Morphological changes in bifurcation lymph nodes in the COVID-19 coronavirus
- Authors: Kalashnikova S.A.1, Natalchenko D.V.1
-
Affiliations:
- Volgograd State Medical University
- Issue: Vol 22, No 2 (2025)
- Pages: 121-125
- Section: Original Researches
- URL: https://bakhtiniada.ru/1994-9480/article/view/310142
- DOI: https://doi.org/10.19163/1994-9480-2025-22-2-121-125
- ID: 310142
Cite item
Full Text
Abstract
The article discusses morphological changes in bronchopulmonary lymph nodes in coronavirus infection with COVID-19. Macroscopic and microscopic changes were analyzed, and morphometric parameters of normal lymph nodes and changes caused by the new coronavirus infection were compared. Pathogenetic mechanisms affecting the structure of lymph nodes are discussed. During the study, it was found that in response to the viral lesion of SARS-CoV-2, activation of the lymph nodes occurs, accompanied by changes in their structure. Patients with COVID-19 show signs of hyperplasia, infiltration by lymphocytes and destruction of follicles, which may indicate a violation of the normal functioning of the immune system.
Full Text
Пандемия COVID-19, вызванная коронавирусом SARS-CoV-2, стала одной из самых серьезных глобальных угроз для здоровья населения в последние десятилетия [1]. Согласно данным Всемирной организации здравоохранения (ВОЗ), на начало 2023 г. было зарегистрировано более 750 млн случаев заболевания, а число жертв превысило 6 млн человек по всему миру [2]. Вирус продолжает эволюционировать, что оказывает влияние на клиническую картину заболевания и усложняет эпидемиологический контроль [3]. Важным направлением научных исследований является изучение морфологических изменений в органах и тканях человека, вызванных COVID-19, что позволяет глубже понять механизмы патогенеза и разработать более эффективные стратегии лечения и профилактики.
Эпидемиологическая информация о распространении COVID-19 свидетельствует, что заболевание представляет наибольшую угрозу для пожилых людей и пациентов с сопутствующими заболеваниями, такими как гипертония, диабет и болезни сердца. Частота осложнений и смертельных исходов также значительно выше среди пациентов с ослабленной иммунной системой. В странах с высоким уровнем развития системы здравоохранения наблюдается повышенный показатель заболеваемости и смертности, что объясняется более точной диагностикой и регистрацией случаев. В развивающихся странах распространенность заболевания также велика, но данные о смертности могут быть неполными из-за ограниченных возможностей местных медицинских учреждений [2].
Этиология COVID-19 связана с вирусом SARS-CoV-2, который передается воздушно-капельным путем и проникает в организм через слизистые оболочки дыхательных путей. Вирус активно взаимодействует с клетками организма, проникая в них через рецепторы ACE2, что приводит к повреждению клеток и тканей [3]. Наибольшее поражение происходит в тканях легких, сердца, почек, а также в центральной нервной системе. Однако часто встречаются и системные осложнения, включая изменения в лимфатической системе. Лимфатические узлы, особенно бронхопульмональные, играют ключевую роль в иммунном ответе, что делает их морфологические изменения важным объектом исследования.
ЦЕЛЬ РАБОТЫ
Изучение макроскопических и микроскопических изменений бифуркационных лимфатических узлов при COVID-19.
МЕТОДИКА ИССЛЕДОВАНИЯ
В исследовании изучены бифуркационные лимфатические узлы, полученные при аутопсиях 20 пациентов (12 женщин, 8 мужчин), умерших от лабораторно подтвержденной новой коронавирусной инфекции COVID-19 (тяжелая форма). Средний возраст умерших составил (66 ± 13,01) года, средний возраст женщин при этом был (65,00 ± 9,25) года, а мужчин (70,00 ± 26,75) года. У всех пациентов наблюдались клинические и лабораторные признаки цитокинового шторма, такие как: лихорадка выше 38,5°, тахикардия более 90 уд./мин, тахипное более 30 вдохов/мин, увеличение концентрация С-реактивного белка, ферритин >500 нг/мл, повышение D-димера. Смерть всех пациентов наступила на пике цитокинового шторма.
