Морфологические изменения тканей печени лабораторных крыс при воздействии экотоксикантов и при перинатальной профилактике
- Авторы: Чуйкин О.С.1, Мусина Л.А.1, Галиахметова Э.Х.1, Аверьянов С.В.1, Макушева Н.В.1
-
Учреждения:
- Башкирский государственный медицинский университет
- Выпуск: Том 160, № 4 (2022)
- Страницы: 215-224
- Раздел: Оригинальные исследования
- URL: https://bakhtiniada.ru/1026-3543/article/view/148288
- DOI: https://doi.org/10.17816/morph.296577
- ID: 148288
Цитировать
Полный текст
Аннотация
Обоснование. Высокая чувствительность печени к химическим веществам обусловлена её ведущей ролью в их метаболизме. При биотрансформации экотоксикантов возможны образование высокореактивных промежуточных продуктов и инициация свободнорадикального окисления, вследствие чего может возникать поражение печени.
Цель исследования — изучить морфологические изменения тканей печени лабораторных крыс при воздействии экотоксикантов и при перинатальной профилактике.
Материалы и методы. Эксперимент проводили на белых беспородных самках крыс массой тела 180–250 г. В исследовании задействовано 50 животных, которых разделили на 5 групп: контрольную и 4 опытных. Всех крыс опытных групп подвергали ингаляционному воздействию паров бензина и формальдегида. В 1-й (контрольной) группе применяли только отравление экотоксикантами; во 2-й группе на фоне отравления экотоксикантами применяли пептинсорбент (яблочный пектин); в 3-й — мембранопротектор (лимонник); в 4-й — свёклу; в 5-й — пептинсорбент, мембранопротектор и свёклу. Исследованы кусочки печени крыс, которые подвергали гистологической обработке. С помощью роторного микротома LEICA RM 2145 (Leica Microsystems, Германия) изготовлены гистологические срезы толщиной 5–8 мкм. Окрашенные срезы изучали и фотографировали при помощи светового микроскопа Axio Imager Z1 (Carl Zeiss, Германия).
Результаты. Cтруктура печени крысят, рождённых от самок крыс, подвергшихся субхроническому отравлению бензином и формальдегидом в течение всей беременности, обладала выраженными патоморфологическими признаками, характерными для гепатоза, переходящего в токсический гепатит. Применение лимонника, пептинсорбента и свёклы по отдельности наряду с интоксикацией беременных крыс несколько снижало степень патоморфологических изменений в печени рождённых крысят, но не кардинально. На фоне использования комбинированной смеси (яблочный пектин + мембранопротектор лимонник + свёкла) у рождённых крысят структура печени сохранялась относительно лучше, чем в контрольной группе, за исключением отдельных участков печени, в которых выявлен гемостаз и умеренно выраженные дистрофические изменения гепатоцитов.
Заключение. Комбинированная смесь (яблочный пектин + мембранопротектор лимонник + свёкла) обладает более выраженным гепатопротективным действием по сравнению с раздельным применением каждого из входящих в неё веществ при поражениях печени экотоксикантами.
Ключевые слова
Полный текст
ОБОСНОВАНИЕ
Высокая чувствительность печени к химическим веществам обусловлена её ведущей ролью в их метаболизме. При биотрансформации экотоксикантов возможны образование высокореактивных промежуточных продуктов и инициация свободнорадикального окисления, вследствие чего может возникать поражение печени [1].
К гепатотоксикантам — веществам, вызывающим структурно-функциональные нарушения печени, относится огромное число экотоксикантов [2]. В свою очередь к экотоксикантам, вызывающим стеатоз и некроз гепатоцитов, относятся четырёххлористый углерод, хлороформ, бромбензол и др. [3, 4]. В ряду малоизученных экотоксикантов стоят формальдегид и бензин [5, 6].
Организм наиболее уязвим к влиянию различных вредных факторов окружающей среды во внутриутробном и раннем постнатальном периодах жизни, когда идёт процесс становления практически всех органов и систем [7–10]. В настоящее время сохраняется высокая вероятность возникновения поражений печени, вызванных экотоксикантами, что объясняет необходимость совершенствования подходов к использованию препаратов, обладающих гепатопротекторными свойствами.
Цель исследования — изучить морфологические изменения тканей печени лабораторных крыс при воздействии паров бензина и формальдегида и при перинатальной профилактике.
МАТЕРИАЛЫ И МЕТОДЫ
Экспериментальные исследования по изучению токсического влияния экотоксикантов на печень лабораторных животных выполняли в лаборатории Всероссийского центра глазной и пластической хирургии (зав. лабораторией — профессор С.А. Муслимов). Данные исследования проведены в соответствии с Европейской конвенцией о защите позвоночных животных, используемых для экспериментов или в иных научных целях (Страсбург, 2006), и утверждены решением этического комитета ФГБОУ ВО «Башкирский государственный медицинский университет» Минздрава России. В эксперименте были задействованы 50 белых беспородных самок крыс массой тела 180–250 г. Животных содержали в стандартных условиях вивария [11]. В течение всей беременности самки находились в 200-литровых стандартных затравочных камерах.
