The clinical case of the patient’s treatment with avascular necrosis of the femoral and tibiral condyles by the method of intraosseous injection of autological bone marrow aspirate concentrate
- Authors: Kondrashenko V.V.1, Malanin D.A.1,2, Demeshchenko M.V.1,2, Perfilova V.N.2, Borisov A.V.1
-
Affiliations:
- Volgograd State Medical University
- Volgograd Medical Scientific Center
- Issue: Vol 20, No 4 (2023)
- Pages: 86-93
- Section: Original Researches
- URL: https://bakhtiniada.ru/1994-9480/article/view/250017
- DOI: https://doi.org/10.19163/1994-9480-2023-20-4-86-93
- ID: 250017
Cite item
Full Text
Abstract
According to statistics, from 5 to 17 % of endoprothesis is performed for avascular necrosis. This article demonstrates the use of autologous bone marrow aspirate concentrate as an orthobiological material in the treatment of developed stage 2 avascular necrosis while taking glucocorticosteroids for Covid-19 applying the example of a clinical case. The patient’s complaints, the results of laboratory and instrumental investigations, the technique for performing intraosseous injection are described. The functional state of the knee joint was assessed before treatment and after 3, 6 and 12 months. The case study testifies to the effectiveness of the use of an orthobiological preparation and explains the need for further study of the presented methodic.
Full Text
ВВЕДЕНИЕ
Как известно, вспышка новой коронавирусной инфекции COVID-19 распространялась со стремительной скоростью и вскоре приобрела статус пандемии. Применение глюкокортикостероидов (ГКС) послужило действенным методом лечения среднетяжелых и тяжелых форм заболевания и купирования острого респираторного синдрома, что позволило сохранить жизни множества пациентов [1].
Эффективность данных препаратов основана на снижении экспрессии медиаторов воспаления, таких как ИЛ-1, ИЛ-6, ИЛ-11, ИЛ-12, ФНО-α, ИФН-γ, их способности блокировать цитокиновый шторм и массовую миграцию лейкоцитов в очаг воспаления. Однако доказано, что продолжительная гормональная терапия сопровождается возникновением ряда потенциально опасных осложнений, одним из которых является асептический некроз костей крупных суставов [2].
Консервативное лечение не всегда позволяет добиться положительных результатов, что приводит к необратимым повреждениям структуры костной ткани и, как следствие, – к субхондральному коллапсу, дисконгруэнтности суставных поверхностей, развитию остеоартрита и последующему эндопротезированию сустава [3, 4].
Асептический некроз кости (остеонекроз) – это тяжелое полиэтиологическое заболевание, связанное с гибелью костных клеток в определенном участке костной ткани, нарушением кровоснабжения и быстро приводящее к развитию вторичного артроза/артрита прилежащего сустава [5].
Данной патологией страдают преимущественно молодые люди трудоспособного возраста, а эндопротезирование далеко не всегда является оптимальным решением проблемы, ввиду ряда известных осложнений и необходимости ревизионных операций, связанных с износом компонентов эндопротеза, длительного периода восстановления и высокого риска инвалидизации [6]. Известно, что использование ГКС и алкоголизм составляют 90 % всех атравматических этиологических факторов возникновения асептического некроза (АН) [7].
В настоящее время одним из ведущих направлений в травматологии и ортопедии является изучение свойств, эффективности и расширение доказательной базы применения ортобиологических продуктов. В последние десятилетия концентрат костного мозга (ККМ) активно используется в клинической практике для лечения острых и хронических заболеваний опорно-двигательного аппарата за счет высокого содержания мезенхимальных стволовых клеток (МСК) и факторов роста, обладающих паракринным действием. Клетки этой популяции способны дифференцироваться в структурные единицы мезодермальной линии, стимулируя регенерацию в поврежденных участках хрящевой и костной ткани сустава. В данной статье описан клинический случай лечения пациента, страдающего АН мыщелков бедренной и большеберцовой костей 2-й стадии аутологичным концентратом костного мозга [8, 9].
КЛИНИЧЕСКОЕ НАБЛЮДЕНИЕ
Пациент А., 48 лет, житель г. Волгограда, обратился за помощью в отделение травматологии и ортопедии ГУЗ КБ № 12 ввиду выраженных болей и ограничения подвижности правого коленного сустава.
