Inverse psoriasis: the diagnostic value of dermatoscopic assessment and the experience of treatment with a combination topical agent (a clinical series)
- Authors: Khlebnikova A.N.1
-
Affiliations:
- Moscow Regional Research and Clinical Institute (MONIKI)
- Issue: Vol 50, No 7 (2022)
- Pages: 447-454
- Section: CLINICAL CASES
- URL: https://bakhtiniada.ru/2072-0505/article/view/148990
- DOI: https://doi.org/10.18786/2072-0505-2022-50-032
- ID: 148990
Cite item
Full Text
Abstract
Background: Inverse psoriasis that is characterized by skinfold rash is seen in 12 to 36% of European patients with psoriasis. Isolated involvement of skinfolds can mimic a number of dermatoses with similar location. The differential diagnosis is increasingly frequently based on non-invasive methods, including dermatoscopy. Taking into account the warm and wet milieu of skinfolds, facilitating secondary infection, topical antibacterials and antiseptics are recommended for treatment, along with topical glucocorticosteroids and vitamin D3 analogues.
Materials and methods: We have analyzed the results of assessment and treatment of 15 patients with psoriasis of major skinfolds that were admitted to the in-patient department of dermatology. All patients underwent dermatoscopy at × 20 magnification. The patients were treated with desensitizing agents, hepatic protectors, and group B vitamins. Topical treatments applied in the rash areas included a combination topical agent containing mometasone furoate (0.5 mg), gentamicin sulfate (1 mg), econazole nitrate (10 mg), and dexpanthenol (50 mg). The treatment was considered effective if the M-PASI decreased at least by 75%; the results were assessed after 7 and 14 days of treatment.
Results: In all cases, dermatoscopy of the vulgar psoriasis lesions showed vermilion or red to rosy background with evenly distributed dotted vessels and white scales diffusely located all over the visualized surface. The skinfold lesions were characterized by rosy or red background with evenly distributed dotted vessels, white scales located either as isolated groups, or at the periphery of the visualized areas; some plaques had local erosions, and in one case, hemorrhages. Morphological assessment of the biopsy samples in all patients with isolated skinfold lesions (n = 5) confirmed the diagnosis of psoriasis. Treatment-induced improvement was seen at day 2 to 3, and at day 14, there was a decrease of M-PASI by 90% in 6 (40%) patients and resolution of the lesions in 9 (60%). There were no treatment-associated adverse events or reactions.
Conclusion: Dermatoscopy has proved to be a useful tool for non-invasive diagnostics of inverse psoriasis. At low magnification (× 20), its main sign was an even distribution of dotted vessels throughout the visualized area. In a number of cases, the dermatoscopic symptoms additionally included white scales grouped as isolated foci. The addition of the combination topical agent (mometasone furoate, gentamicin sulfate, econazole nitrate, and dexpanthenol) to the standard systemic therapy facilitated almost full resolution of skinfold psoriatic lesions.
Full Text
Псориаз – хроническое рецидивирующее заболевание, поражающее 2–5% населения Европы и Америки [1]. Наиболее частая форма псориаза – бляшечный псориаз, локализующийся на гладкой коже. Отдельно выделяют инверсный (интертригинозный) псориаз при локализации высыпаний в крупных складках кожи. В большинстве случаев инверсный псориаз сочетается с бляшечным, реже наблюдается изолированное поражение складок. Распространенность инверсного псориаза варьирует. В Китае его регистрировали у 3,2–7% больных псориазом, в Европе – у 12–36% [2–5]. Такой большой разброс частот можно объяснить выделением псориаза гениталий в отдельную от инверсного псориаза форму. До сих пор истинная распространенность инверсного псориаза остается неизвестной.
