Кровоизлияние в соматотропиному как первый повод для обследования пациентки с ранее не диагностированными акромегалией и папиллярным раком щитовидной железы
- Авторы: Нуруллина Г.М.1,2, Пушкарев И.Н.1, Пигарова Е.А.3, Латкина Н.В.3, Ахмадуллина Г.И.1
-
Учреждения:
- ФГБОУ ВО «Ижевская государственная медицинская академия» Минздрава России
- БУЗ УР «Первая республиканская клиническая больница Минздрава Удмуртской Республики»
- ФГБУ «Национальный медицинский исследовательский центр эндокринологии» Минздрава России
- Выпуск: Том 51, № 2 (2023)
- Страницы: 126-133
- Раздел: КЛИНИЧЕСКИЕ НАБЛЮДЕНИЯ
- URL: https://bakhtiniada.ru/2072-0505/article/view/149009
- DOI: https://doi.org/10.18786/2072-0505-2023-51-011
- ID: 149009
Цитировать
Полный текст
Аннотация
Апоплексия гипофиза – редкое острое состояние, которое может быть вызвано кровоизлиянием в аденому гипофиза или возникать вследствие ее ишемии. Клиническая симптоматика сопровождается выраженной головной болью, тошнотой, рвотой, светобоязнью, зрительными и глазодвигательными нарушениями, потерей сознания, а также может приводить к снижению выработки гипофизом ряда гормонов – гипопитуитаризму. Мы приводим клиническое наблюдение пациентки 42 лет с ранее не диагностированными акромегалией и папиллярным раком щитовидной железы. Поводом для обследования стали клинические проявления апоплексии гипофиза. По поводу папиллярного рака щитовидной железы была проведена гемитиреоидэктомия справа с центральной и боковой лимфаденэктомией с последующей терапией радиоактивным йодом в связи с повышенным риском прогрессирования рака. Кровоизлияние в аденому гипофиза у данной пациентки привело к пангипопитуитаризму и ремиссии акромегалии, и показатели инсулиноподобного фактора роста 1 и соматотропного гормона в ходе орального глюкозотолерантного теста оказались в пределах нормальных значений, что усложнило постановку диагноза акромегалии.
Полный текст
Акромегалия – нейроэндокринное заболевание, возникающее вследствие опухоли передней доли гипофиза, секретирующей избыточное количество соматотропного гормона (СТГ), что, в свою очередь, приводит к повышенной выработке инсулиноподобного фактора роста 1 (ИФР-1) в печени. Длительное воздействие СТГ и ИФР-1 на организм способствует характерному изменению внешнего вида за счет увеличения размера кистей, стоп, носа, языка, надбровных дуг, появления прогнатизма, а также изменению тембра голоса. При акромегалии могут наблюдаться синдром обструктивного апноэ во сне, нарушение работы сердечно-сосудистой и эндокринной систем [1], повышен риск развития злокачественных новообразований [2].
Распространенность апоплексии гипофиза составляет от 0,2 до 0,6% в общей популяции и может варьировать от 2 до 12% у пациентов с аденомами гипофиза [3, 4].
В данном клиническом наблюдении мы описываем случай акромегалии, осложнившейся кровоизлиянием в опухоль и пангипопитуитаризмом, вследствие чего показатели ИФР-1 и СТГ в ходе орального глюкозотолерантного теста (ОГТТ) снизились и соответствовали референсным значениям, что усложнило диагностику акромегалии.
Клиническое наблюдение
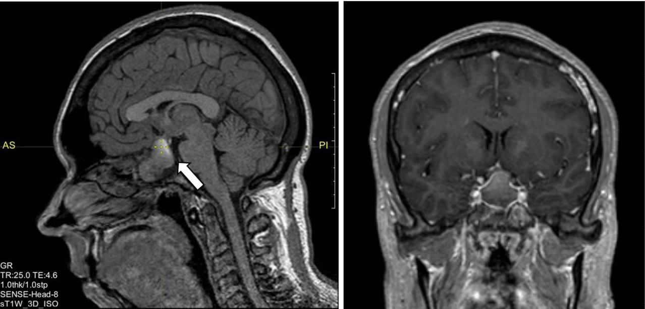
Женщина 42 лет 09.12.2020 была доставлена бригадой скорой медицинской помощи с подозрением на острое нарушение мозгового кровообращения в приемное отделение БУЗ УР «1 РКБ МЗ УР» с жалобами на сильную головную боль в лобной области, повышение артериального давления (АД) до 160/100 мм рт. ст., общую слабость, повышение температуры тела до 37,5 °C, по поводу чего принимала метамизол натрия без эффекта. По результатам компьютерной томографии головного мозга данных за острое нарушение мозгового кровообращения выявлено не было; обнаружена макроаденома гипофиза размерами 28 × 21 × 22 мм с интра-, инфраселлярным ростом, распространявшаяся из гипофизарной ямки через разрушенное дно турецкого седла в полость основной пазухи. По данным далее проведенной магнитно-резонансной томографии (МРТ) гипофиза с контрастированием подтверждена макроаденома гипофиза размерами 22 × 32 × 23 мм с супра-, инфра-, латероселлярным ростом с компрессией воронки гипофиза, хиазмы зрительных нервов слева, охватом внутренней сонной артерии с двух сторон (рис. 1). Гормональное исследование от 12.01.2021: ИФР-1 – 49,8 нг/мл (43–209)1 [1]. При компьютерной сферопериметрии выявлены единичные периферические относительные скотомы, абсолютные скотомы правого глаза и рассеянные относительные скотомы левого глаза.
