Эффективность нуклеоспермата натрия для развития эмбрионов и личинок Danio rerio
- Авторы: Блаженко А.А.1, Лебедев А.А.1, Тапильская Н.И.2, Прошин С.Н.3, Шабанов П.Д.1
-
Учреждения:
- Институт экспериментальной медицины
- Научно-исследовательский институт акушерства, гинекологии и репродуктологии им. Д.О. Отта
- Российский государственный педагогический университет им. А.И. Герцена
- Выпуск: Том 13, № 4 (2022)
- Страницы: 59-64
- Раздел: Психонейрофармакология
- URL: https://bakhtiniada.ru/1606-8181/article/view/258431
- DOI: https://doi.org/10.17816/phbn267455
- ID: 258431
Цитировать
Полный текст
Аннотация
Актуальность. Развитие икринок и личинок Danio rerio ex utero и оптическая прозрачность их эмбрионов позволяет проводить визуальный анализ эмбрионов на разных стадиях развития и оценивать собственно органогенез.
Цель — оценка эффективности нуклеоспермата натрия в отношении выживаемости эмбрионов и личинок Danio rerio.
Материалы и методы. Исследование проводили на рыбах Danio rerio природного окраса. Для оценки эффективности нуклеоспермата натрия на выживаемость эмбрионов собранную икру в количестве 64 штук размещали в отдельных лунках. В эксперименте тестировали 3 концентрации нуклеоспермата натрия: 50 мкг (доза I), 1,3 мкг (доза II) и 0,0325 мкг (доза III) на лунку (200 мкл). Эксперимент проводили в течение 8 сут и оценивали следующие параметры: кровообращение, выход личинки из икринки и движение как эмбриона внутри икринки, так и появившейся личинки.
Результаты. На 1-е сутки в контроле кровообращение регистрировалось у всех эмбрионов, а движение определялось с частотой 21,4 %. При исследовании препарата в дозе I кровообращение у эмбрионов регистрировали с частотой 37,5 %, а движение — с частотой 6,25 %. При исследовании препарата в дозе II кровообращение выявлялось у всех эмбрионов, тогда как движение — с частотой 46,6 %. При исследовании препарата в дозе III кровообращение выявлялось у всех эмбрионов, движение — у 18,75 %. На 8-е сутки оценивали только активное передвижение личинки по экспериментальной лунке, так как все остальные показатели регистрировали у 100 % выживших эмбрионов. Эксперимент на 8-е сутки показал, что в контроле активно двигаются и удовлетворительно развиваются 37,5 % от первоначально взятых живых эмбрионов, при добавлении нуклеоспермата натрия в дозе I — 50 %, в дозе II — 81,25 %, в дозе III — 75 %.
Заключение. Наибольшую выживаемость личинок Danio rerio регистрировали после добавления нуклеоспермата натрия в среду в средней дозе — 1,3 мкг/200 мкл (6,5 мкг/мл, или 0,0065 % раствор).
Ключевые слова
Полный текст
ВВЕДЕНИЕ
Danio rerio (Zebrafish) — это небольшая тропическая рыбка семейства карповых, обитающая в природе в прибрежных водах Индийского океана. К настоящему времени используется несколько хорошо изученных модельных объектов для определения влияния тех или иных генов на эбриогенез, скрининга лекарственных препаратов и решения ряда других задач и проблем, стоящих перед медициной и биологией. Вместе с тем по сравнению с другими модельными объектами, такими как плодовая мушка Drosophila melanogaster и червь Caenorhabditis elegance, между геномом человека и рыбки Zebrafish установлена сильная консервативная связь. Это делает тропическую рыбку отличной моделью для изучения комплексных биологических процессов, например развитие нервной, сердечно-сосудистой и гемопоэтической систем, а также ангиогенеза, апоптоза и токсических эффектов различных факторов [5]. Кроме того, существует ряд практических преимуществ, позволяющих