Challenges in the diagnostics of mantle cell lymphoma in an elderly comorbid patient
- Authors: Binyakovskiy R.V.1, Borisovskaya S.V.1,2, Zaharov O.D.3, Kiselev D.G.1, Lepkov S.V.2, Melekhov A.V.2, Nikitin I.G.2, Salikov A.V.1,2
-
Affiliations:
- V.M. Buyanov City Clinical Hospital of Moscow Healthcare Department
- N.I. Pirogov Russian National Research Medical University
- Moscow Multidisciplinary Clinical Center “Communarka”
- Issue: Vol 52, No 5 (2024)
- Pages: 297-306
- Section: CLINICAL CASES
- URL: https://bakhtiniada.ru/2072-0505/article/view/270875
- DOI: https://doi.org/10.18786/2072-0505-2024-52-025
- ID: 270875
Cite item
Full Text
Abstract
We present a case of a rare lymphoproliferative disease diagnosed while differentiating between the causes of exudative-constrictive pericarditis.
An 83-year old man was hospitalized with shortness of breath, edema and newly diagnosed atrial fibrillation (AF). Initially, the signs and symptoms were interpreted as manifestations of heart failure due to old myocardial infarction, arterial hypertension and AF. However, no significant systolic or diastolic dysfunction of the left ventricle and valve disease were identified and natriuretic peptide level was normal. Despite treatment, dyspnea and edema persisted, and pleural effusion (requiring drainage) and pericardial effusion increased. Repeated echocardiography showed signs of exudative-constrictive pericarditis. We consequently excluded the infectious (tuberculosis) and non-infectious (electrolyte disorders, hypothyroidism, solid tumors) etiologies of effusion. Taking into account the long-standing mediastinal lymphadenopathy (the patient had been previously examined, but the cause not identified), anemia, episodes of low-grade fever, weight loss, and polyneuropathy, a lymphoproliferative disease was suspected. Serum protein electrophoresis identified an M spike in the gamma globulin region. Immunophenotyping of peripheral blood lymphocytes and immunohistochemical examination of bone marrow confirmed the diagnosis of mantle cell lymphoma. The patient was referred for specialized treatment. At 5 months of the follow-up, the therapy was successful, the patient was stable with no cardiac complaints, no edema, and no new AF episodes.
The case demonstrates the need to strictly follow differential diagnostic algorithms to identify the causes of nonspecific symptoms beyond one medical specialty.
Full Text
Поражение перикарда при опухолевых заболеваниях отмечается в 1–20% аутопсий. Оно может проявляться перикардитом, выпотом в полость перикарда, тампонадой сердца и констриктивным перикардитом [1].
Констриктивный перикардит – последствие любого патологического процесса, развивающегося в перикарде, результат фибринозного утолщения и кальцификации париетального и/или висцерального его листков, препятствующих нормальному диастолическому заполнению камер сердца. Экссудативно-констриктивный перикардит – редко встречающаяся форма перикардита, характеризующаяся сдавлением сердца на фоне наличия выпота, значительно влияющего на гемодинамику. Перикардит может быть самостоятельной нозологической единицей (идиопатический перикардит), а также вторичным проявлением другого заболевания – инфекционного (вирусного, бактериального, грибкового или паразитарного), неинфекционного (аутоиммунного и иммуновоспалительного, травмы (включая ятрогенную), поражения сердца и соседних органов, уремии, тиреоидной дисфункции, амилоидоза), побочного действия лекарств, в частности противоопухолевых. Важно знать, что острый перикардит может быть одним из проявлений паранеопластического синдрома, что обусловливает необходимость расширенного онкологического поиска [2].
Несмотря на то что полостные выпоты нередко осложняют лимфопролиферативные заболевания, в основном они поражают плевру (20–30% случаев); асцит и выпот в перикард встречаются реже. Считается, что несколько чаще выпоты развиваются при Т-клеточных опухолях, особенно при лимфобластных лимфомах. Поражение перикарда описано как у пациентов с лимфогранулематозом [3–6], в том числе на фоне химиотерапии [7], так и при неходжкинских лимфомах [8–10]. Обычно выпоты при лимфопролиферативных заболеваниях сопровождаются другими интра- и экстраторакальными проявлениями, неходжкинские лимфомы могут непосредственно поражать сердце, особенно в продвинутой стадии с поражением средостения. При этом описаны случаи дебюта опухоли с перикардита [8–10]. Кроме того, выделена небольшая группа лимфом – первичные выпотные (англ. primary effusion lymphomas), поражающие серозные полости в отсутствие определимой опухоли, обычно у пациентов с саркомой Капоши на фоне ВИЧ-инфекции [11, 12].
Цитологические находки при анализе выпота, позволяющие установить диагноз, встречаются в 22,2–94,1% случаев. В большинстве наблюдений диагноз уточняют с помощью иммунофенотипирования и молекулярно-генетического анализа [13].
Выпот в перикард, особенно в случае развития тампонады сердца, – жизнеугрожающее осложнение онкологических заболеваний, однако при его адекватном ведении прогноз пациентов определяется в основном морфологическими характеристиками опухоли и ответом на химиотерапию [1].
Приводим описание клинического наблюдения лимфомы из клеток мантии у пожилого коморбидного пациента, идентифицированной в ходе дифференциальной диагностики экссудативно-констриктивного перикардита мультидисциплинарной командой в условиях многопрофильного стационара.
Клиническое наблюдение
Пациент 83 лет 13.03.2024 госпитализирован с жалобами на одышку при небольшой нагрузке, дискомфорт, боли в груди без ангинозной окраски, отеки нижних конечностей. На электрокардиограмме (ЭКГ) впервые зарегистрирован пароксизм фибрилляции предсердий (ФП) с частотой сокращения желудочков 140 в минуту.