Рис. 1. Магнитно-резонансная томография гипофиза с контрастным усилением, Т1-взвешенные изображения. Визуализируется макроаденома гипофиза с супра-, инфра-, латероселлярным ростом с кровоизлиянием (указана стрелкой)
С 01.01.2021 пациентку начали беспокоить выраженная общая слабость, головная боль, тошнота, рвота до 3 раз. С 14.01.2021 по 22.01.2021 находилась на стационарном лечении в эндокринологическом отделении БУЗ УР «1 РКБ МЗ УР» для дообследования и уточнения тактики лечения. При сборе анамнеза было уточнено, что пациентка отметила увеличение размеров стоп с 39-го по 41-й, утолщение пальцев кистей с 2014 г., снижение остроты зрения, боли в коленных суставах и суставах кистей с 2016 г., повышение АД до 145/100 мм рт. ст. с 2019 г. (адаптирована к 110/80 мм рт. ст.), сопровождающееся головными болями, отсутствие менструаций с 2019 г., появление храпа с 2020 г. В 2012 г. пациентка перенесла субтотальную резекцию левой доли щитовидной железы по поводу узлового зоба на фоне ранее выявленного аутоиммунного тиреоидита, в связи с чем регулярно принимает левотироксин натрия в дозе 50 мкг за 30 минут до завтрака внутрь. Лабораторное исследование от 21.12.2020: тиреотропный гормон (ТТГ) – 0,1 мкМЕ/мл, свободный тироксин (св. Т4) – 10,4 пмоль/л, антитела к тиреопероксидазе – 215,7 Ед/мл. Имеет сопутствующие заболевания: псориаз, хронический гастрит в фазе ремиссии, миопию слабой степени обоих глаз. Помимо приема левотироксина натрия, другой базисной медикаментозной терапии не получает. Гинекологический анамнез: менструации регулярные с 14 лет до 41 года, в 41 год наступила аменорея, 6 беременностей, 1 роды, 1 выкидыш, 4 аборта.
При осмотре состояние удовлетворительное, сознание ясное. Рост – 170 см, масса тела – 75 кг, индекс массы тела – 25,9 (кг/м2). Кожные покровы физиологической окраски, псориатические бляшки на локтях физиологической влажности, нормальной температуры. Обращает на себя внимание изменение внешности по акромегалоидному типу: укрупнение черт лица (губы, нос), утолщение пальцев рук, широкие стопы, низкий тембр голоса. На передней поверхности шеи послеоперационный рубец. Правая доля щитовидной железы не увеличена, мягко-эластической консистенции, при пальпации безболезненная, с узловыми образованиями до 1,5 см. Глазные симптомы отрицательные. Дыхание везикулярное, без хрипов, частота дыхательных движений – 15 в минуту. Тоны ясные, ритмичные. Шумов нет. АД – 105/75 мм рт. ст., частота сердечных сокращений – 66 в минуту, дефицита пульса нет. Живот обычной формы, мягкий, безболезненный. Печень по краю реберной дуги. Симптом поколачивания отрицательный с обеих сторон. Отеки, пастозность отсутствуют.
При исследовании СТГ в ходе ОГТТ от 15.01.2021 выявлено подавление СТГ во всех точках менее 1 нг/мл (табл. 1). По данным лабораторного обследования диагностирован пангипопитуитаризм: вторичный гипокортицизм, вторичный гипотиреоз, вторичный гипогонадизм, дефицит пролактина (табл. 2). Проба мочи по Зимницкому от 18.12.2021: суточный диурез – 1800 мл, удельная плотность варьирует от 1001 до 1010 г/л. По результатам биохимического анализа крови от 15.01.2021 выявлена дислипидемия (липопротеиды низкой плотности – 6,46 ммоль/л).
