Comprehensive assessment of cardiovascular complications in a patient with type 1 diabetes mellitus, chronic kidney disease and diabetic neuroosteoarthropathy
- 作者: Bondarenko O.N.1, Yaroslavceva M.V.1, Tokmakova A.Y.1, Galstyan G.R.1, Tarbaeva N.V.1
-
隶属关系:
- Endocrinology Research Centre
- 期: 卷 50, 编号 3 (2022)
- 页面: 205-215
- 栏目: CLINICAL CASES
- URL: https://bakhtiniada.ru/2072-0505/article/view/148949
- DOI: https://doi.org/10.18786/2072-0505-2022-50-031
- ID: 148949
如何引用文章
全文:
详细
The paper presents a clinical case of the patient with long-term poor control of type 1 diabetes mellitus, chronic kidney disease (CKD) and diabetic neurоosteoarthropathy. The characteristics of interest in the clinical case are CKD complications associated with mineral and bone metabolism disorders. Clinical consequences of vascular calcification due to secondary hyperparathyroidism, autonomic and peripheral neuropathy have resulted in cardiovascular complications. We discuss the diagnostic challenges of vascular calcification, as well as the interpretation of diagnostic methods in lower limb arterial disease, and provide evidence for the advantages of alternative treatment of secondary hyperparathyroidism with a selective activator of vitamin D receptors. The important role of CKD in the development of metabolic, structural and hemodynamic disorders in patients with type 1 diabetes mellitus is emphasized.
全文:
Сахарный диабет (СД) выступает независимым фактором риска сердечно-сосудистых заболеваний (ССЗ), что было установлено во многих ставших классическими исследованиях, таких как Framingham Heart Study [1], Multiple Risk Factor Intervention Trial (MRFIT) [2]. В исследовании Diabetes Control and Complications Trial (DCCT) [3] ранний интенсивный гликемический контроль у больных СД в течение 10 лет не влиял на снижение частоты развития CCЗ в долгосрочной перспективе. Однако в течение последующих 7 лет наблюдения в рамках программы EDIC [3], несмотря на отсутствие различий в гликированном гемоглобине, риск фатальных и нефатальных инфарктов и инсультов в группе интенсивного лечения был снижен в среднем на 58%. Накопленные результаты рандомизированных клинических исследований указывают на необходимость достижения стабильного гликемического контроля, индивидуализации целевых уровней гликемии в зависимости от возраста, ожидаемой продолжительности жизни, наличия сопутствующей патологии и склонности к гипогликемии с целью профилактики сердечно-сосудистых осложнений [4].
Увеличение числа неблагоприятных сердечно-сосудистых исходов объясняется сопутствующими микро- и макрососудистыми осложнениями СД, а также наличием специфических факторов риска, ассоциированных с этим заболеванием. Хроническая болезнь почек (ХБП) признана самостоятельным фактором риска ССЗ и смерти, повышающим сердечно-сосудистые риски уже на самых ранних стадиях патологии [5, 6]. Определяющее значение в формировании ХБП у больных СД имеют перманентная гипергликемия, артериальная гипертензия, дислипидемия, гиперурикемия, инфекционно-воспалительные заболевания почек, поражение сосудов почек, курение, возраст и генетическая предрасположенность к поражению почек при диабете [7]. Установлено, что основные факторы риска атеросклероза одновременно могут способствовать развитию и ускорению сосудистой кальцификации – предиктора ССЗ и смерти [8]. К нетипичным факторам риска кальциноза может быть отнесена диабетическая автономная нейропатия, ассоциированная с развитием артериосклероза Менкеберга. Патофизиологические механизмы внескелетной кальцификации, включая сосудистую, при ХБП имеют прямое отношение к минеральным и костным осложнениям заболевания. Уменьшение массы действующих нефронов инициирует каскад осложнений, которые приводят к развитию вторичного гиперпаратиреоза и характерным для него нарушениям минерального метаболизма (гиперфосфатемия, гипокальциемия, увеличение синтеза паратиреоидного гормона (ПТГ), снижение концентрации кальцитриола).
В последние годы доказано, что кальцификация сосудистой стенки – регулируемый процесс, аналогичный костной минерализации. Кальцификация интимы тесно связана с атеросклерозом, а ее осложнения ассоциированы с острой окклюзией в результате разрыва бляшки и тромботическими осложнениями [9]. Кальцификация медии на фоне ее утолщения и склероза может отмечаться даже в отсутствие типичных факторов риска атеросклероза и во многом зависит от продолжительности заместительной почечной терапии и выраженности нарушений фосфорно-кальциевого обмена. Склероз Менкеберга – неатеросклеротическое поражение средних и крупных артерий. Данный процесс не уменьшает диаметр просвета сосуда, но ведет к потере эластичности сосудистой стенки, ее ригидности и далее – к гемодинамическим нарушениям и гипертрофии левого желудочка (ГЛЖ) [10]. Отметим, что медиакальциноз как индикатор тяжести и продолжительности СД тесно связан с хроническими осложнениями заболевания, особенно с автономной нейропатией [11] и ХБП.
Следствием минерально-костных нарушений при СД становится диабетическая нейроостеоартропатия (ДНОАП), представляющая собой поражение костей и суставов на фоне разобщения процессов формирования и резорбции костной ткани и неврологического дефицита. ДНОАП ассоциируется с медиакальцинозом артерий нижних конечностей, значительным снижением минеральной плотности костной ткани и высокой частотой ССЗ. Наиболее часто данные изменения встречаются у пациентов с ХБП, у которых наблюдается локальный остеопороз и в 90% случаев происходит обызвествление сосудов [9].
Учитывая вышесказанное, пациенты с неудовлетворительным контролем гликемии в течение длительного периода заболевания, сопутствующими хроническими микрососудистыми осложнениями, такими как диабетическая нефропатия и ДНОАП, имеют значимо более высокий риск последовательных структурных и гемодинамических нарушений, клинические последствия которых ассоциируются с высоким риском ССЗ и смерти.
Представленное ниже клиническое наблюдение интересно в связи с наличием у пациента множественных патогенетических факторов риска развития микро- и макрососудистых осложнений СД, которые привели к серьезным сердечно-сосудистым осложнениям.
Клиническое наблюдение
Пациент Т., 47 лет. Сахарный диабет 1-го типа с 1977 г. (в течение 44 лет, с трехлетнего возраста). В анамнезе длительный стаж курения – более 20 лет. Контроль заболевания на протяжении длительного времени неудовлетворительный (рис. 1), эндокринолога посещал редко.
Рис. 1. Динамика гликированного гемоглобина у пациента Т. (2011–2022 гг.)
