Оптимизированный метод применения полиэтиленгликоля в качестве заливочной среды для гистологических исследований
- Авторы: Антонов С.А.1,2, Курбатова Т.А.2, Макарова И.В.3, Сухоруков В.Н.1,2
-
Учреждения:
- Российский научный центр хирургии им. акад. Б.В. Петровского
- Научно-исследовательский институт общей патологии и патофизиологии
- Национальный исследовательский центр «Курчатовский институт»
- Выпуск: Том 163, № 1 (2025)
- Страницы: 59-70
- Раздел: Оригинальные исследования
- URL: https://bakhtiniada.ru/1026-3543/article/view/292735
- DOI: https://doi.org/10.17816/morph.639964
- EDN: https://elibrary.ru/MSPQUC
- ID: 292735
Цитировать
Аннотация
Обоснование. Полиэтиленгликоль (ПЭГ) — это водорастворимый полимер, который может использоваться для пропитки тканей и получения гистологических срезов. Ранее сообщалось, что ПЭГ обеспечивает хорошую сохранность морфологических характеристик тканей, сопоставимую с результатом использования эпоксидных смол, а получаемые срезы могут применяться для иммуногистохимических исследований. В современной литературе описано несколько методов применения ПЭГ для гистологических задач, однако они несистематизированы и, как правило, трудновоспроизводимы.
Цель исследования — оценить морфологические характеристики и иммунореактивность тканей на гистологических срезах после проводки в ПЭГ.
Материалы и методы. Исследована возможность и результаты проводки коллекционных (архивных) образцов плодов мыши (Mus musculus) и вьюна (Misgurnus Fossilis) в ПЭГ 1000 и ПЭГ 1500, а также особенности получения срезов, их расправления, монтирования на предметные стёкла и окрашивания.
Результаты. Сопоставлены морфологические характеристики гистологических срезов, проведённых и залитых в ПЭГ и парафин. Охарактеризованы преимущества и недостатки использования ПЭГ для гистологической проводки. Выполнено иммуногистохимическое окрашивание срезов с использованием специфических антител в сочетании с хромогенной и флуоресцентной системами детекции.
Заключение. Продемонстрировано, что ПЭГ обеспечивает сохранность структурных особенностей клеток и межклеточного вещества, а также оказывает щадящее воздействие на белковые эпитопы в тканях.
Ключевые слова
Полный текст
ОБОСНОВАНИЕ
Срезы тканей, залитых в парафин, широко применяются в современных биологических исследованиях и медицинской диагностике [1]. Несомненным преимуществом парафиновых срезов является возможность их использования для иммуногистохимического и иммунофлуоресцентного окрашивания, а также для ДНК/РНК гибридизации in situ. То есть, парафиновые срезы позволяют сопоставлять морфологические характеристики клеток, их генотип и профиль экспрессии генов [2].
В тоже время процедура проводки в парафин сопряжена со сжатием тканей в процессе дегидратации [3, 4], что изменяет форму клеток и снижает доступность белковых эпитопов, а также содержание нуклеиновых кислот в них [2, 5]. Деформационные изменения и сжатие клеток при проводке в парафин скрывают цитологические детали, а также затрудняют локализацию эпитопов во внутриклеточных компартментах. Например, в гистологическом атласе The Human Protein Atlas1 для парафиновых срезов приведены данные только о ядерной, мембранной или цитоплазматической локализации того или иного эпитопа в клетках, а более детальная информация о распределении соответствующей иммунореактивности в специфических клеточных компартментах доступна только для клеточных культур [6]. Для детального анализа рисунка хроматина, цитоплазматических элементов и межклеточных взаимодействий с помощью световой микроскопии используются полутонкие срезы тканей в акриловых и эпоксидных смолах, обеспечивающих превосходную сохранность морфологических характеристик клеток, но ограничено пригодных для молекулярно-биологического анализа. Эталонная иммунореактивность белковых эпитопов сохраняется в срезах замороженной ткани, но этот вид материала характеризуется существенно более низкой сохранностью формы клеток по сравнению с парафинизированной тканью.
Поэтому, несмотря на известные недостатки, применение парафиновых срезов является единственным подходом, позволяющим проводить исследования, требующие сопоставления морфометрических показателей клеток с паттерном экспрессии генов.
Для проводки и получения срезов тканей перспективной альтернативной парафину, находящей пока лишь узкое применение, может быть полиэтиленгликоль (ПЭГ) с молекулярной массой 1000–6000 [7]. Ранее сообщалось, что ткани, залитые в ПЭГ, хорошо сохраняю морфологические характеристики, а тонкие срезы таких образцов пригодны для электронной микроскопии [8]. Для рутинных исследований особый интерес представляют полиэтиленгликоли с молекулярной массой 1000 и 1500. По сравнению с парафином такие ПЭГ имеют низкую температуру плавления (37–52°C), что минимизирует повреждающее воздействие повышенных температур на белки и нуклеиновые кислоты [9, 10] и степень сжатия (контракции) тканей в процессе заливки [11]. Кроме того, применение ПЭГ исключает необходимость проводки тканей в гидрофобных органических растворителях (ксилолы/хлороформ), как того требует работа с парафином, то есть продолжительность воздействия агрессивной среды на ткани существенно сокращается. Анализ данных литературы показал, что опубликованные методические работы по получению срезов тканей, залитых в ПЭГ, и последующему окрашиванию таких срезов носят несистематизированный, а в ряде случаев, противоречивый характер [7, 9, 12, 13], что свидетельствует о необходимости разработки унифицированной методики.
Цель исследования — проанализировать различные аспекты получения и окрашивания срезов эмбрионов мыши и личинок вьюна, залитых в ПЭГ, а также детально охарактеризовать особенности получаемых препаратов.
