной зоны. Классические работы по строению лёссово-почвенных серий и перигляциальному аллювию выполнены, в основном, в южных степях и лесных районах Центральной России, тогда как на севере подобные исследования единичны. Это вызвало серьезные затруднения при составлении карты лёссоидов Российской Федерации (Астахов и др., 2021), поскольку в первичных источниках информации между авторами отдельных карт отсутствовало взаимопонимание, включая основные понятия и термины.
Ниже я попытаюсь осветить наличный уровень знаний и проблематику перигляциальных образований верхнего неоплейстоцена на севере России (рис. 1) с акцентом на широко распространенные, но наименее изученные субаэральные отложения, в том числе лёссоиды, и их взаимоотошения с сопутствующими плейстоценовыми образованиями. Эта проблематика стала особенно актуальной после того, как международными усилиями было установлено, что последний покровный ледник надвигался на арктические равнины Европейского Северо-Востока и Западной Сибири не позднее 60 тыс. л. н. (Mangerud et al., 1999; Astakhov, 2006). Установление этого рубежа значительно увеличило возраст и удлинило историю перигляциальной зоны (Astakhov, 2014). Ниже рассматриваются именно события последних 50—60 тыс. л., примерно синхронные центрально-европейскому пленигляциалу.
2. СЕДИМЕНТОЛОГИЧЕСКИЕ ПРОБЛЕМЫ ПЕРИГЛЯЦИАЛЬНОЙ ЗОНЫ
Основная цель седиментологического изучения перигляциальной зоны — реконструкция палеогеографических обстановок и их межрегиональная корреляция для получения отчетливой картины природных изменений вокруг четвертичных ледниковых покровов. Однако на самом общем уровне отсутствует общепринятое определение объекта изучения, хотя не вызывает сомнений, что типичная перигляциальная обстановка характеризуется сухим, резко континентальным климатом по большей части на вечномерзлом субстрате.
Применительно к умеренным широтам Восточной Европы в 1960—1970-е гг. при проведении классических палеогеографических исследований основным геологическим объектом для реконструкции природных условий перигляциальной области позднего неоплейстоцена послужили лёссы и связанные с ними почвы и мерзлотные явления. Применение палеонтологических методов на Русской равнине было ограничено степными районами ввиду недостатка в лесной зоне датированных разрезов с органическими остатками. Позднее этот недостаток был частично компенсирован важными работами по палеотериологии (Вангенгейм и др., 2001; Markova et al., 2002) и в гораздо меньшей степени по палеоботанике — масса публикаций по спорово-пыльцевому анализу со всеми его недостатками сопровождалась лишь редкими работами по палеогеографически более надежной палеокарпологии (напр., Величкевич, 1985).
На Русском Севере отрицательное влияние на палеогеографические построения оказало игнорирование большинством исследователей важнейшего седиментационного фактора сухого климата — ветровой эрозии и аккумуляции. Колоссальная роль воздушных потоков в рельефообразовании и осадконакоплении во всех географических зонах Земли была известна еще в ХIХ столетии. Уже в 1960-х гг. исследователям степных и пустынных регионов, занимающих 25 % суши, было ясно, что там эоловый процесс является главным фактором преобразования поверхности. Если добавить территории холодных поясов, где широко развиты развеянные ветрами земли, и области аккумуляции ветровой пыли, то общая площадь заметного эолового воздействия на поверхность, по примерной оценке, составляет не менее 35—40 % суши. При этом ветровая пыль “дает разнообразную гамму осадков — слоистые почти незатронутые почвообразованием эоловые супеси пустынь, типичные лёссы полупустынной и степной зон, лёссовидные суглинки зоны лесостепи и лёссовидные плотные суглинки и покровные глины лесной зоны” (Федорович, 1964, с. 110).
Важнейшие исследования с интересными описаниями и соображениями о характере субаэральной седиментации выполнены в основном на юге перигляциальной зоны. Наиболее выдающиеся публикации принадлежат Б.А. Федоровичу (1960), А.С. Кесь (1966), Н.И. Кригеру (1965), А.А. Величко и И.П. Герасимову (Палеогеография…, 1982) и ряду других исследователей. Но в таежных и тундровых регионах в советское время основное внимание при изучении четвертичного покрова уделялось водно-осадочным и ледниковым отложениям. Результатом явилось почти полное отсутствие генетических типов субаэральных отложений на многочисленных геологических картах. Работы по субаэральной тематике в подавляющем большинстве были основаны на анализе поверхностных отложений степной и полупустынной зон и не касались северных районов, где преобладали идеи водно-осадочного происхождения четвертичного мелкозема, не только среди мерзлотоведов, но и среди профессиональных геологов.
Понятие субаэральной формации применительно к верхнеплейстоценовым осадкам внеледниковых равнин Советского Союза впервые выдвинуто И. А. Волковым. Суть его состоит в том, что “позднечетвертичные (правильно “верхнечетвертичные” — В. А.) эоловые пески, лёссы и основная часть лёссовидных отложений генетически тесно связаны. Они образуют единый покров, формирование которого носило прерывистый характер … на равнинах умеренного пояса северного полушария” (Волков, 1971, с. 6). Для того времени это был прорыв, поскольку в геолого-географической литературе лёссовые породы и эоловые пески рассматривались раздельно и только на юге перигляциальной зоны. Однако даже эта субаэральная парадигма не избавляет от “южной идиосинкразии”. Так, хотя И.А. Волков и дал прекрасные описания эоловых отложений и ландшафтов азиатских степей, он отказывался узнавать аналогичные образования в таежной зоне, а на Широтной Оби видел только озерные отложения (Архипов и др., 1980).
Многие обобщающие работы по четвертичной геологии Севера иногда упоминали маломощный слой покровных алевритов, но не рассматривали их как важный объект стратиграфического и палеогеографического анализа. Наиболее серьезно субаэральные образования рассмотрены в классической сводке по Западно-Сибирскому перигляциалу (Заррина и др., 1961), но и здесь им отведена вторичная роль. Несомненным достижением этой работы надо считать первое в отечественной литературе введение лёссов и солифлюкционных отложений в состав перигляциальной формации. Авторы подчеркнули роль склоновых процессов в перигляциальном преобразовании рельефа, хотя и не дали соответствующего описания разрезов. Особенно ценно в этой работе первое освещение истории многолетней мерзлоты для огромной территории.
В наиболее обстоятельном геоморфологическом исследовании Западной Сибири ссылки на субаэральные процессы относятся только к яркому дюнному рельефу позднего неоплейстоцена–голоцена, который невозможно было не заметить (Земцов, 1976). Однако при этом из всех геологических процессов эоловому фактору отводилась наименьшая роль, поскольку остальные субаэральные формы и отложения просто не учитывались. Все, что в начале наших работ 1990-х гг. по русско-норвежскому проекту PECHORA удалось найти по субаэральным отложениям в тундрах Северо-Востока Европейской России — одну заметку об эоловых песчаных грядах на Нижней Печоре, которые на глинистых междуречьях сопровождаются тонким слоем покровных песков (Конищев, Любимов, 1968).
Только на далеком Северо-Востоке Сибири исследования вечной мерзлоты объединялись с подробным изучением субаэральных образований. В.В. Колпаков (1983) и С.В. Томирдиаро (1980) не только обосновали преимущественно эоловый генезис мощной едомной толщи мерзлых алевритов, но и связали его с дефляционными процессами и специфической природной обстановкой сухой перигляциальной области Северо-Восточной Сибири. По В.В. Колпакову (1983) плейстоценовые эоловые образования, представленные фациями дефляционных пустынь, песков и покровов эоловой пыли, составляют ⅓ объема всех четвертичных отложений Якутии. В наши дни получили также подробное описание мощные толщи эоловых песков верхнего неоплейстоцена Якутии (Галанин, 2021).
3. ЛЁССЫ И ЛЁССОВИДНЫЕ ОТЛОЖЕНИЯ
Принципиально проблема происхождения лёсса давно потеряла остроту, поскольку почти все процессы, влияющие на формирование и типичного лёсса и похожих на него лёссовидных пород, неоднократно и детально описаны. Но, поскольку эти образования являются неотъемлемой частью субаэральной формации, стоит кратко отметить хорошо известные особенности этих пород, влияющие на истолкование истории перигляциальной зоны.
По Н.И. Кригеру проблема лёсса — палеогеографическая. Его необходимо изучать не в отдельных образцах, а в природной обстановке, во взаимосвязи с другими природными явлениями, в первую очередь — мерзлотными. Тогда же Н.И. Кригер (1965) сформулировал главные признаки эолового происхождения лёсса: чуждый минеральный состав, закономерное изменение гранулометрии и содержания тяжелых минералов по мере удаления от вероятных источников развевания и залегание на обширных горизонтальных площадях, где почти невозможна роль делювиальных, равно как и других водно-осадочных процессов. К этому можно добавить регулярные следы почвообразования, степного и криогенного, а также частые находки криоксеротической биоты от насекомых до мамонтов.
Для палеогеографии плейстоцена важно, что по направлению к северу лесной зоны характерные признаки классического степного лёсса, такие как карбонатность, пористость и просадочность, постепенно убывают, замещаясь такими свойствами лёссовидных отложений, как ожелезненность и плывунность. Характерной чертой, объединяющей их с типичным лёссом, является плащеобразное залегание на всех элементах рельефа, за исключением пойм и горных склонов. Другие общие и важные черты: преобладание крупного алеврита в составе, массивная текстура и переслаивание с более тонкими биогенными слоями, такими как погребенные почвы, моховые начесы или торфяники (Астахов и др., 2021).
В профессиональных публикациях давно признано, что настоящий лёсс — эоловый, а лёссовидные отложения могут быть любого, не только эолового происхождения (напр., Кесь, 1966). Эта точка зрения доминирует и во многих современных работах (напр., Методическое…, 2005). Общим литологическим термином для всех таких образований является сочетание “лёссовые породы”, широко применяемое инженерными геологами (Кригер, 1965; Лёссовые породы…, 1986). Его аналогом является аргентинский термин “лёссоиды” (Teruggi, 1957), употребляемый в современном геологическом картографировании как более удобный и не несущий конкретной отсылки к генезису (Астахов и др., 2021).
Лёссоиды на современных картах четвертичных образований России обозначаются как парагенез L c добавлением индексов Общей стратиграфической шкалы и свит, например, LedIII для едомной толщи верхнего неоплейстоцена. Дело в том, что алевритовый материал, может быть как изначально отложен в виде эоловой пыли (чаще всего), так и переотложен гравитационными и флювиальными процессами. На практике различать эти седиментологические особенности не всегда возможно, а обычно и не требуется. Для определения породы в качестве лёссоида алеврит, отложенный любым агентом, должен быть облёссован, т.е. подвергнут диагенезу почвообразовательными или криогенными процессами (Методическое…, 2005).
Особенности образования лёссовидных пород в отечественной литературе впервые четко сформулированы А.С. Кесь (1966). По ее мнению, эоловыми являются не только типичные степные лёссы, но и так называемые “покровные суглинки” лесной зоны. Но это относится лишь к первичным покровным суглинкам, а не к широко распространенным вторичным алевритовым плащам, образовавшимся путем переотложения другими агентами перигляциальной зоны, большей частью склоновыми процессами (secondary loess западноевропейских авторов). Таким образом, среди лёссоидов следует различать собственно лёсс, т.е. эоловую пыль, преобразованную степным педогенезом/диагенезом, и лёссовидные алевриты разного (включая эоловое) происхождения. Необходимо только отметить, что несмотря на вторичное, переотложенное происхождение многих лёссоидов, первичным источником основной массы слагающего эти породы алевритового материала все равно является ветровой перенос. Поэтому справедлива общая генетическая характеристика лёссоидов как субаэральных образований.