В 1994 г. выявлена диабетическая ретинопатия. В 1999, 2000, 2009 и 2012 гг. проведена двусторонняя панретинальная лазерная коагуляция сетчатки по поводу пролиферативной стадии диабетической ретинопатии. В 1998 г. впервые обнаружена протеинурия. Периодически проводилась нефропротективная терапия с незначительным положительным эффектом. В декабре 2000 г. выявлена азотемия (креатинин около 200 мкмоль/л) с последующим ее резким нарастанием (в августе 2021 г. креатинин крови – 1000 мкмоль/л) и развитием отечного синдрома, в связи с чем начат экстренный гемодиализ. Тогда же впервые диагностирована нефрогенная анемия (гемоглобин – 90 г/л), применялись эритропоэз-стимулирующие средства, препараты железа, а также адекватный диализ. На фоне проведенного лечения было отмечено повышение и поддержание гемоглобина на уровне 110 г/л и выше, что соответствует клиническим рекомендациям Kidney Disease: Improving Global Outcomes (KDIGO) 2012 г. [12].
В сентябре 2002 г. проведена аллотрансплантация трупной почки в левую подвздошную область. Снижение функции трансплантата отмечается с 2015 г. (табл. 1). С целью профилактики гиперкалиемии проведена коррекция нефропротективной терапии со снижением дозы лозартана до 2,5 мг. В настоящее время принимает преднизолон 4 мг, циклоспорин 100/125 мг в сутки.
Таблица 1. Динамика креатинина и скорости клубочковой фильтрации у пациента Т.
Параметр | Год | ||||||
2011 | 2012 | 2015 | 2016 | 2019 | 2020 | 2022 | |
Креатинин, мкмоль/л | 139,0 | 132,6 | 184,4 | 174,4 | 195,7 | 231,8 | 199,3 |
Скорость клубочковой фильтрации по EPI, мл/мин/1,73 м2 | 53 | 56 | 44 | 41 | 35 | 32 | 33 |
В марте 2022 г. суточная протеинурия составляла 0,78 г. Отмечено повышение уровня паратгормона до 258 пг/мл (15–65). Обращает на себя внимание значимое снижение уровня 25-ОН витамина D в крови (табл. 2). Выявлены эхографические признаки гиперплазии правой нижней околощитовидной железы.
Таблица 2. Динамика лабораторных показателей фосфорно-кальциевого обмена у пациента Т. за период наблюдения
Параметр (референсные значения) | Год | ||||||
2011 | 2012 | 2015 | 2016 | 2019 | 2020 | 2022 | |
ПТГ, пг/мл (15,0–65,0) | 135,4 | – | – | – | 138,8 | – | 258,0 |
25-ОН витамин D, нг/мл (30–100,0) | – | – | – | – | 7,4 | – | < 7 |
Кальций общий, ммоль/л (2,15–2,55) | 2,36 | 2,36 | – | 2,37 | 2,44 | 2,46 | 2,37 |
Кальций ионизированный, ммоль/л (1,03–1,29) | 1,09 | 1,12 | 1,24 | 1,09 | 1,20 | 1,13 | 1,16 |
Фосфатаза щелочная, Ед/л (40,0–150,0) | 190,7 | 78,0 | 104,0 | 80,0 | 79,0 | 77 | 91,0 |
Фосфор, ммоль/л (0,74–1,52) | 1,20 | 1,05 | 0,98 | 1,44 | 1,14 | 0,93 | 1,45 |
Мочевая кислота, мкмоль/л (202–416) | 585,4 | 618,1 | – | 439,0 | 430,6 | 602,88 | 350,3 |
ПТГ – паратиреоидный гормон
С 2001 г. отмечает повышение артериального давления (АД) максимально до 180/90 мм рт. ст., однако гипотензивная терапия и контроль АД проводились нерегулярно. В последнее время принимает нифедипин пролонгированного действия 60 мг 2 раза в день, моксонидин 0,2 мг, лозартан 2,5 мг, фуросемид 20 мг, аторвастатин 40 мг вечером, аллопуринол 200 мг. Наблюдается положительная динамика в виде тенденции к снижению АД до 130/80 мм рт. ст. с периодическими подъемами до 160/100 мм рт. ст. вследствие пропуска приема препаратов. По результатам абсорбционной рентгеновской денситометрии в 2022 г. – снижение костной массы (остеопения) в поясничных позвонках. Трабекулярный костный индекс L1–L4 1,211 соответствует выраженному нарушению костной микроструктуры и выраженному риску переломов (ST -2,1 по Т-критерию). Проксимальные отделы правой и левой бедренной кости: остеопения, изменения в области Варда соответствуют остеопорозу (ST -2,5 по Т-критерию). С 2019 г. пациент принимает колекальциферол по 25 000 МЕ 50 2 раза в неделю. Уровень витамина D не контролирует. Ранее был рекомендован прием нативного и активного витамина D (7000 ЕД колекальциферола и 0,5 мкг альфакальцидола) с дальнейшим контролем его концентрации, ПТГ, кальция и фосфора.
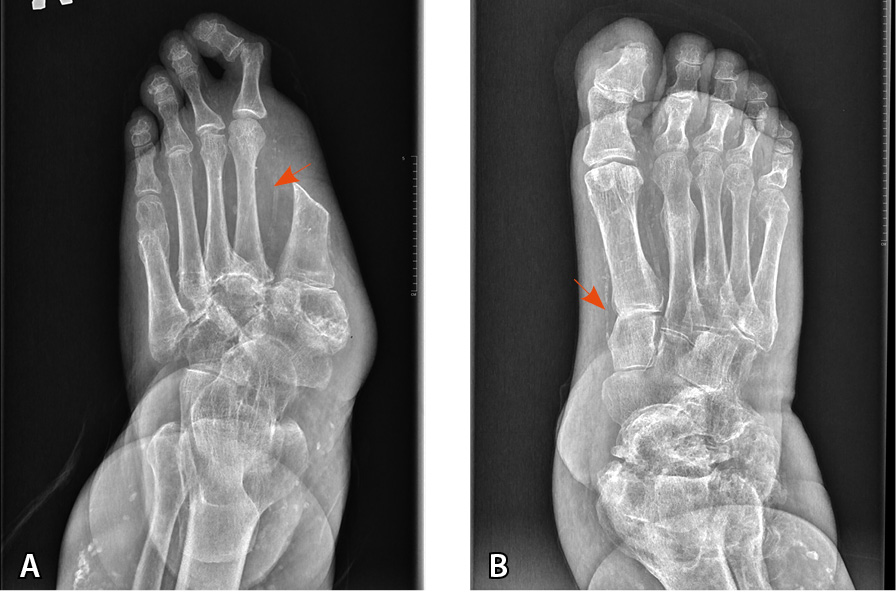
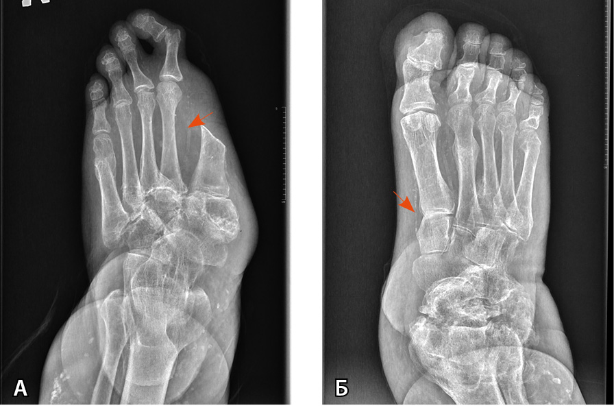
В 2003 г. травма правого голеностопного сустава, диагностирован лодыжечный перелом, обусловленный ДНОАП, наложена индивидуальная иммобилизирующая повязка Total Contact Cast, которую пациент носил в течение 6 месяцев. В 2009 г. травма левой стопы с формированием нейропатической язвы, диагностирована подострая стадия ДНОАП. В 2017 г. парциальная резекция пролабирующей кубовидной кости слева. В 2020 г. ампутация I пальца левой стопы с резекцией головки I плюсневой кости по поводу остеомиелита (рис. 2, 3).