Длительно страдает умеренной артериальной гипертензией. В 2021 г. перенес инфаркт миокарда без элевации сегмента ST, сопровождавшийся типичными ангинозными болями, повышением уровня тропонина. При выполнении эхокардиографии (Эхо-КГ) зафиксирована гипокинезия среднего заднего, среднего бокового, базального нижнего сегментов левого желудочка (ЛЖ), снижение фракции выброса (ФВ) до 43%. Вместе с тем при коронароангиографии выявлен лишь стеноз средней трети правой коронарной артерии 45–50%. Отмечена тромбоцитопения: уровень тромбоцитов – 145 × 109/мкл. В течение года получал двойную антиагрегантную терапию без геморрагических осложнений. Сохранявшаяся одышка интерпретировалась как проявление хронической сердечной недостаточности с умеренно сниженной ФВ, несмотря на то что уровень натрийуретического пептида не исследовался.
Не курит, алкоголем не злоупотребляет. Сахарный диабет отрицает. В 2016 г. диагностирована грыжа пищеводного отверстия диафрагмы (ГПОД). Перенес аппендэктомию, осколочное ранение брюшной полости и левого бедра много лет назад, трансуретральную резекцию предстательной железы в связи с доброкачественной гиперплазией (2007 г.). Около 20 лет отмечает онемение в ногах, боли в пояснице. Лечился амбулаторно и стационарно, в январе 2024 г. установлен диагноз: «Дистальная сенсорная демиелинизирующая полинейропатия. Двусторонняя вертеброгенная люмбоишиалгия на фоне стеноза позвоночного канала на уровне L4–L5». Выявлен также двусторонний коксартроз 1–2-й степени, двусторонний трохантерит, сакроилеит 2-й степени справа, 3-й степени слева, инородные тела в области большого вертела левой бедренной кости.
Принимает эналаприл, метопролол, ацетилсалициловую кислоту, аторвастатин, тамсулозин, омепразол, нестероидные противовоспалительные препараты (НПВП).
При поступлении состояние средней тяжести. Сознание ясное, положение активное. Удовлетво-рительного питания. Температура тела – 36,6 °C. Рост – 166 см, масса тела – 75 кг. Цианоза, сыпи нет. Симметричные отеки стоп, голеней. Частота дыхательных движений – 18 в минуту. Сатурация – 98%. Дыхание жесткое, справа в нижние отделы не проводится, слева в нижних отделах пневмосклеротические хрипы. Тоны сердца приглушены, аритмичны, шумы не выслушиваются. Частота сердечных сокращений (ЧСС) – до 130 в минуту. Артериальное давление – 90/60 мм рт. ст. Язык влажный, налета нет. Живот при пальпации мягкий, безболезненный. Симптомы раздражения брюшины отрицательные. Печень, селезенка не пальпируются. Физиологические отправления в норме, стул без патологических изменений, моча обычного цвета. Неврологический статус без особенностей.
Планировалось проведение электрической кардиоверсии, однако пароксизм ФП, послуживший причиной госпитализации, купировался самостоятельно. На ЭКГ – выраженное отклонение электрической оси сердца влево, инверсия зубца T в переднебоковых отведениях, блокада передней ветви левой ножки пучка Гиса (рис. 1).
Рис. 1. Серия электрокардиограмм пациента: А – 13.03.2024, фибрилляция предсердий, частота сердечных сокращений (ЧСС) – 130 в минуту; Б – 14.03.2024, синусовый ритм, ЧСС – 75 в минуту; В – 20.03.2024, фибрилляция предсердий, ЧСС – 140 в минуту; Г – 21.03.2024, синусовый ритм, ЧСС – 71 в минуту
Госпитализация в кардиологическое отделение определила дальнейшее направление диагностических и лечебных мероприятий. Дискомфорт в груди, одышка и отеки трактовались как проявления недостаточности кровообращения на фоне пароксизма ФП. Начата терапия петлевыми диуретиками внутривенно, валсартаном, спиронолактоном, бисопрололом, амиодароном; ацетилсалициловая кислота заменена на ривароксабан 20 мг/сут.
При Эхо-КГ (18.03.2024) аорта уплотнена, корень – 3,9 см, восходящий отдел – 3,7 см. Увеличение обоих предсердий (переднезадний размер левого предсердия (ЛП) – 4,7 см (норма (N) < 4,1 см), объем ЛП – 65 мл (N < 58 мл), площадь правого предсердия (ПП) – 22 см2 (N ≤ 18 см2)). Концентрическое ремоделирование ЛЖ (толщина межжелудочковой перегородки – 1,0 см, конечный диастолический размер ЛЖ – 4,4 см, толщина задней стенки ЛЖ – 1,0 см, конечный диастолический объем ЛЖ – 96 мл, масса миокарда ЛЖ – 148 г (N ≤ 224 г), относительная толщина стенок ЛЖ – 0,45 см (N < 0,43 см)). Замедленная релаксация ЛЖ (E/A – 0,8, Е – 76 см/с, Elat – 7 см/с (N > 10 см/с), Esept – 8 см/с (N > 7 см/с); E/e' – 9 (N < 8)). ФВ – 58%, четких зон гипокинезии на момент осмотра нет. Аневризма межпредсердной перегородки L-типа до 0,9 см, без шунтирования крови. Базальный размер правого желудочка (ПЖ) – 3,7 см (N ≤ 4,1 см). Недостаточность аортального клапана 2-й степени, митрального – 1–2-й степени, трикуспидального – 2-й степени, клапана легочной артерии – 1-й степени. Среднее давление в легочной артерии – 48–58 мм рт. ст. (N < 31 мм рт. ст.). Нижняя полая вена (НПВ) не визуализируется. Незначительный перикардиальный выпот (расхождение листков перикарда за правыми камерами до 0,4 см).