Генетическая связь типичного южнорусского лёсса с другими субаэральными образованиями становится очевидной при картографическом прослеживании поверхностных алевритовых толщ в разных географических зонах. Для изучения перигляциальной обстановки важно, что распределение различных лёссоидов по территории России отражает как современную, так и палеогеографическую зональность равнин. Так, классический карбонатный лёсс приурочен к южным степям c черноземными и каштановыми почвами, а выщелоченные лёссы с подзолистыми и гидроморфными палеопочвами и лёссовидные алевриты обычны в лесной древнеледниковой зоне (Астахов и др., 2021). А поверхность вечномерзлых тундр и северо-восточной тайги зачастую сложена льдистыми лёссоидами. Географические варианты лёссоидов являются как индикаторами установленной зональности перигляциальной зоны (Velichko, Zelikson, 2005), так и отражают разнообразие постседиментационных процессов и строения субстрата, на котором происходила аккумуляция пыли (Методическое…, 2005).
Несмотря на явные различия условий образования лёссоидов, для геологической истории важно, что все их литологические разновидности связаны с единой седиментационной обстановкой в резко континентальной, морозной, засушливой и безлесной среде, которая неоднократно возникала в ландшафтной гиперзоне Северной Евразии за пределами плейстоценовых ледниковых покровов (Величко, 1973). Седиментационный результат разными авторами определялся по-разному: вначале узко как эолово-почвенная формация (Кесь, 1966), затем как субаэральная формация (Волков, 1971), или эоловая формация, представленная фациями дефляционных пустынь, песков и покровов эоловой пыли (Колпаков, 1983), и наконец, лёссово-почвенно-криогенная серия (Палеогеография…, 1982; Динамика…, 2002).
Со структурно-геологических и палеогеографических позиций все эти образования можно считать обязательной частью перигляциального покровного комплекса, который кроме чисто субаэральных отложений включает и склоновые (делювиальные и солифлюкционные) плащи, а также некоторые типы водно-осадочных отложений, представленные толщами перигляциального аллювия и линзами термокарстово-озерных осадков. Относительная роль каждого из этих седиментационных процессов менялась в зависимости от колебаний климата в течение ледникового цикла.
Отложения долинных подпрудно-ледниковых озер здесь не рассматриваютcя, поскольку они являются неотъемлемым элементом осадочного комплекса эпохи максимальной экспансии покровного оледенения позднего неоплейстоцена и, соответственно, имеют OSL возраст 90—60 тыс. л. (Mangerud et al., 1999; Astakhov, 2006).
4. ЛЬДИСТЫЕ ЛЁССОИДЫ ВНЕЛЕДНИКОВОЙ СИБИРИ
Крайний член северной субаэральной формации — арктические льдистые алевриты, характерные для Северо-Восточной Сибири и прилегающего морского шельфа. Они широко известны как доголоценовая едомная толща, состоящая из мерзлых алевритов с мощными жильными льдами (Томирдиаро, 1980). Независимо от водных гипотез происхождения едомных алевритов, препятствовавших пониманию единства перигляциальных ландшафтов Северной Евразии, попытки рассмотрения едомных толщ в качестве аналогов южных лёссов давно делались в инженерно-геологических исследованиях на основе оценки просадочности всех лёссовидных пород (Лёссовые породы…, 1986).
Рис. 2. Криогенно-эоловые отложения Арктики. (а) — типичная едомная полосчатая толща лёссовидных алевритов с лентами сегрегационного льда и моховыми начесами, проткнутая сингенетическими ледяными жилами в разрезе на о-ве Бол. Ляховский, 73.5° с. ш. (фото В.Е. Тумского). (б) — датированный разрез в устье р. Се-Яха, 70° с. ш. (С на рис. 1), по (Vasilchuk, Vasilchuk, 1998) с упрощениями. 1 — мелкий песок, 2 — крупный алеврит, 3 — алеврит с торфянистыми прослойками, 4 — сингенетический жильный лед. ¹⁴C-даты не калиброваны.
Fig. 2. Cryogenic aeolian sediments of the Arcctic. (а) — typical striped Yedoma formation of loess-like silts with bands of segregated ice and moss seams penetrated by syngenetic ice wedges at Bol. Lyakhovsky Island, 73.5°N (photo by V.Ye. Tumskoy). (б) — dated sequence at the Syo-Yakha river mouth (C in fig. 1) by (Vasilchuk, Vasilchuk, 1998), simplified. 1 — fine sand, 2 — coarse silt, 3 — silt with peaty seams, 4 — syngenetic ice wedges. ¹⁴C dates not calibrated.
Льдистая едома большой мощности появляется сразу за Уралом на восточном Ямале (Болиховский, 1987), где она детально датирована в устье р. Сё-Яха (С на рис. 1; рис. 2, (б)). Сохранность плейстоценовой сильно льдистой толщи обусловлена низкими (–7 — –9 °С) температурами современной мерзлоты запада Сибирской Арктики (Геокриология… 1988). Мощная (до 60—80 м) едомная толща наиболее широко распространена на вечномерзлых прибрежных равнинах внеледниковой Восточной Сибири и Аляски, а также на шельфе арктических морей (Астахов и др., 2021). Ее присутствие однозначно свидетельствует о невозможности поздневалдайского покровного оледенения в этих районах. В типичном случае она состоит из тонких лент крупного, местами глинистого алеврита или тонкого песка с прослойками мохового начеса и шлирами сегрегационного льда, создающими облик полосатой стенки. Эта толща проткнута телескопированными жилами сингенетического льда, образующими в плане полигональную решетку (рис. 2).
Это наилучший архив остатков плейстоценовой мегафауны, перигляциальных растений, насекомых и другой сухопутной ископаемой органики. Из-за высокого содержания подземного льда, достигающего местами 90 объемных процентов, мерзлотоведы, воспринимают едомные отложения как “ледовый комплекс”, по их мнению, флювиального происхождения. Геологи, картировавшие едомную толщу, определяли ее генезис как криогенно-эоловый (Колпаков, 1983).
Солидную поддержку эоловая концепция получила от ведущего специалиста по аляскинским лёссам и президента Международной ассоциации мерзлотоведов T. Péwé, специально изучавшим лёссовидные алевриты Якутии (Péwé, Journaux, 1983). Несмотря на эти исследования, отечественные мерзлотоведы до сих пор ссылаются на не имеющую серьезного седиментологического и палеонтологического обоснования гипотезу озерно-аллювиального происхождения ледово-алевритовой едомы Западной Берингии.
В наше время эоловая концепция происхождения льдистых алевритов, как наиболее обоснованная, принята большинством геологов. Один из лучших индикаторов субаэрального происхождения едомы, наряду с криоксеротической флорой и фауной, и облекающим залеганием от минусовых отметок до +300 м — повсеместное проявление почвенных процессов, определяющих едому как “криопедолит”, т.е. осадок, испытывающий педогенез одновременно с сингенетическим промерзанием пыли, регулярно поступающей из атмосферы. Этот процесс подчеркнут выдержанными криоаридными палеопочвами с ископаемыми норами грызунов (Губин, 2002; Murton et al., 2015). Именно это субаэральное явление вполне очевидно объединяет в одну группу едомные алевриты и южные лёссы, которые в современных работах нередко рассматриваются как ископаемые почвы (Швецов, 2021).
Важный шаг в оценке эолового фактора в истории перигляциальной зоны сделан в Атласе-монографии под ред. А.А. Величко, где на карте наряду с южным лёссом показаны льдистые алевриты Северо-Востока Азии в качестве лёссово-ледового комплекса, несомненно, субаэрального происхождения (Динамика… 2002). По мнению авторов, в отличие от типичных лёссов, едомные алевриты прошли “лишь самые начальные стадии облёссования” (ibid., с. 35).
К сожалению, в этой работе данные по перигляциалу древнее последнего скандинавского оледенения можно найти только для центральной России (брянский интерстадиал), а картографические обобщения касаются только экстремальных моментов истории позднего неоплейстоцена и голоцена. Например, южная граница максимального распространения многолетней мерзлоты (до 47° с. ш.) надежно устанавливается лишь для последнего ледникового максимума (4-я ступень Общей стратиграфической шкалы). Но эта граница подтверждает раннее заключение по Западной Сибири, что “при минимальных размерах оледенения перигляциальная область достигает наибольшей ширины” (Заррина и др., 1961, с. 69).
5. СУБАЭРАЛЬНЫЕ ОБРАЗОВАНИЯ ДРЕВНЕЛЕДНИКОВЫХ РАВНИН СЕВЕРА
5.1. Общая ситуация
Вышеприведенных определений природы лёссовидных алевритов и их связи с многолетнемерзлым субстратом все же недостаточно для полного понимания послеледниковой седиментационной ситуации на Северо-Востоке Европейской России. Дело в том, что в европейской “теплой” мерзлоте со среднегодовой температурой грунтов –0.5 — –1, реже –2 — –3 °С (Геокриология…, 1988) повторно-жильные льды развивались, главным образом, при ее агградации в позднем плейстоцене и в гораздо меньшем объеме по сравнению с Сибирью, а в лёссовидных отложениях их следы обычно фиксируются в виде разрозненных псевдоморфоз, а за Полярным кругом — и совсем редких погребенных ледяных жил. Гораздо чаще в разрезах верхнего неоплейстоцена европейского Севера наблюдаются признаки деградации мерзлоты при потеплении и увлажнения климата — языки солифлюкционных диамиктов, иногда образующих толщи мощностью до 10 м (Mangerud et al., 1999; Астахов, Свенсен, 2011). Наиболее отчетливо взаимоотношения элементов перигляциальной формации проявлены в верхнем неоплейстоцене Печорского бассейна. В самом общем виде они отражены на схематическом профиле рис. 3, где показаны основные элементы арктического покровного комплекса в современных условиях вялой деградирующей мерзлоты.
Рис. 3. Взаимоотношения перигляциальных образований верхнего неоплейстоцена на северо-востоке Европейской России (схематический профиль, модифицирован по (Астахов, Свенсен, 2011)).
Fig. 3. Upper Pleistocene periglacial sediments interrelated in north-eastern European Russia (principal profile, modified after (Astakhov, Svendsen, 2011)).
Для палеогеографических реконструкций не менее важны следы сухого, безоблачного и ветреного климата ледникового плейстоцена, отраженные в эоловых толщах, местами преобразованных склоновыми процессами. Как отмечалось выше, на севере лесной зоны типичные лёссы сменяются талыми лёссовидными алевритами с ожелезненными следами корнеходов вместо карбонатных включений и эоловыми песками с языками солифлюкционных отложений и слабыми следами аридного почвообразования (рис. 4).
Рис. 4. Разрезы субаэральных отложений верхнего неоплейстоцена вблизи села Акись на левом берегу Печоры (65°50ʹ с. ш.; А на рис. 1). (а) — обнажение лёссовидного алеврита с разводами ожелезнения, вверху сменяющегося покровным песком; (б) — в карьере эоловые пески (А) с языком солифлюкционного диамиктона (Б) и трещиноватыми следами почвообразования (В) в его кровле.
Fig. 4. Subaerial deposits of the Upper Pleistocene near Akis settlement on the western bank of the Pechora River (65°50ʹ N; А in fig. 1). (а) — loess-like silt with ferruginous smears changing upwards into coversand; (б) — aeolian sand (А) with a tongue of soliflucted diamicton (Б) and dessication cracks of the palaeosol (В).
В последние десятилетия в строении перигляциального осадочного чехла Северо-Востока Европейской России выявилась существенная роль не только ветрового навевания, но и других, более энергичных проявлений эоловых процессов. Ниже приводятся малоизвестные проявления субаэральной активности на примере нескольких разрезов верхнего неоплейстоцена Русского Севера, не касаясь кратко рассмотренных выше мерзлых алевритов едомного типа.