В качестве группы сравнения были выбраны лица, чья смерть не была связана с вирусом SARS-CoV-2. Средний возраст пациентов из группы сравнения был сопоставим с группой исследования и в среднем составил (67,00 ± 12,3) года.
Выделенные в ходе проведения аутопсии бифуркационные лимфатические узлы был фиксированы в 10%-м растворе нейтрального забуференного формалина, проведена стандартная гистологическая проводка с последующей окраской гематоксилином и эозином. Макроскопически производили оценку размеров, формы и консистенции.
Проведен микроскопический анализ, который производился на микроскопе Leica DM 1000 (Leica Microsystems GmbH, Германия), морфометрический анализ проводился с использованием программного комплекса LAS v.4.7. Были определены следующие морфометрические параметры: ширина капсулы, ширина мозгового и коркового слоев, размер краевого, межузелкового и мозгового синусов, среднее число фолликулов со светлыми герминативными центрами. Статистическую обработку полученных результатов проводили методами описательной и аналитической статистики с применением программного обеспечения Prism 10.4.1 (GraphPad Software Inc., США).
РЕЗУЛЬТАТЫ ИССЛЕДОВАНИЯ И ИХ ОБСУЖДЕНИЕ
Лимфатические узлы из группы сравнения макроскопически были овальной или бобовидной формы, серо-розового цвета, с гладкой и ровной поверхностью, каждый узел окружен плотной капсулой, размер варьировал от 0,5 до 1,1 см в длину, (0,7 ± 0,3) см.
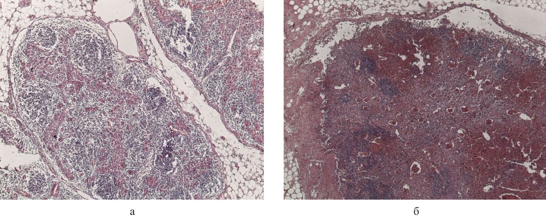
При микроскопическом исследовании бифуркационных лимфатических узлов из группы сравнения в жировой клетчатке вокруг лимфатического узла наблюдалась минимальная очаговая клеточная инфильтрация с преобладанием малых лимфоцитов, макрофагов и незначительным количеством нейтрофилов. Капсула покрывала весь лимфатический узел, отдавала в толщу узла соединительнотканные трабекулы, архитектоника была сохранена. В корковом веществе определялись 12–15 лимфоидных фолликулов, как со светлыми герминативными центрами, так и без них, преобладали лимфоциты и макрофаги. Мантийный слой присутствовал, с преобладанием в нем лимфоцитов. Паракортикальная зона занимала 20–30 % общего объема узла. Преобладали лимфоциты, а также присутствовало небольшое количество макрофагов. Наблюдались единичные митозы. В мозговом веществе в небольших количествах присутствуют лимфоциты и плазмоциты, разделенные мякотными тяжами. Синусы не расширены, свободные, с минимальным количеством лимфоцитов и макрофагов. Разрастания соединительной ткани в строме нет, структура узла сохранена. Просвет сосудов не расширен, стенки не утолщены, выстланы кубическим эндотелием (рис. 1А).
