Semiotics of maxillofacial anomalies in the vertical direction according to the analysis of lateral telerentgenograms
- Авторлар: Shkarin V.V.1, Dmitrienko S.V.1, Veremeenko S.A.1, Didenko I.V.1
-
Мекемелер:
- Volgograd State Medical University
- Шығарылым: Том 22, № 3 (2025)
- Беттер: 60-68
- Бөлім: Original Researches
- URL: https://bakhtiniada.ru/1994-9480/article/view/348354
- DOI: https://doi.org/10.19163/1994-9480-2025-22-3-60-68
- ID: 348354
Дәйексөз келтіру
Толық мәтін
Аннотация
Diagnosis of occlusion anomalies in the vertical direction is an urgent task of orthodontics, prosthetic dentistry and maxillofacial surgery.
Goal: To determine the main signs and symptom complex of vertical anomalies of the maxillofacial region and to analyze telerentgenograms for anomalies of occlusion in the vertical direction, taking into account the type of facial growth.
Materials and methods: The analysis of 91 telerentgenograms in the lateral projection was carried out, of which 56 images belonged to people with physiological types of bite, 24 patients showed signs of deep incisor occlusion/dysocclusion, and 11 people were diagnosed with signs of vertical incisor dysocclusion. A generally accepted analysis of the angular parameters determining the type of facial growth was performed. In addition to the traditional method, the components of the total Bjork angle were analyzed separately, and the anterior height of the face was divided into the nasal and gnatic parts. The semiotics of maxillofacial anomalies in the vertical direction included a comparative assessment of changes in the parameters of the gnathic and nasal parts of the face. The average values of the indicators and the error of representativeness (M ± m) were statistically determined.
Results and discussion: The results of the study of people with physiological occlusion showed that 46 people, (82.14 ± 5.11) %, had nasal facial parameters that corresponded to optimal parameters. Signs of a decrease in the height of the nasal region were detected in 10 people, (17.86 ± 5.11) %. It was found that with physiological variants, the height of the nasal and gnathicparts of the face are almost equivalent when analyzing linear indicators. Changes in the height of the face are usually caused by changes in both the nasal and gnathic sections of the face in different proportions.
Conclusion: During the analysis of telerentgenograms of people with physiological and pathological variants of vertical facial parameters, the relationship between the parameters of the nasal and gnathic divisions was revealed. The data obtained can be used for the differential diagnosis of gnathic and dental-alveolar abnormalities in the vertical direction and to determine the tactics of orthodontic and surgical treatment methods.
Толық мәтін
Семиотика, как учение о симптомах заболеваний и их сочетаний, по праву является важной составной частью диагностики и дифференциальной диагностики, которая считается практически единственным способом постановки диагноза при различных патологических состояниях.
В клинической ортодонтии и протетической стоматологии аномалии и деформации челюстно-лицевой области в вертикальном направлении занимают особое положение, как при проведении диагностических мероприятий, так и при выборе тактики лечебно-профилактических мероприятий [1]. В приведенных литературных источниках авторы отмечают, что лицевой отдел головы отличается вариабельностью соразмерности носовой и гнатической частей. Определена эффективность комплексных методов анализа лицевых параметров при выборе методов лечения при аномалиях окклюзии в вертикальном направлении. Отмечено влияние недифференцированной дисплазии соединительной ткани на снижение высоты назального отдела лица. При этом параметры гнатической части могут иметь как оптимальные, так и патологические параметры. Не исключено влияние асимметрии зубных дуг на показатели лицевого отдела головы [2].
Безусловно, аномалии и деформации челюстно-лицевой области определяют особенности моделирования и реконструкции зубочелюстных дуг в ходе ортодонтического и протетического лечения пациетов [3]. Отмечено, что для выбора метода лечения требуется диагностика с использованием многочисленных методов исследования челюстно-лицевой области, включая данные биометрии, краниометрии, рентгенографии [4].
Наиболее объективными методами исследования кранио-фациального комплекса считаются морфологические и рентгенологические исследования в различных проекциях [5]. В работе представлен сравнительный анализ используемых методов и даны практические рекомендации к их использованию при различных вариантах окклюзионных взаимоотношений.
Особое внимание в клинике ортодонтии уделено методам анализа телерентгенограмм. В учебниках и руководствах для врачей представлены не только методы расшифровки рентгеновских снимков, но и отмечены цифровые параметры, определяющие типологические особенности черепно-лицевого комплекса. Данные телерентгенографического исследования позволяют оценить положение горизонтальных линий, включая окклюзионную плоскость, положение точек на суставной головке нижней челюсти и особенности нижнечелюстного сустава в целом [6, 7].