Таблица 1. Динамика данных соматотропного гормона в ходе орального глюкозотолерантного теста
Гормональный профиль | Дата | |||
15.01.2021 | 17.02.2021 | 07.09.2021 | 12.01.2023 | |
СТГ базальный, нг/мл | 0,64 (0,06–5,0) | 1,98 (0,06–6,9) | 1,53 (0,06–6,9) | 1,56 (0,06–5,0) |
СТГ через 30 минут после приема 75 г глюкозы, нг/мл | 0,76 (< 1,0) | 1,78 (< 1,0) | – | 1,79 (< 1,0) |
СТГ через 60 минут после приема 75 г глюкозы, нг/мл | 0,76 (< 1,0) | 1,61 (< 1,0) | – | 1,42 (< 1,0) |
СТГ через 90 минут после приема 75 г глюкозы, нг/мл | 0,74 (< 1,0) | 1,49 (< 1,0) | – | 1,34 (< 1,0) |
СТГ через 120 минут после приема 75 г глюкозы, нг/мл | 0,92 (< 1,0) | 1,57 (< 1,0) | – | 1,26 (< 1,0) |
СТГ – соматотропный гормон
В скобках указаны референсные интервалы показателя лаборатории, в которой проводилось исследование
Таблица 2. Динамика данных гормонального исследования
Гормональный профиль | Дата | |||||
15.01.2021 | 17.02.2021 | 07.09.2021 | 09.11.2021 | 17.02.2022 | 12.01.2023 | |
ИФР-1, нг/мл | 49,8 (43–209) | 202,4 (51–271) | 269,2 (51–271) | 289,2 (94–269) | 258 (101–267) | 171,3 (83–220) |
Пролактин, мМЕ/л | 37,3 (40–530) | 30,8 (64–395) | 30,8 (94–500) | – | ||
ТТГ, мкМЕ/мл | 0,36 (0,4–4,0) | 0,046 (0,25–3,5) | – | 0,13 (0,4–4,0) | ||
Св. Т4, пмоль/л | 9,97 (9,3–21,5) | 13,55 (9–19) | – | 14,0 (9,3–21,5) | ||
АКТГ, пг/мл | Менее 5,0 (9–46) | – | 7,76 (7,2–63,3) | – | ||
Кортизол крови базальный, нмоль/л | Менее 27,6 (138–690) | – | 1,52 (171–536) | Менее 27,6 (138–690) | ||
ФСГ, мМЕ/мл | 2,18 (2,8–11,3) | – | 2,55 (1,9–11,7) | – | ||
ЛГ, мМЕ/мл | 0,6 (1,1–11,6) | – | 0,677 (2,6–12,1) | – | ||
Эстрадиол, пг/мл | Менее 20 (30–160) | – | – | – | ||
Паратгормон, пг/мл | – | 50,98 (15–65) | – | 28,0 (10–65) | ||
АКТГ – адренокортикотропный гормон, ИФР-1 – инсулиноподобный фактор роста 1-го типа, ЛГ – лютеинизирующий гормон, Св. Т4 – свободный тироксин, ТТГ – тиреотропный гормон, ФСГ – фолликулостимулирующий гормон
В скобках указаны референсные интервалы показателя лаборатории, в которой проводилось исследование
Для компенсации гипопитуитаризма назначена заместительная терапия гидрокортизоном 20 мг/сут (10 мг утром внутрь, 5 мг в обед внутрь, 5 мг вечером внутрь после еды), увеличена доза левотироксина натрия до 75 мкг/сут, рекомендовано воздержаться от заместительной гормональной терапии по поводу гипогонадизма до проведения нейрохирургического лечения и необходимого дообследования (ультразвуковое исследование (УЗИ) органов малого таза, цитология шейки матки, маммография). На фоне медикаментозной терапии пациентка отмечала значительное улучшение самочувствия за счет уменьшения слабости, прекращения тошноты и рвоты.
По данным УЗИ щитовидной железы от 15.01.2021: суммарный объем – 20,0 см3, структура изоэхогенная и неоднородная с множественными очаговыми изменениями по всей поверхности правой доли до 12 мм в диаметре (EU-TIRADS 3) и гипоэхогенным образованием в области перешейка с микрокальцинатами в центре размерами 18 × 11 × 17 мм со смешанным типом кровотока при цветном доплеровском картировании (EU-TIRADS 4). УЗИ показало увеличение шейных лимфатических узлов слева в виде единого конгломерата общим размером 30 × 15 × 16 мм. Проведена тонкоигольная аспирационная биопсия от 15.01.2021, результат которой подтвердил папиллярную карциному (Bethesda VI). Анализ крови на кальцитонин – менее 2,0 пг/мл (0,00–11,50). Пациентка была направлена в Государственный научный центр Российской Федерации (ГНЦ РФ) ФГБУ «НМИЦ эндокринологии» Минздрава России для определения необходимости в нейрохирургическом лечении, очередности хирургических вмешательств, предоперационной подготовки и определения дальнейшей тактики лечения.
