Роль муцина при неспецифическом язвенном колите
- Авторы: Тодоров С.С.1, Полесовой Ф.В.2
-
Учреждения:
- Ростовский государственный медицинский университет
- Ростовская клиническая больница
- Выпуск: Том 21, № 4 (2024)
- Страницы: 83-87
- Раздел: Оригинальные исследования
- URL: https://bakhtiniada.ru/1994-9480/article/view/276934
- DOI: https://doi.org/10.19163/1994-9480-2024-21-4-83-87
- ID: 276934
Цитировать
Полный текст
Аннотация
Изучение муцина в слизистой оболочке при язвенном колите представляет перспективное фундаментальное исследование, которое может помочь улучшить результаты терапевтического лечения. В работе проведено сравнительное морфологическое исследование слизистой оболочки при хроническом поверхностном колите и при язвенном колите. Отмечено, что при язвенном колите отмечается прогрессирующая атрофия цилиндрического эпителия, крипт и бокаловидных клеток, снижение секреции муцина и изменение его характеристик с преобладанием альциан+ мукополисахаридов. Возможно, нарушение секреции слизи слизистой оболочке толстой кишки может вести к развитию дисрегенераторных и диспластических процессов, что требует дальнейшего изучения.
Ключевые слова
Полный текст
Неспецифический язвенный колит (НЯК) представляет собой хроническое рецидивирующее прогрессирующее воспалительное заболевание слизистой оболочки преимущественно дистальных отделов толстого кишечника (прямая, сигмовидная кишка). Однако этиология и патогенез НЯК остаются до конца не изученными. Характерными морфологическими признаками НЯК являются неглубокие язвенные дефекты слизистой оболочки, достигающие собственную и мышечную пластинки, с окружающей различной степени выраженности воспалительной инфильтрацией за счет лимфоцитов, плазмоцитов, нейтрофилов, формирование гнойного криптита и крипт-абсцессов [1, 2, 3].
Немаловажное значение в развитии хронического воспаления слизистой оболочки толстой кишки при НЯК имеет клеточно-микробный гомеостаз. Так, слизистая оболочка толстой кишки выстлана однослойным цилиндрическим (столбчатым) эпителием, апикальная поверхность которого содержит гликокаликс (гликопротеиды, муцин) [4].
Данный муцин принимает активное участие в поддержании нормальной микробиоты толстого кишечника, обладает протективными свойствами при воздействии на слизистую оболочку толстой кишки патогенных микроорганизмов, токсических или лекарственных веществ. Кроме того, поверхностный муцин, продуцируемый цилиндрическими клетками, принимает участие в кишечной перистальтике, кооперации иммунных клеток, трофике слизистой оболочки. Молекулярный анализ данного муцина позволил отнести его к типу MUC2 [5, 6, 7].
Другой тип муцина продуцируется бокаловидными клетками, входящими в состав крипт слизистой оболочки толстой кишки. Этот тип представлен MUC5AC гликопротеином. Работами отдельных авторов показано, что протеом муцина состоит из 29 секреторных трансмембранных протеинов. Эти исследователи считают, что при НЯК в стадии обострения содержание MUC2 снижено за счет атрофии бокаловидных клеток, что может вызывать дополнительную альтерацию клеток слизистой оболочки и микробную контаминацию, тем самым усиливает развитие воспалительной реакции [8, 9]. В экспериментальной работе, выполненной группой авторов Wenzel Ulf A. и соавт., было показано, что у MUC2 мышей отмечалась выраженная клеточная инфильтрация слизистой оболочки толстой кишки за счет нейтрофилов, Т-лимфоцитов, макрофагов [3].
ЦЕЛЬ РАБОТЫ
Изучение роли муцина при НЯК.
МЕТОДИКА ИССЛЕДОВАНИЯ
Материалом послужил биопсийный материал слизистой оболочки толстой кишки от 10 пациентов контрольной группы и 10 пациентов основной группы. Контрольная группа была представлена биоптатами слизистой оболочки толстой кишки при хроническом поверхностном колите, основная – при НЯК. Средний возраст больных контрольной группы составил (48 ± 5) лет, основной – (53 ± 3) года.
