Morphological characteristics of cardiovascular tissues determining the criteria for diagnostic chargonal health disease
- Authors: Zatolokina M.A.1,2, Gorbunova M.V.1, Snimschikova I.A.1, Plotnikova M.O.1, Yerofeyev A.V.2
-
Affiliations:
- I.S. Turgenev Orel State Medical University
- Kursk State Medical University
- Issue: Vol 22, No 1 (2025)
- Pages: 61-68
- Section: Original Researches
- URL: https://bakhtiniada.ru/1994-9480/article/view/289280
- DOI: https://doi.org/10.19163/1994-9480-2025-22-1-61-68
- ID: 289280
Cite item
Full Text
Abstract
Relevance: For two hundred years, the problem of coronary heart disease has continued to arouse increasing interest in the medical community. According to the accumulated data for the specified time period, coronary heart disease is classified as a polymorphic disease. This pathological condition develops as a result of the discrepancy between the need for blood supply and its actual implementation. The most common and clinically severe form of coronary heart disease is myocardial infarction, conditionally the second place is occupied by atherosclerotic cardiosclerosis. Due to the fact that the main morphological substrate of clinical manifestations of coronary heart disease is cardiac striated muscle tissue and connective tissue, the search for morphological criteria that allow optimizing and personalizing the methods of diagnosis and treatment of this pathology remains relevant. The aim of this work was to study the structural features of the tissues of the cardiovascular system, which are the morphological substrate of clinical manifestations of coronary heart disease and the development of histological criteria for diagnosis. Materials and methods: Morphological examination was performed on autopsy and biopsy material obtained from 13 patients, whose average age was (62 ± 5) years. The obtained biomaterial after fixation in buffered neutral formalin was embedded in paraffin using a standard technique. Then histological sections were made, 5–7 μm thick and stained with hematoxylin and eosin, the micropreparations were examined under a light microscope and photographed. Results: Morphometric assessment of the detected changes can become not only a diagnostic criterion, but also one of the fundamental directions in a personalized approach to the treatment of patients with this pathology. In particular, in myocardial infarction, the observed death of cardiomyocytes and compensatory proliferation of connective tissue become diagnostically significant when their area or occupied volume changes over time. In atherosclerotic vascular damage - a change in the diameter of the vessel, the thickness of the membranes that form the wall, the presence of infiltration, calcifications and the area they occupy, calculation of the ratio coefficients of the specified vessel shells.When studying histological preparations of thrombotic masses, attention should be paid to the ratio of the areas occupied by erythrocytes, platelets, fibrin, and nuclear elements. Conclusions: Thus, the observed pathomorphological changes in the tissues of the cardiovascular system are fundamental in the development of histological criteria for further personalized approach to the diagnosis and treatment of patients with coronary heart disease.
Full Text
Одной из основных причин стойкой инвалидизации населения продолжают оставаться сердечно-сосудистые заболевания (ССЗ) [1, 2, 3, 4]. В 75 % случаев они же являются причиной смертности взрослого населения страны [4, 5, 6, 7, 8]. При этом большую долю среди причин летальных исходов и инвалидизации в данной нозологической группе занимает ишемическая болезнь сердца (ИБС) [7, 9, 10, 11]. Таким образом, наблюдаемая на современном этапе развития общества высокая распространенность факторов риска ССЗ, инвалидизация и смертность при ИБС являются своеобразным триггером для постоянного поиска новых фундаментальных данных [12, 13, 14, 15, 16, 17]. В дальнейшем знание и использование таких данных позволит снизить не только количество дней нетрудоспособности, но и процент летальности, что в свою очередь является важной социально-экономической проблемой.
ЦЕЛЬ РАБОТЫ
Изучение структурных особенностей тканей органов сердечно-сосудистой системы, являющихся морфологическим субстратом клинических проявлений ИБС, и разработка гистологических критериев диагностики.
МЕТОДИКА ИССЛЕДОВАНИЯ
Морфологическое исследование было выполнено на аутопсийном материале, полученном от пациентов (4 мужчин и 6 женщин), причина смерти которых была связана с заболеванием сердечно-сосудистой системы. Биопсийный материал (тромбы) был получен от 3 пациентов мужчин, находившихся на стационарном лечении. Средний возраст составил (62±5) лет. По данным истории болезни пациентов в 10 случаях был инфаркт миокарда (первичный или вторичный), в остальных случаях атеросклеротическая болезнь сердца, тромбоз глубоких вен и тромбоэмболия легочной артерии. Исследование проведено в соответствии с Хельсинкской декларацией Всемирной медицинской ассоциации «Этические принципы проведения медицинских исследований с участием человека в качестве субъекта», Федеральным законом от 21.11.2011 г. № 323-ФЗ «Об основах охраны здоровья граждан в Российской Федерации» (п. 4 ст. 67).