Рис. 3. Рентгенограмма обеих стоп пациента Т. в прямой проекции (стрелками указаны кальцинированные сосуды):
А – артропатическая перестройка структуры костей предплюсны, переломы на уровне оснований 3–5-й плюсневых костей с признаками консолидации. Консолидированный перелом головки 5-й плюсневой кости. Ампутация I пальца;
Б – артропатическая перестройка структуры костей предплюсны и правого голеностопного сустава, консолидированные переломы II, III, V пальцев. Остеомиелит ногтевой фаланги I пальца
Несмотря на выявление хронического остеомиелита дистальной фаланги I пальца правой стопы, обусловленного рецидивирующими нейропатическими язвенными дефектами в анамнезе, антибактериальная терапия нашему пациенту в настоящее время не показана в связи с ремиссией воспалительного процесса и отсутствием трофических поражений стоп. Пациент продолжает носить индивидуальную сложную ортопедическую обувь.
При ультразвуковом дуплексном сканировании артерий нижних конечностей в 2022 г. выявлен атеросклероз магистральных артерий нижних конечностей, эхографические признаки выраженного кальциноза магистральных артерий (рис. 4), окклюзирующий хронический тромбоз левой задней большеберцовой артерии в верхней и средней трети голени.
Рис. 4. Эхограмма пациента Т. Левая передняя большеберцовая артерия. Визуализируется диффузное относительно равномерное повышение эхогенности сосудистой стенки в сочетании с утратой дифференцировки на слои на всем протяжении (красная стрелка). Эхографические тени от повышенного содержания солей кальция фрагментарно перекрывают просвет и нижнюю стенку сосуда (желтые стрелки)
При измерении лодыжечно-плечевого индекса (ЛПИ) доплеровский сигнал не исчезал даже в случае нагнетания давления в манжете более 300 мм рт. ст. по трем измеряемым артериям. По левой окклюзированной в проксимальном сегменте задней большеберцовой артерии получен показатель 1,3, что отражает значимую кальцификацию сосудистой стенки. Распространение кальциноза наблюдалось и на пальцевые артерии, что сопровождалось несжимаемостью этих артерий, свойственной пациентам с ХБП, получающим заместительную почечную терапию, или пациентам после трансплантации почки. По данным ультразвукового дуплексного сканирования внечерепных отделов брахиоцефальных артерий, в устье левой внутренней сонной артерии выявлена кальцинированная атеросклеротическая бляшка (стеноз 20%). Ультразвуковое дуплексное сканирование артериовенозной фистулы левой верхней конечности: эхографические признаки кальциноза (рис. 5) с симптомами ускоренного кровотока в бассейне левой плечевой артерии (230 см/с) в сравнении с контрлатеральной плечевой артерией (77 см/с). Избыточное шунтирование артериальной крови по фистуле напрямую в венозное русло, предположительно, может способствовать развитию ригидности сосудистой стенки, что обусловлено изменением кинетических характеристик движущейся крови (давления, объема, скорости), иными словами, «напряжением сдвига». Вследствие повышенного воздействия на механорецепторы эндотелия могут активироваться патологические процессы, направленные на активацию сосудистой кальцификации у нашего пациента.
Рис. 5. Эхограмма пациента Т. Ультразвуковое дуплексное сканирование артериовенозной фистулы левой верхней конечности. Обызвествление стенок плечевой артерии артериовенозной фистулы левой верхней конечности (указано стрелкой)
При проведении плановой эхокардиографии (ЭхоКГ) в 2005 г. выявлена выраженная отрицательная динамика в виде появления зон асинергии миокарда. Болевой синдром в области сердца и нарушения ритма отрицает. В течение длительного времени жалуется на одышку при физической нагрузке, отеки голеней и стоп. Пациенту диагностирована ишемическая болезнь сердца (ИБС): немая ишемия миокарда, постинфарктный кардиосклероз, хроническая сердечная недостаточность с сохранной фракцией выброса ЛЖ (ХСНсФВ) II функционального класса (NYHA). Анамнестически пациент отрицал наличие ангинозного загрудинного приступа, однако в ходе стационарного обследования выявлены рубцовые изменения миокарда нижней локализации на электрокардиограмме (ЭКГ) (зубец Q в III и aVF отведениях регистрируется с 2017 г., с этого же года фиксируются зоны акинеза в базальных отделах ЛЖ). Таким образом, наиболее вероятно, что пациент перенес инфаркт миокарда в бассейне правой коронарной артерии.
Для верификации диагноза пациенту была показана диагностическая коронароангиография, от которой он отказался. По результатам ЭхоКГ 2022 г.: дилатация левого предсердия (индексированный объем левого предсердия 35 мл/м²). Гипертрофия ЛЖ. Умеренный фиброкальциноз кольца аортального клапана. Акинез базальных заднего и задне-перегородочного сегментов ЛЖ. Фракция выброса ЛЖ сохранена (52%). Диастолическая дисфункция ЛЖ. В режиме доплер-ЭхоКГ: е септальная – септальная пиковая скорость фиброзного кольца митрального клапана 3 см/с, е латеральная – скорость движения фиброзного кольца митрального клапана в фазу раннего наполнения 5 см/с, отношение скорости раннего диастолического наполнения ЛЖ (Е) к усредненной скорости подъема основания ЛЖ в раннюю диастолу (e´) – Е/е´ 17. Индекс массы миокарда ЛЖ 127,0 г/м². Согласно клиническим рекомендациям Российского кардиологического общества по ведению пациентов с ХСН [13], при оценке состояния диастолической функции ЛЖ в первую очередь следует ориентироваться на три основных эхографических критерия: 1) соотношение скорости раннего диастолического наполнения ЛЖ и усредненной скорости подъема основания ЛЖ в раннюю диастолу (Е/e´ > 14), индексированный объем левого предсердия (> 34 мл/м²), максимальную скорость трикуспидальной регургитации (> 2,8 м/с). В соответствии с указанными рекомендациями, у нашего пациента имеются два критерия, что означает умеренную диастолическую дисфункцию.
Ортостатическая проба: выявлено снижение АД на 35 мм рт. ст. при перемене положения тела, что может быть связано с выпадением симпатического сосудосуживающего рефлекса в результате поражения эфферентных волокон, а также нарушением центральной регуляции сосудистого тонуса.
Суточное мониторирование ЭКГ: разница между максимальной и минимальной частотой сердечных сокращений менее 14 уд/мин отражает нарушение симпатического и парасимпатического контроля вариабельности сердечного ритма.
