Systemic AL amyloidosis with primarily involvement of the heart and kidneys: clinical case
- Authors: Shklyaev A.E.1, Andreeva O.V.1, Zamyatina S.G.1, Kiryanov N.A.1
-
Affiliations:
- Izhevsk State Medical Academy
- Issue: Vol 21, No 4 (2024)
- Pages: 173-178
- Section: Guide for General Practitioners
- URL: https://bakhtiniada.ru/1994-9480/article/view/276982
- DOI: https://doi.org/10.19163/1994-9480-2024-21-4-173-178
- ID: 276982
Cite item
Full Text
Abstract
Amyloidosis is a group of diseases that have a wide variety of clinical manifestations. The frequency of amyloidosis in the population is about 1%; it is believed that up to 8 million people in the world have amyloidosis. The presented clinical case demonstrates the difficulty of timely intravital diagnosis of generalized amyloidosis due to the lack of a specific disease picture and characteristic laboratory changes. Timely diagnosis of amyloidosis and knowledge of its clinical features are necessary for the correct choice of management tactics for such patients, which will help reduce the incidence of deaths from amyloid.
Full Text
Амилоидоз – группа заболеваний, которые отличаются большим разнообразием клинических проявлений и характеризуются внеклеточным отложением нерастворимых патологических фибриллярных белков в органах и тканях, образующихся в результате сложных обменных изменений. Частота амилоидоза в популяции около 1 %, в мире больны амилоидозом до 8 млн человек [1]. Классификация амилоидоза основана на характере белков-предшественников плазмы, которые в дальнейшем формируют фибриллярные белки. В зависимости от специфичности основного белка амилоида выделяют несколько форм амилоидоза: А (амилоидный А-протеин), L (легкие цепи иммуноглобулинов), TTR (транстиретин), β2-M (β2-микроглобулин), В (В-протеин), JAPP (островковый амилоидный полипептид) [2].
Клинические проявления заболевания многообразны и могут встречаться в практике врачей разных специальностей. Наиболее тяжелую и разнообразную клиническую картину отмечают у больных AL-амилоидозом, для которого характерно генерализованное течение [3]. Амилоидная инфильтрация при AL-амилоидозе способна затрагивать практически любой орган, но преимущественно поражает сердце, почки, печень, селезенку и в меньшей степени желудочно-кишечный тракт, нервные волокна, за исключением отделов центральной нервной системы [4]. Поражение почек при амилоидозе проявляется тяжелой протеинурией, нефротическим синдромом и прогрессированием до терминальной стадии почечной недостаточности [5]. Поражение сердца характеризуется утолщением межжелудочковой перегородки и стенки желудочков, что приводит к систолической или диастолической дисфункции и симптомам сердечной недостаточности [4]. Практически у всех больных имеется генерализованное отложение амилоида, однако, нередко выявляются признаки преимущественного поражения одного органа.
ЦЕЛЬ РАБОТЫ
Представить клиническое наблюдение, демонстрирующее сложность своевременной прижизненной диагностики системного AL-амилоидоза.
КЛИНИЧЕСКОЕ НАБЛЮДЕНИЕ
Пациент К., 68 лет госпитализирован в экстренном порядке в нефрологическое отделение БУЗ УР 1РКБ МЗ УР 22.11.2021 г. в связи с неэффективностью проводимой терапии и ухудшением состояния.
Анамнез заболевания. Считает себя больным с ноября 2021 г., когда стали беспокоить боли в животе, отвращение к мясной пище, носовые кровотечения, рвота до 4 раз в сутки, после приема любой пищи и воды, тошнота, выраженная общая слабость, снижение суточного диуреза. Обратился к терапевту с жалобами на общую слабость, снижение аппетита и массы тела на 6 кг за 3 месяца, боли в икроножных мышцах, сильнее при ходьбе. Был госпитализирован в терапевтическое отделение районной больницы с 18.11.2021 г. по 22.11.2021 г. с диагнозом ХБП С5. В связи с нарастанием азотемии для дальнейшего обследования и коррекции терапии переведен в нефрологическое отделении БУЗ УР 1РКБ МЗ УР.