МАТЕРИАЛЫ И МЕТОДЫ
Образцы эмбрионов мыши и личинок вьюна
В работе использовали архивный материал, взятый из предшествующих исследований на мышах. Эмбрионы мыши были получены при диссекции беременных самок гибридной линии C57Bl/6 × CBA на сроке беременности 19 дней post coitum. Взрослые вьюны были отловлены в декабре в реках средней полосы Европейской части России и содержались при температуре 4–6°С. Самцов и самок содержали раздельно. Икру получали через 40–42 часа после введения самкам 100 МЕ хорионического гонадотропина человека (Московский эндокринный завод, Россия). Для оплодотворения к икре добавляли суспензию спермы, полученную путём диссекции семенников самцов M. fossilis в кипячёной воде. Личинок вьюнов содержали при комнатной температуре в отстоянной водопроводной воде. Образцы тканей туловища и головы эмбрионов мышей и целые личинки вьюнов фиксировали в 4% формальдегиде в течение 72–96 часов, промывали в фосфатно-солевом буфере (pH = 7,4) и хранили в 70% этаноле при +4°С.
Проводка и получение гистологических срезов
Проводку образцов в парафин осуществляли по стандартному протоколу: образцы последовательно обезвоживали в 96% этаноле, трёх сменах 99% изопропанола и двух сменах ксилола — 1 час каждая смена. Далее образцы пропитывали в трёх сменах парафина (Histomix Extra, Биовитрум, Россия) при 60°С и заливали в блоки в гистологических кассетах.
Проводку образцов в ПЭГ выполняли по следующему протоколу: обезвоживание в 96% этаноле и в трёх сменах 99% изопропанола — 1 час каждая смена, пропитка в трёх сменах ПЭГ 1000 при 42°С (Acros Organics, США) либо ПЭГ 1500 при 55°С (Acros Organics, США). Проводку осуществляли под визуальным контролем. По нашему опыту ориентиром для смены ПЭГ может служить оседание образцов на дно ёмкости с расплавленным ПЭГ. После пропитки образцы заливали в блоки в гистологических кассетах, которые выдерживали при комнатной температуре вплоть до затвердения ПЭГ в однородную массу.
Срезы изготавливали на санном микротоме МС-2 (ООО «Точмедприбор», Россия) и ротационном микротоме YD-202 (Jinhua Yidi Medical Appliance, Китай) при установленной толщине срезов 3–10 мкм, в помещении с контролируемой температурой 20°С.
Парафиновые срезы расправляли на поверхности воды (температура 39°С) и монтировали на предметные стёкла (Биовитрум, Россия), обработанные 1% раствором 3-аминопропилтриэтоксисилана (Acros Organics, США) в ацетоне. ПЭГ-срезы расправляли на адгезивных предметных стёклах в каплях дистиллированной воды объёмом 50–200 мкл, избыток воды удаляли с помощью автоматического дозатора, после чего стёкла высушивали при комнатной температуре. Для удаления избытка ПЭГ стёкла промывали в 96% этаноле и снова высушивали.
Срезы окрашивали растворами гематоксилина и эозина, обезвоживали, просветляли в ксилоле и заключали под покровные стёкла (Биовитрум, Россия) в среду Сytoseal XYL (Thermo Scientific, США).
Иммуногистохимическое и иммунофлуоресцентное окрашивание срезов
На срезах тканей, залитых в ПЭГ 1500, сначала проводили демаскирование эпитопов, для чего срезы инкубировали в 10 мМ растворе цитрата натрия в течение 30 мин при 95°С. Неспецифическое связывание антител блокировали посредством обработки срезов 10% фетальной бычьей сывороткой (Biosera, Франция) в фосфатно-солевом буфере (pH = 7,4) в течение 15 мин при комнатной температуре. Затем срезы инкубировали в течение ночи при +4°С с первичными антителами в соответствующем разведении (табл. 1). После инкубации срезы трижды промывали дистиллированной водой. Неспецифичную пероксидазоподобную активность блокировали 0,3% перекисью водорода в течение 15 мин. Далее срезы инкубировали со вторичными антителами в течение 1 часа при комнатной температуре. Для детекции связывания антител использовали две системы: хромогенную — срезы последовательно инкубировали с конъюгатом пероксидазы со стрептавидином (разведение 1:1000; Roche, Швейцария, каталожный номер 11089153001), а затем с субстратом (0,05% 3,3’-диаминобензидин, DAB; Sigma-Aldrich, Германия), время инкубации 5–10 мин, появление неспецифичного фона контролировали под микроскопом; иммунофлуоресцентную — срезы инкубировали с тирамидом тетраметилродамина (5 мкг/мл) в фосфатно-солевом буфере с добавлением 0,015% H2O2 в течение 15 мин. Тирамидный субстрат получали из активированного N-гидроксисукцинимидного эфира тетраметилродамина (Lumiprobe, Россия) по стандартной методике [14]. Альтернативно, срезы последовательно инкубировали с конъюгатом щелочной фосфатазы (разведение 1:1000; Millipore, Германия, каталожный номер S2890) и субстратом Sigmafast BCIP/NBT (Nitro blue tetrazolium/ 5-bromo-4-chloro-3-indolyl phosphate; Sigma-Aldrich, Германия).
