Морфофункциональные и молекулярные изменения в плаценте и периферической крови при преэклампсии и гестационном сахарном диабете
- Авторы: Артемьева К.А.1, Степанова Ю.В.2, Степанова И.И.1, Шамаракова М.В.3, Тихонова Н.Б.1, Низяева Н.В.1, Цахилова С.Г.2, Михалева Л.М.1
-
Учреждения:
- Научно-исследовательский институт морфологии человека имени академика А.П. Авцына Федерального государственного бюджетного научного учреждения “Российский научный центр хирургии имени академика Б.В. Петровского”
- ФГБОУ ВО “Московский государственный медико-стоматологический университет им. А.И. Евдокимова” Минздрава РФ
- Государственное бюджетное учреждение здравоохранения города Москвы “Городская клиническая больница имени С.С. Юдина Департамента здравоохранения города Москвы” ГБУЗ “ГКБ им. С.С. Юдина ДЗМ”
- Выпуск: Том 513, № 1 (2023)
- Страницы: 555-563
- Раздел: Статьи
- URL: https://bakhtiniada.ru/2686-7389/article/view/244368
- DOI: https://doi.org/10.31857/S2686738923600553
- EDN: https://elibrary.ru/GPFMGI
- ID: 244368
Цитировать
Полный текст
Аннотация
Гестационный сахарный диабет (ГСД) и преэклампсия (ПЭ) являются частыми осложнениями беременности со сходными факторами риска. Хотя ГСД связан с ПЭ, точный механизм, лежащий в основе ассоциации этих заболеваний, неясен.
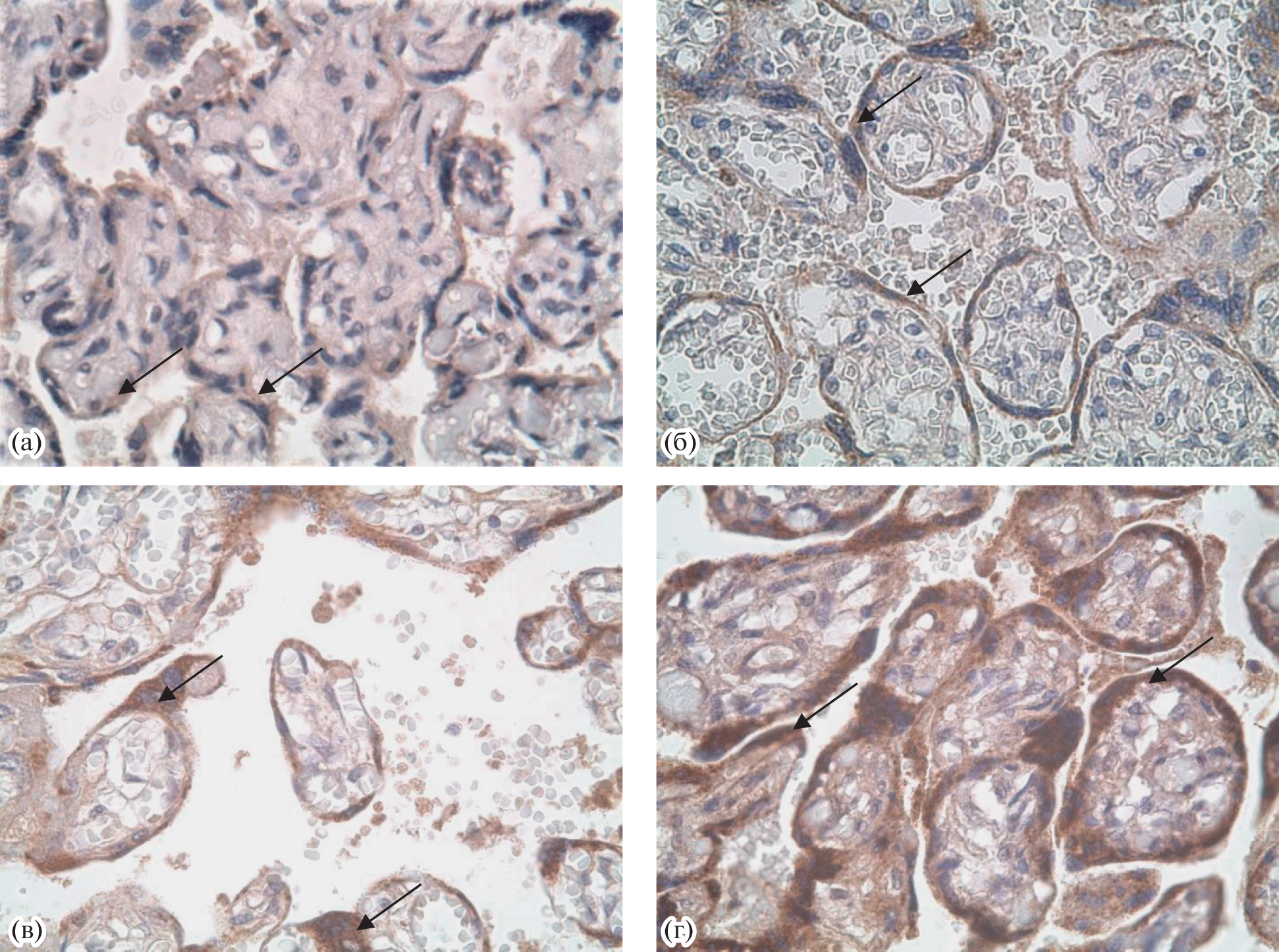