Проба Вальсальвы: при натуживании отмечено увеличение частоты сердечных сокращений на 4 уд/мин. Коэффициент Вальсальвы по ЭКГ (отношение максимального RR к минимальному RR) < 1,2, что указывает на нарушение парасимпатической регуляции сердечной деятельности.
Проведенные пробы в целом свидетельствуют о наличии кардиоваскулярной формы автономной нейропатии. Вибрационную чувствительность оценивали с помощью градуированного камертона, тактильную – посредством монофиламента весом 10 г, температурную – при использовании цилиндра «Тип-Терм». Измерение температуры кожи стоп проводилось с применением инфракрасного термометра. Вибрационная чувствительность на уровне тибиальной бугристости 0–1 условная единица, тактильная и температурная чувствительность в стандартных точках отсутствуют, что указывает на значимое снижение периферической чувствительности. Разницы температур в симметричных точках кожи стоп не выявлено, что свидетельствует об отсутствии обострения хронической стадии ДНОАП у нашего пациента.
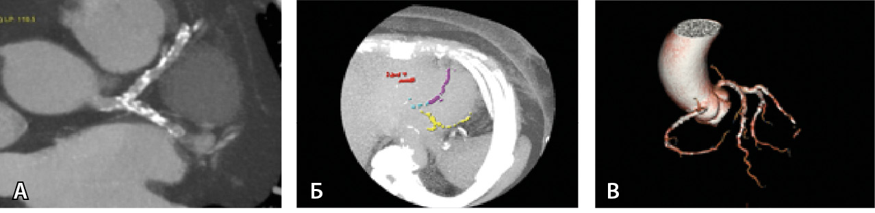
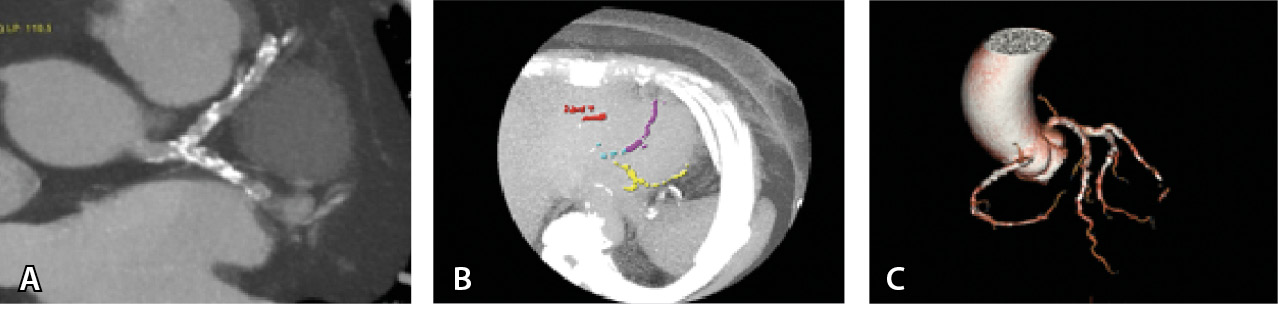
Больному проведена мультиспиральная компьютерная томография с ЭКГ-синхронизацией от бифуркации трахеи до верхушки сердца, с подсчетом индекса коронарного кальция (количественная оценка показателя Агатстона) (рис. 6). Заключение: индекс коронарного кальция 2242, свидетельствующий о выраженном кальцинозе коронарных артерий.
Рис. 6. Мультиспиральная компьютерная томограмма пациента Т., кальциноз коронарных артерий: А – мультипланарная реконструкция, массивные кальцинированные бляшки в передней межжелудочковой и огибающей артериях; Б, В – 3D-реконструкция, кальцинированные бляшки в левой и правой коронарных артериях
Таким образом, на основании проведенного обследования был сформулирован клинический диагноз. Основное заболевание: сахарный диабет 1-го типа. Микрососудистые осложнения: пролиферативная диабетическая ретинопатия обоих глаз. Панретинальная лазерная коагуляция сетчатки (1999–2000, 2010, 2012). Макулодистрофия, сухая форма. Незрелая осложненная катаракта. Нефропатия сложного генеза (диабетическая, гипертоническая). Аллотрансплантация трупной почки в левую подвздошную область по поводу терминальной почечной недостаточности (25.09.2002), ХБП С3бА3. Неудовлетворительная функция трансплантата. Артериальная гипертензия 2-й стадии, 2-й степени, риск сердечно-сосудистых осложнений 4. Минерально-костные нарушения при ХБП: вторичный гиперпаратиреоз, дефицит витамина D. Снижение минеральной плотности кости менее ожидаемых возрастных значений до -2,2 SD по Z-критерию в L4. Дистальная диабетическая полинейропатия. Диабетическая нейроостеоартропатия обеих стоп и голеностопных суставов, хроническая стадия. Ампутация I пальца левой стопы с резекцией головки плюсневой кости (30.09.2020). Хронический остеомиелит I пальца правой стопы. Макрососудистые осложнения: ИБС. Немая ишемия миокарда. Постинфарктный кардиосклероз. ХСНсФВ, II функциональный класс. Атеросклероз артерий нижних конечностей.
Сопутствующие заболевания: нарушение пуринового обмена.
Обсуждение
Влияние гликемического контроля на ранних стадиях заболевания (так называемая метаболическая память [14]) на прогнозирование риска развития сосудистых осложнений СД показано во многих клинических рандомизированных исследованиях – ACCORD [15], ADVANCE [16], VADT [17]. Примечательно, что данный феномен проявляется только спустя достаточно длительное время наблюдения, прежде всего в отношении макрососудистых осложнений, что было отмечено в более поздних исследованиях EDIC [3] и VADT [3] для пациентов с СД 1-го и 2-го типов соответственно. Такой отсроченный эффект первичного неудовлетворительного метаболического контроля во многом cформировал прогноз осложнений у нашего пациента. Обращает на себя внимание наличие в представленном клиническом случае множественных факторов риска микро- и макрососудистых осложнений СД, таких как хроническая гипергликемия, дислипидемия, гиперурикемия, артериальная гипертензия, анемия, длительный анамнез курения и гиподинамия. Диабетическая нефропатия у больного клинически проявилась относительно ранним развитием протеинурии, артериальной гипертензии, а также отеками и снижением фильтрационной функции почек, что в итоге привело к терминальной стадии ХБП, требующей заместительной почечной терапии. Среди комплекса причин прогрессирующего увеличения альбуминурии и снижения скорости клубочковой фильтрации с развитием неудовлетворительной функции аллотрансплантата у пациента можно выделить отсутствие своевременного мониторинга и адекватной нефропротективной терапии в послеоперационном периоде наблюдения.
Характерная особенность описываемого нами клинического наблюдения – осложнения ХБП, связанные с внескелетной кальцификацией, которая, наряду с отклонениями биохимических параметров, остается одним из важных клинических проявлений синдрома минеральных и костных нарушений при ХБП [18–21].