Инверсный псориаз поражает складки кожи, где контактируют друг с другом две поверхности. Он может локализоваться в аксиллярных, паховых складках, в области гениталий, в межъягодичной складке, складках под молочными железами, в области пупка, заушной области, в локтевых сгибах и подколенных ямках. Среди 48 больных изолированным инверсным псориазом 95,8% имели высыпания в паховых складках, и это была наиболее частая локализация процесса. Реже всего регистрировали поражение локтевых сгибов, оно наблюдалось только у 18,8% больных [3]. Инверсный псориаз обычно представлен хорошо отграниченными эритематозными бляшками с гладкой блестящей поверхностью. В отличие от бляшечного псориаза, при инверсном шелушение на поверхности бляшек минимальное или отсутствует. Такая клиническая картина обусловлена трением и мацерацией соприкасающихся поверхностей в условиях теплой влажной среды вследствие скопления секрета сальных и потовых желез, обильно представленных в данных областях [6]. Обычно инверсный псориаз встречается у больных ожирением, сердечно-сосудистыми заболеваниями и метаболическим синдромом, но полноценного статистического анализа сочетания инверсного псориаза с другими заболеваниями не проводилось [7]. Есть данные о более высокой частоте инверсного псориаза у ВИЧ-инфицированных пациентов, тогда как в целом частота псориаза в данной группе не превышает популяционные значения [8]. Среди 50 ВИЧ-инфицированных, страдающих псориазом, у 36% встречалось поражение складок, у 26% была поражена кожа гениталий [9]. Предполагается, что тяжелый изолированный инверсный псориаз может быть первым признаком ВИЧ-инфекции.
Диагностика инверсного псориаза, как правило, не вызывает затруднений при сочетанном поражении складок и гладкой кожи или волосистой части головы, на которых визуализируются типичные псориатические бляшки. Диагностические ошибки чаще встречаются при изолированном поражении складок кожи, когда приходится устанавливать нозологическую принадлежность эритематозной сыпи, нередко определяемой как опрелость [10]. Дифференциальный диагноз обычно проводится между механическим интертриго, инфекционными заболеваниями, обусловленными либо грибковой, либо бактериальной инфекцией, ирритантным или аллергическим контактным дерматитом [11]. В круг дифференциального диагноза могут быть включены дерматозы, также поражающие складки, такие как красный плоский лишай, болезнь Дарье, хроническая семейная пузырчатка Хейли – Хейли, гистиоцитоз из клеток Лангерганса и др.
В случаях изолированного поражения складок и подозрения на инверсный псориаз необходимо проводить осмотр всех кожных покровов, включая волосистую часть головы и слизистые оболочки, для выявления псориатических высыпаний на других участках. Необходимо также тщательно осмотреть ногтевые пластинки, расспросить больного на предмет жалоб со стороны суставов, внимательно отнестись к сбору семейного анамнеза. Дополнительно можно использовать неинвазивные методы исследования, например, дерматоскопию и конфокальную лазерную микроскопию.
В последние годы накоплен опыт, свидетельствующий о достаточной информативности дерматоскопического исследования в диагностике псориаза. Типичная дерматоскопическая картина для бляшечного псориаза – наличие на светло-красном или темно-красном фоне равномерно расположенных точечных или глобулярных сосудов по всей визуализируемой поверхности, а также диффузно распределенных белых чешуек [12]. Указанные признаки имеют 88% специфичность и 84,9% чувствительность для данной формы псориаза [13]. Поскольку в результате трения и мацерации в условиях влажной среды чешуйки клинически редко наблюдаются на поверхности псориатической бляшки при интертригинозной локализации, дерматоскопически их визуализировали только в 13,5% случаев, при этом они имели белый цвет и располагались преимущественно очагами [14]. Равномерное распределение точечных сосудов констатировали в 90% случаев инверсного псориаза, в остальных 10% сосуды имели очаговое расположение либо формировали кольца [14].
