Immunohistochemical study of the nervous structures of the mediastinal organs
- Authors: Chumasov E.I.1,2, Petrova E.S.1
-
Affiliations:
- Institute of Experimental Medicine
- Saint Petersburg State University of Veterinary Medicine
- Issue: Vol 161, No 4 (2023)
- Pages: 23-32
- Section: Original Study Articles
- URL: https://bakhtiniada.ru/1026-3543/article/view/264233
- DOI: https://doi.org/10.17816/morph.629184
- ID: 264233
Cite item
Abstract
BACKGROUND: No studies have sufficiently evaluated the innervation of the mediastinal organs in the P1 period when the blood circulation switches from placental to pulmonary and the regulation of respiration and functioning of the cardiovascular system begin.
AIM: This study aimed to conduct a comparative immunohistochemical analysis of the innervation of the mediastinal organs of newborn rats.
MATERIALS AND METHODS: Immunohistochemical methods were employed for identifying neuronal markers: PGP 9.5 protein, tyrosine hydroxylase, and synaptophysin. Primary antibodies were applied to mediastinal sections after they had been deparaffinized.
RESULTS: Analysis of frontal sections of the cardiopulmonary complex of rats at P1 showed that the bronchi, esophagus, great vessels (aorta and pulmonary artery trunks), veins (pulmonary and caval), adipose tissue, lymph nodes, lung fragments, and heart occupied the upper and middle sections of the mediastinum. Closely adjacent parasympathetic and sympathetic ganglia, microganglia, nerve trunks, and plexuses of nerve fibers were identified using neuronal markers in the interstitium between organs. In the upper and middle mediastinum of newborn rats, synaptic structures were identified in the ganglia and paraganglia, mixed lobules of adipose tissue, esophageal and bronchial wall, around small arteries and arterioles for the first time using immunohistochemical methods.
CONCLUSION: This comparative study revealed that in the early period of postnatal development of rats, the walls of the esophagus, trachea, and main bronchi are most innervated in the mediastinum; in the myocardium and lungs, these nervous apparatuses are typically rare or absent. A high concentration of synaptic structures in the conducting myocardium has been described.
Full Text
BACKGROUND
Studies focusing on the pericardial region using neurohistological and histochemical methods and electron microscopy have described the presence of different nerve structures, such as the ganglia, paraganglia, nerve plexuses, and myelinated and unmyelinated nerve conductors [1–4]. Nerve fibers from various parts of the peripheral nervous system, including the sympathetic and parasympathetic links of the autonomic nervous system, are involved in the innervation of tissues and organs of the dorsal and middle mediastinum (DMMS) of animals and humans [5]. In recent decades, in addition to classical light-optical neurohistological methods and electron microscopy, immunohistochemical (IHC) methods have been widely employed. They allow for the selective detection of nerve structures of various mediating forms in different parts of the cardiovascular, respiratory, and digestive systems in both normal and pathological conditions [6–9]. Using humans and experimental animals, researchers pay the greatest attention to the innervation of the heart and great blood vessels [6, 7, 10, 11]; however, the innervation of other vital anatomical structures localized in the DMMS (bronchi, esophagus, pulmonary and vena cava, and adipose tissue) remains less investigated. In addition, the development of DMMS innervation is established in newborns when the blood circulation process switches from placental to pulmonary and in the first days of postnatal development when the regulation of respiration and functioning of the cardiovascular system. In previous studies on rats using IHC markers that allow the comprehensive study of neurons, nerve plexuses, nerve fibers, and terminals of the parasympathetic and sympathetic nervous system (PGP 9.5 protein, tyrosine hydroxylase, and synaptophysin), this study paid attention mainly to the heart [9, 11].
The work aimed to perform a comparative IHC study of the innervation features of the mediastinal organs of a newborn rat.
MATERIALS AND METHODS
An experimental single-center, one-stage, selective, uncontrolled study was performed. Wistar rats aged 1 day after birth were included.