Биопсийный материал после фиксации в 10%-м забуференном растворе формалина в течение 18–24 часов после колоноскопии подвергался проводке в микроволновом гистопроцессоре автоматического типа Milestone (Италия) с использованием абсолютизированного изопропилового спирта, после чего биоптаты заливались в парафин. Микротомия осуществлялась на ротационном микротоме фирмы Leica, толщина гистологических срезов составила 3 мкм. Полученные гистологические срезы окрашивались гематоксилином-эозином, по Хочкиссу для оценки кислых гликозаминогликанов, альциановым-синим для выявления нейтральных мукополисахаридов слизистой оболочки толстой кишки. Для оценки полученных морфологических изменений выполнялось полуколичественное морфометрическое исследование с оценкой степени выраженности признака: 0 – отсутствие изменений, + слабый признак (до 25 % площади биоптата), ++ умеренный признак (26–50 % площади биоптата), +++ сильный признак (более 51 % площади биоптата). Оценивалось количество цилиндрического эпителия, бокаловидных клеток из расчета на 100 клеток, выраженное в процентах, степень интенсивности окраски муцина по Хочкиссу (ШИК-реакция), альциановым синим. Статистический анализ проводился с использованием программы Statistica 10.
РЕЗУЛЬТАТЫ ИССЛЕДОВАНИЯ И ИХ ОБСУЖДЕНИЕ
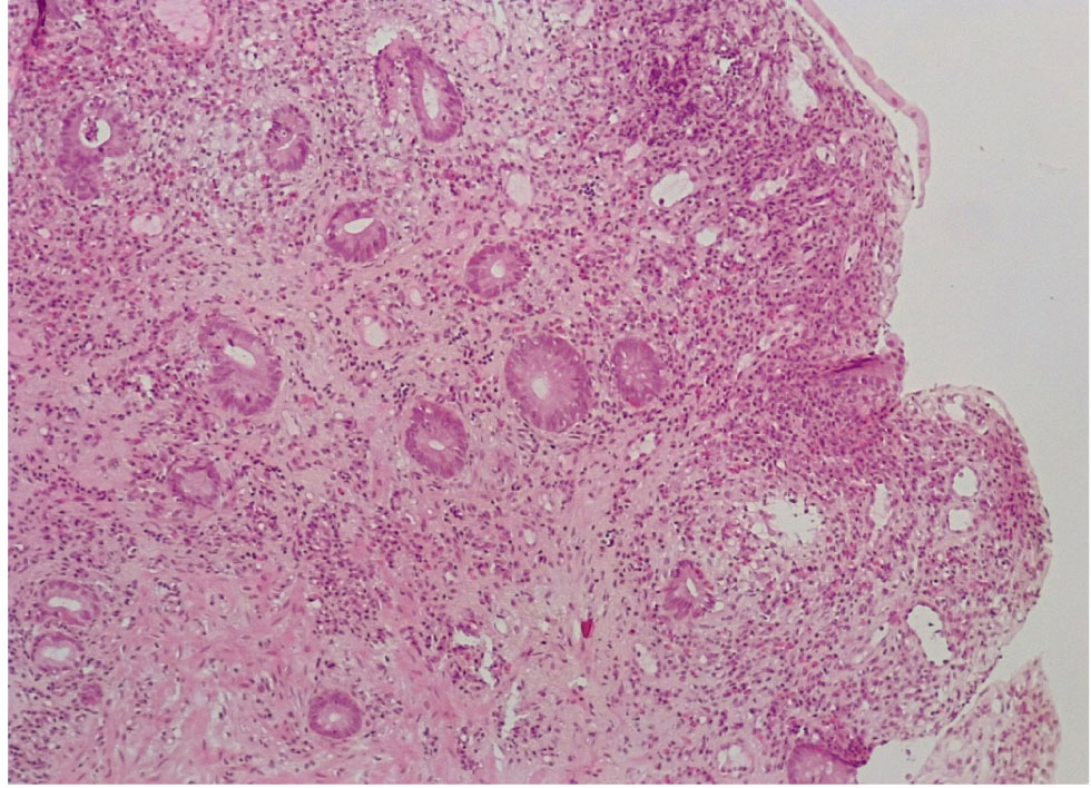
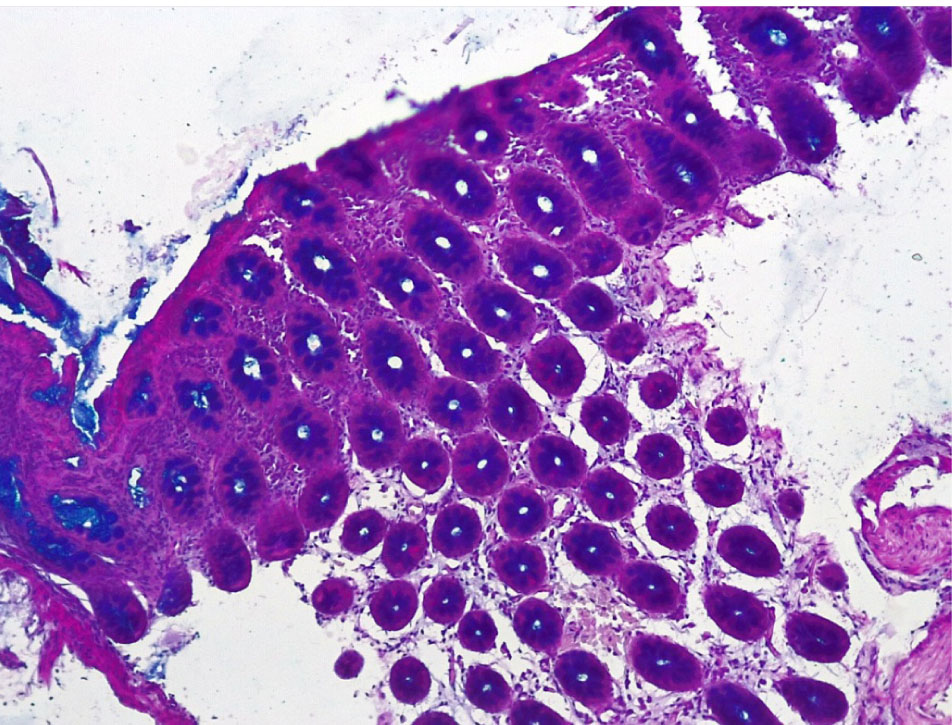
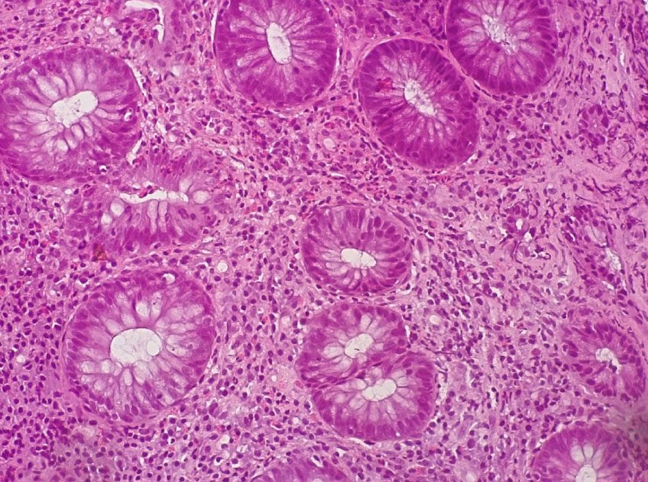
В контрольной группе биопсий слизистой оболочки (СО) толстой кишки, выполненной по поводу хронического поверхностного колита, были обнаружены следующие морфо-гистохимические изменения. СО толстой кишки была сохранена, цилиндрический (столбчатый) эпителий располагался в один слой, содержал на всем протяжении кислые гликопротеиды (ШИК-реакция). Крипты СО на всем протяжении были сформированы правильно, содержали до 12–15 бокаловидных клеток на крипту, содержали альциан+ муцин, что свидетельствовало о наличии в них нейтральных мукополисахаридов (рис. 1, 2).