Лечение инверсного псориаза по сравнению с бляшечным имеет отличительные особенности. Несмотря на то что терапией первой линии остаются топические глюкокортикостероиды и кальципотриол, необходимо учитывать возможность бактериальной или грибковой суперинфекции при подобной локализации [15]. Так, обсемененность Staphylococcus aureus кожи складок при инверсном псориазе в несколько раз превышала показатели здоровых людей, более чем у половины больных на поверхности высыпаний находили Corynebacterium minutissimum, в ряде случаев высевали дерматофиты и Candida spp. [16]. Микроорганизмы могут играть роль в развитии воспаления и обострении заболевания, поэтому медицинский совет Национального фонда псориаза (США) предлагает сочетать местную кортикостероидную терапию или терапию кальципотриолом с местными антибактериальными и/или противогрибковыми средствами [17]. Реже в литературе упоминается назначение антисептиков, в частности 0,5% хлоргексидина [17].
Учитывая схожесть клинической картины инверсного псориаза с другими воспалительными процессами интертригинозной локализации, что может приводить к диагностическим ошибкам, особенно в случаях изолированного поражения складок, представляется целесообразным продолжить изучение диагностической ценности дерматоскопического исследования при псориазе складок. Высокая чувствительность кожных покровов крупных складок и их значительная способность к абсорбции топических препаратов определяют необходимость тщательного выбора безопасных средств для лечения процессов подобной локализации. В настоящей публикации мы приводим серию клинических наблюдений, иллюстрирующих информативность дерматоскопии в диагностике псориаза складок и эффективность топического комбинированного препарата, содержащего помимо антибиотика и антимикотика нефторированный глюкокортикостероид и регенерирующий компонент декспантенол, в терапии псориаза складок.
Материал и методы
Ретроспективно проанализированы данные 15 больных псориазом в возрасте от 18 до 72 лет (9 мужчин и 6 женщин), поступивших в дерматологический стационар с направительным диагнозом «псориаз» с февраля 2021 по март 2022 г.
У 10 больных был диагностирован распространенный вульгарный псориаз с одновременным поражением складок кожи. Пять пациентов имели изолированное поражение интертригинозных областей. Высыпания в аксиллярных складках наблюдали у 10 больных, в паховых – у 12, в складках под молочными железами – у 6, в межъягодичной складке – у 5, на коже наружных половых органов – у 7. Высыпания были представлены папулами красного цвета, сливающимися в бляшки размером до 4,0 × 5,0 см с единичными серебристыми чешуйками на поверхности, в глубине складок на поверхности бляшек отмечали мацерацию и трещины. Тяжесть поражения складок оценивали в соответствии с модифицированным индексом тяжести псориаза складок M-PASI [18], который варьировал от 6 до 24, в среднем составляя 11,06 ± 4,77.
Всем пациентам при поступлении в стационар проводили дерматоскопическое исследование с использованием автоматизированной системы FotoFinder при увеличении в 20 раз. Выбор дерматоскопических признаков был основан на данных литературы и включал: строение сосудов (точки/глобулы), распределение сосудов (равномерное по всему очагу, очаговое – группами в пределах очага, периферическое – по периферии очага), цвет чешуек белый/желтый, распределение чешуек диффузное/очаговое/периферическое [14]. При вульгарном псориазе с поражением складок, помимо интертригинозных, проводили исследование бляшек в области гладкой кожи туловища или конечностей. Всем пациентам с изолированным поражением складок выполняли биопсию кожи с последующим гистологическим исследованием.
Пациенты получали лечение десенсибилизирующими средствами, гепатопротекторами, витаминами группы В. На высыпания в области складок рекомендовали комбинированный препарат мометазона фуроата (0,5 мг), гентамицина сульфата (1 мг), эконазола нитрата (10 мг), декспантенола (50 мг) в форме крема (препарат Тетрадерм, фирма «Вертекс», Россия) 2 раза в день. На высыпания на гладкой коже и волосистой части головы наносили топические глюкокортикостероиды. Терапию считали эффективной при снижении индекса M-PASI на 75% и более, результаты оценивали на 7-й и 14-й день лечения.