Таблица 1. Антитела и ферменты, использованные в работе
Table 1. Antibodies and enzymes used in this study
Наименование | Хозяин | Разведение | Производитель | Каталожный номер |
2А субъединица NMDA-рецепторов (GlunN2A) | кролик | 1:350 | Sigma | SAB2100974 |
Нестин | мышь | 1:750 | Millipore | MAB5326 |
Тирозингидроксилаза | мышь | 1:1000 | Thermo Fisher | МА1-24654 |
Ki67 | кролик | 1:200 | Abcam | ab15580 |
Пан-цитокератин | кролик | 1:200 | Abcam | Ab217916 |
Маркер зрелых нейронов NeuN (Neuronal Nuclei) | мышь | 1:1000 | Millipore | MAB377 |
Иммуноглобулин G мыши | коза | 1:100 | Имтек | GAM Iss |
Иммуноглобулин G кролика | коза | 1:100 | Имтек | GAR Iss |
Стрептавидин-пероксидаза | - | 1:1000 | Roche | 11089153001 |
Стрептавидин-щелочная фосфтаза | - | 1:1000 | Millipore | S2890 |
Микроскопия
Съёмку в проходящем свете проводили на световом микроскопе Leica DM 2500 (Leica, Германия) с использованием объективов ×10 и ×40 и 16 мП камеры U3ISPM16000KPA (ToupTek, Китай) с сенсором 1/2.3”. Съёмку в отражённом свете проводили на микроскопе Zeiss AxioObserver (Carl Zeiss, Германия), оснащённом 13 мП камерой AxioCam HRс (Carl Zeiss, Германия) с сенсором 2/3”.
Для проведения сравнительного исследования срезов после заливки тканей в ПЭГ и парафин при съёмке использовали идентичные настройки — апертуру конденсора микроскопа, баланс белого и экспозицию камеры.
РЕЗУЛЬТАТЫ И ОБСУЖДЕНИЕ
Проводка
Проводку тканей в ПЭГ можно осуществлять с использованием градиента восходящих концентраций ПЭГ в воде, минуя процедуру обезвоживания в спиртах. Однако мы установили, что при такой схеме проводки ткани значительно сокращаются, теряя до 40% своего исходного объёма, что согласуется с опубликованными ранее данными [9]. Обезвоживание тканей в нескольких сменах изопропилового спирта перед проводкой в ПЭГ, напротив, обеспечивает их минимальную контракцию. В целом, использование ПЭГ 1000 является более предпочтительным в связи с более низкой температурой плавления (35–40°C согласно инструкции производителя), что делает условия проводки максимально щадящими. Недостатком ПЭГ 1000 является низкая твёрдость, не позволяющая получать срезы тоньше 7–8 мкм без компрессии в процессе нарезки при комнатной температуре (21–24°С). Кроме того, ПЭГ 1000 отчётливо гигроскопичен, что делает необходимым хранение залитых блоков с тканью в закрытых контейнерах и лишает возможности получать срезы при влажности окружающей среды более 30%. ПЭГ 1500 более твёрдый по сравнению с ПЭГ 1000 и позволяет получать срезы толщиной 2–3 мкм без заметной компрессии, но проводка происходит при температуре более 48°С, так как температура плавления ПЭГ 1500 составляет 44–48°С.
Как правило, трёх смен ПЭГ по 1–2 часа каждая, достаточно для эффективной пропитки любого фрагмента тканей толщиной не более 3 мм. Таким образом, проводка в ПЭГ имеет сопоставимую скорость пропитки средой при более низкой температуре по сравнению с проводкой в парафин. Применение такой схемы проводки не требует оптимизации под размер образца, поскольку, в отличие от парафина, не приводит к пересушиванию тканей.
Получение срезов тканей, залитых в ПЭГ, и их прикрепление на предметные стёкла
Срезы из блоков с тканью, пропитанной ПЭГ 1000 или парафином, изготавливали одинаково, с использованием санного и ротационного микротомов и одноразовых лезвий. Для резки блоков ПЭГ 1500 предпочтительно применение многоразовых ножей. При этом, возможно получать как одиночные, так и серийные срезы. Однако ПЭГ мгновенно растворяется при контакте с водой, из-за чего серийные срезы теряют исходный порядок и пространственную ориентацию в процессе расправления. Это делает невозможной наклейку лент срезов на стёкла, поэтому при использовании ПЭГ для заливки тканей необходимо учитывать возможность получения для дальнейшей работы только одиночных срезов.
Мы опробовали различные условия расправления ПЭГ-срезов и установили, что если их помещать на поверхность большого объёма жидкости [15], то ПЭГ-окантовка растворяется и срезы трудно переносить на стёкла. Кроме того, при помещении на поверхность воды или растворов поверхностно-активных веществ ПЭГ-срезы имеют тенденцию к активному перемещению под действием поверхностного натяжения жидкости. Предложенные в предыдущих работах подходы для расправления ПЭГ-срезов трудоёмки и неэффективны [12, 13]. Попадание между стеклом и срезом глицерина, поверхностно-активных веществ или сахарозы, которые рекомендованы рядом авторов для более плавного расправления тканей [9], в наших экспериментах препятствовало надёжному прикреплению. Попытки сухого монтирования ПЭГ срезов на стёкла, нагретые до 55°С, не дали удовлетворительного результата из-за сморщивания ткани. Оптимальным оказалось помещение срезов в капли воды объёмом 50–200 мкл (в зависимости от площади среза), непосредственно нанесённые на предметные стёкла. Такой подход обеспечивает полное и равномерное расправление и прочное сцепление срезов с поверхностью стекла после высушивания жидкости. Результат можно дополнительно улучшить, если устранить следы ПЭГ кратковременным (30–40 с) помещением высушенных стёкол со срезами в 96% этанол и последующим повторным высушиванием. Для всех видов окрашивания предпочтительно использование адгезивных стёкол, покрытых поли-D-4лизином или 3-аминопропилтриэтоксисиланом. Следует отметить, что процедура монтирования в описанном варианте требует минимальных временных затрат. Описанный метод подходит для изготовления срезов эмбрионов (Mus musclulus и Misgurnus fossilis) и органов взрослых мышей (головного мозга, миокарда, печени, кожных покровов, скелетной мускулатуры и других) и человека (метод успешно применялся для срезов аорты, артерий и вен).