Рис. 1. Микроскопическое исследование бифуркационных лимфатических узлов: а – нарушение гистоархитектоники, кровоизлияния лимфатических узлов бронхолегочной группы у пациента с COVID-19, окраска гематоксилином и эозином ×40; б – лимфатический узел бронхолегочной группы пациента из группы контроля, окраска гематоксилином и эозином ×40
При COVID-19 лимфатические узлы увеличены в размере в среднем (1,2 ± 0,2) см в длину, плотной консистенции. Капсула, окружающая лимфатический узел, была утолщена, что является признаком фиброзных изменений вследствие хронического воспаления. Поверхность лимфатических узлов в большинстве случаев COVID-19 неровная, с участками некроза и кровоизлияниями, которые видны при разрезе. Цвет лимфатических узлов варьировался от бледного до красноватого из-за наличия геморрагических участков. При микроскопии в жировой клетчатке наблюдалась клеточная инфильтрация, которая включала лимфоциты, макрофаги и нейтрофилы. В отдельных участках присутствуют очаги с выраженной клеточной инфильтрацией, в которых особенно много макрофагов, часть из которых находится в стадии активного фагоцитоза. Лимфоциты образовывали очаговые скопления. Гистиоциты часто встречались в очагах воспаления и некроза, в том числе в виде активированных макрофагов. Макрофаги преобладали в местах с выраженным воспалением, фагоцитируя разрушенные клетки и некротические ткани. Плазмоциты, представленные в небольшом количестве, визуализировались преимущественно в периферических участках. Нейтрофилы присутствовали в местах некроза и воспаления, особенно в синусах лимфатического узла. В некоторых участках присутствовало небольшое количество дендритных клеток, а также активированные эпителиальные клетки. Обнаруживалось расширение просвета сосудов, утолщенные стенки, местами фиброз и воспалительные изменения стенок сосудов, особенно в периферических участках лимфатического узла.
Толщина капсулы неравномерная: участки с истонченной капсулой, обусловленной отеком и дегенеративными изменениями чередуется с участками ее уплотнения, за счет фиброзных изменений в результате хронического воспаления. Определялась очаговая инфильтрация макрофагами и плазмоцитами в более глубоких слоях капсулы, где в основном преобладали лимфоциты и нейтрофилы, в меньшем количестве плазмоциты. Нормальная гистологическая структура лимфатического узла сохранена, однако на фоне воспалительных изменений происходит нарушение границ коркового и мозгового вещества, в местах с выраженным некрозом рисунок вовсе стерт (рис. 1Б).
Ширина коркового вещества увеличена за счет отека и гиперплазии клеток, с обилием лимфоцитов, большим количеством макрофагов и активированных гистиоцитов в периферических участках. Встречались единичные активированные дендритные клетки на фоне значительного снижения количества лимфоидных фолликулов без светлых герминативных центров. При этом возрастало количество фолликулов со светлыми герминативными центрами, которые были увеличены в размерах за счет гиперплазии герминативных центров. Лимфоциты присутствуют в умеренном количестве в активных центрах. Макрофаги преобладали в зонах с воспалением, в области некроза наблюдались фагоцитирующие макрофаги. В части лимфатических узлов лимфоидные фолликулы вовсе отсутствовали. Мантийный слой был увеличен и деформирован за счет выраженных воспалительных изменений с фокусами некроза. Преобладали лимфоциты, так же присутствовали клетки в активной фазе фагоцитоза. Паракортикальная зона была реактивно увеличена в ответ на воспаление: определялось большое количество лифоцитов, повышенная митотическая активность.
Ширина мозгового вещества увеличена, зарегистрировано нарушение архитектоники за счет отека и лейкоцитарной инфильтрации, а также наличия активного фагоцитоза. Просвет краевого, межузелкового и мозгового синусов был расширен вследствие выраженной воспалительной реакции. Часть синусов была заполнена гистиоцитами и лимфоцитами, в строме обнаруживались очаговые фиброзные изменения, фиброз и воспаление стенок сосудов на фоне хронического воспаления.
Результаты морфометрического анализа параметров бифуркационных лимфатических узлов у пациентов с COVID-19 и из группы сравнения представлены в табл. 1.