Физикальная диагностика. При поступлении состояние пациента удовлетворительное. Кожные покровы бледные, акроцианоз, конечности холодные, сухие, кожа шелушится, резко снижен тургор. Геморрагии на коже верхних конечностей в местах инъекций. В области дистальных фаланг пальцев кистей узелки Гебердена. Частота дыхания 18 в минуту. Дыхание везикулярное, побочных дыхательных шумов нет. Тоны сердца ритмичные, ясные. Пульс 76 ударов в мин. АД 110/70 мм рт. ст. Язык влажный, обложен бело-желтым налетом. Живот мягкий, безболезненный. Печень не выступает из-под реберной дуги. Селезенка не пальпируется.
Лабораторно-инструментальные исследования. При поступлении выявлены воспалительные изменения в общем анализе крови (23.11.2021 г.): лейкоциты 17,11 × 109/л, гемоглобин 106 г/л, СОЭ 34 мм/ч. В биохимическом анализе крови снижение уровня общего белка 48,71 г/л, признаки азотемии: мочевина 35,25 ммоль/л, креатинин 700,96 мкмоль/л, АЛТ 61,30 Ед/л, АСТ 38,97 Ед/л, щелочная фосфатаза 350,68 Ед/л, тропонин I 2,77 нг/мл. Миоглобин 1000 нг/мл, КФК-МВ 69,44 Ед/л. Парат-гормон 311,0 пг/мл, β2-микроглобулин 12489,0 нг/мл.
В общем анализе мочи (23.11.2021 г.): протеинурия 2,0 г/л, глюкозурия 2,8 ммоль/л. Анализ мочи по Нечипоренко (23.11.2021 г): лейкоциты 7500 кл/мл, эритроциты 11000 кл/мл. Анализ мочи по Зимницкому (24.11.2021 г.): объем суточной мочи 780 мл, гипостенурия 1,007 г/мл.
Рентгенография легких от 22.11.2021 г.: гипостаз, гиповентиляция базальных отделов, картина интерстициального отека легких.
Трансторакальная эхокардиография от 26.11.2021 г.: признаки концентрической гипертрофии стенок левого желудочка, дилатация левого и правого предсердий, недостаточность аортального клапана II ст., недостаточность митрального клапана II–III ст., недостаточность трикуспидального клапана II–III ст., недостаточность клапана легочной артерии II ст., умеренная легочная гипертензия, умеренный выпот в перикарде. Систолическая функция левого желудочка удовлетворительная.
Дуплексное сканирование артерий и вен почек от 27.11.2021 г.: эхографические признаки повышения линейной скорости кровотока по основному стволу почечной артерии с обеих сторон, снижение линейной скорости кровотока по сегментарным и междолевым артериям справа. Повышение индекса резистентности по всем исследованным артериям.
Дуплексное сканирование брюшной аорты и ее висцеральных ветвей от 27.11.2021 г.: признаки стенооклюзирующей патологии брюшной аорты и ее висцеральных ветвей с гемодинамически значимыми стенозами.
Эзофагогастродуоденоскопия от 29.11.2021 г.: халазия кардии, слабовыраженный очаговый атрофический антральный гастрит.
Компьютерная томография органов грудной полости от 29.11.2021 г.: интерстициальный отек легких, двусторонний гидроторакс, бронхит 2 ст. Лимфаденопатия средостения. Атеросклероз аорты.
Дуплексное сканирования артерий и вен нижних конечностей от 29.11.2021 г: признаки стенозирующего атеросклероза артерий нижних конечностей; изменение кровотока по тыльной артерии стопы с обеих сторон. Признаков флеботромбоза нижних конечностей не выявлено.