Окрашивание ПЭГ-срезов традиционными красителями
Окрашивание гематоксилином и эозином срезов тканей, фиксированных в 4% нейтральном забуференном формалине и залитых в ПЭГ, даёт ожидаемый результат — отчётливый контраст между ядрами клеток и цитоплазматическими структурами. Для более детального анализа формы ядер и рисунка хроматина, особенно в базофильных клетках, хорошие результаты продемонстрировал метод окрашивания ДНК по Фельгену с реагентом Шиффа, полученным из основного фуксина, и контрастированием прочным зелёным. Применение трехромных методов окрашивания на ПЭГ-срезах, напротив, затруднено из-за низкого сродства к кислому фуксину, оранжевому G и альциановому синему (pH = 2).
Сравнение морфологических характеристик на срезах тканей, залитых в ПЭГ и парафин
Обнаруженный в пилотном эксперименте детализованный рисунок хроматина на срезах тканей, залитых в ПЭГ, особенно заметен в мелких клетках, таких как фетальные фибробласты дермы, а также дорсальные нейроны спинного и головного мозга мыши. Результаты более подробного исследования морфологических характеристик клеток представлены на рис. 1.
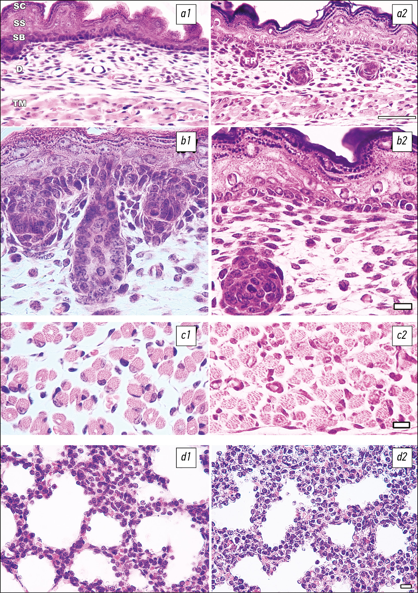
Рис. 1. Срезы эмбрионов мыши (19-й день внутриутробного развития). Левый столбец — проводка образца в полиэтиленгликоль; правый столбец — проводка образца в парафин; a1, a2, b1, b2 — эпидермис и дерма. SC — stratum corneum, роговой слой эпидермиса; SS — stratum spinosum, шиповатый слой эпидермис; SB — stratum basale, базальный слой эпидермиса; D — dermis, дерма; FP — folliculus pili, волосяная луковица; TM — textus muscularis, мышечная ткань. c1, c2 — мышечная ткань, musculus erector spinae; d1, d2 — ткань лёгкого. Масштабная шкала: a, b — 100 мкм; c,d — 20 мкм. Съёмка всех микрофотографий выполнена при одинаковых настройках микроскопа и камеры.
Fig. 1. Sections of murine embryos (day 19 of intrauterine development): Left column specimen transfer through polyethylene glycol; Right column specimen transfer through paraffin wax; a1, 2, b1, b2, epidermis and dermis. SC, stratum corneum; SS, stratum spinosum; SB, stratum basale; D, dermis; FP, folliculus pili, hair follicle; TM, textus muscularis, muscle tissue. c1, c2, muscle tissue, musculus erector spinae; d1, d2, lung tissue. Scale: a, b, 100 µm; c–d, 20 µm. All microphotographs were taken with the same microscope and camera settings.
Нами обнаружено большое количество различий между парафиновыми срезами, и срезами тканей, пропитанных ПЭГ. Так, кератиноциты базального и шиповатого слоёв эпидермиса на парафиновых срезах имеют перинуклеарные полости, обусловленные глубокой экстракцией липидов мембран и неодинаковым коэффициентом сжатия нуклеоплазмы и цитоплазмы в ходе проводки (рис. 1, a2, b2). Этот общеизвестный артефакт, часто встречающийся на парафиновых срезах, отсутствует в клетках при проводке в ПЭГ (рис. 1, a1, b1). На парафиновых срезах цитоплазма фибробластов в дерме имеет сжатый фибриллярный вид, тогда как при заливке в ПЭГ цитоплазма выглядит более однородной. На парафиновых срезах фибробласты дермы легче идентифицировать из-за их деформации и отчётливо выраженного сокращения объёма. Коллагеновые волокна межклеточного матрикса дермы лучше сохранены в ПЭГ (рис. 1, a1, b1). Форма эпидермальных клеток на ПЭГ-срезах, в целом, более размыта, но при этом клетки характеризуются большей площадью ядер и более низким уровнем конденсации хроматина.
На срезах мышечной ткани (рис. 1, c1, c2) пучки сократительных элементов видны более отчётливо на парафиновых срезах. Это связано с большей конденсацией цитоплазмы и компрессией ядер, что, однако, отражается на общем размере мышечных клеток. На ПЭГ-срезах хроматин в ядрах мышечных клеток распределён равномерно, тогда как на парафиновых повсеместно наблюдается агрегация хроматина по периферии ядер — пристеночный гиперхроматоз.
Парафиновые срезы лёгких характеризуются значительно большей резкостью, но одновременно и большей степенью контракции клеток и конденсации хроматина (рис. 1, d1, d2). Эпителиоциты лёгких на ПЭГ-срезах отличаются отсутствием пристеночного гиперхроматоза и околоядерных полостей в цитоплазме.