The study objects were the organs and tissues of the mediastinum of Wistar rats aged 1 day (P1) (n =10). When experimenting with animals, the international rules of the European Community for the humane treatment of experimental animals were observed. The study was approved by the Local Ethics Committee of the Institute of Experimental Medicine (Protocol No. 2/22 dated April 6, 2022).
The material was fixed in a zinc ethanol formaldehyde solution for 1 day [12] and, after dehydration in alcohols of increasing concentrations and xylene, the samples were embedded in paraffin. Paraffin frontal sections through the cardiopulmonary complex with a thickness of 5–7 μm were made using a Pfm Rotary 3,003 rotary microtome (PFM Medical, Germany). After deparaffinization, IHC reactions for tyrosine hydroxylase, PGP 9.5 protein, and synaptophysin were performed on the sections. Tyrosine hydroxylase, an enzymatic marker of catecholaminergic structures, was detected using rabbit polyclonal antibodies (Abcam, UK). Polyclonal rabbit antibodies (Spring Bioscience, USA) were used to detect PGP 9.5 protein. Polyclonal rabbit antibodies (MONOSAN, Netherlands) were used to detect synaptophysin. Primary antibodies were applied to histological sections for 24 h. Reagents from the UltraVision Quanto Detection System HRP DAB kit (Thermo Fisher Scientific, USA) were used as secondary reagents. Some sections were stained with toluidine blue, hematoxylin and eosin, and aster blue. Histological preparations were analyzed under a Leica DM750 microscope (Leica Microsystems, Germany) and a Leica ICC50 digital camera (Leica Microsystems, Germany).
RESULTS
Before the morphological analysis, the number of topographic features reflecting the general macroscopic presentation of the DMMS in newborn rats was assessed. Using the histological preparations stained with hematoxylin and eosin or toluidine blue, at low magnification of the microscope (×40) on longitudinal sections, most organs of the mediastinum, including the heart, were visible. The trunks of the vagus and recurrent nerves, main bronchi, great venous and arterial vessels, fragments of the esophagus, lymph nodes, and ganglia were clearly defined on the sections. Spaces between organs were filled with fascicular–cellular elements of loose connective tissue, forming lobules of adipose tissue and vessels of the microcirculatory bed (Fig. 1).
Fig. 1. Organs of the mediastinum of a newborn rat: B — bronchi, E — esophagus, M — atrial myocardium, HV — heart valve, PA — pulmonary artery, LN — lymph node, AT — adipose tissue, v — veins, N — nerve trunks, G — atrial ganglion. Immunohistochemical reaction to PGP 9.5 (a), to tyrosine hydroxylase (b); hematoxylin (a), toluidine blue (b); ×40.
IHC analysis helped in establishing important features and patterns of innervation of organs and tissues of the DMMS. Ganglia, nerve trunks, and bundles of nerve fibers are found in different areas of the fascicular connective tissue, forming plexuses of varying densities. Using the IHC reaction for the PGP 9.5 protein and tyrosine hydroxylase, they have different biochemical status, cholinergic and/or sympathetic nature (Fig. 1). In the mediastinal region of newborn rats, nervous apparatuses with morphological signs of maturity and immature structures in a state of growth and development were found. The innervation of the esophageal wall, sinoatrial node of the heart, and ganglion of the bronchial plexus was sufficiently differentiated. At this stage of development, neuroblasts and young neurons of small sizes with a narrow rim of cytoplasm and undeveloped chromatophilic substance were seen in nearly all ganglia. In such ganglia, no mature pericellular synaptic plexuses were found around the neurons yet; however, separate clusters of presynaptic boutons of interneuronal synapses already existed.
In the nerve plexuses of the DMMS, along with the large ganglia, microganglia, islets, and groups of chromaffin cells were detected. Several large ganglia, reaching 150–300 μm in length, were constantly detected between the main bronchi and pulmonary veins. Fig. 2 presents one of the cardiac nerve nodes, closely adjacent to the posterior wall of the myocardium between the right and left atria. Above it, two main bronchi and vein profiles are visible (Fig. 1).
