Успешная селективная стимуляция пучка Гиса у пациента с постоянной формой фибрилляции предсердий: клиническое наблюдение
- Авторы: Замудряков С.С.1, Иваницкий Э.А.1, Вырва А.А.1, Сакович В.А.1, Дробот Д.Б.2
-
Учреждения:
- ФГБУ «Федеральный центр сердечно-сосудистой хирургии» Минздрава России (г. Красноярск)
- ФГБОУ ВО «Красноярский государственный медицинский университет имени профессора В.Ф. Войно-Ясенецкого» Минздрава России
- Выпуск: Том 50, № 4 (2022)
- Страницы: 281-285
- Раздел: КЛИНИЧЕСКИЕ НАБЛЮДЕНИЯ
- URL: https://bakhtiniada.ru/2072-0505/article/view/148957
- DOI: https://doi.org/10.18786/2072-0505-2022-50-039
- ID: 148957
Цитировать
Полный текст
Аннотация
Выбор оптимального, наиболее безопасного и физиологического места в сердце для имплантации электрода – вопрос, который решает врач, занимающийся хирургическим лечением нарушений ритма сердца. По данным литературы, методики стимуляции как верхушки, так и иных альтернативных мест в правом желудочке несовершенны. Сегодня прогрессивным направлением в аритмологии считается стимуляция проводящей системы сердца, а именно пучка Гиса. Данный тип относится к физиологичной форме стимуляции, так как при ней вовлечена система Гиса – Пуркинье. Представлен успешный клинический случай имплантации электрода в область проводящей системы сердца с использованием двухкамерного электрокардиостимулятора у пациента 67 лет с постоянной формой фибрилляции предсердий. Оперативное вмешательство позволило снизить длительность комплекса QRS со 180 до 110 мс. Приведенный клинический пример показывает, что стимуляция проводящей системы сердца позволяет реализовать принципы физиологической стимуляции у пациентов с нарушением предсердно-желудочкового проведения. Методика с использованием двухкамерного электрокардиостимулятора применима в клинической практике.
Полный текст
Эволюция лечения брадиаритмий сердца претерпела глобальный скачок со времен первой успешной имплантации электрокардиостимулятора (ЭКС) А. Сенингом. Камнем преткновения для врачей, занимающихся хирургическим лечением нарушений ритма сердца, остается выбор имплантации электрода в оптимальное, наиболее безопасное и физиологическое место в сердце. Используемые методики стимуляции как верхушки, так и иных альтернативных мест в правом желудочке несовершенны. Анализ данных исследований CHARM-Preserved (Candesartan in Heart failure: Assessment of Reduction in Mortality and morbidity), I-PRESERVE (Irbesartan in Heart Failure with Preserved Ejection Fraction) и TOPCAT (Treatment of Preserved Cardiac Function Heart Failure with an Aldosterone Antagonist trial) показал, что из 8466 пациентов у 682 был имплантирован ЭКС с электродом в правожелудочковой позиции. Правожелудочковая стимуляция была причиной ухудшения течения хронической сердечной недостаточности и способствовала увеличению числа госпитализаций вследствие ее декомпенсации [1].
Согласно результатам исследования, основанного на данных 1003 пациентов, включенных в первый в России регистр пациентов с хронической сердечной недостаточностью и фибрилляцией предсердий (ФП), установлено, что в течение 12 месяцев наблюдения 57,2% больных хотя бы 1 раз были госпитализированы по причине декомпенсации сердечной недостаточности. У таких пациентов был повышенный риск сердечно-сосудистой смерти, тромбоэмболических осложнений и крупных кровотечений [2].
ФП сама по себе ухудшает отдаленный прогноз и качество жизни пациентов, а в совокупности с правожелудочковой электростимуляцией неблагоприятный эффект увеличивается. В этой связи с каждым годом растет интерес к обеспечению более физиологической электрокардиостимуляции. Прогрессивным направлением в аритмологии сегодня считается стимуляция проводящей системы сердца, а именно пучка Гиса. Физиологичность данной формы стимуляции обеспечивает вовлечение системы Гиса – Пуркинье. Ранние исследователи показали, что применение такого подхода возможно, но технически трудно [3, 4]. Разработка специального стимулирующего электрода и системы доставки стали толчком к использованию безопасной методики стимуляции пучка Гиса в рутинной клинической практике [5, 6].