5.2. Строение эоловых форм
Недавно установлено значительное развитие на северных равнинах Европейской России и Западной Сибири перевеянных песков в двух разных формах. Оказалось, что в европейских вечномерзлых тундрах широко распространены дюнные пески с характерной диагональной слоистостью и монотонным гранулометрическим составом (Mangerud et al., 1999; Астахов, Свенсен, 2011). В частности, они слагают особенно широкую полосу высотой от 20 до 60 м вдоль юго-восточного берега Баренцева моря, которая ранее показывалась на геологических картах как морские террасы конца плейстоцена–начала голоцена (Карта…, 1971; Лавров, Потапенко, 2005). Такие террасы требовались для модели предполагаемого поздневалдайского оледенения на Северо-Востоке Русской равнины, которая несовместима с древним возрастом послеледниковой толщи (рис. 5).
Рис. 5. Разрез приморской песчаной низины на Тиманском Берегу (67°50ʹ с. ш., 49°10ʹ в. д.; ТБ на рис. 1). Типичный разрез послеледникового плейстоцена Нижней Печоры: преобладают эоловые пески, подстилаемые озерными алевро-песками с прослоями солифлюкционных отложений по (Mangerud et al., 1999). 1 — торф; 2 — эоловые пески дюнные; 3 — галька перлювиальная; 4 — эоловые пески горизонтальные слоистые; 5 — солифлюкционный диамиктон; 6 — озерные тонкослоистые пески; 7 — галечник с валунами; 8 — дислоцированные алевриты и пески; 9 — морские алевриты и глины; 10 — моренный диамиктон; 11 — псевдоморфозы по ледяным жилам; 12 — OSL даты; 13 — ¹⁴C-даты.
Fig. 5. Section of sandy coastal lowland on Timan Beach (67°50ʹ N., 49°10ʹ E; TБ in fig. 1). Characteristic sequence of postglacial Pleistocene of the Lower Pechora: dominant aeolian sands underlain by limnic silts and sands with wisps of solifluction sediments by (Mangerud et al., 1999). 1 — peat; 2 — аeolian dune sands; 3 — pebble lag; 4 — аeolian horizontally bedded sands; 5 — solifluction diamicton; 6 — limnic laminated sands; 7 — cobble gravel; 8 — disturbed silts and sands; 9 — marine silt and clays; 10 — till; 11 — ice-wedge casts; 12 — OSL dates; 13 — ¹⁴C dates.
Исследования по русско-норвежскому проекту PECHORA (Mangerud et al., 1999) обнаружили, что вдоль Тиманского Берега (ТБ на рис. 1) эта наклонная псевдотерраса сверху сложена раздуваемыми песками с длинной наклонной слоистостью и узкими клиньями псевдоморфоз по грунтовым и ледяным жилам. Они перекрыты торфяниками с радиоуглеродным возрастом 8—10 тыс. л., а в верхах песчаной толщи мелкие торфяные линзы дали ¹⁴C-возрасты от 9 до 11.7 тыс. л. Это и послужило основанием для реконструкции морской трансгрессии конца плейстоцена–начала голоцена с дальнейшим падением уровня моря (Лавров, Потапенко, 2005). Не говоря уже о палеогеографической невероятности такого подъема уровня океана в начале голоцена, противоречащего всем мировым данным об уровнях порядка –60 м (Shennan, 2007), в прибрежной монотонно песчаной толще не обнаружено признаков морской биоты, зато встречаются обрывки тундровых почв и мамонтовые кости. Поучителен детально изученный разрез Тиманского Берега (рис. 5; ТБ на рис. 1).
В основании разреза в единичных выходах представлены дислоцированные ледником водно-осадочные слои пачки A (блоки морских глин и песков с раковинами моллюсков) и пачки Б (тонкослоистые алевриты и пески с остатками наземных растений).
В подошве несогласно залегающей пачки В наблюдается каменистый диамиктон солифлюкционного облика с сильно выветрелыми валунами. Основная часть пачки сложена тонкослоистым песком, видимо, отложенным в небольшом озерке. В песок внедряются тонкие (5—10 см) языки, а вдоль кровли и 1-метровый слой, очевидно, сползший в озерко и состоящий из неправильных линз солифлюкционного диамиктона, песка и глины с штрихованными валунами и растительным детритом, со следами течения по склону. Мамонтовый бивень хорошей сохранности на пляже с практически запредельной ¹⁴C-датой 48 тыс. л., видимо, был вымыт из этого слоя. Пачка Г, прослеженная на несколько километров вдоль берега, состоит из зеленовато-серого мелкого песка мощностью 5—10 м. Он имеет слабую горизонтальную слоистость и очень похож на покровный песок в разрезе Мархида (М на рис. 1). В него от кровли внедряются узкие песчаные клинья, вероятно, псевдоморфозы по повторно-жильным льдам.
Пачка Д представлена желто-серым хорошо сортированным средне- и мелкозернистым песком мощностью 5—10 м без остатков морской органики, с тонким слоем перлювиального гравия в подошве, отделенным от пачки Г эрозионным несогласием. Длинная диагональная слоистость этого песка, рыхлость и желтоватые (окисные) тона окраски указывают на его эолово-дюнное происхождение. Их субаэральный генезис подчеркивается и отсутствием таких типичных признаков прибрежно-морских отложений как приливные и штормовые текстуры, а также глинистые прослои — неизбежные результаты прибрежной сепарации обломочного материала (Reineck and Singh, 1980). Против морского генезиса также обрывки тундровых почв и отсутствие следов эрозии прибрежными льдинами, неизбежных на заполярном берегу.
Пески пачки Д с криотурбациями вдоль кровли выполняют несколько ложков, врезанных в подстилающие осадки. Разрез венчается прерывистым слоем голоценового торфа (пачка Е), до 3—4 м мощности в понижениях. Местами подошва торфа уходит под уровень моря, указывая на субаэральный перерыв до начала современной трансгрессии моря. Из торфа получены радиоуглеродные даты от 10 до 7.4 тыс. л. Но все десять AMS ¹⁴C-дат из подстилающих отложений показали запредельный возраст. OSL датирование дало значения в интервале 52—32 тыс. л. н. для озерной линзы пачки В, 19 и 19.4 тыс. л. в нивейно-эоловом песке пачки Г, 12.7 и 14.9 тыс. л. в дюнном песке пачки Д. Сильная выветрелость базального диамиктона пачки В подразумевает длительную субаэральную экспозицию (Mangerud et al., 1999; Астахов, Свенсен, 2011).
Рис. 6. Эоловые формы рельефа в низовьях Печоры. (а) — заросшая позднеледниковая дюна на левом берегу р. Куи к востоку от Нарьян-Мара (К на рис. 1); (б) — останцовые песчаные холмы, бронированные валунно-галечным плащом западнее устья Печоры; (в) — мелкие конические останцы, отпрепарированные дефляцией на гребне гляциотектонической гряды у Вашуткиных озер (68°5ʹ с. ш., 61°38ʹ в. д.; В на рис. 1) (Астахов, Свенсен, 2011).
Fig. 6. Aeolian landforms in the lower reaches of the Pechora River. (а) — overgrown dune on Kuya River east of Naryan-Mar city (K in fig. 1); (б) — sandy residual hillocks armoured by cobbly gravel west of the Pechora mouth; (в) — wind-eroded tiny residual cones on the crest of a glaciotectonic ridge at Vashutkiny Lakes (68°5ʹ N., 61°38ʹ E; В in fig. 1) (Astakhov, Svendsen, 2011).
Наконец, эоловое происхождение прибрежной песчаной толщи выдает и ее характерная форма залегания в виде пологих крупных задернованных дюн восточнее Нарьян-Мара (рис. 6, (а); К на рис. 1). Показательно, что эта дюнная толща, выполняющая прибрежные низины вдоль всего юго-восточного побережья Баренцева моря, находится в непосредственной близости от края последнего ледникового покрова Баренцева моря (рис. 1) и, вероятно, связана с катабатическими (стоковыми) ветрами с этого ледникового щита.
На прилегающих возвышенных плато береговая дюнная толща сменяется совсем другими субаэральными образованиями, а именно — дефляционными останцами, особенно яркими в Малоземельской тундре, где они ранее картировались как камы (Лавров, Потапенко, 2005). Их коническая форма с вогнутыми (а не выпуклыми) профилями склонов (рис. 6, (б, в)) и наличие бронирующего плаща из обильного крупнообломочного материала ясно указывают на их останцовый характер. Коренной источник этих валунно-галечных плащей выявляется мелкими горными выработками, вскрывающими крутопадающие контакты интенсивно дислоцированных морских песков и галечников в составе напорной морены (Astakhov, 2014).
5.3. Покровные пески
Развеянные песчано-галечные плато, сложенные морскими и флювиогляциальными отложениями, дислоцированы последним ледником, местами оставившим маломощную морену. Они кое-где прикрыты прерывистым плащом буровато-желтых покровных песков мощностью от 1 до 5 м, выстилающих склоны долин Нижней Печоры и ее правых притоков (Mangerud et al., 1999). Ранее эти мелкие пески истолковывались как осадки обширных позднеледниковых озер, которые якобы затапливали все аллювиальные террасы (Лавров, Потапенко, 2005). Эта интерпретация ошибочна ввиду следующих особенностей этих песков (рис. 7).
- Тонкая горизонтальная слоистость за счет прослоек крупного алеврита через 1—3 см сопровождается оржавленными вертикальными следами травянистых корнеходов. При этом, независимо от положения разрезов в рельефе, отсутствуют типовые водно-осадочные текстуры такие как рябь течения и косая слойчатость, а также характерные признаки водной сепарации в виде гравийно-галечных и глинистых прослоев.
- Рыхлость и окисные тона окраски, связанные с железистой рубашкой песчаных зерен, что характерно для субаэральных, а не водных отложений.
- Часто встречающиеся внутриформационные мелкие клинья морозного растрескивания, нереального для подводных условий.
- Массивные пятнистые прослои толщиной 10—15 см с трещинами и железистыми пятнами — признаками криоаридного педогенеза.
- Резкие контакты между слойками разной зернистости вместо нормальной градации.
- Очень показательны микроскопические (0.5—1 см) каплевидные волны в подошвах многих слойков песка, которые, по мнению голландских геологов, пристально изучавших покровные пески, являются следами летнего вытаивания снега, переносившегося ветром вместе с песком в приземном слое (Schwan, 1986).
Рис. 7. Покровные пески нивейно-эолового происхождения. (а) — западный берег Коровинской губы в устье Печоры (68°25ʹ с. ш., 53°22ʹ в. д.; Ко на рис. 1), (б) — карьер в Аксарке, правый берег Оби (Полярный круг; Ак на рис. 1) (Astakhov, 2014). Типичны резкие контакты между слойками тонкого песка и темного алеврита, мелкие морозные трещины (а), каплевидные нарушения и травянистые корнеходы (б).
Fig. 7. Niveo-aeolian sands. (а) — western beach of the Korovinstaya Estuary at the Pechora River mouth (68°25ʹ N., 53°22ʹ E; Ko in fig. 1), (б) — sand pit in Aksarka, southern bank of the Ob River (Polar Circle; Ak in fig. 1) (Astakhov, 2014). Note the sharp boundaries between thin bands of fine sand and dark silt, tiny frost cracks (a), droplet disturbances and weed rootlets (б).
