Induction of Cholinergic Phenotype in Mouse Neuroblastoma Cells Using Nerve Growth Factor
- Authors: Koryagina A.A.1, Nedogreeva O.A.1, Buyanova A.A.1, Spivak Y.S.1, Bolshakov .P.1, Gulyaeva N.V.1, Stepanichev M.Y.1
 - 
							Affiliations: 
							
- Institute of Higher Nervous Activity and Neurophysiology, Russian Academy of Sciences
 
 - Issue: Vol 40, No 4 (2023)
 - Pages: 435-445
 - Section: Experimental Articles
 - URL: https://bakhtiniada.ru/1027-8133/article/view/231952
 - DOI: https://doi.org/10.31857/S1027813323040131
 - EDN: https://elibrary.ru/OOFTHU
 - ID: 231952
 
Cite item
Full Text
Abstract
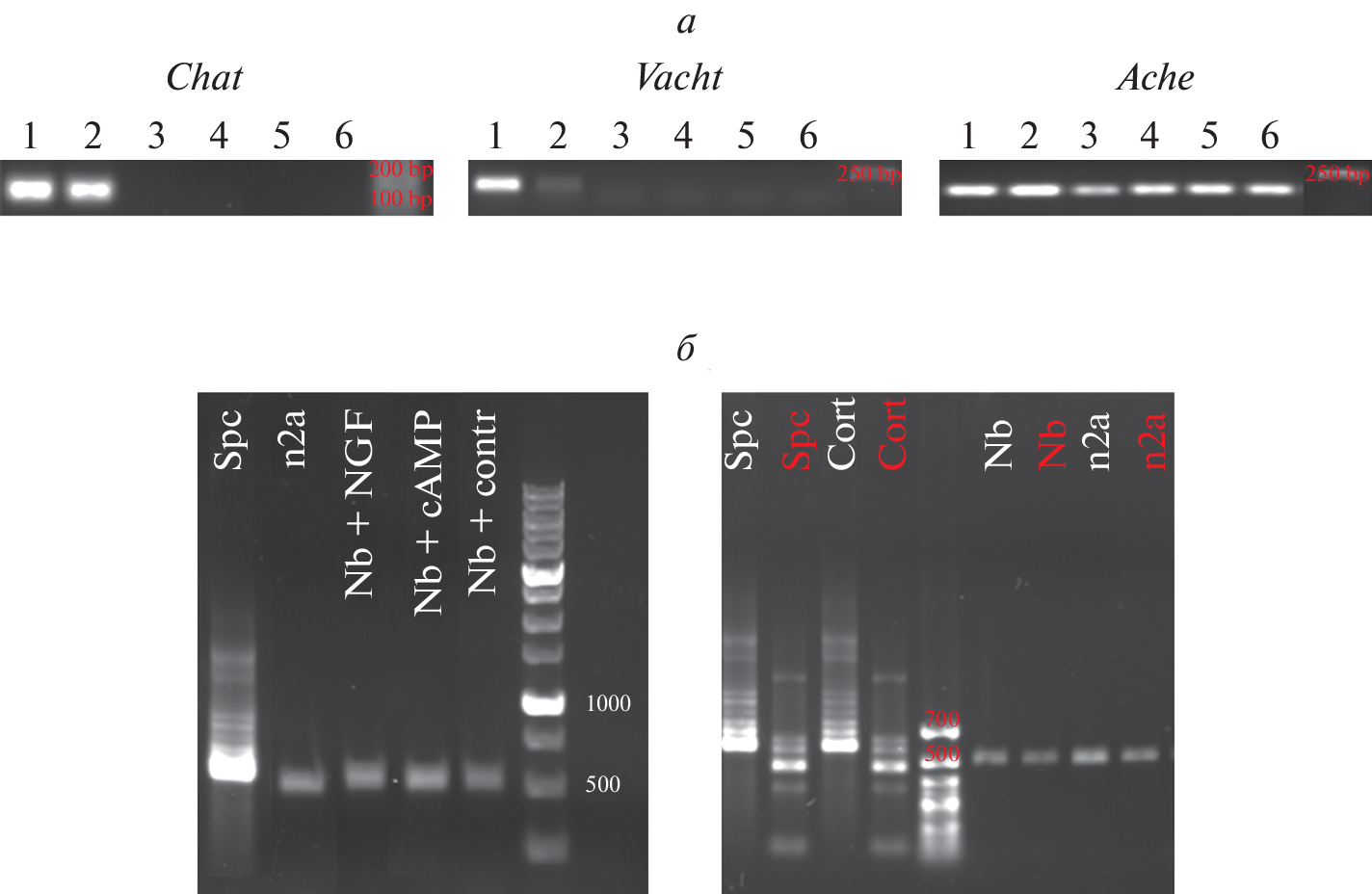
Nerve growth factor (NGF) is a key factor of neuronal differentiation. NGF plays an important role in growth and differentiation of sensory and sympathetic neurons in the peripheral nervous system. In the mature brain, NGF is important for the maintenance of a cholinergic neuronal phenotype. Here, we studied whether NGF is sufficient to induce cholinergic phenotype in murine neuroblastoma cells, which are often used to model various physiological and pathological conditions. We detected expression of both TrkA and p75NGFR of NGF receptors in NB41A3 and Neuro2a neuroblastoma cells, two the most popular cell lines widely used to study the properties of cholinergic neurons in vitro. Treatment of both types of cell cultures with NGF did not induce in contrast to 8-Br-cAMP, which induced differentiation of Neuro2a cells with formation neuron-like morphology. Furthermore, we did not reveal the markers of cholinergic phenotype, such as ChAT or VAChT mRNA or protein in these cells, after NGF treatment. Thus, NB41A3 and Neuro2a cells cannot be used as an in vitro model of cholinergic cells because they do not differentiate and/or exhibit cholinergic phenotype in response to NGF stimulation.
About the authors
A. A. Koryagina
Institute of Higher Nervous Activity and Neurophysiology, Russian Academy of Sciences
														Email: nchjournal@gmail.com
				                					                																			                												                								Russia, Moscow						
O. A. Nedogreeva
Institute of Higher Nervous Activity and Neurophysiology, Russian Academy of Sciences
														Email: nchjournal@gmail.com
				                					                																			                												                								Russia, Moscow						
A. A. Buyanova
Institute of Higher Nervous Activity and Neurophysiology, Russian Academy of Sciences
														Email: nchjournal@gmail.com
				                					                																			                												                								Russia, Moscow						
Yu. S. Spivak
Institute of Higher Nervous Activity and Neurophysiology, Russian Academy of Sciences
														Email: nchjournal@gmail.com