Можно заключить, что описанные различия парафиновых и ПЭГ-срезов являются общими для разных типов тканей. Конденсация хроматина и цитоплазматических элементов при заливке в парафин способствует большей чёткости клеток, что облегчает их идентификацию, особенно при работе на малом увеличении. Однако это достигается ценой существенной компрессии клеток. Несомненно, перераспределение хроматина к периферии ядер на парафиновых срезах и появление околоядерных полостей являются артефактами, поскольку они отсутствуют на вибратомных срезах, фиксированных в тех же условиях (данные не приведены).
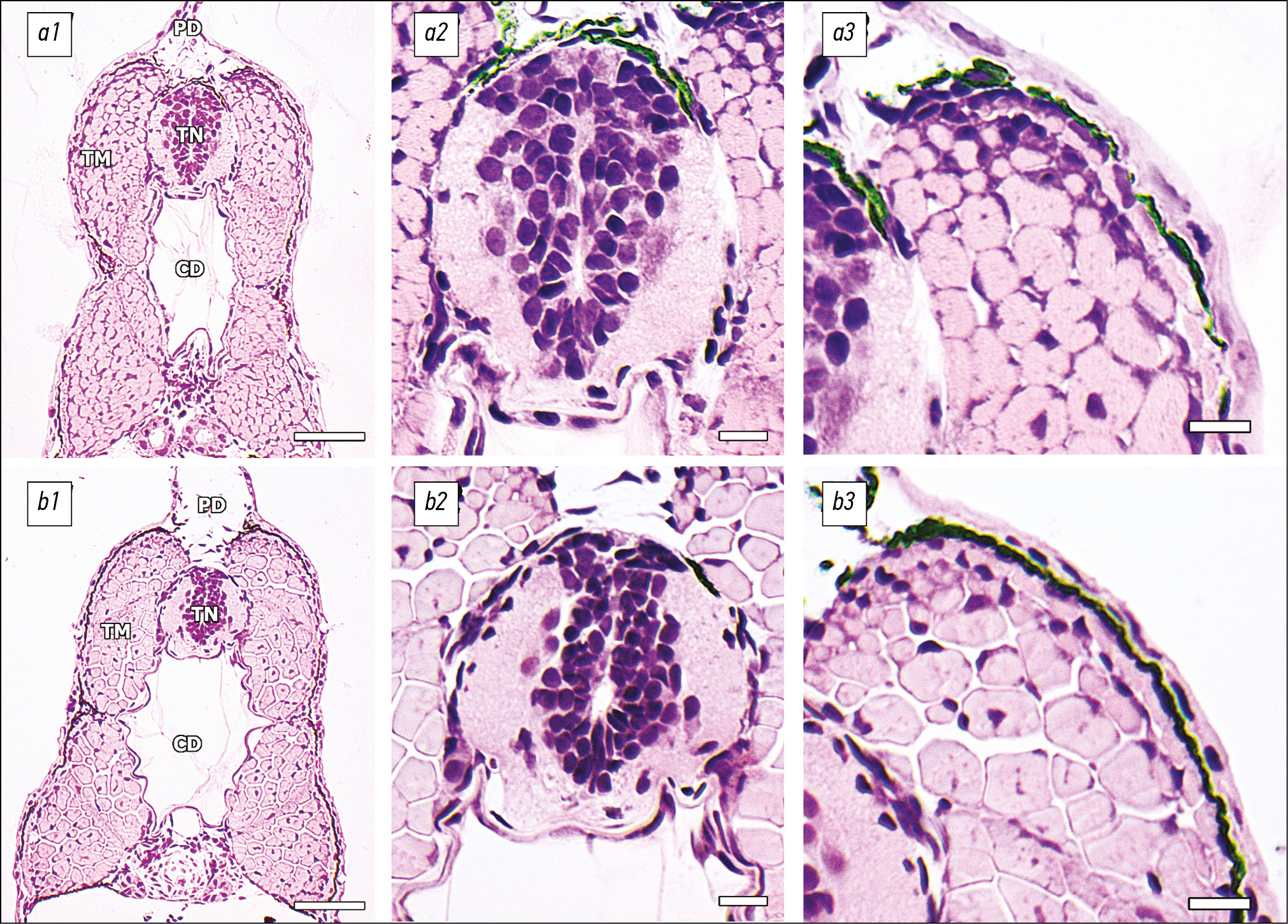
В связи с преобладанием активно пролиферирующих клеток и клеток на ранних стадиях дифференцировки, на срезах тканей ранних личинок вьюна ядра характеризуются отсутствием отчётливых хроматиновых и гетерохроматиновых зон (рис. 2). Как и в случае с эмбрионами мыши, между срезами тканей, залитых в ПЭГ и парафин, не наблюдается различий в характерном рисунке хроматина в ядрах. На срезах нервной трубки (рис. 2, a2, b2) заметно различается площадь клеток, которые претерпевают существенную контракцию в процессе проводки в парафин. На парафиновых срезах дорсальной мускулатуры дифференцированные миоциты имеют характерную многоугольную форму, а на ПЭГ-срезах эти клетки выглядят более округлыми. Пролиферирующие дорсальные миобласты (рис. 2, a3, b3) заметно более базофильные на ПЭГ-срезах и имеют более детальные цитологические характеристики. Различаются также размеры меланоцитов, которые на парафиновых срезах имеют меньшую площадь и значительно менее детализированные очертания цитоплазмы.
