Molecular and morphofunctional bases of development of the horse multiple congenital eye anomalies with the silver gene presence on the example of the Soviet draft breed
- Authors: Borisova A.V.1, Ramazanov M.V.2, Teleshova E.B.2
-
Affiliations:
- All-Russian Research Institute of Horse Breeding
- Federal State Budgetary Educational Institution of Higher Education “Astrakhan State Medical University”
- Issue: No 5 (2024)
- Pages: 89-94
- Section: Zootechnics
- URL: https://bakhtiniada.ru/2500-2082/article/view/268585
- DOI: https://doi.org/10.31857/S2500208224050184
- EDN: https://elibrary.ru/zrzijv
- ID: 268585
Cite item
Full Text
Abstract
The article concretizes clinical data on the molecular and morphofunctional foundations of the development of multiple congenital eye abnormalities (MСOA) linked to the silver gene, using the example of the Soviet heavy-duty horse breed. Recommendations for owners on their maintenance and medical support and work with them are provided. The study was conducted on the basis of data from the VNIIK breeding center for the specified horse breed, genetic testing and ophthalmological examination. The focus group included 26 horses of the Soviet heavy-duty breed, examined for the presence of the silver gene. The results of the study showed that horses of the Soviet heavy-duty breed should undergo genetic testing for the presence of a silver gene in the genotype. However, the presence of MCOA linked to the silver gene is not an indication for the culling of horses due to the status of this breed as endangered, if it is necessary to select a mate for mating without genetic abnormalities so that they do not spread during uncontrolled crossing. Regular observation of an ophthalmologist and strict implementation of his recommendations are necessary to prevent the development of infectious complications and rapid progression of the disease with the onset of blindness. Horses homozygous for the silver gene should be kept in conditions that limit the possibility of injury to the eyeballs, including secondary damage to eye structures by the UV spectrum of solar radiation, for which translucent/opaque masks or sunglasses should be used. Working on homozygous horses with partial or complete loss of vision is potentially dangerous and possible only if a number of conditions are met and the owner is ready to bear legal responsibility for possible consequences.
Full Text
Множественные конгенитальные аномалии глаз (Equine Multiple Congenital Anomalies – MCOA) как заболевание, сцепленное с геном серебристости у лошадей (Silver Gen, аллель Z), описаны в зарубежной литературе. В отечественных источниках найти информацию об этом заболевании затруднительно и полностью отсутствуют практические рекомендации для владельцев таких лошадей. В данном исследовании мы конкретизируем имеющиеся сведения, используя литературные источники и личный опыт работы с советской тяжеловозной породой.
Синдром множественных конгенитальных аномалий глаз – это комплекс наследственных врожденных дефектов, который впервые был описан у лошадей Скалистых гор серебристого окраса (носители аллеля Z), но MCOA присутствует и у более древних пород, например, у исландских, а также комтуа, шетлендских, немецких классических пони и миниатюрных лошадей. [2, 4, 6]
Аллель Z и сцепленные с ним MCOA попали в генофонд советской тяжеловозной породы от выводных бельгийских тяжеловозов (брабансоны). Численность носителей серебристого гена, по исследованию А.В. Курской, в 2017 году составила 35,9% на 78 генетически тестированных представителей советской тяжеловозной породы. Причина широкого распространения аллеля Z в генофонде породы заключается в сокращении численности поголовья. Если в 1990 году насчитывалось 373 матки племенных советских тяжеловозов, то в 2014 – 275, 2023 – 172. Второй фактор – нарастание уровня инбридинга с 1981 по 2015 год от 1,72 до 2,81%, в 2023 году в советской тяжеловозной породе по данным селекционного центра ВНИИК он достиг 3,5%.
Мутация, вызывающая MCOA, расположена в пределах хромосомного интервала, который также содержит ген и мутацию, связанную с серебристым цветом шерсти (PMEL 17, экзон 11). Наличие серебристого гена фенотипически приводит к осветлению длинных волос (грива и хвост), базовый окрас туловища остается относительно темным. Поскольку доминантные мутации в премеланосомальном белке PMEL 17 почти не затрагивают синтез желтого пигмента феомеланина, у лошадей рыжей масти действие этого гена внешне не проявляется. [1]
Доминантный мутантный аллель в локусе PMEL 17, несущий в себе тесно связанные фенотипические признаки серебристого окраса шерсти и MCOA, наследуется по типу аутосомного кодоминирования, определяемого как доминантная экспрессия аллеля с фенотипическими различиями между гомозиготами и гетерозиготами. Однако предполагается неполная пенетрантность. [6]
Таким образом, лошади с двумя копиями варианта серебристого гена (генотип Z/Z) имеют больший риск развития MCOA, чем с одной (n/Z), наследование не сцеплено с полом. У лошадей, гомозиготных по болезнетворному аллелю, множественные дефекты глаз (MCOA-фенотип), у гетерозиготных наблюдаются кисты радужной оболочки, цилиарного тела или сетчатки (Cyst-фенотип) (рис. 1).