эффективно поддерживать популяцию рыбок и надежно регистрировать изменения, возникающие в эмбрионах и личинках. Danio rerio легко разводится: в результате каждого спаривания можно получить до 200 икринок. Кроме того, развитие ex utero и оптическая прозрачность эмбрионов в процессе эмбриогенеза позволяет делать визуальный анализ эмбрионов на разных стадиях развития и собственно органогенез [6]. К 24 ч после фертилизации уже начинает формироваться общий план строения тела и все клетки-прекурсоры и ткани мозга, глаз и сердце можно легко обнаружить с помощью рутинного светового микроскопа. Эмбриогенез завершается через 72 ч после фертилизации, а наиболее важные органы, включая кардиоваскулярную систему, желудочно-кишечный тракт, печень и почки уже полностью формируются через 96 ч после оплодотворения. Считается, что такое стремительное развитие за 96 ч у Danio rerio соответствует 3-месячному развитию человеческого эмбриона [3]. К настоящему времени уже получены сотни генетических мутантов Danio rerio, фенотип которых напоминает и может быть клиническим эквивалентом заболеваний у человека. Получено также несколько химерных моделей с рецепторами и сигнальными молекулами человека. Гены, кодирующие определенные рецепторы и сигнальные молекулы, как правило, связаны с развитием кардиоваскулярной патологии, заболеваниями кроветворной и нервной систем, миопатиями и миодистрофиями, что позволяет анализировать эффективность перспективных лекарственных препаратов [2, 4]. Иммунологическая и клиническая эффективность нуклеоспермата натрия (Вирутера) ранее была доказана для лечения пациенток с хроническим эндометритом. Нуклеоспермат натрия — это высокоочищенная фракция нуклеиновых кислот из клеток молок лососевых рыб и является индуктором системы врожденного иммунитета [1]. В связи с этим представляет несомненный интерес насколько нуклеоспермат натрия эффективен в повышении выживаемости эмбрионов.
Цель работы — оценка эффективности нуклеоспермата натрия (вирутера) в отношении выживаемости эмбрионов и личинок Danio rerio.
МАТЕРИАЛЫ И МЕТОДЫ
Исследование проводили на рыбках Danio rerio природного окраса (n = 24). Рыбок содержали в просторных аквариумах при температуре воды при +21 °С раздельно самок (n = 12) и самцов (n = 12) в течение 2 сут при стандартных компонентах грунта, стандартной аэрации и рН воды. Световой цикл составлял 9/15 ч. Кормили взрослых особей 1 р/сут в 14:00, содержали на стандартном рационе. Далее через 2 сут самцов и самок в соотношении 4:3 пересаживали в один аквариум с водой температуры +23 °С, на дне аквариума была расположена стандартная сетка для нереста. Рацион кормления оставался стандартным. Через 1 сут в утренние часы самки начинали нерест. Через 3–4 ч после начала нереста рыбок аккуратно вылавливали из аквариума, сетку осторожно промывали в этом же резервуаре и со дна индивидуально микропипеткой собирали каждую икринку. Для оценки эффективности нуклеоспермата натрия в отношении выживаемости эмбрионов данного вида собранную икру в количестве 64 штук разместили в отдельных лунках, исходя из следующей схемы (рис. 1). Использовали 3 дозы нуклеоспермата натрия: Э1 — доза I нуклеоспермата натрия (50 мкг/200 мкл на лунку), Э2 — доза II (1,3 мкг/200 мкл), Э3 — доза III (0,0325 мкг/200 мкл). Эксперимент проводили в течение 8 сут и оценивали следующие параметры: кровообращение, выход личинки из икринки, движение эбриона внутри икринки, движение появившейся личинки. Полученные результаты обрабатывали статистически с использованием критерия χ2 при р < 0,05.