Согласно рекомендациям KDIGO 2017 г. [8], для оценки сосудистой кальцификации рекомендуется использовать кальциевый индекс коронарных артерий. Высокий показатель кальциевого индекса (более 1000), а также признаки кальцификации аортального клапана, полученные нами при выполнении эхокардиографического исследования сердца, несомненно, коррелируют с высоким риском сердечно-сосудистых событий у пациента. Так, в нашем исследовании у пациента диагностирована немая ишемия миокарда, а типичные признаки ИБС отсутствуют по следующим причинам: 1) ограничение физической активности; 2) вероятная окклюзия только правой коронарной артерии и наличие гемодинамически незначимых стенозов в других бассейнах, что объясняет длительное отсутствие снижения фракции выброса ЛЖ у пациента, длительно принимающего статины и имеющего уровень холестерина липопротеинов низкой плотности в целевом диапазоне; 3) отсутствие типичных признаков стенокардии напряжения у больного СД с перенесенным в анамнезе инфарктом миокарда обусловлено развитием кардиоваскулярной формы автономной нейропатии, при которой происходит десимпатизация сердечной мышцы и связанное с этим снижение болевого ответа на происходящие патологические процессы, о чем свидетельствуют кардиоваскулярные пробы.
Одно из важных последствий кальцификации артерий – ГЛЖ, представляющая сильный независимый прогностический фактор смерти от сердечно-сосудистых причин у пациентов с ХБП [22]. Ригидность артериальной стенки вносит существенный вклад в развитие ГЛЖ в связи с возрастанием скорости распространения пульсовой волны, увеличением систолического и пульсового артериального давления, а также снижением диастолического давления [23, 24]. Повышение систолического артериального давления у нашего пациента на фоне артериальной гипертензии сочетанного генеза и сосудистой кальцификации, в свою очередь, стало причиной возрастающей постнагрузки на ЛЖ, что привело к компенсаторной концентрической ГЛЖ.
Высокая частота диастолической дисфункции у больных с хронической почечной недостаточностью ожидаема, так как одной из основных причин ее развития выступает ГЛЖ [25]. В исследовании LIFE нарушение хотя бы одного диастолического параметра было обнаружено более чем у 80% больных с ГЛЖ [26].
На основании клинических симптомов и признаков, структурных и функциональных изменений миокарда у нашего пациента диагностирована ХСНсФВ, подтвержденная ЭхоКГ [4, 13]. Согласно рекомендациям Европейского кардиологического общества (англ. European Society of Cardiology, ESC) по диагностике и лечению сердечной недостаточности, всем пациентам с ХСНсФВ рекомендуется исследование уровня мозгового натрийуретического гормона и N-терминального фрагмента мозгового натрийуретического пропептида (NT-proBNP) в крови [13]. Основная цель данной рекомендации – назначение сакубитрила пациентам с низкой фракцией выброса, что в нашем клиническом случае представляется нерациональным.
При оценке состояния периферического кровотока у нашего пациента выявлены признаки выраженного кальциноза сосудистой стенки нескольких сосудистых бассейнов. В настоящее время полагают, что одним из ведущих факторов в развитии медиакальциноза может быть дистальная диабетическая полинейропатия [27]. Результаты нашего исследования указывают на развитие тяжелой периферической нейропатии, прогрессирование которой привело к формированию ДНОАП и необратимым поражениям костей стопы. По данным рентгенографии и ультразвукового исследования у больного отмечен выраженный кальциноз артерий голени и стопы, что характерно для пациентов с тяжелой дистальной нейропатией, хронической почечной недостаточностью и поражением артерий нижних конечностей. Наше наблюдение коррелирует с результатами отечественных и зарубежных гистоморфологических исследований материалов ампутированных конечностей у больных СД, описывающих преимущественно неатеросклеротическое утолщение интимы и кальциноз медиального слоя артерий, иногда в сочетании с тромбозом [28, 29]. Заключения полученных нами визуализирующих методов исследования подтверждают имеющиеся в литературе данные о связи между тяжестью дистальной диабетической нейропатии и выраженностью кальциноза артерий дистальных отделов нижних конечностей [30–32]. Абсолютная ригидность артерий голеней и стоп у пациента не позволила провести измерение систолического давления и расчет ЛПИ проходимых сосудов. В постокклюзионном сегменте одной из берцовых артерий данный показатель был значительно выше ожидаемого (< 0,9). Завышенный уровень систолического давления и несжимаемость дистального артериального русла нижних конечностей ассоциировались с высоким индексом коронарного кальция и высоким сердечно-сосудистым риском, что было ранее установлено в отечественных и зарубежных исследованиях [30, 33–35]. Помимо сенсорной нейропатии у нашего пациента важную роль в развитии медиакальциноза периферических артерий сыграла автономная нейропатия, о чем свидетельствует наличие ДНОАП, в патогенезе которой имеет место сосудистая десимпатизация [4]. При проведении ультразвукового исследования была визуализирована функционирующая кальцинированная артериовенозная фистула, что сопровождалось асимметричным повышением систолического АД в плечевой артерии на 20 мм рт. ст. и существенным увеличением скорости кровотока в сравнении с контрлатеральной плечевой артерией. Общепризнано, что повышение напряжения сдвига, например, при артериальной гипертензии, оказывает проатерогенное влияние на артериальную стенку [36]. При этом происходят пролиферация и изменение фенотипа эндотелиальных клеток с развитием атером, содержащих соли кальция и липиды [37]. Полученный нами результат ультразвукового исследования, указывающий на кальциноз артериовенозной фистулы, согласуется с данными литературы о том, что морфологический состав стенки фистулы может соответствовать описываемой эхографической картине. Так, гистологическая характеристика неоинтимальных гиперпластических поражений в условиях нарушенного напряжения сдвига может существенно отличаться от атеросклеротических поражений и состоит в основном из высокопролиферирующих гладкомышечных клеток сосудов, миофибробластов, неососудов и воспалительных клеток [38, 39]. При индукции механическим стрессом микроРНК, играющих патофизиологическую роль во внутриклеточной коммуникации и сигнальной системе гладкомышечных клеток сосудов, происходит их фенотипическая трансформация в остеобласты, что приводит к кальцификации сосудов [40, 41].