Все эти особенности, наблюдавшиеся и в современных песках узкого гранулометрического диапазона на Аляске, привели к определению генезиса покровных песков как нивейно-эоловых (niveo-aeolian, Koster, 1988). Впервые в России нами этот подтип эоловых отложений наблюдался в бассейне Нижней Печоры и в меньших объемах на севере Западной Сибири (рис. 7). По многочисленным литературным данным его легко проследить в так называемом Песчаном поясе вдоль границы последнего ледникового покрова от Восточной Англии до берегов Баренцева и Карского морей (Kasse, 1997; Zeeberg, 1998; Астахов, Свенсен, 2011).
Для понимания устройства перигляциального осадочного покрова Севера важны смены по латерали лёссоидов мелкими покровными песками (рис. 4, (а)), а последних — более грубыми дюнными песками (рис. 8).
Рис. 8. Тонкослоистые, уплотненные, покровные пески (А), перекрытые рыхлым дюнным песком с наклонной слоистостью (Б) на левом берегу р. Куи, у моста (67°33ʹ с. ш., 53°20ʹ в. д.; К на рис. 1).
Fig. 8. Finely stratified, dense coversand (А), overlain by diagonally bedded loose dune sand (Б) on Kuya River near the bridge (67°33ʹ N, 53°20ʹ E; K in fig. 1).
Такие замещения, вероятно, указывают на непостоянный режим ветров в приледниковой зоне и определенную зональность ветровой деятельности. Прослеживается постепенная смена по латерали тонкослоистых покровных песков к северо-западу древними дюнами, а к юго-востоку, ближе к Уралу — плащами массивных лёссовидных алевритов. То есть наблюдаемое распределение крупности обломочного материала обратно ожидаемому для водоема: более грубые и молодые дюнные пески залегают на самых низких отметках вдоль современного берега моря, а более тонкие и древние лёссовидные алевриты преобладают вдоль Уральского кряжа (Астахов, Свенсен, 2011). Эти перенесенные ветром осадки нередко обнаруживаются в одних разрезах с солифлюкционными диамиктами (рис. 4, (б)), образуя характерную северную формацию (рис. 3).
При этом дюнные пески чаще налегают на покровный слой (рис. 5, 8). Относительно более молодой возраст дюнных скоплений подтвержден и хронометрией. Из покровного песка термолюминесцентные даты в разрезе Мархида (Ма на рис. 1) показали 14.9—12.5 тыс. л., а более современный оптико-люминесцентный (OSL) метод на Тиманском Берегу (ТБ на рис. 1) показал возраст около 19 тыс. л. (Mangerud et al., 1999). OSL даты из нивейно-эоловых песков дали возрасты 20 и 17 тыс. л. за Уралом (Astakhov, 2014), а на палеолитических стоянках Мамонтовая Курья и Бызовая (МК и Б на рис. 1) — 20—14 тыс. л. в верхах разреза (Свенсен и др., 2008) и 32—29.5 тыс. л. в нижней нивейно-эоловой пачке Бызовой (рис. 9).
Рис. 9. Разрез палеолитической стоянки Бызовая на правом берегу Печоры (65° с. ш.; Б на рис. 1), показывающий интерстадиальный солифлюкционный диамиктон с мамонтовой фауной и орудиями ранней поры верхнего палеолита, перекрытый субаэральной серией аридного перигляциала по (Свенсен и др., 2008; Heggen et al., 2012). ¹⁴C-даты не калиброваны.
Fig. 9. Section of Palaeolithic site Byzovaya on the eastern bank of the Pechora River (65° N; Б in fig. 1). Interstadial soliflucted diamicton with mammoth bones and tools of early Late Palaeolithic overlain by subaerial sequence of arid periglacial after (Svendsen et al., 2008; Heggen et al., 2012). ¹⁴C dates not calibrated.
Эти даты означают, что нивейно-эоловая седиментация — чисто плейстоценовое явление ледникового климата, тогда как скопления дюнных песков формировались и в начале голоцена. Раннеголоценовая аридизация с образованием покрова “теплого” лёсса 9—8 тыс. л. н. отмечалась и для Западной Сибири (Astakhov, 1991).
5.4. Перигляциальная обстановка на междуречьях
Палеогеографическую ситуацию на северо-востоке Европейской России второй половины позднего неоплейстоцена яснее всего освещает устройство северной перигляциальной формации в детально изученном разрезе палеолитической стоянки Бызовая, которая обнаружена в заполненном обломочным материалом древнем логе на уровне 2-й террасы Печоры (Свенсен и др., 2008; Heggen et al., 2012). Здесь вскрыты и геохронометрически датированы взаимоотношения главных элементов внедолинного перигляциального комплекса (рис. 9). Важно, что многолетними усилиями получена надежная статистика радиоуглеродных и оптико-люминесцентных дат. Выяснилось, что так называемый бызовской интерстадиал с множеством ориньякоидных артефактов и обилием мамонтовой фауны отмечен солифлюкционными потоками в результате частичной деградации вечной мерзлоты примерно 31—35 тыс. астрономических лет назад. Богатый органикой слой эпохи прохладного и относительно гумидного климата перекрыт почти немыми эоловыми отложениями — индикаторами сухого и холодного климата в интервале 30—15 астрономических тыс. л. н. Эта палеогеографическая ситуация подтверждена разрезами водноосадочных отложений (раздел 7).
Верхненеоплейстоценовые эоловые образования прослежены и датированы также за Уралом на Западно-Сибирской равнине севернее 60° с. ш. (Astakhov, 2014). При этом лёссовидные алевриты распространены ограниченно в виде полос, обрамляющих с подветренной стороны (с востока и юга) главные речные артерии, которые очевидно, являлись барьерами для движущихся в приземном слое эоловых песков (Astakhov, 1992). Так, лёссовидные алевриты, обычные в урманной тайге на террасах южнее широтного отрезка Оби, севернее его сменяются сухими, заросшими сосной и кедром дюнами типа описанных ранее на Оби у Тундрина (Ту на рис. 1) и ниже по течению (Астахов, 1989). Междуречные пространства к северу от 61° с. ш. по большей части покрыты перевеянными покровными и дюнными, а местами и гривными песками, что послужило поводом для А. А. Величко с соавторами (2007) представить Западно-Сибирскую равнину в облике позднеледниковой пустыни.
Эта концепция вполне применима к Печорскому бассейну, где наряду с мощной ветровой эрозией отмечено и отсутствие остатков мегафауны в интервале 24—15 тыс. л. н. (Mangerud et al., 1999; Астахов, Свенсен, 2011). Однако для Западной Сибири, удаленной от Баренцевоморского ледникового щита, это явное преувеличение, что следует из многочисленных находок на поверхности остатков мамонтовой фауны с радиоуглеродным возрастом 25—9.5 тыс. л. (Болиховский, 1987; Astakhov, 2014). В нижнем течении Оби “по 19 образцам костей мамонта получены даты в диапазоне от 50 до 15 тыс. кал. л. н., причем ⅔ из них находятся в пределах 30—20 тыс. кал. л. н.” (Зольников и др., 2021, с. 18). Кроме того, на субполярной Оби недавно обнаружены следы палеолитических охотников (там же). Поэтому на севере Западно-Сибирской равнины для последнего ледникового цикла более вероятно существование не пустыни, а перигляциальной высокотравной тундростепи с достаточной кормовой базой для млекопитающих, по крайней мере, вдоль речных артерий. Это подтверждается и разрезами на широтной Оби (см. раздел 8).
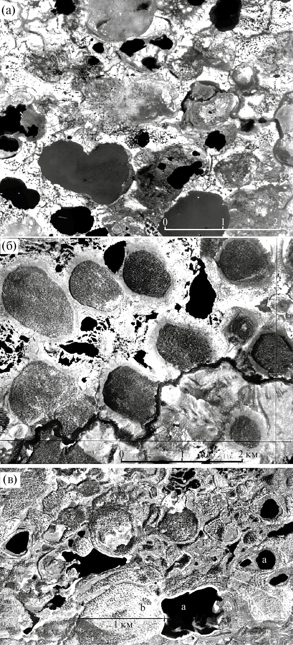
Наконец, необходимо учесть взаимоотношения лёссоидов с просадочными формами деградации многолетней мерзлоты, которые присутствуют по всей перигляциальной зоне, например, давно описанный на Русской и Западно-Сибирской равнинах западинный и полигонально-блочный микрорельеф (Бутаков, 1986). Особенно выразительны криогенные формы в северной перигляциальной зоне, где мощная мерзлота подвергалась деградации путем развития локальных поверхностных таликов, особенно термокарстовых озер (Astakhov, 1995). Широко распространен, особенно в Западной Сибири, “вырезной” ландшафт латерально мигрирующих термокарстовых озер (Заррина и др., 1961). Но самые яркие формы прежних термокарстовых озерков в виде изолированных мелкопесчаных холмов образованы инверсией рельефа в результате усадки оттаявшей многолетнемерзлой равнины. Они прекрасно видны на аэро- и космических снимках, но зачастую ошибочно принимались за ледниковые формы (Астахов, 1998).
Рис. 10. Зеркально подобные рисунки перигляциальных ландшафтов на аэрофотоснимках м-ба 1:50 000 по (Астахов, 1998). (а) — современные термокарстовые озера (черное) и их осохшие днища (серое) на мерзлой равнине у берега Баренцева моря, 68°30ʹ с. ш., 55°20ʹ в. д.; (б) — результат термокарстовой инверсии рельефа протаявшей правобережной террасы Печоры в 240 км к югу: лепешковидные залесенные холмы высотой 5—10 м (темно-серые), сложенные тонкими озерными песками; (в) — аналогичный инверсионный рельеф на протаявшем песчаном плато Сибирских увалов 63° с. ш., 82° в. д.
Fig. 10. Mirrorred pattern of periglacial landscapes in airphotos of 1:50 000 scale after (Astakhov, 1998). (а) — modern thermokarst lakes (black) and their dry floors (gray) on the perennially frozen lowland along the Barents Sea coast 68°30ʹ N, 55°20ʹ E; (б) — thawed Pechora River terrace 240 km to the south: flatbread-like forested hummocks 5—10 m high (dark gray) built of fine limnic sand resultant from thermokarst inversion of shallow lakes; (в) — similar inversion topography of the thawed sandy plateau in the Siberian Uvaly (63° N, 82°E).
Эти овальные караваеобразные холмы повторяют округленные термоэрозией очертания тундровых озер, образуя регулярную систему и даже сохраняя общую северо-западную ориентировку, обычно связанную с инсоляционной или ветровой асимметрией озерной термоэрозии. Зеркальное отражение тундровой низменности с множеством мелких термокарстовых озер (рис. 10, (а)) в инверсионном рельефе залесенных талых равнин (рис. 10, (б, в)) демонстрирует значение прошлой перигляциальной обстановки для развития морфологии современного ландшафта. Две радиоуглеродные даты 33.520±470 (ЛУ-513А) и 34.540±1570 (ЛУ-513В), полученные по торфу из аллювия с палеокриогенными структурами под овоидными скоплениями мелкого песка (Лавров, Потапенко, 2005) относятся к частичной деградации мерзлоты в средневалдайское время. К сожалению, в Печорском бассейне нет описаний разрезов самих инверсионных холмов. Но с ними можно познакомиться в центре Западно-Сибирской равнины (раздел 8).
