Сharacterization of the immune microenvironment’s cellular composition and its influence on gene expression during metaplastic changes of the gastric mucosa epithelium
- Authors: Slepov I.K.1, Emelin A.M.2, Deev R.V.2
-
Affiliations:
- North-Western State Medical University named after I.I. Mechnikov
- Petrovsky National Research Centre of Surgery
- Issue: Vol 161, No 4 (2023)
- Pages: 53-65
- Section: Original Study Articles
- URL: https://bakhtiniada.ru/1026-3543/article/view/264236
- DOI: https://doi.org/10.17816/morph.630350
- ID: 264236
Cite item
Abstract
BACKGROUND: Intestinal metaplasia of the gastric mucosa epithelium in chronic atrophic gastritis is considered a precancerous condition; however, it is potentially reversible. The study of the regulation mechanisms of metaplastic epithelial changes may help in understanding carcinogenesis and cancer prevention.
AIM: To determine whether the microenvironment is related to the development of gastric mucosa epithelium metaplasia in patients with chronic atrophic gastritis by assessing gene expression and cellular composition of immune infiltrates.
MATERIALS AND METHODS: In this retrospective cohort study, the alternative hypothesis was that the composition of the immune microenvironment of the gastric mucosa differed between cases with and without metaplastic changes in the epithelium. Biopsy specimens of the mucosa (n=38) obtained during endoscopic examination from five stomach sites (2 from the antrum, 2 from the body, and 1 from the corner) in patients with chronic atrophic gastritis of unspecified etiology and results of RNA sequencing of biopsy specimens of patients with chronic gastritis registered in the NCBI open database (n=12) were analyzed. Histological analysis, histochemical staining methods, and immunohistochemical study and morphometric, statistical, and bioinformatic analyses were performed.
RESULTS: The proportion of macrophages, T-cytotoxic lymphocytes, and plasmocytes increased in the samples with metaplastic changes of the gastric mucosa epithelium. A correlation was found between T-cytotoxic lymphocytes and risk for metaplasia. It was found that changes in the number of B cells, macrophages M2, T-regulatory cells and NK-cells are associated with increase in the expression of six genes most specific for intestinal-type epithelium.
CONCLUSION: The significant difference in the composition of the immune microenvironment between samples with and without metaplastic changes in the mucosal epithelium indicates the potential influence of immune cells on the development of metaplasia and progression of the pathological process along the Correa cascade. One of the mechanisms of regulation of metaplasia development by the microenvironment may be their influence on gene expression as an epigenetic factor.
Full Text
BACKGROUND
Intestinal metaplasia in the stomach is characterized by the progressive replacement of the gastric mucosa epithelium by the intestinal epithelium, which can be represented by absorptive, goblet, and Paneth cells. Such an impairment of tissue homeostasis is based on inflammation and atrophy, which are most often caused by chronic atrophic gastritis of various etiologies [1]. Intestinal metaplasia is deemed interesting; although it is a presumed precancerous condition, metaplasia nevertheless remains reversible with timely detection and adequate treatment [2]. At the cellular level, this process can be considered a change in the direction of differentiation of stem cells of the gastric mucosa epithelium, providing regeneration after injury. This is an impairment of physiological regeneration, a natural process of epithelial renewal. It involves proliferation, bipolar migration from the gland isthmus, and simultaneous differentiation of stem cells. These processes are regulated mainly by the notch transcription factor and the Wnt/b-catenin signaling pathway [3]. In physiological and pathological regenerations, the final cell phenotype is determined by the expression of certain genes, which is strictly regulated by epigenetic factors. Currently, researchers mainly focus on DNA methylation, noncoding RNA and the microenvironment, which includes the extracellular matrix, fibroblasts, immune cells, as well as cytokines, hormones, and other bioactive molecules.
Metaplastic changes in the epithelium of the gastric mucosa significantly alter the methylation landscape [4]. More than 14,000 CpG regions were hypermethylated, and 1,199 were hypomethylated in samples with intestinal metaplasia compared with that in samples without this process. Despite the change in promoter methylation, the expression was changed only in 15 and 13 genes with hypermethylation and hypomethylation, respectively. The hypermethylation of CDX2 promoter, a transcription factor involved in intestine formation during embryogenesis, did not affect its expression, which remained elevated more than twofold.