При суточном мониторировании ЭКГ (18.03.2024) основной ритм синусовый, с 1:48 до окончания записи – ФП. Средняя ЧСС – 85 в минуту (минимальная – 63 в минуту в 1:46, максимальная – 92 в минуту в 13:37 при синусовом ритме и 152 в минуту в 9:21 на фоне ФП). Зарегистрировано 135 наджелудочковых экстрасистол, 1 эпизод наджелудочковой тахикардии из 4 комплексов. Пауз более 2 секунд, депрессии сегмента ST не выявлено.
Самочувствие пациента несколько улучшилось, однако, несмотря на сохраняющийся синусовый ритм, приемлемую сократимость и диастолическую функцию ЛЖ, отсутствие значимой клапанной патологии, сохранялись одышка и отеки нижних конечностей. Нормальный уровень натрийуретического пептида – 72,6 пг/мл (N – 10–100 пг/мл) – не позволял диагностировать сердечную недостаточность.
При ультразвуковом исследовании (УЗИ) выявлен окклюзионный тромбоз задних большеберцовых и суральных вен, уровень D-димера повышен до 4600 нг/мл. Признаков тромбоэмболии легочной артерии не было. Доза ривароксабана увеличена до 15 мг 2 раза в сутки.
Обсуждалась возможность выполнения радиочастотной аблации для лечения ФП. Проведена компьютерная томография (КТ) легочных вен и ЛП с контрастированием (15.03.2024): объем ЛП с учетом ушка – 120 мл (N – 68,1 ± 14,8 мл). Данных за тромбоз ушка ЛП нет. Легочные вены расположены типично. Толщина слоя выпота в полости перикарда увеличилась до 9 мм. Определялся конгломерат лимфатических узлов в верхнем средостении размерами 37 × 24 мм, в других группах – до 11 мм по короткой оси.
Кроме того, при УЗИ и рентгенографии 19.03.2024 выявлен правосторонний гидроторакс, расширение срединной тени. Проведено дренирование правой плевральной полости (рис. 2), эвакуировано 1700 мл соломенно-желтой жидкости. 20.03.2024 зафиксирован очередной пароксизм ФП (см. рис. 1).
Рис. 2. Рентгенограмма органов грудной клетки пациента до (А) и после (Б) плевральной пункции. Стрелкой указан косой верхний контур уровня жидкости в правой плевральной полости на уровне переднего отрезка 4-го ребра. Синусы слева прослеживаются. Тень сердца расширена
Одышка, отеки, выпот в плевральные и перикардиальную полости, не связанные с наличием или отсутствием ФП, не уменьшившиеся после эвакуации гидроторакса, заставляли искать другие объяснения. Гипопротеинемии, электролитных расстройств не выявлено (калий – 5,3 ммоль/л (N – 3,44–5,3 ммоль/л), натрий – 139 ммоль/л (N – 131–157 ммоль/л), общий белок – 71 г/л (N – 65–85 г/л), альбумин – 32 г/л (N – 35–55 г/л), протеинурия – 0,3 г/л), функция щитовидной железы в норме.
Повторно проведена Эхо-КГ (21.03.2024, рис. 3). По сравнению с предыдущим исследованием ФВ – 46%. Отмечается «дрожание» межжелудочковой перегородки. Отсутствует скользящее движение перикарда в области верхушки и боковой стенки ЛЖ. Количество жидкости в полости перикарда небольшое, без значимой динамики в сравнении с предыдущим исследованием: за задней стенкой ЛЖ – до 8 мм, над ПЖ – до 6 мм, диастолического коллапса ПЖ нет. При доплеровском исследовании – выраженное изменение скорости кровотока от фаз дыхания: на вдохе скорость трансмитрального кровотока снижается более чем на 25%, транстрикуспидальный кровоток повышается более чем на 25%. Выраженная дилатация НПВ – диаметр 34 мм, на вдохе не коллабирует. Диастолическая функция миокарда нарушена: E/A – 0,8, Elat – 10 см/с (N > 10 см/с), Emed – 8,7 см/с (N > 7 см/с), E'lat/E'med – 1,16 (N > 1,2, annulus reversus). Выявленные изменения свидетельствовали о том, что ведущим механизмом одышки и отеков у пациента была констрикция – ограничение подвижности миокарда выпотом и ригидным перикардом [14].
Рис. 3. Эхокардиограмма пациента: А – парастернальная позиция, длинная ось ЛЖ, систола; Б – парастернальная позиция, длинная ось ЛЖ, диастола; В – доплеровское исследование транстрикуспидального кровотока; Г – доплеровское исследование трансмитрального кровотока. Ао – аорта, ЛЖ – левый желудочек, ЛП – левое предсердие, ПЖ – правый желудочек. Белый треугольник указывает прослойку жидкости в перикарде
Несмотря на описанные нарушения гемодинамики, несколько расширенные шейные вены, артериальное давление сохранялось на приемлемом уровне. Именно поэтому и с учетом небольшого количества жидкости в перикарде от проведения перикардиоцентеза решено воздержаться, хотя лабораторное исследование выпота как минимум могло бы помочь дифференцировать экссудат от транссудата.