Ультразвуковое исследование органов брюшной полости от 09.12.2021 г.: выраженные диффузные изменения паренхимы обеих почек (симптом «гипоэхогенных пирамид»). Незначительное увеличение печени. Деформация желчного пузыря. Диффузные изменения в поджелудочной железе. Свободная жидкость в плевральных полостях.
Медикаментозная терапия: фуросемид, лактулоза, симвастатин, кетостерил, омепразол.
Динамика и исходы. 24.11.2021 г. пациент отметил ухудшение состояния – усилились астенический синдром, снижение аппетита, появились судороги в кистях, в икроножных мышцах по ночам. В связи с нарастанием азотемии (мочевина 36,79 ммоль/л, креатинин 575,71 мкмоль/л) начат гемодиализ (3 раза в неделю). По ночам стал отмечать небольшое познабливание, появилась отдышка с нарастанием при ходьбе по палате. Усилилась тошнота (при приеме мяса), изжога после приема любой пищи. Появились пастозность век, отеки голеней до нижней трети. Аускультативно крепитация над всей поверхностью легких. Пациенту назначена кислородотерапия. По данным общего анализа крови: анемия (гемоглобин 105 г/л), лейкоцитоз (17,87 × 109/л), повышение СОЭ до 52 мм/ч. В биохимическом анализе крови: сохранялась азотемия (мочевина 28,91 ммоль/л, креатинин 692,1 мкмоль/л), рост СРБ до 62,26 мг/л. ПТГ 321 пг/мл, фосфор 1,76 ммоль/л, β2-микроглобулин 14062,0 нг/мл. Больному была назначена антибактериальная терапия цефтриаксоном (2,0 внутривенно 1 раз в день), железа III гидроксидсахарозный комплекс, парикальцитол, торасемид, эноксипарин, 5%-я глюкоза (внутривенно). Несмотря на лечение, состояние больного прогрессивно ухудшалось: стали нарастать одышка, отеки, усилилась общая слабость, появились загрудинные боли. С подозрением на острый инфаркт миокарда 13.12.2021 г. он был переведен в отделение анестезиологии-реанимации. Лабораторные данные: лейкоциты 11,95 × 109/л, гемоглобин 93 г/л, тропонины 2,77 нг/мл, миоглобин 955,00 нг/мл. Назначена внутривенная инфузия 0,1%-го раствора нитроглицерина. Несмотря на проводимую интенсивную терапию, в 2015 15.12.2021 г. произошла остановка сердечной деятельности, проведенный в полном объеме комплекс реанимационных мероприятий эффекта не дал, была зафиксирована биологическая смерть.
Клинический диагноз. Мультифокальный атеросклероз грудного и брюшного отделов аорты до 50 % и ее ветвей (НПЛА слева и справа до 70–75 %, ЧС до 70 %, ВБА 60–70 %). Атеросклероз БЦА, стенозы ВСА слева 55–75%; облитерирующий атеросклероз сосудов нижних конечностей 2–3-й степени, этажные стенозы бедренных артерий до 70 %, ПКА 55–60 %, артерий голени до 70%, а также сосудов почек, стеноз правой почечной артерии на 54 % (по СКТ) с развитием ишемической нефропатии. ХБП С5д/А3 (с максимальным уровнем креатинина 1241 мкмоль/л), КМН-ХБП (вторичные гиперпаратиреоз, гипокальциемия, гиперфосфатемия, тяжелый дефицит витамина Д). Анемия первой степени.
Осложнение основного заболевания: Уремическая кардиомиопатия. Миокардиальная недостаточность (ФВ = 52 %). Артериальная гипертония 3-й степени, достигнута первая степень повышения АД. Гипертрофия левого желудочка. Дилатация левого предсердия, НАК II, НМК II–III, НТК II–III, НЛК II, значительная легочная гипертензия. ХСН 2Б (венозный застой в легких, гидроперикард, рецидивирующий интерстициальный отек легких от 22.11.2021 г., периферические отеки). Кардиоренальный синдром 2-го типа.