Согласно международным рекомендациям, у пациентов с ХБП С3а–5 предлагается восполнять дефицит витамина D как в общей популяции [4, 42]. Первым этапом лечения нашего пациента необходимо назначить колекальциферол в насыщающей дозе 7000 МЕ/сутки в комбинации с активным метаболитом витамина D (альфакальцидол, 0,5 мкг) [43] под контролем альбумина, креатинина, общего кальция, фосфора, ПТГ в сыворотке крови через 1 месяц с последующим снижением дозы препарата до поддерживающей – 2000 МЕ через 2 месяца. Повторное исследование уровня 25-ОН витамина D рекомендуется провести через 3 месяца. Последующим этапом базовой терапии нашего пациента необходимо рассмотреть назначение селективного активатора рецепторов витамина D (парикальцитол) [44]. Основные цели данной терапии – коррекция вторичного гиперпаратиреоза, предотвращение его осложнений и снижение риска смерти пациента с персистирующими выше целевых показателями интактного ПТГ [45, 46]. Преимущество парикальцитола относительно аналогов заключается в его минимальном влиянии на уровни кальция и фосфора, а также в выраженном подавлении синтеза ПТГ. Парикальцитол имеет сниженную активность в отношении абсорбции кальция кишечником и мобилизации кальция из костей по сравнению с кальцитриолом [47]. Кроме того, парикальцитол обладает еще большим кальцитриол-неклассическим потенциалом, уменьшая активность ренин-ангиотензин-альдостероновой системы и, как следствие, замедляя прогрессирование нефропатии, снижая протеинурию, ингибируя синтез ренина, а также пролиферацию гладкомышечных клеток и выраженность атеросклероза [48, 49]. Нефропротективный и сосудистый клинические эффекты препарата служат еще одним его важным преимуществом и обоснованием для назначения пациенту с высоким сердечно-сосудистым риском и ХБП [44].
Учитывая высокий сердечно-сосудистый риск, нашему пациенту необходимо строгое соблюдение низкохолестериновой диеты под регулярным динамическим контролем липидов в крови. В соответствии с российскими алгоритмами [4], учитывая склонность к тахикардии, больному целесообразно добавить к терапии селективный β1-адреноблокатор (бисопролол, 5 мг утром).
Заключение
При обследовании пациента с большой длительностью СД 1-го типа, неудовлетворительным контролем гликемии и хронической почечной недостаточностью мы диагностировали нарушения минерального и костного метаболизма с поражением костно-суставного аппарата и внескелетной кальцификацией. Особенность представленного клинического случая заключается в мультифокальном поражении сосудов нескольких артериальных бассейнов вследствие сочетания различных факторов риска, к наиболее значимым из которых относятся минерально-костные нарушения при ХБП, а также автономная и периферическая нейропатия. В результате выраженного неврологического дефицита у нашего пациента сформировалась хроническая стадия ДНОАП. С применением визуализирующих методов диагностики у пациента выявлен выраженный кальциноз коронарных и периферических артерий, ассоциированный с сердечно-сосудистыми осложнениями (ГЛЖ, артериальная гипертензия, ХСНсФВ, инфаркт миокарда), а также кальциноз артерий нижних конечностей и артериовенозной фистулы. Бессимптомное течение ИБС у пациента подчеркивает необходимость тщательного динамического контроля и проведения диагностической коронароангиографии. Высокий уровень коронарного индекса и повышенный показатель ЛПИ / выраженной ригидности артерий голеней и стоп, а также положительные кардиоваскулярные тесты коррелируют с высоким сердечно-сосудистым риском. Показано восполнение дефицита витамина D с применением колекальциферола в насыщающей дозе в комбинации с метаболитами витамина D (альфакальцидол или кальцитриол). При неэффективности лечения следует рассмотреть вопрос о назначении базовой терапии селективного активатора рецепторов витамина D (парикальцитол), оказывающего кардио- и нефропротективный клинические эффекты, что представляет пациент-ориентированный подход. В целом сочетание нескольких микро- и макрососудистых осложнений СД определяет необходимость своевременного мониторинга и междисциплинарного подхода в ведении нашего пациента.
Дополнительная информация
Согласие пациента
Пациент добровольно подписал информированное согласие на публикацию персональной медицинской информации в обезличенной форме в журнале «Альманах клинической медицины».
Финансирование
Пациент был госпитализирован и проходил обследование в отделении диабетической стопы ФГБУ «НМИЦ эндокринологии» Минздрава России за счет средств фонда высокотехнологичной медицинской помощи.
Конфликт интересов
Авторы декларируют отсутствие явных и потенциальных конфликтов интересов, связанных с публикацией настоящей статьи.
Участие авторов
О.Н. Бондаренко – концепция и дизайн статьи, сбор клинического материала, анализ и интерпретация результатов, проведение ультразвукового дуплексного сканирования, обзор литературы, написание текста; М.В. Ярославцева – сбор и обработка клинического материала, анализ и интерпретация результатов, написание текста; А.Ю. Токмакова – курация пациента в стационаре, выбор тактики обследования и лечения, редактирование текста; Г.Р. Галстян – редактирование текста, утверждение итогового варианта текста рукописи; Н.В. Тарбаева – анализ и интерпретация результатов, написание текста. Все авторы прочли и одобрили финальную версию статьи перед публикацией, согласны нести ответственность за все аспекты работы и гарантируют, что ими надлежащим образом были рассмотрены и решены вопросы, связанные с точностью и добросовестностью всех частей работы.
作者简介
Olga Bondarenko
Endocrinology Research Centre
Email: olgafoot@mail.ru
ORCID iD: 0000-0002-2654-9451
MD, PhD, Leading Research Fellow, Department of Diabetic Foot
俄罗斯联邦, ul. Dmitriya Ul'yanova 11, Moscow, 117292Marianna Yaroslavceva
Endocrinology Research Centre
编辑信件的主要联系方式.
Email: mariannaya79@mail.ru
ORCID iD: 0000-0003-3797-9788
MD, PhD, Senior Research Fellow, Department of Diabetic Foot
俄罗斯联邦, ul. Dmitriya Ul'yanova 11, Moscow, 117292Alla Tokmakova
Endocrinology Research Centre
Email: alla-tokmakova@yandex.ru
ORCID iD: 0000-0003-2474-9924
MD, PhD, Chief Research Fellow, Department of Diabetic Foot
俄罗斯联邦, ul. Dmitriya Ul'yanova 11, Moscow, 117292Gagik Galstyan
Endocrinology Research Centre
Email: galstyangagik964@gmail.ru
ORCID iD: 0000-0001-6581-4521
MD, PhD, Professor, Head of Department of Diabetic Foot
俄罗斯联邦, ul. Dmitriya Ul'yanova 11, Moscow, 117292Natalia Tarbaeva
Endocrinology Research Centre
Email: ntarbaeva@inbox.ru
ORCID iD: 0000-0001-7965-9454
MD, PhD, Head of Department of Computer and Magnetic Resonance Therapy
俄罗斯联邦, ul. Dmitriya Ul'yanova 11, Moscow, 117292参考
- Kannel WB, Dawber TR, Kagan A, Revotskie N, Stokes J 3rd. Factors of risk in the development of coronary heart disease – six year follow-up experience. The Framingham Study. Ann Intern Med. 1961;55:33–50. doi: 10.7326/0003-4819-55-1-33.
- Relationship between baseline risk factors and coronary heart disease and total mortality in the Multiple Risk Factor Intervention Trial. Multiple Risk Factor Intervention Trial Research Group. Prev Med. 1986;15(3):254–273. doi: 10.1016/0091-7435(86)90045-9.
- Nathan DM; DCCT/EDIC Research Group. The diabetes control and complications trial/epidemiology of diabetes interventions and complications study at 30 years: overview. Diabetes Care. 2014;37(1):9–16. doi: 10.2337/dc13-2112.
- Dedov II, Shestakova MV, Mayorov AYu, eds. [Standards of specialized diabetes care]. 10th ed. Moscow; 2021. 222 p. Russian. doi: 10.14341/DM12802.