Рис. 1. Контрольная группа: нормальное строение слизистой оболочки толстой кишки с сохранением цилиндрического эпителия и крипт, содержащих бокаловидные клетки. Окр. гематоксилин-эозином, ×100
Рис. 2. Контрольная группа: на поверхности слизистой оболочки толстой кишки цилиндрический эпителий сохранен, содержит кислые гликопротеиды. Бокаловидные клетки представлены во всех криптах, содержат альциан + мукополисахариды. ШИК-реакция с докраской альциановым синим, ×100
В основной группе морфологические и гистохимические изменения в СО толстой кишки были представлены язвами, нарушением регенерации цилиндрического эпителия и крипт, атрофией бокаловидных клеток, снижением продукции муцина клетками эпителия, различной степенью выраженности воспалительной реакции.
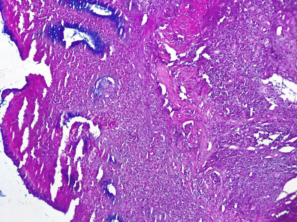
Язвенные дефекты СО толстой кишки были неглубокие и достигали собственную и мышечную пластинки. Вокруг язв отмечалась умеренно или резко выраженная лимфо-плазмоцитарная инфильтрация стромы с примесью нейтрофилов (++, +++), со сдавлением клеточным воспалительным инфильтратом крипт и развитием атрофии цилиндрического эпителия и крипт (++) (рис. 3).
Рис. 3. Основная группа: в СО толстой кишки – язвенный дефект с резко выраженной лимфоплазмоцитарной, нейтрофильной инфильтрацией, атрофией крипт и бокаловидных клеток. Окр. гематоксилином-эозином, ×200
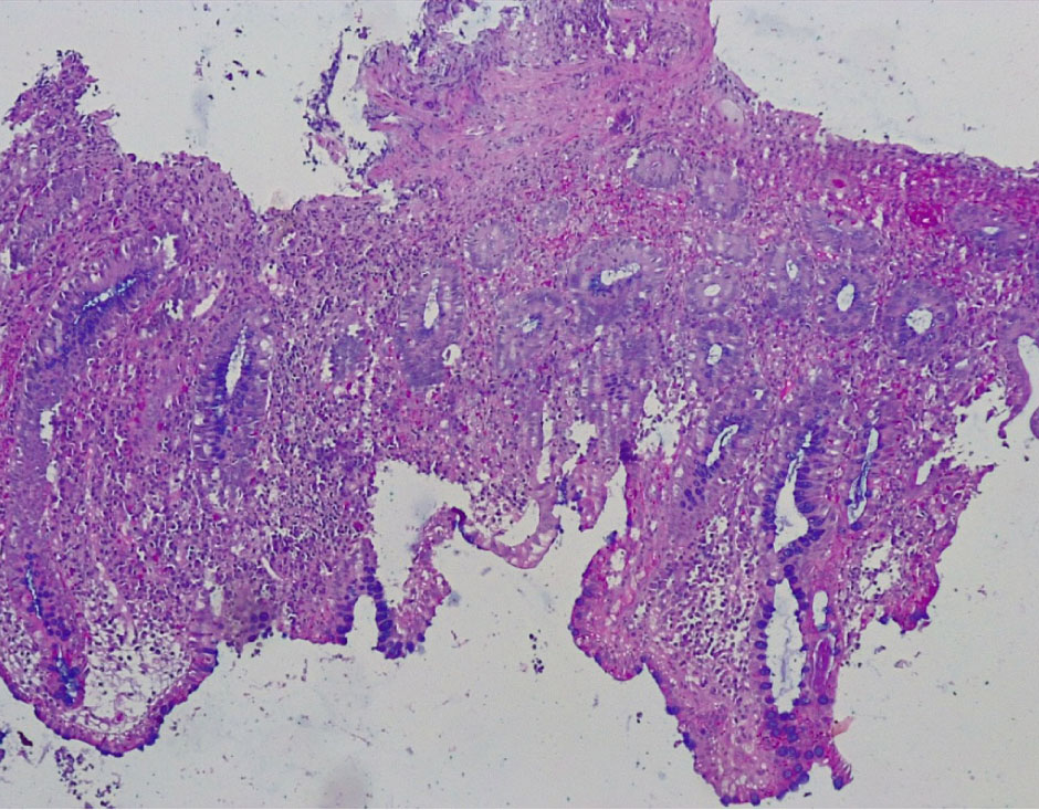
В отдельных группах крипт отмечалось выраженная атрофия бокаловидных клеток (БК) (не более 3–4 на крипту) вплоть до полного их исчезновения (+++), развитие очагов гнойного криптита за счет выраженной нейтрофильной инфильтрации вокруг крипт (рис. 4).
Рис. 4. Основная группа: неравномерная атрофия крипт и бокаловидных клеток СО толстой кишки, выраженное хроническое воспаление стромы со скоплением нейтрофилов в отдельных криптах (гнойный криптит). Окр. гематоксилин-эозином, ×200