Мы представляем клинический случай имплантации электрода в область проводящей системы сердца – селективной стимуляции пучка Гиса – у пациента с постоянной формой ФП.
Клиническое наблюдение
Пациент 67 лет поступил в отделение нарушения ритма сердца с диагнозом «истощение ЭКС, имплантация Talos SR от 2011 г. Ишемическая болезнь сердца, стабильная стенокардия напряжения, постинфарктный кардиосклероз, стентирование правой коронарной артерии от 2011 г. Артифициальная атриовентрикулярная блокада 3-й степени, постоянная эндокардиальная желудочковая стимуляция. Постоянная форма ФП. Сердечная недостаточность I стадии по Василенко – Стражеско, II функциональный класс по NYHA (New York Heart Association Functional Classification – Функциональная классификация Нью-Йоркской кардиологической ассоциации). Умеренная митральная недостаточность. Гипертоническая болезнь III стадии, очень высокого риска. Хроническая болезнь почек С2 (скорость клубочковой фильтрации 61 мл/мин/1‚73 м2), креатинин в крови 79 мл/мин». При поступлении предъявлял жалобы на ноющую боль с локализацией в левой половине грудной клетки, возникающую при физической нагрузке и купирующуюся самостоятельно; одышку при физической нагрузке при подъеме выше 2-го этажа, головокружение; повышение артериального давления, максимально до 150 мм рт. ст. В течение жизни длительно страдает гипертонической болезнью. Клиника ишемической болезни сердца с 2009 г. В 2011 г. на коронароангиографии выявлено стенозирующее поражение правой коронарной артерии в виде стеноза средней трети 75%. Проведена транслюминальная баллонная ангиопластика и стентирование правой коронарной артерии. Инфаркт миокарда неизвестной давности. В 2011 г. на фоне симптомной медикаментознорезистентной тахи-брадиформы ФП и синкопальных состояний выполнена операция – радиочастотная аблация атриовентрикулярного соединения. Первичная имплантация однокамерного ЭКС (Talos SR), постоянная эндокардиальная желудочковая стимуляция в режиме VVI(R). При последнем плановом программировании ЭКС выявлены признаки истощения батареи.
Согласно данным эхокардиографического исследования при поступлении у пациента наблюдалось расширение всех полостей сердца. Фракция выброса – 51%. Гипокинезия – сегменты 1, 7, 6, 12, 5. Отмечался склероз аорты, расширение корня и восходящего отдела. Митральная недостаточность 2-й степени – S рег. На программировании перед операцией ЭКС находился в режиме VVI(R), с базовой частотой сердечных сокращений 65 в минуту (рис. 1). Импеданс желудочкового электрода 646 Ом, чувствительность желудочкового электрода – 15,2 мВ. Порог стимуляции по желудочковому каналу 0,7 В. Срок службы составил 5 месяцев.
Рис. 1. Электрокардиограмма до операции. Постоянная желудочковая стимуляция в однокамерном режиме VVI(R) с базовой частотой 65 ударов в минуту. Длительность QRS 180 мс
Учитывая наличие у пациента постоянной формы ФП, артифициальной атриовентрикулярной блокады 3-й степени, постоянную электрокардиостимуляцию, а также клинические жалобы, пациенту показано оперативное лечение в виде замены ЭКС и имплантации электрода в область пучка Гиса. Отметим, что изобретение электрода с активной фиксацией Medtronic SelectSecure 3830 и системы доставки Medtronic SelectSite C304 позволило сделать методику более рутинной. В первую очередь нами был осуществлен доступ в правой бедренной вене по Сельдингеру и установлен интродьюсер. Затем проведено картирование кольца трикуспидального клапана под флюороскопическим контролем. Мы использовали электрофизиологический катетер для картирования с целью точного определения местоположения проводящей системы. Катетером выполняли поиск электрограммы пучка Гиса, что было критерием для фиксации спирали электрода в эту область. Изображение с локализацией пучка Гиса дублировалось на дополнительный монитор. Для поиска пучка Гиса применялся также метод униполярного картирования. Вторым этапом выполняли доступ к ЭКС, тестирование прежних