При госпитализации в дерматологический стационар пациенты подписывали информированное согласие на участие в научных программах клиники, дающее право на обезличенную обработку данных.
Результаты
При дерматоскопическом исследовании очагов вульгарного псориаза во всех случаях на ярко-красном или красно-розовом фоне наблюдали точечные сосуды, имеющие равномерное распределение, а также чешуйки белого цвета, расположенные диффузно по всей визуализируемой поверхности (таблица, рис. 1). У 10 пациентов с одновременным поражением гладкой кожи и кожи складок дерматоскопически в очагах в складках на розовом или красном фоне отмечали равномерное распределение точечных сосудов, белые чешуйки, которые располагались либо отдельными очагами, либо по периферии визуализируемых областей (см. таблицу, рис. 2). Аналогичная дерматоскопическая картина была у пациентов с изолированным поражением складок. В отдельных бляшках визуализировали участки эрозирования, в 1 случае – геморрагии. При морфологическом исследовании биопсийного материала у всех больных с изолированным поражением складок был подтвержден псориаз.
Дерматоскопические признаки псориаза, абс. (%)
Признак | Вульгарный псориаз (n = 10) | Инверсный псориаз (n = 15) |
Строение сосудов | ||
точечные | 10 (100) | 15 (100) |
Распределение сосудов | ||
равномерное | 10 (100) | 15 (100) |
Цвет чешуек | ||
белые | 8 (80) | 9 (60) |
бело-желтые | 2 (20) | – |
Распределение чешуек | ||
диффузное | 8 (80) | – |
очаговое | 1 (10) | 7 (46,6) |
периферическое | 1 (10) | 2 (13,3) |
Эрозии | – | 8 (53,3) |
Геморрагии | – | 1 (6,6) |
Рис. 1. Дерматоскопическая картина вульгарного псориаза (равномерное распределение точечных сосудов, белые чешуйки расположены диффузно); × 20
Рис. 2. Дерматоскопическая картина инверсного псориаза, локализующегося в аксиллярной складке (равномерное распределение точечных сосудов, очагово – единичные белые чешуйки); × 20
Клинический пример
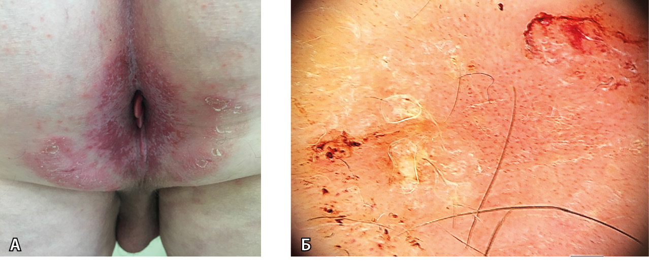
Больной Т., 48 лет, обратился с жалобами на высыпания в межъягодичной складке. Болен в течение 3 лет. С диагнозом кандидоза наблюдался у дерматолога и получал лечение системными и топическими противогрибковыми средствами без эффекта. Для уточнения диагноза и выработки терапевтической тактики был направлен в клинику. Наследственность не отягощена.
При поступлении процесс локализовался в межъягодичной складке и перианальной области. В глубине межъягодичной складки и перианально определялась мацерированная бляшка розово-красного цвета с нечеткими границами с незначительным белесоватым налетом. При переходе процесса на кожу ягодиц по краю бляшек появлялись единичные чешуйки белого цвета (рис. 3А). Субъективно отмечал зуд. Ногтевые пластинки кистей и стоп не изменены. Дерматоскопическое исследование при 20-кратном увеличении показало: на розовом фоне визуализировались точечные сосуды, имеющие равномерное распределение, чешуйки белого цвета, располагающиеся по периферии, эрозированный участок, геморрагии (рис. 3Б). На основании клинической картины и результатов дерматоскопического исследования (равномерное распределение точечных сосудов, белые чешуйки, розовый фон) был установлен предварительный диагноз «инверсный псориаз». Проведена биопсия с последующим гистологическим исследованием. При морфологическом исследовании: в эпидермисе акантоз, паракератоз, очаговая редукция зернистого слоя, истончение эпидермиса над сосочками дермы, лимфогистиоцитарный инфильтрат в дерме. Изменения соответствуют псориазу.