Among noncoding (nontranslated) RNAs, changes in the expression of microRNAs (miRNAs) in the presence of metaplastic changes in the epithelium of the gastric mucosa have been the most investigated. Increased abundance of miRNA-146a and miRNA-155 populations was revealed in samples with intestinal metaplasia [5]. Another study showed increased expression of miRNA-92a-1-5p, which has an inhibitory effect on FOXD1, thereby increasing the expression of the previously mentioned transcription factor CDX2 [6]. The miRNAs, whose expression was increased in gastrointestinal metaplasia, also included the miR-17-92 cluster, which is composed of seven miRNAs [7], as well as miRNA-584 and miRNA-1290 [8].
Thus far, the tissue microenvironment as an epigenetic factor has not been well studied. Macrophages of the M2 phenotype (CD163+) were studied in a mouse model with clodronate-induced macrophage deficiency and were proposed to stimulate the development of metaplasia with the expression of an antispasmodic peptide [9]. Fibroblasts were also evaluated as one of the regulatory elements involved in cell differentiation. Through the regulation of SHH expression, fibroblasts contribute to the pathological progression in the stomach along the Correa cascade through atrophy and metaplasia to gastric cancer [10].
Despite these studies, the relationship between the microenvironment and changes in gene expression that determine the acquisition of the intestinal phenotype by the gastric epithelium remains unclear. Review data on the role of the T-cell link of immunity in carcinogenesis indicate that its participation in the regulation of regeneration may be the key and manifest as an alteration of the differentiation process, which leads to atypia development [11]. Considering metaplasia as the initial stage of this pathway, T-lymphocytes are assumed to be involved in this process.
The study aimed to determine the differences in the composition of the immune infiltrate in gastric tissue samples with and without intestinal metaplasia and establish the relationship between the immune microenvironment and gene expression using bioinformatics tools to analyze transcriptomes available publicly.
An alternative hypothesis is that the composition of the immune microenvironment of the gastric mucosa in chronic atrophic gastritis differs in cases with and without metaplastic changes in the epithelium.
MATERIALS AND METHODS
The study employed an observational, one-stage, controlled, nonrandomized, single-center design. The object was mucosal biopsies (38 samples) obtained during an endoscopic examination from five areas (2 from the pyloric antrum, 2 from the body of the stomach, and 1 from the angular notch) of the stomach in patients with chronic atrophic gastritis of unknown etiology. Histological, immunohistochemical, and morphometric studies were performed on paraffin sections with the most pronounced atrophic or metaplastic changes in each case. If metaplasia was present in only one of the sites that site was taken for further analysis.
Atrophy and metaplasia were evaluated by staining sections with hematoxylin and eosin with the addition of Alcian blue. Atrophy was defined as a decrease in the number of glands characteristic of a given zone of the gastric mucosa [12], and metaplasia was defined as the presence of glands containing cells characteristic of the intestinal epithelium. Complete and incomplete metaplasia were distinguished by the presence or absence of Paneth cells. Pyloric metaplasia of the gastric body was not assessed in this study. The affiliation of the angular notch of the stomach with the body of the stomach or pyloric antrum was determined by the predominant phenotype of the glands.
Immunohistochemical study
Phenotyping of the infiltrate cells was performed by immunohistochemical testing. Sections (1 μm thick) were kept in a thermostat at 60 °C for 60 min. After deparaffinization in xylene and increasing concentrations of alcohol, the sections were boiled in 0.01 M citrate buffer for 30 min. Then, they were washed in PBS and hydrogen peroxide solution to block endogenous peroxidase for 30 min at 30 °C. Moreover, the sections with primary antibodies (Sigma-Aldrich, USA) to CD4 (104R-24, rabbit monoclonal antibodies), CD8 (108M-94, mouse monoclonal antibodies), CD20 (120M-84, mouse monoclonal antibodies), CD138 (138M-14, rabbit monoclonal antibodies), and CD68 (168M-94, mouse monoclonal antibodies) were kept in a thermostat at 30 °C for 60 min. After the incubation with the secondary antibody for 30 min and horseradish peroxidase for 20 min, the reaction with diaminobenzidine was performed, and sections were stained with hematoxylin. Membrane staining was described as the absence or presence of a reaction. Lymph node sections were used as a positive control, and the epithelium of the gastric mucosa in the examined sections was considered a negative control.
Morphometric analysis
For each preparation, 10 random fields of view were assessed at 200× magnification. Cells were counted separately in the gland stroma and epithelium. The positive stromal cell count was expressed as a proportion of the total number of infiltrate cells in one field of view. The intraepithelial positive cell count was expressed in units per 100 glandular epithelial cells. For further analysis, the mean value was calculated for each sample and antigen. The atrophy stage was calculated based on the OLGA criteria [13] for one localization where the sample was taken.