Анамнез заболевания. Из анамнеза заболевания известно, что пациент отмечает вышеуказанные жалобы в течение последних нескольких месяцев. Боли имеют выраженный характер, усиливаются при осевой нагрузке и беспокоят не только в дневное время суток, но и в ночное, нарушая полноценный сон. За полгода до появления болевого синдрома пациент А. перенес коронавирусную инфекцию COVID-19 в тяжелой форме. Во время лечения ему была назначена ГКС-терапия (суммарно 400 мг дексаметазона).
Данные объективного осмотра и обследования пациента. Рост пациента составляет 178 см, вес – 120 кг. Индекс массы тела – 37,9, что соответствует ожирению 3-й степени.
Наличие хронической патологии и связанный с ней прием лекарственных препаратов отрицает. Указания на онкологические и наследственные заболевания, проведение химиотерапии не упоминает. Из вредных привычек отмечает курение и «умеренное» употребление алкоголя.
Болевой синдром по визуально-аналоговой шкале (ВАШ) достигал 9 баллов. Для купирования боли пациент был вынужден принимать «Трамадол» и передвигаться при помощи средств дополнительной опоры (трости).
Оценка индекса WOMAC (Western Ontario and MCMaster Universities osteoarthritis index) по критериям «болевой синдром», «функциональная недостаточность» и «суставная скованность» на момент начала лечения составляла 42 балла, что соответствует неудовлетворительному функциональному состоянию коленного сустава.
При объективном осмотре определялась периартикулярная отечность мягких тканей сустава; при движениях, пальпации и осевой нагрузке – выраженная болезненность; при оценке объема движений – ограничение амплитуды (разгибание – 160°, сгибание – 90°); при ходьбе – хромота на правую нижнюю конечность.
Для постановки диагноза пациенту было проведено клинико-инструментальное и лабораторное обследование. Результаты лабораторного обследования не выявили патологических изменений со стороны крови и мочи.
На МРТ коленного сустава были установлены признаки асептического некроза 2-й стадии по классификации Association Research Circulation Osseous (ARCO) и остеоартрита 2-й стадии по классификации Kellgren – Lawrence. При этом на Т2-взвешенных изображениях визуализировалась обширная перифокальная зона неоднородного гиперинтенсивного сигнала за счет отека и ишемии костного мозга в области мыщелков бедренной и большеберцовой костей. На Т1-взвешенных изображениях вышеуказанные участки имели гипоинтенсивный сигнал (рис 1). На Т2-взвешенных изображениях в субхондральной зоне мыщелка бедренной кости прослеживался отграниченный участок гипоинтенсивного сигнала, соответствующий формирующемуся остеонекротическому очагу.
На основании вышеуказанных жалоб, клинического осмотра, данных лабораторных и инструментальных исследований пациенту выставлен диагноз: «Стероид-индуцированный асептический некроз мыщелков бедренной и большеберцовой костей 2-й стадии по классификации ARCO. Остеоартрит правого коленного сустава 2-й стадии по классификации Kellgren – Lawrence. Комбинированная контрактура правого коленного сустава. Нарушение функции ходьбы и опоры. Ожирение 3-й степени»
Рис. 1. МРТ-картина асептического некроза и выраженного трабекулярного отека мыщелков бедренной и большеберцовой костей: А, Б – T1-взвешенные изображения; В, Г – T2-взвешенные изображения с подавлением жира. Стрелками обозначен формирующийся остеонекротический очаг
Лечение. По желанию пациента, осведомленного о современных методах лечения, было предложено внутрикостное введение АККМ в области асептического некроза мыщелков бедренной и большеберцовой костей. После получения информированного согласия пациент был госпитализирован в отделение травматологии и ортопедии с целью проведения терапии.
Техника подготовки препарата и инъекции. Забор костного мозга и приготовления его концентрата выполняли в условиях операционной.
Соблюдая меры асептики и антисептики, в положении пациента лежа на животе, с использованием 2%-го раствора «Лидокаина», проводили местную анестезию кожи и подлежащих мягких тканей области передней верхней ости подвздошной кости до контакта инъекционной иглы с поверхностью кортикальной пластинки. Узким лезвием скальпеля, путем прокола, выполняли операционный доступ длиной 2 мм на вершине пальпируемой ости подвздошной кости. Острие аспирационного троакара (11G) помещали на середину кортикальной площадки ости подвздошной кости. Надавливая на рукоятку троакара, его острие вращательными движениями проводили через кортикальную пластинку на глубину 35–50 мм. После чего осуществляли забор костного мозга в объеме 90 мл (рис. 2).