6. РЕГИОНАЛЬНЫЕ ОСОБЕННОСТИ АЛЛЮВИАЛЬНОГО ПРОЦЕССА
На аллювиальный процесс в перигляциальной обстановке существенно влияют региональные особенности, в том числе общий уклон местности и колебания уровней бассейнов-приемников аллювиального обломочного материала. Классический перигляциальный аллювий изучен на крупных реках центра Русской равнины бассейнов Черного и Каспийского морей, особенно в долинах Камы и Волги, где преобладало констративное накопление тонкослоистого мелкозема, переслаивающегося по бортам долин со склоновыми и эоловыми отложениями (Васильев, 1980; Бутаков, 1986). На древнеледниковом Севере все реки относятся к бассейну Ледовитого океана, откуда периодически надвигались покровные ледники. Они своими плотинами существенно усложняли флювиальную историю и временами обращали сток на юг в бассейн Каспийского моря (Заррина и др., 1961; Astakhov, 1991, 2006; Panin et al., 2020).
Строение аллювия второй половины позднего неоплейстоцена в бассейнах Печоры и Оби лучше всего изучено во 2-й надпойменной террасе, образовавшейся в эпоху свободного стока на север. В обоих регионах преобладала перстративная аккумуляция с выраженными русловыми, пойменными и старичными фациями. Но в бассейне Печоры эта терраса цокольная с сокращенной мощностью аллювия и распластанным по латерали русловым аллювием, отложенным в многочисленных протоках разветвленного русла. Такая фуркация русла типична для многолетнемерзлого ложа реки. В бассейне Оби цоколь обычно не обнажается, а большая часть руслового аллювия скрыта под урезом современных рек.
Только на Енисее удалось наблюдать типичный перигляциальный аллювий классического типа, аналогичного описанному в бассейнах Волги и Камы (Бутаков, 1986). На Приполярном Енисее это неоднократно описанная у с. Конощелье толща мелких тонко горизонтально слоистых песков палево-желтого цвета, местами с характерной плетенчатой слоистостью, в которой кроме мелкого растительного детрита нет ни глинистых, ни гравийных прослоек (Кн на рис. 1). В верхней части разреза наблюдается слой с инволюциями, в котором по растительному детриту получена конвенциальная ¹⁴C-дата 32400±500 л. н. (ГИН-99). На этом основании пески ранее были отнесены к конощельскому похолоданию в интервале 33—30 ¹⁴C (37.5—34.5 калиброванных) тыс. л. (Кинд, 1974). Однако впоследствии из этих песков получены две запредельные AMS и три OSL даты около 76 тыс. л. (Астахов, Мангеруд, 2007).
А в соседнем обнажении в с. Полой аналогичные пески с многочисленными моховыми прослойками дали серии AMS дат от 47 до 32 тыс. некалиброванных ¹⁴C лет и OSL возрастов в интервале 53—41 тыс. л. Помимо скудости древесной пыльцы, важным индикатором являются полностью отсутствующие в этих песках обломки древесины, хотя в пойменном аллювии бревна изобилуют (Астахов, Мангеруд, 2007). Этот холодный аллювий представляет древний цоколь 2-й террасы, поскольку он по фациальному облику и по датам совсем не похож на аллювий 2-й террасы Западной Сибири, в котором обычно видны старичные глины и косослоистые пески русловых фаций.
7. ВОДНО-ОСАДОЧНЫЙ ПЕРИГЛЯЦИАЛ ПЕЧОРСКОГО БАССЕЙНА
Эоловые отложения последнего перигляциала в долинах Печорского бассейна в большинстве случаев залегают на перстративном аллювии 2 и 3-й надпойменных террас, который местами расклинивается языками солифлюксия. Здесь 2-я терраса обычно цокольная, а ее аллювий мощностью до 10—15 м не достигает мощности голоценового аллювия Печоры. В террасовом аллювии преобладала перстративная аккумуляция. В составе аллювия 2-й террасы обычны русловые фации с мульдообразными сериями грубого песка с гравием, отражающими характерное для мерзлотных условий дробление и разветвление русла. Тонкопесчаная пойменная часть редуцирована до 0.5—1 м мощности, а старичная фация часто отсутствует. Повсеместно отмечены псевдоморфозы по полигонально-жильным льдам (ПЖЛ).
Характерный разрез представлен в карьере Ярей-Шор на р. Колве (66°48ʹ с. ш., 56°55ʹ в. д.; Я на рис. 1). Здесь получены OSL даты 29.5±1, 25.3±1.5, 15.9±1.1, 15.5±1.3 тыс. л. (Астахов, Свенсен, 2011) в дополнение к ¹⁴C-дате 27 150±300 тыс. л. по кости мамонта (ЛУ-3971) (Mangerud et al., 1999). Другие разрезы аллювия II террасы дали ¹⁴C-даты в интервале 37—24 тыс. л., в основном по костям. В спорово-пыльцевых спектрах преобладает пыльца травянистых растений и кустарничков. Таким образом, аллювий 2-й террасы несет отчетливые признаки безлесной перигляциальной обстановки с пониженным расходом рек, фуркацией русел и низкими паводками. Поверхность террасы прикрыта либо лёссовидным алевритом, либо эоловым песком, который у тылового шва местами переслаивается с мелким аллювиальным песком (Никольская, 2006).
Аллювий 1 террасы с радиометрическим возрастом от 17 до 11 тыс. л. (¹⁴C и OSL), хотя и меньшей мощности, чем пойменный, по фациальному составу уже от него не отличается, что заметно по присутствию старичных глин с органикой, например, в известном разрезе у дер. Денисовки (Лавров, Потапенко, 2005). Этот аллювий, наряду с впадинами осохших термокарстовых озер, отмечает позднеледниковый этап начала таяния мерзлоты и резкого увлажнения климата, что видно и по пыльцевым спектрам разреженных березовых лесов (Никольская, 2006; Астахов, Свенсен, 2011). Повышенная водность рек, по-видимому, имеющая межрегиональное значение, проявлена в аномально больших меандрах, которые особенно заметны в умеренных широтах Русской равнины и Западной Сибири (Сидорчук и др., 2008).
Рис. 11. Разрез 2-й террасы р. Усы на палеолитической стоянке Мамонтовая Курья (Полярный круг, МК на рис. 1). Свидетельство послеледниковой речной и эоловой седиментации в перигляциальных условиях в интервале 40—14 тыс. л. н. по (Svendsen, Pavlov, 2003). 1 — мелкая псевдоморфоза; 2 — алеврит с рябью; 3 — горизонтально слоистый песок; 4 — диагонально слоистый дюнный песок; 5 — косослоистый гравий; 6 — кости и бивень; 7 — каменные орудия; 8 — комья алеврита; 9 — OSL дата (кал. л. н.)×10³; 10 — радиоуглеродная дата ¹⁴C (л. н.)×10³.
Fig. 11. Section of the 2nd terrace of Usa River at the Palaeolithic site Mamontovaya Kurya (Polar Circle, MK in fig. 1). Evidence of postglacial fluvial and aeolian sedimentation in periglacial environment 40 to 14 ka BP after (Svendsen, Pavlov, 2003). 1 — small ice-wedge cast; 2 — rippled silt; 3 — horizontally bedded sand; 4 — cross-bedded dune sand; 5 — cross-bedded gravel; 6 — bones and tusk; 7 — stone tools; 8 — silty lumps; 9 — OSL date (ka BP)×10³; 10 — radiocarbon date ¹⁴C (BP)×10³.
Аллювий 2-й террасы является важным стратиграфическим репером (рис. 11), так как содержит большинство находок мамонтовой фауны и даже самую древнюю палеолитическую стоянку Мамонтовая Курья в северной тайге на р. Усе (Полярный круг, МК на рис. 1). Грубозернистые русловые фации с артефактами в основании террасы на Мамонтовой Курье отлагались 50—38 тыс. OSL л. н., а содержащиеся в них мамонтовые кости имеют возраст от 37 360±630 (ЛУ-4001) до 34.920 ± 1040 (ЛУ-3994) некалиброванных ¹⁴C тыс. л. Вышележащие мелкие речные пески дали серию из 8 последовательных AMS ¹⁴C-дат по остаткам мха в интервале от 31 до 24 (35—28 калиброванных) тыс. л. н. Из завершающих плейстоценовый разрез покровных эоловых песков и алевритов, субстрата современной почвы, получены OSL даты от 20 до 14 тыс. л. н. (Mangerud et al. 1999; Svendsen and Pavlov, 2003).
Рис. 12. Спорово-пыльцевая диаграмма разреза Мамонтовая Курья в современной северной тайге (МК на рис. 1), показывающая тундрово-степной ландшафт вдоль р. Усы в интервале 40—24 тыс. л. н. (Halvorsen, 2000).
Fig. 12. Pollen diagram of the Mamontovaya Kurya (МК in fig. 1) sequence indicating tundra-steppe landscapes along Usa River at 40 to 24 BP in modern northern boreal forest (Halvorsen, 2000).
Этот разрез по количеству дат, несомненно, один из опорных для верхнего неоплейстоцена Северо-Востока Русской равнины (рис. 11). С палеогеографической точки зрения интересна сокращенная спорово-пыльцевая диаграмма аллювия, показывающая безлесную обстановку с минимумом древесной пыльцы и преобладанием трав, особенно злаков, полыней и маревых, в интервале 38—24 (42—28 тыс. калиброванных) ¹⁴C тыс. л. (рис. 12). Она хорошо согласуется с тундрово-степной, типично перигляциальной обстановкой в брянском интерстадиале 33—24 ¹⁴C тыс. л. н., реконструированной для Центральной России (Markova et al., 2002), и даже продлевает ее на 5 тыс. л.
В более длинном разрезе озерных отложений скважины Ямозера в еловой тайге (65°01ʹ с. ш., 50°40ʹ в. д.), все спорово-пыльцевые зоны от лесотундры на уровне 60 тыс. люминесцентных лет назад до подошвы голоцена показывают безлесные тундровые и степные ландшафты (Henriksen et al., 2008).
Все эти результаты находятся в явном противоречии с предложенными для нижней Печоры березово-еловыми и елово-березовыми лесами аноргинского (50—48 тыс. ¹⁴C л. н.), урдюжского (42.5—39.5 тыс. ¹⁴C л. н.) и тырыбейского потеплений (38—34 тыс. ¹⁴C л. н.), выделенных на основании традиционного радиоуглеродного датирования спорово-пыльцевых зон (Лавров, Потапенко, 2005). Представляется, что большинству использованных для этого датирования проб присвоены возрасты за пределом возможностей радиоуглеродного метода, полученные из отложений древнее средневалдайских.
8. ПРИДОЛИННЫЙ ПЕРИГЛЯЦИАЛ ЗАПАДНО-СИБИРСКОЙ РАВНИНЫ
С взаимоотоношениями отложений инверсированных термокарстовых озер с лёссовидными породами и псевдоморфозами по ледяным жилам можно познакомиться на широтной Оби. Они специально изучались в 1980-х гг., когда гипотеза позднезырянского приледникового озера с отметкой уровня до 130 м абс. высоты приобрела особую популярность. Осадки такого озера предполагались в изобилии в центре Западной Сибири с отметками речных террас не более 70 м (Палеогеография…, 1980). Однако никаких глубоководных осадков на широтной Оби не оказалось. Кроме обычного плаща лёссоидов поверх линз озерных отложений на протоке Мега ниже Нижневартовска можно видеть лишь отдельные линзы мелководных озерных песков на лёссовидных алевритах с псевдоморфозами по повторно-жильным льдам (рис. 13), а также латеральное замещение лёссоидов водноосадочными песками.
Рис. 13. Обнажение перигляциальных отложений на правом берегу Оби, протока Мега. 61°4ʹ с. ш., 76°20ʹ в. д., низовая часть разреза рис. 14 (а – лёссовидный алеврит, б — псевдоморфоза по ледяной жиле, в — мелкий песок термокарстового озерка). Зеленоватые тона алеврита (“мокрый лёсс”) указывают на закисную обстановку эоловой седиментации.
