Тест-система для изучения транспорта биотина при инактивации гена SLC5A6
- Авторы: Руденко А.Ю.1, Зотова П.А.1, Аверина О.А.1, Приймак А.В.1, Рубцова М.П.1,2, Марьясина С.С.1,3, Ожиганов Р.М.1,4, Донцова О.А.1,2,5, Сергиев П.В.1,5
-
Учреждения:
- Московский государственный университет имени М.В. Ломоносова
- Государственный научный центр Институт биоорганической химии им. академиков М.М. Шемякина и Ю.А. Овчинникова РАН
- Институт фармации и биотехнологии РУДН
- Российский химико-технологический университет имени Д.И. Менделеева, Высший химический колледж Российской академии наук
- Центр молекулярной и клеточной биологии, Сколтех
- Выпуск: Том 17, № 3 (2025)
- Страницы: 119-129
- Раздел: Экспериментальные статьи
- URL: https://bakhtiniada.ru/2075-8251/article/view/348471
- DOI: https://doi.org/10.32607/actanaturae.27645
- ID: 348471
Цитировать
Аннотация
Представлена тест-система для изучения транспорта биотина при инактивации гена SLC5A6, кодирующего натрий-зависимый поливитаминный транспортер SLC5A6. Цель работы состоит в разработке метода оценки эффективности проникновения биотина через клеточную мембрану при инактивации гена SLС5A6, а также в изучении возможности SLC5A6-независимой доставки производных биотина в клетки. Тест-система основана на использовании модифицированных клеточных линий HEK293, сверхэкспрессирующих биотинлигазу BirA*. Одна линия содержит функциональный ген SLC5A6, в другой линии этот ген инактивирован для имитации нарушения транспорта биотина. С использованием разработанной тест-системы изучен транспорт через клеточную мембрану биотина, а также двух его производных: конъюгата биотина с п-аминофенилаланином (Bio-1) и метилового эфира биотина (Bio-2). Установлено, что биотин и его метиловый эфир (Bio-2) способны проникать в клетки независимо от транспортера SLC5A6, что указывает на существование альтернативных путей транспорта. Производное биотина с п-аминофенилаланином (Bio-1) проникает в клетки только через hSMVT. Разработанная тест-система является новым инструментом для изучения путей поступления витаминов в клетки и разработки терапевтических стратегий для пациентов с мутацией гена SLC5A6, а также генов других транспортеров.
Ключевые слова
Полный текст
СПИСОК СОКРАЩЕНИЙ
Strep-HRP – стрептавидин, конъюгированный с пероксидазой хрена; SLС5A6 или SMVT – натрий-зависимый поливитаминный транспортер; BirA* – мутантная биотинлигаза E. coli (BirA R118G); PBS – фосфатно-солевой буфер; GFP – зеленый флуоресцентный белок.
ВВЕДЕНИЕ
Ген SLC5A6, расположенный в локусе 2p23.3 хромосомы 2 человека, кодирует мембранный натрий-зависимый поливитаминный транспортер (Sodium-dependent MultiVitamin Transporter, SMVT). У человека белок hSMVT состоит из 635 аминокислотных остатков и играет ключевую роль в переносе водорастворимых соединений: биотина, пантотеновой кислоты и альфа-липоевой кислоты [1]. Белок SMVT высококонсервативен у различных видов и широко представлен в организме. Наиболее активно он экспрессируется в кишечном эпителии и эндотелиальных клетках капилляров мозга [2, 3], а также участвует в переносе биотина и пантотеновой кислоты через гематоэнцефалический барьер [4]. Функционирование SMVT критически важно для нормального роста и развития млекопитающих, в том числе человека, поскольку биотин и пантотеновая кислота клетками млекопитающих не синтезируются, а поступают в организм только через кишечник [5, 6]. Биотин, служащий коферментом пяти карбоксилаз, принимает участие в различных метаболических процессах, включая синтез жирных кислот, глюконеогенез и катаболизм аминокислот [7]. Также биотин влияет на регуляцию экспрессии генов, пролиферацию и выживание клеток [8, 9] Пантотеновая кислота является ключевым компонентом биосинтеза кофермента А и синтеза жирных кислот, которые, в свою очередь, необходимы для энергетического обмена и синтеза гормонов [10].
Исследования на мышах in vivo показали, что при инактивации гена Slc5a6 в клетках кишечника наблюдаются задержка роста, снижение плотности костной ткани и уменьшение длины костей, а также изменения в тонком кишечнике (укорочение ворсинок, дисплазия) и слепой кишке (хроническое воспаление, дисплазия) [6]. Терапия повышенными дозами биотина и пантотеновой кислоты предотвращает задержку роста и воспаление кишечника [11].
Биаллельные мутации гена SLC5A6 идентифицированы у детей с задержкой роста и развития, судорогами, а также с нарушениями со стороны желудочно-кишечного тракта, кожи и периферической нервной системы, а также с иммунодефицитом, вызванным нарушением функции Т- и В-клеток [12–18]. Эти дети умирали в младенчестве, при этом целенаправленное лечение носителей мутаций в гене SLC5A6 витаминами приводило к клиническому улучшению их состояния [13–15, 18].
Так, полное секвенирование экзома 15-месячного мальчика с задержкой развития, микроцефалией, выраженным иммунодефицитом и тяжелым гастроэзофагеальным рефлюксом выявило у него мутацию в гене SLC5A6. В возрасте 19 месяцев ребенку была назначена витаминная терапия высокими дозами биотина (10 мг/день, затем 30 мг/день), пантотеновой кислоты (250 мг/день, затем 500 мг/день) и липоевой кислоты (150 мг/день, затем 300 мг/день), в возрасте 24 месяца доза витаминов была увеличена. После 14 месяцев терапии у ребенка нормализовались уровни иммуноглобулинов и не наблюдалось нарушений со стороны костной системы. Аналогичное клиническое улучшение отметили и у других детей, получавших высокие дозы биотина [19, 20].
Как показал анализ опубликованных данных, в работах, связанных с применением витаминов, не оценивается эффективность их всасывания, распределения и метаболизма. Существует очень ограниченный набор методов оценки эффективности проникновения витаминов через мембрану. В большинстве случаев для этого используется биотин, меченный изотопами трития или углерода-14 [21]. Этот подход обеспечивает высокую чувствительность обнаружения и количественную оценку распределения биотина, однако для работы с радиоактивными материалами требуется специальное оборудование. Кроме того, этот метод не позволяет оценить проникновение через мембрану производных биотина, которые, как правило, не несут радиоактивной метки. Для количественной оценки биотина используется также масс-спектрометрический анализ, но для этого метода также требуется сложное аналитическое оборудование и проведение трудоемких процедур.