Рис. 2. Забор аспирата костного мозга из крыла подвздошной кости
Во время забора материала изменяли направление острия троакара в толще губчатой кости с целью минимизации попадания периферической крови в шприц. Полученный аспират был смешан с 5 мл раствора гепарина и помещен в стерильные пробирки «YCELLBIO» (Корея) для дальнейшего сепарирования. Центрифугирование проводили согласно оригинальной методике (патент РФ № 2763250) со скоростью 2400 об./мин, длительностью 20 мин. После сепарирования костного мозга фракция с высоким содержанием мезенхимальных клеток была центрирована в узком перешейке пробирки и извлечена при помощи шприца (рис. 3).
Внутрикостное введение АККМ выполняли в условиях операционной. Используя 2%-й раствор «Лидокаина», инфильтрировали мягкие ткани на 2 см проксимальнее и на 2 см дистальнее уровня суставной щели. Далее троакары вводили в кость вкручивающими движениями под углом 45 градусов по отношению к оси конечности и продвигали на глубину 1,5 см, достигая субхондральной кости. Позиционирование троакаров оценивали с помощью электронно-оптического преобразователя (ЭОП) в 2 стандартных проекциях (рис. 4). Через установленные троакары внутрикостно было введено по 4,5 мл АККМ, после этого троакары были удалены, наложены асептические повязки.
Рис. 3. Работа с аспиратом после забора: А – помещение аспирата в пробирки YCELLBIO; Б – разделение на фракции (1 – плазма, 2 – фракция с высоким содержанием мезенхимальных клеток, 3 – эритроцитарная масса); В – центрирование концентрата костного мозга в перешейке пробирки методов вращения поворотного колпачка
Рис. 4. Расположение троакаров при внутрикостном введении АККМ в область мыщелков бедренной и большеберцовой костей: А – расположение троакаров относительно уровня суставной щели (синяя стрелка); Б, В – позиционирование троакаров в прямой и боковой проекциях под контролем ЭОП
Результаты лечения. Результаты лечения интерпретировали через 3, 6 и 12 месяцев после проведенное процедуры. Функциональное состояние коленного сустава и интенсивность болевого синдрома оценивали при помощи шкал ВАШ и WOMAC. Объективные показатели динамики патологических изменений по данным МРТ определяли по шкале WORMS спустя 3 и 6 месяцев после терапии (табл.).
На 8-е сутки после проведенного лечения был отмечен регресс клинических проявлений асептического некроза. Пациент отмечал выраженное снижение болевого синдрома по шкале ВАШ до 2 баллов.
Оценка результатов лечения
Период | Показатель шкалы ВАШ | Показатель индекса WOMAC | Амплитуда движений |
До лечения | 9 | 42 | Разгибание – 160°/ сгибание – 90° |
Через 3 месяца | 3 | 25 | Разгибание – 180°/ сгибание – 70° |
Через 6 месяцев | 2 | 17 | Разгибание – 180°/ сгибание – 70° |
Через 12 месяцев | 1 | 8 | Разгибание – 180°/ сгибание – 60° |
Таким образом, уже через 3 месяца после проведенной процедуры пациент отмечал значительное снижение болевого синдрома с 9 до 3 баллов и мог самостоятельно передвигаться, без помощи средств дополнительной опоры. Положительная динамика сохранялась до 12 месяцев наблюдений, и через год болевой синдром по ВАШ был оценен в 1 балл. Исходя из показателей индекса WOMAC, спустя 3 месяца, функциональное состояние коленного сустава соответствовало 25 баллам (хорошо), а к 12-му месяцу плавно снижалось до 8 баллов (отлично).
Объективным показателем регресса болевого синдрома и нормализации клеточного метаболизма субхондральной кости в результате устранения ишемии костного мозга являлось значительное сокращение площади или вовсе исчезновение зон трабекулярного отека костного мозга, что подтверждалось уменьшением линейных размеров гиперинтенсивных участков по данным МРТ. Зона некротического очага по своим линейным характеристикам осталась прежней (рис. 5).