				                					                																			                												                								Russia, Moscow						
A. P. Bolshakov
Institute of Higher Nervous Activity and Neurophysiology, Russian Academy of Sciences
														Email: nchjournal@gmail.com
				                					                																			                												                								Russia, Moscow						
N. V. Gulyaeva
Institute of Higher Nervous Activity and Neurophysiology, Russian Academy of Sciences
														Email: nchjournal@gmail.com
				                					                																			                												                								Russia, Moscow						
M. Yu. Stepanichev
Institute of Higher Nervous Activity and Neurophysiology, Russian Academy of Sciences
														Email: nchjournal@gmail.com
				                					                																			                												                								Russia, Moscow						
References
- Meakin S.O., Shooter E.M. // Trends Neurosci. 1992. V. 15. P. 323–331.
 - Sofroniew M.V., Howe C.L., Mobley W.C. // Annu. Rev. Neurosci. 2001. V. 24. P. 1217–1281.
 - Chao M.V. // Nat. Rev. Neurosci. 2003. V. 4. P. 299–309.
 - Niewiadomska G., Mietelska-Porowska A., Mazurkiewicz M. // Behav. Brain Res. 2011. V. 221. P. 515–526.
 - Schliebs R., Arendt T. // Behav. Brain Res. 2011. V. 221. P. 555–563.
 - Tuszynski M.H. // Cell Transplant. 2000. V. 9. P. 629–636.
 - Dobryakova Y.V., Spivak Y.S., Zaichenko M.I., Koryagina A.A., Markevich V.A., Stepanichev M.Y., Bolshakov A.P. // Front. Neurosci. 2021. V. 15. P. 745050.
 - Dobryakova Y.V., Zaichenko M.I., Spivak Y.S., Stepaniche M.Y., Markevich V.A., Bolshakov A.P. // Neurochem. J. 2021. V. 15. P. 273–281.
 - Stepanichev M.Y. // Neurochem. J. 2011. V. 5. P. 159–168.
 - Tuszynski M.H., Yang J.H., Barb D., U H.S., Bakay R.A., Pay M.M., Masliah E., Conner J.M., Kobalka P., Roy S., Nagahara A.H. // JAMA Neurol. 2015. V. 72. P. 1139–1147.
 - Tuszynski M.H., Thal L., Pay M., Salmon D.P., U H.S., Bakay R., Patel P., Blesch A., Vahlsing H.L., Ho G., Tong G., Potkin S.G., Fallon J., Hansen L., Mufson E.J., Kordower J.H., Gall C., Conner J. // Nat. Med. 2005. V. 11. P. 551–555.
 - Ferro M., Doyle A. // Cell Biol. Toxicol. 2001. V. 17. P. 205–212.
 - Colom L.V., Castaneda M.T., Reyna T., Hernandez S., Garrido-Sanabria E. // Synapse. 2005. V. 58. P. 151–164.
 - Colom L.V., Castaneda M.T., Aleman D., Touhami A. // Neurosci. Lett. 2013. V. 541. P. 54–57.
 - Huh C.Y.L., Danik M., Manseau F., Trudeau L.E., Williams S. // J. Neurosci. 2008. V. 28. P. 1404–1409.
 - Teles-Grilo Ruivo L.M., Mellor J.R. // Front. Synaptic Neurosci. 2013. V. 5. P. 2.
 - Mangoura D., Vernadakis A. // Dev. Brain Res. 1988. V. 40. P. 25–35.
 - Latina V., Caioli S., Zona C., Ciotti M.T., Amadoro G., Calissano P. // Front. Cell Neurosci. 2017. V. 11. P. 68.