Объективность метода телерентгенографии представлена в работах специалистов, изучающих типологические особенности роcта лица [8, 9]. В указанных источниках приведен сравнительный анализ угловых параметров при нейтральном, вертикальном и горизонтальном типе роста. Однако данные, полученные у людей с физиологической окклюзией, не содержали сведений о вариабельности назального и гнатического отделов лица и их влияние на рост лица в целом.
По мнению специалистов, типологические особенности лица определяются вариабельностью зубочелюстных дуг как по гнатическому, так и по трузионному типу, что отражается не только на костных структурах лица, но и оказывает влияние на мягкие ткани [10, 11].
Внедрение в стоматологическую практику методов конусно-лучевой компьютерной томографии позволило усовершенствовать методы анализа телерентгенограмм путем совмещения их с некоторыми фрагментами томограммм для повышения качества диагностики [12]. В данной работе авторы использовали метод для оценки только сагиттальных параметров.
С учетом многообразия клинических вариантов аномалий окклюзии в вертикальном направлении требуется выявление основных признаков вертикальных аномалий и симптомокомплексов нозологических форм с целью усовершенствования диагностических мероприятий для дифференциальной диагностики зубоальвеолярных и гнатических вариантов патологии, что и определило цель работы.
ЦЕЛЬ РАБОТЫ
Определить основные признаки и симптомокомплекс вертикальных аномалий челюстно-лицевой области и провести анализ телерентгенограмм при аномалиях окклюзии в вертикальном направлении с учетом типа роста лица.
МЕТОДИКА ИССЛЕДОВАНИЯ
Исследование включало анализ 91 телерентгенограммы (ТРГ) в боковой проекции из которых 56 ТРГ принадлежали людям с физиологическими видами прикуса, у 24 пациентов определялись признаки глубокой резцовой окклюзии/дизокклюзии и у 11 человек были диагностированы признаки вертикальной резцовой дизокклюзии.
Фотографии телерентгенограмм масштабировали 1 : 1 в программе PowerPoint с последующим анализом, используя методы, применяемые для определения типов роста лица.
Основу анализа традиционно составляла суммарная составляющая трех углов Bjork, которая включала углы N-S-Ar, S-Ar-Go и Ar-Go-Me, которые ограничивают костные структуры линевого отдела головы, и полученная величина определяет типологические особенности роста лица. Нижний нижнечелюстной угол образован линиями N-Go и Go-Me. При построении лицевого угла Ricketts проводили линию N-Ba и линию Pt-Gn, с последующим измерением внутреннего угла.
Также к показателям типа роста относили углы, образованные мандибулярной плоскостью, с линией основания черепа (NSL-ML) и основания верхней челюсти (NL-ML). Кроме определения угловых параметров оценивали линейные показатели, в частности проводили сравнение передней высоты лица (N-Me) с задней высотой (S-Go).
Нередко при анализе телерентгенограммы на верхушку корня медиального нижнего резца наслаиваются контуры соседних зубов, и данный ориентир недостаточно четко определяется. В подобных случаях выделяли фрагмент зуба из томограммы с последующим наложением и совмещением с телерентгенограммой.
Данная методика позволяла определять положение верхушки корня медиального нижнего резца, полученный ориентир в ортодонтии принято обозначать как Api (apicalе inferior), а точка режущего края нижнего резца обозначалась как Ii. Для оценки вертикальных параметров оценивали угол N-Cond-SNA, который использовали для определения параметров назального отдела. При этом точка Cond соответствовала верхнему полюсу суставной головки. Угол SNA-Cond-Api определял угловые параметры гнатического отдела лица без учета размеров подбородка, который является наиболее вариабельной структурой нижней челюсти. Альвеолярную часть нижней челюсти отделяли от подбородочной части линией, соединяющей конструктивную точку угла нижней челюсти Go с верхушкой корня нижнего резца (Go-Api).