Цель данной работы состояла в разработке метода оценки эффективности проникновения биотина через клеточную мембрану при инактивации гена SLС5A6. Также оценили принципиальную возможность SLC5A6-независимой доставки производных биотина в клетки, что может открыть новые перспективы для лечения пациентов с мутациями в гене SLC5A6.
Нами разработана тест-система, которая позволяет оценить эффективность проникновения биотина через клеточную мембрану при инактивации гена SLC5A6. Эта система основана на блотинге клеточных белков, несущих биотин, с помощью конъюгата стрептавидина и пероксидазы хрена. При этом для искусственного повышения уровня биотинилирования используется мутантная форма биотинлигазы BirA со сниженной специфичностью.
Тест-система состоит из модифицированных клеточных линий HEK293, сверхэкспрессирующих биотинлигазу BirA*. Одна из линий содержит функциональный ген SLC5A6, в другой линии этот ген инактивирован. Инактивация гена SLC5A6 используется для имитации состояния, когда транспорт биотина через hSMVT нарушен. Эктопическая экспрессия биотинлигазы вызывает неспецифическое биотинилирование белков в клетке, которое можно обнаружить с помощью вестерн-блотинга. Сравнение уровня биотинилирования белков в этих клеточных линиях после инкубации с биотином или его производными позволяет детектировать транспорт биотина через клеточную мембрану.
С использованием разработанной системы изучили механизм транспорта через клеточную мембрану биотина и двух его производных: конъюгата биотина с п-аминофенилаланином (Bio-1) и метилового эфира биотина (Bio-2).
ЭКСПЕРИМЕНТАЛЬНАЯ ЧАСТЬ
Синтез олигонуклеотидов
Все олигонуклеотиды (праймеры) синтезированы ООО «Люмипроуб РУС» (Россия).
Культивирование клеток
Клетки HEK293 дикого типа (WT), а также модифицированные (BirA*, ΔSLC5A6 и BirA*_ΔSLC5A6) культивировали в среде DMEM/F12 (Gibco, США) с добавлением 10% (v/v) эмбриональной телячьей сыворотки (FBS HI, Gibco), 1% (v/v) L-аланин-L-глутамина (2 мМ, GlutaMAX, Gibco), 1% (v/v) смеси антибиотиков (100 ед/мл пенициллина и 100 мкг/мл стрептомицина, Gibco) при температуре 37°C и 5% CO2. Клетки выращивали в культуральных флаконах для адгезивных клеток (25 см²). При достижении 90–100% конфлюентности клетки пересевали в соотношении 1 : 10, промывали раствором PBS, затем отделяли с помощью раствора трипсин-EDTA (1×, Gibco) в PBS и ресуспендировали нужное количество клеток в свежей среде. Для экспериментов клетки культивировали в 24-луночных планшетах.
Внедрение гена BirA*
Для получения клеток с повышенным уровнем биотинилирования белков в клетки вводили мутантную биотинлигазу E. coli BirAR118G (обозначена BirA*). С целью отбора клеток, ген BirA* вводили совместно с геном eGFP, кодирующим зеленый флуоресцентный белок медузы, оптимизированный под клетки млекопитающих. Для встраивания генов BirA* и eGFP использовали плазмиду pSBbi-GN_BirA*, сконструированную нами ранее [22] на основе вектора pSBbi-GN (Addgene #60517) [23].
Плазмидой pSBbi-GN_BirA* совместно с плазмидой pCMV(CAT)T7-SBX100 [24], кодирующей транспозазу, трансфицировали клетки HEK293 дикого типа (WT) с помощью Lipofectamine 3000 согласно инструкции производителя. Через 24 ч клетки, продуцирующие белки BirA* и eGFP, отбирали с помощью сортера FACSAria III BD, регистрируя сигнал при длинах волн 488/530 нм. Отобранные клетки высевали в 96-луночные планшеты (200 мкл среды на лунку), после чего отдельные клоны культивировали в 24-луночных планшетах. Полученные моноклональные клетки стабильно экспрессировали BirA* и GFP.
Инактивация гена SLC5A6
Ген SLC5A6 в клеточных линиях WT и BirA* инактивировали с использованием системы CRISPR-Cas9. Последовательности гидовой РНК (sgRNA) для внесения разреза выбирали с помощью инструмента проектирования sgRNA Benchling CRISPR (https://benchling.com). Подобрали гидовую РНК к экзону 8 гена SLC5A6 (5′-GCGGTACCTCAGTTCCCGCA-3′).
Генетическая конструкция для инактивации (pX459-SLC5A6) была создана на основе плазмиды pSpCas9(BB)-2A-Puro (pX459 V2.0, Addgene #62988 [25]), кодирующей компоненты системы CRISPR/Cas9 и содержащей ген устойчивости к пуромицину. Плазмиду предварительно разрезали эндонуклеазой BpiI для получения липких концов.
Последовательность, кодирующую гидовую РНК, получали из двух ДНК-олигонуклеотидов (5’-CACCGCGGTACCTCAGTTCCCGCA-3’ и 5’-AAACTGCGGGAACTGAGGTACCGC-3’), образующих после гибридизации липкие концы (4 нуклеотида), комплементарные липким концам на векторе pX459. Олигонуклеотиды гибридизовали в буфере для Т4-ДНК-лигазы (Thermo Scientific, США), добавляя их до концентрации 1 мкМ каждого, после чего инкубировали при 95°С в течение 5 мин и постепенно охлаждали до 30°С в закрытом термостате. Полученный дуплекс (1 мкл) лигировали по липким концам в вектор pX459 с помощью набора Rapid DNA Ligation Kit (Thermo Fisher, США).
Компетентные клетки E. coli штамма JM109 трансформировали лигазной смесью, после чего колонии культивировали на чашках с ампициллином (50 мкг/мл). Из ночных культур выделяли плазмидную ДНК, используя набор Plasmid Miniprep («Евроген», Россия). Правильность вставки проверяли секвенированием по Сэнгеру с использованием праймера на промотор U6 (5’-GACTATCATATGCTTACCGT-3’).
