Morphofunctional characteristics of the vessels of the small circle of blood circulation in those who died from severe and extremely severe forms of new coronavirus infection
- Authors: Emelin A.M.1, Sorochanu I.P.1, Asaulenko Z.P.1,2, Rogovoy V.А.1, Popov O.S.2, Mosenko S.V.2, Apalko S.V.2, Buchaka A.S.2, Gladchenko S.V.2, Anisenkova A.Y.2,3, Shcherbak S.G.2,3, Deev R.V.2,4
-
Affiliations:
- North-Western State Medical University named after I.I. Mechnikov
- City Hospital N 40 of Kurortny District
- Saint Petersburg State University
- Avtsyn Research Institute of Human Morphology of Petrovsky National Research Centre of Surgery
- Issue: Vol 161, No 3 (2023)
- Pages: 39-52
- Section: Original Study Articles
- URL: https://bakhtiniada.ru/1026-3543/article/view/256918
- DOI: https://doi.org/10.17816/morph.625835
- ID: 256918
Cite item
Abstract
BACKGROUND: An important feature of COVID-19 is the development of pronounced hypercoagulation with an increased risk of thrombotic damage to the pulmonary vascular bed, mainly the pulmonary arteries. Thrombosis of the pulmonary blood vessels causes a local violation of hemodynamics with the development of hyperemia, edema, which leads to a decrease in ventilation of the lung tissue area and serves as one of the causes of respiratory failure.
AIM: This study aimed to conduct a morphological and morphometric analysis of the vascular bed of lung tissues in deceased with severe and extremely severe forms of new coronavirus infection who were on inpatient treatment in the period 2020–2022.
MATERIALS AND METHODS: A pathomorphologic study of 129 autopsy cases with a confirmed diagnosis of a new coronavirus infection COVID-19 was performed. Morphometric analysis and statistical data processing of the pulmonary vascular system in histologic preparations stained with hematoxylin and eosin stain, orcein stain and Martius Scarlet Blue (MSB) stain was performed. The control group consisted of 14 patients who died of cardiovascular disease with bilateral focal confluent pneumonia.
RESULTS: It was found that the proportion of thrombosed vessels in the lung tissues of the deceased was 27.6%. In 87.2% of cases, thrombosis develops in small arteries (lumen diameter 30-500 microns) and small veins (lumen diameter 40–500 microns). The vascular-functional indices of Kernogan and Vogenworth were statistically significantly increased in small arteries and small veins of the 4th order (p=0.001), small arteries (p=0.001) and small veins of the 5th order (p=0.014) compared with the control group.
CONCLUSIONS: Diffuse involvement of small caliber blood vessels in the pathological process reflects the severity of specific hemocoagulopathic disorders in the lung tissue. Such disorders lead to the development of ventilation-perfusion disorders and entail an increase in right ventricular failure.
Keywords
Full Text
BACKGROUND
One of the first sectional observations of coronavirus disease-2019 (COVID-19) showed that histological examinations of lung tissues revealed signs of diffuse alveolar damage, namely, interstitial and alveolar edema, death and desquamation of alveolocytes, formation of hyaline membranes, and lymphohistiocytic infiltration [1]. Among the causes of death, cardiopulmonary and heart failure rank second in addition to increasing rates of respiratory failure and intoxication [2–4]. An important feature of COVID-19 is the development of severe hypercoagulation with an increased risk of thrombotic damage to the vascular bed of the lungs, mainly the pulmonary arteries [5–9]. This condition should be distinguished from thromboembolism of the pulmonary artery and its branches, which may be also found in a small number of deceased patients. Among the causes of thrombosis of the pulmonary circulation in COVID-19, recent studies have highlighted direct damage to the vascular wall, which causes its impaired permeability and edema. The “cytokine storm” is considered significant in triggering the hemocoagulation cascade; as a result, it received the figurative name “immunotrombosis” [10, 11]. Thrombosis of pulmonary blood vessels causes local impairment of hemodynamics accompanied by organ plethora, edema, and consequently decreased lung ventilation. They serve as one of the causes of respiratory failure. Thrombotic lesions in the vascular bed of the lung tissue without thrombosis of the deep veins of the legs and pelvic tissue determine the unique pathomorphogenesis of COVID-19 [12–18].
The study aimed to conduct clinical and morphological analyses of the status of the pulmonary vessels in patients who were hospitalized in 2020–2022 and died from severe and extremely severe COVID-19.
MATERIALS AND METHODS
The study analyzed data from 129 patients diagnosed with COVID-19. SARS-CoV-2 was confirmed post-mortem through polymerase chain reaction in all deceased individuals included in the study. Clinical data of the deceased patients were collected. During the post-mortem autopsy, lung fragments with macroscopically most pronounced signs of diffuse alveolar damage were taken for histological examination.