Рис. 3. Больной Т., 48 лет: А – высыпания в межъягодичной складке; Б – дерматоскопическая картина очага в межъягодичной складке (равномерное распределение точечных сосудов, белые чешуйки – по периферии, геморрагии, эрозированный участок); × 20
Выраженная положительная динамика на фоне использования комбинированного крема мометазона фуроата (0,5 мг), гентамицина сульфата (1 мг), эконазола нитрата (10 мг), декспантенола (50 мг) была отмечена во всех случаях, при этом значительное уменьшение гиперемии и инфильтрации, а также эпителизацию мацерированных участков и трещин в глубине складок наблюдали уже на 2–4-й день лечения (рис. 4). На 7-й день терапии снижение индекса M-PASI на 50% констатировали у 2 (13,3%) пациентов, на 75% – у 9 (60%), на 90% – у 4 (26,7%) (рис. 5). Оценка результатов терапии на 14-й день показала снижение индекса M-PASI на 90% у 6 (40%) пациентов, разрешение очагов – у 9 (60%). Побочных явлений и нежелательных реакций, связанных с лечением, не отмечено.
Рис. 4. Больной К., 75 лет: А – псориатические высыпания в аксиллярной складке до лечения; Б – клиническая картина на 2-й день терапии
Рис. 5. Больной В., 45 лет: А – псориатические высыпания в межъягодичной складке до лечения; Б – клиническая картина на 7-й день терапии
Обсуждение
Хорошо известный дерматоскопический признак вульгарного псориаза – точечные сосуды – присутствует во всех псориатических бляшках на туловище и конечностях, что подтверждено и нашими наблюдениями. Признак описан практически во всех исследованиях, и это позволило предположить: появление сосудов иного строения ставит под сомнение диагноз псориаза [13]. Точечные сосуды визуализировались нами во всех случаях инверсного псориаза, что согласуется с результатами A. Lallas и соавт., которые наблюдали сосуды подобного строения в 100% случаев при псориатическом поражении складок [14]. Вместе с тем точечные сосуды могут наблюдаться и при некоторых других воспалительных заболеваниях кожи, таких как дерматит и розовый лишай, поэтому при установлении диагноза необходимо оценивать дополнительные критерии (расположение сосудов, наличие чешуек и их распределение) [12, 19]. Вульгарный псориаз характеризуется равномерным расположением сосудов и преимущественно диффузным распределением белых чешуек по всему очагу. Значительно реже наблюдается центральная и периферическая их локализация в пределах очага [13]. Мы констатировали в очагах на гладкой коже равномерное распределение сосудов во всех случаях, диффузно расположенные белые чешуйки – в 80%. В единичных бляшках наблюдали чешуйки светло-желтого цвета, а также очаговое или периферическое их распределение. Равномерное распределение точечных сосудов при инверсном псориазе может быть основным признаком, поскольку чешуйки при данной локализации довольно часто отсутствуют. Ранее их наблюдали в 13,2% случаев псориаза складок с преимущественно диффузным распределением [14]. В нашем исследовании во всех случаях инверсного псориаза сосуды имели равномерное распределение, а белые чешуйки визуализировались в 60% случаев, преимущественно располагаясь отдельными группами. Помимо основных признаков нами также отмечены эрозии на поверхности мацерированных очагов и геморрагии у одного пациента, появившиеся, вероятно, в результате травмирования кожных покровов и сосудов вследствие зуда. Поскольку у 10 наблюдаемых нами пациентов поражение складок сочеталось с псориатическим поражением гладкой кожи, а при изолированном поражении складок диагноз был подтвержден гистологически, можно предположить, что равномерное распределение точечных сосудов по поверхности очага может свидетельствовать в пользу инверсного псориаза, а наличие чешуек белого цвета дополнительно подтверждает диагноз. К подобному выводу пришли и другие исследователи [12–14]. Дерматоскопия на большом увеличении подтверждает заключение о ведущей роли сосудов в диагностике инверсного псориаза. При увеличении в 100 раз основным признаком является наличие скопления извилистых капилляров, которые соответствуют расширенным, удлиненным, извилистым капиллярным петлям в сосочковой дерме при гистологическом исследовании [20]. В случаях поражения складок, когда подобные капилляры отсутствовали при дерматоскопии, морфологически подтверждались иные диагнозы (эритразма, кандидоз, ирритантный дерматит, экстрамаммарная болезнь Педжета) [20].