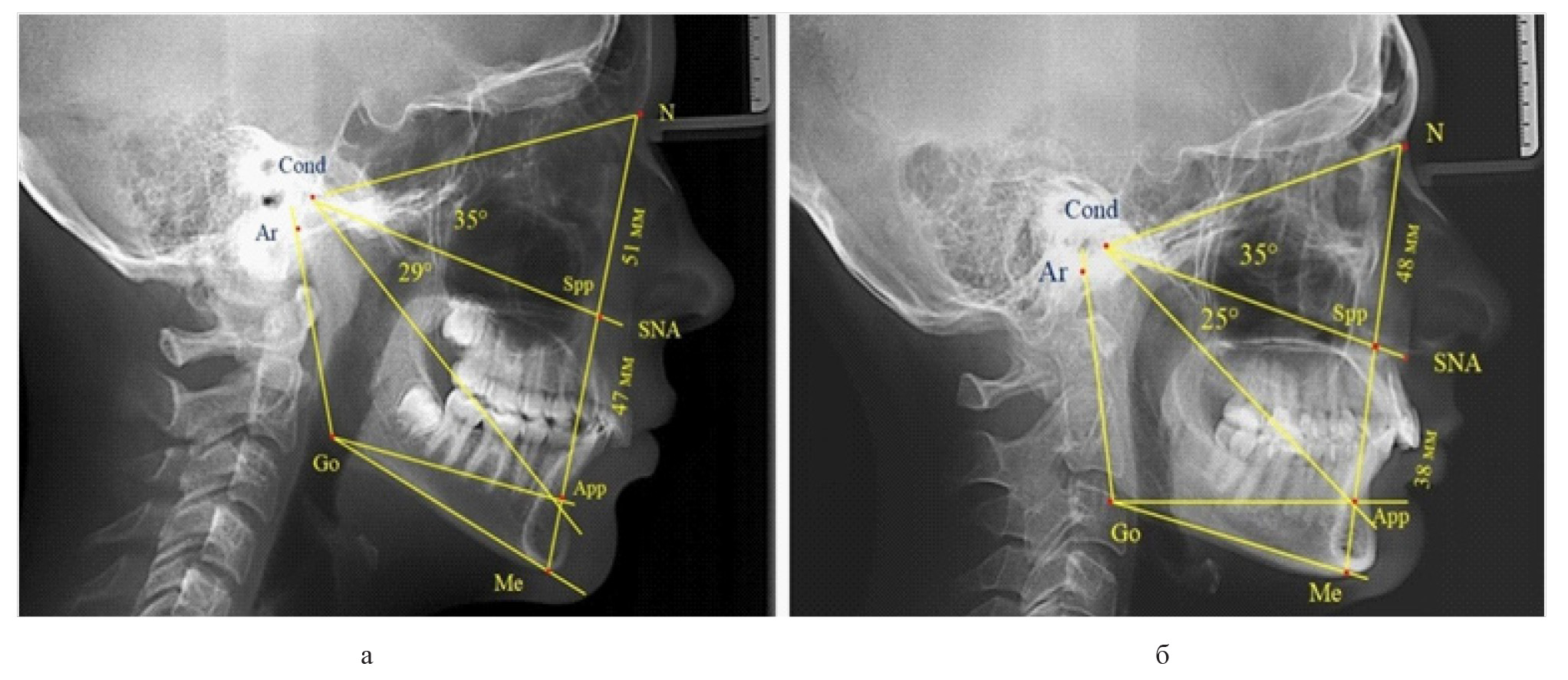
Вертикальная линия передней высоты лица (N-Me), после ее пересечения с линией Cond-SNA, определяла положение точки Spp, при этом вертикаль N-Spp использовалась в качестве оценки высоты назального отдела лица. Продолжение линии Go-Api до пересечения с линией N-Me позволяла определить положение конструктивной точки Арр и оценить линейные размеры гнатической части лица по величине вертикали Spp-Арр (рис. 1).
Рис. 1. Методы оценки основных параметров ТРГ для определения вертикальных размеров лицевого отдела головы
Проводили сравнение высоты назального отдела лица и высоты гнатической части лица без учета вариабельных размеров подбородочного выступа.
Анализ данных статистического исследования проводили в программе Microsoft Excel. Оценивали средние значения показателей и ошибку репрезентативности (М ± m). Учитывали максимальные и минимальные значения показателей для дифференциальной диагностики физиологических и патологических вариантов вертикальных параметров лица.
