Application of ultrasonic diagnostics in the study of urogenital organs of birds
- Authors: Dikikh A.A.1, Pervenetskaya M.V.2, Rusakov V.V.1, Sukach L.I.1, Slapovskaya O.I.1, Komarov A.Y.1, Makarova Y.S.1
-
Affiliations:
- Omsk State Medical University
- Omsk State Agrarian University named after P.A. Stolypin
- Issue: Vol 4, No 1 (2024)
- Pages: 30-36
- Section: Articles
- URL: https://bakhtiniada.ru/2782-3024/article/view/256938
- DOI: https://doi.org/10.61634/2782-3024-2024-13-30-36
- ID: 256938
Cite item
Full Text
Abstract
Ultrasound examination is one of the most accessible and having a high probability of competence of research of diagnostics of diseases of internal organs, which are carried out mainly in small pets. The aim of the study is to obtain information about parenchymatous organs in birds in norm and in case of pathologic changes for making or confirming clinical diagnosis. Material and methods. Ultrasound diagnostics of avian oviduct was carried out on ultrasonic diagnostic scanner ETS-D-05 "Raskan", ~ 220V, 50 Hz, 100 VA, class 1. The transducer is microconvex 7.5 MHz. Results. At ultrasound examination of the kidneys in the chicken, it was noted that the kidneys had smooth, clear boundaries. The echostructure of cortical and brain layers in the median plane is heterogeneous, echogenicity of parenchyma corresponds to the norm. The capsule is not visualized. The presence of lighter and darker areas in the parenchyma is clearly visible, which is associated with filtration of mineral substances contained in the blood. Ultrasound examination of the genitalia in the chicken was carried out in several stages. At the first stage, the presence of a mature follicle was noted. Localized volumetric formations of rounded shape - follicles at different stages of development were revealed. They have homogeneous echogenicity and echostructure of hyperechogenic character, giving a weak acoustic shadow. In the second stage of the study we noted the presence of yolk covered with vitelline shell, which is located in the central part of the albumen section of the oviduct, has a high density and good echogenicity. In the third stage, the yolk is located in the caudal part of the albumen section. At its periphery, the albumen with several layers is located. Protein section is displaced somewhat to the left, has strongly tortuous loops. The wall of the albumen is well structured, the expression of layers is weakly marked. In the cavity of the oviduct, the content of the oviduct is homogeneous with a small amount of content of liquid consistency. At the fourth stage of the study in the uterus of the oviduct, an anechogenic formation - an egg - is visualized on the echogram. In its center, a hypoechogenic structure with indistinct contours - yolk is detected. The contours of the egg are smooth, borders are indistinct. The egg completely fills the uterine cavity, the lumen between the egg and the uterine wall is absent, the uterine wall contours are clear and even with homogeneous echogenic structure, no nodular formations are detected, uterine vessels are not dilated.
Keywords
Full Text
Введение
Птицеводство быстро развивающаяся и динамичная отрасль агропромышленного комплекса, вносит значительный вклад в продовольственное обеспечение страны мясной и яичной продукцией [2, 3].
Разработка и применение интенсивных технологий выращивания молодняка, направленных на максимальный выход продукции, большое количество вакцинаций от различных заболеваний, широкое применение антибиотиков, пробиотиков и химических антибактериальных веществ (средств), кормление низкокалорийной пищей и различные стресс-факторы приводят к ухудшению состояния здоровья птицы и ее гибели [4, 5].
Усиленный метаболизм является неотъемлемой особенностью характерной для птиц, обеспечение которого неразрывно связано с мочеполовой системой, представляющей собой комплекс органов в процессе образования, выведения мочи и формирования яйца, имеющий в своей основе сложные морфофункциональные особенности строения данного структурно-физиологического комплекса с общим морфологическим, генетическим и функциональным происхождением [8, 1].
Ультразвуковое исследование является одним из наиболее доступных и имеющих большую вероятность компетентности исследования диагностики заболеваний внутренних органов, которые проводятся в основном у мелких домашних животных. Ультразвуковое исследование позволяет получить изображение внутренних органов в нескольких плоскостях с оценкой их формы, строения. Кроме того, с помощью ультразвука можно обнаруживать опухоли, кисты и абсцессы в организме птиц [6, 7].