Fig. 2. Neural structures in the newborn rat mediastinum: ↑↑ — differentiating synapses of preganglionic fibers on TH–/PGP 9.5+ ganglion neurons (G), * TH-immunonegative neurons in the sympathetic nerve trunk. Immunohistochemical reactions to PGP 9.5 protein (а, d), synaptophysin (b) and tyrosine hydroxylase (c); ×400. TH — tyrosine hydroxylase.
The ganglion is elongated and consists of several rows of round and pear-shaped differentiating PGP 9.5+, neuroblasts of various sizes and young neurons, and branching bundles of parasympathetic nerve fibers. In one case, a ganglion with tyrosine hydroxylase-immunonegative neurons to tyrosine hydroxylase was detected in the sympathetic trunk (Fig. 2c). In different parts of the DMMS (in the area of the venous sinus, between the aorta and pulmonary trunk, around the main bronchi, on the posterior atrial wall, near the pulmonary veins, and between the trachea, esophagus, and pulmonary trunk), nerve nodes consisted exclusively of parasympathetic nerve elements, namely, neuroblasts and young neurons of round, triangular, and irregular shape (Fig. 2d). At this stage of development, using the synaptophysin marker, synapses are already forming on the neurons of the parasympathetic ganglia (Fig. 2b).
In the mediastinum of P1 rats, the forming ganglionic plexus is clearly visible on cross-sections through the esophagus (Fig. 3). Numerous bundles of PGP 9.5+ nerve fibers were also noted in the connective tissue surrounding the esophagus, on the border with other organs, such as the bronchi, pulmonary arteries, and veins.
Fig. 3. Nervous structures in the wall of the esophagus of a newborn rat in the mediastinum. MM — mucous membrane, SM — submucosa, M — muscular shell of the esophageal wall; * nerve cells of the Auerbach plexus; ↑↑ — bundles of nerve fibers. Immunohistochemical reaction to PGP protein 9.5; ×40 (а), ×100 (b), ×400 (c).
Loose connective tissues in the DMMS also comprise numerous lobules of adipose tissue, whose cellular elements have different degrees of differentiation and innervation. Some lobules are represented by rounded “epithelial bodies,” with sizes reaching 150–200 μm in diameter. These lobules contain preadipocytes (precursor cells of presumptive adipose tissue) and are