Рис. 1. Схема эксперимента: К — контроль; Э1 — доза I нуклеоспермата натрия (50 мкг/200 мкл на лунку), Э2 — доза II (1,3 мкг/200 мкл), Э3 — доза III (0,0325 мкг/200 мкл). Лунки содержали ту же воду из резервуара, в котором получали икру. Температура воды в лунках +23 °С
Fig. 1. Scheme of the experiment: K — control; E1 — dose 1 of sodium nucleospermate (50 µg/200 µL per well); E2 — dose 2 (1.3 µg/200 µL); E3 — dose III (0.0325 µg/200 µL). The wells contained the same water from the reservoir in which the spawn was obtained. The water temperature in the wells was +23°С
РЕЗУЛЬТАТЫ
Как показали результаты исследования, на 1-е сутки в контроле кровообращение регистрировали у всех эмбрионов, а движение — лишь у 21,4 % (рис. 2). При исследовании нуклеоспермата натрия в дозе I кровообращение у эмбрионов регистрировали с частотой 37,5 %, а движение — с частотой 6,25 %. При исследовании нуклеоспермата натрия в дозе II кровообращение выявляли у всех эмбрионов, тогда как движение —только у 46,6 %. При исследовании препарата в дозе III кровообращение зафиксировано у всех эмбрионов, движение — у 18,75 %. На 3-и сутки добавляли новый параметр оценки жизнедеятельности эмбрионов (в некоторых случаях уже личинок Danio rerio) — появление на свет личинки, параметр «движение» оценивали по передвижению личинки по экспериментальной лунке, а не внутри икринки (рис. 3, 4). В контроле кровообращение зарегистрировано у 87,5 % эмбрионов, движения не наблюдали, появилось на свет 87,5 % личинок. При исследовании препарата в дозе I кровообращение определялось у 87,5 % эмбрионов, движения не наблюдали, на свет появилось 81,25 % личинок. При исследовании препарата в дозе II кровообращение наблюдали у 93,75 % эмбрионов, движение отсутствовало, на свет появилось 93,75 % личинок. При исследовании препарата в дозе III кровообращение наблюдали у 81,25 % эмбрионов, движение — у 37,5 %, на свет появилось 81,25 % личинок. Эксперимент на 4-е сутки показал, что в контроле кровообращение, движение и появление на свет были у 87,5 % эмбрионов. При исследовании препарата в дозе I кровообращение и движение регистрировали у 93,75 % эмбрионов, появление на свет — у 18,75 %. При исследовании препарата в дозе II все параметры составляли 93,75 %. При исследовании препарата в дозе III все параметры соответствовали 81,25 %. На 7-е сутки исследования все три параметра в каждой дозе сравняли свое значение: контроль — 87,5 % кровообращение, движение, появление на свет, доза I — 81,25 %, доза II — 93,75 %, доза III — 75 %. На 8-е сутки оценивали только активное передвижение личинки по экспериментальной лунке, так как все остальные показатели составляли 100 % для выживших эмбрионов. Эксперимент на 8-е сутки показал, что в контроле активно двигаются и удовлетворительно развиваются 37,5 % первоначально взятых живых эмбрионов, при введении нуклеоспермата натрия в дозе I — 50 %, в дозе II — 81,25 %, в дозе III — 75 % (рис. 5).
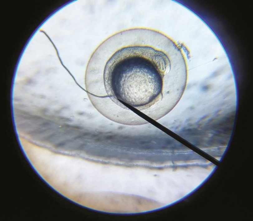
Fig. 2. Danio rerio embryo: day 1 of the experiment
Рис. 3. Эмбрион Danio rerio. Третьи сутки эксперимента
Fig. 3. Danio rerio embryo: day 3 of the experiment
Рис. 4. Личинка Danio rerio. Третьи сутки эксперимента
Fig. 4. Danio rerio larva: day 3 of the experiment
Рис. 5. Выживаемость эмбрионов и личинок Danio rerio в разные сроки эксперимента при использовании разных доз нуклеоспермата натрия. Э1, Э2, Э3 — номер экспериментальной группы
Fig. 5. Survival of Danio rerio embryos and larvae at different times of the experiment when using different doses of sodium nucleospermate
На основании полученных данных можно предположить, что нуклеоспермат натрия в указанной дозе (экспериментальная группа Э2) наиболее оптимально активирует систему врожденного иммунитета Danio rerio, вызывая развитие комплекса регулируемых цитокинами провоспалительных и противовоспалительных сигналов, нужных для завершения воспаления реакций, что способствует более эффективному развитию эмбрионов и личинок рыбки [7].
ЗАКЛЮЧЕНИЕ
Представленная модель может рассматриваться как перспективная для исследования адекватной индукции противовоспалительных цитокинов и поддержания баланса между секретируемыми про- и антипролиферативными цитокинами на этапе имплантации эмбриона и ранних этапов беременности у человека, а нуклеоспермат натрия как препарат выбора в коррекции бесплодия и привычного невынашивания беременности.
ДОПОЛНИТЕЛЬНАЯ ИНФОРМАЦИЯ
Вклад авторов. Все авторы внесли существенный вклад в разработку концепции, проведение исследования и подготовку статьи, прочли и одобрили финальную версию перед публикацией. Вклад каждого автора: А.А. Блаженко, А.А. Лебедев, Н.И. Тапильская — написание статьи, анализ данных; С.Н. Прошин, П.Д. Шабанов — редактирование статьи, разработка общей концепции.
Конфликт интересов. Авторы декларируют отсутствие явных и потенциальных конфликтов интересов, связанных с публикацией настоящей статьи.