Archival autopsy materials from 14 age-matched patients who died from cardiovascular diseases in 2018–2019 were used as controls. In the control group, bilateral focal confluent pneumonia was confirmed, which was indicated in the diagnosis “complications of the underlying disease.”
Lung fragments were fixed in a 10% neutral formalin solution for 24 h. Histological examination was performed according to a standard protocol. Moreover, 3–4 µm thick sections were prepared from paraffin blocks on a rotary microtome, and they were stained with hematoxylin and eosin, as well as orcein to identify elastic fibers.
All blood vessels revealed in histological lung preparations were ranked according to their outer diameter by 17 orders of magnitude following the classification proposed by S. Singhal et al. in 1973 [19]. The blood vessels were categorized according to their internal diameter based on the classification of N.C. Staub and E.L. Schultz in 1968 [20].
To assess the age of thrombogenesis in the blood vessels in the lungs, triple staining with Martius Scarlet Blue (MSB) according to Lendrum (BioVitrum, Russia) was used. The method is used to determine the age of the fibrin formation by the color of its staining: “young” fibrin, formed within 6 h before death, stained yellow–orange; “mature” fibrin, formed <24 h before death, has bright red colors of orange, scarlet, and violet shades; and “old” organizing fibrin and collagen fibers formed >24 h before death stained dark purple and blue gray.
Morphometric analysis was performed using ImageJ (National Institutes of Health, USA). In each histological specimen of the lung, the number of completely thrombosed blood vessels was counted. In the case of parietal thrombosis, its severity was determined, namely, with obstruction of <50% of the lumen or with obstruction of >50% of the lumen. Vessel wall thickness (mm), blood vessel lumen area (mm2), blood vessel area (mm2), internal blood vessel lumen diameter (mm), and blood vessel outer diameter (mm) were measured. The Kernohan (the ratio of the thickness of the vascular wall to the lumen diameter) and Wogenworth (the ratio of the area of the vascular wall to the area of the vessel lumen) vascular functional indices were determined to assess the perfusion status of the lung tissue.
Statistical processing of the research results was performed using SPSS (USA), compliance of the distributions of quantitative indicators with normality was assessed, and the average values and standard deviations were determined.
The Mann–Whitney U test was used to compare the quantitative indicators of two independent samples (p ≤0.05). Indicators were presented as M±σ, where M was the average value and σ was the standard deviation, and min–max.
RESULTS
The average age of the patients at the time of death was 71±14 years. Among the deceased patients, 60% were men and 40% were women. Vital and laboratory parameters recorded on the first day and the last day of hospitalization are presented in Tables 1 and 2. The average hospital stay until the death of patients with severe and extremely severe COVID-19 was 8±6 days.
Table 1. Vital signs of patients who died from a new coronavirus infection on the first and last days of hospitalization; n — number of analyzed observations
Indicator | n | First day of hospitalization, М±σ, min–max | Last day of hospitalization, М±σ, min–max | Reference values | р |
Heart rate per minute | 127 | 86±19 53–150 | 83±6 50–123 | 60–90 | 0.758 |
Respiratory rate per minute* | 13 | 23±6 16–35 | 21±2 20–25 | 16–18 | 0.521 |
Blood pressure, mm Hg | 127 | 124/72±12/9 50/40–174/100 | 119/72±4/6 44/15–145/90 | <139/<89 | 0.512 |
spO2, %: without O2 insufflation with O2 insufflation+ | 11 125 | 88±11, 60–98 94±9, 70–99 | 88±4, 78–96 92±1, 80–98 | 95–100 95–100 | 0.885 0.001 |
Temperature, °C | 126 | 36.7±0.6 36.1–38.5 | 36.7±1.0 33–38.5 | 36.6±0.7 | 0.225 |
* cases of using artificial ventilation with an induced respiratory rate were excluded from observations; + cases of high-flow oxygenation, noninvasive mechanical ventilation, and artificial ventilation were included.