Для создания клеточных линий с нокаутом определенных генов клетки трансфицировали плазмидой pX459-SLC5A6 с использованием реагента LipofectamineTM 3000 (Invitrogen™: L3000001). Для трансфекции использовали 100 000 клеток, 1 мкг плазмиды и 1.5 мкл липофектамина. Через 24 ч среду культивирования заменяли свежей средой с пуромицином (1 мкг/мл). Одновременно с этим на среде с пуромицином инкубировали контрольные клетки HEK293 дикого типа и через 48 ч регистрировали гибель 100% контрольных клеток. Клетки, получившие плазмиду pX459-SLC5A6, высевали в 96-луночные планшеты (200 мкл среды на лунку), после чего отдельные клоны культивировали в 24-луночных планшетах.
Для генотипирования полученных моноклональных линий из клеток выделяли суммарную ДНК (QuickExtract DNA Extraction Solution, Lucigen). Далее амплифицировали с помощью ПЦР участок в области предполагаемого разреза (праймеры для ПЦР: 5’-CTTCTGGACCTTGGCCTTCGG-3’ и 5’-GACCTTGCTCCACTCCCTTC-3’). Наличие мутации, приводящей к инактивации гена SLC5A6, проверяли методом секвенирования амплифицированных фрагментов по Сэнгеру (рис. 1). В результате для дальнейшей работы были отобраны линии клеток с нарушенной рамкой считывания SLC5A6: в линии ΔSLC5A6 выявлена инсерция 1 п.н., в линии BirA*_ΔSLC5A6 – делеция 1 п.н.
Рис. 1. Инактивация гена SLC5A6 в клетках линии HEK293. Показаны результаты секвенирования по Сэнгеру ПЦР-амплифицированного целевого локуса гена SLC5A6 из клеток дикого типа (WT), клеток с нокаутом (ΔSLC5A6, инсерция 1 п.н.) и клеток со вставкой конструкции BirA* (BirA*_ΔSLC5A6, делеция 1 п.н.)
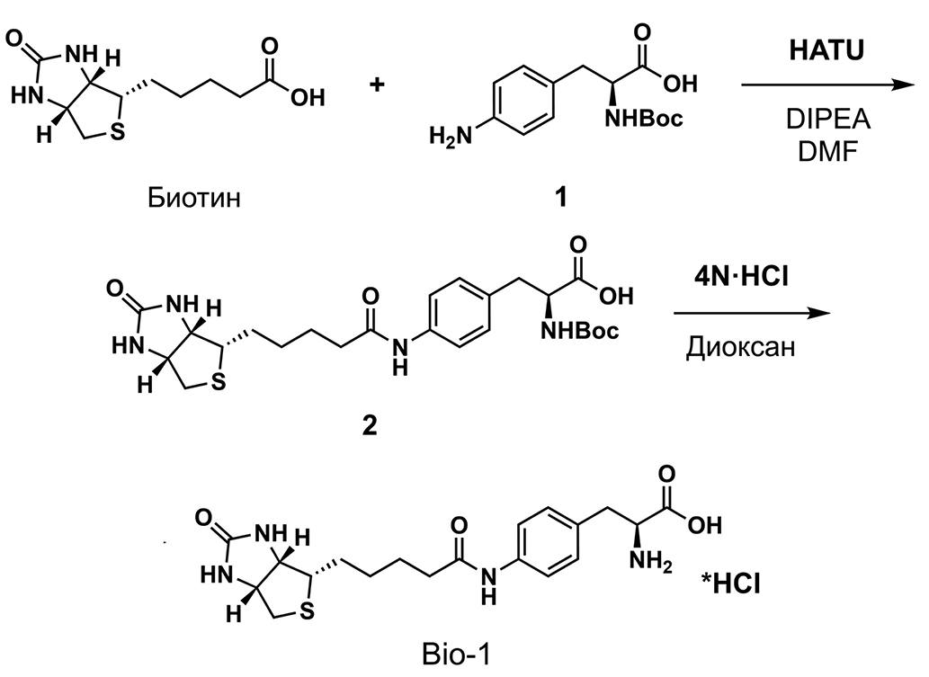
Синтез Bio-1
Биотин (1.74 г, 7.13 ммоль), HATU (2.71 г, 7.13 ммоль), DIPEA (2.49 мл, 14.27 ммоль) растворяли в 15 мл безводного DMF при помощи ультразвука. Отдельно готовили раствор 4-аминофенилаланина (2 г, 7.13 ммоль) в 5 мл DMF. Раствор биотина добавляли при перемешивании к раствору аминокислоты при помощи шприцевого насоса в течение 1 ч, после чего DMF удаляли в вакууме. К остатку при перемешивании приливали 100 мл воды и оставляли на 1 ч для формирования осадка. Осадок отфильтровывали, промывали H2O (2 ×100 мл) и высушивали на воздухе. Получали продукт 2, серого цвета (3.1 г, 86%).
1H-ЯМР (600 МГц, DMSO-d6) δ = 9.8 (s, 1H), 7.5 (d, J = 8.0, 2H), 7.1 (d, J = 8.0, 2H), 7.0 (d, J = 8.3, 1H), 6.4 (s, 1H), 6.4 (s, 1H), 4.3 (t, J = 6.8, 1H), 4.3–4.1 (m, 1H), 4.1–4.0 (m, 1H), 3.2–3.1 (m, 1H), 3.0–2.9 (m, 1H), 2.9–2.7 (m, 2H), 2.6 (d, J = 12.4, 1H), 2.3 (t, J = 7.1, 2H), 1.7–1.5 (m, 3H), 1.5–1.5 (m, 1H), 1.4–1.3 (m, 1H), 1.3 (s, 9H), 1.3–1.2 (m, 1H). 13C-ЯМР (151 МГц, DMSO-d6) δ = 173.8, 173.6, 171.0, 162.7, 155.4, 137.7, 132.5, 129.3, 118.9, 78.0, 61.1, 59.2, 55.4, 55.3, 36.2, 35.9, 28.2, 28.2, 28.1, 25.2.
Продукт 2, полученный в предыдущей реакции (3 г, 5.9 ммоль), растворяли в 4 M HCl/диоксан (60 мл). Реакционную массу перемешивали в течение 5 ч, что приводило к образованию взвеси. Осадок отфильтровывали, промывали Et2O (2 × 50 мл) и сушили на воздухе, получая бесцветный гидрохлорид Bio-1 (2.6 г, 98%).
