Species composition of septoria blotch of cereal crops and identification of effector genes in populations of Parastagonospora spp. on the territory of Krasnodar and Leningrad regions of the Russian Federation
- Authors: Zeleneva Y.V.1, Ablova I.B.2, Mokhova L.M.2
-
Affiliations:
- All-Russian Institute of Plant Protection
- National Center of Grain named after P. P. Lukyanenko
- Issue: No 3 (2024)
- Pages: 50-55
- Section: Crop production, plant protection and biotechnology
- URL: https://bakhtiniada.ru/2500-2627/article/view/262194
- DOI: https://doi.org/10.31857/S2500262724030101
- EDN: https://elibrary.ru/FVDVLI
- ID: 262194
Cite item
Full Text
Abstract
The studies were conducted in Krasnodar and Leningrad Oblast s in order to clarify the species composition of wheat septoriosis pathogens and further characterize the populations of Parastagonospora nodorum and P. pseudonodorum for the presence of effector genes Tox1, Tox3, ToxA and Tox267 using associated molecular markers to create artificial infection backgrounds to identify sources and donors of leaf spot resistance. The material for the study was represented by samples of affected plants collected in 2023. In the Leningrad Oblast and Krasnodar Krai the species of Zymoseptoria tritici demonstrated predominance. It was detected on all of the examined plant samples (100 % occurrence). P. nodorum and P. pseudonodorum were noticed less frequently in the Leningrad Oblast, the occurrence of P. nodorum was 80 %, while P. pseudonodorum – 60 %. In Krasnodar Krai, the occurrence of P. pseudonodorum comprised 35.29 %, while P. nodorum – 11.76 %. In the present study the primer pair SnTox2DONRF/SnTox2DONRS was applied for the first time to test Russian populations of Parastagonospora spp. for the presence of the Tox267 gene. Molecular screening revealed the ToxA and Tox1 genes in P. nodorum and P. pseudonodorum, while the Tox3 and Tox267 genes were identified only in P. nodorum. Of the 28 P. nodorum isolates studied, the presence of the ToxA gene was found in 29 % (8 isolates from the Krasnodar Krai). The Tox1 gene was noted in 32 % (5 isolates from the Leningrad Oblast and 4 from the Krasnodar Krai). The Tox3 gene was identified in 64 % of 28 (8 isolates from the Krasnodar Krai and 10 from the Leningrad Oblast). The Tox276 gene was found only in the genotype of 8 isolates from the Krasnodar Krai, which amounted to 29 % of those studied. The study also included 87 isolates of P. pseudonodorum. Of these, 5 % had ToxA in the genotype (4 isolates from the Krasnodar Krai) and 23 % Tox1 (17 isolates from Leningrad Oblast; 3 from the Krasnodar Krai).
Keywords
Full Text
Потери урожая сельскохозяйственных культур, вызванные микозными инфекциями, представляют серьезную угрозу для продовольственной безопасности [1]. Септориозы – распространенные во многих странах заболевания зерновых культур, вызываемые грибами отдела Ascomycota, класса Ascomycetes, подкласса Dothideomycetidae.
В последние годы в регионах России в патогенном комплексе пшеницы доминирует Zymoseptoria tritici (Desm.) Quaedvl. & Crous. Этот возбудитель, относящийся к семейству Mycosphaerellaceae, который также известен как Septoria tritici blotch (STB), вызывает септориоз листьев пшеницы, тритикале, ячменя и ржи. Преобладание Z. tritici может быть связано с различными факторами, включая изменение климатических условий, агротехники и сортового состава пшеницы [2, 3]. Z. tritici – опасный возбудитель болезни пшеницы во всех странах – производителях зерна [4, 5]. Даже при применении фунгицидов наблюдается снижение урожайности культуры на уровне 5…10 % [6].
Кроме того, на территории Российской Федерации циркулируют два вида рода Parastagonospora: P. nodorum (Berk.) Quaedvl., Verkley & Crous и P. pseudonodorum (ранее известный как P. avenae f. sp. triticea) [7, 8]. Эти возбудители септориоза листьев и колоса зерновых культур [9] относятся к семейству Phaeosphaeriaceae.
Подобно Z. tritici, P. nodorum может паразитировать не только на пшенице, но и на других растениях. P. pseudonodorum обычно обнаруживают к концу вегетационного периода на листьях, стеблях и колосках пшеницы и тритикале. Все три патогена – Z. tritici, P. nodorum и P. pseudonodorum – представляют серьезную угрозу для зерновых культур по всему миру и могут привести к значительным потерям урожая до 30…40 % [10].
P. nodorum и P. pseudonodorum – грибы, известные своей способностью производить некротрофные эффекторы (necrotrophic effectors – NEs), включая хозяин-специфичные токсины (host selective toxins – HSTs). Они играют важную роль в патогенности грибов [11, 12]. При взаимодействии с растением эти эффекторы и токсины способны вызывать некротические реакции и подавлять иммунную систему, что способствует развитию болезни.