Цель исследования – получение сведений о паренхиматозных органах у птиц в норме и при патологических изменениях для постановки или подтверждения клинического диагноза.
Материал и методы исследования
Ультразвуковую диагностику яйцевода птиц проводили на ультразвуковом диагностическом сканере ЭТС-Д-05 «Раскан», ~ 220В, 50 Гц, 100 ВА, класс 1. Датчик микроконвексный 7,5 МГц.
Материалы исследования подвергнуты статистической обработке при помощи программы STATISTICA 6.1 (разработчик - StatSoft.Inc). Накопление, корректировку, систематизацию исходной информации и визуализацию полученных результатов осуществляли в электронных таблицах Microsoft Office Excel 2016. Во всех процедурах статистического анализа критический уровень значимости р принимался равным 0,05. При этом значения p могли ранжироваться по 3 уровням достигнутых статистически значимых различий: p<0,05; p<0,01; p<0,001.
Для проверки различий между двумя сравниваемыми парными выборками применялся вариант t-теста для зависимых выборок. Коэффициент корреляции рассчитывали по Пирсону с оценкой его статистической значимости.
Результаты
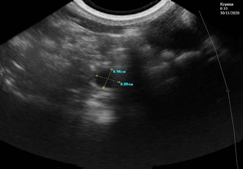
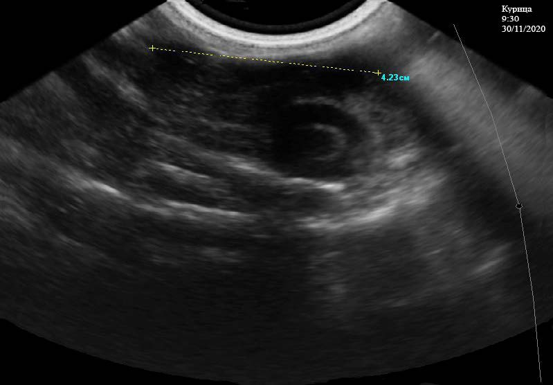
При ультразвуковом исследовании почек у курицы отмечается, что их границы ровные, четкие. Эхоструктура кортикального и мозгового слоев в срединной плоскости неоднородная, эхогенность паренхимы соответствует норме. Капсула не визуализируется. Отчетливо видно наличие более светлых и темных участков в паренхиме, что связано с фильтрацией минеральных веществ, содержащихся в крови. Мочеточники на всем протяжении не визуализируются. Общая длина почек составляет 4,70 см (рис. 1). Ультразвуковое исследование половых органов у курицы кросса Хайсекс белый проводилось в несколько этапов: Начало первого этапа проводили в 9:35 часов 30.11.2020 г. Отмечено наличие созревшего фолликула, который попадает в воронку. Выявляются локализованные объемные образования округлой формы – фолликулы, находящиеся на разных стадиях развития, размерами 0,96*0,99, 1,82*1,97, 0,57*0,70 см (рис. 2). Они имеют однородную эхогенность и эхоструктуру гиперэхоогенного характера, дающие слабую акустическую тень. Вокруг них визуализируется несколько мелких фолликулов, состояние границ между ними четкое просматривается, наличия артефактов не отмечено.
Рис. 1. Ультразвуковое исследование почек у курицы кросс «Хайсекс белый». 9:30 ч. 30.11.2020 г.
Рис. 2. Фолликулы на разных стадий развития в яичнике у курицы кросс «Хайсекс белый». 9:35 ч. 30.11.2020 г.
Второй этап исследования осуществляли в 10:00 30.11.2020 г. Отмечается желток, покрытый вителлиновой оболочкой, который расположен в центральной части белкового отдела яйцевода имеет размеры 0,81*0,68 см, большую плотность и хорошую эхогенность. На его периферии расположено небольшое количество белка 1,73*2,04 см с более низкой плотностью. При этом, на снимке отмечается хорошо контурированный черный диск (рис. 3).
Рис. 3. Краниальная часть белкового отдела у курицы кросс «Хайсекс белый», с наличием желтка с оболочками. 10:00 ч. 30.11.2020 г.