Результаты исследования полученного аспирата и концентрата костного мозга. Образцы полученного аспирата и концентрата костного мозга были исследованы с целью определения качественных и количественных характеристик, так как одним из основных параметров оценки конечного продукта являлось количество мезенхимальных стволовых клеток и прогениторных клеток, от которых зависит эффективность применяемого ортобиологического продукта (рис. 6).
Рис. 5. Регресс признаков ишемии и трабекулярного отека костного мозга: А, Б – прямая и боковая проекции на Т2-взвешенных изображениях
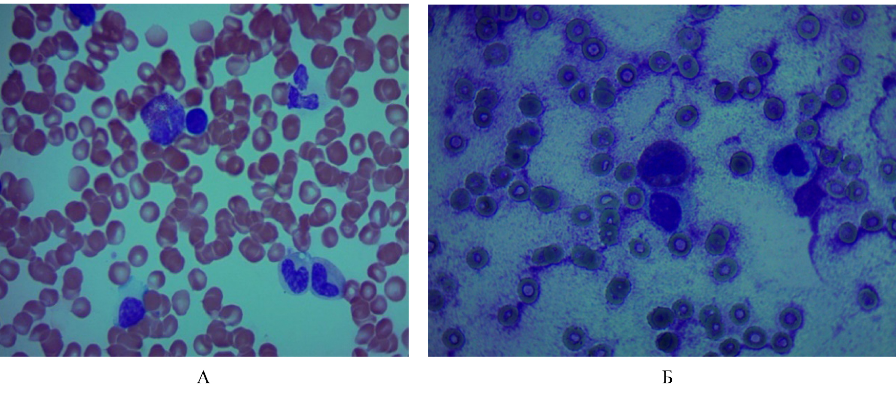
Рис. 6. Микроскопия образцов: А – мазок аспирата до центрифугирования; окраска по Романовскому – Гимзе; ув. ×1000; Б – мазок супернатанта после центрифугирования; окраска по Романовскому – Гимзе; ув. ×1000
Полученный материал разводили в фосфатно-солевом буферном (ФСБ) растворе в соотношении 1 : 1 и наслаивали на градиент плотности в пропорции 1 : 2, 1 часть градиента плотности (фиколл) к 2 частям исследуемого образца. Далее пробирки центрифугировали в режиме 400 g (1500 об./мин) в течение 30 мин, в результате чего фракция мононуклеарных клеток оказалась на границе раздела фиколла и плазмы (рис. 7А).
Рис. 7. Мононуклеарные клетки: А – выделение мононуклеаров при помощи раствора Ficoll-Paque Plus плотностью 1,077 g/ml (стрелкой обозначена фракция на границе раздела плазмы и фиколла); Б – подсчет мононуклеаров в камере Горяева; окраска по Романовскому – Гимзе; ув. ×1000
После разделения клеток пипеткой выполняли забор мононуклеарной фракции на границе раздела фиколла и плазмы (рис. 7А). Полученный материал переносили в пробирки (объемом 15 мл) с добавлением 5 мл ФСБ, после чего отмывали содержимое в режиме 400 g 10 мин. Для количественного анализа мононуклеаров использовали 20 мкл суспензии. Подсчет клеток производили в камере Горяева, подобно ядросодержащим лейкоцитам (рис. 7Б).
Концентрацию мононуклеарных клеток, часть из которых представлена мезенхимальными, в готовом ККМ определяли методом проточной цитофлуометрии, применяя антитела к корецепторам CD34, CD14, CD73, CD105, CD90.
Фенотипирование клеток надосадочной жидкости проводили методом проточной цитофлуометрии с использованием антител к корецепторам CD34; CD14; CD73; CD105; CD90 – маркерам мезенхимальных стволовых клеток.
При выполнении клеточного анализа аспирата костного мозга было установлено, что количество мононуклеарных клеток в нем достигало 17,4 ± 9,6 × 106/мл, а после центрифугирования отмечалось повышение их содержания до 98,5 ± 7,2 × 106/мл в концентрате.
ЗАКЛЮЧЕНИЕ
Таким образом, вышеописанный клинический случай демонстрирует возможность применения ортобиологического продукта для проведения патогенетически направленной и симптоматической терапии асептического некроза костей. Проведенное лечение позволило оказать положительное влияние на метаболизм костной ткани, уменьшить выраженность болевого синдрома, тем самым улучшить функциональное состояние сустава. Именно поэтому аутологичный концентрат костного мозга имеет перспективы для более широкого применения в клинической практике при лечении воспалительно-дегенеративных заболеваний опорно-двигательного аппарата. Необходимо проведение дальнейших клинических исследований с увеличением выборки и учетом всех полученных результатов с целью расширения доказательной базы данного метода лечения.