На сегодняшний день идентифицировано девять взаимодействий токсинов P. nodorum с генами пшеницы: SnToxA – Tsn1 [13], SnTox1 – Snn1 [14], SnTox2 – Snn2 [15], SnTox3 – Snn3-B1 [16], SnTox3 – Snn3-D1 [17], SnTox4 – Snn4 [18], SnTox5 – Snn5 [19], SnTox6 – Snn6 [20] и SnTox7 – Snn7 [21]. Изначально считавшиеся разными эффекторами SnTox2, SnTox6 и SnTox7 на самом деле оказались одним и тем же белком, который обозначили как SnTox267 [22]. Показано, что некротрофные эффекторы присутствуют и у P. pseudonodorum [23].
Защита сельскохозяйственных культур от септориозных пятнистостей осуществляется главным образом с использованием генетической устойчивости хозяина и путем применения фунгицидов [4, 5]. Однако проблема септориозных пятнистостей остается актуальной из-за способности популяций грибов противостоять мерам контроля, включая развитие устойчивости к фунгицидам, преодоление устойчивости хозяина и адаптацию к изменениям климата [6].
Цель исследований – уточнение видового состава возбудителей септориоза пшеницы на территории Краснодарского края и Ленинградской области, а также характеристика популяций Parastagonospora nodorum и P. pseudonodorum на наличие генов-эффекторов Tox1, Tox3, ToxA и Tox267 с использованием связанных с ними молекулярных маркеров для составления селекционных программ и защитных мероприятий сельскохозяйственных растений.
Методика. Образцы пораженных растений были собраны в 2023 г. на территории Краснодарского края и Ленинградской области на полях по диагонали через равные расстояния. Они представляли собой листья пшеницы и тритикале с явными симптомами септориоза.
В 2023 г. для Ленинградской области были характерны экстремально жаркие погодные условия и недостаточное количество осадков, которые отмечали в течение всего вегетационного сезона зерновых культур (с 3 декады мая до 1 декады августа). Это привело к слабому развитию не только септориозных пятнистостей, но и всего патогенного комплекса, а также к замедленному физиологическому развитию самих зерновых культур.
В Краснодарском крае с февраля по июнь количество осадков превосходило среднемноголетнюю норму на 23…58 %. Наблюдали затяжные дожди, часто ливневого характера, что существенно обострило фитосанитарную обстановку в посевах пшеницы и тритикале по пятнистостям листьев. Массовое распространение и высокая вредоносность септориоза были обусловлены оптимальным температурным режимом на фоне избытка осадков.
Материал собирали в фазе молочно-восковой спелости растений в соответствии со шкалой Задокса (75…85). Листья с типичными признаками септориоза гербаризировали (табл. 1).
Табл. 1. Происхождение инфекционного материала
Название инфекционного образца | Происхождение инфекционного образца/ растение-хозяин, координаты размещения поля |
78-23 | Ленинградская область, Приозерский район / озимая мягкая пшеница (Triticum aestivum L.) сорт Галина, 60°39′50.7″, 30°5′3.81″ |
79-23 | Ленинградская область, Гатчинский район / озимая мягкая пшеница (Triticum aestivum L.) сорт Галина, 59°27′42.44″, 30°12′6.21″ |
80-23 | Ленинградская область, Гатчинский район / озимая мягкая пшеница (Triticum aestivum L.) сорт Галина, 59°29′56.43″, 30°22′4.65″ |
81-23 | Ленинградская область, Гатчинский район / озимая мягкая пшеница (Triticum aestivum L.) сорт Московская 56, 59°25′26.29″, 30°1′58.05″ |
82-23 | г. Санкт-Петербург, Пушкинский район / озимая тритикале (×Triticosecale Wittm. ex A. Camus) сорт Тихон, 59°44′36.37″, 30°29′54.78″ |
83-23 | Краснодарский край, Павловский район / озимая мягкая пшеница (Triticum aestivum L.) сорт Гром, 45°58′42.74″, 39°37′33.27″ |
84-23 | Краснодарский край, Павловский район / озимая мягкая пшеница (Triticum aestivum L.) сорт Юка, 45°58′42.74″, 39°37′33.27″ |
85-23 | Краснодарский край, Кореновский район / озимая мягкая пшеница (Triticum aestivum L.) сорт Гром, 45°26′49.61″, 39°29′36.46″ |
86-23 | Краснодарский край, станица Ленинградская / озимая мягкая пшеница (Triticum aestivum L.) сорт Безостая 100, 46°19′5.55″, 39°25′45.88″ |
87-23 | Краснодарский край, станица Ленинградская / озимая мягкая пшеница (Triticum aestivum L.) сорт Москвич, 46°19′5.55″, 39°25′45.88″ |
88-23 | Краснодарский край, станица Ленинградская / озимая мягкая пшеница (Triticum aestivum L.) сорт Гомер, 46°19′5.55″, 39°25′45.88″ |