Таблица 1
Сравнительная характеристика морфометрических показателей коркового и мозгового вещества
Показатель, мкм | Медиана | Доверительный интервал | р | |||
COVID-19 | Группа сравнения | COVID-19 | Группа сравнения | COVID-19 | Группа сравнения | |
Ширина капсулы | 229,8 | 129,5 | 227,8–232,8 | 112,8~143,4 | < 0,0001 | < 0,0001 |
Ширина коркового вещества | 329,1 | 272,5 | 328,9–229,3 | 263,3–301,5 | < 0,0001 | < 0,0001 |
Ширина мозгового вещества | 171,9 | 144,5 | 170,3–172,8 | 143,0–148,0 | < 0,0001 | < 0,0001 |
Использование стандартных морфометрических методов позволило выявить достоверные отличия в структуре лимфатических узлов, отражавшие иммунный ответ на инфекцию. Ширина капсулы бифуркационных лимфатических узлов при COVID-19 была увеличена до 229,8 мкм (227,8–232,8 мкм) при р < 0,0001 по сравнению с нормой 129,5 мкм (112,8–143,4 мкм). Выявленное увеличение связано с развитием фиброза и отеком, что является результатом хронической воспалительной реакции и фиброза в ответ на вирусную инфекцию.
Ширина коркового вещества в бифуркационных лимфатических узлах в среднем составляла 329,1 мкм (328,9–229,3 мкм), р < 0,0001. В группе сравнения средняя ширина коркового вещества составила 272,5 мкм (260,3–301,5 мкм), что значительно превышало значения нормы и указывало на гиперплазию лимфоцитов, активизацию Т- и В-клеток в области активных лимфатических фолликулов в ответ на вирусную инфекцию.
Ширина мозгового вещества в лимфатических узлах COVID-19 составила в среднем 171,9 мкм (170,3–172,8 мкм), р < 0,0001, что также несколько больше по сравнению с нормой 144,5 мкм (143,0–148,0 мкм), что было связано с воспалительными процессами в мозговой части узла, с увеличением количества макрофагов и других иммунокомпетентных клеток.
Диаметр светлых центров в лимфатических фолликулах варьировал от 100 до 200 мкм, а в среднем составил 162,2 мкм (157,4–164,2 мкм), что существенно больше, чем в группе сравнения 68,0 мкм (55,5–82,75 мкм), р < 0,0001 Увеличение диаметра светлых центров является результатом гиперплазии, вызванной активным иммунным ответом на вирусную инфекцию.
При сравнительном морфометрическом анализе синусов бифуркациооных лимфатических узлов было установлено, что средняя ширина краевого промежуточного синуса была увеличена до 75,87 мкм (75,05–76,24 мкм) при р < 0,0001 в ответ на воспалительный отек и накопление клеток в этом участке. В группе сравнения ширина синуса составляет 29,5 мкм (24,25–35,5 мкм).
Такое увеличение в исследуемой группе свидетельствовало о нарушении нормального потока лимфы и усилении клеточного накопления в синусах. Ширина межузелкового синуса увеличилась до 91,65 мкм (91,13–92,71 мкм) при р < 0,0001, данный показатель в группе сравнения составил в среднем 32,0 мкм (25,25–37,75 мкм), что также является следствием воспалительного процесса, с накоплением нейтрофилов и макрофагов.
В мозговом синусе была зафиксирована ширина в пределах 112,6 мкм (112,1–113,0 мкм) при р < 0,0001, что значительно больше, чем в группе сравнения – 28,0 мкм (24,25–38,75 мкм). Данное увеличение связано с отеком, воспалением и накоплением клеток в синусах, что является частью иммунного ответа организма.
Рис. 2. Морфометрические показатели ширины синусов лимфатических узлов пациентов с COVID-19 (фиолетовый цвет) и у пациентов из группы сравнения (черный цвет)
В лимфатических узлах у пациентов COVID-19 было зарегистрировано в среднем 6 (5–7) фолликулов без светлых центров, что меньше, чем в группе сравнения, в среднем 8 (7–9), р < 0,0001. Данное снижение числа фолликулов без светлых центров связано с нарушением нормальной структуры лимфатических фолликулов, где чаще встречались фолликулы с активной пролиферацией.
Среднее число фолликулов с выраженными светлыми центрами составило 11 (11–12) фолликулов. Тот же показатель в группе сравнения составил в среднем 9 (8–10) фолликулов (табл. 2).