Учитывая влажную среду складок, благоприятную для персистирования различных видов микроорганизмов, вполне обоснованным представляется предположение о влиянии на патогенез инверсного псориаза бактериальной или грибковой инфекции. Культуральное исследование микрофлоры с поверхности кожи крупных складок у пациентов, страдающих инверсным псориазом, показало преобладание S. aureus в исследуемой группе по сравнению со здоровыми лицами (у 38 и 4% соответственно, р < 0,005), при этом отрицательный результат был получен при выделении культуры Candida в обеих группах, и только у 1 пациента с псориатическим поражением паховых складок в сочетании с микозом стоп из складок были культивированы дерматофиты [21]. При обследовании с помощью лампы Вуда у 57% больных инверсным псориазом выявляли красное свечение, свидетельствующее об одновременном поражении складок C. minutissimum, чаще всего эритразмой были поражены межъягодичная и паховые складки, реже область гениталий, пупка и подмышечных впадин [22]. Поскольку микроорганизмы могут играть роль в воспалении и обострении заболевания, целесообразно использовать в качестве топических средств терапии псориаза складок комбинированные препараты, содержащие не только топические стероиды, но и антибактериальный и/или антигрибковый компонент [15]. Эффективность комбинации мометазона фуроата, гентамицина сульфата, эконазола нитрата, декспантенола нами была отмечена уже на 2–4-й день лечения, что проявлялось не только в уменьшении гиперемии и инфильтрации бляшек, но и в эпителизации мацерированных поверхностей и трещин в глубине складок у всех пациентов. Последний эффект, вероятно, обеспечивает декспантенол, способствующий регенерации тканей и восстановлению эпидермального барьера. Положительный ранозаживляющий эффект при использовании аналогичного комбинированного крема наблюдали в терапии выраженной мацерации кожи и слизистых оболочек у больных красным плоским лишаем гениталий [23]. За 14 дней терапии полный регресс высыпаний мы отметили у 9 пациентов, у 6 – снижение индекса M-PASI более чем на 90%. Целесообразность использования выбранной комбинации подтверждается терапевтическим эффектом, а также хорошей переносимостью и отсутствием побочных эффектов. При локализации воспалительного процесса в складках всегда необходимо подходить с особой осторожностью к выбору топического глюкокортикостероида, поскольку высокопотентные средства, содержащие атомы фтора, имеют ограниченное использование на участках кожи с высокой абсорбционной способностью [15, 17]. Наличие в используемой комбинации мометазона фуроата, нефторированного глюкокортикостероида, позволяет безопасно его использовать на любых участках кожного покрова.