Table 2. Data from clinical, biochemical blood tests and coagulograms in patients who died from a new coronavirus infection on the first and last days of hospitalization
Indicator | n | First day of hospitalization, М±σ, min–max | Last day of hospitalization, М±σ, min–max | Reference values | р |
Leukocytes, 109/L | 126 | 10.5±6.0 2.2–41.5 | 15.0±7.9 2.2–51.9 | 4–9 | 0.001 |
Neutrophils, 109/L | 123 | 8.6±5.3 1.1–38.5 | 13.2±7.5 1.9–47.0 | 2.0–4.8 | 0.001 |
Lymphocytes, 109/L | 124 | 1.1±1.3 0.2–14.6 | 1.0±0.8 0.2–5.6 | 1.3–2.9 | 0.097 |
Monocytes, 109/L | 124 | 0.7±0.5 0.1–3.3 | 0.7±0.5 0.0–3.1 | 0.3–0.8 | 0.839 |
Neutrophil–lymphocyte ratio | 123 | 10.88±8.92 0.0–48.60 | 18.12±11.26 0.60–56.40 | 0.78–3.53 | 0.001 |
Red blood cells, 1012/L | 11 | 3.89±0.83 2.66–5.17 | 3.75±0.55 2.70–5.50 | 4–5 | 0.660 |
Hemoglobin, g/L | 13 | 115±22 82–150 | 114±18 85–175 | 130–160 | 0.467 |
Platelets, 109/L | 13 | 216±154 71–538 | 149±46 66–243 | 150–450 | 0.416 |
Creatinine, µmol/L | 11 | 153±73 82–288 | 228±97 93–384 | 62–115 | 0.122 |
Urea, mmol/L | 11 | 15.3±8.5 6.4–27.1 | 28.9±20.2 7.2–66.1 | 1.8–8.3 | 0.098 |
C-reactive protein, mg/L | 113 | 112.82±45.09 2.10–428.50 | 144.23±76.55 2.70–433.30 | 0–5 | 0.050 |
D-dimer, µg/mL | 5 | 3.98±3.44 0.34–7.49 | 1.95±0.37 1.68–2.38 | 0–0.44 | 0.786 |
Troponin T, pg/mL | 4 | 1376.36±2489.80 21.0–5109.0 | 2419.31±3786.86 94.0–6789.0 | ≤14.0* | 0.629 |
Procalcitonin, ng/mL | 4 | 0.562±0.216 0.330–0.760 | 1.256±0.769 0.710–1.800 | <0.500 | 0.533 |
Fibrinogen, g/l | 9 | 5.74±2.08 0.74–7.74 | 3.53±2.10 1.77–5.85 | 2–4 | 0.100 |
* the clinical threshold value for diagnosing myocardial infarction is 100.0 pg/mL.
The comorbid background of patients with COVID-19 was characterized by the presence of widespread atherosclerosis in 100% of cases, hypertension in 85.7%, post-infarction cardiosclerosis in 33.3%, and type 2 diabetes mellitus in 38.1% with complications such as microangiopathy, macroangiopathy, and diabetic nephropathy. The concomitant pulmonary pathologies include chronic obstructive pulmonary disease (9.5%), chronic bronchitis (19.0%), and diffuse and peribronchial pneumofibrosis (23.8%). Bilateral total and subtotal pneumonia induced acute respiratory distress syndrome in 47.6% of cases and respiratory failure in 81%, which was combined with acute heart failure in 66.7%.
On the first day and last day of hospitalization, heart rate, respiratory rate, blood pressure, blood oxygen saturation without insufflations, and body temperature were not statistically significant, and the average values of most indicators were within the reference range. Statistically significant differences in the level of blood oxygen saturation (spO2 during O2 insufflation) on the first day and last day of hospitalization, before death, should be considered with caution because of the minimal difference in the average values of the indicator.
The results of the blood tests on the first and last days of hospitalization revealed statistically significant changes in indicators, showing an increase in the levels of inflammation markers, namely, leukocyte, neutrophil, and granulocyte counts, C-reactive protein, and procalcitonin; this often coincided with the occurrence of bacterial infection in addition to virus-induced diffuse alveolar damage. Patients also had a statistically significant increase in the neutrophil–lymphocyte ratio from the first day to the last day of hospitalization, which is considered one of the unfavorable diagnostic markers and is associated with a higher mortality risk. Patients admitted to the hospital with COVID-19 presented with laboratory anemia, and no statistically significant differences in red blood cell count and hemoglobin concentration were found from the first day of admission to death. Increased blood concentrations of D-dimer and fibrinogen and mild thrombocytopenia were characteristic laboratory signs of COVID-19-associated coagulopathy.
Histological examination revealed vascular wall changes, such as signs of damage and hydropic degeneration of endothelial cells, edema of the subendothelial connective tissue layer and tunica media, partial fragmentation of the internal and external elastic arterial membranes, and edema and lymphohistiocytic infiltration of the perivascular stroma (Fig. 1).
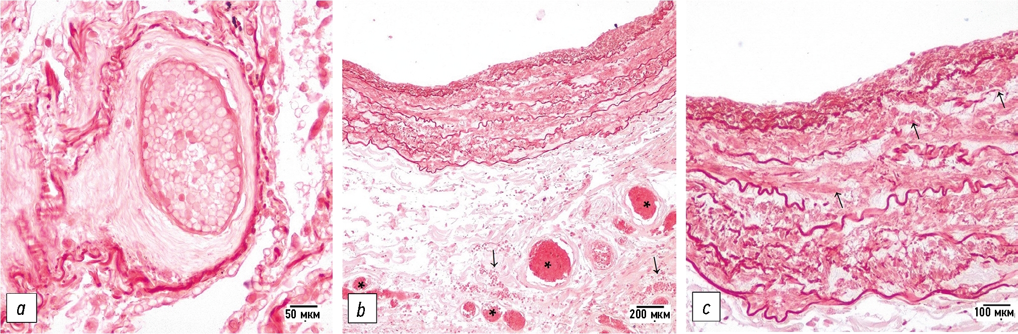
Fig. 1. A cross section of the arteries of the small circulatory circle: a — edema and dilution of the t. media of the small artery with displacement of the outer elastic membrane; b — edema and destruction of the elastic framework of the t. media major artery (arrows), stasis in the vasa vasorum adventitia (asterisks), with foci of hemorrhage around them (arrows), pronounced perivascular edema with dissociation of connective tissue fibers; с — edema of the t. media major artery. Оrcein stain; a — ×400; b — ×100; с — ×200.