Таблица 2
Сравнительная характеристика диаметра светлых герминативных центров
Группы | Медиана | Доверительный интервал | р |
COVID-19 | 162,2 | 157,4–164,2 | <0,0001 |
Группа сравнения | 68,8 | 55,5–82,75 | <0,0001 |
Выявлены достоверные отличия, которые отражают интенсивность иммунного ответа организма на вирусную инфекцию, которые характеризовались увеличением количества фолликулов с светлыми центрами, подтверждающими активную иммунную реакцию, в том числе пролиферацию В-лимфоцитов и образование антител. При анализе морфометрических параметров лимфатических узлов пациентов, чья смерть была связана с COVID-19, и лимфатических узлов пациентов из группы сравнения были выявлены значительные изменения всех исследуемых показателей. Такие показатели, как ширина капсулы, ширина коркового вещества и ширина мозгового вещества в основной группе пациентов с COVID-19 по сравнению с группой сравнения были увеличены в 1,8, 1,2 и 1,2 раза соответственно. Диаметр светлых герминативных центров увеличен в 1,2 раза, показатели ширины синусов (краевого, межузелкового и мозгового) также превышали показатели из группы сравнения в 2,6, 2,9 и 4 раза соответственно. Количество фолликулов без светлых центров уменьшено в 1,3 раза, а со светлыми центрами увеличено в 1,2 раза. Полученные данные подчеркивают важность изучения морфометрических изменений лимфатических узлов при COVID-19 для понимания механизмов патогенеза и разработки новых диагностических и терапевтических подходов.
ЗАКЛЮЧЕНИЕ
Морфологические изменения бифуркационных лимфатических узлов при COVID-19 демонстрируют важную роль этих органов в иммунном ответе на инфекцию. Исследования показали, что в ответ на вирусное поражение SARS-CoV-2 происходит активация лимфатических узлов, сопровождающаяся изменениями в их структуре. У пациентов с COVID-19 наблюдались признаки гиперплазии, инфильтрации лимфоцитами и разрушения фолликулов, что свидетельствовало о нарушении нормального функционирования иммунной системы. В то же время поражение бифуркационных лимфатических узлов может быть связано с развитием системных воспалительных процессов, что отражается на патогенезе заболевания.
Анализ морфологических изменений в лимфатических узлах важен для лучшего понимания механизма распространения инфекции и для выявления возможных факторов риска тяжелого течения заболевания. Эти данные могут оказать помощь в разработке новых подходов к лечению и профилактике COVID-19, а также в улучшении диагностики заболевания. В дальнейшем исследования в этой области должны быть направлены на более глубокое изучение патофизиологических процессов, происходящих в лимфатической системе при коронавирусной инфекции.
About the authors
Svetlana A. Kalashnikova
Volgograd State Medical University
Author for correspondence.
Email: kalashnikovasa@yandex.ru
Doctor of Medical Sciences, Professor, Head of the Department of Anatomy
Russian Federation, VolgogradDiana V. Natalchenko
Volgograd State Medical University
Email: Natalchenko.d@mail.ru
Assistant Professor, Department of Anatomy
Russian Federation, VolgogradReferences
- Huang C., Wang Y., Li X., Ren L., Zhao J., Hu Y. et al. Clinical features of patients infected with 2019 novel coronavirus in Wuhan, China. Lancet. 2020;395(10223):497–506. doi: 10.1016/S0140-6736(20)30183-5.
- Xu Z., Shi L., Wang Y., Zhang J., Huang L., Zhang Ch. et al. Pathological findings of COVID-19 associated with acute respiratory distress syndrome. The Lancet. Respiratory medicine. 2020;8(4):420–422. doi: 10.1016/S2213-2600(20)30076-X.
- Gu J., Gong E., Zhang B., Zheng J., Gao Z., Zhong Y. et al. Multiple organ infection and the pathogenesis of SARS. The Journal of experimental medicine. 2005;202(3):415–424. doi: 10.1084/jem.20050828.
Supplementary files