Рис. 1. Варианты наследования серебристого гена и сцепленных с ним MCOA.
Синдром множественных врожденных аномалий глаз состоит из повреждений, локализующихся в переднем отрезке глаза. [4, 5]
При ультрасонографии (B-режим) глаз с помощью макроконвексного (6 МГц) и линейного (9 МГц) датчиков транспальпебральным методом без опорной подушки у лошадей с MCOA выявляют цилиарные кисты, визуализирующиеся как гипоэхогенные структуры, окруженные тонкой гиперэхогенной стенкой. [10]
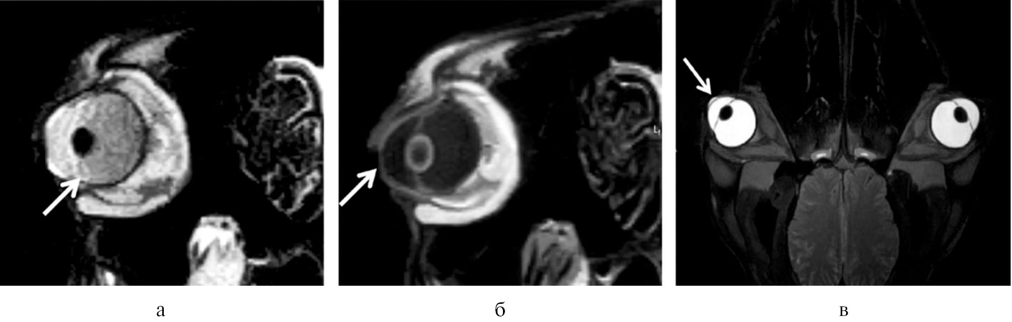
При магнитно-резонансной томографии глазных яблок реснитчатое тело часто имеет аномальный, слегка гиперинтенсивный сигнал с увеличенным и изо- или гипоинтенсивным видом в центре (рис. 2а).
Рис. 2. Магнитно-резонансная томография сканером 0,2 Tesla skanner, Airis Mate с толщиной среза 4 мм: а – аномальное цилиарное тело; б – утолщеная поверхность роговицы; в – гиперинтенсивный карман на утолщенной роговице.
Поверхность роговицы уплотнена (рис. 2б), с гиперинтенсивными карманами (рис. 2в). Периокулярные структуры, включая зрительные нервы, выглядят нормально.
По результатам патологоанатомического исследования вылущенных глазных яблок, внешне они чаще выглядят увеличенными с выраженным выступанием роговицы, но встречаются также микрофтальмия или нормальные размеры.
На срезах толщиной 5 мкм, окрашенных гематоксилином и эозином для микроскопического исследования, гистология глаз выявляет множественные цилиарные кисты, которые выстланы изнутри непигментированным эпителием, окруженным пигментированным мерцательным эпителием и небольшим количеством стромы или непигментированного слоя плоских клеток (рис. 3а, 3-я стр. обл.).
Рис. 3. Гистологическое исследование глазных яблок: а - цилиарные кисты; б - дегенеративные изменения сетчатки.
Имеет место диффузная двусторонняя атрофия сетчатки, характеризующаяся смешением и атрофией внутреннего и наружного ядерного слоя, периодической очаговой гипертрофией пигментного эпителия сетчатки, а также частой вакуолизацией и набуханием (дегенерация) ганглиозных клеток. Мультифокально – отсутствие слоя палочек и колбочек, также небольшие участки отслойки сетчатки. Хрусталики часто выглядят нормально. В роговице наблюдается разрежение стромы с наличием пустых щелей между стромальными волокнами (отек) и мелких капилляров в поверхностной строме (неоваскуляризация), встречаются очаговые эпителиальные дефекты (поверхностное изъязвление), диффузная легкая инфильтрация нейтрофилов в поверхностной строме, легкая периваскулярная инфильтрация плазматическими клетками и лимфоцитами на периферии роговицы, неоваскуляризация глубокой стромы, очаговое прикрепление от низкого до умеренного количества нейтрофилов и некоторых макрофагов к периферическому эндотелию роговицы (рис. 3б, 3-я стр. обл.).