Statistical analysis
Statistical analysis was performed using the R programming language in RStudio v. 4.3.1 development environment. Group comparison by sex was performed using the chi-square test and age using the Wilcoxon test with Holm multiple-comparison correction. Immune infiltrates in the three groups were compared using the Wilcoxon test with Holm multiple-comparison correction. To determine the relationship between the development of intestinal metaplasia and cellular composition of the immune microenvironment, a generalized linear regression model with a binary response was used.
Bioinformatics analysis
The results of the RNA sequencing of the gastric tissue from patients with chronic gastritis with (n=12) and without (n=12) metaplasia were downloaded from the NCBI database (GSE191275) [14]. RNA was isolated from gastric tissue obtained as a result of gastrectomy or biopsy during gastroscopy. For each patient, the diagnosis was preliminarily verified by a pathologist. Tissue samples were incubated in RNAlater (Invitrogen, USA) at 4 °C overnight and then stored at –80 °C. After isolation and purification using TRIzol reagent (Invitrogen), RNA was fragmented, and reverse transcription was performed. The resulting cDNA was amplified by PCR and sequenced on an Illumina NovaSeq 6000 apparatus (LC-Bio Technologies Co., China).
To analyze differential expression between the groups, R v. 4.3.1 and DESeq2 v. 1.42.0 were used [15]. Functional analysis was performed using the R clusterProfiler v. 4.10.0 package [16]. The tissue microenvironment reconstructed the web version of Kassandra [17]. The LAD regression model was used to determine the relationship between the composition of the immune infiltrate and differential gene expression.
RESULTS
Characteristics of the cellular composition of the microenvironment
A total of 38 cases of chronic atrophic gastritis were analyzed. All patients were treated on an outpatient basis. Depending on the morphological changes in the gastric mucosa, they were divided into three groups comparable by sex and age (p >0.05), namely, in 19 cases, metaplastic changes in the epithelium of the gastric mucosa were determined (10 cases of complete metaplasia in the small intestine and 9 cases of incomplete metaplasia of the large intestine), and intestinal metaplasia was absent in 19 cases. Depending on the number of glands and their structure, stage I atrophy was established in 4 cases, stage II in 14, stage III in 13, and stage IV in 7. The ratios of atrophy stages and degree of inflammation within the groups are presented in Fig. 1.
Fig. 1. The ratio of different atrophy stages and inflammation degrees within the studied groups (%).
When assessing the composition of the microenvironment, the number of intraepithelial cells was insufficient for statistical analysis (approximately 0.1% for each cell phenotype in one sample); thus, they were excluded from the study. Table 1 presents the median and interquartile range of the proportion of stromal cells of each phenotype in different groups.
Table 1. Median and interquartile range (IQR) of the proportion of different cells in each group (%)
Таблица 1. Медиана и межквартильный размах (IQR) доли различных клеток в каждой группе, %
Cell subpopulation | Parameter | Group without epithelial metaplasia (n=19) | Group with complete epithelial metaplasia (n=10) | Group with incomplete epithelial metaplasia (n=9) |
CD68 | Median | 4,6 | 19,5 | 6,1 |
IQR | 1,85 | 7,1725 | 7,1 | |
CD4 | Median | 8,50 | 9,85 | 11,80 |
IQR | 5,25 | 3,05 | 12,50 | |
CD8 | Median | 17,7 | 35,4 | 26,7 |
IQR | 3,8 | 8,4 | 5,8 | |
CD20 | Median | 13,2 | 15,95 | 15,1 |
IQR | 9,35 | 13,375 | 6,0 | |
CD138 | Median | 2,8 | 5,25 | 16,7 |
IQR | 2,55 | 3,825 | 3,9 |
In each group of samples, the largest proportion was T-cytotoxic lymphocytes. The lowest value was recorded in plasma cells in groups without metaplasia and with complete metaplasia and in macrophages in the group with incomplete metaplasia. The Wilcoxon test was used to determine the differences in the composition of the cellular microenvironment between the groups. Significant differences were detected in the proportions of T-cytotoxic lymphocytes, macrophages, and plasma cells. The distribution of data and micrographs of samples from the groups for which significant differences were found are presented in Fig. 2. Representative micrographs are presented in Fig. 3.
Fig. 2. Data distribution and Wilcoxon test results with Holm`s correction for multiple comparisons: a - macrophages; b - T-cytotoxic lymphocytes; c - plasmocytes; ** p <0.01.
Fig. 3. Microphotographs of the gastric mucosa of patients with chronic atrophic gastritis without metaplasia — on the left, with intestinal metaplasia — on the right; ×200. Immunohistochemical study with primary antibodies to: a — CD68 (macrophages); b — CD8 (T-cytotoxic lymphocytes); c — CD138 (plasmocytes).