89-23 | Краснодарский край, станица Ленинградская / озимая мягкая пшеница (Triticum aestivum L.) сорт Еланчик, 46°19′5.55″, 39°25′45.88″ |
90-23 | Краснодарский край, г. Краснодар Центральная усадьба КНИИСХ / озимая тритикале (×Triticosecale Wittm. ex A. Camus) селекционная линия, 45°3′33.23″, 38°54′35.74″ |
91-23 | Краснодарский край, г. Краснодар / озимая твердая пшеница (Triticum durum Desf.) селекционная линия, 45°3′33.23″, 38°54′35.74″ |
92-23 | Краснодарский край, г. Краснодар / яровая мягкая пшеница (Triticum aestivum L.) селекционная линия, 45°3′33.23″, 38°54′35.74″ |
93-23 | Краснодарский край, г. Краснодар / яровая мягкая пшеница (Triticum aestivum L.) селекционная линия, 45°3′33.23″, 38°54′35.74″ |
94-23 | Краснодарский край, г. Краснодар / яровая мягкая пшеница (Triticum aestivum L.) селекционная линия, 45°3′33.23″, 38°54′35.74″ |
95-23 | Краснодарский край, г. Краснодар / яровая мягкая пшеница (Triticum aestivum L.) селекционная линия, 45°3′33.23″, 38°54′35.74″ |
96-23 | Краснодарский край, г. Краснодар / яровая мягкая пшеница (Triticum aestivum L.) селекционная линия, 45°3′33.23″, 38°54′35.74″ |
97-23 | Краснодарский край, г. Краснодар / яровая мягкая пшеница (Triticum aestivum L.) селекционная линия, 45°3′33.23″, 38°54′35.74″ |
98-23 | Краснодарский край, г. Краснодар / яровая мягкая пшеница (Triticum aestivum L.) селекционная линия, 45°3′33.23″, 38°54′35.74″ |
99-23 | Краснодарский край, г. Краснодар / пшеница полоникум (Triticum polonicum) селекционная линия, 45°3′33.23″, 38°54′35.74″ |
После сбора, образцы листьев отправляли в лабораторию для определения видового состава возбудителей септориозных пятнистостей [24]. Грибы выделяли в чистую культуру на картофельно-глюкозный агар (КГА) и описывали их морфологические и культуральные свойства [25].
Определение видового состава возбудителей септориозных пятнистостей проводили в лабораторных условиях. Результаты диагностики видовой принадлежности возбудителя болезни к виду P. nodorum или P. pseudonodorum подтверждали методом секвенирования с использованием оборудования ЦКП «Геномные технологии, протеомика и клеточная биология», ФГБНУ «Всероссийский научно-исследовательский институт сельскохозяйственной микробиологии». Всего проанализировано 115 моноконидиальных изолятов рода Parastagonospora.
Геномную ДНК грибов выделяли из чистой культуры моноконидиальных изолятов, полученной на картофельно-глюкозном агаре, стандартным СТАВ-методом [26]. Амплификацию геномной ДНК проводили в 25 мкл реакционной смеси (2 мкл геномной ДНК (25 нг), 1 мкл каждого праймера (10 pM/мкл, «Евроген», Россия), 0,5 мкл смеси dNTPs mix (10 мМ, водный раствор dCTP, dGTP, dTTP и dATP, TransGen, Китай), 0,55 мкл MgCl2 (100 мМ), 0,5 мкл BioTaq ДНК полимераза (5U, 5 ед/мкл, «Диалат Лтд.», Россия), 2,5 мкл 10×ПЦР-буфера, 17 мкл ddH2O).
Амплифицированные фрагменты разделяли методом электрофореза в 1,5 %-ном агарозном геле, в ТВЕ буфере (pH 8,2), гель окрашивали бромистым этидием. Для оценки размера фрагментов использовали два маркера молекулярного веса: Gene Ruler 100bp (Thermo Fisher scientific) и Step Long (Биолабмикс).
Скрининг изолятов рода Parastagonospora на наличие генов-эффекторов ToxA, Tox1, Tox3, Tox267 (табл. 2) осуществляли методом полимеразной цепной реакции. Всего проанализировано 115 проб ДНК.
Табл. 2. Список праймеров для ПЦР
Локус | Праймер | Последовательность 5’–3’ | Литературный источник | Размер ампликона, п.н. |
Tox1 | SnTox1cF | ATGAAGCTTACTATGGTCTTGT | [20] | 500 |
SnTox1cR | TGTGGCAGCTAACTAGCACA | |||
Tox3 | SnTox3cF | CTCGAACCACGTGGACCCGGA | 600 | |
SnTox3cR | CTCCCCTCGTGGGATTGCCCCATATG | |||
ToxA | TA51F | GCGTTCTATCCTCGTACTTC | [27] | 573 |
TA52R | GCATTCTCCAATTTTCACG | |||
Tox267 | SnTox2_DONR_F | GGGGACAAGTTTGTACAAAAAAGCAG GCTCATAATCCTAGTAAGGGATG | [22] | 2000 |
SnTox2_DON_RS | GGGGACCACTTTGTACAAGAAAGCTG GGTCTTAGATACCGTGCCATGAGA |
Результаты и обсуждение. Вид Z. tritici обнаружен на всех изученных образцах, его присутствие в составе патогенного комплекса септориозных пятнистостей составило 100 %. Доминирование Z. tritici может быть обусловлено теплой погодой в мае и апреле, которая способствует распространению патогена. Более прохладные дни в этот период, напротив, стимулируют развитие P. nodorum и P. pseudonodorum [28].