similar in structure to the glandular tissue. “Body” cells have a hyperchromatic nucleus and large cytoplasmic volume. The other part of the lobules consists of mixed adipose tissue (brown and white). Some lobules consisted of differentiated, predominantly white, adipocytes (Fig. 4). Bundles of nerve fibers and branches of terminal axons were visible in the parenchyma of the lobules.
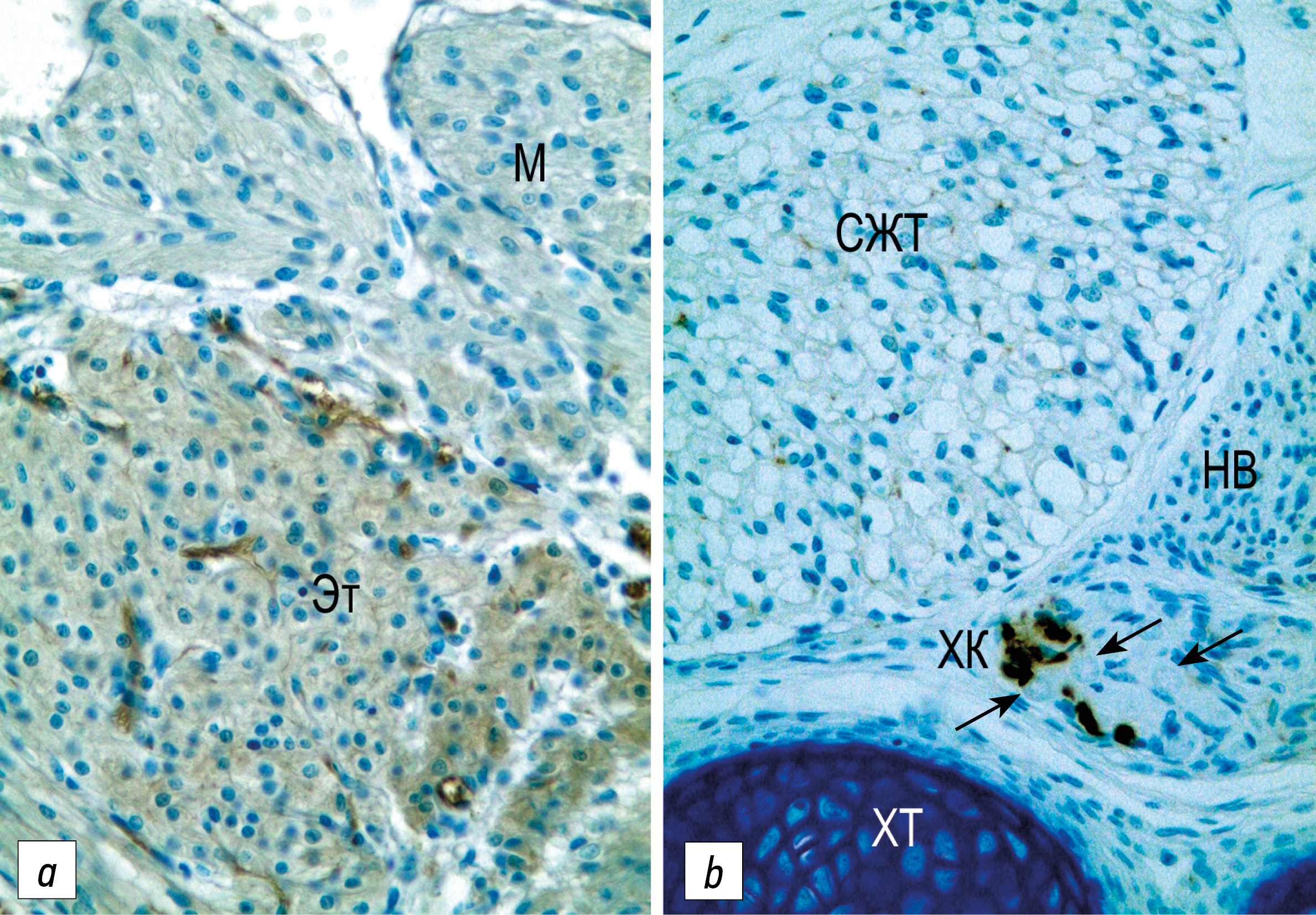
Fig. 4. Fragments of adipose tissue of a newborn rat mediastinum, at different stages of its functional state and development: a — epithelial body, b — mixed adipose tissue, consisting of brown and white adipocytes. M — atrial myocardium, Eb — epithelial body, CC — chromaffin cells, ↑↑ — TH-immunonegative parasympathetic neurons; НВ — nerve fibers of the vagal nerve; MAT — mixed adipose tissue, CT — cartilage tissue. Immunohistochemical reaction to PGP 9.5 protein (a) and tyrosine hydroxylase (b); toluidine blue; ×100.
In the heart of a newborn rat, abundant innervation was noted in the region of bundles of conducting muscle fibers located between the cranial vena cava and the base of the right atrial appendage. Using the IHC reaction for the PGP 9.5 protein and synaptophysin, many nerve terminals were observed in this region. Using the IHC reaction for tyrosine hydroxylase, the minority of them were found to be sympathetic. The terminal network, innervating the cardiac conduction system, can be traced at some distance to branches into separate bundles.
In newborn rats, the terminal nerve plexus is already formed. Few terminal synaptic networks consisting of varicose axons are found in the adventitia of the main bronchi, around small arteries, and in the bodies and lobules of brown and white adipose tissue. In the esophageal wall, in addition to the Auerbach ganglionic plexus, fragments of bundles of the terminal network of varicose axons are also found in all membranes, which indicates the early functional development of the innervation of this segment of the gastrointestinal tract. Individual immunoreactive axons of the terminal network are also noted at these times in the myocardium of the atrial appendages, to a small extent, at the base of the valve apparatus, and in the upper part of the interatrial septum.