В этот момент у пациента зафиксировано повышение температуры тела до субфебрильных значений преимущественно в вечернее время, сохранявшееся на фоне приема цефтриаксона и сопровождавшееся повышением уровня С-реактивного белка (СРБ) до 167 мг/л (N 0,1–7,0 мг/л), что подтверждало воспалительный характер поражения перикарда. Дифференциальный диагноз экссудативно-констриктивного перикардита предполагал последовательное исключение его инфекционных и неинфекционных причин. Поскольку обсуждалось назначение стероидов, НПВП или колхицина, требовалось в первую очередь надежно исключить туберкулез, несмотря на отсутствие рентгенологических признаков его легочных форм. Проведение Диаскинтеста было невозможно из-за контакта пациента с больным корью. Проведен анализ T-SPOT – результат отрицательный. В смыве, взятом при бронхоскопии атипичных клеток, кислотоустойчивых микроорганизмов, роста микроорганизмов при посеве не выявлено. Прокальцитонин не повышен (дважды). Назначены колхицин, НПВП.
Гемоглобин – 92 г/л (N – 130–170 г/л), незначительная гипохромия, микроцитоз, лейкоциты – 5,3 × 109/л (N – 3,9–10,9 × 109/л), лимфоциты – 1,8 × 109/л (N – 1,1–3,4 × 109/л), 33,1% (N – 17–48%), тромбоциты – 221 × 109/л (N – 150–340 × 109/л), скорость оседания эритроцитов – 75 мм/ч (N – 0–20 мм/ч). Железо – 9,4 мкмоль/л (N – 11,6–31,3 мкмоль/л), ферритин – 209 мкг/л (N – 20–250 мкг/л), трансферрин – 1,86 г/л (N – 2,0–3,6 г/л), общая железосвязывающая способность сыворотки – 41,9 мкмоль/л (N – 40,8–76,6 мкмоль/л).
Маркеры вирусных гепатитов, вируса иммунодефицита человека, сифилиса – отрицательны. Аланиновая трансфераза – 43 ЕД/л (N – 0–32 ЕД/л), аспарагиновая трансфераза – 105 ЕД/л (N – 0–34 ЕД/л), гамма-глутамилтранспептидаза – 120 ЕД/л (N – 0–73 ЕД/л), щелочная фосфатаза – 449 ЕД/л (N – 64–306 ЕД/л), лактатдегидрогеназа (ЛДГ) – 882 ЕД/л (N – 225–450 ЕД/л), уровень билирубина в норме. Впервые диагностирован сахарный диабет 2-го типа (гликемия – 11,2 ммоль/л, гликированный гемоглобин – 6,8%). К лечению добавлен инсулин, затем – дапаглифлозин.
Внимательно изучены анамнестические данные, касающиеся внутригрудной лимфаденопатии, динамика картины периферической крови. В феврале 2022 г. пациент перенес COVID-19, подтвержденный методом полимеразной цепной реакции (ПЦР). При КТ органов грудной клетки (ОГК) на фоне характерных изменений (КТ-2) впервые описана количественная лимфаденопатия внутригрудных лимфоузлов, выпота в серозных полостях нет. Отмечено снижение гемоглобина до 126 г/л, нормохромия, нормоцитоз. Обмен железа не исследован. В диагноз включена хроническая железодефицитная анемия легкой степени тяжести, препараты железа не назначались.
В начале декабря 2022 г. – повышение температуры тела до 38,5 °C, получал антибактериальную терапию в связи с пневмонией. ПЦР на РНК SARS-CoV-2 (14.12.2022) – отрицательно, при КТ ОГК (16.12.2022) признаки двусторонней пневмонии, возможно вирусной этиологии (КТ-1), левосторонний гидроторакс с признаками осумкования. Медиастинальная лимфаденопатия (внутригрудные лимфатические узлы размером до 11 мм, парааортальные – до 18 мм), интерпретирована как последствия перенесенной коронавирусной инфекции. Сохранялась лихорадка, нарастала слабость, масса тела снизилась на 5 кг, периодически беспокоила неангинозная боль в левой половине грудной клетки.
Пациент госпитализирован, начат очередной курс антибактериальной терапии. ПЦР на РНК SARS-CoV-2 (17.01.2023) – положительно. При Эхо-КГ (18.01.2023) полости сердца не расширены. Локальных нарушений сократимости нет, ФВ ЛЖ – 60%. Отмечено снижение гемоглобина до 102 г/л, нормохромия, нормоцитоз. Ферритин – 353 мкг/л, железо – 5,05 мкмоль/л. В диагноз вынесена хроническая железодефицитная анемия легкой степени тяжести, рекомендован прием сульфата железа. Поскольку при очередной КТ очаговых и инфильтративных изменений не обнаружено, уменьшился объем жидкости в левой плевральной полости и размер параваскулярных и паратрахеальных лимфоузлов (до 7 мм по короткой оси), пациент выписан на самоизоляцию.
С марта 2023 г. вновь стал отмечать усиление одышки при физической нагрузке, боли и дискомфорт в груди, периодически субфебрилитет, познабливание. Обследован амбулаторно, в том числе онкологом-гематологом.
При КТ ОГК (27.04.2023) поствоспалительные изменения в легких, медиастинальная лимфаденопатия (конгломерат парааортальных лимфоузлов 33 × 26 мм), минимальное количество осумкованного выпота слева, увеличение размеров сердца.
КТ органов брюшной полости и малого таза (23.11.2023) выявила умеренную спленомегалию (размеры селезенки – 120 × 60 × 140 мм), множественные аортокавальные и парааортальные лимфоузлы, единичные из которых увеличены до 12–13 мм, преимущественно в верхних отделах забрюшинного пространства. Диффузное утолщение стенок желчного пузыря (холецистит?). Гиперваскулярное образование в печени, вероятно гемангиома. Подковообразная почка. Простые кисты почек. Гиперплазия предстательной железы.