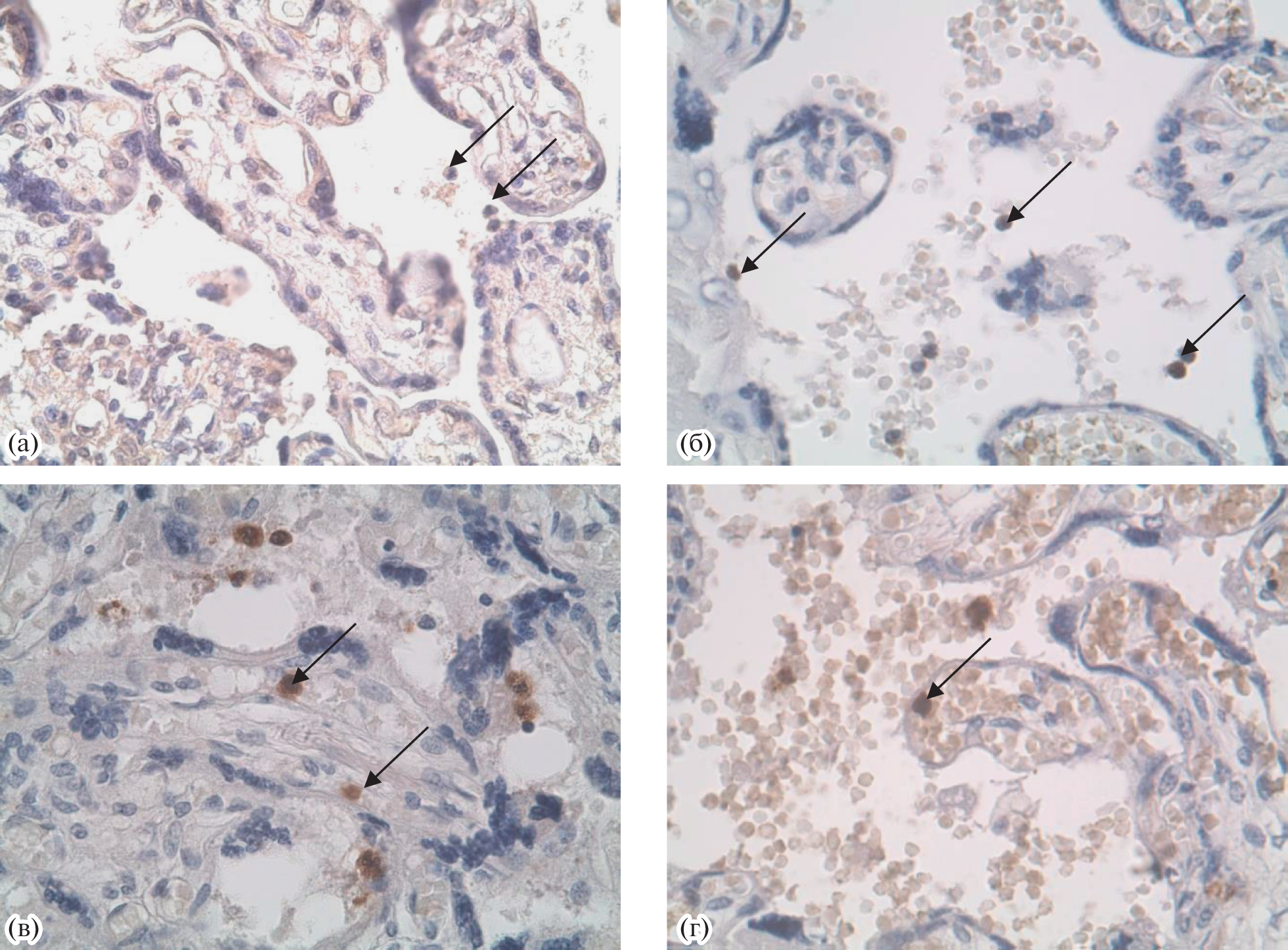
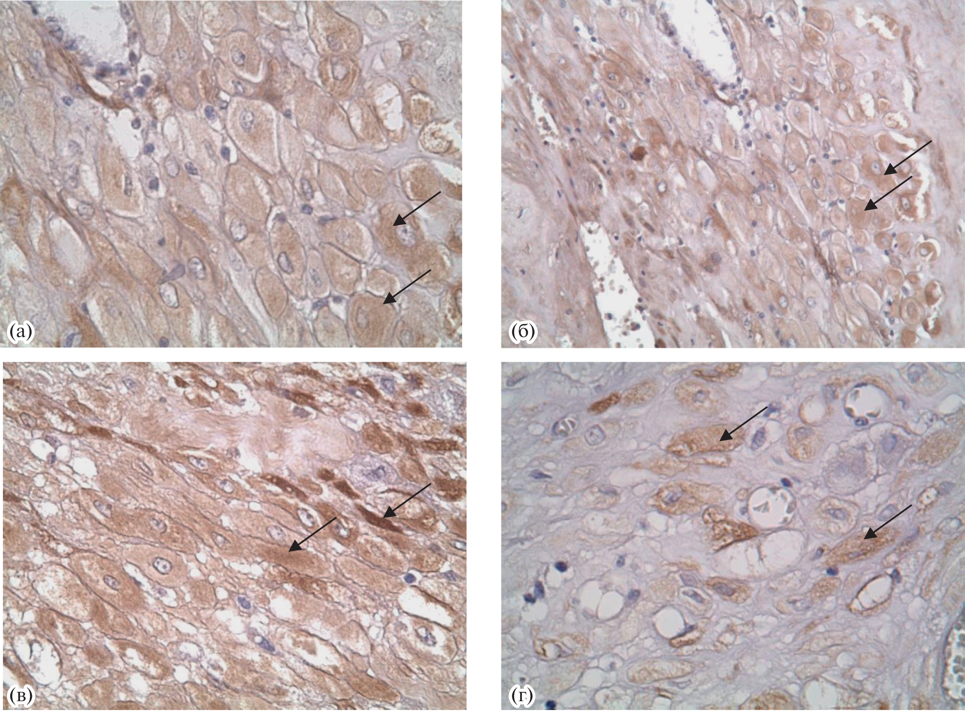
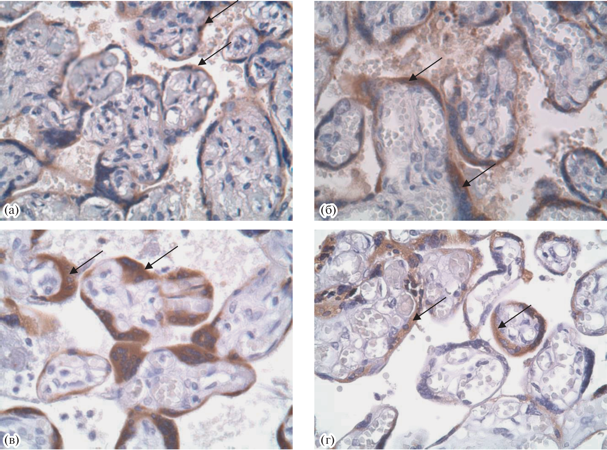
Цель работы: исследовать морфофункциональные и молекулярные изменения в плаценте и периферической крови при ПЭ и ГСД. В исследовании мы оценили местные и системные изменения продукции ряда плацентарных белков, маркеров воспаления и метаболических нарушений. Отметили изменение экспрессии ворсинами плацентарного лактогена, трофобластического β1-гликопротеина, плацентарного альфа-1-микроглобулина и протеиназы 3 в группах осложненных беременностей. В настоящем исследовании показано сходство патогенетических механизмов, лежащих в основе ПЭ и ГСД.