Полученный биоматериал после фиксации в забуференном нейтральном формалине был залит в парафин по стандартной методике. Далее изготавливали гистологические срезы, толщиной 5–7 мкм и окрашивали гематоксилином и эозином, микропрепараты изучали в световом микроскопе и фотографировали. Морфометрическое исследование проводили с использованием программы ImageJ, статистическую обработку – с использованием пакета статистического анализа программы MS Excel 2010.
РЕЗУЛЬТАТЫ ИССЛЕДОВАНИЯ И ИХ ОБСУЖДЕНИЕ
Общепринятыми микроскопическими признаками инфаркта миокарда (ИМ) (согласно методическим рекомендациям) и в зависимости от давности его возникновения являются следующие: волнистый ход волокон сердечной мышцы, образованных кардиомиоцитами (через 1–2 ч после ИМ), коагуляционный некроз, отек, кровоизлияния, незначительная лейкоцитарная инфильтрация – через 4–12 часов, кариопикноз и полосы контракции (18–24 часа), кариолизис, хорошо визуализируемая граница зоны инфаркта, значительная лейкоцитарная инфильтрация (24–72 ч), дезинтеграция и резорбция макрофагами некротизированных волокон миокарда, наличие грануляционной ткани по краям некроза (3–7 сут.), грануляционная ткань и признаки начального фиброза (10 сут.), развитый соединительнотканный рубец (7 нед.).
К макроскопическим признакам ИМ через 12 часов от момента его возникновения (инфаркты миокарда давностью до 6 часов, а иногда и до 12 часов могут не иметь выраженных макроскопических проявлений) следует отнести наличие неокрашенной зоны некроза. При этом вне зоны инфаркта миокард окрашивается при окраске теллуритом калия в серый или черный цвет, при окраске хлоридом трифенилтетразолия – в кирпично-красный цвет. К окончанию первых суток ИМ представляет собой неправильной формы локальный участок без четкой визуализации границ. На 3-и сутки зона инфаркта представляет собой участок желтого цвета, окруженный темно-красной зоной. В течение последующих нескольких недель (при условии отсутствия летального исхода) зона некроза замещается сероватой, блестящей, плотной рубцовой тканью.
При световой микроскопии биоматериала, полученного в данном исследовании, в срезах стенки сердца визуализировалась гетерогенность в размерной характеристике кардиомиоцитов (в поле зрения одновременно определялись гипо- и гипертрофированные кардиомиоциты), их ядра имели повышенную контрастность и окрашивались темно-базофильно, в цитоплазме клеток наблюдалась мелкая зернистость буро-коричневого цвета.