Fig. 13. Periglacial sediments exposed on the northern bank of the Ob River, Mega channel, 61°4ʹ N., 76°20ʹ E, in the downstream part of section fig. 14 (а – loess-like silt, б — ice-wedge cast, в — fine sandy sediment of a thermokarst pond). Greenish colour of the massive silt (“wet loess”) indicates reducing environment of the aeolian sedimentation.
Это наблюдается в разрезе, построенном по 8 широким расчисткам на протяжении 1 км берегового обрыва (рис. 14, (а)). Он показывает сложные взаимоотношения этих типов отложений, залегающих поверх аллювиальной серии 2-й надпойменной террасы (колпашевской, по С.А. Архипову и др. (1980)). Аллювий с ¹⁴C-датами по торфу 33.100±2300 (МГУ-ИОАН-132) и 21.900±500 (СОАН-324) л. н. представлен 4-мя пачками. Пачка 8 — косослоистые мелкие русловые пески, 7 — плотные сизые глины и суглинки старичного типа с лентами мелкого песка и комьями намывного торфа. Пачка 5 — промытые средние и мелкие пески, прослоенные лентами серых суглинков, переходящие в коричневый торфянистый ритмит, и пачка 6 — микроволнисто-слоистые мелкие пески, засоренные торфянистым детритом. Пойменные пачки 5 и 6 чередуются в разрезе и по латерали, отражая смену русел и заторфованных водоемов с четко выраженной сезонностью осадконакопления. Самые крупные (шириной до 3 м через каждые 15 м) из многочисленных псевдоморфоз про жильным льдам разбивают кровлю глин пачки 7. Спорово-пыльцевые спектры аллювия показывают безлесную перигляциальную растительность, а в торфянистых прослоях пачки 7 обнаружены остатки леммингов — типично тундровых животных (Архипов и др., 1980).
Рис. 14. Разрезы перигляциальных образований верхнего неоплейстоцена на Широтной Оби, 61° с. ш. (а) — низовая часть разреза на протоке Меги в 13 км выше Мегиона (Астахов, 1989), (б) — обобщенный профиль обнажений вдоль протоки Меги по (Astakhov, 2006). 1 — лёссовидный алеврит; 2 — песчаный ритмит; 3 — пески и глины; 4 — глина; 5 — торфяной ритмит; 6 — грубо слоистый песок; 7 — торфянистые почвы; 8 — псевдоморфозы по ледяным жилам. Радиоуглеродные даты по (Архипов и др., 1980). ¹⁴C-даты не калиброваны.
Fig. 14. Sections of Late Pleistocene periglacial formations on the Transverse Ob River, 61° N. (а) — downstream part of the Mega sequence at 13 km upstream of the town of Megion (Astakhov, 1989), (б) — generalized profile of sections along Mega channel by (Astakhov, 2006). 1 — loess-like silt; 2 — sandy rhythmite; 3 — sand and clay intercalated; 4 — clay; 5 — peaty rhythmite; 6 — crudely laminated sand; 7 — peaty soils; 8 — ice-wedge casts. Radiocarbon dates by (Arkhipov et al., 1980). ¹⁴C dates not calibrated.
Вышележащие пачки 1—4 представляют совершенно другую серию мощностью 10—15 м. Главными элементами ее являются пачки 3 и 4. Пачка 3 — это ритмичное переслаивание мучнистых алевритов и белесых тонких песков с линзами средних песков. В этой быстро выклинивающейся озерной толще отмечено несколько субаэральных перерывов, фиксированных горизонтами инволюций, псевдоморфоз по ПЖЛ и прослоев землистых рыхлых гумусированных суглинков с остатками прижизненно захороненных трав, следами оглеения и другими признаками гидроморфных почв. Она фациально замещается лёссовидными глинистыми алевритами палевого и зеленоватого цвета, местами с прерывистой спутанной слоистостью и с вертикальными корнеходами (рис. 13, (а)). В низовом конце обнажения они полностью замещают пачку 3. Фациальный переход виден в 4—11 м от поверхности, где вскрыты гумусированные лёссовидные суглинки, прослоенные мучнистым алевроритмитом пачки 3. Спорово-пыльцевые спектры показывают безлесную растительность, которая вблизи озерных линз сменяется березовыми редколесьями.
Разрез венчается облёссованным горизонтально-слоистым песком с трещинами усыхания в кровле (пачка 2) и столбчатым бурым лёссовидным суглинком с лесными спектрами и торфянистой почвой в подошве с ¹⁴C-датами 8.800±50 (СОАН-951) и 10.650±90 (СОАН-323) л. н.
Под местом отбора пробы для последней даты наблюдалась необычная структура, однозначно указывающая на субаэральное происхождение лёссовидной толщи. Это субвертикальное тело голоценового древесного торфа, мощность которого нарастает вниз от 5—10 см до 50 см на глубине 9—10 м. Рубашку торфяной жилы образуют согласно с ней падающие пески пачки 2. На глубине 9—10 м эти пески и торф скучиваются в гофрированную деляпсивную брекчию, образующую гнездо не менее 4 м в поперечнике. Это очевидно суффозионная каверна, соединенная с подошвой пачки 1 расширяющимся кверху понором. Современные суффозионные воронки глубиной 1—2 м в изобилии наблюдаются на этой террасовидной поверхности. Вполне вероятно, что вытаявшие жильные льды предшествовали суффозионным просадкам и явились очагами инфильтрации грунтовых вод и коррозии лёссовидного алеврита (Астахов, 1989).
Лёссовидные породы пачки 4 в низовом конце обнажения являются лишь частью их крупного выступа, разделяющего древние озерные ванны. Выше и ниже по течению такие выступы массивных алевритов каждые несколько сотен метров встречаются в обнажениях, в основном в сниженных частях террасовидной поверхности. Эта ситуация отражена на схематическом профиле рис. 14, (а) (Astakhov, 2006).
Ее сочетание с другими разрезами широтной Оби дает обобщенный профиль элементов верхнеплейстоценового перигляциального комплекса, указанных курсивом, поверх более древних четвертичных образований (рис. 15). В целом его можно определить как эолово-термокарстовую формацию, образовавшуюся при деградации плейстоценовой мерзлоты, реликты которой вдоль широтной Оби вскрываются скважинами на глубине 150—200 м (Земцов, 1976). Эта формация прослежена от обских террас на Аганский увал, где шурфы глубиной до 15 м часто не достигают подошвы глинистого лёссовидного алеврита с остатками гидроморфных почв (Астахов, 1989).
В обнажениях Локосово, Покур, Кирьяс-1 и Кирьяс-2 на Оби лёссовидные породы с прослоями торфянистых почв находятся в меняющихся соотношениях с озерными алевроритмитами. В Кирьясе линзы оторфованных ритмитов толщиной 1—3 м залегают в 20 м над урезом Оби в 12—16-метровой толще лёссовидных суглинков. В 10 м ниже по разрезу прослеживается мощная гидроморфная почва с ветками, пнями, шишками ели, остатками мамонтов и лошадей (Архипов и др., 1980). Из нее получены запредельные радиоуглеродные даты, а также уран-ториевая дата около 105 тыс. л. на уровне морской изотопной стадии 5c. При этом палеоботанические данные говорят о ландшафте северной тайги, т.е. о климате холоднее современного уже во время этого (раннезырянского) интерстадиала Сибири (Лаухин и др., 2008). Очевидно, низы лёссоидной толщи здесь существенно древнее, чем в разрезах Меги, Локосово и Покура. Это подчеркивается высоким положением кровли межледникового аллювия в Кирьясе и отсутствием здесь пойменно-старичных фаций пачек 5—7 Меги.
По палеоботаническим данным нескольких разрезов в центре Западно-Сибирской равнины в средне- и позднезырянское время на месте современной средней тайги преобладали травянистые и ерниковые тундры с ксерофитами, а смещение растительных зон к югу достигало 600—300 км даже во время потеплений (Лаухин и др., 2006).
Рис. 15. Перигляциальные образования Широтной Оби по профилю Локосово–Мега–Аган (Астахов, 1989) (61° с. ш.; Л-М-Аг на рис. 1). ¹⁴C-даты не калиброваны.
Fig. 15. Periglacial formations of the Transverse Ob River along profile Lokosovo–Mega–Agan (Astakhov, 1989) (61° N; Л-М-Аг in fig. 1). ¹⁴C dates not calibrated.
Эолово-термокарстовая формация (рис. 15), независимая от аллювиального процесса, наряду с палеонтологическими данными свидетельствует, что время последнего (зырянского) ледникового цикла здесь преобладала тундро-степь с активной садкой взвешенной эоловой пыли. Эоловая аккумуляция прерывалась гумидными эпизодами с формированием торфянистых почв на многолетней, но не предельно ожесточенной мерзлоте, и образованием множества мелких термокарстовых озер. Именно эти озера наряду с речными артериями инициировали частичную деградацию вечной мерзлоты в субарктической части Западной Сибири при сохранении мощной монолитной мерзлоты в Арктике (Astakhov, 1995). При ее окончательной оттайке южнее Полярного круга льдистые эоловые алевриты просели на глубину 5—10 м, а талые осадки термокарстовых озер выделились в виде плоских изометричных холмов типа изображенных на рис. 10.
Проблема возраста перигляциального комплекса решается с учетом глубокого (150—200 м) надмерзлотного талика, известного в центре Западной Сибири (Земцов, 1976), но отсутствующего в Арктике с монолитной мерзлотой. Этот талик означает, что в процессе голоценового потепления кровля вечной мерзлоты южнее Полярного круга навсегда оторвалась от слоя сезонного промерзания. Момент перехода основной мерзлой толщи в реликтовое состояние явился началом региональной инверсии рельефа с образованием бугристого лёссово-термокарстового ландшафта, типичного для придолинных низин Субарктики (рис. 10, (б, в)). На месте вытаивавших ледяных жил формировались торфяники, которые гораздо позже проваливались в суффозионные поноры. Нижнеголоценовые торфяники и холмы озерных осадков покрылись 1—2 м слоем “теплого” лёсса с норами грызунов и без признаков мерзлоты (пачка 1), а главное — без признаков латерального выклинивания. Это означает, что основная инверсия рельефа произошла после аккумуляции пачки 1, вероятно, позднее 8 тыс. л. н. (Astakhov, 1995).
Рис. 16. Разрез 2 террасы на правом берегу Тобола у с. Липовка (57°50ʹ с. ш.; Ли на рис. 1) по (Каплянская, Тарноградский, 1974) с упрощением. 1 — старичные глины, разбитые псевдоморфозами по повторно-жильным льдам, 2 — пограничная пачка: массивные алевриты с тундровыми почвами и горизонтом лиственничных пней (П), 3 — алевриты песчанистые с прослоями мелкого песка, 4 — горизонтально-слоистые мелкие пески с прослоями алевритов.
Fig. 16. Sedimentary sequence of the 2nd terrace of Tobol River on eastern bank near settlement Lipovka (57°50ʹ N; Ли in fig. 1) simplified after (Kaplyanskaya, Tarnogradsky, 1974). 1 — oxbow-lake clay cut by ice-wedge casts, 2 — conterminal unit: massive silts with tundra paleosols and a horizon of rooted larch stumps (П), 3 — sandy silt with interlayers of fine sand, 4 — laminated fine sand with silt seams.