Рис. 2. Cрезы личинок вьюна (96 часов развития): a1–a3 — проводка образца в полиэтиленгликоль; b1–b3 — проводка образца в парафин. Окраска гематоксилином и эозином; меланоциты, содержащие эндогенные пигменты, имеют коричневый цвет. a1, b1 — общий вид; CD — chorda dorsalis, хорда; TN — tubus neuralis, нервная трубка; PD — pinna dorsalis, спинной плавник; TM — textus muscularis, мышечная ткань. b1, b2 — нервная трубка, увеличенное изображение, представлены пролиферирующие нейрональные предшественники вдоль центрального канала и мигрирующие пост-митотические нейроны. a3, b3 — дорсальная скелетная мускулатура, представлены миобласты и дифференцированные пост-митотические поперечнополосатые мышечные клетки, расположенные вентрально. Масштабная шкала: a1, b1 — 50 мкм; a2, a3, b2, b3 — 10 мкм.
Fig. 2. Sections of weatherfish larvae (96 hours of development): a1–a3, specimen transfer through polyethylene glycol; b1–b3, specimen transfer through paraffin wax. Hematoxylin and eosin staining; melanocytes containing endogenous pigments are brown-colored. a1, b1, general view; CD, chorda dorsalis, chord; TN, tubus neuralis, neural tube; PD, pinna dorsalis, dorsal fin; TM, textus muscularis, muscle tissue. b1, b2, neural tube, magnified image, proliferating neural precursors along the central canal and migrating post-mitotic neurons. a3, b3, dorsal skeletal muscle, myoblasts and differentiated post-mitotic transverse striated muscle cells located ventrally. Scale: a1, b1, 50 µm; a2, a3, b2, b3, 10 µm.
Кератиноциты однослойного эпителия кожи личинок вьюна на ПЭГ-срезах характеризуются более детализированной формой ядер и большей площадью, а в цитоплазме кератиноцитов лучше различимы фибриллярные структуры.
Суммируя полученные результаты, можно отметить, что проводка в ПЭГ лучше сохраняет цитологические детали в различных эмбриональных органах, обеспечивая более информативную картину при работе на больших увеличениях. Проводка в парафин позволяет сохранить чёткую форму клеток, что облегчает их идентификацию на срезах при работе на малом увеличении, но при этом происходит сокращение объёма клеток и утрата мелких структур цитоплазмы.
Иммуногистохимические и иммунофлуоресцентные реакции на срезах тканей, залитых в ПЭГ
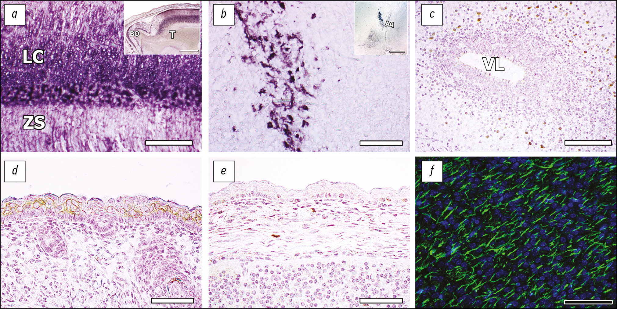
Окрашивание ПЭГ-срезов с помощью первичных антител, пригодных для обнаружения фиксированных эпитопов, даёт стабильные положительные результаты как при использовании хромогенной, так и флуоресцентной детекции. Нами протестированы две системы для хромогенной детекции — пероксидаза–DAB и щелочная фосфатаза–NBT/BCIP и две для флуоресцентной — пероксидаза–флуоресцентные тирамиды и разработанная нами модификация метода «Click-TSA» [14]. Примечательно, что срезы тканей, залитых в ПЭГ 1000, проявляют высокую иммунореактивность без демаскирования антигенов (рис. 3, a–c), в то время как при заливке в ПЭГ 1500, имеющий более высокую температуру плавления, для большинства антител требуется нагревание срезов в буферном растворе (рис. 3, d–f). Демаскирование ПЭГ-срезов осуществляли при 90°С в течение 15–30 мин. При использовании антител к промежуточным филаментам (нестин, глиальный фибриллярный кислый белок, цитокератины) более жёсткие условия демаскирования, как правило, способствуют визуализации максимального числа иммунопозитивных элементов.
Рис. 3. Срезы головы эмбриона мыши (19-й день внутриутробного развития), иммуногистохимическое окрашивание после проводки тканей в полиэтиленгликоль: a, b — детекция с помощью щелочной фосфатазы и хромогенного субстрата NBT/BCIP (Nitro blue tetrazolium/5-bromo-4-chloro-3-indolyl phosphate) без контрастирования ядер; c–e — детекция с помощью пероксидазы и хромогенного субстрата DAB (3,3’-Diaminobenzidine), контрастирование гематоксилином; f — иммунофлуоресцентное окрашивание с помощью пероксидазы и тирамида-родамина, контрастирование ядер флуоресцентным красителем DAPI (4’,6-диамидино-2-фенилиндол). a — GRIN2А (Glutamate Ionotropic Receptor NMDA Type Subunit 2A) субъединица NMDA (N-Methyl-D-Aspartate receptor) рецептора в эмбриональной коре, интенсивная иммунореактивность в дифференцирующихся нейронах кортикальной пластинки, умеренное окрашивание радиальных глиальных клеток субвентрикулярной зоны, на вставке представлен вид среза на малом увеличении. b — тирозингидроксилаза, популяция катехоламинергических нейронов крыши среднего мозга в области Сильвиева водопровода, на вставке представлен вид среза на малом увеличении. c — NeuN/Rbfox-3, нейрон-специфичный РНК-связывающий ядерный белок; окрашиваются пост-митотические нейроны, мигрировавшие радиально от пролиферативной субвентрикулярной зоны к обонятельной луковице. d — пан-цитокератин, дифференцированные кератиноциты над базальным слоем кожной эпидермы. e — Ki67 в коже дорсальной поверхности головы эмбриона, окрашиваются митотические клетки — кератиноциты базального слоя эпидермы и дермальные фибробласты. f — нестин, маркер нейрональных стволовых клеток, экспрессия в коре больших полушарий. LC — lamina cerebralis, кортикальная пластинка; ZS — zona subventricularis, субвентрикулярная зона; T — telencephalon; BO — bulbus olfactorius, обонятельная луковица; Aq — aqueduct cerebri, водопровод среднего мозга; VL — ventriculus lateralis, желудочек переднего мозга. Масштабная шкала: a, c — 100 мкм; b, d–f — 50 мкм; на вставках — 500 мкм.