A generalized linear regression model with a binary response was constructed to determine the effect of different immune infiltrate cell phenotypes on the probability of metaplasia development. Significant results were demonstrated by the model with CD8+ cells as the only predictor. According to the results of the regression analysis, an increase in the proportion of T-cytotoxic lymphocytes is associated with a 2.35-fold increase in the probability of metaplasia development (p=0.022).
Analysis of differential gene expression
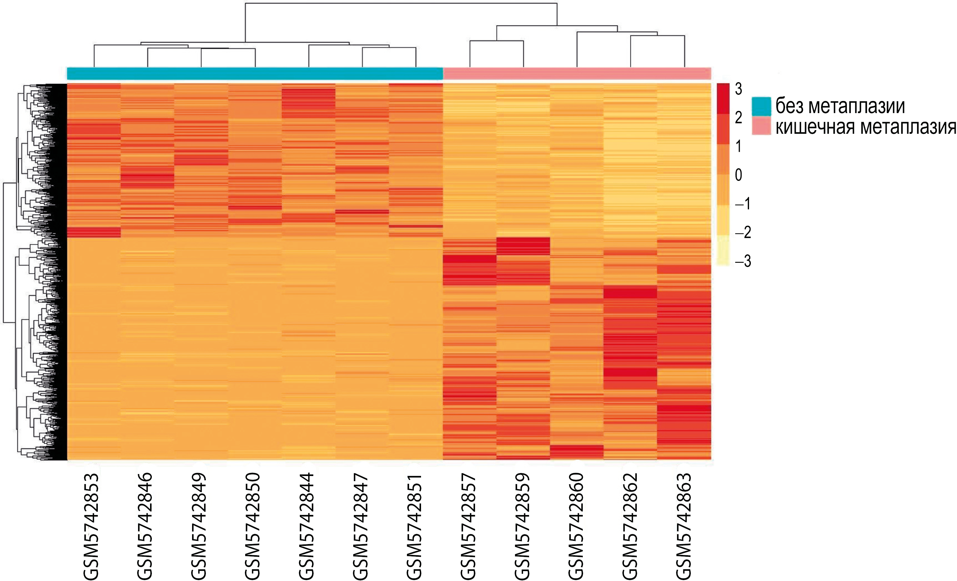
To detect genes which expression changes during the development of gastric mucosal epithelial metaplasia, differential gene expression analysis was performed. The quality of the samples was tested using principal component analysis. Eight transcriptomes were removed due to the presence of intermediate phenotypes. In 12 samples, 3118 genes with an expression change in >1.5 times in the metaplasia group were detected (Appendix 1), including 1843 genes with increased expression and 1275 with decreased expression (Fig. 4). Hierarchical cluster analysis revealed the presence of two patterns of genes, whose expression differs between the groups and allows dividing the samples into two clusters (Fig. 5). The 10 genes with the highest expression are presented in Table 2.
Fig. 4. Volcano plot of differential gene expression. Each point on the graph represents a gene. To the right of zero are genes whose expression is higher in the metaplasia group, and to the left — lower. Genes with a p <0.01 are marked in blue. Abbreviated names are noted for the 10 genes with the lowest p.
Fig. 5. Results of cluster analysis of differential gene expression.
Table 2. Results of differential gene expression analysis for the 10 genes with the lowest adjusted p values
Таблица 2. Результаты анализа дифференциальной экспрессии генов для 10 генов с наименьшими значениями скорректированного значения p
Gene | baseMean | log2FoldChange | lfcSE | p | padj |
MUC2 | 4952,58 | 11,58 | 0,39 | 8,30e–193 | 9,71e–189 |
MYO7B | 1733,83 | 7,08 | 0,28 | 2,82e–139 | 2,20e–135 |
CDH17 | 5445,62 | 8,07 | 0,33 | 4,21e–131 | 2,46e–127 |
FABP1 | 7913,35 | 10,26 | 0,46 | 4,17e–112 | 1,95e–108 |
CLDN3 | 324,80 | 5,13 | 0,24 | 1,69e–100 | 6,57e–97 |
CDX1 | 624,62 | 9,05 | 0,44 | 7,85e–94 | 2,62e–90 |
SPINK4 | 1303,95 | 9,31 | 0,46 | 7,45e–92 | 2,18e–88 |
HEPH | 1985,93 | 5,50 | 0.27 | 3,97e–90 | 1,03e–86 |
SLC39A5 | 641,22 | 5,34 | 0,27 | 5,24e–86 | 1,23e–82 |
OTOP3 | 366,19 | 7,02 | 0,36 | 1,36e–85 | 2,90e–82 |
Note: padj — p value, adjusted for multiple comparisons, baseMean — mean of normalized counts for all samples, log2FoldChange — log2 of the fold change in gene expression in the metaplasia group, lfcSE — standard error of log2FoldChange.