Ключевые слова
Об авторах
К. А. Артемьева
Научно-исследовательский институт морфологии человека имени академика А.П. Авцына Федерального государственного бюджетного научного учреждения “Российский научный центр хирургии имени академика Б.В. Петровского”
Автор, ответственный за переписку.
Email: artemjeva_ksenia@mail.ru
Россия, Москва
Ю. В. Степанова
ФГБОУ ВО “Московский государственный медико-стоматологический университет им. А.И. Евдокимова” Минздрава РФ
Email: artemjeva_ksenia@mail.ru
Россия, Москва
И. И. Степанова
Научно-исследовательский институт морфологии человека имени академика А.П. Авцына Федерального государственного бюджетного научного учреждения “Российский научный центр хирургии имени академика Б.В. Петровского”
Email: artemjeva_ksenia@mail.ru
Россия, Москва
М. В. Шамаракова
Государственное бюджетное учреждение здравоохранения города Москвы “Городская клиническая больница имени С.С. Юдина Департамента здравоохранения города Москвы”ГБУЗ “ГКБ им. С.С. Юдина ДЗМ”
Email: artemjeva_ksenia@mail.ru
Россия, Москва
Н. Б. Тихонова
Научно-исследовательский институт морфологии человека имени академика А.П. Авцына Федерального государственного бюджетного научного учреждения “Российский научный центр хирургии имени академика Б.В. Петровского”
Email: artemjeva_ksenia@mail.ru
Россия, Москва
Н. В. Низяева
Научно-исследовательский институт морфологии человека имени академика А.П. Авцына Федерального государственного бюджетного научного учреждения “Российский научный центр хирургии имени академика Б.В. Петровского”
Email: artemjeva_ksenia@mail.ru
Россия, Москва
С. Г. Цахилова
ФГБОУ ВО “Московский государственный медико-стоматологический университет им. А.И. Евдокимова” Минздрава РФ
Email: artemjeva_ksenia@mail.ru
Россия, Москва
Л. М. Михалева
Научно-исследовательский институт морфологии человека имени академика А.П. Авцына Федерального государственного бюджетного научного учреждения “Российский научный центр хирургии имени академика Б.В. Петровского”
Email: artemjeva_ksenia@mail.ru
Россия, Москва
Список литературы
- Yang Y., Wu N. Gestational Diabetes Mellitus and Preeclampsia: Correlation and Influencing Factors // Front Cardiovasc Med. 2022. V. 9. P. 831297.
- Weissgerber T.L., Mudd L.M. Preeclampsia and diabetes // Curr Diab Rep. 2015. V. 15. № 3. P. 9.
- Brown M.A., Magee L.A., Kenny L.C., et al. Hypertensive disorders of pregnancy: ISSHP classification, diagnosis, and management recommendations for international practice // Hypertension. 2018. V. 72. P. 24–43.
- Kul S., Guvenc T.S., Baycan O.F., et al. Combined past preeclampsia and gestational diabetes is associated with a very high frequency of coronary microvascular dysfunction // Microvasc Res. 2021. V. 134. P. 104104.