Третий этап исследование проводили в 13:03 часов 30.11.2020. Желток расположен в каудальной части белкового отдела, имеет размеры 0,68*0,81 см. Отмечается его большая плотность, хорошая эхогенность. На его периферии располагается белок с несколькими слоями, имеющий размеры 1,97*1,82 см и 0,57*0,70 см. Отмечается низкая плотность белка и эхогенная структура гиперэхогенного характера со слабой акустической тенью.
Белковый отдел смещен несколько влево, имеет сильно извитые петли. Границы яйцевода хорошо контурированы. Стенка белкового отдела хорошо структурирована, выраженность слоев отмечается слабо. Толщина стенок равномерная, соответствует ультразвуковой норме. В полости яйцевода отмечается содержимое однородной структуры со незначительным количеством содержимого жидкой консистенции. Перистальтика белкового отдела сохранена (рис. 4).
Рис. 4. Средняя часть белкового отдела у курицы кросс «Хайсекс белый», с наличием желтка с увеличенной массой белка. 13:03 ч. 30.11.2020 г.
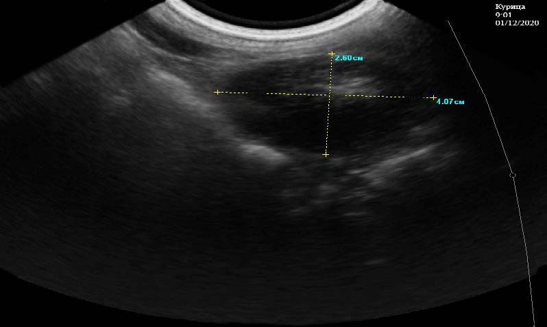
Четвертый этап исследования проводили в 9:01 часов 01.12.2020 г. Яйцо, находилось в матке в течение 20 часов, за это время произошла минерализация и покрытие его скорлупой. В матке яйцевода на эхограмме визуализируются анэхогенное образование – яйцо размером 4,70*2,60 см. В центре него выявляется гипоэхогенная структура с нечеткими контурами – желток. Контуры яйца ровные, границы нечеткие. Яйцо полностью заполняет полость матки, просвет между яйцом и стенкой матки отсутствует, контуры стенок матки четкие и ровные с однородной эхогенной структурой, узловых образований не обнаружено, сосуды матки не расширены. По его периферии видна тонкая гипоэхогенная линия – скорлупа. Дистально визуализируется слабый артефакт (рис. 5).
Рис. 5. Полость матки яйцевода у курицы кросс «Хайсекс белый» заполненная яйцом. 9:01 ч. 01.12.2020 г.
Таким образом, общее время прохождения яйца попадания в воронку до выхода из влагалища в клоаку составляет примерно 24 часа.
Выводы
Ультразвуковое исследование паренхиматозных органов птиц в современной ветеринарной медицине является одним из самых информативных методов обследования и имеет большие преимущества:
- полная безопасность в отношении здоровья птиц, так как это время не применяется ионизирующая радиация, воздействие рентгенологического излучения;
- доступность в отличие от других визуальных методов, таких как компьютерная или магнитно-резонансная томография;
- неинвазивость и безболезненность метода, когда во время процедуры не нарушается целостность внутренних органов и тканей, а также отсутствует введение в организм опасных для здоровья птиц контрастных веществ;
- быстрый, информативный и качественный результат проведенного исследования с полной и исчерпывающей информацией о состоянии здоровья пациента; получением качественной информации с использованием разных срезов органов у птиц;
- установление характера процесса - врожденная или приобретенная аномалия, воспалительный или опухолевый процесс и др.;
- возможность многократного применения позволяет внимательно отслеживать состояние птицы проведение динамического контроля в различные сроки после лечения на протяжении до полного выздоровления;
- на протяжении всего обследования или лечения птицам не причиняют боль и дискомфорт, что позволяет значительно ускорить диагностику.
Заключение
При ультразвуковом исследовании изучены морфофункциональное состояние почек и яйцевода птиц, раскрывается весь механизм значения абсорбции белка и минеральных веществ из крови в период формирования альбумина и скорлупы. Нарушение минерализации вызывает истончение скорлупы с ее дефектами и трещинами. Низкое содержание минеральных веществ в период яйцекладки способствует остеопорозу скелета птиц, что негативно сказывается на фосфорно-кальциевом составе костей и общем состоянии птицы.