Заключение
Наш опыт свидетельствует, что дерматоскопия представляет собой полезный инструмент для неинвазивной диагностики псориаза складок. При малом увеличении (в 20 раз) основным признаком было равномерное распределение по визуализируемой поверхности точечных сосудов. Наличие чешуек белого цвета, расположенных отдельными очагами, в ряде случаев дополняло дерматоскопическую картину инверсного псориаза. Мы наблюдали терапевтическую эффективность, мгновенную скорость наступления эффекта, отсутствие нежелательных явлений, связанных с терапией, способность стимулировать эпителизацию в лечении псориаза складок фиксированной комбинации мометазона фуроата, гентамицина сульфата, эконазола нитрата и декспантенола. Учитывая ограниченное количество наблюдений, представленных в настоящей публикации, мы считаем целесообразным продолжить изучение диагностической ценности дерматоскопического исследования и эффективности комбинированных препаратов при псориазе складок на большем количестве клинического материала.
Дополнительная информация
Финансирование
Работа проведена без привлечения дополнительного финансирования со стороны третьих лиц.
Конфликт интересов
Автор декларирует отсутствие явных и потенциальных конфликтов интересов, связанных с публикацией настоящей статьи.
About the authors
Albina N. Khlebnikova
Moscow Regional Research and Clinical Institute (MONIKI)
Author for correspondence.
Email: alb9696@yandex.ru
ORCID iD: 0000-0003-4400-5631
SPIN-code: 7838-2703
Scopus Author ID: 6507373964
MD, PhD, Professor, Chair of Dermatovenereology and Dermato-Oncology, Postgraduate Training Faculty
Russian Federation, ul. Shchepkina 61/2, Moscow, 129110References
- Gudjonsson JE, Elder JT. Psoriasis: epidemiology. Clin Dermatol. 2007;25(6):535–546. doi: 10.1016/j.clindermatol.2007.08.007.
- Fan X, Yang S, Sun LD, Liang YH, Gao M, Zhang KY, Huang W, Zhang X. Comparison of clinical features of HLA-Cw*0602-positive and -negative psoriasis patients in a Han Chinese population. Acta Derm Venereol. 2007;87(4):335–340. doi: 10.2340/00015555-0253.
- Wang G, Li C, Gao T, Liu Y. Clinical analysis of 48 cases of inverse psoriasis: a hospital-based study. Eur J Dermatol. 2005;15(3):176–178.
- Dubertret L, Mrowietz U, Ranki A, van de Kerkhof PC, Chimenti S, Lotti T, Schäfer G; EUROPSO Patient Survey Group. European patient perspectives on the impact of psoriasis: the EUROPSO patient membership survey. Br J Dermatol. 2006;155(4):729–736. doi: 10.1111/j.1365-2133.2006.07405.x.
- Fouéré S, Adjadj L, Pawin H. How patients experience psoriasis: results from a European survey. J Eur Acad Dermatol Venereol. 2005;19 Suppl 3:2–6. doi: 10.1111/j.1468-3083.2005.01329.x.
- Andreassi L, Bilenchi R. Non-infectious inflammatory genital lesions. Clin Dermatol. 2014;32(2):307–314. doi: 10.1016/j.clindermatol.2013.08.015.
- Mallbris L, Akre O, Granath F, Yin L, Lindelöf B, Ekbom A, Ståhle-Bäckdahl M. Increased risk for cardiovascular mortality in psoriasis inpatients but not in outpatients. Eur J Epidemiol. 2004;19(3):225–230. doi: 10.1023/b:ejep.0000020447.59150.f9.
- Fernandes S, Pinto GM, Cardoso J. Particular clinical presentations of psoriasis in HIV patients. Int J STD AIDS. 2011;22(11):653–654. doi: 10.1258/ijsa.2011.010525.
- Castillo RL, Racaza GZ, Roa FD. Ostraceous and inverse psoriasis with psoriatic arthritis as the presenting features of advanced HIV infection. Singapore Med J. 2014;55(4):e60–e63. doi: 10.11622/smedj.2014062.