РЕЗУЛЬТАТЫ ИССЛЕДОВАНИЯ И ИХ ОБСУЖДЕНИЕ
Первая часть исследования включала анализ 56 ТРГ с физиологическим вариантами прикуса. Анализ проводили с учетом традиционных методов, определяющих тип роста лица. В исследуемой группе суммарная величина трех углов по Bjork составила (389,43 ± 1,46)°, что было несколько меньше, чем в авторском варианте. При анализе составных частей суммарного угла Bjork отмечено, что угол нижней челюсти (Ar-Go-Me) для людей с физиологическим прикусом составлял (120,65 ± 1,44)°. При этом сумма двух остальных углов (N-S-Ar+S-Ar-Go) равнялась (268,78 ± 0,58)°. Обращает на себя внимание малое значение ошибки суммарной величины двух углов, что определяет их относительную стабильность, в отличие от суммарной величины углов Bjork. Наиболее вариабельной структурой являлся нижнечелюстной угол, величина которого варьировала от 113 до 128°.
Вполне очевидно, что величина нижнечелюстного угла отражалась и на других показателях типа роста лица. Так, величина угла, образованного мандибулярной линией с линией основания черепа (SNL-ML), составляла (29,13 ± 1,29)°, а с линией основания верхней челюсти (Nl-ML) – (24,41 ± 1,64)°. Показатель величины нижнего гониального угла (N-Go-Me) составил (71,26 ± 1,42)°, а показатель угла Ricketts (NBa-PtGn) был (90,69 ± 0,72)°.
Величина угла назального отдела лица (N-Cond-SNA) в исследуемой группе составила (35,28 ± 0,26)°, а линейные размеры (N-Spp) были (48,82 ± 0,96) мм. Параметры угла гнатической части (SNA-Cond-App) были (29,83 ± 0,54)°, при линейной высоте (49,25 ± 1,31) мм.
Разделение данной группы проводили с учетом показателей типа роста лица, что позволило оценить сравниваемые показатели у людей с нейтральным, вертикальным и горизонтальным типом роста. Данные результатов исследования приведены в таблице.
Показатели параметров лица на ТРГ при физиологической окклюзии с различными вертикальными вариантами лица
Основные параметры | Показатели параметров лица (в градусах) при варианте физиологическом: | ||
нейтральном | вертикальном | горизонтальном | |
Ar-Go-Me | 121,58 ± 0,67 | 126,12 ± 0,59 | 115,33 ± 0,56 |
N-S-Ar + S-Ar-Go | 268,17 ± 0,49 | 268,07 ± 0,29 | 269,16 ± 0,61 |
Сумма углов Bjork | 390,75 ± 0,81 | 394,03 ± 0,78 | 384,51 ± 0,76 |
NSL-ML | 30,17 ± 0,82 | 32,51 ± 0,63 | 25,67 ± 1,23 |
NL-ML | 25,58 ± 0,55 | 28,75 ± 0,55 | 19,68 ± 1,21 |
N-Go-Me | 72,17 ± 0,76 | 66,27 ± 0,79 | 68,67 ± 0,94 |
NBa-PtGn | 90,08 ± 0,48 | 88,19 ± 0,54 | 92,67 ± 0,59 |
N-Cond-SNA | 35,12 ± 0,23 | 34,87 ± 0,21 | 35,08 ± 0,17 |
SNA-Cond-B | 30,01 ± 0,62 | 30,25 ± 0,47 | 29,21 ± 0,56 |
В ходе анализа обратили внимание на особенности нижнечелюстного угла (Ar-Go-Me), который имел минимальные значения при горизонтальном, а максимальные – при вертикальном типе роста лица, что отражалось на показателях угла Bjork. При этом достоверных различий по сумме двух углов (N-S-Ar + S-Ar-Go) не отмечено (р ˃ 0,05). Таким образом, тип роста лица во многом определятся величиной угла нижней челюсти, который отражался на показателях других параметров лицевого отдела головы.
Обращает на себя внимание относительная стабильность угловых и параметров носового и гнатического отделов лица, которые были стабильными при всех вариантах типа роста лица.
Измерения линейных вертикальных параметров показали, что у людей с нейтральным типом роста высота назального отдела составляла (49,53 ± 0,89) мм, а гнатической части – (50,22 ± 0,94) мм и разница в показателях была не достоверной (р ˃ 0,05).
При вертикальным типе роста высота назального отдела составляла (47,79 ± 0,71) мм, а гнатической части – (46,82 ± 0,66) мм.
Для горизонтального типа роста характерна высота назального отдела (47,75 ± 0,75) мм, а гнатической части – (46,49 ± 0,58) мм.