электродов и венозный доступ (головная, подключичная или подмышечная вена) (рис. 2). Система доставки Medtronic SelectSite C304 предварительно моделировалась в теплом физиологическом растворе с целью обеспечения септального изгиба для позиционирования электрода в область перегородки. Система доставки заводилась в сердце по проводнику к кольцу трикуспидального клапана. Доставка позиционировалась в верхней части кольца клапана, вблизи области пучка Гиса. Контрастирование полостей сердца не проводилось. Затем электрод продвигался к кончику доставки в монополярной конфигурации. Кончик доставки находился в непосредственном контакте с перегородкой. После того как было отмечено соотношение электрограмм предсердий и желудочков 1:2, доставку направили в сторону перегородки минимальным вращением против часовой стрелки. Для картирования и стимуляции следует использовать электрокардиограмму с 12 отведениями. Как только местоположение Гиса определено, доставку необходимо удерживать неподвижно левой рукой, а электрод медленно вращать по часовой стрелке 5 раз. Очень важный момент – количество попыток вкручивания электрода. В нашем случае электрод был позиционирован со второго раза. После этого доставку вытянули назад, а электрод осторожно протягивали вперед, пока в предсердии не сформировалась петля. Предпочтительно тестирование при длительности импульса 1 мс, чтобы обеспечить более низкий порог. У большинства пациентов порог стимуляции пучка Гиса составляет 2,0 В в 1 мс. В нашем случае порог стимуляции был 3,6 В при длительности импульса 1,5 мс, стимуляционный импеданс – 669 Ом. Как только приемлемый порог был достигнут, доставка была разрезана и удалена. Электроды коммутированы с ЭКС His – A, RV-RV (рис. 3). Вектор QRS идентичен нативному. Базовая частота была 60 имп/мин в биполярном режиме стимуляции (режим DDD(R), атриовентрикулярная задержка 100 мс). Длительность операции составила 140 минут, длительность радиационного облучения – 5 минут. Эффективная доза облучения – 0,025 мЗв [7].
Рис. 2. Интраоперационное изображение с электрофизиологического монитора во время отключения электрокардиостимулятора. Отмечается нарушение внутрижелудочкового проведения по типу блокады правой ножки пучка Гиса и блокады передней ветви левой ножки пучка Гиса. Регистрируются эндограммы c аблационного катетера: фибрилляции предсердий (FP), проводящей системы (H) и высокоамплитудные желудочковые эндограммы (RV). На данном рисунке эндограммы H и FP трудно различимы между собой, однако стимуляция с картирующего электрода данной области позволяла получить стимуляционный комплекс, идентичный с нативным. Более выраженную эндограмму пучка Гиса зафиксировать не удалось. Предположительно, это связано с ранее проведенной аблацией атриовентрикулярного соединения
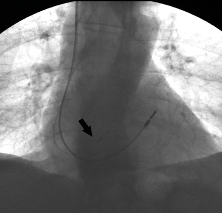
Рис. 3. Рентгенограмма после имплантации. Отражено два электрода: прежний, установленный в выходном тракте правого желудочка, и новый, имплантированный в область пучка Гиса (указан стрелкой)
При эхокардиографии после операции незначительно увеличилась фракция выброса (53%). Сократительная способность миокарда левого желудочка сохранена. Перикардиального выпота нет. При программировании электрокардиостимулятора на следующие сутки нарушений функции детекции и стимуляции не выявлено (рис. 4). ЭКС работал в режиме DDD(R) с базовой частотой 60 ударов в минуту. Импеданс желудочкового электрода составлял 551 Ом, гисиального электрода – 464 Ом. Чувствительность желудочкового электрода была 8,5 мВ, гисиального электрода – 0,9 мВ. Порог стимуляции: хронический по желудочковому каналу – 0,7 В, гисиального электрода – 5,5 В при длительности импульса 1,5 мс. Амплитуда стимуляции была запрограммирована на 6,5 В при длительности импульса 1,5 мс, срок службы ЭКС – менее 5 лет. Учитывая малый срок службы ЭКС Medtronic Adapta и высокие параметры стимуляции, пациенту рекомендовано повторное программирование через 1 месяц.