Примечание: padj — значение p с поправкой на множественные сравнения, baseMean — среднее значение нормализованных каунтов для всех образцов, log2FoldChange — двоичный логарифм кратности изменения экспрессии генов в группе метаплазии, lfcSE — стандартная ошибка значения log2FoldChange.
Functional analysis was performed using the Gene Ontology database [18]. Biological processes, molecular functions, and cellular components that involve genes whose expression differs in the metaplasia group were identified. In total, 787 biological processes, 128 molecular functions, and 69 cellular components were identified (Appendix 2). According to the results of the analysis, the largest number of genes with increased expression in the metaplasia group was involved in metabolic processes and immune response. Ten patterns involving the largest number of genes are presented in Fig. 6 for each group.
Fig. 6. 10 patterns involving the largest number of genes in each Gene Ontology group.
To determine the relationship between the proportion of cells of different phenotypes and gene expression, deconvolution of the microenvironment composition was performed based on the identified transcriptomes (Fig. 7). Out of 10 genes with the highest hyperexpression in the intestinal metaplasia group, 6 associated with the intestinal phenotype of the epithelium were selected. A LAD regression model was created for each. All phenotypes of immune microenvironment cells, except neutrophils, were used as predictors because their presence is characteristic of the acute inflammatory process (Appendix 3).
Fig. 7. Deconvolution`s results of RNA-seq data. The first five samples belong to the group of intestinal metaplasia (highlighted with a red frame), the rest — to the group without metaplasia.
DISCUSSION
Carcinogenesis is a series of successive events leading to the acquisition by cells of biological characteristics of cancer, which are morphologically defined as invasive growth, as well as tissue and cellular atypia. For gastric cancer, Pelayo Correa presented a sequence of states connecting normal and tumor tissues. It includes atrophy, metaplasia, and dysplasia [19]. Each state is morphologically divided into several developmental stages. In the case of atrophy, stages are distinguished; in metaplasia, types are distinguished; and in dysplasia, grades are distinguished [20]. Such division is aimed not only at diagnosing the disease stage but also at determining its malignant potential [21]. For example, the colonic type demonstrated the greatest potential for malignancy among metaplastic changes in the gastric epithelium [22].
In our work, differences were revealed for macrophages, T-cytotoxic lymphocytes, and plasma cells during the analysis of the tissue microenvironment. The proportion of macrophages was higher in the group with complete metaplasia than that without metaplasia. These data are consistent with the results of the study by B. Song et al. [23], where the increase in the proportion of macrophages occurs mainly due to the M0 phenotype, which is usually considered nonpolarized macrophages. CP Petersen et al. [24] showed that the blockade of IL-33 and IL-13 expression in a mouse model reduced the incidence of metaplasia with the expression of spasmolytic peptide, reducing the number of M2a macrophages. This type of metaplasia is considered a precursor to intestinal metaplasia. The exact mechanisms that would explain how macrophages can regulate metaplasia development are unknown. They are assumed to influence the expression of genes as such TFF3, CFTR, and DMBT1 [9].
An increase in the proportion of T-cytotoxic lymphocytes was also revealed in groups with complete and incomplete metaplasia than in the group without it. Currently, no literature data confirm these results. Conversely, Ohtani et al. [25] revealed opposite results, showing a decrease in the number of T-cytotoxic lymphocytes as metaplasia emerged. Nevertheless, the results of the regression analysis performed to analyze metaplasia development and expression of the 10 most overexpressed genes in the group with metaplasia revealed the significance of this phenotype of immune cells. The differences in the results can be due to the fact that N. Ohtani et al. [25] did not consider the control group without metaplasia but compared different degrees of severity of this process, moderate and severe. Conversely, this allows for the assumption that T-cytotoxic lymphocytes are important at the early stages of cell differentiation impairment during regeneration. The question of specific mechanisms remains open. The direct cytotoxic effect on damaged epithelial cells, increasing the volume of tissue regeneration, can be the main mechanism.
Plasma cells are another cell phenotype for which a difference was found between the groups with epithelial metaplasia and without metaplasia. R. Wang et al. obtained similar results [26]. The predominance of the proportion of IgA-secreting plasma cells was most often noted in precancerous lesions of the gastric epithelium compared with that in normal epithelium and cancer.