In the deceased group, blood clots were noted in the pulmonary vessels, which accounted for 27.6%. Obstructive thrombi were found in 53.1% of cases (Fig. 2). “Growing” blood clots (thromboemboli) were found in some cases, in which the previous central part (more than a day old) was covered with blood with newly formed fibrin (Fig. 2).
Fig. 2. Blood clots in the lumen of pulmonary vessels in those who died from a new coronavirus infection: a — sludge and hyaline thrombus in a vessel with a sharply hypertrophied wall; b — a fresh thrombus covering 100% of the vessel lumen; с — "growing" thromboembolism in the lumen of the lung vessel, the "old core" of the thrombus (asterisks), on which fresh fibrin is layered (triangles), the walls of the vessel (arrows); d — a thrombus consisting of fragments of various prescription; e — an "old" thrombus (>24 hours). Fibrin staining using Martius Scarlet Blue (MSB) technology by Lendrum; ×200.
In blood vessels of the 14th order with a diameter of 4000–6500 microns, blood clots form less frequently (0.7%). Most often, thrombosis occurred in blood vessels of the 5th order with a diameter of 86–120 µm and those of the 6th order with a diameter of 120–250 µm (18.6% and 21.7%, respectively) (Table 3). Moreover, thrombogenesis was most often recorded in small arteries with a diameter of 30–500 µm and small veins with a diameter of 40–500 µm (33.7% and 38.0%, respectively). Less commonly, thrombi were located in large arteries with a diameter of 2800–3000 µm and large veins with a diameter of 12,000–30,000 µm (0.3% and 0.1%, respectively) (Table 4).
Table 3. Proportion of thrombosed blood vessels of the lungs depending on the order according to S. Singhal et al. (1973) [19])
Vessel order | Vessel size, µm | Proportion of thrombosed vessels, % |
1 | 0–13 | 0 |
2 | 13–21 | 0 |
3 | 21–34 | 1.4 |
4 | 34–86 | 7.6 |
5 | 86–120 | 18.6 |
6 | 120–250 | 21.7 |
7 | 250–370 | 15.0 |
8 | 370–600 | 13.8 |
9 | 600–800 | 7.0 |
10 | 800–1000 | 3.6 |
11 | 1000–1200 | 3.4 |
12 | 1200–2800 | 6.0 |
13 | 2800–4000 | 0.9 |
14 | 4000–6500 | 0.7 |
15 | 6500–10000 | 0.2 |
16 | 10 000–19 000 | 0.1 |
17 | 19 000–30 000 | 0.1 |
Table 4. Proportion of the thrombosed blood vessels in the lungs depending on the internal diameter according to N.C. Staub and E.L. Schultz (1968) [20])
Vessel type | Vessel size, µm | Proportion of thrombosed vessels, % |
Large arteries | 2800–3000 | 0.3 |
Middle arteries | 500–2800 | 6.8 |
Small arteries | 30–500 | 33.7 |
Arterioles | 20–30 | 2.6 |
Capillaries | <20 | 0.3 |
Venules | 20–40 | 7.9 |
Small veins | 40–500 | 38.0 |
Middle veins | 50–12 000 | 10.4 |
Large veins | 12 000–30 000 | 0.1 |
The age of fibrin formation in the lumen of blood vessels revealed a heterochronic process. The proportion of “young” thrombi formed within 0–6 h was 29.1%, that of “mature” thrombi (aged 6–24 h) was 48.8%, and that of “old” thrombi (aged >24 h) was 22.1% (Fig. 2). Therefore, at least 2/3 of blood clots in the pulmonary vessels were formed in the last day of life.
The functional state of the pulmonary circulation was characterized by the Kernohan and Wogenworth indices, which in most cases were used to establish a significant decrease in lung perfusion compared with the control. Thus, a comparison depending on the order of blood vessels demonstrated that the Kernohan index was statistically significantly higher in arteries of the 3rd, 4th, and 7th orders (p=0.023, p=0.001, and p=0.010, respectively) and veins of the 4th order (p=0.001) in the COVID-19 group than in the control group and lower in arteries of the 10th order (p=0.003) in the COVID-19 group than in the control group (Table 5, Fig. 3). When comparing the Wogenworth perfusion index of the deceased group with the control group, a statistically significant difference was obtained in many comparison pairs (Table 6, Fig. 4).