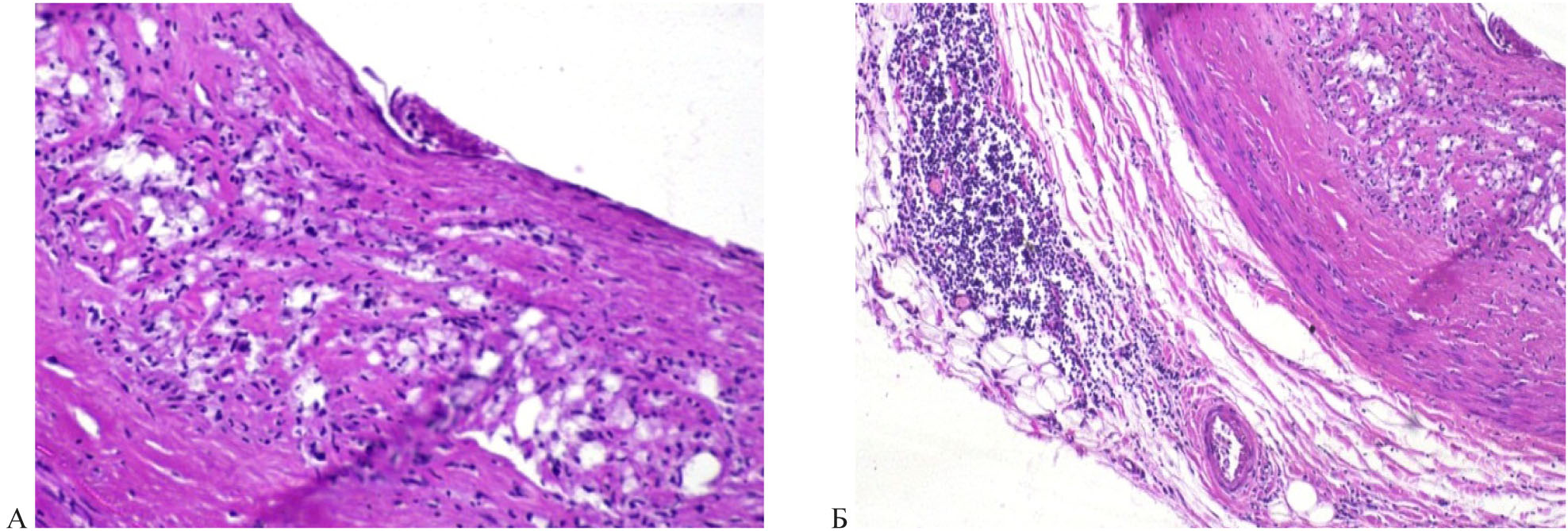
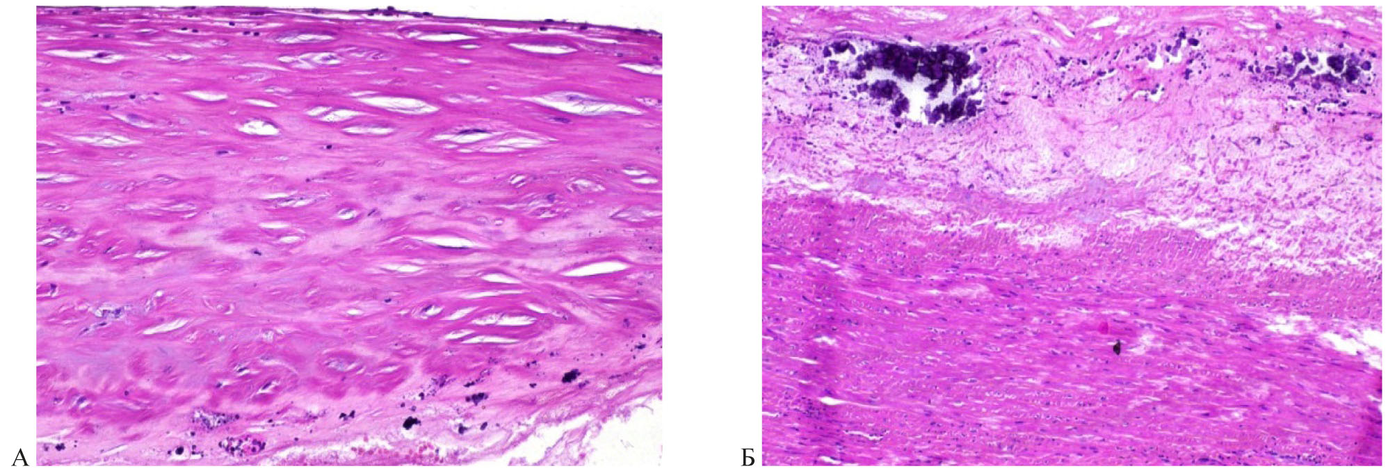
В срезах сердечной мышцы была выявлена мелкоочаговая фрагментация контрактурно поврежденных кардиомиоцитов. Между мышечных волокон сердечной ткани наблюдалось обширное разрастание соединительной ткани (признаки кардиосклероза), визуализируемые кровеносные сосуды полнокровные (рис. 1А).
При повторном инфаркте миокарда в мышечных волокнах наблюдается значительное количество гипертрофированных кардиомиоцитов и гипотрофировавнных с отложениями зерен буро-коричневого цвета. Ярко выражены признаки кардиосклероза и кардиофиброза. В поле зрения визуализируются отечные мышечные волокна, лишенные поперечной исчерченности, гомогенезированые, ядра пораженных мышечных волокон сохранены, чаще пикноморфны. Наблюдаются кардиомиоциты в состоянии глыбчатого распада, участки некроза с пролиферацией клеток гистио- и фибробластического рада. Кровеносные сосуды полнокровные (рис. 1Б).