При бактериологическом исследовании отделяемого прижизненно и содержимого камер глазных яблок посмертно бактериального роста патологических микроорганизмов у лошадей с MCOA не обнаружено. Лошади, страдающие MCOA, как гомо-, так и гетерозиготы по серебристому гену, достоверно не имеют патологических изменений на уровне других органов и систем, которые можно было бы выявить при современном уровне диагностики.
PMEL представляет собой белок, специфичный для пигментных клеток, образующий физиологические амилоидные фибриллы, на которых полимеризуются пигменты меланина внутри субклеточных пигментных органелл, называемых меланосомами (рис. 4). Амилоидные фибриллы – это полимеры отдельных белков, которые олигомеризуются и собираются в характерную фибриллярную структуру с поперечно-бета-листовой основой. [3].
Рис. 4. Механизмы образования амилоидных фибрилл.
Функциональные амилоидные фибриллярные листы, состоящие в основном из просветных протеолитических фрагментов PMEL, образуют структурную основу эумеланосом, представляющих собой мембраносвязанные, специфичные для пигментных клеток органеллы, связанные с лизосомами, в которых синтезируются и хранятся черные и коричневые пигменты меланина. Образование амилоида обычно связано с патологиями, такими как агрегаты Aβ при болезни Альцгеймера или агрегаты прионов при наследственной или приобретенной губчатой энцефалопатии. Однако амилоидная складка также используется в функциональных целях у прокариот, низших эукариот и даже у млекопитающих. В отличие от наиболее известных форм амилоида, которые провоцируют патологические процессы, PMEL – пример доброкачественного и функционального амилоида.
Мутации в гене этого белка приводят к гипопигментации, то есть неспособности выработки пигмента меланина (в случае с мутацией у лошадей – носителей серебристого гена эумеланина) и снижению жизнеспособности клеток. Учитывая токсический эффект, обнаруживаемый у амилоидов и их предшественников (олигомеры) как во внутриклеточном, так и внеклеточном пространстве, процесс образования амилоидов строго регулируется, чтобы избежать повреждения клеток. Полноразмерный PMEL 17 синтезируется и доставляется в молодые меланосомы в виде белка, связанного со структурой мембраны (трансмембранный белок), неспособного формировать амилоиды. Когда две специальные сайт-специфические протеазы отщепят от белка фрагмент (Mα), запускается процесс. Фибриллы Mα далее созревают в результате протеолитической реакции и собираются в листы, на которых откладываются меланины по мере их синтеза во время созревания меланосом. Затем Mα подвергается упорядоченной олигомеризации с образованием протофибрилл. Быстрое возникновение амилоидов Mα в сочетании с их вычленением из мембраны, по-видимому, минимизирует токсичность, возникающую при их появлении (рис. 5).
Рис. 5. Схема структуры домена PMEL, соответствующих протеолитических фрагментов и сайтов протеолитического расщепления.
В пределах первичной последовательности указаны сигнальный пептид (S), N-концевая область (NTR), повторяющийся домен поликистозной почки (PKD), домен (RPT), трансмембранный (TM) и цитоплазматический (Cyto). Сигнальный пептид удаляется с N-конца PMEL в ЭР с помощью сигнальной пептидазы (SP). PMEL расщепляется пропротеинконвертазой (PC) с образованием фрагментов Mα и Mβ, которые связаны дисульфидными связями (не показано). Последующее расщепление протеазой сайта 2 (S2P) в сайте, проксимальном к люминальной стороне ТМ, приводит к формированию C-концевого фрагмента (CTF) и высвобождает Mα. Пока еще неопознанные ферменты (отмечены знаком «??») дополнительно расщепляют Mα в пока еще неизвестных сайтах с образованием MαC. Показано, что фрагменты MαC и фрагмент домена PKD накапливаются в фибриллярных меланосомах. [7–9]
Предполагается, что мутация моделирует превращение физиологического амилоида в патологический из-за незначительных изменений в преамилоидной сборке амилоидогенного белка и, таким образом, влияет на доброкачественный либо патогенный амилоидный путь.