1H-ЯМР (600 MГц, D2O) δ = 7.4 (d, J=8.1, 2H), 7.3 (d, J = 8.1, 2H), 4.6–4.5 (m, 1H), 4.4 (dd, J = 8.0, 4.5, 1H), 4.3 (t, J = 6.7, 1H), 3.4–3.3 (m, 2H), 3.2 (dd, J = 14.8, 7.7, 1H), 3.0 (dd, J = 13.0, 4.8, 1H), 2.7 (d, J = 13.0, 1H), 2.4 (t, J = 7.3, 2H), 1.7 (tt, J = 14.8, 7.1, 3H), 1.6–1.5 (m, 1H), 1.5–1.4 (m, 2H). 13C-ЯМР (151 MГц, D2O) δ = 176.4, 171.9, 165.9, 137.1, 131.6, 130.8, 123.2, 62.7, 60.9, 56.0, 54.6, 40.3, 36.8, 35.7, 28.5, 28.3, 25.7.
Синтез Bio-2
Биотин (1 г, 4.1 ммоль) растворяли в 20 мл метанола, охлаждали до 0°C и по каплям добавляли тионилхлорид (2 мл, 20 ммоль). Реакционную смесь перемешивали при 20°C в течение 10 ч, растворитель удаляли в вакууме. Остаток нейтрализовали 1 М NaHCO3. Осадок отфильтровывали, промывали водой и сушили на воздухе, получая после перекристаллизации из ацетона Bio-2 (939 мг, 91%).
Спектральные данные Bio-2 соответствовали описанным ранее [26].
1H-ЯМР (600 MГц, DMSO-d6) δ = 6.4 (s, 1H), 6.4 (s, 1H), 4.4–4.3 (m, 1H), 4.2–4.1 (m, 1H), 3.6 (s, 3H), 3.2–3.0 (m, 1H), 2.8 (dd, J = 12.4, 5.1, 1H), 2.6 (d, J = 12.4, 1H), 2.3 (t, J = 7.5, 2H), 1.7–1.4 (m, 4H), 1.4–1.2 (m, 2H). 13C-ЯМР (151 MГц, DMSO-d6) δ = 173.3, 162.7, 61.0, 59.2, 55.3, 51.2, 39.8, 33.1, 28.1, 28.0, 24.5.
Вестерн-блотинг
Оптимальную концентрацию биотина, обеспечивающую эффективное биотинилирование белков, определяли путем тестирования на клеточных линиях HEK293 WT, BirA*, ΔSLC5A6 и BirA*_ΔSLC5A6. Клетки каждой линии высевали в 24-луночный планшет и инкубировали в течение 24 ч. Затем в культуральную среду добавляли водный раствор биотина в соответствующей концентрации либо контрольный раствор (вода). Клетки инкубировали в течение еще 24 ч в присутствии биотина. После этого клетки лизировали на льду с использованием RIPA-буфера, содержащего бензоназу (Sigma, США), в течение 15 мин, а затем фермент инактивировали нагреванием при 80°C в течение 3 мин.
Разведенные лизаты, нормированные по содержанию общего белка, анализировали методом вестерн-блотинга. Белки разделяли электрофорезом в 10% полиакриламидном геле с 0.1% SDS и переносили на нитроцеллюлозную мембрану с помощью мокрого переноса (1 ч при 400 мА). Мембрану блокировали в 5% растворе обезжиренного сухого молока [27] в TBST (1–12 ч), затем инкубировали в течение 1 ч при комнатной температуре с раствором стрептавидин-пероксидазного конъюгата (1:3000 в TBST, «ИМТЕК», P-S Avs, Россия). После нескольких отмывок TBST (3 раза по 5 мин), TBS (3 раза по 5 мин) и дистиллированной водой проводили детекцию с использованием субстрата Clarity™ Western ECL (Bio-Rad).
РЕЗУЛЬТАТЫ И ОБСУЖДЕНИЕ
Влияние функциональной активности мультивитаминного транспортера SLC5A6 на способность клеток в культуре интернализовать биотин из внешней среды анализировали на клеточной линии эмбриональной почки человека HEK293. В этой линии клеток мы инактивировали ген SLC5A6 с помощью системы CRISPR/Cas9, получив таким образом линию клеток ΔSLC5A6.
Транспортер SLC5A6 не нужен для поддержания в биотинилированном состоянии биотин-зависимых карбоксилаз в клеточной линии HEK293
Чтобы проверить эффективность транспорта биотина через клеточную мембрану, сравнили уровень биотинилирования белков в клеточных линиях HEK293 WT и ΔSLC5A6. С этой целью клетки инкубировали с биотином в различных концентрациях, после чего визуализировали биотинилированные белки методом вестерн-блотинга с помощью стрептавидин-пероксидазного конъюгата (Strep-HRP, рис. 2). Оказалось, что уровень биотинилирования не изменяется при инактивации гена SLC5A6. Мы предполагаем, что это может быть связано с трансмембранной диффузией или эндоцитозом биотина в течение 24 ч инкубации, что приводит к его относительно высокой концентрации в клетках. Кроме того, в доставке биотина через клеточную мембрану могут участвовать и другие транспортеры, например, транспортер монокарбоксилата 1 (MCT1) [28–30]. Отметим, что Subramanian V.S. и соавт. выдвигали гипотезу о диффузии витаминов через мембрану, что объясняет эффективность терапии биотином и пантотеновой кислотой пациентов с нарушенным мультивитаминным транспортером [15].
Рис. 2. Вестерн-блот-анализ продуктов инкубации клеточных линий HEK293 WT (слева) и ΔSLC5A6 (справа) с биотином в концентрации 50, 100, 150 мкМ
Тест-система для контроля проникновения биотина через мембрану клетки
Определив, что функционирование мультивитаминного транспортера SLC5A6 не является фактором, лимитирующим проникновение биотина в клетки в культуре при природном содержании биотинилированных белков, мы решили создать клеточные линии с искусственно повышенным уровнем биотинилирования.
Для этого на основе клеток HEK293 получили еще две клеточные линии (рис. 3).
Рис. 3. Получение клеточных линий на основе HEK293. Клетки с повышенным уровнем биотинилированных белков (линия BirA*) получали путем введения мутантной биотинлигазы BirA*. Ген BirA* встроили в геном с помощью плазмиды pSBbi-GN_BirA* и транспозазы. В клеточных линиях WT и BirA* ген SLC5A6 инактивировали с помощью системы CRISPR-Cas9, используя вектор pX459 с гидовой РНК, нацеленной на экзон 8. Получены линии ΔSLC5A6 и BirA*_ΔSLC5A6
Используя вектор на основе транспозазы Sleeping beauty (SB100X), в клетки HEK293 ввели ген BirA*, кодирующий мутантную биотинлигазу E. coli BirAR118G [31, 32]. Этот фермент катализирует неспецифическое присоединение биотина к остаткам лизина в белках. Таким образом биотин, поступающий в клетку, быстро используется для биотинилирования белков, в норме не связывающих биотин. Это позволяет оценивать скорость проникновения биотина через мембрану по уровню биотинилированных белков в клетке.