Окраска на слизь выявила почти полное исчезновение слизи на поверхности цилиндрического эпителия СО и в большинстве крипт за счет резко выраженной атрофии бокаловидных клеток (не более 4–5 БК на крипту) (+++) (рис. 5).
Рис. 5. Основная группа: снижение секреции муцина цилиндрическим эпителием СО толстой кишки, атрофия бокаловидных клеток и небольшое количество альциан + слизи в криптах. ШИК-реакция с докраской альциановым синим, ×200
В отдельных участках СО при НЯК встречались единичные крипты, содержащие отдельные бокаловидные клетки и альциан + гликопротеиды (нейтральные мукополисахариды), резко выраженное хроническое воспаление стромы с развитием рыхлой волокнистой соединительной ткани (фиброза) (+++ степень атрофии и фиброза) (рис. 6).
Рис. 6. Основная группа: в СО при НЯК отмечается резкая атрофия крипт и бокаловидных клеток, содержащих незначительное количество альциан + муцина. ШИК-реакция с докраской альциановым синим, ×200
Полученные данные о морфологических особенностях поражения слизистой оболочки толстой кишки при НЯК свидетельствуют о преобладании резко выраженного хронического воспаления (55 %) с преобладанием в клеточном инфильтрате лимфоцитов, макрофагов с развитием умеренно выраженной атрофии крипт и цилиндрического эпителия (60 %), умеренно выраженной атрофии бокаловидных клеток (55 %), резко выраженной гипосекреции муцина (65 %). Кроме того, в слизистой оболочке толстой кишки отмечались признаки очагового гнойного криптита (70 %), умеренно выраженный фиброз (65 %) (табл.).
Морфологические особенности поражения слизистой оболочки толстой кишки при НЯК, %
Признак | Слабовы- раженный (+) | Умеренно выраженный (++) | Резко выраженный (+++) |
Хроническое воспаление | – | 45 | 55 |
Гнойный криптит | – | 70 | 30 |
Атрофия крипт, ЦЭ | – | 60 | 40 |
Атрофия БК | – | 55 | 45 |
Гипосекреция муцина | – | 35 | 65 |
Фиброз СО | – | 65 | 35 |
Примечание: БК – бокаловидные клетки, СО – слизистая оболочка, ЦЭ – цилиндрический эпителий.