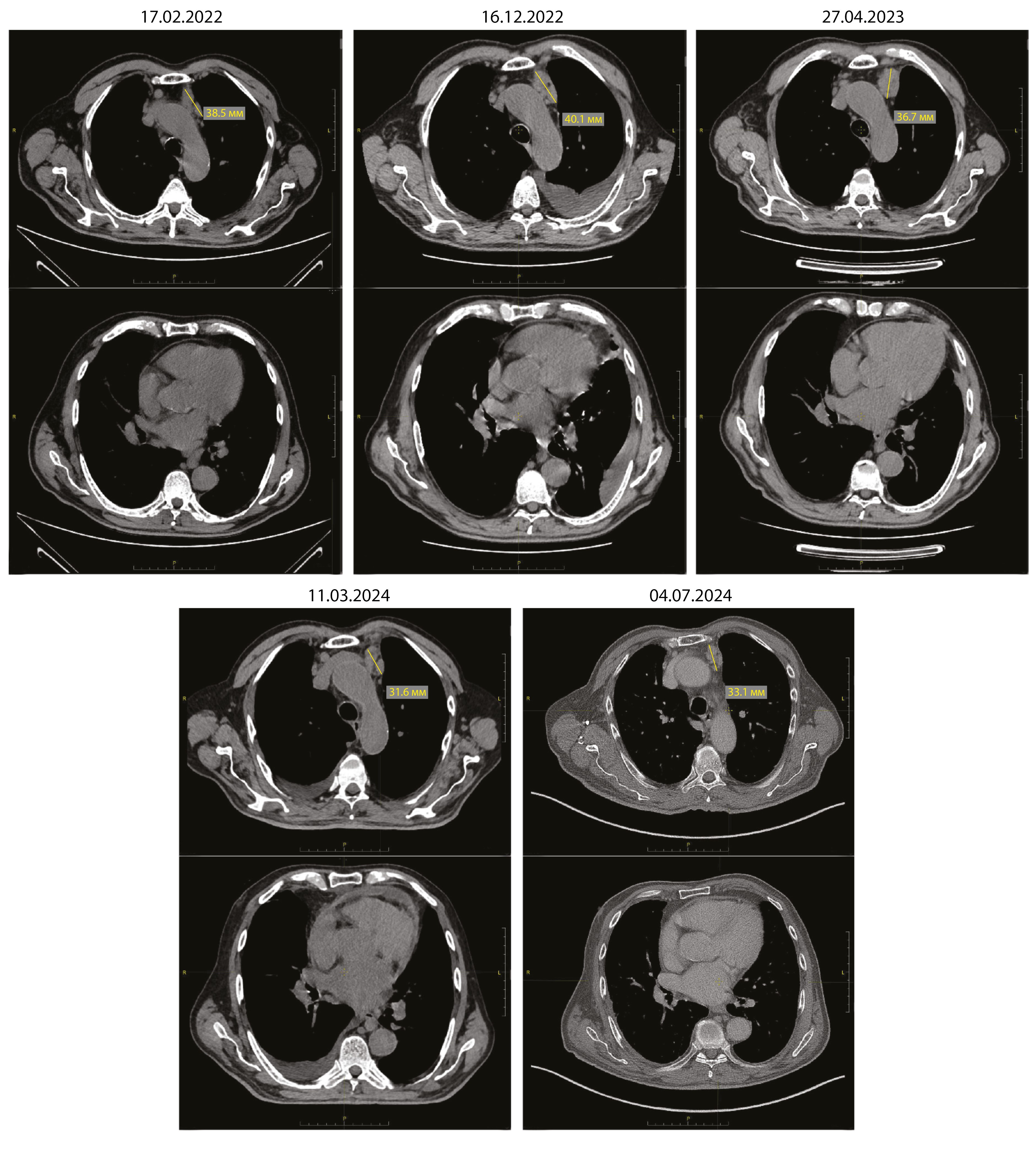
За 2 года существования лимфаденопатии средостения (КТ ОГК за это время выполнена 7 раз, рис. 4) и неспецифических изменений в периферической крови диагноз установлен не был, несмотря на обращение к онкологу.
Рис. 4. Серия КТ-изображений, отражающая длительность существования внутригрудной лимфаденопатии. В верхних рядах изображений – аксиальные срезы на уровне пакета лимфатических узлов в верхнем средостении (размер обозначен желтым маркером), в нижних – срезы, отражающие состояние перикарда. Белой стрелкой отмечена жидкость в правой плевральной полости, белым треугольником – накопление жидкости в полости перикарда в марте 2024 г.
Парааортальное расположение наиболее крупного конгломерата лимфоузлов делало весьма затруднительным получение биопсийного материала для морфологического изучения. В контексте субфебрилитета, изменений в периферической крови, повышения ЛДГ и СРБ внутригрудная лимфаденопатия определяла необходимость онкогематологического обследования. С учетом небольшой протеинурии, дорсопатии и полинейропатии, для исключения парапротеинемических гемобластозов проведено исследование белковых фракций. При уровне общего белка 71 г/л (N – 65–85 г/л) доля альбумина составила 34,72% (N – 54,4–69,7%), альфа-1-глобулина – 9,24% (N – 2,63–5,03%), альфа-2-глобулина – 18,26% (N – 4,87–10,48%), бета-1-глобулина – 3,88% (N – 5,35–9,19%), бета-2-глобулина – 2,39% (N – 2,38–7,11%), гамма-глобулина – 31,52% (N – 9,69–18,9%). В области фракции гамма-глобулинов обнаружен М-градиент, представленный иммуноглобулинами G и каппа (рис. 5).