У серебристых лошадей доминантная миссенс-мутация в PMEL приводит к трансверсии, которая заменяет цистеин на втором из трех последовательных остатков аргинина сразу после PMEL TMD (TMR625C), вызывая наиболее заметное разбавление черного пигмента в гриве и хвосте животного. Гипоморфные мутации PMEL у некоторых видов приводят лишь к небольшому разбавлению пигмента, которое наследуется рецессивным образом, аллели PMEL, обнаруженные у лошадей носителей серебристого гена, содержат мутации, изменяющие трансмембранный домен PMEL TMD, то есть неамилоидогенную область PMEL. Усиление димеризации, опосредованной TMD, влияет на сворачивание, сборку и образование фибрилл PMEL. Существует мнение, что неамилоидогенные домены димеров PMEL, которые выступают из фибрилл и регулируют их упаковку в сборки более высокого порядка, могут располагаться по-другому. Альтернативное объяснение состоит в том, что олигомеризация посредством PMEL TMD способна увеличить кинетику сборки фибрилл более высокого порядка. Любой эффект приводит к более плотной упаковке фибрилл внутри меланосом на ранней стадии. Лошади – носители серебристого гена имеют тяжелую потерю пигмента, которая может быть связана с гибелью пигментных клеток.
Цель работы – конкретизация клинических данных по MCOA, сцепленных с серебристым геном, на примере советской тяжеловозной породы лошадей и создание рекомендаций для владельцев по содержанию, медикаментозной поддержке животных с данной аномалией и работе с ними.
МАТЕРИАЛЫ И МЕТОДЫ
В исследовании использовали данные селекционного центра ВНИИК по советской тяжеловозной породе лошадей, генетического тестирования, проводимого в лаборатории LABOKLIM GmbH & Co.KG, для которого отбирали пробы волос из гривы лошадей фокус-группы (n = 26), и офтальмологического осмотра, включающего в себя биомикроскопию щелевой лампой, прямую и обратную офтальмоскопию, проверку зрачковых хроматических рефлексов, ультрасонографическое исследование глазного яблока.
РЕЗУЛЬТАТЫ И ОБСУЖДЕНИЕ
Серебристый ген в гетерозиготе (n/Z) был выявлен у 25% жеребцов и 21,4% кобыл, в гомозиготе (Z/Z) у 16,7% жеребцов и 0% кобыл (рис. 6, 3-я стр. обл.).
Рис. 6. Частота встречаемости серебристого гена у лошадей советской тяжеловозной породы: а - в фокус-группе; б - у жеребцов; в - у кобыл.
У лошадей – гетерозигот по серебристому гену различных возрастов (7 мес., 1,5 года, 4 года и 11 лет), обследованных в рамках фокус-группы, клинической картины MCOA выявлено не было, в том числе соответствующей Cyst-фенотипу. Только у двух жеребцов – гомозигот по серебристому гену была обнаружена развернутая клиническая картина MCOA. Поэтому в создании рекомендаций для владельцев лошадей с MCOA мы руководствуемся данными литературных источников.
Допуск лошадей – носителей серебристого гена с клинической картиной MCOA в разведение зависит от племенной ценности животного. Серебристый ген, с которым сцеплены MCOA, как аутосомно-доминантная мутация, нежелателен к передаче. Однако при скрещивании лошади, гомозиготной по серебристому гену, с чистым от генетических аномалий животным мы получим в первом поколении 100% гетерозиготных носителей серебристого гена (возможно, без клинической картины MCOA или с Cyst-фенотипом без полной потери зрения), а при скрещивании первого поколения в дальнейшем с чистыми партнерами вероятность получения свободного от серебристого гена потомства составляет 50%. Таким образом, используя в племенной работе ценных производителей, гомозиготных по серебристому гену с клинической картиной MCOA, мы можем сохранить породную линию. Это актуально в условиях продолжающегося сокращения поголовья советской тяжеловозной породы и исчезновения линий.
Выводы. Лошади советской тяжеловозной породы обязательно должны проходить генетическое тестирование на наличие в генотипе серебристого гена.
Гомозиготные лошади по серебристому гену с клинической картиной допускаются в разведение, но с учетом подбора к ним здоровых животных, при котором будут получены 100%-е гетерозиготные носители серебристого гена.
Наличие MCOA, сцепленных с серебристым геном, не служит показанием к выбраковке лошадей советской тяжеловозной породы в связи со статусом породы как исчезающей. В случае как гетеро-, так и гомозиготного носительства данной генетической аномалии необходим подбор здоровой пары на основании генетического тестирования.