The secretion of mucins by goblet cells, which are high-molecular glycoproteins that form an insoluble mucous barrier, is one of the markers of intestinal metaplasia development of the epithelium of the gastric mucosa. Their mainly protect the intestinal mucosal epithelium from the acidic contents coming from the stomach. A method of distinguishing small and large intestinal metaplasia, not used in routine clinical practice, is immunohistochemical reaction with antibodies to mucins, namely, MUC2, which is characteristic of complete metaplasia. MUC2, MUC5AC, and MUC6 are characteristic of large intestinal metaplasia [27]. In this study, MUC2 had the highest expression level in the metaplasia group. This gene is involved in 11 biological processes, 2 cellular components, and molecular functions that were enriched in our analysis. Interestingly, MUC2 is involved in “toxic substance response,” defined in Gene Ontology as “a process that results in a change in the state or activity of a cell or organism (in terms of movement, secretion, enzyme production, gene expression, etc.) as a result of a toxic irritant.” This explains that MUC2 overexpression is a response to increased acidity of the gastric contents and disruption of the mucous barrier, which often occurs in the context of gastritis caused by H. pylori [28].
MYO7B is another gene whose product has high specificity for the intestinal epithelium and whose expression was significantly increased in the intestinal metaplasia group. It encodes a protein that is part of the microvilli of the brush border of enterocytes [29].
Increased CDH17 expression was also noted in the metaplasia group. Its product is a known protein of intercellular contacts, thereby performing a structural function and maintaining the architectonics of the intestinal mucosa. It is also involved in the transport of peptides across the intestinal wall [30]. CDH17 is also necessary for the survival of memory B cells [31]. Of the 17 biological processes detected with involvement of CDH17, 11 were associated with the immune response; 5 of them were responsible for the regulation of B-cell differentiation and survival.
The transport of substances is one of the main functions of the intestine. Products of HEPH and SLC39A5 are responsible for the absorption of minerals from the intestinal lumen. Our results revealed that their expression was also significantly increased in the metaplasia group. This reflects a significant change in the protein composition of the apical membrane of metaplastically altered gastric cells.
CDX1 encodes a transcription factor that regulates the expression of genes specific to the small and large intestines. Its expression is characteristic exclusively of intestinal cells of various phenotypes [32]. It was found to correlate with the severity of metaplasia and consistently increased when moving along the Correa cascade from metaplasia to dysplasia and gastric cancer [33].
During the regression analysis, a significant relationship was detected among all six genes specific to the intestinal epithelium. Most often, an increase in gene expression in the metaplasia group was associated with an increase in the proportion of M2 macrophages, B lymphocytes, T-regulatory lymphocytes, and NK cells. In modern studies, T-regulatory lymphocytes are considered more often a target for epigenetic regulation than its source. The results of this study show the opposite. These data are indirectly confirmed by the results of B. Kindlund et al. [34] and previously mentioned by B. Song et al. [23], who found increased number of T-regulatory cells during the development of metaplasia.
The exact mechanisms by which cells of the immune microenvironment can influence gene expression in epithelial cells are unknown. However, the TGF-β they secreted is significantly involved in this process, which, by interacting with the responsible receptors on the cell surface, can activate the transcription factor SMAD, which regulates gene expression. This hypothesis is supported by the results of A. Negovan et al. [35], who showed that the TGF-β1 mutation reduces the incidence of intestinal metaplasia against chronic atrophic gastritis.
CONCLUSION
The analysis results reveal a significant involvement of the cellular immune microenvironment in metaplasia development. This occurs mainly due to the epigenetic effect on the expression of genes of the epithelial cells of the gastric mucosa during regeneration in presence of chronic damage. However, the role of other epigenetic processes, such as changes in chromatin conformation and profile of topologically associated domains, in the regulation of differentiation cannot be ruled out. In addition, no precise data can define the mechanisms of the effect of immune cells on the expression of epithelial genes. Further studies in the field of epigenetics and molecular biology may shed light on the processes underlying the disruption of the direction of differentiation of gastric cells, called metaplasia.
Additional information
Funding source. This study was not supported by any external sources of funding.
Competing interests. The authors declare that they have no competing interests.
Authors’ contribution. All authors made a substantial contribution to the conception of the work, acquisition, analysis, interpretation of data for the work, drafting and revising the work, final approval of the version to be published and agree to be accountable for all aspects of the work. I. K. Slepov — collection and analysis of literature, bioinformatics analysis, morphological and morphometric analysis, preparation and writing of the article; A. M. Emelin — immunohistochemical study of samples; R. V. Deev — supervision and quality control of the study.
About the authors
Iurii K. Slepov
North-Western State Medical University named after I.I. Mechnikov
Author for correspondence.