Рис. 5. Электрофорез белковых фракций. Заштрихован пик в зоне гамма-глобулинов, представленный иммуноглобулинами G и каппа. α-1 – альфа-1-глобулин, α-2 – альфа-2-глобулин, β-1 – бета-1-глобулин, β-2 – бета-2-глобулин, γ – гамма-глобулин
Литических костных повреждений, значимой почечной недостаточности, гиперкальциемии не было (креатинин – 139 мкмоль/л (N – 71–115 мкмоль/л), кальций общий – 2,14 ммоль/л (N – 1,90–2,75 ммоль/л), ионизированный – 1,16 ммоль/л (N – 1,13–1,31 ммоль/л)), что исключало множественную миелому и заставляло искать другой источник парапротеина. Клинико-инструментальных признаков экстрамедуллярных плазмоцитом, амилоидоза не было.
Проведена стернальная пункция, миелограмма в норме. Иммунофенотипирование лимфоцитов периферической крови выявило наличие моноклональной популяции В-лимфоцитов с фенотипом CD19κ+CD5+CD23-CD43+СD20highCD38+CD200-CD10-, характерным для лейкемизации зрелоклеточной В-клеточной лимфомы. Выполнена трепанобиопсия костного мозга, иммуногистохимическое исследование биоптата подтвердило наличие циклина D1, что свидетельствовало о лимфоме зоны мантии1.
С некоторой положительной динамикой (уменьшение болей в прекардиальной области, одышки, слабости) больной выписан, направлен к гематологу.
Уточненный клинический диагноз выглядел следующим образом.
Основной диагноз: лимфома из клеток зоны мантии с поражением всех групп периферических лимфатических узлов, медиастинальных лимфатических узлов, костного мозга. Стадия IVВ.
Фон: ишемическая болезнь сердца: постинфарктный кардиосклероз (2021), стеноз средней трети правой коронарной артерии 45–50%. Гипертоническая болезнь III стадии, 2-й степени, риск сердечно-сосудистых осложнений 4. Персистирующая форма ФП, нормосистолия. Сахарный диабет 2-го типа.
Осложнения: констриктивно-выпотной перикардит. Двусторонний гидроторакс. Анемия легкой степени тяжести. Дистальная полинейропатия нижних конечностей, сенсорная форма. Окклюзионный тромбоз задних большеберцовых и суральных вен слева. OU (лат. oculus uterque – оба глаза) – гипертоническая ангиопатия сетчатки.
Сопутствующий диагноз: подковообразная почка. Простые кисты почек. Хроническая болезнь почек стадии С3б (скорость клубочковой фильтрации – 51,5 мл/мин/1,73 м2). Дорсопатия. Стеноз спинномозгового канала на уровне поясничного отдела позвоночника. ГПОД. Гемангиома печени. Доброкачественная гиперплазия предстательной железы. Дисциркуляторная энцефалопатия. ОU – начальная катаракта.
В течение следующих 5 месяцев пациент получил 5 курсов химиотерапии по программе RB (ритуксимаб + бендамустин) с положительным эффектом. По данным проведенного промежуточного обследования, включая позитронно-эмиссионную томографию, достигнута ремиссия заболевания.
Одышка, боли в груди, перебои в работе сердца, приступы учащенного сердцебиения не беспокоят. Пароксизмы ФП не рецидивировали. Отеков нет. Переносимость физических нагрузок лимитирована неврологической симптоматикой (слабость, онемение нижних конечностей вследствие полинейропатии, дорсопатии).
Обсуждение
Вовлечение перикарда не редкость при онкологических заболеваниях, однако при манифестации опухоли перикардитом или выпотом в перикард трудно установить точную этиологию [15].
Описанный случай представляет интерес, поскольку служит иллюстрацией того, как методичное следование дифференциально-диагностическим алгоритмам приводит, пусть и непростым путем, к успешному установлению диагноза и лечению. Обследование пациента в 2023 г. по поводу внутригрудной лимфаденопатии, выявленной при диагностике коронавирусной пневмонии, по каким-то причинам не было завершено. Прогрессия лимфопролиферативного заболевания не только сопровождалась эпизодами субфебрилитета и похудением, но и привела к выпоту в плевральную полость и перикард, что обусловило возникновение и персистирование ФП, одышку, дискомфорт в груди, отеки, определявшие плохое самочувствие пациента. Стандартное кардиологическое обследование не позволило связать плохое самочувствие с нарушением ритма сердца и объяснить его распространенной патологией – ишемической болезнью сердца, артериальной гипертензией, электролитными нарушениями, тиреоидной дисфункцией. Выделение центрального механизма кардиальных жалоб (констрикции из-за вовлечения перикарда и накопления жидкости в его полости) в контексте повышения температуры, уровня СРБ без признаков инфекции заставило последовательно исключать причины экссудативного перикардита (туберкулез, опухоли). Ревизия анамнестических обследований по поводу лимфаденопатии позволила выйти за рамки узкоспециального, кардиологического взгляда на проблему. У пациента отсутствовал лимфоцитоз (не являющийся обязательным признаком лимфомы), однако установлено увеличение размеров селезенки, анемия смешанного происхождения. Выявление М-градиента в зоне гамма-глобулинов в отсутствие других признаков парапротеинемических гемобластозов определяло необходимость поиска других источников продукции парапротеина. При иммунофенотипировании лимфоцитов периферической крови обнаружены признаки лейкемизации зрелоклеточной В-клеточной лимфомы, при иммуногистохимическом исследовании подтверждена лимфома зоны мантии. Вероятно, полинейропатию в отсутствие алкоголизма и длительного течения сахарного диабета также можно рассматривать в контексте паранеопластических проявлений лимфомы вместе с анемией.