About the authors
Vladimir V. Kondrashenko
Volgograd State Medical University
Author for correspondence.
Email: vovamail2009@yandex.ru
Postgraduate student of the Department of Traumatology, Orthopedics and Military Field Surgery
Russian Federation, VolgogradDmitry A. Malanin
Volgograd State Medical University; Volgograd Medical Scientific Center
Email: malanin67@mail.ru
Doctor of Medical Sciences, Professor, Head of the Department of Traumatology, Orthopedics and Military Field Surgery
Russian Federation, Volgograd; VolgogradMaxim V. Demeshchenko
Volgograd State Medical University; Volgograd Medical Scientific Center
Email: maximus275@yandex.ru
Candidate of Medical Sciences, Associate Professor of the Department of Traumatology, Orthopedics and Military Field Surger
Russian Federation, Volgograd; VolgogradValentina N. Perfilova
Volgograd Medical Scientific Center
Email: vnperfilova@mail.ru
Doctor of Biological Sciences, Professor, Head of the Laboratory of Cellular Technologies
Russian Federation, VolgogradAlexander V. Borisov
Volgograd State Medical University
Email: borissow1978@rambler.ru
Candidate of Medical Sciences, Researcher at the Laboratory of Pharmacology of Cardiovascular Drugs
Russian Federation, VolgogradReferences
- Торгашин А.Н., Родионова С.С., Шумский А.А и др. Лечение асептического некроза головки бедренной кости. Клинические рекомендации. Научно-практическая ревматология. 2020;6(58):637–645. (In Russ.) doi: 10.47360/ 1995-4484-2020-637-645.
- Agarwala R., Vijayvargiya M., Pandey P. Avascular necrosis as a part of ‘long COVID-19’. BMJ Case Reports. 2021;14 (7):e242101. doi: 10.1136/bcr-2021-242101.
- Chahla J., Mannava S., Cinque M.E. et al. Bone Marrow Aspirate Concentrate Harvesting and Processing Technique. Arthroscopy Techniques. 2017;6(2):e441–e445. doi: 10.1016/j.eats.2016.10.024.
- Chan K.L., Mok C.C., Glucocorticoid-induced avascular bone necrosis: diagnosis and management. Open Orthopaedics Journal. 2012;6:449–457. doi: 10.2174/1874325001206010449.
- Dimarino A.M., Caplan A.I., Bonfield T.L. Mesen-chymal stem cells in tissue repair. Frontiers in Immunology. 2013;4(201). doi: 10.3389/fimmu.2013.00201.
- Kon E., Boffa A., Andriolo L. et al. Subchondral and intra-articular injections of bone marrow concentrate are a safe and effective treatment for knee osteoarthritis: a prospective, multi-center pilot study. Knee Surgery, Sports Traumatology, Arthroscopy. 2021;12(29):4232–4240. doi: 10.1007/s00167-021-06530-x.
- Liu Q., Guo W., Li R., Lee J.H. Efficacy of various core decompression techniques versus non-operative treatment for osteonecrosis of the femoral head: a systemic review and network meta-analysis of randomized controlled trials. BMC Musculoskelet Disord. 2021;22(1):948. doi: 10.1186/s12891-021-04808-2.
- Migliorini F., Maffulli N., Eschweiler J., Tingart M., Baroncini A. Core decompression isolated or combined with bone marrow-derived cell therapies for femoral head osteonecrosis. Expert Opinion on Biological Therapy. 2021;21(3):423–430. doi: 10.1080/14712598.2021.1862790.
- Simank H.G., Brocai D.R., Brill C., Lukoschek M. Comparison of results of core decompression and intertrochanteric osteotomy for nontraumatic osteonecrosis of the femoral head using Cox regression and survivorship analysis. Journal of Arthroplasty. 2001;16(6):790–794. doi: 10.1054/arth.2001.23580.
- Wang A., Ren M., Wang J. The pathogenesis of steroid-induced osteonecrosis of the femoral head: A systematic review of the literature. Gene. 2018;671:103–109. doi: 10.1016/j.gene.2018.05.091.
Supplementary files