Сопутствующие заболевания: ХИБС.
Результаты аутопсии. В брюшной полости до 500 мл, в плевральных полостях до 1500 мл, в сердечной сорочке до 300 мл прозрачной жидкости. Сердце массой 450 г, плотное на ощупь. Полости сердца не расширены. Миокард на разрезе глинистого вида с тусклым сальным блеском. Венечные артерии с кальцинированными бляшками, суживающими просвет на 50 %. Аорта с плотной стенкой и множеством кальцинированных желтых бляшек преимущественно в брюшном отделе. Артерии основания мозга с множеством желтых бляшек, которые местами суживают просвет. В устьях почечных артерий плотные кальцинированные бляшки. Печень массой 2000 г, плотная. На разрезе однородная, светло-коричневого цвета, с мелким красным «крапом». Почки массой 300 г, на ощупь уплотнены, фиброзная капсула снимается с трудом. На поверхности почек множественные рубцовые западания размером от 0,5 до 1 см. На разрезе паренхима почек однородная, без четких границ между слоями с тусклым блеском. Селезенка массой 1000 г, очень плотной (деревянистой) консистенции, на разрезе однородная, ветчинного вида.
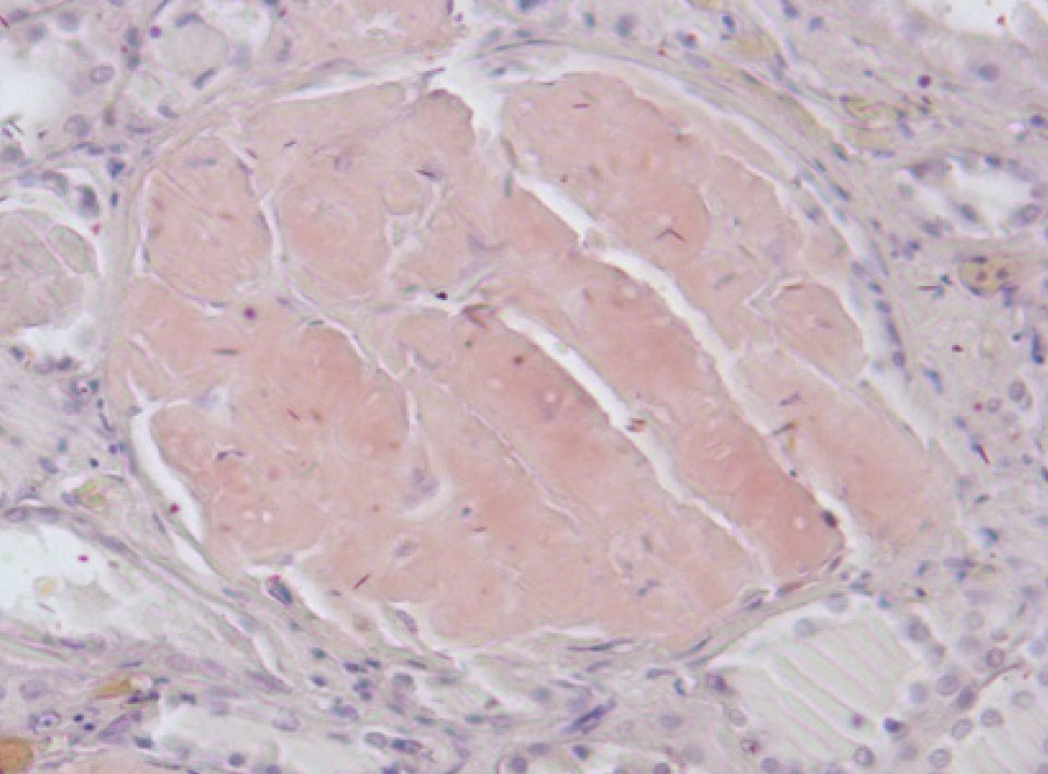
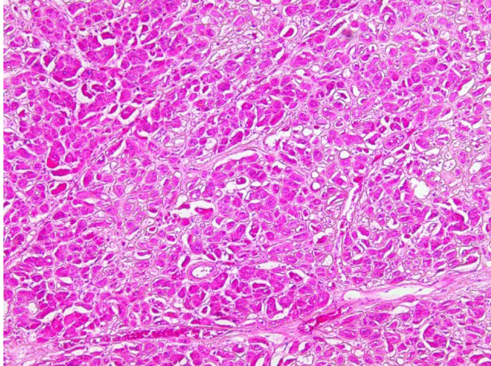
Рис. 1. Амилоид в строме и стенке сосудов сердца. Окраска гематоксилин-эозин, ×100
Гистологическое исследование. Сердце – кардиомиоциты гипертрофированы, диффузный кардиосклероз. При окраске на амилоид в строме и стенке сосудов отложение амилоидных масс (рис. 1). Селезенка – красная пульпа полностью замещена однородными массами, дающими положительную окраску на амилоид (рис. 2).
Рис. 2. Амилоид в красной пульпе селезёнки. Окраска конго красный, ×200
Почки – резкое уменьшение числа клубочков, отдельные полностью замещены однородной массой, дающей положительную реакцию на амилоид (рис. 3). В стенке сосудов также видны отложения амилоида (рис. 4).
Рис. 3. Почечный клубочек замещен амилоидными массами. Окраска конго красный, ×400
Рис. 4. Амилоид в стенке сосуда в почке. Окраска конго красный, ×200
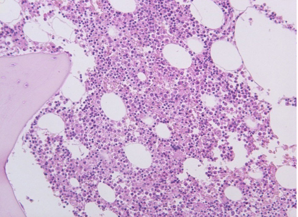