Table 5. Comparison of the Kernogan index depending on their order and inner diameter
Order of the vessel and its dimensions, µm (according to S. Singhal et al. (1973) [19]) | Type of vessel and its dimensions, µm (according to N.C. Staub and E.L. Schultz (1968) [20]) | COVID-19, М±σ, min–max | Control, М±σ, min–max | р |
Arterioles, 3rd order (21–34) | Arterioles (20–30) | 0.23±0.05 0.18–0.30 | 0.17±0.08 0.08–0.45 | 0.023 |
Arteries and arterioles, 4th order (34–86) | Arterioles (20–30) | 0.46±0.23 0.12–1.19 | 0.29±0.16 0.08–1.07 | 0.001 |
Small arteries (30–50) | 0.24±0.11 0.05–0.76 | 0.20±0.15 0.03–0.68 | 0.001 | |
Arteries, 7th order (250–370) | Small arteries (30–50) | 0.18±0.13 0.00–1.03 | 0.12±0.07 0.03–0.26 | 0.010 |
Arteries, 10th order (800–1000) | Middle arteries (500–2800) | 0.11±0.08 0.01–0.40 | 0.19±0.03 0.15–0.23 | 0.003 |
Veins, 4th order (34–86) | Small veins (40–500) | 0.17±0.07 0.02–0.55 | 0.15±0.07 0.05–0.55 | 0.001 |
Note. Only data with significant differences p ≤0.05 are given.
Fig. 3. Kernogan index in small arteries and veins of the 4th order in patients who died from a new coronavirus infection and the control group according to the size of the vessels, depending on their order and internal diameter.
Fig. 4. The Vogenworth index in small arteries and veins of the 5th order in those who died from a new coronavirus infection and the control group according to the size of the vessels, depending on their order and internal diameter.
DISCUSSION
The vasopathic and hemostatic effects of SARS-CoV-2 were already described at the beginning of the pandemic [9, 13]. The cytopathic effect of SARS-CoV-2 against endothelial cells is implemented through the interaction of the virus S protein with angiotensin-converting enzyme 2, which can lead to pyroptosis (proinflammatory apoptosis) and the release of damage-associated molecular fragment patterns or pathogen-associated molecular patterns. These fragments are recognized by receptors, such as Toll-like receptors and C-type lectin receptors, which trigger intracellular signaling cascades and thus stimulate the production of proinflammatory cytokines and chemokines that can potentiate coagulation by nearby epithelial cells, endothelial cells, and alveolar macrophages, namely interleukin (IL)-1β, IL-6, IL-8, and tumor necrosis factor-α [21], which in turn have damaging effects on endothelial cells. As a result, the procoagulant potential increases, fibrinolysis decreases, and platelet adhesion and aggregation are disrupted. In addition, inflammatory factors promote additional migration of inflammatory and immune system cells to the damaged site, namely, neutrophil granulocytes, monocytes, macrophages, dendritic cells, T lymphocytes, natural killer cells, and mast cells [22–24]. Pathomorphological manifestations of pyroptosis and damage to the endothelium of the blood vessels of the pulmonary bed, hydropic degeneration and foci of death and desquamation of endothelial cells, and edema of the subendothelial connective tissue layer were described in the scientific literature and revealed in this study.
When the tunica intima of blood vessels is damaged, the basement membrane is exposed, which has prothrombogenic potential because of the production of von Willebrand factor and P-selectin contained in Weibel–Palade bodies [25].
The interaction of the SARS-CoV-2 S protein with the α5β1 integrin located on the platelet membrane leads to changes in their functional activity and is manifested by impaired platelet hemostasis. The internalization of SARS-CoV-2 viral particles into platelets was assumed to lead to the activation of Toll-like receptors 7 located in the lysosomes, which is accompanied by the release of the contents of α-granules and consequently the interaction of platelets with neutrophil granulocytes. In addition, the stimulation of Toll-like receptors 7 can enhance the production of the C3 component of complement by platelets, which promotes the formation of neutrophil extracellular traps, which further stimulate local thrombogenesis [26].
The results of pathomorphological and morphometric analyses confirm literature data that anti-inflammatory and anticoagulant therapy exert suboptimal effects on patients with severe and extremely severe COVID-19 [27]. This is evidenced by the proportion of thrombosed blood vessels in the lungs (27.6%) and more than half of all blood clots completely obstruct the lumen. The predominant damage to small- and medium-sized blood vessels (87.2% and 11.6%, respectively) in COVID-19 reflects the systemic nature of endothelial dysfunction and immunothrombosis in the lung tissue. In 2021, a systematic review indicated that small vessels in the lung tissue were predominantly affected. According to L.P. Hariri et al., in 57% of the deceased patients with COVID-19, histological examination revealed microthrombi in the lung tissue. This percentage is significantly higher than that in patients with influenza A/H1N1 (≈24%) [28]. The causes of blood clots in predominantly small-sized blood vessels are currently unknown and require further investigations.