Рис. 4. Электрокардиограмма после операции. Отражена постоянная желудочковая стимуляция после имплантации гисиального электрода. Стимуляционный комплекс не расширен, соответствует нативному. Определяются стимуляционный спайк, изолиния и сокращение желудочков. Имеется также второй страхующий стимул, после которого нет ответа, по типу псевдосливного комплекса. Изолиния отражает замедление проведения по специализированным клеткам проводящей системы, с последующим сокращением по системе Гиса – Пуркинье. Длительность QRS составляет 110 мс
Обсуждение и заключение
Стимуляция проводящей системы сердца позволяет реализовать физиологическую стимуляцию у пациентов с нарушением предсердно-желудочкового проведения, что и было показано нами на данном клиническом примере. Выполненное оперативное вмешательство позволило снизить длительность комплекса QRS со 180 до 110 мс. Несмотря на блокаду ножек пучка Гиса, стимулированный комплекс имел длительность нативного. Высокий порог гисиального электрода обосновывает применение второго желудочкового электрода с целью страхующей стимуляции. На наш взгляд, использование страхующей стимуляции не только оправдано в связи с возможным ростом порога стимуляции в раннем и отдаленном послеоперационном периодах, но и служит гарантией при дислокации электрода. На высокий порог стимуляции может влиять установка электрода не с первой попытки – при неоднократных попытках манипуляций и вкручиваний в миокард ухудшаются физические качества спирали электрода.
В заключение отметим: у начинающих докторов во время имплантации электрода в область проводящей системы возникают трудности, связанные с ее поиском. В этом случае мы рекомендуем применять аблационный катетер для картирования области пучка Гиса, что облегчает работу. Врачи, использующие методику стимуляции пучка Гиса, должны иметь определенный опыт в имплантации стандартных систем. Следует исключать из исследований пациентов с увеличенными камерами сердца, так как поиск проводящей системы у них сильно затруднен. Полагаем, что в отдаленном периоде качество операций по поводу стимуляции проводящей системы сердца будет повышаться. Ретроспективный анализ опыта семи клиник (529 пациентов) показал, что после 40 выполненных имплантаций уменьшается время флюороскопии, снижаются пороги стимуляции, хирург отказывается от страхующего электрода [8]. В нашей клинике планируется дальнейшее проведение исследований по поводу стимуляции проводящей системы сердца с использованием двухкамерного ЭКС у пациентов с постоянной формой ФП.
Дополнительная информация
Согласие пациента
Пациент добровольно подписал информированное согласие на публикацию персональной медицинской информации в обезличенной форме в журнале «Альманах клинической медицины».
Финансирование
Работа проведена без привлечения дополнительного финансирования со стороны третьих лиц.
Конфликт интересов
Авторы декларируют отсутствие явных и потенциальных конфликтов интересов, связанных с публикацией настоящей статьи.
Участие авторов
С.С. Замудряков – выполнение оперативного вмешательства, написание статьи; Э.А. Иваницкий – концепция статьи, редактирование текста; А.А. Вырва – ассистирование при оперативном вмешательстве, поиск и анализ литературы; В.А. Сакович и Д.Б. Дробот – редактирование текста, утверждение итогового варианта текста рукописи. Все авторы прочли и одобрили финальную версию статьи перед публикацией, согласны нести ответственность за все аспекты работы и гарантируют, что ими надлежащим образом были рассмотрены и решены вопросы, связанные с точностью и добросовестностью всех частей работы.
Об авторах
Сергей Сергеевич Замудряков
ФГБУ «Федеральный центр сердечно-сосудистой хирургии» Минздрава России (г. Красноярск)
Автор, ответственный за переписку.