При исследовании ткани легких в стенке сосудов видны плотные гомогенные массы, дающие положительную реакцию на амилоид. При исследовании органов в поляризационном микроскопе обнаружено зеленоватое свечение амилоида. В костном мозге скопление клеток, дающих положительную реакцию с моноклональными антителами к CD38 (рис. 5, 6).
Рис. 5. Пролиферация клеток костного мозга. Окраска гематоксилин-эозин, ×200
Рис. 6. Экспрессия CD38 в плазматических клетках костного мозга, ×200
Патологоанатомический диагноз: Первичный амилоидоз c поражением почек, селезенки, миокарда, легких. Уремия. Водянка серозных полостей.
Таким образом, у больного был амилоидоз с поражением почек, селезенки, сердца и легких. Обнаружение в костном мозге пролиферации лимфоцитов, дающих реакцию с моноклональными антителами к CD38, дает основание предполагать развитие первичного амилоидоза, который связан с гиперпродукцией легких цепей иммуноглобулина с последующим образованием в тканях внутренних органов AL-амилоида.
Амилоидоз – тяжело протекающее заболевание, отличается многообразием клинических проявлений, определяемых поражением различных органов. Как правило, первичный амилоидоз чаще всего встречается у лиц пожилого возраста, характеризуется длительным латентным течением, протекающим под маской других заболеваний, с последующим быстрым прогрессированием, плохо поддается терапии [4].
С учетом преимущественного поражения сердца и почек, в клинической картине таких больных преобладают симптомы хронической сердечной и почечной
недостаточности. Необходимо учитывать, что одним из важнейших признаков амилоидоза относится системность поражения, как в приведенном клиническом наблюдении. В качестве клинической особенности AL-амилоидоза можно отметить значительное снижение массы тела без выраженного отсутствия аппетита, что отмечалось у пациента. Данный клинический пример демонстрирует необходимость своевременного и многопрофильного подхода к диагностике системного амилоидоза, с обязательной гистологической верификацией диагноза и иммуногистохимическим выявлением патологического клона В-клеток [6]. Средняя продолжительность жизни после постановки диагноза составляет около 1 года [2]. Основной причиной смерти больных амилоидозом, в том числе находящихся на гемодиализе, являются сердечно-сосудистые осложнения [3].