The use of triple staining to detect the age of fibrin by MSB technology according to Lendrum helped establish that the majority of blood clots (up to 77.9%) were formed in the last day of life of the patients. This finding helps us draw conclusions about the influence of thrombotic lesions in the blood vessels in the lung tissues on the development of a terminal pulmonary condition, which is characterized by ventilation–perfusion disorders and ends in death due to the pulmonary disease.
The results indicated that the vascular link in the pathomorphogenesis of COVID-19 is important in the development of severe diseases. The evaluation of the Kernohan and Wogenworth indices allows for the characterization of the decreased capacity of pulmonary blood vessels, which is associated with changes in the lumen diameter and vascular wall thickness (Kernohan index) and/or its area (Wogenworth index), including in patients with comorbidities and chronic hypertension; these cases account for 66%–88% in the deceased group [2, 3]. The statistically significant increase in the Kernohan and Wogenworth indices in small- and medium-sized blood vessels indicates more pronounced vasoconstriction and/or thickening of the wall or an increase in its area compared with the control group, which is generally consistent with previous reports [29]. The patho- and thanatogenetic significance of increased Kernohan and Wogenworth indices indicate that a decrease in the capacity of pulmonary blood vessels is accompanied by an increase in pulmonary vascular resistance and pressure in the pulmonary artery.
Thus, massive thrombotic damage to small- and medium-sized blood vessels of the lungs, vasoconstriction, and thickening of blood vessel walls (including due to edema) overload the right ventricle, leading to dilatation and dysfunction of the right ventricle [30].
CONCLUSIONS
The results of the morphological and morphometric studies of blood vessels demonstrate the systemic nature of thrombogenesis in the lung tissue. Lesions were predominantly found in small- and medium-sized blood vessels, and blood clots most commonly formed on the last day of life and completely obturate the lumen. The pathogenetic and thanatogenetic significance of diffuse microthrombosis in the lungs is associated with the development of ventilation–perfusion disorders and overload of the right heart compartments, which leads to right ventricular dysfunction. In some cases, this is a significant factor in thanatogenesis in patients with comorbidities, which account for the majority of patients who died from COVID-19.
ADDITIONAL INFORMATION
Funding source. The study was carried out within the framework of the project of St. Petersburg State University, ID 94029859.
Competing interests. The authors declare the absence of obvious and potential conflicts of interest related to the publication of this article.
Authors’ contribution. All authors made a substantial contribution to the conception of the work, acquisition, analysis, interpretation of data for the work, drafting and revising the work, final approval of the version to be published and agree to be accountable for all aspects of the work. A.M. Emelin — collection and processing of material, writing the text; I.P. Sorochanu — literature review, collection and processing of material, writing the text; Z.P. Asaulenko — literature review, collection and processing of material, writing the text; V.A. Rogovoy — collection and processing of material, writing the text; O.S. Popov — concept and design research, collection and processing of material; S.V. Mosenko — concept and design research, collection and processing of material; S.V. Apalko — concept and design of research, collection and processing of material; A.S. Buchaka — collection and processing of material; S.V. Gladchenko — concept and design of research; A.Yu. Anisenkova — concept and design of research; S.G. Shcherbak — the concept and design of the study; R.V. Deev — the concept and design of the study, writing and editing the text.
About the authors
Aleksey M. Emelin
North-Western State Medical University named after I.I. Mechnikov
Email: eamar40rn@gmail.com
ORCID iD: 0000-0003-4109-0105
SPIN-code: 5605-1140
Russian Federation, Saint Petersburg
Irina P. Sorochanu
North-Western State Medical University named after I.I. Mechnikov
Author for correspondence.