DISCUSSION
As noted earlier, the morphology of the mediastinal organs related to the circulatory, respiratory, digestive, and immune systems (esophagus, great vessels, trachea, bronchi, heart, adipose tissue, etc.) has not been sufficiently studied in terms of their ontogenesis. The anatomical and topographic localization of these organs is described in well-known atlases and manuals. Most studies of the chest organs of animals and humans have been performed using physiological and clinical–instrumental methods [13–21]. Using these methods, reflex activity has been revealed in the chest area of adults, and the existence of close functional relationships between various organs of the respiratory and digestive, cardiovascular and respiratory, nervous, and immune systems has been assumed. The data obtained from the analysis of biopsy materials taken from the DMMS deserve much attention. Researchers [13–17] have identified and described various types of tumors developing in the DMMS (neurinomas, lymphoblastomas, schwannomas, fibroblastomas, etc.). Using electrophysiological methods, the presence of reflexogenic zones similar to the carotid sinus zone was established in this area.
Moreover, studies have revealed morphological information, particularly the baroreceptor reflexogenic zone in the aortic arch [22, 23]. Topographic, anatomical, and morphometric data on the esophagus in human fetuses aged 16–22 weeks have recently been published [24].
In this study, macroscopic and microscopic studies of the DMMS organs of newborn rats were performed using IHC methods, and the state of the nerve structures at this stage of the body development was assessed. The originality of the methodological approach was that on transverse histological sections through the DMMS, owing to the use of a low magnification microscope (×40), and several organs simultaneously can be examined in one field of view on one section, such as the trachea, nerves, main bronchi, heart, and esophagus. As a result, close relationships were established between these organ structures and branches, mainly the parasympathetic nerve fibers of the vagus and recurrent nerves, and to a lesser extent the sympathetic trunk.
The microscopic analysis of the material was performed using neural markers (PGP 9.5 protein, tyrosine hydroxylase, and synaptophysin) [10, 11]. Subtle neural–tissue relationships were revealed, reflecting the development of innervation at the synaptogenesis level and the formation of terminal synaptic networks in addition to loose nerve plexuses [3]. For the first time, using IHC markers, features of uneven development of innervation processes in the chest organs were established, and it is most pronounced in the esophageal wall. A high density of terminal synaptic network was detected in the sinus node of the right atrium. Terminal synaptic structures in the walls of the bronchi were found following the direction of the lobar segments of the lungs and in the lobes of the adipose tissue. Moreover, the tissues of the left atrium and ventricles of the heart remain weakly innervated.
The cause of the most pronounced innervation, in the early postnatal period of development, among the DMMS organs, in the wall of the esophagus and region of the venous sinus, or more precisely, the sinus node located in the region of the conducting cardiomyocytes of the right atrium, must be clarified. In our opinion, this is due to the early development of these structures in phylo- and ontogenesis. The recapitulation process originates from the lower chordates of acranial animals. The lancelet with a closed circulatory system already has sections such as the Cuvier ducts and venous sinus, through an intestinal tube with three sections, and an abdominal nerve cord. The region of the nervous system that regulates the gastrointestinal tract function is currently called the enteric nervous system (ENS) (or metasympathetic, according to A.D. Nozdrachev and E.I. Chumasov [3]). Some researchers compared the ENS with the CNS by the presence of a large number of nerve cells and called it the “second brain” [25]. Others believe that the ENS can be considered the “first (and not second) brain” [26] because, in phylogenesis, ENS structures appear before the neural tube. It is also assumed that the “first brain” passed to vertebrates in phylogenesis from annelids, which were the first coelomic animals whose nervous system is represented by the ventral nervous system.
The sinus node also develops quite early in phylogenesis. The sinus node evolves when a closed type of circulatory system arises and has already been described in annelids. Obviously, the innervation of this area also appears earlier than in other areas of the heart.
In addition to the two described areas of DMMS organs, this study noted pronounced nerve structures in the adipose tissue of the bronchial region and adventitia of large bronchi and the walls of their branches. The established innervation of developing adipose tissue in newborn rats complements our previous data [27] and reveals that, from the first day of development, the nervous system regulates the functioning of developing adipocytes. In other tissues and organs of newborn rats, the morphological signs of innervation are very weakly expressed. In the myocardium of the heart ventricles, lung lobes, aortic wall, and pulmonary trunk, these signs are also very weakly pronounced. The sequential development of the nervous structures of these organs will be studied in further work.