ЗАКЛЮЧЕНИЕ
Наше исследование посвящено сравнительной морфологической характеристике СО, полученной во время биопсий при хроническом поверхностном колите и при НЯК. Было показано, что при НЯК в СО имеет место прогрессирующая атрофия клеток цилиндрического эпителия, крипт и бокаловидных клеток, снижение секреции муцина и изменение его характеристик (преобладание нейтральных мукополисахаридов).
Данные компенсаторно-приспособительные процессы сопровождаются выраженным хроническим воспалением СО, развитием фиброза в ней.
Мы полагаем, что снижение протективных свойств СО за счет снижения секреции муцина цилиндрическим эпителием, бокаловидными клетками крипт может усиливать развитие и прогрессирование хронического воспаления, нарушает клеточно-межклеточные кооперации, что в конечном итоге может вести к развитию дисрегенераторных и диспластических процессов в ней. Однако данные положения требуют своего дальнейшего изучения.
Конфликт интересов. Авторы декларируют отсутствие явных и потенциальных конфликтов интересов, связанных с публикацией настоящей статьи.
Competing interests. The authors declare that they have no competing interests.
Об авторах
Сергей Сергеевич Тодоров
Ростовский государственный медицинский университет
Автор, ответственный за переписку.
Email: sertodorov@gmail.com
ORCID iD: 0000-0001-8476-5606
доктор медицинских наук, доцент, заведующий кафедрой патологической анатомии
Россия, Ростов-на-ДонуФилипп Валерьевич Полесовой
Ростовская клиническая больница
Email: phill@spark-mail.ru
ORCID iD: 0000-0001-5163-9902
заведующий патологоанатомическим отделением, врач-патологоанатом
Россия, Ростов-на-ДонуСписок литературы
- Yao D., Dai W., Dong M., et al. MUC2 and related bacterial factors: Therapeutic targets for ulcerative colitis. EBioMedicine. 2021;74:103751. doi: 10.1016/j.ebiom.2021.103751
- Van der Post S., Jabbar K.S., Birchenough G. et al. Structural weakening of the colonic mucus barrier is an early event in ulcerative colitis pathogenesis. Gut. 2019;68(12):2142–2151. doi: 10.1136/gutjnl-2018-317571
- Wenzel U.A., Magnusson M.K., Rydström A. et al. Spontaneous colitis in Muc2-deficient mice reflects clinical and cellular features of active ulcerative colitis. PLoS One. 2014;9(6):e100217. doi: 10.1371/journal.pone.0100217.
- Wenzel U.A., Jonstrand C., Hansson G.C., Wick M.J. CD103+ CD11b+ Dendritic Cells Induce Th17 T Cells in Muc2-Deficient Mice with Extensively Spread Colitis. PLoS One. 2015;10(6):e0130750. doi: 10.1371/journal.pone.0130750.
- Fang J., Wang H., Zhou Y. et al. Slimy partners: the mucus barrier and gut microbiome in ulcerative colitis. Experimental & Molecular Medicine. 2021;53(5):772–787. doi: 10.1038/s12276-021-00617-8.
- Bankole E., Read E., Curtis M.A. et al. The Relationship between Mucins and Ulcerative Colitis: A Systematic Review. Journal of Clinical Medicine. 2021;10(9):1935. doi: 10.3390/jcm10091935
- Kang Y., Park H., Choe B.H., Kang B. The Role and Function of Mucins and Its Relationship to Inflammatory Bowel Disease. Frontiers in Medicine (Lausanne). 2022;6(9):848344. doi: 10.3389/fmed.2022.848344.
- Grondin J.A., Kwon Y.H., Far P.M. et al. Mucins in Intestinal Mucosal Defense and Inflammation: Learning From Clinical and Experimental Studies. Frontiers in Immunology. 2020;4(11):2054. doi: 10.3389/fimmu.2020.02054.
- Niv Y. Mucin gene expression in the intestine of ulcerative colitis patients: a systematic review and meta-analysis. European Journal of Gastroenterology & Hepatology. 2016;28(11):1241–1245. doi: 10.1097/MEG.0000000000000707.
Дополнительные файлы