В ключевых для понимания палеогеографии позднего неоплейстоцена разрезах 2-й террасы, описанного выше на Широтной Оби, 61° с. ш. (Астахов, 1989), и на Тоболе, 57,5° с. ш. (Каплянская, Тарноградский, 1974), наблюдаются русловые и пойменные фации, а также старичные глины, характерные для перстративного типа аккумуляции. В разрезе у с. Липовки на Тоболе старичные глины перекрыты лёссовидными алевритами мощностью 15 м с прослоем тонкого песка и тундровыми почвами и псевдоморфозами. По инситным лиственничным пням (горизонт П на рис. 16) были получены надежные ¹⁴C-даты 32.770±240 (ЛУ-6027), 32 640±380 (ЛУ-6026), 32 520±230 (ЛУ-6029), 31 760±230 (ЛУ-6028) лет (интервал 37—34.5 калиброванных тыс. л.) (Арсланов и др., 2009). Этот разрез на основании единичных пыльцевых спектров с елью послужил Н.В. Кинд (1974) поводом для выделения “липовско-новоселовского потепления” в интервале 30—22¹⁴C (34.5—26 калиброванных) тыс. л. Хотя обнажение расположено в липовой роще на южном краю тайги, макроостатки растений и тундровые почвы указывают на прежнюю лесотундровую зону, т.е. на смещение растительных зон 35—37 тыс. л. н. на 800—900 км к югу. Наконец, сеть псевдоморфоз по повторно-жильным льдам — бесспорный климатический индикатор — здесь обнаружена в 1000 км к югу от современной полигональной тундры, что говорит о резко континентальном климате с монолитной мерзлотой в липовском интерстадиале (Каплянская, Тарноградский, 1974). Таким образом, надежные индикаторы вместо гипотетического потепления говорят нам о перигляциальной обстановке никак не теплее палеомерзлотных условий среднего пленигляциала Центральной Европы.
В 1960—1970-е гг. разрезы типа липовского, в которых аллювий перекрыт толщей слоистых и массивных алевритов с несколькими тундровыми почвами и в основании и прослоями тонкослоистых песков, обычно интерпретировались как лимноаллювиальные отложения. При этом угнетенный лиственничный лес считался затопленным мелким озером (Каплянская, Тарноградский, 1974). Но с учетом изложенных выше данных по Печорскому бассейну и широтной Оби, тонкозернистый чехол липовской террасы наиболее вероятно образовался в процессе погребения аллювия эоловой пылью и нивейно-эоловыми песками. О росте ледяных жил во время образования лёссоида свидетельствует заполнение псевдоморфоз лёссовидными алевритами и сучьями пневого горизонта (ibid.). На современных геологических картах такие отложения показываются как лёссоиды, переслаивающиеся с водно-осадочными отложениями (Астахов и др., 2021).
9. ВЫВОДЫ
Рассмотренные выше данные о разрезах верхнего неоплейстоцена и формах рельефа Тимано-Печорской области и севера Западно-Сибирской равнины однозначно свидетельствуют об отсутствии здесь признаков покровного оледенения в последние 60 тыс. л. Вместо ледниковых в это время на многолетнемерзлом субстрате формировались разнообразные перигляциальные образования, включая мощные лёссоиды, тесно связанные с водно-осадочными продуктами таяния вечной мерзлоты. Надежно датированные аллювиальные отложения нигде не дают палеонтологических свидетельств лесных обстановок, близких к голоценовой тайге.
Аллювиальный процесс носил близкие к современному черты во время средневалдайского и позднеледникового относительных потеплений с увлажнением климата и частичной деградацией многолетней мерзлоты. Четким следом деградации монолитной мерзлоты в Субарктике и перехода ее в реликтовое состояние являются инверсионные формы в виде изолированных холмов, сложенных тонкопесчаными осадками термокарстовых озер. Резкое преобладание эоловых фаций наряду с исчезновением органических остатков в верхах разреза восточно-европейской Арктики и Субарктики, а также весь массив геохронометрических данных свидетельствуют о постепенном переходе от холодного и относительно влажного интерстадиального климата на уровне 3-й ступени позднего неоплейстоцена к резко аридным и морозным условиям на уровне 4-й ступени Общей стратиграфической шкалы (или эпохи МИС 2).
Ландшафты мамонтовой степи в интервале 50—26 тыс. астрономических лет назад, освоенные палеолитическими охотниками, в интервале 24—15 тыс. л. н. сменились полярной пустыней с интенсивной эоловой деятельностью в Предуралье и сухой тундро-степью с разреженной мамонтовой фауной в Зауралье. Деградация мерзлоты, судя по увеличению водности рек и содержания древесных пород в спорово-пыльцевых спектрах, была наиболее активной в позднеледниковое время, примерно 15—12 тыс. л. н. Эта гумидизация ландшафта в начале голоцена сменилась кратковременным этапом аридизации с отложением “теплого” лёсса, вслед за чем в Субарктике последовало дальнейшее падение кровли реликтовой плейстоценовой мерзлоты.
Рассмотренные выше материалы по северному перигляциалу позднего неоплейстоцена рисуют общую палеогеографическую картину, в принципе похожую на детально изученную обстановку вислинского пленигляциала в центре Западной Европы (Huijzer and Vandenberghe, 1998), но противоречащую концепции относительного теплого мегаинтерстадиала времени МИС 3 на Русской и Западно-Сибирской равнинах. Повсеместно описанные палеоботанические и палеопедологические свидетельства безлесных тундрово-степных, в лучшем случае лесотундровых ландшафтов не дают оснований в поддержку средневалдайских и среднезырянских интерстадиалов с близкими, к современным, природными условиями.
Изложенные выше материалы также не позволяют согласиться с одним из выводов капитальной работы по северному перигляциалу: “ввиду незначительной мощности и обычно плохой сохранности субаэральных фаций именно водные перигляциальные осадки продолжают определять основные черты перигляциальной формации в целом” (Заррина и др., 1961, с. 72). Этот авторский коллектив пришел к таким выводам из-за преувеличения размеров и роли ледниково-подпрудных водоемов, следы которых впоследствии оказались ограниченными и на Западно-Сибирской равнине, и в Печорском бассейне (Astakhov, 2006). По современным данным именно субаэральные образования, особенно лёссоиды, доминируют в фациальном наборе последнего перигляциала. Причина очевидна — для дна воздушного океана эоловая седиментация универсальна, тогда как озера и реки представляют собой более локальные феномены.
БЛАГОДАРНОСТИ
Работа выполнена при финансовой поддержке РНФ, проект 22-17-00259.
ACKNOWLEDGMENTS
This paper was supported by grant from the Russian Science Foundation, project 22-17-00259.
About the authors
V. I. Astakhov
Saint-Petersburg University; VSEGEI; Institute of Geography RAS
Author for correspondence.
Email: val-asta@yandex.ru
Russian Federation, Saint-Petersburg; Saint-Petersburg; Moscow
References
- Arkhipov S. A., Astakhov V. I., Volkov I. A. (1980). Paleogeografia Zapadno-Sibirskoi ravniny v maksimum pozdnezyryanskogo oledeneniya (Paleogeography of West-SiЬеriап Plаiп аt the late Zуrуапkа glасiаtiоп maximum). Novosibirsk: Nauka (Publ.). 103 p. (in Russ.)
- Arslanov Kh.A., Laukhin S. A., Maksimov F. E. (2009). Radiocarbon chronology and landscapes of Western Siberian Lipovsk-Novoselovsky interstadial (on evidence of study section near v. Lipovka). In: Materialy VI Vserossiiskogo zasedaniya po izucheniyu chetvertogo perioda. Novosibirsk: Siberian Branch RAS (Publ.). P. 44—46. (in Russ)
- Astakhov V. (1995). The mode of degradation of Pleistocene permafrost in West Siberia. Quat. Int. V. 28. P. 119—121. https://doi.org/10.1016/1040-6182(95)00034-G
- Astakhov V. (2014). The postglacial Pleistocene of the northern Russian mainland. Quat. Sci. Rev. V. 92. P. 388—408. https://doi.org/10.1016/j.quascirev.2014.03.009
- Astakhov V., Mangerud J. (2007). The geochronometric age of Late Pleistocene terraces on the Lower Yenisei. Dokl. Earth Sci. V. 416 (7). P. 1022—1026.
- https://doi.org/10.1134/S1028334X07070094
- Astakhov V., Pestova L., Shkatova V. (2022). Loessoids of Russia: varieties and distribution. Regionalnaya Geologia i Metallogenia. № 87. P. 42—60. https://doi.org/10.52349/0869-7892_2021_87_42-60
- Astakhov V. I. (1989). Late Pleistocene sedimentary environments in the centre of West Siberia. Trudy Instituta geologii i geofiziki SO AN SSSR. Iss. 657. P. 118—126. (in Russ.)
- Astakhov V. I. (1991). The fluvial history of West Siberia. In: Temperate paleohydrology. London: Wiley. P. 381—392.
- Astakhov V. I. (1992). The last glaciation in West Siberia. In: Sveriges Geologiska Undersökning. Ser. Ca 81. Uppsala. P. 21—30.
- Astakhov V. I. (1998). Inversion relief as indicator of paleocryological environments. Geomorfologiya. № 4. P. 40—47. (in Russ.)
- Astakhov V. I. (2006). Evidence of Late Pleistocene ice-dammed lakes in West Siberia. Boreas. V. 35. Iss. 4. P. 607—621. https://doi.org/10.1080/03009480600690845
- Astakhov V. I., Svendsen J. I. (2011). The cover formation of the final Pleistocene in the far Northeast of European Russia. Regionalnaya Geologia i Metallogenia. № 47. P. 12—27. (in Russ.)
- Bolikhovsky V. F. (1987). The Yedoma sediments in West Siberia. In: Novye dannye po geokhronologii chetvertichnogo perioda. Moscow: Nauka (Publ.). P. 128—136. (in Russ.)
- Butakov G. P. (1986). Pleistotsenovyi periglatsial na vostoke Russkoi ravniny (The Pleistocene periglacial in the eastern Russian Plain). Kazan: Kazan University (Publ.). 144 p. (in Russ.)
- Fedorovich B. A. (1960). Issues of loess origin as related to its distribution in Eurasia. Trudy Instituta geografii AN SSSR. Iss. 80. P. 96—117. (in Russ.)
- Galanin А. А. (2021). Late Quaternary sand covers of Central Yakutia (East Siberia): structure, facies and palaeoecological significance. Kriosfera Zemli. Iss. XXV. № 1. P. 3—34. (in Russ.). https://doi.org/10.15372/KZ20210101
- Gerasimov I. P., Velichko A. A. (Eds.). (1982). Paleogeografia Evropy za poslednie sto tysyach let. Atlas-monografia (Palaeogeography of Europe in the last one hundred thousand years. Atlas-monograph). Moscow: Nauka (Publ.). 156 p. 15 maps. (in Russ.)
- Gubin S. V. (2002). Pedogenesis is an integral part of the mechanism of formation of sediments of the late Pleistocene ice complex. Kriosfera Zemli. V. VI. № 3. P. 82—91. (in Russ.)
- Halvorsen L. S. (2000). Palaeovegetation and environment during Weichselian stadials and interstadials at Mamontovaya Kurja and Sokolova in the Pechora basin, northern Russia. Cand. Scient. thesis. Bergen: University of Bergen. 68 p.
- Heggen H. P., Svendsen J. I., Mangerud J., Lohne Ø. S. (2012). A new palaeoenvironmental model for the evolution of the Byzovaya Palaeolithic site, northern Russia. Boreas. V. 41. P. 527—545.
- https://doi.org/10.1111/j.1502-3885.2012.00259.x
- Henriksen M., Mangerud J., Matiouchkov A. et al. (2008). Intriguing climatic shifts in a 90 kyr old lake record from northern Russia. Boreas. V. 37. P. 20—37. https://doi.org/10.1111/j.1502-3885.2007.00007.x
- Huijzer B., Vandenberghe J. (1998). Climatic reconstruction of the Weichselian Pleniglacial in northwestern and Central Europe. J. of Quat. Sci. V. 13. № 5. P. 391—417.