Лимфома из клеток мантии (мантийноклеточная лимфома) – зрелоклеточная В-клеточная лимфома, которая в большинстве случаев имеет агрессивное течение, но описаны и индолентные варианты, составляющие около 3–10% всех вновь диагностированных случаев неходжкинских лимфом. Болеют преимущественно мужчины старше 60 лет (соотношение мужчин и женщин > 2:1). Считается, что в Российской Федерации ежегодно должно выявляться не менее 2500 новых случаев1.
В крупном анализе изучено 48 работ, объединивших данные 52 случаев тампонады сердца, связанной с лимфопролиферативными заболеваниями. У большинства (80,8%) пациентов лимфома диагностирована до развития тампонады. Только 6 больных имели первичную лимфому сердца, в остальных случаях его поражение было вторичным. Сорок девять пациентов страдали неходжкинскими лимфомами, в 42,9% случаев – диффузной крупноклеточной В-клеточной. Подавляющее большинство (94,2%) пациентов жаловались на одышку, около 35% – на лихорадку, ознобы, ночную потливость, боли в мышцах или слабость. Гипотензия отмечена только у 12 пациентов, расширение шейных вен – у 13. Эхокардиографическое исследование проведено 65,4% пациентов, выпот в перикард обнаружен у 82,4% из них, диастолический коллапс ПЖ – у 10 пациентов, ЛЖ – у 3. В 23% наблюдений отмечено повышение ЛДГ, лейкоцитоз – только у 6 пациентов. Перикардиоцентез проведен в 63,5% случаев. Медиана выживаемости составила 4 месяца (95% доверительный интервал 0–12 месяцев), статистически значимых отличий выживаемости пациентов с диагностированной ранее лимфомой и пациентов, у которых лимфома диагностирована в ходе обследования в связи с тампонадой, не установлено [1].
Заключение
Представленное клиническое наблюдение иллюстрирует успешное применение мультидисциплинарной командой нескольких дифференциально-диагностических алгоритмов (одышки, перикардита, лимфаденопатии), позволивших диагностировать редкое онкогематологическое заболевание у пациента, первоначально считавшегося кардиологическим, и направить его на специализированное лечение.
Дополнительная информация
Согласие пациента
Пациент добровольно подписал информированное согласие на публикацию персональной медицинской информации в обезличенной форме в журнале «Альманах клинической медицины».
Финансирование
Работа выполнена по инициативе авторов без привлечения финансирования на базе ГБУЗ «Городская клиническая больница имени В.М. Буянова Департамента здравоохранения города Москвы».
Конфликт интересов
Авторы декларируют отсутствие явных и потенциальных конфликтов интересов, связанных с содержанием настоящей статьи.
Участие авторов
Р.В. Биняковский – сбор и обработка материала, написание текста, редактирование; С.В. Борисовская – сбор и обработка материала, редактирование; О.Д. Захаров – сбор и обработка материала, редактирование; Д.Г. Киселев – сбор и обработка материала, редактирование; С.В. Лепков – сбор и обработка материала; А.В. Мелехов – концепция, сбор и обработка материала, написание текста, редактирование; И.Г. Никитин – утверждение окончательного варианта статьи для публикации; А.В. Саликов – утверждение окончательного варианта статьи для публикации. Все авторы прочли и одобрили финальную версию статьи перед публикацией, согласны нести ответственность за все аспекты работы и гарантируют, что ими надлежащим образом были рассмотрены и решены вопросы, связанные с точностью и добросовестностью всех частей работы.
1 Лимфома из клеток мантии. Клинические рекомендации Ассоциации онкологов России, Национального гематологического общества, Общества онкогематологов. 2020. Доступно по: https://oncology-association.ru/wp-content/uploads/2021/02/limfoma-iz-kletok-mantii.pdf (дата обращения 01.08.2024).
About the authors
Rostislav V. Binyakovskiy
V.M. Buyanov City Clinical Hospital of Moscow Healthcare Department
Email: Binyakovskiy@gmail.com
ORCID iD: 0000-0002-7371-0754
Therapist, Therapeutic Department No 1
Russian Federation, ul. Bakinskaya 26, Moscow, 115516Svetlana V. Borisovskaya
V.M. Buyanov City Clinical Hospital of Moscow Healthcare Department; N.I. Pirogov Russian National Research Medical University
Email: svabor@inbox.ru
ORCID iD: 0000-0002-9365-1472
MD, PhD, Head of the Therapy Department No 1; Associate Professor of Internal Disease Department named after Academician G.I. Storozhakov, Faculty of Medicine (Institute of Clinical Medicine)
Russian Federation, ul. Bakinskaya 26, Moscow, 115516; ul. Ostrovityanova, 1, Moscow, 117997Oleg D. Zaharov
Moscow Multidisciplinary Clinical Center “Communarka”
Email: mmcc@zdrav.mos.ru
Hematologist, Head of Hematology Department
Russian Federation, ul. Sosenskiy stan, 8, Moscow, 108814Dmitry G. Kiselev
V.M. Buyanov City Clinical Hospital of Moscow Healthcare Department
Email: 5047686@gmail.com
ORCID iD: 0009-0005-4009-7251
Head of Cardiology Department No 2
Russian Federation, ul. Bakinskaya 26, Moscow, 115516Sergey V. Lepkov
N.I. Pirogov Russian National Research Medical University
Email: megafarm@inbox.ru
ORCID iD: 0009-0005-1182-8836
MD, PhD, Associate Professor of Internal Disease Department named after Academician G.I. Storozhakov, Faculty of Medicine (Institute of Clinical Medicine)
Russian Federation, ul. Ostrovityanova, 1, Moscow, 117997Alexander V. Melekhov
N.I. Pirogov Russian National Research Medical University
Author for correspondence.
