Минусы и неожиданные преимущества реакции организма старых крыс Вистар при моделировании посттравматического стрессового расстройства
- Авторы: Кондашевская М.В.1, Артемьева К.А.1, Козлова М.А.1, Арешидзе Д.А.1, Кактурский Л.В.1
-
Учреждения:
- Научно-исследовательский институт морфологии человека имени академика А.П. Авцына Федерального государственного бюджетного научного учреждения “Российский научный центр хирургии имени академика Б.В. Петровскогo”
- Выпуск: Том 512, № 1 (2023)
- Страницы: 486-494
- Раздел: Статьи
- URL: https://bakhtiniada.ru/2686-7389/article/view/140862
- DOI: https://doi.org/10.31857/S268673892360036X
- EDN: https://elibrary.ru/SYPXCS
- ID: 140862
Цитировать
Полный текст
Аннотация
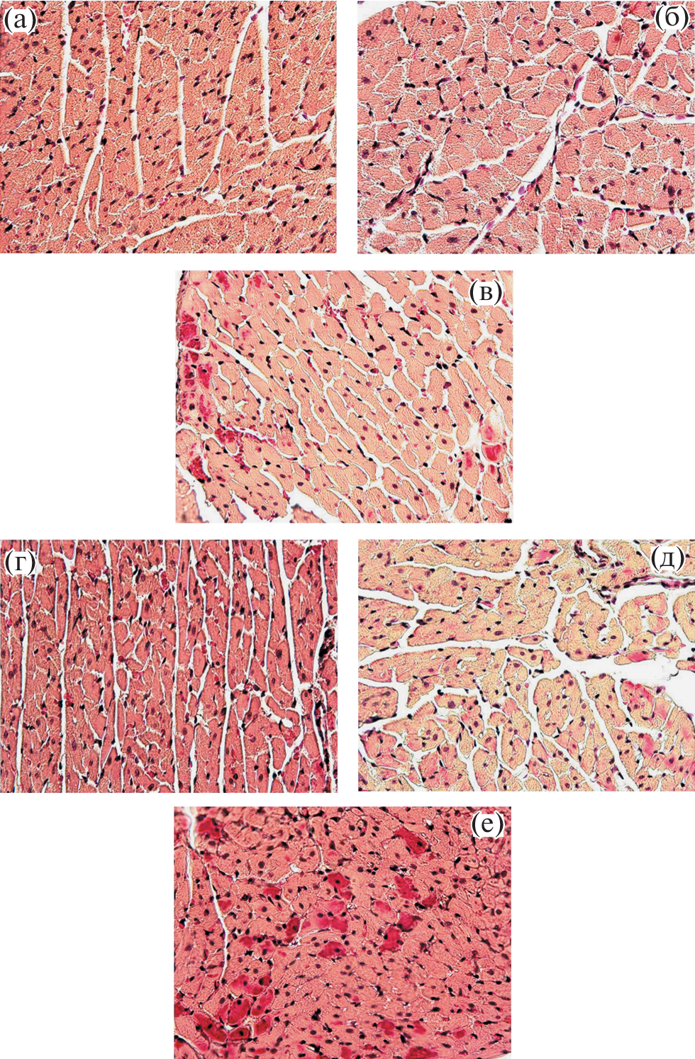
При моделировании посттравматического стрессового расстройства (ПТСР), у старых крыс Вистар проявляются те же общие признаки ПТСР-подобного состояния, что и у молодых животных. Впервые примененный в работе индекс отношения уровня тестостерона к кортикостерону может служить ориентиром для разделения популяции крыс на низко- и высокотревожных особей при моделировании ПТСР. У старых крыс выявлен ряд особенностей поведения, психоэмоциональных и гормональных проявлений, а также состояния миокарда. Впервые установлено, что при стрессе у старых крыс, в отличие от молодых, наблюдается резкий подъем уровня циркулирующего тестостерона, который способствует более быстрому принятию решения о направлении движения в лабиринтном пространстве. Приоритетными являются данные о дисфункциональном накоплении митохондрий в миокарде интактных и стрессированных старых крыс. Полученные сведения могут быть полезны при разработке лекарственных средств от разрушительных последствий ПТСР, а также старческих изменений миокарда.
Об авторах
М. В. Кондашевская
Научно-исследовательский институт морфологии человека имени академика А.П. Авцына Федерального государственного бюджетного научного учреждения “Российский научный центр хирургии имени академика Б.В. Петровскогo”
Автор, ответственный за переписку.