P. nodorum и P. pseudonodorum встречались реже, чем Z. tritici. В среднем в Ленинградской области P. nodorum занимал второе место в патогенном комплексе септориозных пятнистостей зерновых культур. Его встречаемость составила 80 %. P. pseudonodorum был обнаружен в 60 % случаев.
На инфекционных образцах из Краснодарского края P. nodorum и P. pseudonodorum регистрировали значительно реже, чем на растительном материале из Ленинградской области. Второе место после Z. tritici занимал P. pseudonodorum, частота встречаемости которого составила 35,29 %. У P. nodorum величина этого показателя находилась на уровне 11,76 %.
Изоляты Z. tritici на КГА в начальной стадии развития характеризовались колониями розового или желтого цвета, внешне напоминающими бактериальные. Позже колонии становились мицелиальными, дрожжеподобными или смешанными, с различной окраской. Преобладали дрожжеподобые колонии с морфотипами I(b) – черные гофрированные или I(с) – черные гофрированные с розовой каймой. Колонии Z. tritici имели небольшие размеры (около 15 мм), характеризовались высокой спорулирующей активностью (>50 млн спор/см2).
Колонии P. nodorum отличались хорошо развитым бархатистым мицелием и большим количеством пикнид. Они имели светло-бурую центральную часть и темные края, что характеризует их как колонии смешанного типа.
Изоляты P. pseudonodorum из Ленинградской области образовывали однородные колонии серого или оливкового цвета с фенотипом д(5). Мицелий в центре колонии скудный и плотный, а количество пикнид значительно.
Колонии P. nodorum и P. pseudonodorum характеризовались высокой споруляционной активностью (>10 млн спор/см2). Их размер на КГА достигал 80…90 мм в диаметре.
Молекулярный скрининг изучаемого материала (115 ДНК-проб, полученных от 28 моноконидиальных изолятов вида P. nodorum, 87 P. pseudonodorum) позволил выявить как единичные гены, кодирующие NEs, так и их сочетания в одном генотипе (табл. 3, рис. 1…4).
Рис. 1. Электрофореграмма продуктов амплификации, полученная с использованием праймеров TA51 F/TA52 R, специфичных для гена ToxА в изолятах Parastagonospora spp. из краснодарской популяции. Размер ампликона 573 п. н. М – ДНК маркер Gene Ruler 100bp (Thermo Fisher Scientific). Номера индексов соответствуют следующим изолятам: 1…6 – 95-23-1…6-P.ps; 7…14 – 86-23-1…8-P.n.; К+ – 29-21-P.n.; К- – 26-21-P.n.
Табл. 3. Изоляты Parastagonospora spp. с идентифицированными генами-эффекторами
Регистрационный номер | Число изолятов | Происхождение | ToxA | Tox1 | Tox3 | Tox276 |
Parastagonospora nodorum | ||||||
79-23-1…10-P.n. | 10 | Ленинградская область | - | - | + | - |
82-23-1…5-P.n. 82-23-6…10-P.n. | 10 | - | + - | - | - | |
86-23-1-P.n. 86-23-2-P.n. 86-23-3…5-P.n. 86-23-6…8-P.n. | 8 | Краснодарский край | + | - + - + | + | + |
Всего | 28 | 8 | 9 | 18 | 8 | |
Parastagonospora pseudonodorum | ||||||
78-23-1…12-P.ps. | 12 | Ленинградская область | - | + | - | - |
79-23-1-P.ps. 79-23-2…6-P.ps. | 6 | - | - + | - | - | |
90-23-1-P.ps. 90-23-2-P.ps. 90-23-3-P.ps. 90-23-4…5-P.ps. 90-23-6…15-P.ps. | 15 | Краснодарский край | - | - + - + - | - | - |
93-23-1…24-P.ps. | 24 | - | - | - | - | |
94-23-1…9-P.ps. | 9 | - | - | - | - | |
95-23-1-P.ps. 95-23-2…3-P.ps. 95-23-4…6-P.ps. | 6 | + - + | - | - | - | |
96-23-1…9-P.ps | 9 | - | - | - | - | |
97-23-1…6-P.ps. | 6 | - | - | - | - | |
Всего | 87 | 4 | 20 | 0 | 0 | |
+ – наличие гена, - – отсутствие гена.
Ген ToxА обнаружен у моноконидиальных изолятов из Краснодарского края P. nodorum (86-23-1...8-P.n.), выделенных из листьев озимой мягкой пшеницы сорта Безостая 100 и P. pseudonodorum (95-23-1-P.ps., 95-24-4…6-P.ps.) из инфекционного материала яровой мягкой пшеницы (см. рис. 1).