Рис. 1. Срез стенки сердца мужчины 67 лет (инфаркт миокарда) (А). Срез стенки сердца женщины 65 лет (повторный инфаркт миокарда) (Б). Окрашено гематоксилином и эозином.
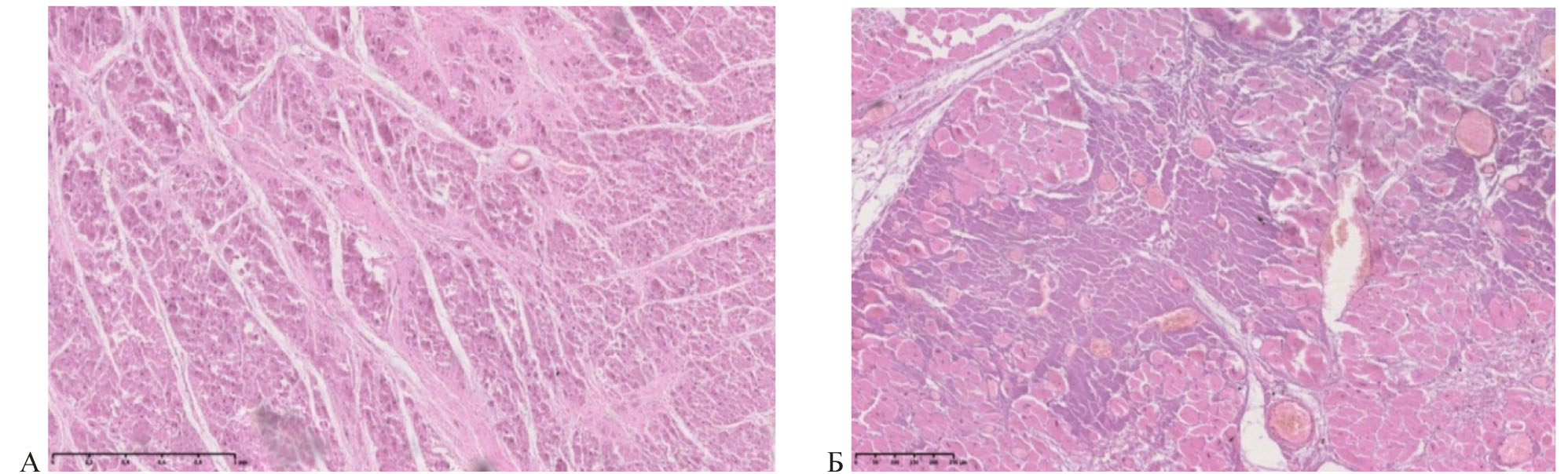
В жировой клетчатке эпикарда определяется стенозирующий поперечный среза стенки артерии (просвет значительно сужен), интима в результате разрастания соединительной ткани неравномерно утолщена (сформирована фиброзная бляшка) с гомогенными эозинофильными массами и новообразованными сосудами (выражен ангиогенез). Параартериальные сосуды расширенные и полнокровные, средняя оболочка атрофичная, содержит пылевидные кальцификаты, единичные лимфоциты (рис. 2).
Рис. 2. Срез стенки кровеносного сосуда эпикарда. Окрашено гематоксилином и эозином. Увеличение ×200 (А), ×400 (Б)
Морфометрическое исследование, которое включало в себя измерение площади соединительной ткани (S1, мкм2), площади сердечной ткани, включающей в себя некротизированные и неповрежденные кардиомиоциты (S2,3, мкм2), вычисление соотношений между указанными параметрами, в коронарных сосудах измеряли толщину внутренней, средней и наружной оболочек сосуда (h1,2,3,, мкм), а также диаметр поперечного сечения коронарного сосуда (d, мкм), выявило наличие достовернозначимых (р ≤ 0,05) изменений в анализирумых тканях сердечно-сосудистой системы при ИБС. Все измерения проводили в 10 стандартных полях зрения, полученные данные представлены в табл.