В феврале 2021 г. находилась на госпитализации в ГНЦ РФ ФГБУ «НМИЦ эндокринологии» Минздрава России. Верифицирован диагноз акромегалии по данным СТГ > 1 нг/мл в ходе ОГТТ (см. табл. 1) и с учетом характерной клинической симптоматики при нормальном уровне ИФР-1 – 202,4 нг/мл (51–271). По данным МРТ от 17.02.2021 визуализирована аденома гипофиза с кровоизлиянием размерами 16,5 × 20 × 23 мм с супра-, инфра-, антеселлярным ростом, размеры которой уменьшились по сравнению с результатом от декабря 2020 г. Пациентка консультирована нейрохирургом – рекомендовано трансназальное нейрохирургическое лечение. Одновременно был подтвержден папиллярный рак щитовидной железы с метастазами в региональные лимфоузлы. Первым этапом лечения рекомендовано проведение хирургического лечения папиллярного рака щитовидной железы. В связи с нецелевыми значениями св. Т4 на фоне приема 75 мкг левотироксина (св. Т4 13,55 пмоль/л (9–19)) доза препарата была увеличена до 100 мкг в сутки.
01.06.2021 проведена гемитиреоидэктомия справа с центральной и боковой лимфаденэктомией в ГНЦ РФ ФГБУ «НМИЦ эндокринологии» Минздрава России. В протоколе операции отмечен выраженный рубцовый процесс в ложе левой доли щитовидной железы, в перешейке определено образование размером 3 см, интимно спаянное с трахеей, переходящее на правую долю щитовидной железы. В послеоперационном периоде у пациентки наблюдалась транзиторная гипокальциемия: общий кальций – 1,99 ммоль/л (2,15–2,55), кальций ионизированный – 0,96 ммоль/л (1,03–1,29), паратгормон – 12,87 пг/мл (15–65) от 02.06.2021. Проводилась антибактериальная, анальгетическая, симптоматическая терапия, увеличена дозировка левотироксина натрия до 125 мкг/сут до достижения расчетной дозы 1,6 мкг на кг массы тела, назначен карбонат кальция 1500 мг/сут с последующим контролем паратгормона, альбумин-скорректированного кальция крови. По данным гистологического исследования в правой доле щитовидной железы выявлены множественные фокусы папиллярного рака с участками различного строения (классического, солидного, фолликулярного), окруженные фиброзной капсулой максимальным размером 0,6 см. Вне опухолей ткань доли щитовидной железы узловая с выраженной лимфоцитарной инфильтрацией. Материал, маркированный как «перешеек», микроскопически был представлен разрастанием папиллярного рака (максимальным размером 2,5 см) также смешанного строения, преимущественно солидного с участками плоскоклеточной метаплазии среди фиброзно-жировой и мышечной ткани с множественными фокусами сосудистой инвазии. На одном из полюсов определялся участок сохранной ткани щитовидной железы нормофолликулярного строения, что свидетельствовало о субтотальном замещении ткани перешейка. Материал, маркированный как «боковая клетчатка», был представлен 4 лимфатическими узлами, в одном из которых определялся метастаз папиллярного рака с тотальным замещением собственной ткани узла, признаками инвазии его капсулы и минимальным распространением в прилежащую фиброзную ткань максимальным размером 3 см, при этом сохранная ткань лимфоузла определялась на малом участке на одном из полюсов. С учетом клинических данных и данных морфологического исследования микропрепарата, представленных правой долей щитовидной железы, установлен диагноз «папиллярный рак щитовидной железы pTЗN1bM0R1, I стадия». Учитывая гистопатологические характеристики опухоли, характер и объем поражения, пациентка была отнесена к группе повышенного риска прогрессирования рака щитовидной железы, в связи с чем рекомендовано проведение плановой терапии радиоактивным йодом.
За период с февраля по сентябрь 2021 г. отмечала значительное улучшение самочувствия: уменьшение головных болей и болей в суставах, регресс храпа, уменьшение размера ноги, отечности рук, лица. С 6 по 9 сентября 2021 г. находилась в ГНЦ РФ ФГБУ «НМИЦ эндокринологии» Минздрава России с целью оценки гормонального статуса и выработки дальнейшей тактики ведения по поводу акромегалии. По данным контрольного гормонального исследования крови (см. табл. 2) у пациентки отмечена ремиссия акромегалии в исходе кровоизлияния в опухолевую ткань с развитием пангипопитуитаризма. Учитывая компенсированное течение, отсутствие зрительных нарушений, абсолютных показаний к оперативному лечению не было. Проведена консультация гинеколога, диагностирована множественная миома матки, рекомендовано цитологическое исследование шейки матки, маммография для решения вопроса о назначении заместительной терапии гипогонадизма. Рекомендовано динамическое наблюдение образования гипофиза по месту жительства, контроль СТГ, ИФР-1 через 6 месяцев, увеличение дозировки левотироксина натрия до 150 мкг/сут, уменьшение дозы гидрокортизона до 10 мг утром и 5 мг в 16:00.