ЗАКЛЮЧЕНИЕ
Демонстрация данного клинического случая свидетельствует о том, что редкость и быстрая прогрессия амилоидоза часто задерживают постановку точного диагноза, приводя к полиорганному поражению, ухудшающему прогноз для жизни и перспективы лечения. Своевременная диагностика амилоидоза с целью улучшения прогноза возможна лишь при глубоком понимании всего спектра заболеваний с разнообразной симптоматикой, маскирующей системные формы амилоидоза.
Конфликт интересов. Авторы декларируют отсутствие явных и потенциальных конфликтов интересов, связанных с публикацией настоящей статьи.
Competing interests. The authors declare that they have no competing interests.
About the authors
Alexey E. Shklyaev
Izhevsk State Medical Academy
Email: shklyaevaleksey@gmail.com
Doctor of Medical Sciences, Professor of the Department of Faculty Therapy with courses in Endocrinology and Hematology, Rector
Russian Federation, IzhevskOlga V. Andreeva
Izhevsk State Medical Academy
Author for correspondence.
Email: o-andrieieva@mail.ru
6th year student of the Faculty of Medicine
Russian Federation, IzhevskSvetlana G. Zamyatina
Izhevsk State Medical Academy
Email: zaea07@yandex.ru
Candidate of Medical Sciences, Assistant of the Department of Faculty Therapy with courses in Endocrinology and Hematology
Russian Federation, IzhevskNikolay A. Kiryanov
Izhevsk State Medical Academy
Email: kirnik@list.ru
Doctor of Medical Sciences, Professor, Head of the Department of Pathological Anatomy
Russian Federation, IzhevskReferences
- Gertz M.A., Dispenzieri A. Systemic Amyloidosis Recognition, Prognosis, and Therapy: A Systematic Review. JAMA – J Am Med Assoc. 2020;324(1):79–89. doi: 10.1001/jama.2020.5493.
- Lysenko (Kozlovskaya) L.V., Rameev V.V. et al. Clinical guidelines for the diagnosis and treatment of systemic amyloidosis. Klinicheskaya farmakologiya i terapiya = Clinical pharmacology and therapy. 2020;29(1):13–24. (In Russ.) doi: 10.32756/0869-5490-2020-1-13-24.
- Gudkova A.Ya., Lapekin S.V., Bezhanishvili T.G. et al. AL amyloidosis with predominant damage to the heart. Algorithm for non-invasive diagnosis of amyloid cardiomyopathy. Terapevticheskii arkhiv = Therapeutic Archive. 2021;93(4):487–96. (In Russ.) doi: 10.26442/ 00403660.2021.04.200689.
- Khyshova V.A., Rekhtina I.G., Firsova M.V., Mende-leeva L.P. Difficulties in diagnosing primary Al amyloidosis. Onkogematologiya = Onkogematologiya. 2021;16(3);74–82. (In Russ.) doi: 10.17650/1818-8346-2021-163-74-82.
- Gupta N., Kaur H., Wajid S. Renal amyloidosis: an update on diagnosis and pathogenesis. Protoplasma. 2020; 257(5):1259–1276. doi: 10.1007/s00709-020-01513-0.
- Shklyaev A.E., Semenovykh E.A., Gaisina E.Sh. Multiple myeloma in the practice of a local physician: clinical observation. Kubanskii nauchnyi meditsinskii vestnik = Kuban Scientific Medical Bulletin. 2020;27(3):139–145. (In Russ.) doi: 10.25207/1608-6228-2020-27-3-139-145.
Supplementary files