Полученные данные позволили разработать рабочую схему для определения физиологических и патологических вариантов роста лица (рис. 2).
Рис. 2. Рабочая схема дифференциальной диагностики физиологических и патологических вариантов роста лица
Семиотика аномалий челюстно-лицевой области в вертикальном направлении включала несколько основных симптомокомплексов.
Во-первых, оценивали изменение параметров гнатического отдела лица при оптимальных размерах носового отдела. Во-вторых, оценивали изменение параметров носового отдела лица при оптимальных размерах гнатического отдела. В-третьих, оценивали особенности лица при изменении параметров как носового, так и гнатического отдела лица. Оценку проводили в группе людей с физиологической окклюзией, и у пациентов с аномалиями окклюзии в вертикальном направлении.
Результаты исследования людей с физиологической окклюзией показали, что у 46 человек [(82,14 ± 5,11) %], параметры назального отдела лица соответствовали оптимальным показателям. При этом у 38 человек [(67,85 ± 6,14) %], определились физиологические показатели параметров гнатической части лица.
У 6 человек [(10,71 ± 4,13) %], отмечалось увеличение параметров гнатической части до уровня физиологического вертикального показателя, а у 2 человек [(3,57 ± 2,48) %], незначительное снижение гнатической части (рис. 3).
Рис. 3. Сравнительный анализ ТРГ с оптимальными размерами носового отдела и оптимальными (а), укороченными физиологическими (б) и увеличенными физиологическими (в) размерами гнатической части лица
Признаки снижения высоты назального отдела вплоть до уровня горизонтального патологического типа при физиологической окклюзии были определены у 10 человек [(17,86 ± 5,11) %]. При этом параметры гнатического отдела соответствовали физиологической норме либо физиологическому горизонтальному типу (рис. 4).
Рис. 4. Варианты ТРГ с укороченными размерами носового отдела и оптимальными (а) и укороченными (б) размерами гнатической части
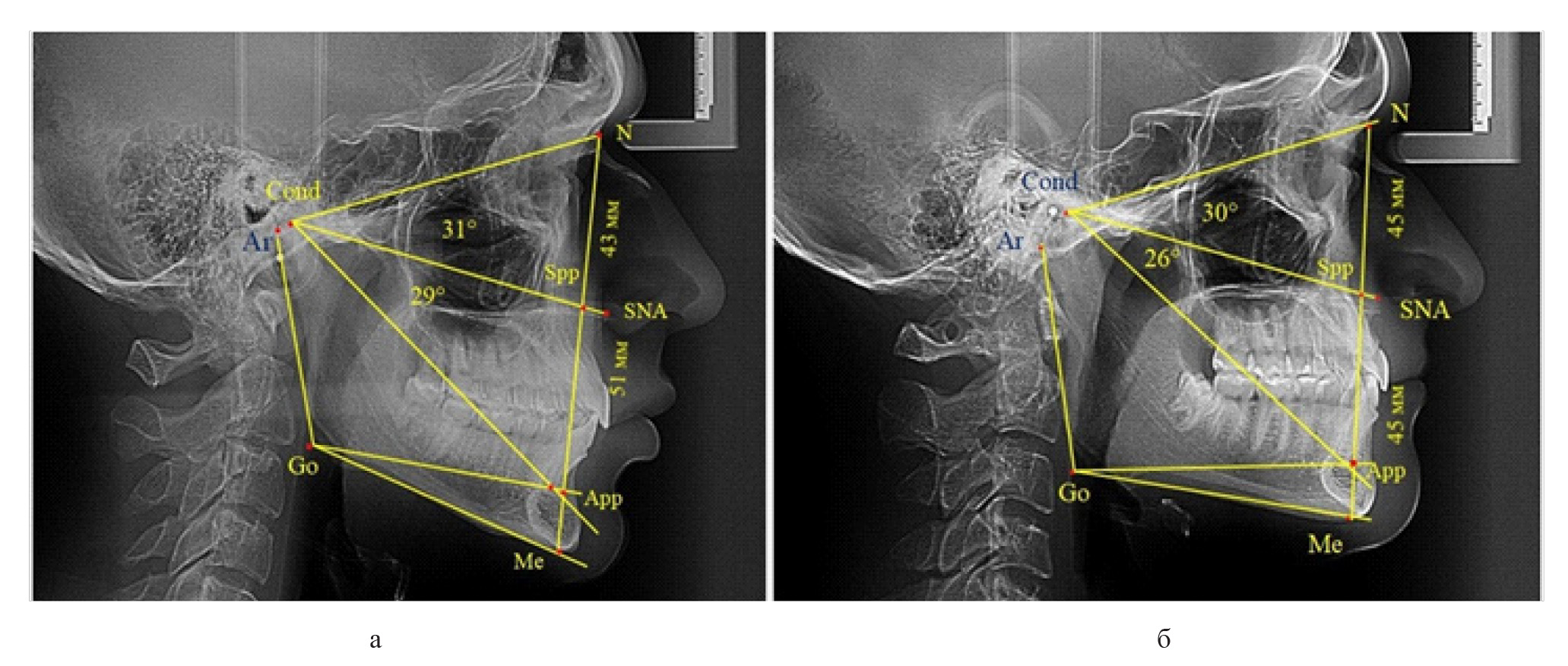
Среди пациентов с аномалиями челюстно-лицевой области в вертикальном направлении у 24 человек определялась глубокая резцовая окклюзия/дизокклюзия (рис. 5).