24.06.2022 проведена терапия радиоактивным йодом в дозе 3620 МБк натрия йодида (131I), с предварительным введением человеческого рекомбинантного ТТГ (препарат тиротропин альфа) и последующим возобновлением приема левотироксина натрия в дозе 150 мкг/сут. На посттерапевтических сцинтиграммах в проекции ложа щитовидной железы на фоне диффузного накопления радиофармпрепарата (РФП) вследствие отека мягких тканей шеи и средостения: в проекции средней (по срединной линии) и нижней третей шеи (2 очага – по обе стороны от срединной линии) выявлены 3 прилежащих друг к другу фокуса гиперфиксации РФП высокой интенсивности. Отмечается также диффузная гиперфиксация РФП в проекции задних отделов обоих легких (визуализируется исключительно в задней проекции). Однофотонная эмиссионная компьютерная томография, совмещенная с компьютерной томографией: визуализируются фокусы гиперфиксации РФП – кпереди от щитовидного хряща, паратрахеально справа и слева, соответствующие накоплению РФП в остаточной тиреоидной ткани. Патологического включения РФП в легких и скелете не выявлено (рис. 2).
Рис. 2. Посттерапевтическая сцинтиграфия + однофотонная эмиссионная компьютерная томография, совмещенная с компьютерной томографией
После дообследования у гинеколога в июле 2022 г. инициирована заместительная гормональная терапия эстрадиолом (1 мг) и дидрогестероном (10 мг).
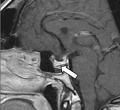
С 11 по 17 января 2023 г. – госпитализация в эндокринологическое отделение БУЗ УР «1 РКБ МЗ УР». При осмотре пациентка предъявляет жалобы на набор веса на 13 кг за последние 2 года, избыточную потливость, храп, боли в суставах пальцев рук, коленных суставах, повышение артериального давления до 145/100 мм рт. ст., сопровождающееся головными болями. На постоянной основе пациентка принимает левотироксин натрия 150 мкг/сут; гидрокортизон 20 мг/сут вместо рекомендованных ранее 15 мг/сут (забыла снизить дозу препарата), эстрадиол + дидрогестерон 1/10 мг (1 таблетка вечером внутрь). По данным УЗИ щитовидной железы от 13.01.2023 (в проекции долей и перешейка ткань щитовидной железы не визуализируется, ложе без особенностей, шейные лимфоузлы не увеличены), лабораторных обследований (ТТГ – 0,13 мкМЕ/мл (0,4–4,0), тиреоглобулин менее 0,20 нг/мл, антитела к тиреоглобулину менее 20,0 МЕ/мл от 12.01.2023) зарегистрирована биохимическая ремиссия папиллярного рака щитовидной железы. На МРТ от 12.01.2023 визуализировано вторичное «пустое» турецкое седло как исход апоплексии гипофиза, данных за рецидив аденомы не получено (рис. 3).
Рис. 3. Магнитно-резонансная томография гипофиза с контрастным усилением. «Пустое» турецкое седло (указано стрелкой)
По данным лабораторного обследования от января 2023 г. ИФР-1 – 171,3 нг/мл (83–220), базальный уровень СТГ – 1,56 нг/мл, что позволило констатировать ремиссию акромегалии. Пациентка осмотрена офтальмологом – заподозрена частичная атрофия зрительного нерва, рекомендована его оптическая когерентная томография. По результатам биохимического анализа крови повторно была выявлена дислипидемия (от 12.01.2023 липопротеиды низкой плотности – 3,62 ммоль/л), назначена терапия статинами. По данным эхокардиографии от 13.01.2023: систолическая функция левого желудочка удовлетворительная, диастолическая дисфункция левого желудочка по I типу, размеры камер сердца в норме, недостаточность митрального клапана I степени, недостаточность трикуспидального клапана I степени.
Таким образом, при выписке был сформулирован следующий диагноз: «Основное заболевание: акромегалия, в стадии ремиссии в исходе кровоизлияния в аденому гипофиза в декабре 2020 г. Осложнения основного заболевания: пангипопитуитаризм: вторичный гипокортицизм в фазе медикаментозной компенсации, гипотиреоз смешанного генеза (первичный + вторичный) в фазе медикаментозной компенсации, вторичный гипогонадизм в фазе медикаментозной компенсации. Частичная атрофия зрительного нерва обоих глаз? Артериальная гипертензия 2-й степени, риск 4. Хроническая сердечная недостаточность 1, функциональный класс 2. Конкурирующее заболевание: папиллярный рак щитовидной железы, I стадия (рT3b(m)N1bM0R1), биохимическая ремиссия. Состояние после хирургического лечения (гемитиреоидэктомия справа с центральной и боковой лимфаденэктомией 01.06.2022, субтотальная резекция левой доли щитовидной железы по поводу узлового зоба в 2012 г.), после радиойодтерапии 24.06.2022 (активность 131I 3620 МБк). Сопутствующие заболевания: ангиопатия сетчатки обоих глаз. Миопия слабой степени обоих глаз. Псориаз. Хронический гастрит в фазе ремиссии. Ожирение I степени (индекс массы тела 30,4 кг/м2). Стеатоз печени. Дислипидемия».