Email: zamudriakovss@mail.ru
ORCID iD: 0000-0003-4356-3332
врач сердечно-сосудистый хирург кардиохирургического отделения № 2
Россия, 660020, г. Красноярск, ул. Караульная, 45Эдуард Алексеевич Иваницкий
ФГБУ «Федеральный центр сердечно-сосудистой хирургии» Минздрава России (г. Красноярск)
Email: edwiner@krascor.ru
ORCID iD: 0000-0002-4946-8005
д-р мед. наук, врач сердечно-сосудистый хирург, заведующий кардиохирургическим отделением № 2
Россия, 660020, г. Красноярск, ул. Караульная, 45Алексей Александрович Вырва
ФГБУ «Федеральный центр сердечно-сосудистой хирургии» Минздрава России (г. Красноярск)
Email: Direktor131@yandex.ru
ORCID iD: 0000-0002-6937-9544
врач сердечно-сосудистый хирург кардиохирургического отделения № 2
Россия, 660020, г. Красноярск, ул. Караульная, 45Валерий Анатольевич Сакович
ФГБУ «Федеральный центр сердечно-сосудистой хирургии» Минздрава России (г. Красноярск)
Email: office@krascor.ru
ORCID iD: 0000-0001-8470-0845
д-р мед. наук, профессор, заведующий кафедры сердечно- сосудистой хирургии, главный врач
Россия, 660020, г. Красноярск, ул. Караульная, 45Дмитрий Борисович Дробот
ФГБОУ ВО «Красноярский государственный медицинский университет имени профессора В.Ф. Войно-Ясенецкого» Минздрава России
Email: drobotdb@yandex.ru
ORCID iD: 0000-0001-9003-4818
д-р мед. наук, профессор кафедры сердечно-сосудистой хирургии Института последипломного образования
Россия, 660022, г. Красноярск, ул. Партизана Железняка, 1Список литературы
- Shen L, Jhund PS, Docherty KF, Petrie MC, Anand IS, Carson PE, Desai AS, Granger CB, Komajda M, McKelvie RS, Pfeffer MA, Solomon SD, Swedberg K, Zile MR, McMurray JJV. Prior pacemaker implantation and clinical outcomes in patients with heart failure and preserved ejection fraction. JACC Heart Fail. 2019;7(5):418–427. doi: 10.1016/j.jchf.2018.12.006.
- Жиров ИВ, Сафронова НВ, Осмоловская ЮФ, Терещенко СН. Прогностическое значение фибрилляции предсердий у пациентов с сердечной недостаточностью с разной фракцией выброса левого желудочка: результаты многоцентрового регистра РИФ-ХСН. Российский кардиологический журнал. 2021;26(1):4200. doi: 10.15829/1560-4071-2021-4200.
- Deshmukh P, Casavant DA, Romanyshyn M, Anderson K. Permanent, direct His-bundle pacing: a novel approach to cardiac pacing in patients with normal His-Purkinje activation. Circulation. 2000;101(8):869–877. doi: 10.1161/01.cir.101.8.869.
- Occhetta E, Bortnik M, Magnani A, Francalacci G, Piccinino C, Plebani L, Marino P. Prevention of ventricular desynchronization by permanent para-Hisian pacing after atrioventricular node ablation in chronic atrial fibrillation: a crossover, blinded, randomized study versus apical right ventricular pacing. J Am Coll Cardiol. 2006;47(10):1938–1945. doi: 10.1016/j.jacc.2006.01.056.
- Zanon F, Svetlich C, Occhetta E, Catanzariti D, Cantù F, Padeletti L, Santini M, Senatore G, Comisso J, Varbaro A, Denaro A, Sagone A. Safety and performance of a system specifically designed for selective site pacing. Pacing Clin Electrophysiol. 2011;34(3):339–347. doi: 10.1111/j.1540-8159.2010.02951.x.
- Sharma PS, Dandamudi G, Naperkowski A, Oren JW, Storm RH, Ellenbogen KA, Vijayaraman P. Permanent His-bundle pacing is feasible, safe, and superior to right ventricular pacing in routine clinical practice. Heart Rhythm. 2015;12(2):305–312. doi: 10.1016/j.hrthm.2014.10.021.
- Vijayaraman P, Dandamudi G. How to Perform Permanent His Bundle Pacing: Tips and Tricks. Pacing Clin Electrophysiol. 2016;39(12):1298–1304. doi: 10.1111/pace.12904.
- Keene D, Arnold AD, Jastrzębski M, Burri H, Zweibel S, Crespo E, Chandrasekaran B, Bassi S, Joghetaei N, Swift M, Moskal P, Francis DP, Foley P, Shun-Shin MJ, Whinnett ZI. His bundle pacing, learning curve, procedure characteristics, safety, and feasibility: Insights from a large international observational study. J Cardiovasc Electrophysiol. 2019;30(10):1984–1993. doi: 10.1111/jce.14064.
Дополнительные файлы