Ранее при анализе популяций из Тамбовской, Саратовской, Ленинградской областей и Краснодарского края было установлено, что ген ToxA преимущественно присутствует в геноме P. nodorum, реже – P. pseudonodorum [7, 29, 30]. Ген ToxA также широко распространен в российских популяциях P. tritici-repentis [30, 31].
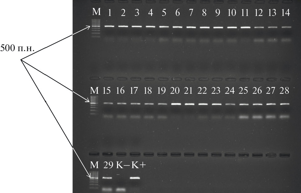
В результате молекулярного скрининга ген Tox1 (наличие бэнда длиной 500 п. н. на электрофореграмме) был выявлен среди изолятов, выделенных из двух образцов озимой мягкой пшеницы в Ленинградской области (78-23, 79-23), одного сорта - в Краснодарском крае (86-23), двух образцов озимой тритикале (82-23 в Ленинградской области и 90-23 в Краснодарском крае) (см. рис. 2). Наличие гена выявлено у изолятов P. nodorum (82-23-1…5-P.n.), выделенных из образцов озимой тритикале в Пушкинском районе С.- Петербурга и изолятов (86-23-2-P.n., 86-23-6…8-P.n.) с озимой мягкой пшеницы сорта Безостая 100 из Краснодарского края. Наличие гена Tox1 отмечено у моноконидиальных изолятов P. pseudonodorum, выделенных из инфицированного материала озимой мягкой пшеницы сорта Галина (78-23-1…12-P.ps.) из Приозерского района Ленинградской области и с этого же сорта пшеницы (79-23-2…6-P.ps.) из Гатчинского района Ленинградской области, а также из образцов озимой тритикале из Краснодара (90-23-2-P.ps., 90-23-4…5-P.ps.).
Рис. 2. Электрофореграмма продуктов амплификации, полученная с помощью праймеров SnTox1cF/SnTox1cR, специфичных для гена Tox1, в изолятах Parastagonospora spp. из краснодарской и ленинградской популяций. Размер ампликона 500 п. н. М – ДНК маркер Gene Ruler 100bp (Thermo Fisher Scientific). Номера индексов соответствуют следующим изолятам: 1…12 – 78-23-1…12-P.ps.; 13…17 – 79-23-2…6-P.ps.; 18…22 – 82-23-1…5-P.n.; 23 – 90-23-2-P.ps.; 24…25 – 90–23–4…5-P.ps.; 26 – 86-23-2-P.n.; 27…29 – 86-23-6…8-P.n; К+ – 32-21-P.n.; К- – 29-21-P.n.
Ген Tox1 также обнаруживался с достаточно высокой частотой в популяциях P. nodorum и P. pseudonodorum из Тамбовской и Саратовской областей, что подтверждено предыдущими исследованиями [7, 29, 30]. Ген Tox1 играет важную роль в патогенности возбудителей и влияет на развитие симптомов болезни у растений [14, 32].
Ген Tox3 (наличие бэнда длиной 600 п. н. на электрофореграмме) выявлен среди изолятов P. nodorum, выделенных из сорта озимой мягкой пшеницы Галина из Гатчинского района Ленинградской области (79-23-1…10- P.n.), а также из озимой мягкой пшеницы Безостая 100 из Краснодарского края (86-23-1…8-P.n.) (см. рис. 3).
Рис. 3. Электрофореграмма продуктов амплификации, полученная с помощью праймеров SnTox3cF/SnTox3cR, специфичных для гена Tox3 в изолятах Parastagonospora nodorum из краснодарской и ленинградской популяций. Размер ампликона 600 п. н. М – ДНК маркер Gene Ruler 100bp (Thermo Fisher Scientific). Номера индексов соответствуют следующим изолятам: 1…10 – 79-23-1…10-P.n., 11…18 – 86-23-1…8-P.n. К+ – 29-21-P.n.; К- – 26-21-P.n.
Ранее было показано, что ген Tox3 присутствует в популяциях P. nodorum и P. pseudonodorum на территории России [29, 30, 33]. Однако в 18 изолятах P. pseudonodorum из Ленинградской области и 69 из Краснодарского края он не выявлен (табл. 3).
В нашей работе впервые использованы праймеры SnTox2_DONR_F/SnTox2_DON_RS, которые были разработаны для идентификации гена SnTox267 [22]. Характерные продукты амплификации размером 2000 п. н. отмечены у восьми изолятов (86-23-1…8-P.n.), выделенных из озимой мягкой пшеницы сорта Безостая 100 из Краснодарского края (см. рис. 4). У других образцов наблюдали стабильный отрицательный результат. В литературе отмечают, что этот ген имеет широкую представленность в европейских популяциях P. nodorum [22].
Рис. 4. Электрофореграмма продуктов амплификации, полученная с помощью праймеров SnTox2_DONR_F/ SnTox2_DON_RS, специфичных для гена Tox267 в изолятах Parastagonospora nodorum из краснодарской популяции. Размер ампликона 2000 п. н. М – ДНК маркер Step Long (Биолабмикс). Номера индексов соответствуют следующим изолятам: 1…8 – 86-23-1…8-P.n.