Данные морфометрического исследования тканей сердечно-сосудистой системы при ИБС
Параметры | Первичный инфаркт миокарда | Вторичный инфаркт миокарда | ||||||||
Площадь соединительной | 0,71±0,02* | 0,97±0,04* | 0,88±0,02* | 0,74±0,02* | 0,96±0,01* | 0,02±0,01 | 0,10±0,02 | 0,02±0,01 | 0,05±0,01 | 0,09±0,05 |
Площадь | 1,55±0,01* | 1,47±0,02* | 1,38±0,02* | 1,42±0,04* | 1,43±0,02* | 0,98±0,01 | 1,00±0,01 | 0,88±0,01 | 0,95±0,01 | 0,76±0,05 |
Площадь | – | – | – | – | – | 1,159 | 1,12 | 1,268 | 1,186 | 1,365 |
Отношение | 0,26±0,01 | 0,36±0,01 | 0,33±0,01 | 0,27±0,01 | 0,36±0,01 | 0,01±0,01 | 0,04±0,01 | 0,01±0,01 | 0,02±0,01 | 0,04±0,01 |
Отношение | 0,58±0,01 | 0,55±0,01 | 0,51±0,01 | 0,55±0,01 | 0,53±0,01 | 0,37±0,01 | 0,37±0,01 | 0,33±0,01 | 0,35±0,01 | 0,28±0,01 |
Отношение S3/стандартное | – | – | – | – | – | 0,43±0,01 | 0,42±0,01 | 0,47±0,01 | 0,44±0,01 | 0,51±0,01 |
Толщина | 0,03±0,01 | 0,02±0,01 | 0,04±0,01 | 0,04±0,01 | 0,02±0,02 | 0,04±0,01 | 0,04±0,02 | 0,02±0,01 | 0,03±0,02 | 0,03±0,01 |
Толщина | 0,19±0,02 | 0,18±0,03 | 0,21±0,04 | 0,35±0,02* | 0,36±0,01* | 0,14±0,01 | 0,17±0,01 | 0,21±0,01 | 0,22±0,01 | 0,17±0,01 |
Толщина адвентиции | 0,37±0,01* | 0,38±0,01* | 0,42±0,02 | 0,51±0,01* | 0,55±0,01* | 0,64±0,01 | 0,68±0,02 | 0,79±0,01 | 0,96±0,01 | 0,71±0,01 |
Отношение | 0,53±0,01 | 0,49±0,01 | 0,49±0,01 | 0,68±0,01 | 0,65±0,01 | 0,22±0,01 | 0,25±0,01 | 0,27±0,02 | 0,23±0,01 | 0,24±0,01 |
Диаметр | 2,75±0,01* | 2,73±0,02* | 2,68±0,02* | 2,87±0,01* | 2,88±0,03* | 2,10±0,01 | 2,20±0,01 | 1,90±0,02 | 2,00±0,01 | 2,10± 0,03 |
* Достоверно значимые отличия между группами при р ≤ 0,05 (при сравнении использовали непараметрический критерий Вилкоксона – Манна – Уитни).
При атеросклерозе кровеносных сосудов в одних препаратах было выявлено утолщение интимы за счет избыточного содержания коллагеновых волокон(гиалиноз) с пылевидными кальцификатами (рис. 3А). В других препаратах в срезе стенки сосуда артериального типа интима неравномерно утолщена за счет отложения внутриклеточных липидов с формированием пенистых клеток, с единичными пылевидными кальцификатами (рис. 3Б). Окружающая жировая клетчатка с диффузно-очаговой круглоклеточной инфильтрацией (лимфоциты).
Рис. 3. Микрофотография стенки кровеносного сосуда. Окрашено гематоксилином и эозином. Увеличение ×200 (А), ×400 (Б)
В препарате визуализируется фрагмент атеросклеротической бляшки, которая представлена фиброзной капсулой, из коллагеновых волокон с диффузным гиалинозом, под капсулой находятся пенистые клетки (макрофаги и гладкомышечные клетки, содержащие липиды), коллаген, фрагменты разрушенных эластических волокон, пенистых клеток с диффузно-очаговой инфильтрацией лимфоцитам и и макрофагами с внутриклеточным буро-коричневым пигментом (рис. 4).