Источник финансирования. Авторы заявляют об отсутствии внешнего финансирования при проведении исследования.
ADDITIONAL INFORMATION
Authors contribution. Thereby, all authors made a substantial contribution to the conception of the study, acquisition, analysis, interpretation of data for the work, drafting and revising the article, final approval of the version to be published and agree to be accountable for all aspects of the study. The contribution of each author: A.A. Blazhenko, A.A. Lebedev, N.I. Tapilskaya — manuscript drafting, writing and pilot data analyses; S.N. Proshin, P.D. Shabanov — paper reconceptualization and general concept discussion.
Competing interests. The authors declare that they have no competing interests.
Funding source. This study was not supported by any external sources of funding.
Об авторах
Александра Александровна Блаженко
Институт экспериментальной медицины
Автор, ответственный за переписку.
Email: alexandra.blazhenko@mail.ru
ORCID iD: 0000-0002-8079-0991
SPIN-код: 8762-3604
мл. науч. сотр. отдела нейрофармакологии им. С.В. Аничкова Института экспериментальной медицины
Россия, Санкт-ПетербургАндрей Андреевич Лебедев
Институт экспериментальной медицины
Email: aalebedev-iem@rambler.ru
ORCID iD: 0000-0003-0297-0425
д-р биол. наук, профессор, заведующий лабораторией общей фармакологии отдела нейрофармакологии им. С.В. Аничкова Института экспериментальной медицины
Россия, Санкт-ПетербургНаталья Игоревна Тапильская
Научно-исследовательский институт акушерства, гинекологии и репродуктологии им. Д.О. Отта
Email: tapnatalia@yandex.ru
ORCID iD: 0000-0001-5309-0087
д-р мед. наук, профессор, заведующая лабораторий научно-исследовательского института акушерства, гинекологии и репродуктологии им. Д.О. Отта
Россия, Санкт-ПетербургСергей Николаевич Прошин
Российский государственный педагогический университет им. А.И. Герцена
Email: psnjsn@mail.ru
SPIN-код: 2978-4545
д-р мед. наук, профессор кафедры медико-валеологических дисциплин Российского государственного педагогического университета им. А.И. Герцена
Россия, Санкт-ПетербургПетр Дмитриевич Шабанов
Институт экспериментальной медицины
Email: pdshabanov@mail.ru
ORCID iD: 0000-0003-1464-1127
SPIN-код: 8974-7477
д-р мед. наук, профессор, заведующий кафедрой фармакологии
Россия, Санкт-ПетербургСписок литературы
- Прошин С.Н., Глушаков Р.И., Семенова И.В., и др. Клинико-иммунологические критерии эффективности нуклеоспермата натрия в лечении хронического эндометрита у пациенток с бесплодием и папилломавирусной инфекцией // Экспериментальная и клиническая фармакология. 2013. Т. 76, № 3. С. 27–30. doi: 10.30906/0869-2092-2013-76-3-27-30
- Alunni A., Bally-Cuif L. A comparative view of regenerative neurogenesis in vertebrates // Development. 2016. Vol. 143, No. 5. P. 741–753. doi: 10.1242/dev.122796
- Lossi L., D’Angelo L., de Girolamo P., Merighi A. Anatomical features for an adequate choice of experimental animal model in biomedicine: II. Small laboratory rodents, rabbit, and pig // Ann Anat - Anatomischer Anzeiger. 2015. Vol. 204. P. 11–28. DOI: 204.10.1016/j.aanat.2015.10.002
- Drummond B.E., Wingert R.A. Insights into kidney stem cell development and regeneration using zebrafish // World J Stem Cells. 2016. Vol. 8, No. 2. P. 22–31. doi: 10.4252/wjsc.v8.i2.22
- Goldstein B., King N. The Future of Cell Biology: Emerging Model Organisms // Trends Cell Biol. 2016. Vol. 26, No. 11. P. 818–824. doi: 10.1016/j.tcb.2016.08.005
- Matthews M., Trevarrow B., Matthews J. A virtual tour of the Guide for zebrafish Users // Lab animal. 2002. Vol. 31, No. 3. P. 34–40. doi: 10.1038/5000140
- Wiegertjes G.F., Wentzel A.S., Spaink H.P., et al. Polarization of immune responses in fish: The ‘macrophages first’ point of view // Mol Immunol. 2016. Vol. 69. P. 146–156. doi: 10.1016/j.molimm.2015.09.026
Дополнительные файлы