CONCLUSION
A comparative study of the features of the innervation of the mediastinal organs of rats in the early postnatal period of development using IHC methods revealed that the esophageal wall and the venous sinus regions of the heart are the most innervated. Presumably, this is due to the earliest formation of these areas in phylo- and ontogenesis. For the first time, this study using IHC methods presents data on the early formation of synaptic structures with tissues of various organs of the mediastinum.
ADDITIONAL INFORMATION
Funding source. This research was state budget funded and implemented within the governmental assignment to the Institute of Experimental Medicine, Document N 122020300199-5.
Competing interests. The authors declare that they have no competing interests.
Authors’ contribution. All authors made a substantial contribution to the conception of the work, acquisition, analysis, interpretation of data for the work, drafting and revising the work, final approval of the version to be published and agree to be accountable for all aspects of the work. E. I. Chumasov — research concept, writing the text and editing the article; E. S. Petrova — immunohistochemical reactions, preparation and writing of the text of the article.
About the authors
Evgenii I. Chumasov
Institute of Experimental Medicine; Saint Petersburg State University of Veterinary Medicine
Author for correspondence.
Email: ua1ct@mail.ru
ORCID iD: 0000-0003-4859-6766
SPIN-code: 2569-9148
Dr. Sci. (Biology), Professor
Russian Federation, Saint Petersburg; Saint PetersburgElena S. Petrova
Institute of Experimental Medicine
Email: iemmorphol@yandex.ru
ORCID iD: 0000-0003-0972-8658
SPIN-code: 3973-1421
Cand. Sci. (Biology)
Russian Federation, Saint PetersburgReferences
- Shvalev VN, Sosunov AA, Guski G. Morphological basis of heart innervation. Moscow: Nauka; 1992. (In Russ).
- Chumasov EI. On the issue of blood supply and innervation of the aortic-pulmonary or pericardial chromaffin paraganglia of the cat. Arhiv anatomii, gistologii i jembriologii. 1971;61(7):92–99. (In Russ). EDN: YOXGQL
- Nozdrachev AD, Chumasov EI. Peripheral nervous system. Saint Petersburg: Nauka; 1999. 281 p. (In Russ). EDN: VZLWTL
- Bőck P. The paraganglia. Berlin etc.: Springer; 1982. doi: 10.1007/978-3-642-68208-7
- Nozdrachev AD. Physiology of the autonomic nervous system. Minsk: Medicine; 1983. (In Russ).
- Dudanov IP, Pigarevsky PV, Korgevsky DE, et al. Atherosclerosis, diabetes mellitus and autonomic innervation of the cardiovascular system. Medical Academic Journal. 2012;12(2):19–27. EDN: QBXHSJ
- Shvalev VN, Reutov VP, Rogoza AN, et al. Development of modern ideas about the neurogenic nature of cardiac diseases. Pacific Medical Journal. 2014;(1):10–14. EDN: SNMJAR
- Korzhevskii DE, Kirik OV, Petrova ES, et al. Theoretical foundations and practical application of immunohistochemistry methods (manual). 2nd edition. Saint Petersburg: SpetsLit; 2014. 118 p. (In Russ). EDN: SINOMT
- Chumasov EI, Kolos EA, Petrova ES, Korzhevskii DE. Immunohistochemistry of the peripheral nervous system. Saint Petersburg: SpetsLit; 2020. 111 p. (In Russ). EDN: FUSCZP
- Nagornev VA, Chumasov EL, Korzhevskii DE, et al. Modern approaches to the study of the nervous apparatus of arteries in atherosclerosis and diabetes. Medical Academic Journal. 2010;10(3):19–27. EDN: TIQRGX
- Chumasov E, Alekseenko A, Petrova E, Korzhevsky D. Study of the nervous apparatus of the heart of rats of different ages using immunohistochemical markers. International Bulletin of Veterinary Medicine. 2017;(1):41–46. EDN: YIPFWZ