Далее мы внесли инактивирующую мутацию в ген SLC5A6, кодирующий белок hSMVT. Это позволило сравнивать процесс биотинилирования в клетках, содержащих активный и неактивный транспортер hSMVT. В клетки с геном BirA* внесли инактивирующую мутацию и получили с помощью технологии CRISPR/Cas9 линию BirA*_ΔSLC5A6 (рис. 3), так же как ранее получили линию ΔSLC5A6 на основе клеток дикого типа.
Оценка эффективности транспорта биотина через клеточную мембрану с помощью тест-системы
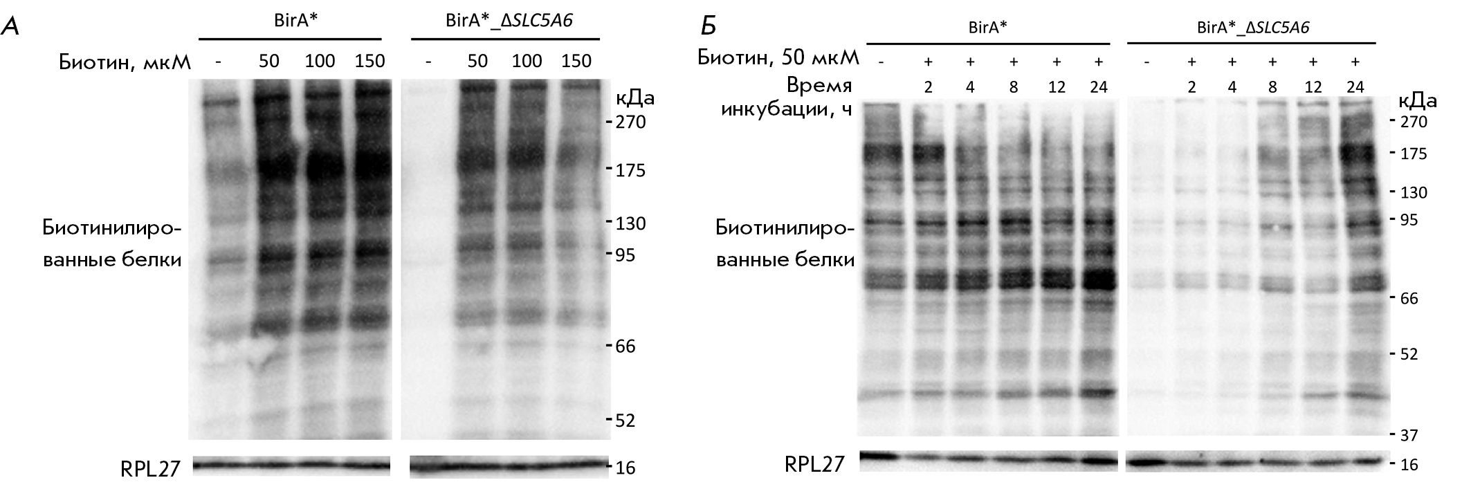
Создав линии с эктопической экспрессией неспецифичной биотинлигазы BirA*, мы решили подобрать оптимальную концентрацию биотина в среде, пригодную для детекции транспорта этого витамина. С этой целью инкубировали клетки линий BirA* и BirA*_ΔSLC5A6 с разными концентрациями биотина: 0, 50, 100 и 150 мкМ (рис. 4А) в течение 24 ч. В обеих линиях наблюдалась большая разница в уровне биотинилирования в отсутствие добавленного биотина и при его концентрации 50 мкМ, после чего происходило насыщение и дальнейшее увеличение концентрации биотина, что не приводило к повышению уровня биотинилирования. Таким образом, концентрация 50 мкМ является оптимальной для оценки транспорта биотина. Кроме того, даже в отсутствие специально добавленного биотина уровень биотинилирования в клетках с инактивированным hSMVT был ниже, чем в клетках с активным транспортером.
Рис. 4. Оценка уровня биотинилирования белков в клетках BirA* и BirA*_ΔSLC5A6. А – зависимость уровня биотинилирования белков от концентрации биотина в среде при инкубации в течение 24 ч. Б – зависимость уровня биотинилирования белков от времени инкубации
Увеличение времени инкубации с биотином приводило к повышению уровня биотинилирования (рис. 4Б), причем наблюдались существенные различия, зависящие от наличия гена SLC5A6. Максимальный уровень биотинилирования в клетках линии BirA* достигается уже в первые несколько часов инкубации. В то же время в клетках BirA*_ΔSLC5A6, в которых нарушен транспорт биотина, процесс накопления биотинилированных белков протекает медленнее и достигает уровня, сопоставимого с максимальным уровнем в клетках линии BirA*, только спустя 24 ч. Это может служить подтверждением того, что hSMVT играет важную роль в транспорте биотина и, следовательно, в развитии патологических состояний у пациентов с мутациями в этом гене.
Синтез производных биотина для проникновения в клетки
Выбор производных биотина для синтеза был основан на таком изменении свойств его молекулы, которые могли облегчить ее проникновение в клетки альтернативными путями, не зависящими от транспортера hSMVT, что открывает новые возможности для лечения пациентов с мутациями гена SLC5A6. Для реализации этой задачи мы рассматривали два подхода.
Первый подход к доставке молекулы, минуя SLC5A6, заключается в создания гибридных молекул (пролекарств), состоящих из терапевтической части и компонента, имитирующего полезный метаболит, способный распознаваться специфическим транспортером. Например, транспортер LAT1 (Large Amino Acid Transporter-1) успешно используется для доставки кетопрофена и феруловой кислоты в нейроны, а также некоторых препаратов в опухолевые клетки [33–35]. Для этого терапевтические молекулы модифицируют, присоединяя их к аминокислотам – субстратам LAT1. Для оценки работоспособности этого подхода синтезировали биотиновое производное п-аминофенилаланина (Bio-1, рис. 5A, схема 1). Мы предполагаем, что после доставки этого вещества в клетку фермент биотинидаза будет способствовать высвобождению биотина в свободном виде (рис. 5A), как это происходит при расщеплении N-биотинил-4-аминобензойной кислоты биотинидазой до биотина и п-аминобензойной кислоты [36, 37].