Email: marivladiko@mail.ru
Россия, Москва
К. А. Артемьева
Научно-исследовательский институт морфологии человека имени академика А.П. Авцына Федерального государственного бюджетного научного учреждения “Российский научный центр хирургии имени академика Б.В. Петровскогo”
Email: marivladiko@mail.ru
Россия, Москва
М. А. Козлова
Научно-исследовательский институт морфологии человека имени академика А.П. Авцына Федерального государственного бюджетного научного учреждения “Российский научный центр хирургии имени академика Б.В. Петровскогo”
Email: marivladiko@mail.ru
Россия, Москва
Д. А. Арешидзе
Научно-исследовательский институт морфологии человека имени академика А.П. Авцына Федерального государственного бюджетного научного учреждения “Российский научный центр хирургии имени академика Б.В. Петровскогo”
Email: marivladiko@mail.ru
Россия, Москва
Л. В. Кактурский
Научно-исследовательский институт морфологии человека имени академика А.П. Авцына Федерального государственного бюджетного научного учреждения “Российский научный центр хирургии имени академика Б.В. Петровскогo”
Email: marivladiko@mail.ru
Россия, Москва
Список литературы
- Eshkoor S.A., Hamid T.A., Mun C.Y., et al. Mild cognitive impairment and its management in older people // Clin Interv Aging. 2015. V. 10. P. 687–693.
- Kresge H.A., Khan O.A., Wagener M.A., et al. Subclinical Compromise in Cardiac Strain Relates to Lower Cognitive Performances in Older Adults // J Am Heart Assoc. 2018. V. 7. № 4. P. e007562.
- Musisi S., Kinyanda E. Long-Term Impact of War, Civil War, and Persecution in Civilian Populations-Conflict and Post-Traumatic Stress in African Communities // Front Psychiatry. 2020. V. 11. P. 20.
- Yehuda R., Bierer L. M. Transgenerational transmission of cortisol and PTSD risk // Prog Brain Res. 2008. V. 167. P. 121–35.
- Cohen H., Matar M.A., Joseph Z. Animal models of post-traumatic stress disorder // Curr Protoc Neurosci. 2013. Ch. 9. Unit 9.45.
- Кондашевская М.В., Комелькова М.В., Цейликман В.Э., и др. Новые нейробиологические критерии профиля устойчивости при моделировании посттравматического стрессового расстройства // Доклады РАН. Науки о жизни. 2021. Т. 501. № 1. С. 522–527.
- Nahum K., Todder D., Zohar J., et al. The Role of Microglia in the (Mal) adaptive Response to Traumatic Experience in an Animal Model of PTSD // Int J Mol Sci. 2022. V. 23. № 13. P. 7185.
- Никольская К.А., Кондашевская М.В., Серкова В.В., Диатроптов М.Е. Системные эффекты тестостерона: гормонально-поведенческий аспект // Бюллетень экспериментальной биологии и медицины. 2015. Т. 160. № 11. С. 565–568.
- Янин В.Л., Бондаренко О.М., Сазонова Н.А. Методы исследования в цитологии и гистологии: учебно-методическое пособие для аспирантов заочной формы обучения к практическим занятиям по дисциплине. Ханты-Мансийск: БУ “Ханты-Мансийская государственная медицинская академия”, 2015.
- Balkanov A.S., Rozanov I.D., Galanov A.V., et al. Endothelium changes of peritumoral zone capillaries after brain glioblastoma adjuvant radiation therapy // Clin. exp. morphology. 2021. V. 10. № 1. P. 33–40.
- Reynolds E.S. The use of lead citrate at high pH as an electron-opaque stain in electron microscopy // J Cell Biol. 1963. V. 17. № 1. P. 208–212.
- Degens H., Attias J., Evans D., et al. The mobility limitation in healthy older people is due to weakness and not slower muscle contractile properties // PLoS One. 2021. V. 16. № 6. P. e0253531.
- Balsamo M., Cataldi F., Carlucci L., et al. Assessment of anxiety in older adults: a review of self-report measures // Clin Interv Aging. 2018. V. 13. P. 573–593.
- Tanelian A., Nankova B., Miari M., Nahvi R .J., Sabban E.L. Resilience or susceptibility to traumatic stress: Potential influence of the microbiome // Neurobiol Stress. 2022. V. 19. P. 100461.
- Кондашевская М.В., Алексанкина В.В., Артемьева К.А., Болтовская М.Н. Сопоставление адаптивной способности старых и молодых крыс Вистар к стрессорному воздействию и острой гипоксической гипоксии // Бюлл. экспер. биол. и мед. 2021. Т. 171. № 6. С. 783–787.
- Sree A.B., Hanifa M., Bali A. Investigations on Rho/ROCK signaling in post-traumatic stress disorder-like behavior in mice // Behav Brain Res. 2023. V. 443. P. 114347.
- Slimani M., Paravlic A.H., Chaabene H., Davis P., Chamari K., Cheour F. Hormonal responses to striking combat sports competition: a systematic review and meta-analysis // Biol Sport. 2018. V. 35. № 2. P. 121–136.
- Khorshidahmad T., Tabrizian K., Vakilzadeh G., et al. Interactive effects of a protein kinase AII inhibitor and testosterone on spatial learning in the Morris water maze // Behav Brain Res. 2012. V. 228. № 2. P. 432–439.
- Li A., Gao M., Liu B., et al. Mitochondrial autophagy: molecular mechanisms and implications for cardiovascular disease // Cell Death Dis. 2022. V. 13. № 5. P. 444.
Дополнительные файлы