- Grigoriev IP, Korzhevskii DE. Current technologies for fixation of biological material for immunohistochemical analysis (review). Sovremennye tehnologii v medicine [Modern Technologies in Medicine]. 2018;10(2):156–165. EDN: XRVMWL doi: 10.17691/stm2018.10.2.19
- Suster S, Moran CA, Dominguez-Malagon H, Quevedo-Blanco P. Germ cell tumors of the mediastinum and testis: a comparative immunohistochemical study of 120 cases. Hum Pathol. 1998;29(7):737–742. doi: 10.1016/s0046-8177(98)90284-2
- Nasit JG, Patel M, Parikh B, et al. Anterior mediastinal masses: a study of 50 cases by fine needle aspiration cytology and core needle biopsy as a diagnostic procedure. South Asian J Cancer. 2013;2(1):7–13. doi: 10.4103/2278-330X.105872
- Mondal P, Nag D, Samaddar A, et al. Clinicopathological spectrum of anterior mediastinal lesions with special reference to the role of cytology in diagnosis: a cross-sectional study. Natl J Physiol Pharm Pharmacol. 2022;12(6):880–885. doi: 10.5455/njppp.2022.12.11414202102122021
- Vemuluri M, Philipose TR. Histopathological study and immunohistochemistry of mediastinal masses of anterior compartments. Annals of Pathology and Laboratory Medicine. 2023;10(1): A1–A12. doi: 10.21276/APALM.3210
- Sundaram S, Vidhyalakshmi S. Histomorphological spectrum of mediastinal masses with special emphasis on rarelesions. Journal of Clinical and Diagnostic Research. 2020;14(8):1–5. doi: 10.7860/JCDR/2020/44483.13884
- Akutsu Y, Kaneko K, Kodama Y, et al. Usefulness of severe cardiac sympathetic dysfunction to predict the occurrence of rapid atrial fibrillation in patients with Wolff-Parkinson-White syndrome. Am J Cardiol. 2013;112(5):688–693. doi: 10.1016/j.amjcard.2013.04.048
- Bulygin IA. Afferent link of interoceptive reflexes. Minsk: Medicine; 1971. (In Russ).
- Samoilov VO. Some problems of carotid chemoreception. In: Gershuni GV, editor. Sensory systems. Leningrad: Nauka; 1977. P. 76–86. (In Russ).
- Ilyinsky OB, Kislyakov VA, Levashov MM. Physiology of sensory systems. Gershuni GV, editor. Part 2. Leningrad: Science; 1972. (In Russ).
- Floras JS. Arterial baroreceptor and cardiopulmonary reflex control of sympathetic outflow in human heart failure. Ann N Y Acad Sci. 2001;940:500–513. doi: 10.1111/j.1749-6632.2001.tb03701.x
- Krieger EM, Da Silva GJ, Negrão CE. Effects of exercise training on baroreflex control of the cardiovascular system. Ann NY Acad Sci. 2001;940:338–347. doi: 10.1111/j.1749-6632.2001.tb03689.x
- Gaivoronsky IV, Zheleznov LM, Yakhina IM. Topographical and anatomical features of the esophagus of human fetuses 16–22 weeks of development. In: Questions of morphology of the XXI century. Issue 8. Saint Petersburg: DEAN Publishing House; 2024. P. 143–148. (In Russ).
- Gershon MD. The enteric nervous system: a second brain. Hosp Pract (1995). 1999;34(7):31–32,35–38,41–42 passim. doi: 10.3810/hp.1999.07.153
- Furness JB, Stebbing MJ. The first brain: species comparisons and evolutionary implications for the enteric and central nervous systems. Neurogastroenterol Motil. 2018;30(2):10.1111/nmo.13234. doi: 10.1111/nmo.13234
- Chumasov EI, Petrova ES, Korzhevskii DE. Morphological peculiarities features of the innervation of rat epicardial adipose tissue in early postnatal ontogenesis. Journal of Evolutionary Biochemistry and Physiology. 2022;58(6):2070–2079. doi: 10.1134/S0022093022060333
Supplementary files