 - Antonov S.A., Manuilova E.S., Dolotov O.V., Kobylyansky A.G., Safina D.R., Grivennikov I.A. // Bull. Exp. Biol. Med. 2017. V. 162. P. 679–683.
 - Ortiz-Virumbrales M., Moreno C.L., Kruglikov I., Marazuela P., Sproul A., Jacob S., Zimmer M., Paull D., Zhang B., Schadt E.E., Ehrlich M.E., Tanzi R.E., Arancio O., Noggle S., Gandy S. // Acta Neuropathol. Commun. 2017. V. 5. P. 77.
 - Moreno C.L., Guardia L., Della Shnyder V., Ortiz-Virumbrales M., Kruglikov I., Zhang B., Schadt E.E., Tanzi R.E., Noggle S., Buettner C., Gandy S. // Mol. Neurodegener. 2018. V. 13. P. 33.
 - Campos Cogo S., Gradowski Farias da Costa do Nascimento T., de Almeida Brehm Pinhatti F., de França Junio N., Santos Rodrigues B., Cavalli L.R., Elifio-Esposito S. // Exp. Biol. Med. 2020. V. 245. P. 1637–1647.
 - Johnsen J.I., Dyberg C., Wickström M. // Front. Mol. Neurosci. 2019. V. 12. P. 9.
 - Rosenberg R.N., Vandeventer L., De Francesco L., Friedkin M.E. // Proc. Natl. Acad. Sci. USA. 1971. V. 68. P. 1436–1440.
 - Blusztajn J.K., Venturini A., Jackson D.A., Lee H.J., Wainer B.H. // J. Neurosci. 1992. V. 12. P. 793–799.
 - Kumar M., Katyal A. // Data Br. 2018. V. 21. P. 2435–2440.
 - Thompson J., London E., Johnson Jr.J. // Neuroscience. 1982. V. 7. P. 1807–1815.
 - Thompson G., Lewis J., Mawdsley D. // 2012. https://www.dst.defence.gov.au/publication/characterisation-cell-culture-system-investigating-nerve-agent-neurotoxicology-part-i
 - Monsma F.J., Brassard D.L., Sibley D.R. // Brain Res. 1989. V. 492. P. 314–324.
 - Dziedzicka-Wasylewska M., Solich J. // Mol. Brain Res. 2004. V. 128. P. 75–82.
 - Pemberton K., Mersman B., Xu F. // J. Undergrad. Neurosci. Educ. 2018. V. 16. P. A186–194.
 - Zeineldin M., Patel A.G., Dyer M.A. // Neuron. 2022. V. 110. P. 2916–2928.
 - Chen T., Hinton D., Zidovetzki R., Hofman F. // Lab. Invest. 1998. V. 78. P. 165–174.
 - Sánchez S., Jiménez C., Carrera A.C., Diaz-Nido J., Avila J., Wandosell F. // Neurochem. Int. 2004. V. 44. P. 231–242.
 - Aloe L., Rocco M.L., Balzamino B.O., Micera A. // J. Exp. Clin. Cancer Res. 2016. V. 35. P. 1–7.
 - Martorana F., Gaglio D., Bianco M.R., Aprea F., Virtuoso A., Bonanomi M., Alberghina L., Papa M., Colangelo A.M. // Cell Death Dis. 2018. V. 9. P. 391.
 - Reichardt L.F. // Philos. Trans. R. Soc. Lond. B. Biol. Sci. 2006. V. 361. P. 1545–1564.
 - Yeo T.T., Chua-Couzens J., Butcher L.L., Bredesen D.E., Cooper J.D., Valletta J.S., Mobley W.C., Longo F.M. // J. Neurosci. 1997. V. 17. P. 7594–7605.
 - Sobreviela T., Clary D.O., Reichardt L.F., Brandabur M.M., Kordower J.H., Mufson E.J. // J. Comp. Neurol. 1994. V. 350. P. 587–611.
 - Wu D., Hersh L.B. // J. Neurochem. 1994. V. 62. P. 1653–1663.
 - Blume A., Gilbert F., Wilson S., Farber J., Rosenberg R., Nirenberg M. // Proc. Natl. Acad. Sci. USA. 1970. V. 67. P. 786–792.
 - Harris A.J., Dennis M.J. // Science. 1970. V. 167. P. 1253–1255.
 
Supplementary files
				
			
					
						
						
						
						
				