Рис. 5. Синтезированные аналоги биотина Bio-1 (А) и Bio-2 (Б), предположительная схема их транспорта через мембрану и дальнейшее ферментативное расщепление с высвобождением свободного биотина
Схема 1. Синтез соединения Bio-1
Второй подход заключается в снижении полярности молекулы. В этом случае может либо упроститься свободная диффузия молекулы через мембрану, либо активироваться другой транспортер этой молекулы, минуя hSMVT. Мы синтезировали метиловый эфир биотина (Bio-2), обладающий повышенной гидрофобностью. После проникновения в клетку биотин может высвободиться под действием эстераз (рис. 5Б, схема 2).
Схема 2. Синтез соединения Bio-2
Эффективность транспорта через клеточную мембрану биотина и его производных
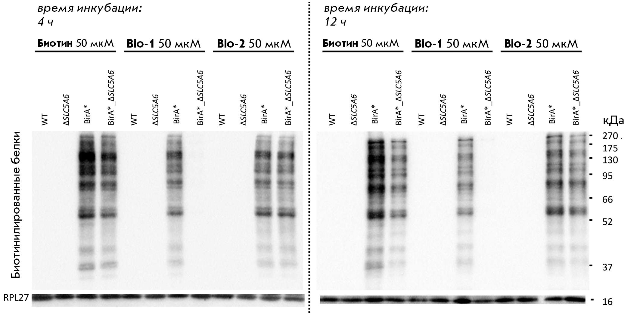
Для сравнения способности биотина и его производных проникать в клетки инкубировали биотин, Bio-1 или Bio-2 с клеточными линиями HEK293 (WT), ΔSLC5A6, BirA* и BirA*_ΔSLC5A6. Показано, что в клетках с функциональным транспортером hSMVT все три молекулы служат источником биотина. Так, не выявлены различия в уровне биотинилирования белков в клетках дикого типа, инкубируемых с биотином, Bio-1 и Bio-2 (данные не приведены).
При использовании клеток c эктопической экспрессией биотинлигазы BirA* уровень биотинилирования белков многократно возрастал. В этом случае все три молекулы могут быть использованы для доставки биотина в клетку (рис. 6, линия BirA*). Уровень проникновения через мембрану Bio-1 и Bio-2 несколько ниже по сравнению с биотином. При этом во всех случаях насыщение наблюдается уже через 4 ч инкубации.
Рис. 6. Сравнение уровня биотинилирования белков в различных клеточных линиях после инкубации с биотином, Bio-1 и Bio-2
Инактивация hSMVT снижает уровень проникновения биотина в клетку: как после 4 ч, так и после 12 ч инкубации уровень биотинилирования белков в клетках BirA*_ΔSLC5A6 был ниже, чем в BirA*.
Результаты инкубации клеток с Bio-1 оказались неожиданными: при инактивации hSMVT даже инкубация с Bio-1 в течение 12 ч не приводила к повышению уровня биотинилированных белков в клетках (рис. 6, клетки BirA*_ΔSLC5A6), в то время как при использовании функционального транспортера биотинилирование сохранялось на высоком уровне (рис. 6, линия BirA*). Исходя из этого можно заключить, что Bio-1 не транспортируется через LAT1, как ожидалось. Скорее всего, эта молекула может проникать в клетку только с участием hSMVT, что объясняет высокий уровень биотинилирования в клетках BirA* и его полное отсутствие при инактивации гена SLC5A6. Таким образом, мы наблюдали эффект, противоположный тому, что ожидали. Оказалось, что биотин может проникать в клетки несколькими путями, причем путь через hSMVT является только одним из них. Напротив, производное Bio-1 оказалось неспособным использовать путь транспорта, доступный биотину, и могло проникать в клетки исключительно через hSMVT.
В то же время при инкубации клеток с Bio-2 различие в биотинилировании белков в клетках BirA*_ΔSLC5A6 и в BirA* было незначительным. Это свидетельствует о том, что способность соединения Bio-2 проникать в клетку не зависит от транспортера hSMVT.
Исходя из полученных результатов мы полагаем, что биотин в молекуле Bio-1 играет ключевую роль в транспортировке связанных с ним фрагментов через hSMVT. При этом прикрепленный к биотину п-аминофенилаланин не мешает транспорту через hSMVT, но мешает альтернативным путям транспорта. Это свойство биотина находит применение в направленной доставке лекарственных средств в клетки [38, 39] в виде конъюгата с биотином. Считается, что ключевую роль в транспорте таких лекарств выполняет белок hSMVT, однако, несмотря на многочисленные исследования, остается ряд нерешенных вопросов, касающихся механизма транспорта этих конъюгатов [30]. Например, есть данные [40] о необходимости свободной карбоксильной группы в молекуле биотина для его эффективного транспорта через SMVT. Однако в работах, где утверждается, что транспорт пролекарств осуществляется через SMVT, молекула биотина присоединена к конъюгату именно через карбоксильную группу [30]. Наши данные также свидетельствуют о том, что свободная карбоксильная группа биотина не относится к необходимым для транспорта производных биотина через hSMVT.
C помощью разработанной тест-системы нам удалось показать, что биотин и его метиловый эфир Bio-2 могут транспортироваться в клетки независимо от hSMVT. Разработанная нами тест-система может стать инструментом для разработки пролекарств, содержащих биотин.
ЗАКЛЮЧЕНИЕ
В нашей работе создана новая система для контроля транспорта биотина и его производных в клетки. Эта система является альтернативой сложным методам, которые требуют использования радиоактивно меченного биотина.
С помощью тест-системы установлено, что биотин и его метиловый эфир (Bio-2) способны проникать в клетки независимо от транспортера hSMVT, кодируемого геном SLC5A6, что указывает на существование альтернативных путей их транспорта. Однако, когда потребность в биотине возрастает, hSMVT становится ключевым фактором, обеспечивающим максимальную эффективность доставки.
Конъюгат биотина с п-аминофенилаланином (Bio-1) проникает в клетки только через hSMVT, что делает его непригодным для альтернативных путей доставки. Однако такая специфичность позволяет использовать hSMVT для транспорта других соединений в клетки в виде конъюгата с биотином. Разработанная тест-система является ценным инструментом для изучения механизмов поступления витаминов в клетки и в дальнейшем может быть использована для разработки терапевтических стратегий и оценки эффективности лекарств, предназначенных для пациентов с мутацией гена SLC5A6, а также других транспортеров.
Исследование проведено при поддержке гранта АИС Научные школы МГУ, № 24-Ш04-13 («Персонализированные мыши: создание и исследование точных мышиных моделей генетически обусловленных заболеваний»), а также в рамках государственного задания МГУ имени М.В. Ломоносова.