Рис. 5. Варианты ТРГ с оптимальными размерами носового отдела и оптимальными (а) и укороченными (б) размерами гнатической части лица
При этом только в двух случаях [(8,33 ± 5,64) %], параметры носового и гнатического отдела соответствовали норме. У 9 человек [(37,59 ± 9,88) %], при оптимальных параметрах назального отдела отмечалось уменьшение высоты гнатического отдела, вплоть до патологических показателей.
У людей с глубокой резцовой окклюзией нередко отмечалось изменение параметров носового отдела лица. Так, в 7 случаях было выявлено снижение параметров как носового, так и гнатического отделов лица. У 5 человек [(20,83 ± 8,28) %], отмечалось уменьшение носового отдела лица при оптимальных параметрах гнатического отдела.
В одном случае [(4,17 ± 4,08) %], определялось патологическое увеличение назального отдела лица при уменьшении гнатической его части. Некоторые варианты ТРГ пациентов с глубокой резцовой окклюзией представлены на рис. 6.
Рис. 6. Варианты ТРГ с уменьшенными размерами носового отдела и оптимальными (а) и укороченными (б) размерами гнатической части лица при глубокой резцовой окклюзии
Вертикальная резцовая дизокклюзия (открытый прикус) была проанализирована на 11 телерентгенограммах. При этом отмечались варианты как с оптимальными, так и увеличенными параметрами гнатической части лица при различных типах роста назального отдела, что представлено на рис. 7.
Рис. 7. Сравнительный анализ ТРГ при увеличенных размерах гнатической части с оптимальными (а), укороченными (б) и увеличенными (в) размерами носового отдела лица и вертикальной резцовой дизокклюзией
Таким образом, вариабельность угловых и линейных параметров назального и гнатического отдела лица является основным диагностическим признаком зубоальвеолярных и гнатических форм аномалий окклюзии /в вертикальном направлении и может служить критерием определения типов роста лица. Установлено, что при физиологических вариантах высота назального и гнатического отдела лица практически равнозначна при анализе линейных показателей. Изменение высоты лица, как правило, обусловлено изменениями как назального, так и гнатического отделов лица в различных соотношениях.
ЗАКЛЮЧЕНИЕ
В ходе анализа телерентгенограмм людей с физиологическими и патологическими вариантами вертикальных параметров лица была выявлена взаимосвязь межу параметрами носового и гнатического отделов. Семиотика аномалий челюстно-лицевой области в вертикальном направлении обусловлена анализом основных симптомокомплексов. Во-первых, сравниваются изменения параметров гнатического отдела лица при оптимальных размерах носового отдела. Во-вторых, определяется изменение параметров носового отдела лица при оптимальных размерах гнатического отдела. В-третьих, оцениваются особенности лица при изменении параметров как носового, так и гнатического отдела лица. Полученные данные могут быть использованы для дифференциальной диагностики гнатических и зубо-альвеолярных форм аномалий в вертикальном направлении и определять тактику ортодонтических и хирургических методов лечения.
Авторлар туралы
Vladimir Shkarin
Volgograd State Medical University
Email: vishkarin@mail.ru
ORCID iD: 0000-0001-7158-0282
Institute of Continuing Medical and Pharmaceutical Education, MD, Professor, Head of the Department of Public Health and Public Health
Ресей, VolgogradSergey Dmitrienko
Volgograd State Medical University
Хат алмасуға жауапты Автор.