Обсуждение
Диагностика акромегалии основана на выявлении клинических признаков, увеличении концентраций ИФР-1 и СТГ в ходе ОГТТ, однако в случае апоплексии гипофиза ИФР-1 и СТГ могут быть низкими или оставаться в пределах референсных значений, как в приведенном нами клиническом случае, что усложняет установление диагноза. Апоплексия гипофиза – редкий клинический синдром, который возникает вследствие кровоизлияния в гипофиз или при нарушении его кровоснабжения [3]. Апоплексия гипофиза может встречаться при всех типах аденом гипофиза [4, 5]. Наиболее часто апоплексия развивается при гормонально-неактивных аденомах гипофиза, далее идут пролактиномы и другие гормонпродуцирующие опухоли [3, 6]. В большинстве случаев апоплексия встречается в виде кровоизлияния в гипофиз [4], что сопровождается сильной головной болью, тошнотой, рвотой, нарушением зрения, светобоязнью, офтальмоплегией, нарушениями сознания, но также какие-либо симптомы могут отсутствовать [3–5]. Более чем у половины пациентов в исходе апоплексии можно выявить гипопитуитаризм [4]. Так, вторичная надпочечниковая недостаточность диагностируется в 45–70% случаев [3]. Наличие вторичного гипотиреоза описано в 35–70% случаев; примерно у 60% мужчин может быть обнаружен гипогонадизм, тогда как гипогонадизм у женщин регистрируется в 50–70% случаев [3]. У небольшого числа пациентов в острую стадию могут наблюдаться симптомы несахарного диабета [3].
Предрасполагающие факторы апоплексии гипофиза достоверно не известны, и ожидают дальнейшего изучения. Предположительно, таковыми могут быть большой размер опухоли (макроаденома), физическая активность, прием лекарственных препаратов, таких как антиагреганты, антикоагулянты, агонисты дофаминовых рецепторов и гонадотропин-рилизинг гормона, беременность и роды, низкое АД или гиповолемия, оперативные вмешательства, в том числе на сердце и опорно-двигательном аппарате, новая коронавирусная инфекция COVID-19, вызванная SARS-CoV-2, вакцинация против нее, а также ангиография и черепно-мозговые травмы, лучевая терапия [3, 5–10].
В связи с удовлетворительным состоянием, отсутствием нарушений водно-электролитного баланса, а также офтальмологических, неврологических осложнений апоплексии гипофиза у нашей пациентки первым этапом хирургического лечения была выбрана правосторонняя гемитиреоидэктомия с центральной и боковой лимфаденэктомией по поводу папиллярного рака щитовидной железы.
Ремиссия акромегалии в исходе апоплексии гипофиза встречается крайне редко, в зарубежной литературе ранее описано, насколько нам известно, 30 случаев [11–13], в отечественной – 2 [14, 15].
В нашем клиническом наблюдении полное подавление СТГ в ходе ОГТТ при первом исследовании связано с острой фазой апоплексии, при которой возможно уменьшение концентрации гормона роста и ИФР-1 в сыворотке, хотя частота встречаемости данного феномена в литературе не исследовалась [3]. Отсутствие подавления СТГ в последующих тестах может объясняться автономной секрецией гормона роста остаточной опухолевой тканью.
Достоверных данных о распространенности дифференцированного рака щитовидной железы у больных акромегалией в литературе нет. В одних исследованиях авторы приходят к выводу, что она не отличается от таковой в общей популяции [16–18], в других, наоборот, описывают повышенную заболеваемость [19]. Необходимо помнить, что у пациентов с акромегалией имеется повышенный риск развития онкологических заболеваний, так как ИФР-1 стимулирует митоз и подавляет апоптоз за счет связывания с рецептором ИФР-1, поэтому нужно следовать принципу онкологической настороженности [2].
Заключение
Представленное клиническое наблюдение – редкий случай кровоизлияния в СТГ-продуцирующую аденому гипофиза. Практикующим врачам необходимо помнить о том, что после кровоизлияния в аденому гипофиза у пациента с характерными клиническими признаками акромегалии могут определяться низкие показатели ИФР-1 и/или СТГ, но это не исключает акромегалию. Целесообразно обследовать пациента на наличие осложнений данной патологии, а также сопутствующих заболеваний – в нашем клиническом примере это был папиллярный рак щитовидной железы.
При акромегалии узлообразование и увеличение объема щитовидной железы встречается чаще по сравнению с общей популяцией [20], в связи с чем необходимо исследование структуры и функции щитовидной железы, по показаниям – проведение тонкоигольной пункционной биопсии для своевременного выявления злокачественного новообразования.
Несмотря на ремиссию акромегалии в исходе апоплексии соматотропиномы, пациентка нуждается в дальнейшем наблюдении с контролем ИФР-1 и СТГ, так как возможен рецидив заболевания [21].