- Bakris GL, Sarafidis PA, Weir MR, Dahlöf B, Pitt B, Jamerson K, Velazquez EJ, Staikos-Byrne L, Kelly RY, Shi V, Chiang YT, Weber MA; ACCOMPLISH Trial investigators. Renal outcomes with different fixed-dose combination therapies in patients with hypertension at high risk for cardiovascular events (ACCOMPLISH): a prespecified secondary analysis of a randomised controlled trial. Lancet. 2010;375(9721):1173–1181. doi: 10.1016/S0140-6736(09)62100-0.
- Haller H, Ito S, Izzo JL Jr, Januszewicz A, Katayama S, Menne J, Mimran A, Rabelink TJ, Ritz E, Ruilope LM, Rump LC, Viberti G; ROADMAP Trial Investigators. Olmesartan for the delay or prevention of microalbuminuria in type 2 diabetes. N Engl J Med. 2011;364(10):907–917. doi: 10.1056/NEJMoa1007994.
- Tonneijck L, Muskiet MH, Smits MM, van Bommel EJ, Heerspink HJ, van Raalte DH, Joles JA. Glomerular Hyperfiltration in Diabetes: Mechanisms, Clinical Significance, and Treatment. J Am Soc Nephrol. 2017;28(4):1023–1039. doi: 10.1681/ASN.2016060666.
- Rennenberg RJ, Kessels AG, Schurgers LJ, van Engelshoven JM, de Leeuw PW, Kroon AA. Vascular calcifications as a marker of increased cardiovascular risk: a meta-analysis. Vasc Health Risk Manag. 2009;5(1):185–197. doi: 10.2147/vhrm.s4822.
- Kidney Disease: Improving Global Outcomes (KDIGO) CKD-MBD Update Work Group. KDIGO 2017 Clinical Practice Guideline Update for the Diagnosis, Evaluation, Prevention, and Treatment of Chronic Kidney Disease – Mineral and Bone Disorder (CKD-MBD). Kidney Int Suppl (2011). 2017;7(1):1–59. doi: 10.1016/j.kisu.2017.04.001.
- London GM, Guérin AP, Marchais SJ, Métivier F, Pannier B, Adda H. Arterial media calcification in end-stage renal disease: impact on all-cause and cardiovascular mortality. Nephrol Dial Transplant. 2003;18(9):1731–1740. doi: 10.1093/ndt/gfg414.
- Jeffcoate WJ, Rasmussen LM, Hofbauer LC, Game FL. Medial arterial calcification in diabetes and its relationship to neuropathy. Diabetologia. 2009;52(12):2478–2488. doi: 10.1007/s00125-009-1521-6.
- Kidney Disease: Improving Global Outcomes (KDIGO) (Улучшение глобальных результатов лечения заболеваний почек). Практические Клинические рекомендации KDIGO по анемии при хронической болезни почек 2012 [Интернет]. 48 с. Доступно на: http://www.nephro.ru/content/files/standards/KDIGO_anemia_2012.pdf. [Kidney Disease: Improving Global Outcomes (KDIGO). KDIGO Clinical Practice Guideline for Anemia in Chronic Kidney Disease. Kidney Int Suppl. 2012;2(4):1–64.]
- Russian Society of Cardiology (RSC). [2020 Clinical practice guidelines for Chronic heart failure. Russian Journal of Cardiology]. 2020;25(11):4083. Russian. doi: 10.15829/1560-4071-2020-4083.
- Dedov II, Shestakova MV. [The metabolic memory phenomenon in predicting a risk for vascular complications in diabetes mellitus]. Ter Arkh. 2015;87(10):4–10. Russian. doi: 10.17116/terarkh201587104-10.
- Action to Control Cardiovascular Risk in Diabetes Study Group, Gerstein HC, Miller ME, Byington RP, Goff DC Jr, Bigger JT, Buse JB, Cushman WC, Genuth S, Ismail-Beigi F, Grimm RH Jr, Probstfield JL, Simons-Morton DG, Friedewald WT. Effects of intensive glucose lowering in type 2 diabetes. N Engl J Med. 2008;358(24):2545–2559. doi: 10.1056/NEJMoa0802743.
- ADVANCE Collaborative Group, Patel A, MacMahon S, Chalmers J, Neal B, Billot L, Woodward M, Marre M, Cooper M, Glasziou P, Grobbee D, Hamet P, Harrap S, Heller S, Liu L, Mancia G, Mogensen CE, Pan C, Poulter N, Rodgers A, Williams B, Bompoint S, de Galan BE, Joshi R, Travert F. Intensive blood glucose control and vascular outcomes in patients with type 2 diabetes. N Engl J Med. 2008;358(24):2560–2572. doi: 10.1056/NEJMoa0802987.
- Duckworth W, Abraira C, Moritz T, Reda D, Emanuele N, Reaven PD, Zieve FJ, Marks J, Davis SN, Hayward R, Warren SR, Goldman S, McCarren M, Vitek ME, Henderson WG, Huang GD; VADT Investigators. Glucose control and vascular complications in veterans with type 2 diabetes. N Engl J Med. 2009;360(2):129–139. doi: 10.1056/NEJMoa0808431.
- Egshatyan LV, Mokrisheva NG. [Secondary hyperparathyroidism in patient with type 2 diabetes and stages 3-4 chronic kidney disease]. Diabetes Mellitus. 2018;21(2):128–134. Russian. doi: 10.14341/DM9458.
- Il'in AP, Bogoyavlenskii VF, Smuryakova EE. [Features of the course of chronic renal failure in patients with diabetes mellitus who were on hemodialysis]. Problems of Endocrinology. 2004;50(1):13–18. Russian. doi: 10.14341/probl11297.
- Kutyrina IM, Rudenko TE, Savel'eva SA, Shvetsov MYu, Shestakova MV. [Cardiorenal syndrome in patients with chronic kidney disease and diabetes mellitus]. Diabetes Mellitus. 2013;16(3):90–96. Russian. doi: 10.14341/2072-0351-822.
- Ayubova NL, Bondarenko ON, Galstyan GR, Manchenko OV, Dedov II. [Clinical outcomes of lower limb peripheral vascular disease after endovascular intervention in patients with diabetes mellitus, critical limb ischemia and chronic kidney disease]. Diabetes Mellitus. 2013;16(4):85–94. Russian. doi: 10.14341/DM2013485-94.
- Taddei S, Nami R, Bruno RM, Quatrini I, Nuti R. Hypertension, left ventricular hypertrophy and chronic kidney disease. Heart Fail Rev. 2011;16(6):615–620. doi: 10.1007/s10741-010-9197-z.
- Reesink KD, Spronck B. Constitutive interpretation of arterial stiffness in clinical studies: a methodological review. Am J Physiol Heart Circ Physiol. 2019;316(3):H693–H709. doi: 10.1152/ajpheart.00388.2018.
- Mitchell GF. Aortic stiffness, pressure and flow pulsatility, and target organ damage. J Appl Physiol (1985). 2018;125(6):1871–1880. doi: 10.1152/japplphysiol.00108.2018.