Рис. 4. Микрофотография среза стенки кровеносного сосуда. Область атеросклеротической бляшки. Ув. ×400 (А), ×200 (Б)
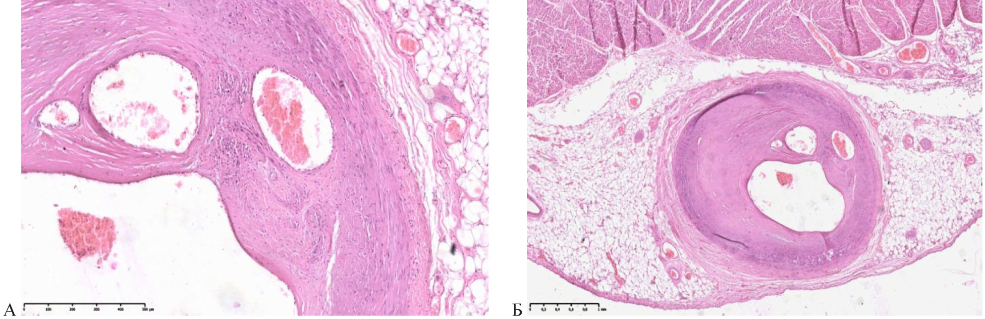
Еще одним морфологическим субстратом, определяющим клиническую картину ИБС, являются тромбы, способы и алгоритмы удаления которых до сих пор активно обсуждаются среди кардио- и сосудистых хирургов. При макроскопическом изучении тромба было выявлено, что он темно-серого цвета в проксимальной трети, коричневого цвета с участками серого в средней трети и темно-коричневого цвета в дистальной трети. На пинцете тромб не провисает, при надавливании не крошится. При микроскопическом изучении фрагмент тромба был представлен скоплениями эритроцитов с диффузно-очаговыми лейкоцитами и гомогенными эозинофильными массами (рис. 5).
Рис. 5. Микрофотография среза тромба. Окрашено гематоксилином и эозином
Полученные нами результаты морфологического исследования продемонстрировали наличие ярко выраженных изменений структурных компонентов тканей сердечно-сосудистой системы при ИБС.
Проведенный морфометрический анализ позволил наглядно продемонстрировать наличие взаимосвязи и динамики количественных параметров с визуализируемыми качественными изменениями. В частности, было выявлено, что при сравнении показателей в стандартном поле зрения наблюдалось достоверно значимое (р ≤ 0,05) преобладание площади, занимаемой соединительной тканью в области первичного инфаркта миокарда в сравнении со вторичным, что свидетельствует об организации инфаркта миокарда, образовании соединительнотканного рубца. При сравнении количества кардиомиоцитов (показатель занимаемой ими площади) без признаков некротических изменений при первичном инфаркте миокарда их наблюдалось в 1,6 раза больше. При анализе коэффициента отношения площади, занимаемой неповрежденными кардиомиоцитами к стандартному полю зрения, при первичном инфаркте миокарда наблюдалось его полуторное преобладание. Количественный анализ некротизированных кардиомиоцитов при вторичном инфаркте миокарда выявил преобладание кардиомиоцитов с признаками некроза над неизмененными в 1,3 раза (коэффициент соотношения 0,45±0,01 и 0,34±0,01 соответственно) (табл.).
Количественный анализ качественных характеристик структурных компонентов коронарных сосудов при инфаркте миокарда выявил, что при вторичном инфаркте миокарда диаметр коронарных сосудов был в 1,3 раза меньше, чем при первичном инфаркте миокарда. При этом толщина внутренней оболочки не имела достоверных отличий между группами первичного и вторичного инфаркта миокарда и составила (0,0276±0,01) и (0,0324±0,01) мкм соответственно. Толщина средней оболочки была в 1,4 раза больше в группе с первичным инфарктом миокарда. Значения толщины наружной оболочки имели противоположную направленность и преобладали в 1,2 раза в группе с вторичным инфарктом миокарда (табл.).
Таким образом, предлагаемая морфометрическая оценка выявленных изменений может стать не только диагностическим критерием, но и одним из основополагающих направлений в персонализованном подходе к лечению пациентов с указанной патологией. В частности, при инфаркте миокарда, наблюдаемая гибель кардиомиоцитов и компенсаторное разрастание соединительной ткани диагностически значимыми становятся при изменении их площади или занимаемого объема в динамике. При атеросклеротическом повреждении сосудов – изменение диаметра сосуда, толщины оболочек, образующих стенку, наличие инфильтрации, кальцификатов и занимаемой ими площади, а также качественно-количественный анализ vasa vasorum.