Email: slepovurij95@gmail.com
ORCID iD: 0000-0003-3498-4573
SPIN-code: 5430-7130
Russian Federation, Saint Petersburg
Aleksey M. Emelin
Petrovsky National Research Centre of Surgery
Email: eamar40rn@gmail.com
ORCID iD: 0000-0003-4109-0105
SPIN-code: 5605-1140
Russian Federation, Moscow
Roman V. Deev
Petrovsky National Research Centre of Surgery
Email: romdey@gmail.com
ORCID iD: 0000-0001-8389-3841
SPIN-code: 2957-1687
MD, Cand. Sci. (Medicine), Assistant Professor
Russian Federation, MoscowReferences
- Goldenring JR, Mills JC. Cellular plasticity, reprogramming, and regeneration: metaplasia in the stomach and beyond. Gastroenterology. 2022;162(2):415–430. doi: 10.1053/j.gastro.2021.10.036
- Banks M, Graham D, Jansen M, et al. British Society of Gastroenterology guidelines on the diagnosis and management of patients at risk of gastric adenocarcinoma. Gut. 2019;68(9):1545–1575. doi: 10.1136/gutjnl-2018-318126
- Wizenty J, Tacke F, Sigal M. Responses of gastric epithelial stem cells and their niche to Helicobacter pylori infection. Ann Transl Med. 2020;8(8):568. doi: 10.21037/atm.2020.02.178
- Fritsche K, Boccellato F, Schlaermann P, et al. DNA methylation in human gastric epithelial cells defines regional identity without restricting lineage plasticity. Clin Epigenetics. 2022;14(1):193. doi: 10.1186/s13148-022-01406-4
- Cortés-Márquez AC, Mendoza-Elizalde S, Arenas-Huertero F, et al. Differential expression of miRNA-146a and miRNA-155 in gastritis induced by Helicobacter pylori infection in paediatric patients, adults, and an animal model. BMC Infect Dis. 2018;18(1):463. doi: 10.1186/s12879-018-3368-2
- Li T, Guo H, Li H, et al. MicroRNA-92a-1-5p increases CDX2 by targeting FOXD1 in bile acids-induced gastric intestinal metaplasia. Gut. 2019;68(10):1751–1763. doi: 10.1136/gutjnl-2017-315318
- Li H, Wu Q, Li T, et al. The miR-17-92 cluster as a potential biomarker for the early diagnosis of gastric cancer: evidence and literature review. Oncotarget. 2017;8(28):45060–45071. doi: 10.18632/oncotarget.15023
- Zhu Y, Jiang Q, Lou X, et al. MicroRNAs up-regulated by CagA of Helicobacter pylori induce intestinal metaplasia of gastric epithelial cells. PLoS One. 2012;7(4): e35147. doi: 10.1371/journal.pone.0035147
- Petersen CP, Weis VG, Nam KT, et al. Macrophages promote progression of spasmolytic polypeptide-expressing metaplasia after acute loss of parietal cells. Gastroenterology. 2014;146(7):1727–38.e8. doi: 10.1053/j.gastro.2014.02.007
- Konstantinou D, Bertaux-Skeirik N, Zavros Y. Hedgehog signaling in the stomach. Curr Opin Pharmacol. 2016;31:76–82. doi: 10.1016/j.coph.2016.09.003
- Slepov YK, Laushkin MA, Deev RV. The hipotises of the immune system’s role in carcinogenesis. Genes & cells. 2021;16(1):82–91. EDN: KQUADU doi: 10.23868/202104013
- Aruin LI, Kononov AV, Mozgovoj SI. New classification of chronic gastritis. Omsk: D-Grafiks; 2009. 18 p. EDN: YNHYJF
- Rugge M, Correa P, Di Mario F, et al. OLGA staging for gastritis: a tutorial. Dig Liver Dis. 2008;40(8):650–658. doi: 10.1016/j.dld.2008.02.030
- Li A, Li Y, Li Y, et al. Identification and validation of key genes associated with pathogenesis and prognosis of gastric cancer. PeerJ. 2023;11: e16243. doi: 10.7717/peerj.16243
- Love MI, Huber W, Anders S. Moderated estimation of fold change and dispersion for RNA-seq data with DESeq2. Genome Biol. 2014;15(12):550. doi: 10.1186/s13059-014-0550-8
- Wu T, Hu E, Xu S, et al. clusterProfiler 4.0: a universal enrichment tool for interpreting omics data. Innovation (Camb). 2021;2(3):100141. doi: 10.1016/j.xinn.2021.100141
- Zaitsev A, Chelushkin M, Dyikanov D, et al. Precise reconstruction of the TME using bulk RNA-seq and a machine learning algorithm trained on artificial transcriptomes. Cancer Cell. 2022;40(8):879–894.e16. doi: 10.1016/j.ccell.2022.07.006 https://geneontology.org/ [Internet]. Gene ontology resource. [cited: 2024 Mar 25]. Available from: https://geneontology.org/
- Correa P. Human gastric carcinogenesis: a multistep and multifactorial process — First American Cancer Society award lecture on cancer epidemiology and prevention. Cancer Res. 1992;52(24):6735–6740.