Email: svdmitrienko@volgmed.ru
Institute of Continuing Medical and Pharmaceutical Education, Doctor of Medical Sciences, Professor, Head of the Department of Orthopedic Dentistry and Orthodontics
Ресей, VolgogradSergej Veremeenko
Volgograd State Medical University
Email: sergey34_94@mail.ru
ORCID iD: 0000-0003-0652-0173
Postgraduate student of the Department of Propaedeutics of Dental Diseases
Ресей, VolgogradIrina Didenko
Volgograd State Medical University
Email: mihai-m@yandex.ru
Clinical Resident
Ресей, VolgogradӘдебиет тізімі
- Harutyunyan Yu., Kondratyeva T.S., Domenyuk D.A., Domenyuk S.D. Undifferentiated connective tissue dysplasia as a key factor in pathogenesis of maxillofacial disorders in children and adolescent. Archiv EuroMedica. 2020;10(2):83–94. doi: 10.35630/2199-885X/2020/10/2.24.
- Davydov B.N., Domeniuk D.A., Kondratyeva T.A., Arutyunyan Yu.S. Cephalometric features of connective tissue dysplasia in children and adolescents. Stomatologiya detskogo vozrasta i profilaktika = Pediatric dentistry and dental prophylaxis. 2020;20(3):174–183. (In Russ.). doi: 10.33925/1683-3031-2020-20-3-174-183.
- Davydov B.N., Porfiriadis M.P., Vedeshina E.G. Features of tactics and principles of orthodontic treatment of patients with dental arch asymmetry caused by different amounts of antimers (Part II). Institut stomatologii = The dental institute. 2018:78(4):70–73. (In Russ.).
- Domeniuk D.A., Davydov B.N., Ivanyuta S.O. Mathematical modeling of the shape and size of dental arches for the choice of tactics and scope of orthodontic treatment of patients with anomalies of the dentofacial system. Medicinskiy alfavit = Medical Alphabet. 2018;2(8):7–13. (In Russ.).
- Dmitrienko S.V., Shkarin V.V., Dmitrienko T.D. Methods of biometric study of dentofacial arches. Textbook.Volgograd; VolgSMU Publishing House, 2022. 220 р. (In Russ.).
- Shkarin V., Kochkonyan T., Al-Harazi Gh., Domenyuk D., Dmitrienko S., Domenyuk S. Occlusal plane orientation in patients with dentofacial anomalies based on morphometric cranio-facial measurements. Archiv EuroMedica. 2021;11(1):116–121. doi: 10.35630/2199-885X/2021/11/1.26.
- Domenyuk D.A., Domenyuk S.D., Kharatyunyan Yu. Structural arrangement of the temporamandibular joint in view of the constitutional anatomy. Archiv EuroMedica. 2020;10(1): 128–138. doi: 10.35630/2199-885X/2020/10/2.24.
- Domenyuk D.A., Porfyriadis M.P. Major telerenthengogram indicators in people with various growth types of facial area. Archiv EuroMedica. 2018;8(1):19–24. doi: 10.35630/2199-885X/2018/8/219-24.
- Korobkeev A.A. Domenyuk D.A., Shkarin V.V. Features of the types of facial head growth in physiological occlusion. Meditsinskii vestnik Severnogo Kavkaza = Medical News of North Caucasus. 2018;13(4):627–630. (In Russ.). doi: 10.14300/mnnc.2018.13122.
- Dmitrienko S.V., Davydov B.N., Domenyuk D.A., Ivanyu-ta S.O. Morphometric analysis of the relationship between the basic sizes of dental arches, taking into account individual gnathic types. Medicinskiy alfavit = Medical Alphabet. 2019;1(5):37–44. (In Russ.).
- Domenyuk D.A., Davydov B.N., Dmitrienko S.V., Lepilin A.V., Fomin I.V. Study of morphology, methods of comparing dental and alveolar arches based on the results of anthropometry and cone-beam computed tomography (Part I). Institut stomatologii = The dental institute. 2018;79(2):68–72. (In Russ.).
- Dmitrienko S.V., Davydov B.N., Domenyuk D.A., Ivanyuta I.V., Ivanyuta О.О. Improvement of algorithms for visualizing the structures of the maxillofacial region using modern methods of radiation diagnostics (Part I). Institut stomatologii = The dental institute. 2019;84(3):56–59. (In Russ.).
Қосымша файлдар