Fig. 3. Sections of murine embryo head (day 19 of intrauterine development), immunohistochemical staining after tissue transfer through polyethylene glycol: a, b, detection with alkaline phosphatase and chromogenic substrate NBT/BCIP (Nitro blue tetrazolium/ 5-bromo-4-chloro-3-indolyl phosphate) without contrasting cell nuclei; c–e, detection with peroxidase and chromogenic substrate DAB (3,3’-Diaminobenzidine), contrasting with hematoxylin; f, immunofluorescence staining with peroxidase and tyramide-rhodamine, contrasting nuclei with fluorescent dye DAPI (4’,6-diamidino-2-phenylindole). a, GRIN2A (Glutamate Ionotropic Receptor NMDA Type Subunit 2A) subunit of NMDA-receptor (N-Methyl-D-Aspartate receptor) in embryonic cortex, intense immunoreactivity in differentiating cortical lamina neurons, moderate staining of radial glial cells of the subventricular zone, the inset shows a slice view at low magnification. b, tyrosine hydroxylase, population of catecholaminergic neurons of the midbrain tegmentum in the region of the cerebral aqueduct, the inset shows a slice view at low magnification. c, NeuN/Rbfox-3, neuron-specific RNA-binding nuclear protein; staining of post-mitotic neurons that migrated radially from the proliferative subventricular zone to the olfactory bulb. d, pan-cytokeratin, differentiated keratinocytes over the basal layer of the epidermis. e, Ki67 in the skin of the dorsal surface of the embryonic head; stained mitotic cells are keratinocytes of the basal layer of the epidermis and dermal fibroblasts. f, nestin, marker of neural stem cells, expression in the cortex of the cerebral hemispheres. LC, lamina cerebralis, cortical plate; ZS, zona subventricularis, subventricular zone; T, telencephalon; BO, bulbus olfactorius, olfactory bulb; Aq, aqueduct cerebri, cerebral aqueduct; VL, ventriculus lateralis, lateral ventricle. Scale: a, c, 100 µm; b, d–f, 50 µm; on insets, 500 µm.
Таким образом, проводка в ПЭГ обеспечивает возможность иммуногистохимического выявления мембранных (рис. 3, a), цитоплазматических (рис. 3, d) и ядерных эпитопов (рис. 3, c, e) с равной эффективностью.
ЗАКЛЮЧЕНИЕ
Уровень детализации клеточных структур имеет большое значение для информативности гистологических препаратов. Этот уровень всецело зависит от степени сохранности нативной формы тканей, которые неизбежно претерпевают деформационные изменения в процессе фиксации и проводки в гистологическую среду. В настоящее время парафин остаётся безальтернативным вариантом, обеспечивающим одновременно хорошую морфологическую сохранность тканей и возможность проведения иммуногистохимического и иммунофлуоресцентного анализов.
Представленные результаты свидетельствуют о том, что заливка тканей в ПЭГ 1000 и ПЭГ 1500 также позволяет получать срезы высокого качества, характеризующиеся низкой степенью компрессии клеток и высокой иммунореактивностью. На таких срезах хорошо сохраняются нативные морфологические характеристики клеток, что проиллюстрировано нами на примере эмбриональных тканей мыши и вьюна. Преимущества проводки в ПЭГ по сравнению с парафином наиболее отчётливо проявляются при работе с большими (×400–1000) увеличениями микроскопа при изучении цитологических характеристик клеток. Ткани, залитые в ПЭГ, обладают более высокой детализацией цитоплазматических структур, общей формы клеток и рисунка хроматина на срезах тканей мыши. На срезах личинок вьюна, заключённых в ПЭГ и парафин, не наблюдается характерных различий в рисунке хроматина в ядрах, что может объясняться стадией развития (96 ч) или видоспецифичными особенностями.
Описанные свойства ПЭГ, несомненно, открывают дополнительные возможности для более точного анализа внутриклеточной локализации отдельных белков и нуклеиновых кислот на гистологических срезах.
По сравнению с парафином, ПЭГ выгодно отличается отсутствием необходимости просветления образцов в неполярных органических растворителях, а также низкой температурой плавления, что уменьшает риск маскирования антигенов. Кроме того, нет необходимости в длительной сушке ПЭГ-срезов для обеспечения их адгезии к поверхности стекла, в отличие от парафиновых срезов. Описанные процедуры проводки и окрашивания были опробованы нами на различных тканях с хорошей воспроизводимостью.
Резюмируя полученные результаты, можно заключить, что применение ПЭГ в качестве гистологической среды для пропитки образцов является ценным дополнением к арсеналу инструментов, используемых в современных гистологических и эмбриологических исследованиях.