Авторы благодарят Программу развития МГУ за доступ к приборам CelenaX и SeqStudio, использованных для оценки трансфекции, роста клеток и секвенирования генетических конструкций соответственно.
Об авторах
А. Ю. Руденко
Московский государственный университет имени М.В. Ломоносова
Автор, ответственный за переписку.
Email: RudenkoAY@my.msu.ru
Институт физико-химической биологии имени А.Н. Белозерского; факультет фундаментальной медицины
Россия, Москва, 119192П. А. Зотова
Московский государственный университет имени М.В. Ломоносова
Email: RudenkoAY@my.msu.ru
Институт физико-химической биологии имени А.Н. Белозерского; химический факультет
Россия, Москва, 119192О. А. Аверина
Московский государственный университет имени М.В. Ломоносова
Email: RudenkoAY@my.msu.ru
Институт физико-химической биологии имени А.Н. Белозерского
Россия, Москва, 119192А. В. Приймак
Московский государственный университет имени М.В. Ломоносова
Email: RudenkoAY@my.msu.ru
Faculty of Fundamental Medicine; факультет фундаментальной медицины
Россия, Москва, 119192М. П. Рубцова
Московский государственный университет имени М.В. Ломоносова; Государственный научный центр Институт биоорганической химии им. академиков М.М. Шемякина и Ю.А. Овчинникова РАН
Email: RudenkoAY@my.msu.ru
химический факультет, Московский государственный университет имени М.В. Ломоносова
Россия, Москва, 119192; Москва, 117997С. С. Марьясина
Московский государственный университет имени М.В. Ломоносова; Институт фармации и биотехнологии РУДН
Email: RudenkoAY@my.msu.ru
Институт физико-химической биологии имени А.Н. Белозерского; факультет фундаментальной медицины Московский государственный университет имени М.В. Ломоносова; химический факультет Московский государственный университет имени М.В. Ломоносова
Россия, Москва, 119192; Москва, 117198Р. М. Ожиганов
Московский государственный университет имени М.В. Ломоносова; Российский химико-технологический университет имени Д.И. Менделеева, Высший химический колледж Российской академии наук
Email: RudenkoAY@my.msu.ru
Институт физико-химической биологии имени А.Н. Белозерского
Россия, Москва, 119192; Москва, 125190О. А. Донцова
Московский государственный университет имени М.В. Ломоносова; Государственный научный центр Институт биоорганической химии им. академиков М.М. Шемякина и Ю.А. Овчинникова РАН; Центр молекулярной и клеточной биологии, Сколтех
Email: RudenkoAY@my.msu.ru
Институт физико-химической биологии имени А.Н. Белозерского; химический факультет, Московский государственный университет имени М.В. Ломоносова
Россия, Москва, 119192; Москва, 117997; Москва, 121205П. В. Сергиев
Московский государственный университет имени М.В. Ломоносова; Центр молекулярной и клеточной биологии, Сколтех
Email: RudenkoAY@my.msu.ru
Институт физико-химической биологии имени А.Н. Белозерского; химический факультет, Московский государственный университет имени М.В. Ломоносова
Россия, Moscow, 119192; Москва, 121205Список литературы
- Yee SW, Wang J, Giacomini KM. Rare Diseases linked to mutations in vitamin transporters expressed in the human blood–brain Barrier. Clin Pharmacol Ther. 2024;116(6):1513–1520. doi: 10.1002/cpt.3433
- Uchida Y, Ito K, Ohtsuki S, Kubo Y, et al. Major involvement of Na+‐dependent multivitamin transporter (SLC5A6/SMVT) in uptake of biotin and pantothenic acid by human brain capillary endothelial cells. J Neurochem. 2015;134(1):97–112. doi: 10.1111/jnc.13092
- Subramanian VS, Marchant JS, Boulware MJ, et al. Membrane targeting and intracellular trafficking of the human sodium-dependent multivitamin transporter in polarized epithelial cells. Am J Physiol Cell Physiol. 2009;296(4):C663–C671. doi: 10.1152/ajpcell.00396.2008
- Neophytou C, Pitsouli C. Biotin controls intestinal stem cell mitosis and host-microbiome interactions. Cell Rep. 2022;38(10):110505. doi: 10.1016/j.celrep.2022.110505
- Said HM. Intestinal absorption of water-soluble vitamins in health and disease. Biochem J. 2011;437(3):357–372. doi: 10.1042/BJ20110326
- Ghosal A, Lambrecht N, Subramanya SB, Kapadia R, Said HM. Conditional knockout of the Slc5a6 gene in mouse intestine impairs biotin absorption. Am J Physiol Gastrointest Liver Physiol. 2013;304(1):G64–G71. doi: 10.1152/ajpgi.00379.2012
- Zempleni J, Wijeratne SSK, Hassan YI. Biotin. BioFactors. 2009;35(1):36–46. doi: 10.1002/biof.8
- Karachaliou CE, Livaniou E. Biotin homeostasis and human disorders: recent findings and perspectives. Int J Mol Sci. 2024;25(12):6578. doi: 10.3390/ijms25126578
- Atamna H, Newberry J, Erlitzki R, et al. Biotin deficiency inhibits heme synthesis and impairs mitochondria in human lung fibroblasts. J Nutr. 2007;137(1):25–30. doi: 10.1093/jn/137.1.25
- Leonardi R, Jackowski S. Biosynthesis of pantothenic acid and coenzyme A. EcoSal Plus. 2007;2(2). doi: 10.1128/ecosalplus.3.6.3.4
- Sabui S, Kapadia R, Ghosal A, et al. Biotin and pantothenic acid oversupplementation to conditional SLC5A6 KO mice prevents the development of intestinal mucosal abnormalities and growth defects. Am J Physiol Cell Physiol. 2018;315(1):C73–C79. doi: 10.1152/ajpcell.00319.2017
- Hauth I, Waterham H, Wanders RJ, et al. A mild case of SMVT deficiency illustrating the importance of treatment response in variant classification. Cold Spring Harb Mol Case Stud. 2022;8(2):a006185. doi: 10.1101/mcs.a006185