Изучение видового состава возбудителей септориозов зерновых культур – ключевой этап для разработки научно обоснованных селекционных программ. Анализ фитопатогенного комплекса и выявление экономически важных и потенциально опасных видов необходимо проводить ежегодно. Это позволяет прогнозировать возможные потери урожая, а также разрабатывать эффективные стратегии борьбы с инфекционными заболеваниями растений.
В системах «P. nodorum ( P. pseudonodorum) – пшеница» наблюдают взаимодействие продуктов генов вирулентности патогена (SnTox) и генов восприимчивости растения-хозяина (Snn) [34]. Доминирование восприимчивости выявлено не только для системы «P. nodorum (P. pseudonodorum) – пшеница», но и для таких патогенов, как Cochliobolus heterostrophus, Cochliobolus victoriae и Periconia circinata [35]. В связи с изложенным необходимо изучать динамику распространения генов SnTox в популяциях P. nodorum и P. pseudonodorum, а также оценивать селекционный материал на наличие генов устойчивости к некротрофным эффекторам. Эта информация может быть использована при селекции устойчивых сортов пшеницы и других культур, способных сопротивляться NEs и снижать риск развития септориозов.
Необходимо расширять изучение токсинов, образуемых грибами Parastagonospora, что поможет определить их роль в патогенности и адаптации к ним культурных растений.
Выводы. В условиях 2023 г. на территории Ленинградской области и Краснодарского края среди возбудителей септориозов на всех исследованных образцах был обнаружен Z. tritici. Реже идентифицировали P. nodorum и P. pseudonodorum . На растительном материале из Ленинградской области их встречаемость среди возбудителей септориозов составляла соответственно 80 % и 60 % случаев, из Краснодарскоко края – 11,76 % и 35,29 %.
Путем молекулярного скрининга в генотипах изученных изолятов P. nodorum и P. pseudonodorum выявлены гены ToxA и Tox1; только у изолятов P. nodorum – Tox3 и Tox267. Эти результаты подтверждают наличие токсинов у грибов, а также их значимость при взаимодействии с растениями-хозяевами.
Штаммы P. nodorum и P. pseudonodorum, охарактеризованные по наличию генов-эффекторов, будут использованы при создании искусственных инфекционных фонов для выявления источников и доноров устойчивости к септориозным пятнистостям.
Финансирование работы.
Работа выполнена при поддержке Российского научного фонда, проект № 19-76-30005. Авторы благодарят рецензентов за их вклад в экспертную оценку этой работы. Никаких дополнительных грантов на проведение или руководство данным конкретным исследованием получено не было.
Соблюдение этических стандартов.
В данной работе отсутствуют исследования человека или животных
Конфликт интересов.
Авторы данной работы заявляют, что у них нет конфликта интересов
About the authors
Yu. V. Zeleneva
All-Russian Institute of Plant Protection
Author for correspondence.
Email: zelenewa@mail.ru
доктор биологических наук
Russian Federation, 196608, Sankt-Peterburg, Pushkin, sh. Podbel’skogo, 3I. B. Ablova
National Center of Grain named after P. P. Lukyanenko
Email: ablova@mail.ru
доктор сельскохозяйственных наук, член-корреспондент РАН
Russian Federation, 350012, Krasnodar, Tsentral’naya usad’baL. M. Mokhova
National Center of Grain named after P. P. Lukyanenko
Email: ablova@mail.ru
кандидат сельскохозяйственных наук
Russian Federation, 350012, Krasnodar, Tsentral’naya usad’baReferences
- Threats to global food security from emerging fungal and oomycete crop pathogens / H. N. Fones, D. P. Bebber, T. M. Chaloner, et al. // Nat Food. 2020. Vol. 1. P. 332–342. doi: 10.1038/s43016-020-0075-0.
- Plotnikova L., Sagendykova A., Pozherukova V. The Use of Genetic Material of Tall Wheatgrass to Protect Common Wheat from Septoria Blotch in Western Siberia // Agriculture. 2023. Vol. 13. No. 1. Article 203. URL: https://www.mdpi.com/2077-0472/13/1/203 (дата обращения: 12.03.2024). doi: 10.3390/agriculture13010203.
- Характеристика перспективных сортов пшеницы (Triticum aestivum L.), допущенных к возделыванию в Нижневолжском регионе, по устойчивости к возбудителям пиренофорозной и темно-бурой пятнистости / Э. А. Конькова, С. В. Лящева, Ю. В. Зеленева и др. // Сельскохозяйственная биология. 2023. № 58 (5). С. 852–863. doi: 10.15389/agrobiology.2023.5.852rus.
- Petit-Houdenot Y., Lebrun M. H., Scalliet G. Understanding plant-pathogen interactions in Septoria tritici blotch infection of cereals // Achieving durable disease resistance in cereals. London, UK: Burleigh Dodds Science Publishing, 2021. P. 263–302. doi: 10.19103/AS.2021.0092.10.