ДОПОЛНИТЕЛЬНАЯ ИНФОРМАЦИЯ
Вклад авторов. С.А. Антонов — разработка метода, сопоставление результатов с работами в соответствующей области; Т.А. Курбатова — получение микрофотографий и их анализ; И.В. Макарова — подготовка образцов; В.Н. Сухоруков — подготовка текста и редактирование статьи. Все авторы одобрили рукопись (версию для публикации), а также согласились нести ответственность за все аспекты работы, гарантируя надлежащее рассмотрение и решение вопросов, связанных с точностью и добросовестностью любой её части.
Этическая экспертиза. Работа проведена на архивном материале и не требует дополнительного разрешения этической комиссии согласно постановлению этической комиссии Института Молекулярной Генетики НИЦ «Курчатовский Институт» № 12–2021.
Источники финансирования. Авторы заявляют об отсутствии внешнего финансирования при проведении работы.
Раскрытие интересов. Авторы заявляют об отсутствии отношений, деятельности и интересов за последние три года, связанных с третьими лицами (коммерческими и некоммерческими), интересы которых могут быть затронуты содержанием статьи.
1 The Human Protein Atlas. Available from: https://www.proteinatlas.org
Об авторах
Станислав Анатольевич Антонов
Российский научный центр хирургии им. акад. Б.В. Петровского; Научно-исследовательский институт общей патологии и патофизиологии
Автор, ответственный за переписку.
Email: vamore@inbox.ru
ORCID iD: 0000-0002-6866-7077
SPIN-код: 4179-8625
канд. биол. наук
Россия, Москва; МоскваТатьяна Андреевна Курбатова
Научно-исследовательский институт общей патологии и патофизиологии
Email: nami.shimizu@mail.ru
ORCID iD: 0009-0002-2452-1356
SPIN-код: 3077-3479
Россия, Москва
Ирина Владимировна Макарова
Национальный исследовательский центр «Курчатовский институт»
Email: ivmak77@yandex.ru
ORCID iD: 0000-0002-1721-7068
канд. биол. наук
Россия, МоскваВасилий Николаевич Сухоруков
Российский научный центр хирургии им. акад. Б.В. Петровского; Научно-исследовательский институт общей патологии и патофизиологии
Email: vnsukhorukov@gmail.com
ORCID iD: 0000-0002-0312-3773
SPIN-код: 1609-9295
канд. биол. наук
Россия, Москва; МоскваСписок литературы
- van der Lem T, de Bakker M, Keuck G, Richardson MK. Wilhelm His Sr. and the development of paraffin embedding. Pathologie. 2021;42(suppl 1):55–61. doi: 10.1007/s00292-021-00947-4
- Nuovo GJ. In situ molecular pathology and co-expression analyses. 2nd ed. Academic Press; 2020.
- Miles AE, Linder JE. Polyethylene glycols as histological embedding media: with a note on the dimensional change of tissue during embedding in various media. J R Microsc Soc. 1952;72(4):199–213. doi: 10.1111/j.1365-2818.1952.tb02336.x
- Wang Z, Zhang S, Pu Y, et al. Accuracy of cone-beam computed tomography for the evaluation of mandible invasion by oral squamous cell carcinoma. BMC Oral Health. 2021;21(1):226. doi: 10.1186/s12903-021-01567-3
- Vaganova AN. Histotechnical solutions to improve the quality of nucleic acid preparations from paraffin blocks. Genes and cells. 2014;9(2):96–101.
- Uhlén M, Fagerberg L, Hallström BM, et al. Proteomics. Tissue-based map of the human proteome. Science. 2015;347(6220):1260419. doi: 10.1126/science.1260419
- Bard JB, Ross AS. Improved method for making high-affinity sections of soft tissue embedded in polyethylene glycol (PEG): its use in screening monoclonal antibodies. J Histochem Cytochem. 1986;34(9):1237–1241. doi: 10.1177/34.9.3734422
- Wolosewick JJ. The application of polyethylene glycol (PEG) to electron microscopy. J Cell Biol. 1980;86(2):675–761. doi: 10.1083/jcb.86.2.675
- Klosen P, Maessen X, van den Bosch de Aguilar P. PEG embedding for immunocytochemistry: application to the analysis of immunoreactivity loss during histological processing. J Histochem Cytochem. 1993;41(3):455–463. doi: 10.1177/41.3.8429209
- Smithson KG, MacVicar BA, Hatton GI. Polyethylene glycol embedding: a technique compatible with immunocytochemistry, enzyme histochemistry, histofluorescence and intracellular staining. J Neurosci Methods. 1983;7(1):27–41. doi: 10.1016/0165-0270(83)90016-X
- Miles AE, Linder JE. Polyethylene glycols as histological embedding media: with a note on the dimensional change of tissue during embedding in various media. J R Microsc Soc. 1952;72(4):199–213. doi: 10.1111/j.1365-2818.1952.tb02336.x
- Gao KX, Godkin JD. A new method for transfer of polyethylene glycol-embedded tissue sections to silanated slides for immunocytochemistry. J Histochem Cytochem. 1991;39(4):537–540. doi: 10.1177/39.4.2005376
- Clayton DF, Alvarez-Buylla A. In situ hybridization using PEG-embedded tissue and riboprobes: increased cellular detail coupled with high sensitivity. J Histochem Cytochem. 1989;37(3):389–393. doi: 10.1177/37.3.2918223
- Antonov SA, Novosadova EV, Kobylansky AG, et al. A hybrid detection method based on peroxidase-mediated signal amplification and click chemistry for highly sensitive background-free immunofluorescent staining. J Histochem Cytochem. 2019;67(10):771–782. doi: 10.1369/0022155419864113
- Asik K, Rao JL, Kirn JR. A method for exploring adult neurogenesis in the songbird brain. Cold Spring Harb Protoc. 2014;2014(12):1259–1266. doi: 10.1101/pdb.prot084590
Дополнительные файлы