- Kaplyanskaya F. A., Tarnogradsky V. D. (1974). Srednyi i nizhnyi pleistotsen nizovyi Irtysha (The Middle and Lower Pleistocene of the Lower Irtysh Area). Leningrad: Nedra (Publ.). 160 p. (in Russ.)
- Kasse C. (1997). Cold-climate aeolian sand-sheet formation in north-western Europe (c.14—12.4 ka): a response to permafrost degradation and increased aridity. Permafrost and Periglacial Processes. V. 8. Iss. 3. P. 295—311.
- Kes A. S. (1966). Zonal and fossil loess analogues. In: Strukturnaya i klimaticheskaya geomorfologiya. Moscow: Nauka (Publ.). p. 145—153. (in Russ.)
- Kind N. V. (1974). Geokhronologia pozdnego antropogena po izotopnym dannym (Late Quaternary Geochronology According to Isotope Data). Moscow: Nauka (Publ.). 255 p. (in Russ.)
- Kolpakov V. V. (1983). Aeolian Quaternary deposits of Lena Yakutia. Bulletenʹ Komissii po izucheniyu chetvertichnogo perioda. № 52. P. 123—131. (in Russ.)
- Konishchev V. N., Lubimov B. N. (1968). Ancient aeolian landforms in Bolshezemelskaya Tundra. Vestnik Moskovskogo Universiteta. Seriya 5. Geografiya. № 2. P. 96—99. (in Russ.).
- Koster E. A. (1988). Ancient and modern cold-climate aeolian sand deposition: a review. J. of Quat. Sci. V. 3. Iss. 1. P. 69—83.
- Krasnov I. I. (Ed.). (1971). Karta chetvertichnykh otlozhenii Evropeiskoi chasti SSSR i prilegayushchikh teritorii masshtaba 1:1500000 (Quaternary map of European USSR and adjacent lands, scale 1:1500000). Leningrad: VSEGEI (Publ.). 16 p.
- Kriger N. I. (1965). Loess, ego svoistva i svyazʹ s geograficheskoi sredoi (Loess, its properties and relations with environments). Moscow: Nauka (Publ.). 296 p. (in Russ.)
- Laukhin S. A., Maksimov F. Ye., Arslanov Kh.A. et al. (2008). The geochronology and landscape-climatic conditions of the Early Zyryanka interstadial of West Siberia. Doklady akademii nauk. Iss. 420. № 5. P. 683—686. (in Russ.)
- Laukhin S. A., Shilova G. N., Velichkevich F. Yu. (2006). Palaeobotanic characteristics and palaeoclimates of the Karginsky time in the West Siberian Plain. Vestnik Arkheologii, Antropologii i Etnografii. № 7. P. 203—225. (in Russ.)
- Lavrov A. S., Potapenko L. M. (2005). Neopleistotsen severo-vostoka Russkoi ravniny (The Neopleistocene of the northeastern Russian Plain). Мoscow: Aerogeologia (Publ.). 222 p. (in Russ.)
- Mangerud J., Svendsen J. I., Astakhov V. I. (1999). Age and extent of the Barents and Kara Sea ice sheets in Northern Russia. Boreas. V. 28. Iss. 1. P. 46—80.
- Markova A. K., Simakova A. N., Puzachenko A.Yu. (2002). Environments of the Russian Plain during the Middle Valdai Briansk Interstade (33,000—24,000 BP) indicated by the fossil mammals and plants. Quat. Res. V. 57. Iss. 3. С. 391—400. https://doi.org/10.1006/qres.2002.2336
- Minina Ye.A., Starchenko V. V. (Eds.). (2005). Metodicheskoe posobie po sostavleniyu melkomasshtabnykh kart chetvertchnykh obrazovanii k Gosgeolkarte-1000/3 (Manual on composition of small-scale Quaternary maps for National Geological Map of 3d generation, scale 1 : 1 000000). St-Petersburg: VSEGEI (Publ.). 190 p. (in Russ.)
- Murton J. B., Goslar T., Edwards M. E. et al. (2015). Palaeoenvironmental interpretation of yedoma silt (Ice Complex) deposition as cold-climate loess, Duvanny Yar, northeast Siberia. Permafrost and Periglacial Processes. V. 26. Iss. 3. P. 208—288. https://doi.org/10.1002/ppp.1843
- Nikolskaya O.A. (2006). Pozdnepleistotsenovaya istoriya gidrograficheskoi seti severa Pechorskogo basseina (Late Pleistocene history of hydrographic network of the northern Pechora basin). PhD thesis. St. Petersburg: SPbU. 156 p. (in Russ.).
- Panin A. V., Astakhov V. I., Lotsari E. et al. (2020). Middle and Late Quaternary glacial lake-outburst floods, drainage diversions and reorganization of fluvial systems in northwestern Eurasia. Earth-Sci. Rev. V. 201. 103069. https://doi.org/10.1016/j.earscirev.2019.103069
- Péwé T., Journaux A. (1983). Origin and character of loesslike silt in unglaciated south-central Yakutia, Siberia. In: Geol. Surv. Prof. Pap. 1262. Washington: U.S. G.P.O. 46 p. https://doi.org/10.3133/pp1262
- Reineck H.-E., Singh I. B. (1980). Depositional Sedimentary Environments, with reference to terrigenous clastics. Springer-Verlag. 551 p.
- Schwan J. (1986). The origin of horizontally alternating bedding in Weichselian aeolian sands in northwestern Europe. Sediment. Geol. V. 49. Iss. 1—2. P. 73—108. https://doi.org/10.1016/0037-0738(86)90016-3
- Sergeyev Ye.M. (Ed.). (1986). Loessovye porody SSSR (Loessic rocks of the USSR). Moscow: Nedra (Publ.). Iss. 2. 232+278 p. (in Russ.).
- Shennan I. (2007). Sea level studies. In: Encyclopedia of Quat. Sci. V. 4. [S. l.]: Elsevier. P. 2967—2974.
- Shvetsov A. Ya. (2021). Loessy Altaya (Loesses of the Altai). Barnaul: Novyi Format (Publ.). 152 p. (in Russ.)
- Sidorchuk A. Yu., Panin A. V., Borisova O.K. (2008). Climate-induced changes in surface runoff on the North-Eurasian plains during the Late Glacial and Holocene. Water Resources. Iss. 35. № 4. P. 406—416. (in Russ.)
- Svendsen J. I., Pavlov P. (2003). Mamontovaya Kuya: an enigmatic, nearly 40000 years old Paleolithic site in the Russian Arctic. The chronology of the Aurignacian and of the transitional technocomplexes. Trabalhos de Arqueologia. V. 33. P. 109—120.
- Svendsen J. I., Pavlov P., Heggen H. et al. (2008). Pleistocene environment and Palaeolithic sites in the north of the western Urals. In: Put’ na Sever: okruzhayushchaya sreda i samye rannie obitateli Arktiki i Subarktiki. Moscow: Institute of Geography RAS (Publ.). P. 79—97. (in Russ.)
- Teruggi M. E. (1957). The nature and origin of Argentine loess. J. Sediment. Petrol. V. 27. № 3. P. 322—323.
- Tomirdiaro S. V. (1980). Loessovo-ledovaya formatsia Vostochnoi Sibiri v pozdniem pleistotsene (The loess-ice formation of East Siberia in the Late Pleistocene). Moscow: Nauka (Publ.). 184 p. (in Russ.)
- Vangengeim E. A., Pevzner M. A., Tesakov A. S. (2001). Mammalian zonation of the Eastern European Quaternary. Stratigrafia. Geologicheskaya Korrelatsia. Iss. 9. № 3. P. 76—88. (in Russ.)
- Vasilchuk Yu.K., Vasilchuk A. C. (1998). ¹⁴C and 18O in Siberian syngenetic ice-wedge complexes. Radiocarbon. V. 40. Iss. 2. P. 883—893. https://doi.org/10.1017/S0033822200018853
- Vasiliev Yu.M. (1980). Otlozhenia periglatsialʹnoi zony Vostochnoi Evropy (Deposits of the periglacial zone of Eastern Europe). Мoscow: Nauka (Publ.). 172 p. (in Russ.)
- Velichkevich F. Yu. (1982). Pleistotsenvye flory lednikovykh oblastei Vostochno-Evropeiskoi ravniny (Pleistocene floras of the glaciated East European Plain). Minsk: Nauka i Tekhnika (Publ.). 239 p. (in Russ.)
- Velichko A. A. (1973). Prirodnyi protsess v pleistotsene (The Natural Process in Pleistocene). Moscow: Nauka (Publ.). 256 p. (in Russ.)
- Velichko A. A. (Ed.). (2002). Dinamika landshaftnykh komponentov i vnutrennikh basseinov Severnoi Evrazii za poslednie 130 000 let. Atlas-monografia. Vyp. II. (Dynamics of terrestrial landscape components and inland and marginal seas of Northern Eurasia during the last 130 000 years. Atlas-monograph. Issue II). Moscow: GEOS (Publ.). 296 p. (in Russ.)
- Velichko A. A., Gribchenko Yu.N., Gubonina Z. P. et al. (1997). General peculiarities of the loess-soil formation. In: Loessovo-pochvennaya formatsiya Vostochno-Evropeiskoi ravniny. Мoscow: Institute of Geography RAS (Publ.). P. 5—25 (in Russ.)
- Velichko A. A., Morozova T. D., Nechaev V. P. et al. (2006). Loess/paleosol/cryogenic formation and structure near the northern limit of loess deposition, East European Plain, Russia. Quat. Int. V. 152—153. P. 4—30. https://doi.org/10.1016/j.quaint.2005.12.003
- Velichko A. A., Timireva S. N., Kremenetsky K. V. (2007). West Siberian Plain as a late glacial desert. Izvestiya RAN. Seriya geograficheskaya. № 4. С. 16—28. (in Russ.)
- Velichko A. A., Zelikson E. M. (2005). Landscape, climate and mammoth food resources in the East European Plain during the late Paleolithic epoch. Quat. Int. V. 126—128. P. 137—151. https://doi.org/10.1016/j.quaint.2004.04.019
- Volkov I. A. (1971). Pozdnechetvertichnaya subaeralʹnaya formatsiya (Late Quaternary Subaerial Sedimentary Association). Мoscow: Nauka (Publ.). 254 p. (in Russ.)
- Yershov E. D. (Ed.). (1988). Geokriologia SSSR. Evropeiskaya chastʹ (Geocryology of the USSR. European part). Moscow: Nedra (Publ.). 358 p. (in Russ.)
- Zarrina E. P., Kaplyanskaya F. A., Krasnov I. I. et al. (1961). The periglacial sediments of the West Siberian Lowland. In: Materialy po chetvertichnoi geologii i geomorfologii SSSR. Moscow: Gosgeoltekhizdat (Publ.). P. 54—104. (in Russ.)
- Zeeberg J. J. (1998). The European sand belt in eastern Europe — and comparison of Late Glacial dune orientation with GCM simulation results. Boreas. V. 27. Iss. 2. P. 127—139. https://doi.org/10.1111/j.1502-3885.1998.tb00873.x
- Zemtsov A. A. (1976). Geomorfologiya Zapadno-Sibirskoi ravniny (Geomorphology of the West Siberian Plain). Tomsk: Tomsk University (Publ.). 343 p. (in Russ.)
- Zolnikov I. D., Anoikin A. A., Filatov Ye.A. et al. (2021). New evidence of the Late Neopleistocene peopling of the Lower Ob Valley. Arkheologia, etnografia i antropologia Evrazii. Iss. 49. № 1. P. 9—20. (in Russ.). https://doi.org/10.17746/1563-0102.2021.49.1.009-020
Supplementary files


