- Byrne AB, Arts P, Polyak SW, et al. Identification and targeted management of a neurodegenerative disorder caused by biallelic mutations in SLC5A6. NPJ Genom Med. 2019;4(1):28. doi: 10.1038/s41525-019-0103-x
- Schwantje M, de Sain‐van der Velden M, Jans J, et al. Genetic defect of the sodium‐dependent multivitamin transporter: A treatable disease, mimicking biotinidase deficiency. JIMD Rep. 2019;48(1):11–14. doi: 10.1002/jmd2.12040
- Subramanian VS, Constantinescu AR, Benke PJ, et al.Mutations in SLC5A6 associated with brain, immune, bone, and intestinal dysfunction in a young child. Hum Genet. 2017;136(2):253–261. doi: 10.1007/s00439-016-1751-x
- Holling T, Nampoothiri S, Tarhan B, et al. Novel biallelic variants expand the SLC5A6-related phenotypic spectrum. Eur J Hum Gen. 2022;30(4):439–449. doi: 10.1038/s41431-021-01033-2
- Montomoli M, Vetro A, Tubili F, et al. A novel SLC5A6 homozygous variant in a family with multivitamin-dependent neurometabolic disorder: Phenotype expansion and long-term follow-up. Eur J Med Genet. 2023;66(8):104808. doi: 10.1016/j.ejmg.2023.104808
- Van Vyve F‐X, Mercier N, Papadopoulos J, et al. A new case of sodium‐dependent multivitamin transporter defect occurring as a life‐threatening condition responsive to early vitamin supplementation and literature review. Mol Genet Genomic Med. 2024;12(2). doi: 10.1002/mgg3.2388
- Biotin. Reactions Weekly. 2024;2020(1):104. doi: 10.1007/s40278-024-64469-9
- Arooran T, Fernando PMS, Dayasiri K, et al. Child with holocarboxylase synthetase deficiency. Clin Chim Acta. 2024;558:119086. doi: 10.1016/j.cca.2024.119086
- Livaniou E, Costopoulou D, Vassiliadou I, et al. Analytical techniques for determining biotin. J Chromatogr A. 2000;881(1–2):331–343. doi: 10.1016/S0021-9673(00)00118-7
- Mariasina SS, Chang CF, Navalayeu TL, et al. Williams-Beuren syndrome related methyltransferase WBSCR27: From structure to possible function. Front Mol Biosci. 2022;9. doi: 10.3389/fmolb.2022.865743
- Kowarz E, Löscher D, Marschalek R. Optimized sleeping beauty transposons rapidly generate stable transgenic cell lines. Biotechnol J. 2015;10(4):647–653. doi: 10.1002/biot.201400821
- Mátés L, Chuah MKL, Belay E, et al. Molecular evolution of a novel hyperactive Sleeping Beauty transposase enables robust stable gene transfer in vertebrates. Nat Genet. 2009;41(6):753–761. doi: 10.1038/ng.343
- Ran FA, Hsu PD, Wright J, et al. Genome engineering using the CRISPR-Cas9 system. Nat Protoc. 2013;8(11):2281–2308. doi: 10.1038/nprot.2013.143
- Karaj E, Sindi SH, Kuganesan N, et al. Tunable cysteine-targeting electrophilic heteroaromatic warheads induce ferroptosis. J Med Chem. 2022;65(17):11788–11817. doi: 10.1021/acs.jmedchem.2c00909
- Cui Y, Ma L. Sequential use of milk and bovine serum albumin for streptavidin-probed western blot. Biotechniques. 2018;65(3):125–126. doi: 10.2144/btn-2018-0006
- Daberkow RL, White BR, Cederberg RA, et al. Monocarboxylate transporter 1 mediates biotin uptake in human peripheral blood mononuclear cells. J Nutr. 2003;133(9):2703–2706. doi: 10.1093/jn/133.9.2703
- Zempleni J, Hassan YI, Wijeratne SS. Biotin and biotinidase deficiency. Expert Rev Endocrinol Metab. 2008;3(6):715–724. doi: 10.1586/17446651.3.6.715
- Tripathi R, Guglani A, Ghorpade R, et al. Biotin conjugates in targeted drug delivery: Is it mediated by a biotin transporter, a yet to be identified receptor, or (an)other unknown mechanism(s)? J Enzyme Inhib Med Chem. 2023;38(1):2276663. doi: 10.1080/14756366.2023.2276663
- Roux KJ, Kim DI, Burke B, et al. BioID: A screen for protein‐protein interactions. Curr Protoc Protein Sci. 2018;91:19.23.1–19.23.15. doi: 10.1002/cpps.51
- Choi‐Rhee E, Schulman H, Cronan JE. Promiscuous protein biotinylation by Escherichia coli biotin protein ligase. Protein Science. 2004;13(11):3043–3050. doi: 10.1110/ps.04911804
- Peura L, Malmioja K, Laine K, et al. Large amino acid transporter 1 (LAT1) prodrugs of valproic acid: new prodrug design ideas for central nervous system delivery. Mol Pharm. 2011;8(5):1857–1866. doi: 10.1021/mp2001878
- Puris E, Gynther M, Huttunen J, et al. L-type amino acid transporter 1 utilizing prodrugs: How to achieve effective brain delivery and low systemic exposure of drugs. J Control Release. 2017;261:93–104. doi: 10.1016/j.jconrel.2017.06.023
- Huttunen J, Peltokangas S, Gynther M, et al. l-Type amino acid transporter 1 (LAT1/Lat1)-utilizing prodrugs can improve the delivery of drugs into neurons, Astrocytes and microglia. Sci Rep. 2019;9(1):12860. doi: 10.1038/s41598-019-49009-z
- Szabó E, Szatmári I, Szőnyi L, et al.Quantitative analytical method for the determination of biotinidase activity in dried blood spot samples. Anal Chem. 2015;87(20):10573–10578. doi: 10.1021/acs.analchem.5b02996
- Kobza KA, Chaiseeda K, Sarath G, et al. Biotinyl-methyl 4-(amidomethyl)benzoate is a competitive inhibitor of human biotinidase. J Nutr Biochem. 2008;19(12):826–832. doi: 10.1016/j.jnutbio.2007.11.002
- Maiti S, Paira P. Biotin conjugated organic molecules and proteins for cancer therapy: A review. Eur J Med Chem. 2018;145:206–223. doi: 10.1016/j.ejmech.2018.01.001
- Park S, Kim E, Kim WY, et al.Biotin-guided anticancer drug delivery with acidity-triggered drug release. Chem Commun. 2015;51(45):9343–9345. doi: 10.1039/C5CC03003J
- Said HM. Cell and molecular aspects of human intestinal biotin absorption. J Nutr. 2009;139(1):158–162. doi: 10.3945/jn.108.092023
Дополнительные файлы