- Smiseth OA. Assessment of ventricular diastolic function. Can J Cardiol. 2001;17(11):1167–1176.
- Wachtell K, Smith G, Gerdts E, Dahlöf B, Nieminen MS, Papademetriou V, Bella JN, Ibsen H, Rokkedal J, Devereux RB. Left ventricular filling patterns in patients with systemic hypertension and left ventricular hypertrophy (the LIFE study). Losartan Intervention For Endpoint. Am J Cardiol. 2000;85(4):466–472. doi: 10.1016/s0002-9149(99)00773-0.
- Moon JS, Clark VM, Beabout JW, Swee RG, Dyck PJ. A controlled study of medial arterial calcification of legs: implications for diabetic polyneuropathy. Arch Neurol. 2011;68(10):1290–1294. doi: 10.1001/archneurol.2011.211.
- Temirov SN, Magrupov BA, Tursunov BZ. [Pathomorphology of arteries, mineral metabolism and vitamin D in critical ischemia of the lower limbs in patients with diabetes mellitus]. The Bulletin of Emergency Medicine. 2021;14(6):49–57. Russian. doi: 10.54185/TBEM/vol14_iss6/a8.
- Soor GS, Vukin I, Leong SW, Oreopoulos G, Butany J. Peripheral vascular disease: who gets it and why? A histomorphological analysis of 261 arterial segments from 58 cases. Pathology. 2008;40(4):385–391. doi: 10.1080/00313020802036764.
- Molitvoslovova NA, Manchenko OV, Iaroslavtseva MV, Galstian GR. [The relationship between characteristics of calcinosis of the arteries of the lower extremities and the severity of distal neuropathy in the patients with diabetes mellitus]. Problems of Endocrinology. 2013;59(2):7–11. doi: 10.14341/probl20135927-11.
- Edmonds ME, Morrison N, Laws JW, Watkins PJ. Medial arterial calcification and diabetic neuropathy. Br Med J (Clin Res Ed). 1982;284(6320):928–930. doi: 10.1136/bmj.284.6320.928.
- Young MJ, Adams JE, Anderson GF, Boulton AJ, Cavanagh PR. Medial arterial calcification in the feet of diabetic patients and matched non-diabetic control subjects. Diabetologia. 1993;36(7):615–621. doi: 10.1007/BF00404070.
- Gu X, Man C, Zhang H, Fan Y. High ankle-brachial index and risk of cardiovascular or all-cause mortality: A meta-analysis. Atherosclerosis. 2019;282:29–36. doi: 10.1016/j.atherosclerosis.2018.12.028.
- ESC Guidelines on the Diagnosis and Treatment of Peripheral Arterial Diseases, in Collaboration with the European Society for Vascular Surgery (ESVS). Russian Journal of Cardiology. 2018;(8):164–221. Russian. doi: 10.15829/1560-4071-2018-8-164-221.
- Goebel FD, Füessl HS. Mönckeberg's sclerosis after sympathetic denervation in diabetic and non-diabetic subjects. Diabetologia. 1983;24(5):347–350. doi: 10.1007/BF00251822.
- Ingber DE. Mechanobiology and diseases of mechanotransduction. Ann Med. 2003;35(8):564–577. doi: 10.1080/07853890310016333.
- Kohn JC, Zhou DW, Bordeleau F, Zhou AL, Mason BN, Mitchell MJ, King MR, Reinhart-King CA. Cooperative effects of matrix stiffness and fluid shear stress on endothelial cell behavior. Biophys J. 2015;108(3):471–478. doi: 10.1016/j.bpj.2014.12.023.
- Fitts MK, Pike DB, Anderson K, Shiu YT. Hemodynamic Shear Stress and Endothelial Dysfunction in Hemodialysis Access. Open Urol Nephrol J. 2014;7(Suppl 1 M5):33–44. doi: 10.2174/1874303X01407010033.
- Li L, Terry CM, Shiu YT, Cheung AK. Neointimal hyperplasia associated with synthetic hemodialysis grafts. Kidney Int. 2008;74(10):1247–1261. doi: 10.1038/ki.2008.318.
- Chen J, Zhou Y, Liu S, Li C. Biomechanical signal communication in vascular smooth muscle cells. J Cell Commun Signal. 2020;14(4):357–376. doi: 10.1007/s12079-020-00576-1.
- Lima J Jr, Batty JA, Sinclair H, Kunadian V. MicroRNAs in Ischemic Heart Disease: From Pathophysiology to Potential Clinical Applications. Cardiol Rev. 2017;25(3):117–125. doi: 10.1097/CRD.0000000000000114.
- Laevskaya MYu. [Vitamin D level correction in patients with terminal stage of chronic kidney disease on dialysis. Clinical case]. Russian Medical Journal. Russian Medical Inquiry. 2019;3(1–1):44–48. Russian.
- Shvarts GYa. [Vitamin D deficiency and pharmacological correction]. Russian Medical Journal. 2009;17(7):477–486. Russian.
- Milovanova LI, Dobrosmyslov IA, Milovanov IS. [Experience with active vitamin D metabolites in phosphorus-calcium metabolic disorders in patients with predialysis chronic kidney disease]. Ter Arkh. 2014;86(6):52–56. Russian.
- Hu X, Shang J, Yuan W, Zhang S, Jiang Y, Zhao B, Duan Y, Xiao J, Zhao Z. Effects of paricalcitol on cardiovascular outcomes and renal function in patients with chronic kidney disease: A meta-analysis. Herz. 2018;43(6):518–528. doi: 10.1007/s00059-017-4605-y.
- Li XH, Feng L, Yang ZH, Liao YH. Effect of active vitamin D on cardiovascular outcomes in predialysis chronic kidney diseases: A systematic review and meta-analysis. Nephrology (Carlton). 2015;20(10):706–714. doi: 10.1111/nep.12505.
- Zhang T, Ju H, Chen H, Wen W. Comparison of Paricalcitol and Calcitriol in Dialysis Patients With Secondary Hyperparathyroidism: A Meta-Analysis of Randomized Controlled Studies. Ther Apher Dial. 2019;23(1):73–79. doi: 10.1111/1744-9987.12760.
- Elamin MB, Abu Elnour NO, Elamin KB, Fatourechi MM, Alkatib AA, Almandoz JP, Liu H, Lane MA, Mullan RJ, Hazem A, Erwin PJ, Hensrud DD, Murad MH, Montori VM. Vitamin D and cardiovascular outcomes: a systematic review and meta-analysis. J Clin Endocrinol Metab. 2011;96(7):1931–1942. doi: 10.1210/jc.2011-0398.
- Alborzi P, Patel NA, Peterson C, Bills JE, Bekele DM, Bunaye Z, Light RP, Agarwal R. Paricalcitol reduces albuminuria and inflammation in chronic kidney disease: a randomized double-blind pilot trial. Hypertension. 2008;52(2):249–255. doi: 10.1161/HYPERTENSIONAHA.108.113159.
补充文件