Email: opeairina@gmail.com
ORCID iD: 0000-0002-6909-8937
SPIN-code: 4072-3845
Russian Federation, Saint Petersburg
Zakhar P. Asaulenko
North-Western State Medical University named after I.I. Mechnikov; City Hospital N 40 of Kurortny District
Email: zakhariy@list.ru
ORCID iD: 0000-0001-7062-065X
SPIN-code: 7382-2036
Russian Federation, Saint Petersburg; Saint Petersburg
Vasilii А. Rogovoy
North-Western State Medical University named after I.I. Mechnikov
Email: rogovoy-vasiliy@mail.ru
ORCID iD: 0009-0009-9192-7592
SPIN-code: 5734-1322
Russian Federation, Saint Petersburg
Oleg S. Popov
City Hospital N 40 of Kurortny District
Email: ospopov@outlook.com
ORCID iD: 0000-0003-1778-0165
SPIN-code: 5220-9174
Russian Federation, Saint Petersburg
Sergei V. Mosenko
City Hospital N 40 of Kurortny District
Email: neurologist@mail.ru
ORCID iD: 0000-0002-1357-4324
SPIN-code: 9543-8506
MD, Cand. Sci. (Medicine)
Russian Federation, Saint PetersburgSvetlana V. Apalko
City Hospital N 40 of Kurortny District
Email: svetlana.apalko@gmail.com
ORCID iD: 0000-0002-3853-4185
SPIN-code: 7053-2507
Cand. Sci. (Biology)
Russian Federation, Saint PetersburgAnton S. Buchaka
City Hospital N 40 of Kurortny District
Email: abpao62@yandex.ru
ORCID iD: 0000-0003-3580-1492
SPIN-code: 2416-2075
Russian Federation, Saint Petersburg
Sergey V. Gladchenko
City Hospital N 40 of Kurortny District
Email: servic_gla@mail.ru
ORCID iD: 0009-0008-5984-4220
Russian Federation, Saint Petersburg
Anna Yu. Anisenkova
City Hospital N 40 of Kurortny District; Saint Petersburg State University
Email: anna_anisenkova@list.ru
ORCID iD: 0000-0001-5642-621X
SPIN-code: 4476-5192
MD, Cand. Sci. (Medicine), Assistant Professor
Russian Federation, Saint Petersburg; Saint PetersburgSergey G. Shcherbak
City Hospital N 40 of Kurortny District; Saint Petersburg State University
Email: s.g.sherbak@spbu.ru
ORCID iD: 0000-0001-5036-1259
SPIN-code: 1537-9822
MD, Dr. Sci. (Medicine), Professor
Russian Federation, Saint Petersburg; Saint PetersburgRoman V. Deev
City Hospital N 40 of Kurortny District; Avtsyn Research Institute of Human Morphology of Petrovsky National Research Centre of Surgery
Email: romdey@gmail.com
ORCID iD: 0000-0001-8389-3841
SPIN-code: 2957-1687
MD, Cand. Sci. (Medicine), Assistant Professor
Russian Federation, Saint Petersburg; MoscowReferences
- Bian XW, COVID-19 Pathology Team. Autopsy of COVID-19 patients in China. Natl Sci Rev. 2020;7(9):1414–1418. doi: 10.1093/nsr/nwaa123
- Rybakova MG, Karev VE, Kuznetsova IA. Anatomical pathology of novel coronavirus (COVID-19) infection. First impressions. Arkhiv Patologii. 2020;82(5):5–15. EDN: KRELVX doi: 10.17116/patol2020820515
- Deev RV, Asaulenko ZP, Emelin AM, et al. The experience of clinical and morphological analysis of fatal cases of coronavirus infection of the “first wave” (spring-autumn 2020). Profilakticheskaya i klinicheskaya meditsina. 2021;(4):90–99. EDN: TVGIOQ doi: 10.47843/2074-9120_2021_4_90
- Blagova OV, Kogan EA. Myocarditis during the SARS-CoV-2 pandemic. Moscow: Prakticheskaya meditsina; 2023. (In Russ).
- Jenner WJ, Kanji R, Mirsadraee S, et al. Thrombotic complications in 2928 patients with COVID-19 treated in intensive care: a systematic review. J Thromb Thrombolysis. 2021;51(3):595–607. doi: 10.1007/s11239-021-02394-7
- Jiménez D, García-Sanchez A, Rali P, et al. Incidence of VTE and bleeding among hospitalized patients with coronavirus disease 2019: a systematic review and meta-analysis. Chest. 2021;159(3):1182–1196. doi: 10.1016/j.chest.2020.11.005
- Manolis AS, Manolis TA, Manolis AA, et al. COVID-19 infection: viral macro- and micro-vascular coagulopathy and thromboembolism/prophylactic and therapeutic management. J Cardiovasc Pharmacol Ther. 2021;26(1):12–24. doi: 10.1177/1074248420958973
- Oba S, Hosoya T, Amamiya M, et al. Arterial and venous thrombosis complicated in COVID-19: a retrospective single center analysis in Japan. Front Cardiovasc Med. 2021;8:767074. doi: 10.3389/fcvm.2021.767074
- Tang N, Li D, Wang X, Sun Z. Abnormal coagulation parameters are associated with poor prognosis in patients with novel coronavirus pneumonia. J Thromb Haemost. 2020;18(4):844–847. doi: 10.1111/jth.14768
- Fang XZ, Wang YX, Xu JQ, et al. Immunothrombosis in acute respiratory dysfunction of COVID-19. Front Immunol. 2021;12:651545. doi: 10.3389/fimmu.2021.651545