About the authors
A. A. Dikikh
Omsk State Medical University
Author for correspondence.
Email: aamatweewa150488@mail.ru
ORCID iD: 0000-0002-4556-6142
к.вет.н., ассистент кафедры нормальной физиологии
Russian Federation, OmskM. V. Pervenetskaya
Omsk State Agrarian University named after P.A. Stolypin
Email: aamatweewa150488@mail.ru
ORCID iD: 0000-0002-3249-4645
к.вет.н., доцент кафедры анатомии, гистологии, физиологии и патологической анатомии
Russian Federation, OmskV. V. Rusakov
Omsk State Medical University
Email: aamatweewa150488@mail.ru
ORCID iD: 0000-0001-7730-1942
д.м.н., доцент кафедры нормальной физиологии
Russian Federation, OmskL. I. Sukach
Omsk State Medical University
Email: aamatweewa150488@mail.ru
ORCID iD: 0000-0002-2788-6150
к.м.н., доцент кафедры нормальной физиологии
Russian Federation, OmskO. I. Slapovskaya
Omsk State Medical University
Email: aamatweewa150488@mail.ru
ORCID iD: 0000-0001-6462-1525
к.м.н., доцент кафедры нормальной физиологии
Russian Federation, OmskA. Y. Komarov
Omsk State Medical University
Email: aamatweewa150488@mail.ru
ORCID iD: 0000-0002-4160-2177
к.б.н., доцент кафедры нормальной физиологии
Russian Federation, OmskY. S. Makarova
Omsk State Medical University
Email: aamatweewa150488@mail.ru
ORCID iD: 0000-0003-1463-8577
к.б.н., старший преподаватель кафедры нормальной физиологии
Russian Federation, OmskReferences
- Dikih, A. A. Topografija i anatomicheskoe stroenie jajcevoda u kuricy krossa «Hajseks belyj» / A. A. Dikih, L. V. Fomenko // Vestnik OmGAU. – 2019. – № 1 (33). – S. 83-91.
- Zhurov, D. O. Izuchenie patomorfologicheskih izmenenij v pochkah kur pri associativnom techenii podagry i mochekamennoj bolezni na fone kormovogo toksikoza / D. O. Zhurov, I. N. Gromov // Sel'skoe i lesnoe hozjajstvo. – 2015, – № 1. – S. 5.
- Rojter, L. M. Kachestvo produkcii kak indikator konkurentosposobnosti pticevodcheskogo predprijatija / L. M. Rojter // FGBNU FNC «VNITIP» RAN Kosteva L.Ju. – OAO «Volzhanin», 2018. - S. 516.
- Alshammary, H. K. A. Gesse ovary oviduct from an Anatomical and Histological point of view / H. K. A. Alshammary, A. I. Jabar, R. A. A. Nasser // Research Journal of Pharmaceutical, Biological and Chemical Sciences. – 2017. – № 8 (6). – P. 207-219. – ISSN 0975-8585.
- Khan, I. M. Gross and Morphometrical Studies on Female Reproductive System of Adult Local Fowl of Uttarrakhand (Uttara Fowl) / I.M. Khan, I. Sing, R. Saleem et al. // Int. J. Pure App. Biosci. – 2017. – № 5 (3). – P. 628-633.
- Lucky, N. S. Different types of oviducal arteries in the domestic Hen (Gallus domesticus) in Bangladech. / N.S. Lucky, M.Z.I. Khan, M. Assaduzzaman, et al. // Int. Bio Res. – 2010 – № 1 (1). – P 15 - 18.
- Pervenetskaya, M. V. Anatomical Features of Kidney Structure in Haysex White Hens / M. V. Pervenetskaya, L. V. Fomenko // Journal of Pharmaceutical Sciences and Research /An International Peer Rerievied Journal // Sci. &Res. Vol. 10 (10), 2018. – R. 2642-2645.
- Saemi, F. Histomorphometrical changes of oviduct during the long-term exposure of breeder hens to extra thyroxine. / Saemi F., Zare Shaneh, M. Zhandi, A. Aklanghi, Z. Khaksar, M. Dadpasand // Journal Comparative Clinical Patholog. – 2018. – № 5. – P.51.
Supplementary files