- Wilmer EN, Hatch RL. Resistant "candidal intertrigo": could inverse psoriasis be the true culprit? J Am Board Fam Med. 2013;26(2):211–214. doi: 10.3122/jabfm.2013.02.120210.
- Weisenseel P, Reich K. Psoriasis inversa [Inverse psoriasis]. Hautarzt. 2015;66(6):408–412. German. doi: 10.1007/s00105-015-3628-7.
- Micali G, Verzì AE, Lacarrubba F. Alternative uses of dermoscopy in daily clinical practice: An update. J Am Acad Dermatol. 2018;79(6):1117–1132.e1. doi: 10.1016/j.jaad.2018.06.021.
- Golińska J, Sar-Pomian M, Rudnicka L. Dermoscopic features of psoriasis of the skin, scalp and nails – a systematic review. J Eur Acad Dermatol Venereol. 2019;33(4):648–660. doi: 10.1111/jdv.15344.
- Lallas A, Apalla Z, Argenziano G, Sotiriou E, Di Lernia V, Moscarella E, Longo C, Sidiropoulos T, Zalaudek I. Dermoscopic pattern of psoriatic lesions on specific body sites. Dermatology. 2014;228(3):250–254. doi: 10.1159/000357914.
- Hong JJ, Mosca ML, Hadeler EK, Brownstone ND, Bhutani T, Liao WJ. Genital and inverse/intertriginous psoriasis: An updated review of therapies and recommendations for practical management. Dermatol Ther (Heidelb). 2021;11(3):833–844. doi: 10.1007/s13555-021-00536-6.
- Alekseyenko AV, Perez-Perez GI, De Souza A, Strober B, Gao Z, Bihan M, Li K, Methé BA, Blaser MJ. Community differentiation of the cutaneous microbiota in psoriasis. Microbiome. 2013;1(1):31. doi: 10.1186/2049-2618-1-31.
- Khosravi H, Siegel MP, Van Voorhees AS, Merola JF. Treatment of Inverse/Intertriginous Psoriasis: Updated Guidelines from the Medical Board of the National Psoriasis Foundation. J Drugs Dermatol. 2017;16(8):760–766.
- Kreuter A, Sommer A, Hyun J, Bräutigam M, Brockmeyer NH, Altmeyer P, Gambichler T. 1% pimecrolimus, 0.005% calcipotriol, and 0.1% betamethasone in the treatment of intertriginous psoriasis: a double-blind, randomized controlled study. Arch Dermatol. 2006;142(9):1138–1143. doi: 10.1001/archderm.142.9.1138.
- Silina LV, Schwartz NE, Kolbina MS. [Optical skin diagnosis in routine dermatological practice]. Russian Journal of Clinical Dermatology and Venereology. 2018;17(4):92-96. Russian. doi: 10.17116/klinderma20181704192.
- Nasca MR, Lacarrubba F, Caltabiano R, Micali G. Image Gallery: Reproduction of the Auspitz sign by videodermatoscopy, confocal microscopy and horizontal histopathology. Br J Dermatol. 2019;180(6):e178. doi: 10.1111/bjd.17649.
- Mazur M, Tomczak H, Lodyga M, Czajkowski R, Żaba R, Adamski Z. The microbiome of the human skin and its variability in psoriasis and atopic dermatitis. Postepy Dermatol Alergol. 2021;38(2):205–209. doi: 10.5114/ada.2021.106197.
- Janeczek M, Kozel Z, Bhasin R, Tao J, Eilers D, Swan J. High Prevalence of Erythrasma in Patients with Inverse Psoriasis: A Cross-sectional Study. J Clin Aesthet Dermatol. 2020;13(3):12–14.
- Dvoriankova EV. [Place of dexpanthenol in clinical practice]. Russian Journal of Clinical Dermatology and Venereology. 2020;19(1):82-86. Russian. doi: 10.17116/klinderma20201901182.
Supplementary files