Дополнительная информация
Согласие пациента
Пациентка добровольно подписала информированное согласие на публикацию персональной медицинской информации в обезличенной форме в журнале «Альманах клинической медицины».
Финансирование
Работа проведена без привлечения дополнительного финансирования со стороны третьих лиц.
Конфликт интересов
Авторы декларируют отсутствие явных и потенциальных конфликтов интересов, связанных с публикацией настоящей статьи.
Участие авторов
Г.М. Нуруллина – концепция и дизайн статьи, курация пациента в стационаре, поиск и анализ литературы, написание и редактирование текста; И.Н. Пушкарев – поиск и анализ литературы, написание текста; Е.А. Пигарова – курация пациента в стационаре, редактирование текста; Н.В. Латкина – выполнение оперативного вмешательства, редактирование текста; Г.И. Ахмадуллина – концепция и дизайн статьи, редактирование текста. Все авторы прочли и одобрили финальную версию статьи перед публикацией, согласны нести ответственность за все аспекты работы и гарантируют, что ими надлежащим образом были рассмотрены и решены вопросы, связанные с точностью и добросовестностью всех частей работы.
1 Здесь и далее в скобках указаны референсные интервалы показателя лаборатории, в которой проводилось исследование.
Об авторах
Гузель Михайловна Нуруллина
ФГБОУ ВО «Ижевская государственная медицинская академия» Минздрава России; БУЗ УР «Первая республиканская клиническая больница Минздрава Удмуртской Республики»
Email: Dalllila@mail.ru
ORCID iD: 0000-0002-6892-6024
канд. мед. наук, преподаватель кафедры факультетской терапии с курсами эндокринологии и гематологии; врач-эндокринолог
Россия, 426034, Удмуртская республика, г. Ижевск, ул. Коммунаров, 281; 426039, Удмуртская республика, г. Ижевск, Воткинское шоссе, 57Игорь Николаевич Пушкарев
ФГБОУ ВО «Ижевская государственная медицинская академия» Минздрава России
Email: i.push99@yandex.ru
ORCID iD: 0000-0002-3992-6420
студент 6-го курса лечебного факультета
Россия, 426034, Удмуртская республика, г. Ижевск, ул. Коммунаров, 281Екатерина Александровна Пигарова
ФГБУ «Национальный медицинский исследовательский центр эндокринологии» Минздрава России
Email: kpigarova@gmail.com
ORCID iD: 0000-0001-6539-466X
д-р мед. наук, директор Института высшего и дополнительного профессионального образования
Россия, 117036, г. Москва, ул. Дмитрия Ульянова, 11Нонна Вадимовна Латкина
ФГБУ «Национальный медицинский исследовательский центр эндокринологии» Минздрава России
Email: latkina_enc@mail.ru
ORCID iD: 0000-0003-0662-9232
канд. мед. наук, врач-хирург отделения хирургии
Россия, 117036, г. Москва, ул. Дмитрия Ульянова, 11Гузяль Илгисовна Ахмадуллина
ФГБОУ ВО «Ижевская государственная медицинская академия» Минздрава России
Автор, ответственный за переписку.
Email: guzal-work@mail.ru
ORCID iD: 0000-0003-1876-2516
канд. мед. наук, доцент кафедры факультетской терапии с курсами эндокринологии и гематологии, врач-эндокринолог
Россия, 426034, Удмуртская республика, г. Ижевск, ул. Коммунаров, 281Список литературы
- Fleseriu M, Biller BMK, Freda PU, Gadelha MR, Giustina A, Katznelson L, Molitch ME, Samson SL, Strasburger CJ, van der Lely AJ, Melmed S. A Pituitary Society update to acromegaly management guidelines. Pituitary. 2021;24(1):1–13. doi: 10.1007/s11102-020-01091-7.
- Gadelha MR, Kasuki L, Lim DST, Fleseriu M. Systemic Complications of Acromegaly and the Impact of the Current Treatment Landscape: An Update. Endocr Rev. 2019;40(1):268–332. doi: 10.1210/er.2018-00115.
- Donegan D, Erickson D. Revisiting Pituitary Apoplexy. J Endocr Soc. 2022;6(9):bvac113. doi: 10.1210/jendso/bvac113.
- Barkhoudarian G, Kelly DF. Pituitary Apoplexy. Neurosurg Clin N Am. 2019;30(4):457–463. doi: 10.1016/j.nec.2019.06.001.
- Muthukumar N. Pituitary Apoplexy: A Comprehensive Review. Neurol India. 2020;68(Suppl):S72–S78. doi: 10.4103/0028-3886.287669.
- Wildemberg LE, Glezer A, Bronstein MD, Gadelha MR. Apoplexy in nonfunctioning pituitary adenomas. Pituitary. 2018;21(2):138–144. doi: 10.1007/s11102-018-0870-x.