- Temporal Changes in Sensitivity of Zymoseptoria tritici Field Populations to Different Fungicidal Modes of Action / T. Birr, M. Hasler, J.-A. Verreet, et al. // Agriculture. 2021. Vol. 11. No. 3. Article 269. URL: https://www.mdpi.com/2077-0472/11/3/269 (дата обращения: 12.03.2024). doi: 10.3390/agriculture11030269.
- Fones H., Gurr S. The impact of Septoria tritici blotch disease on wheat: An EU perspective // Fungal Genet Biol. 2015. Vol. 79. P. 3–7. doi: 10.1016/j.fgb.2015.04.004.
- Видовой состав возбудителей септориозов пшеницы в европейской части России и идентификация генов-эффекторов SnToxA, SnTox1 и SnTox3 / Ю. В. Зеленева, И. Б. Аблова, В. П. Судникова и др. // Микология и фитопатология. 2022. № 56 (6). С. 441–447. doi: 10.31857/S0026364822060113.
- Hyperspectral Non-Imaging Measurements and Perceptron Neural Network for Pre-Harvesting Assessment of Damage Degree Caused by Septoria/Stagonospora Blotch Diseases of Wheat / S. V. Zhelezova, E. V. Pakholkova, V. E. Veller, et al. // Agronomy. 2023. Vol. 13. No. 4. Article 1045. URL: https://www.mdpi.com/2073-4395/13/4/1045 (дата обращения: 12.03.2024). doi: 10.3390/agronomy13041045.
- Genome-scale phylogenies reveal relationships among Parastagonospora species infecting domesticated and wild grasses / D. Croll, P. W. Crous, D. Pereira, et al. // Persoonia. 2021. Vol. 46. P. 116–128. doi: 10.3767/persoonia.2021.46.04.
- Understanding yield loss and pathogen biology to improve disease management: Septoria nodorum blotch – a case study in wheat / A. Ficke, C. Cowger, G. Bergstrom, et al.// Plant Disease. 2018. Vol. 102. No. 4. P. 696–707. doi: 10.1094/PDIS-09-17-1375-FE.
- Genetics of resistance to Septoria nodorum blotch in wheat / A. R. P. Haugrud, Z. Zhang, T. L. Friesen, et al. // Theoretical and Applied Genetics. 2022. Vol. 135. No. 11. P. 3685–3707. doi: 10.1007/s00122-022-04036-9.
- The Necrotrophic Pathogen Parastagonospora nodorum Is a Master Manipulator of Wheat Defense / G. K. Kariyawasam, A. C. Nelson, S. J. Williams, et al. // Mol Plant Microbe Interact. 2023. Vol. 36. No. 12. P. 764–773. doi: 10.1094/MPMI-05-23-0067-IRW.
- A unique wheat disease resistance‐like gene governs effector‐triggered susceptibility to necrotrophic pathogens / J. D. Faris, Z. Zhang, H. Lu, et al. // Proceedings of the National Academy of Sciences, USA. 2010. Vol. 107. No. 30. P. 13544–13549. doi: 10.1073/pnas.1004090107.
- The hijacking of a receptor kinase‐driven pathway by a wheat fungal pathogen leads to disease / G. Shi, Z. Zhang, T. L. Friesen, et al. // Science Advances. 2016. Vol. 2. No. 10. Article e1600822. URL: https://www.science.org/ doi/10.1126/sciadv.1600822 (дата обращения: 12.03.2024). doi: 10.1126/sciadv.1600822.
- Friesen T. L., Meinhardt S. W., Faris J. D. The Stagonospora nodorum‐wheat pathosystem involves multiple proteinaceous host‐selective toxins and corresponding host sensitivity genes that interact in an inverse gene‐for‐gene manner // The Plant Journal. 2007. Vol. 51. No. 4. P. 681–692. doi: 10.1111/j.1365-313X.2007.03166.x.
- Characterization of the interaction of a novel Stagonospora nodorum host‐selective toxin with a wheat susceptibility gene / T. L. Friesen, Z. Zhang, P. S. Solomon, et al. // Plant physiology. 2008. Vol. 146. No. 2. P. 682–693. doi: 10.1104/pp.107.108761.
- A protein kinase‐major sperm protein gene hijacked by a necrotrophic fungal pathogen triggers disease susceptibility in wheat / Z. Zhang, K. L. D. Running, S. Seneviratne, et al. // The Plant Journal. 2021. Vol. 106. No. 3. P. 720–732. doi: 10.1111/tpj.15194.
- Identification and characterization of a novel host‐toxin interaction in the wheat‐Stagonospora nodorum pathosystem / N. S. Abeysekara, T. L. Friesen, B. Keller, et al. // Theoretical and Applied Genetics. 2009. Vol. 120. No. 1. P. 117–126. doi: 10.1007/s00122-009-1163-6.
- SnTox5‐Snn5: a novel Stagonospora nodorum effector‐wheat gene interaction and its relationship with the SnToxA‐Tsn1 and SnTox3‐Snn3‐B1 interactions / T. L. Friesen, C. Chu, S. S. Xu, et al. // Molecular Plant Pathology. 2012. Vol. 13. No. 9. P. 1101–1109. doi: 10.1111/j.1364-3703.2012.00819.x.