При изучении гистологических препаратов тромботических масс следует обращать внимание на соотношение площадей, занимаемых эритроцитами, тромбоцитами, фибрином, ядерными элементами. Проводить идентификацию фактора Виллебранда и иммуногистохимическое окрашивание VWF в области, богатой ДНК. Данные критерии, согласно результатам исследования зарубежных авторов, влияют на коэффициент трения и интеграцию тромба. При этом внеклеточная ДНК повышает механическую устойчивость тромбов и в совокупности с кальцификатами снижает результативность тромбэктомии [5, 6].
ЗАКЛЮЧЕНИЕ
Наблюдаемые структурные изменения в стенке сердца при инфаркте миокарда позволяют выделить следующие морфологические критерии: определение площади поврежденных кардиомиоцитов, площади занимаемой соединительной тканью, вычисление соотношения этих двух показателей, определение качественного состава волокнистого компонента соединительной ткани (молодые или зрелые коллагеновые волокна преобладают в поле зрения, что свидетельствует в пользу кардиофиброза или кардиосклероза соответственно), определение соотношения наружного и внутреннего диаметров коронарных сосудов (свидетельствующего в обратно-пропорциональной зависимости о степени сужения сосуда и косвенно об интенсивности ишемии миокарда), измерение толщины внутренней, средней, наружной оболочек стенки сосуда и соотношения толщины интимы к суммарному соотношению толщины медиа и адвентиции, площади, занимаемой отложениями солей кальция.
Использование предложенных критериев послужит основой для оптимизации персонализованного подхода в лечении пациентов с ИБС.
Таким образом, выделенные нами морфологические критерии, их наличие или комбинация, позволяют с большой долей вероятности диагностировать ИБС, что в свою очередь является важным фундаментальным вложением в общую картину заболеваний органов сердечно-сосудистой системы и может быть активно использовано в персонализированном подходе.
***
Конфликт интересов. Авторы декларируют отсутствие явных и потенциальных конфликтов интересов, связанных с публикацией настоящей статьи.
Competing interests. The authors declare that they have no competing interests.
Финансирование: работа выполнена в ОГУ имени И.С. Тургенева в рамках государственного задания № 075-00196-24-08 на 2024 год и на плановый период 2025 и 2026 годов
Funding: work was performed at OSU named after I.S. Turgenev within the framework of state assignment No. 075-00196-24-08 for 2024 and for the planning period of 2025 and 2026 dated 23.08.2024, project No. FSGN-2024-0014 (1024041900023-6-1.2.1; 2.6.2; 3.1.3; 3.2.12; 3.2.4).
About the authors
Maria A. Zatolokina
I.S. Turgenev Orel State Medical University; Kursk State Medical University
Author for correspondence.
Email: marika1212@mail.ru
ORCID iD: 0000-0002-9553-1597
MD, Professor of the Department of Histology, Embryology, and Cytology, Head of the Department of Histology, Cytology, and Embryology
Russian Federation, Orel; KurskMarina V. Gorbunova
I.S. Turgenev Orel State Medical University
Email: gorbynovamv@ya.ru
ORCID iD: 0000-0001-5808-7047
Candidate of Medical Sciences, Associate Professor of the Department of Histology, Cytology and Embryology
Russian Federation, OrelIrina A. Snimschikova
I.S. Turgenev Orel State Medical University
Email: snimshikova@mail.ru
ORCID iD: 0000-0002-4258-963X
MD, Professor, Leading Researcher, Laboratory of New Medical Technologies, Head of the Department of Immunology and Specialized Clinical Disciplines, Director of the Medical Institute
Russian Federation, OrelMaria O. Plotnikova
I.S. Turgenev Orel State Medical University
Email: revyakina_masha@mail.ru
ORCID iD: 0000-0003-1593-5290
Senior Researcher at the Laboratory of New Medical Technologies, Associate Professor of the Department of Immunology and Specialized Clinical Disciplines, Candidate of Medical Sciences
Russian Federation, OrelAnatoly V. Yerofeyev
Kursk State Medical University
Email: erofeev.erofeevtolik@yandex.ru
ORCID iD: 0000-0003-0593-9087
4th year student of the Faculty of Medicine
Russian Federation, KurskReferences
- Todorov S.S., Deribas V.Yu., Sidorov R.V. et al. morphological features of the structure of unstable atherosclerotic plates of the coronary heart arteries. Sovremennye problemy nauki i obrazovaniya = Modern problems of science and education. 2021;4. (In Russ.) URL: https://science-education.ru/ru/article/view?id=31054.