- Chousterman BG, Swirski FK, Weber GF. Cytokine storm and sepsis disease pathogenesis. Semin Immunopathol. 2017;39(5):517–528. doi: 10.1007/s00281-017-0639-8
- Niculae CM, Hristea A, Moroti R. Mechanisms of COVID-19 associated pulmonary thrombosis: a narrative review. Biomedicines. 2023;11(3):929. doi: 10.3390/biomedicines11030929
- Thachil J, Srivastava A. SARS-2 coronavirus-associated hemostatic lung abnormality in COVID-19: is it pulmonary thrombosis or pulmonary embolism? Semin Thromb Hemost. 2020;46(7):777–780. doi: 10.1055/s-0040-1712155
- Khismatullin RR, Ponomareva AA, Nagaswami C, et al. Pathology of lung-specific thrombosis and inflammation in COVID-19. J Thromb Haemost. 2021;19(12):3062–3072. doi: 10.1111/jth.15532
- Klok FA, Kruip MJHA, van der Meer NJM, et al. Incidence of thrombotic complications in critically ill ICU patients with COVID-19. Thromb Res. 2020;191:145–147. doi: 10.1016/j.thromres.2020.04.013
- Llitjos JF, Leclerc M, Chochois C, et al. High incidence of venous thromboembolic events in anticoagulated severe COVID-19 patients. J Thromb Haemost. 2020;18(7):1743–1746. doi: 10.1111/jth.14869
- Suh YJ, Hong H, Ohana M, et al. Pulmonary embolism and deep vein thrombosis in COVID-19: a systematic review and meta-analysis. Radiology. 2021;298(2):E70–E80. doi: 10.1148/radiol.2020203557
- Porembskaya OYA, Kravchuk VN, Galchenko MI, et al. Pulmonary vascular thrombosis in COVID-19: clinical and morphological parallels. Rational Pharmacotherapy in Cardiology. 2022;18(4):376–384. EDN: HTTTBO doi: 10.20996/1819-6446-2022-08-01
- Singhal S, Henderson R, Horsfield K, et al. Morphometry of the human pulmonary arterial tree. Circ Res. 1973;33(2):190–197. doi: 10.1161/01.res.33.2.190
- Staub NC, Schultz EL. Pulmonary capillary length in dogs, cat and rabbit. Respir Physiol. 1968;5(3):371–378. doi: 10.1016/0034-5687(68)90028-5
- Studenikina ED, Ogorelysheva AI, Ruzov YaS, et all. Role of the immune system in COVID-19 pathomorphogenesis. Genes & cells. 2020;15(4):75–87. EDN: WLEERS doi: 10.23868/202012013
- Bain CC, Lucas CD, Rossi AG. Pulmonary macrophages and SARS-Cov2 infection. Int Rev Cell Mol Biol. 2022;367:1–28. doi: 10.1016/bs.ircmb.2022.01.001
- Goshua G, Pine AB, Meizlish ML, et al. Endotheliopathy in COVID-19-associated coagulopathy: evidence from a single-centre, cross-sectional study. Lancet Haematol. 2020;7(8):e575–e582. doi: 10.1016/S2352-3026(20)30216-7
- Hottz ED, Martins-Gonçalves R, Palhinha L, et al. Platelet-monocyte interaction amplifies thromboinflammation through tissue factor signaling in COVID-19. Blood Adv. 2022;6(17):5085–5099. doi: 10.1182/bloodadvances.2021006680
- Lim MS, Mcrae S. COVID-19 and immunothrombosis: pathophysiology and therapeutic implications. Crit Rev Oncol Hematol. 2021;168:103529. doi: 10.1016/j.critrevonc.2021.103529
- Zuo Y, Zuo M, Yalavarthi S, et al. Neutrophil extracellular traps and thrombosis in COVID-19. J Thromb Thrombolysis. 2021;51(2):446–453. doi: 10.1007/s11239-020-02324-z
- Porembskaya O, Lobastov K, Pashovkina O, et al. Thrombosis of pulmonary vasculature despite anticoagulation and thrombolysis: the findings from seven autopsies. Thrombosis Update. 2020;1:100017. EDN: XQOBFE doi: 10.1016/j.tru.2020.100017
- Hariri LP, North CM, Shih AR, et al. Lung histopathology in coronavirus disease 2019 as compared with severe acute respiratory syndrome and H1N1 influenza: a systematic review. Chest. 2021;159(1):73–84. doi: 10.1016/j.chest.2020.09.259
- Chirskii VS, Plaminskii DYu. Functional morphology of the pulmonary vascular bed in COVID-19. In: Morfologiya na rubezhe vekov. Proceedings of the All-Russian Jubilee Scientific Conference dedicated to the 100th anniversary of the birth of the Hero of the Soviet Union, Major General of the Medical Service, Professor EA Dyskin; 2023 Jan 14; Saint-Petersburg. Saint-Petersburg: S.M. Kirov Military Medical Academy; 2023. P. 108–112. EDN: BVFGHP
- Matthews JC, McLaughlin V. Acute right ventricular failure in the setting of acute pulmonary embolism or chronic pulmonary hypertension: a detailed review of the pathophysiology, diagnosis, and management. Curr Cardiol Rev. 2008;4(1):49–59. doi: 10.2174/157340308783565384
Supplementary files