Для расширения генетического разнообразия в советской тяжеловозной породе с помощью прилития крови литовской тяжелоупряжной породы обязательно должно проводиться тестирование вводимых в породу лошадей на генетические аномалии.
Нежелательно прилитие крови советских тяжеловозов другим породам лошадей, в том числе аборигенным для увеличения живой массы и продуктивности, без предварительного генетического тестирования. Бесконтрольное скрещивание приведет к распространению генетических аномалий в «чистых» породах.
С учетом патогенеза процессов, приводящих к клинической картине MCOA у лошадей, гомозиготных по серебристому гену, мы рекомендуем комплекс мероприятий, включающий специфические условия содержания, ограничивающие возможность травматизации глазных яблок, в том числе профилактику вторичного повреждения структур глаз УФ-спектром солнечного излучения. Для этого необходимо использовать малопрозрачные/непрозрачные маски или специальные солнцезащитные очки для лошадей.
About the authors
A. V. Borisova
All-Russian Research Institute of Horse Breeding
Author for correspondence.
Email: vniik63@mail.ru
ORCID iD: 0000-0003-0034-8747
PhD in Agricultural Sciences, Senior Researcher
Russian Federation, Divovo village, Ryazan regionM. V. Ramazanov
Federal State Budgetary Educational Institution of Higher Education “Astrakhan State Medical University”
Email: vniik63@mail.ru
ORCID iD: 0009-0001-4125-4758
PhD in Biological Sciences
Russian Federation, AstrakhanE. B. Teleshova
Federal State Budgetary Educational Institution of Higher Education “Astrakhan State Medical University”
Email: vniik63@mail.ru
ORCID iD: 0009-0001-8936-0824
PhD in Medical Sciences
Russian Federation, AstrakhanReferences
- Borisova A.V., Teleshova E.B., Ramazanov M.V. Strategija selekcionnoj raboty s malochislennymi porodami s uchetom geneticheskih anomalij na primere sovetskoj tjazhelovoznoj porody // Konevodstvo i konnyj sport. 2023. № 6. S. 17–20.
- Andersson L.S., Axelsson J., Dubielzig R.R. et al. Multiple congenital ocular anomalies in Icelandic horses // BMC Veterinary Research. 2011. Vol. 7 (21).
- Andersson L.S., Wilbe M., Viluma A. et al. Equine Multiple Congenital Ocular Anomalies and Silver Coat Colour Result from the Pleiotropic Effects of Mutant PMEL // PLoS One. 2013. Vol. 8 e75639. https://doi.org/10.1371/journal.pone.0075639
- Depecker M.С., Ségard E.М., Cadoré J.L. Phenotypic description of multiple congenital ocular anomalies in Comtois horses // Equine Veterinary Education. 2013. Vol. 25 (10). РР. 511–516.
- Johansson M.К., Fegraeus K.J., Lindgren G., Ekesten B. The refractive state of the eye in Icelandic horses with the Silver mutation // BMC Veterinary Research. 2017. Vol. 13 (1). Р. 153
- Komáromy A.М., Rowlan J.S., La Croix N.С., Mangan B.G. Equine Multiple Congenital Ocular Anomalies (MCOA) syndrome in PMEL17 (Silver) mutant ponies: five cases // Veterinary Ophthalmology. 2011 Vol. 14 (5). РР. 313–320.
- Matthews A.G. Multiple congenital ocular anomalies and the silver dapple gene // Equine Veterinary Education. 2013. Vol. 25 (11). РР. 556–557.
- Oosterlinck M., Grebert A., Gielen I. et al. Post mortem magnetic resonance imaging of multiple congenital ocular anomalies in a Comtois mare // Equine Veterinary Education, Early View. 2015.
- Premont J.Е., Andersson L., Grauwels M. Multiple congenital ocular anomalies syndrome in a family of Shetland and Deutsches Classic ponies in Belgium // Equine Veterinary Education. 2013. Vol. 25 (11). РР. 550–555.
- Ségard E.М., Depecker M.С., Lang J. et al. Ultrasonographic features of PMEL17 (Silver) mutant gene-associated multiple congenital ocular anomalies (MCOA) in Comtois and Rocky Mountain horses // Veterinary Ophthalmology. 2013. Vol. 16 (6). РР. 429–435.
Supplementary files