- Pennelli G, Grillo F, Galuppini F, et al. Gastritis: update on etiological features and histological practical approach. Pathologica. 2020;112(3):153–165. doi: 10.32074/1591-951X-163
- Huang RJ, Choi AY, Truong CD, et al. Diagnosis and management of gastric intestinal metaplasia: current status and future directions. Gut Liver. 2019;13(6):596–603. doi: 10.5009/gnl19181
- Piazuelo MB, Bravo LE, Mera RM, et al. The Colombian Chemoprevention Trial: 20-year follow-up of a cohort of patients with gastric precancerous lesions. Gastroenterology. 2021;160(4):1106–1117.e3. doi: 10.1053/j.gastro.2020.11.017
- Song B, Li T, Zhang Y, et al. Identification and verification of ferroptosis-related genes in gastric intestinal metaplasia. Front Genet. 2023;14:1152414. doi: 10.3389/fgene.2023.1152414
- Petersen CP, Meyer AR, De Salvo C, et al. A signalling cascade of IL-33 to IL-13 regulates metaplasia in the mouse stomach. Gut. 2018;67(5):805–817. doi: 10.1136/gutjnl-2016-312779
- Ohtani N, Ohtani H, Nakayama T, et al. Infiltration of CD8+ T cells containing RANTES/CCL5+ cytoplasmic granules in actively inflammatory lesions of human chronic gastritis. Lab Invest. 2004;84(3):368–375. doi: 10.1038/labinvest.3700039
- Wang R, Song S, Qin J, et al. Evolution of immune and stromal cell states and ecotypes during gastric adenocarcinoma progression. Cancer Cell. 2023;41(8):1407–1426.e9. doi: 10.1016/j.ccell.2023.06.005
- Battista S, Ambrosio MR, Limarzi F, et al. Molecular alterations in gastric preneoplastic lesions and early gastric cancer. Int J Mol Sci. 2021;22(13):6652. doi: 10.3390/ijms22136652
- Kusters JG, van Vliet AH, Kuipers EJ. Pathogenesis of Helicobacter pylori infection. Clin Microbiol Rev. 2006;19(3):449–490. doi: 10.1128/CMR.00054-05 https://www.ncbi.nlm.nih.gov/ [Internet]. NCBI. MYO7B myosin VIIB [Homo sapiens (human)] [cited: 2024 Mar 25]. Available from: https://www.ncbi.nlm.nih.gov/gene/4648#gene-expression https://www.uniprot.org/ [Internet]. UniProt [cited: 2024 Mar 25]. Available from: https://www.uniprot.org/uniprotkb/Q12864/entry#function
- Funakoshi S, Shimizu T, Numata O, et al. BILL-cadherin/cadherin-17 contributes to the survival of memory B cells. PLoS One. 2015;10(1): e0117566. doi: 10.1371/journal.pone.0117566 https://www.ncbi.nlm.nih.gov/ [Internet]. NCBI. CDX1 caudal type homeobox 1 [Homo sapiens (human)] [cited: 2024 Mar 25]. Available from: https://www.ncbi.nlm.nih.gov/gene/1044#summary
- Kang JM, Lee BH, Kim N, et al. CDX1 and CDX2 expression in intestinal metaplasia, dysplasia and gastric cancer. J Korean Med Sci. 2011;26(5):647–653. doi: 10.3346/jkms.2011.26.5.647
- Kindlund B, Sjöling A, Hansson M, et al. FOXP3-expressing CD4(+) T-cell numbers increase in areas of duodenal gastric metaplasia and are associated to CD4(+) T-cell aggregates in the duodenum of Helicobacter pylori-infected duodenal ulcer patients. Helicobacter. 2009;14(3):192–201. doi: 10.1111/j.1523-5378.2009.00673.x
- Negovan A, Iancu M, Tripon F, et al. Cytokine TGF-β1, TNF-α, IFN-γ and IL-6 gene polymorphisms and localization of premalignant gastric lesions in immunohistochemically H. pylori-negative patients. Int J Med Sci. 2021;18(12):2743–2751. doi: 10.7150/ijms.60517
Supplementary files