- Vounzoulaki E., Khunti K., Abner S.C., et al. Progression to type 2 diabetes in women with a known history of gestational diabetes: systematic review and meta-analysis // BMJ. 2020. V. 369. P. m1361.
- Phoswa W.N., Khaliq O.P. The role of oxidative stress in hypertensive disorders of pregnancy (preeclampsia, gestational hypertension) and metabolic disorder of pregnancy (gestational diabetes mellitus) // Oxid Med Cell Longev. 2021. V. 2021. P. 5581570.
- Rattila S., Kleefeldt F., Ballesteros A., et al. Pro-angiogenic effects of pregnancy-specific glycoproteins in endothelial and extravillous trophoblast cells // Reproduction. 2020. V. 160. № 5. P. 737–750.
- Sibiak R., Jankowski M., Gutaj P., et al. Placental Lactogen as a Marker of Maternal Obesity, Diabetes, and Fetal Growth Abnormalities: Current Knowledge and Clinical Perspectives // J Clin Med. 2020. V. 9. № 4. P. 1142.
- Заморина С.А., Раев М.Б. Иммунорегуляторный потенциал трофобластического β-гликопротеина: перезагрузка // Медицинская иммунология. 2015. Т. 17. № S. С. 27.
- Mokkala K., Juhila J., Houttu N., et al. Early pregnancy serum IGFBP-1 relates to lipid profile in overweight and obese women // Heliyon. 2020. V. 6. № 8. P. 04788.
- Abraham T., Romani A.M.P. The Relationship between Obesity and Pre-Eclampsia: Incidental Risks and Identification of Potential Biomarkers for Pre-Eclampsia // Cells. 2022. V. 11. № 9. P. 1548.
- Клинические рекомендации. Гестационный сахарный диабет. Диагностика, лечение, акушерская тактика, послеродовое наблюдение. М. 2020 г. / Gestational diabetes mellitus. (Clinical recommendations). [In Russ.] M. 2020.
- Старосветская Н.А., Назимова С.В., Степанова И.И. и др. Получение комплекса моноклональных антител для иммуногистохимических исследований в области физиологии и патологии репродукции // Клиническая и экспериментальная морфология. 2012. № 2. С. 22–27.
- Li X., Li C., Wang Y., et al. IGFBP1 inhibits the invasion, migration, and apoptosis of HTR-8/SVneo trophoblast cells in preeclampsia // Hypertens Pregnancy. 2022. V. 41. № 1. P. 53–63.
- Qiao L., Saget S., Lu C., et al. Adiponectin Promotes Maternal β-Cell Expansion Through Placental Lactogen Expression // Diabetes. 2021. V. 70. № 1. P. 132–142.
- Markl-Hahn H., Neugebauer L., Lenke L., et al. Human Placental Tissue Contains A Placental Lactogen-Derived Vasoinhibin // J Endocr Soc. 2022. V. 6. № 4. P. bvac029.
- Adu-Gyamfi E.A., Fondjo L.A., Owiredu W.K.B.A., et al. The role of adiponectin in placentation and preeclampsia// Cell Biochem Funct. 2020. V. 38. № 1. P. 106–117.
- Meyer-Hoffert U. Neutrophil-derived serine proteases modulate innate immune responses // Front. Biosci. (Landmark Ed). 2009. V. 14. № 9. P. 3409–3418.
- Patterson E.K., Gillio-Meina C., Martin C.M., et al. Proteinase 3 contributes to endothelial dysfunction in an experimental model of sepsis // Exp Biol Med (Maywood). 2021. V. 246. № 21. P. 2338–2345.
- Smits L., Bockstal M.V., Frezin J. Deciduosis of the appendix: a rare cause of acute abdomen during pregnancy (a case report) // Pan Afr Med J. 2020. V. 37. P. 316.
- Беттихер О.А., Зазерская И.Е., Попова П.В., и др. Характеристика преэклампсии у беременных с гестационным диабетом // Журнал акушерства и женских болезней. 2019. Т. 68. № 5. С. 19–36.
Дополнительные файлы