- Biagetti B, Simò R. Pituitary Apoplexy: Risk Factors and Underlying Molecular Mechanisms. Int J Mol Sci. 2022;23(15):8721. doi: 10.3390/ijms23158721.
- Hannoush ZC, Weiss RE. Pituitary Apoplexy. 2018 Apr 22. In: Feingold KR, Anawalt B, Blackman MR, Boyce A, Chrousos G, Corpas E, de Herder WW, Dhatariya K, Dungan K, Hofland J, Kalra S, Kaltsas G, Kapoor N, Koch C, Kopp P, Korbonits M, Kovacs CS, Kuohung W, Laferrère B, Levy M, McGee EA, McLachlan R, New M, Purnell J, Sahay R, Shah AS, Singer F, Sperling MA, Stratakis CA, Trence DL, Wilson DP, editors. Endotext [Internet]. South Dartmouth (MA): MDText.com, Inc.; 2000–.
- Aliberti L, Gagliardi I, Rizzo R, Bortolotti D, Schiuma G, Franceschetti P, Gafà R, Borgatti L, Cavallo MA, Zatelli MC, Ambrosio MR. Pituitary apoplexy and COVID-19 vaccination: a case report and literature review. Front Endocrinol (Lausanne). 2022;13:1035482. doi: 10.3389/fendo.2022.1035482.
- Frara S, Allora A, Castellino L, di Filippo L, Loli P, Giustina A. COVID-19 and the pituitary. Pituitary. 2021;24(3):465–481. doi: 10.1007/s11102-021-01148-1.
- Alam S, Kubihal S, Goyal A, Jyotsna VP. Spontaneous Remission of Acromegaly After Pituitary Apoplexy in a Middle-Aged Male. Ochsner J. 2021;21(2):194–199. doi: 10.31486/toj.20.0002.
- Sanz-Sapera E, Sarria-Estrada S, Arikan F, Biagetti B. Acromegaly remission, SIADH and pituitary function recovery after macroadenoma apoplexy. Endocrinol Diabetes Metab Case Rep. 2019;2019(1):19-0057. doi: 10.1530/EDM-19-0057.
- Fraser LA, Lee D, Cooper P, Van Uum S. Remission of acromegaly after pituitary apoplexy: case report and review of literature. Endocr Pract. 2009;15(7):725–731. doi: 10.4158/EP09126.CRR.
- Махкамов КЭ, Азизов ММ. Ремиссия инвазивной СТГ-секретирующей макроаденомы гипофиза после транссфеноидальной аденомэктомии на фоне развития питуитарной апоплексии. Российский онкологический журнал. 2015;20(5):36–39.
- Азизян ВН, Григорьев АЮ, Иващенко ОВ, Молитвословова НН. Интраоперационное кровоизлияние в аденому гипофиза как причина ремиссии акромегалии. Эндокринная хирургия. 2011;5(1):39–44. doi: 10.14341/2306-3513-2011-1-39-44.
- Spricido IY, Feckinghaus CM, Silva RHM, Mesa Junior CO, Boguszewski CL. Prevalence of thyroid cancer in patients with acromegaly and non-growth hormone secreting pituitary adenomas: A prospective cross-sectional study. Growth Horm IGF Res. 2021;56:101378. doi: 10.1016/j.ghir.2021.101378.
- Danilowicz K, Sosa S, Gonzalez Pernas MS, Bamberger E, Diez SM, Fainstein-Day P, Furioso A, Glerean M, Guitelman M, Katz D, Lemaitre N, Lowenstein A, Del Valle Luna M, Martínez MP, Miragaya K, Moncet D, Ortuño MV, Pignatta A, Ramacciotti CF, Reyes A, Rogozinski AS, Slavinsky P, Tkatch J, Pitoia F. Acromegaly and thyroid cancer: analysis of evolution in a series of patients. Clin Diabetes Endocrinol. 2020;6(1):24. doi: 10.1186/s40842-020-00113-4.
- Terzolo M, Puglisi S, Reimondo G, Dimopoulou C, Stalla GK. Thyroid and colorectal cancer screening in acromegaly patients: should it be different from that in the general population? Eur J Endocrinol. 2020;183(4):D1–D13. doi: 10.1530/EJE-19-1009.
- Wolinski K, Czarnywojtek A, Ruchala M. Risk of thyroid nodular disease and thyroid cancer in patients with acromegaly--meta-analysis and systematic review. PLoS One. 2014;9(2):e88787. doi: 10.1371/journal.pone.0088787.
- Чих ИД, Триголосова ИВ, Древаль АВ, Триголосов АВ. Новообразования при акромегалии. Альманах клинической медицины. 2016;44(5):568–579. doi: 10.18786/2072-0505-2016-44-5-568-579.
- Del Porto LA, Liubinas SV, Kaye AH. Treatment of persistent and recurrent acromegaly. J Clin Neurosci. 2011;18(2):181–190. doi: 10.1016/j.jocn.2010.10.003.
Дополнительные файлы