Email: Melekhov.aleksandr@yandex.ru
ORCID iD: 0000-0002-1637-2402
MD, PhD, Associate Professor, Professor of Internal Disease Department named after Academician G.I. Storozhakov, Faculty of Medicine (Institute of Clinical Medicine)
Russian Federation, ul. Ostrovityanova, 1, Moscow, 117997Igor G. Nikitin
N.I. Pirogov Russian National Research Medical University
Email: igor.nikitin.64@mail.ru
ORCID iD: 0000-0003-1699-0881
MD, PhD, Professor, Head of Internal Disease Department named after Academician G.I. Storozhakov, Faculty of Medicine (Institute of Clinical Medicine)
Russian Federation, ul. Ostrovityanova, 1, Moscow, 117997Alexander V. Salikov
V.M. Buyanov City Clinical Hospital of Moscow Healthcare Department; N.I. Pirogov Russian National Research Medical University
Email: glav-vrach@gkb-buyanova.ru
MD, PhD, Chief Physician of the V.M. Buyanov City Clinical Hospital, Associate Professor of General Surgery Chair
Russian Federation, ul. Bakinskaya 26, Moscow, 115516; ul. Ostrovityanova, 1, Moscow, 117997References
- Shareef MA, Eshaq AM, Alshawaf R, Alharthi E, Al Muslat AA, AbuDawas R, AlAmodi AA. Case study-based systematic review of literature on lymphoma-associated cardiac tamponade. Contemp Oncol (Pozn). 2021;25(1):57–63. doi: 10.5114/wo.2021.103828.
- Arutyunov GP, Paleev FN, Tarlovskaya EI, Moiseeva OM, Arutyunov AG, Koziolova NA, Chesnikova AI, Rebrov AP, Shaposhnik II, Petrova MM, Grigorieva NYu, Fomin IV, Orlova YaA, Malchikova SV, Koroleva LYu, Nosov VP, Ayvazyan SA, Zairatyants OV, Sinitsyn VE, Vasyuk YuA, Gendlin GE, Dragunov DO, Sokolova AV, Irtyuga OB. Pericarditis. Clinical Guidelines 2022. Russian Journal of Cardiology. 2023;28(3):5398. Russian. doi: 10.15829/1560-4071-2023-5398.
- Adler AC, Cestero C. Symptomatic pericardial effusion in Hodgkin's lymphoma: A rare occurrence. Case report and review of the literature. Tumori. 2012;98(2):50e–52e. doi: 10.1700/1088.11949.
- Guastafierro S, Cappabianca S, Falcone U. Pericardial effusion due to pericardium involvement by Hodgkin's lymphoma. Ann Hematol. 2013;92(6):853–854. doi: 10.1007/s00277-012-1638-4.
- Hajra A, Bandyopadhyay D, Layek M, Mukhopadhyay S. Cardiac tamponade as initial presentation of Hodgkin lymphoma. J Clin Imaging Sci. 2015;5:67. doi: 10.4103/2156-7514.172971.
- Matos Sousa R, Nogueira C, Vilela MJ, Neves Correia F, Silva Araújo C, Ribeiro M, Capela C. A rare first presentation of Hodgkin's lymphoma: Symptomatic pericardial effusion. Cureus. 2023;15(10):e46731. doi: 10.7759/cureus.46731.
- Casey DJ, Kim AY, Olszewski AJ. Progressive pericardial effusion during chemotherapy for advanced Hodgkin lymphoma. Am J Hematol. 2012;87(5):521–524. doi: 10.1002/ajh.22239.
- Cay S, Durak A, Aydoğdu S, Turhan N. Massive pericardial effusion as the primary manifestation of high-grade malignant lymphoma. Turk Kardiyol Dern Ars. 2009;37(8):578–579.
- Alizadeh B, Shaye Z, Badiea Z, Dehghanian P. Massive pericardial effusion as the first manifestation of childhood non-Hodgkin's lymphoma: A case report. Clin Case Rep. 2021;9(11):e05105. doi: 10.1002/ccr3.5105.
- Yamaji S, Kamezaki K, Shinchi M, Takizawa K, Abe C, Koike A, Kuroiwa M. Cardiac tamponade as an initial manifestation of diffuse large B-cell lymphoma one year after IgG4-related disease in remission. Intern Med. 2024;63(5):721–727. doi: 10.2169/internalmedicine.2044-23.
- Belokhvostikova TS, Khoroshih OV, Kanja ON, Kanja OV, Kaporskaja TS, Rebrikov AN, Kiseleva NV, Vereshchagina SA, Kiselyov IV. Case of primary effusion lymphoma in the HIV-infected patient. Clinical Oncohematology. 2011;4:340–343. Russian.
- Yunoki K, Naruko T, Ohashi J, Fujimoto K, Shimamura K, Shirai N, Komatsu R, Sakanoue Y, Kubo Y, Hai E, Inoue T, Itoh A, Haze K. Primary effusion lymphoma complicating cardiac tamponade: a case report. J Cardiol. 2007; 49(4):205–210.
- Das DK. Serous effusions in malignant lymphomas: A review. Diagn Cytopathol. 2006;34(5): 335–347. doi: 10.1002/dc.20432.
- Okhotin AN, Osipov MA. Constrictive pericarditis: diagnostic challenges. Russian Journal of Cardiology and Cardiovascular Surgery. 2020;13(5):403–412. Russian. doi: 10.17116/kardio202013051403.
- Wilhite DB, Quigley RL. Occult cardiac lymphoma presenting with cardiac tamponade. Tex Heart Inst J. 2003;30(1):62–64.
Supplementary files