- Pigarevsky P.V., Snegova V.A., Nazarov P.G. Macrophages and their role in destabilization of an atherosclerotic plaque. Kardiologiia. 2019;59(4):88–91. (In Russ.) doi: 10.18087/cardio.2019.4.10254.
- Mohammad M.N., Weintraub W.S., Fok P.W. An integrated approach to simulating the vulnerable atherosclerotic plaque. American journal of physiology. Heart and circulatory physiology. 2020;319(4):835–846. doi: 10.1152/ajpheart.00174.2020.
- Xripunova A.A., Xripunova I.G., Maksimenko L.L., Ivanina A.P. regional features of epidemiology of ischemic heart disease with gender and age differences. Sovremennye problemy nauki i obrazovaniya = Modern problems of science and education. 2017;6. (In Russ. URL: https://science-education.ru/ru/article/view?id=27175.
- Mushenkova N.V, Summerhill V.I., Zhang D. et al. Current advances in the diagnostic imaging of atherosclerosis: insights into the pathophysiology of vulnerable plaque. International journal of molecular sciences. 2020;21(8):2992. doi: 10.3390/ijms21082992.
- Hafiane A. vulnerable plaque, characteristics, detection, and potential therapies. Journal of cardiovascular development and disease. 2019;6(3):26. doi: 10.3390/jcdd6030026.
- Oshchepkova E.V. Mortality of the population from cardiovascular diseases in the Russian Federation and ways to reduce it. Kardiologiia. 2009;2:67–72. (In Russ.).
- Van Dam L.F., Dronkers C.E.A., Gautam G. et al. Detection of upper extremity deep vein thrombosis by magnetic resonance noncontrast thrombus imaging. Journal of Thrombosis and Haemostasis. 2021;19(8):1973–1980. doi: 10.1111/jth.15394.
- Boytsov S.A., Samorodskaya I.V., Nikulina N.N. et al. Comparative analysis of population mortality from acute forms of coronary heart disease over a fifteen-year period in the Russian Federation and the USA and factors affecting its formation. Terapevticheskii arkhiv. 2017;89(9):53–59. (In Russ.).
- Shchepin V.O., Rastorgueva T.I., Karpova O.B. Modern demographic trends in the Russian Federation. Byulleten’ Natsional’nogo nauchno-issledovatel’skogo instituta obshchestvennogo zdorov’ya = Bulletin of the National Public Health Research Institute. 2013;2:10–13. (In Russ.).
- Bogdan A.P., Babicheva O.V., Pereverzeva A.A., Barbuxatti K.O. Methods of thrombus age determination. Innovatsionnaya meditsina Kubani = Innovative medicine of Kuban. 2022;(4):68–74. (In Russ.) doi: 10.35401/ 2541-9897-2022-25-4-68-74.
- Todorov S.S. The role of smooth myocytes and macrophages in development of complicated forms of arterial atherosclerosis. Kardiologiia. 2019;59(1):57–61. (In Russ.) doi: 10.18087/cardio.2019.1.10207.
- Siegel R.L., Miller K.D., Jemal A. Cancer statistics, 2019. A Cancer Journal for Clinicians. 2019;69(1):7–34. doi: 10.3322/caac.21551.
- Stein-Merlob A.F., Kessinger C.W., Erdem S.S. et al. Blood accessibility to fibrin in venous thrombosis is thrombus agedependent and predicts fibrinolytic efficacy: an in vivo fibrin molecular imaging study. Theranostics. 2015;5(12):1317–1327. doi: 10.7150/thno.12494.
- Maffeis V., Nicolè L., Rago C. et al. Histological criteria for age determination of fatal venous thromboembolism. International Journal of Legal Medicine. 2018;132(3):775–780. doi: 10.1007/s00414-017-1705-4.
- Nosaka M., Ishida Y., Kimura A. et al. Detection of intrathrombotic endothelial progenitor cells and its application to thrombus age estimation in a murine deep vein thrombosis model. International Journal of Legal Medicine. 2017;131(6):1633–1638. PMID: 28828624. doi: 10.1007/s00414-017-1668-5.
- Staessens S., François O., Desender L. et al. Detailed histological analysis of a thrombectomy-resistant ischemic stroke thrombus: a case report. Thrombosis Journal. 2021;19:11. doi: 10.1186/s12959-021-00262-1.
Supplementary files