- Identification and characterization of the SnTox6‐Snn6 interaction in the Parastagonospora nodorum–wheat pathosystem / Y. Gao, J. D. Faris, Z. Liu, et al.// Molecular Plant–Microbe Interactions. 2015. Vol. 28. No. 5. P. 615–625. doi: 10.1094/MPMI-12-14-0396-R.
- The wheat Snn7 gene confers susceptibility on recognition of the Parastagonospora nodorum necrotrophic effector SnTox7 / G. Shi, T. L. Friesen, J. Saini, et al. // The Plant Genome‐US. 2015. Vol. 8. No. 2. URL: https://acsess.onlinelibrary.wiley.com/doi/10.3835/plantgenome2015.02.0007 (дата обращения: 12.03.2024). doi: 10.3835/plantgenome2015.02.0007.
- A triple threat: the Parastagonospora nodorum Sn Tox267 effector exploits three distinct host genetic factors to cause disease in wheat / J. K. Richards, G. K. Kariyawasam, S. Seneviratne, et al. // New Phytologist. 2022. Vol. 233. No. 1. P. 427–442. doi: 10.1111/nph.17601.
- Friesen T. L., Faris J. D. Characterization of effector–target interactions in necrotrophic pathosystems reveals trends and variation in host manipulation // Annual Review of Phytopathology. 2021. Vol. 59. P. 77–98. doi: 10.1146/annurev-phyto-120320-012807.
- Методы оценки устойчивости селекционного материала и сортов пшеницы к септориозу: метод. указ. / Г. В. Пыжикова, А. А. Санина, Л. М. Супрун и др. М.: ВНИИ фитопатологии, 1989. 43 с.
- Коломиец Т. М., Пахолкова Е. В., Дубовая Л. П. Отбор исходного материала для создания сортов пшеницы с длительной устойчивостью к септориозу (рекомендации). М.: Печатный город, 2017. 56 с.
- Doyle J. J., Doyle J. L. Isolation of plant DNA from fresh tissue // Focus. 1990. Vol. 12. No. 1. P. 13–15.
- Andrie R. M., Pandelova I., Ciuffetti L. M. A combination of phenotypic and genotypic characterization strengthens Pyrenophora tritici-repentis race identification // Phytopathology. 2007. Vol. 97. P. 694–701. doi: 10.1094/PHYTO-97-6-0694.
- Zeleneva I. V., Sudnikova V. P., Afanasenko O. S. Influence of Agroclimatic Conditions, Life Form, and Host Species on the Species Complex of Wheat Septoria Pathogens // Biology Bulletin. 2021. Vol. 48. No. 10. P. 1806–1812. doi: 10.1134/S1062359021100277.
- Зеленева Ю. В., Конькова Э. А. Устойчивость сортов мягкой пшеницы, возделываемых на территории Саратовской области, к возбудителям септориозных пятнистостей // Вавиловский журнал генетики и селекции. 2023. № 27 (6). С. 582–590. doi: 10.18699/VJGB-23-70.
- Kovalenko N. M., Zeleneva Yu. V., Sudnikova V. P. Characterization of Pyrenophora tritici-repentis, Parastagonospora nodorum, and Parastagonospora pseudonodorum in the Tambov Oblast for the Presence of Effector Genes // Russian Agricultural Sciences. 2023. Vol. 49. No. 3. P. 285–291. doi: 10.3103/S1068367423030114.
- Частота гена ToxА в популяциях Pyrenophora tritici-repentis на Северном Кавказе и северо-западе России / Н. В. Мироненко, О. А. Баранова, Н. М. Коваленко и др. // Микология и фитопатология. 2015. № 49 (5). С. 325–329.
- SnTox1, a Parastagonospora nodorum necrotrophic effector, is a dual‐function protein that facilitates infection while protecting from wheat‐produced chitinases / Z. Liu, Y. Gao, Y. M. Kim, et al.// New Phytologist. 2016. Vol. 211. No. 3. P. 1052–1064. doi: 10.1111/nph.13959.
- Молекулярная идентификация, гены-эффекторы и вирулентность изолятов гриба Parastagonospora nodorum из Алтайского края (Россия) / Ю. В. Зеленева, Ф. Б. Ганнибал, И. А. Казарцев и др. // Микология и фитопатология. 2023. № 57(5). С. 362–371. doi: 10.31857/S0026364823050124.
- The discovery of the virulence gene ToxA in the wheat and barley pathogen Bipolaris sorokiniana / M. C. McDonald, D. Ahren, S. Simpfendorfer, et al. // Molecular Plant Pathology. 2018. Vol. 19. No. 2. P. 432–439. doi: 10.1111/mpp.12535.
- ToxA–Tsn1 interaction for spot blotch susceptibility in Indian wheat: an example of inverse genefor-gene relationship / S. Navathe, P. S. Yadav, R. Chand, et al. // Plant Disease. 2020. Vol. 104. No. 1. P. 71–81. doi: 10.1094/PDIS-05-19-1066-RE.
Supplementary files