Крыс разделили на 5 групп: контрольную и 4 опытных. В ходе эксперимента всех лабораторных животных опытных групп подвергали ингаляционному воздействию паров бензина и формальдегида, которые подавались непосредственно в зону дыхания каждого животного («домик») при помощи компрессора и сосуда с веществом [12] таким образом (скорость, объём и др.), чтобы содержание химических веществ поддерживалось на уровне предельно допустимых концентраций для атмосферного воздуха населённых мест Республики Башкортостан: бензин — 1,5 мг/м3, формальдегид — 0,01 мг/м3. Контроль за концентрациями бензина [13] и формальдегида [14] осуществляли методом газовой хроматографии с использованием газового хроматографа «Хроматэк-Кристалл 5000.1» («Хроматэк», Россия) с пламенно-ионизационным детектором и капиллярной колонкой HP-INNOWax (Agilent Technologies, США) длиной 30 м, с внутренним диаметром 0,53 мм и толщиной фазы 1,0 мкм. Давление на входе в колонку — 20 кПа, поток азота через колонку — 4,145 мл/мин. Температура термостата колонки программируется следующим образом: начальная — 60 оС в течение 2 мин, с повышением температуры со скоростью 15 оС в минуту до 120 оС (4 мин). Температура испарителя — 160 ºС, ввод пробы с делением потока 1:20. Температура детектора — 220 ºС, поддув азота в камеру — 30 мл/мин, расход воздуха — 250 мл/мин, водорода — 25 мл/мин. Время удерживания и площади пиков сравнивали со стандартами [13]. Программа обработки — «Хроматэк Аналитик 2».
В 1-й опытной группе на фоне отравления экотоксикантами применяли внутрижелудочно яблочный пектин (пентинсорбент); во 2-й — мембранопротектор лимонник; в 3-й — свёклу; в 4-й — пентинсорбент, лимонник и свёклу вместе.
Листья лимонника китайского вводили перорально в виде водного настоя (1:10). Для его приготовления сырьё, измельчённое до размера частиц не более 5 мм, настаивали в течение 15 мин в инфундирном аппарате на водяной бане при комнатной температуре 45 мин. Доза вводимого водного извлечения на массу тела крысы 200,0 г — 0,6 мл три раза в день.
Свёклу обыкновенную (порошок) вводили перорально в виде водного извлечения путём растворения порошка в воде или размешивали с настоем лимонника (растворяли в нём) при использовании в комбинированной смеси (пептинсорбент + лимонник + свёкла). В среднем разовая доза раствора свёклы для крысы массой тела 200,0 г составила 0,015 г, т.е. суточная доза при трёхразовом использовании — 0,045 г. Выбор продукта был сделан из-за высокого содержания витаминов группы В, в частности В9 (фолиевой кислоты).
Пектин яблочный вводили перорально в виде водного извлечения путём растворения порошка в воде, в комбинированной смеси — вместе с настоем лимонника и порошком свёклы. В среднем разовая доза пектина для лабораторного животного массой 200,0 г — 0,85 мг, т.е. суточная доза при трёхразовом использовании составляла 2,60 мг.
Животные контрольной группы находились в затравочных камерах, и им круглосуточно подавали при помощи компрессора обычный воздух. Лабораторных животных выводили из эксперимента ингаляционной передозировкой паров эфира на 14-й день жизни.
Гистологическая обработка материала для исследований проведена на кафедре анатомии и гистологии животных имени профессора А.Ф. Климова (факультет ветеринарной медицины) ФГБОУ ВО «Московская государственная академия ветеринарной медицины и биотехнологии — МВА имени К.И. Скрябина» (зав. кафедрой — д.б.н., профессор Н.А. Слесаренко).
Кусочки печени крыс подвергали гистологической обработке: фиксировали в течение 24 ч в 10% растворе забуференного формалина по Лилли, обезвоживали в батарее спиртов восходящей концентрации и заливали в парафин по общепринятой методике. С помощью роторного микротома марки LEICA RM 2145 (Leica Microsystems, Германия) изготовлены гистологические срезы толщиной 5–8 мкм. Срезы окрашивали гематоксилином и эозином и пикрофуксином по методу Ван-Гизона (Саркисов Д.С., Перов Ю.Л., 1996). Окрашенные срезы изучали и фотографировали при помощи светового микроскопа марки Axio Imager Z1 (Carl Zeiss, Германия).
РЕЗУЛЬТАТЫ
Морфологическое исследование печени крыс контрольной группы при отравлении экотоксикантами
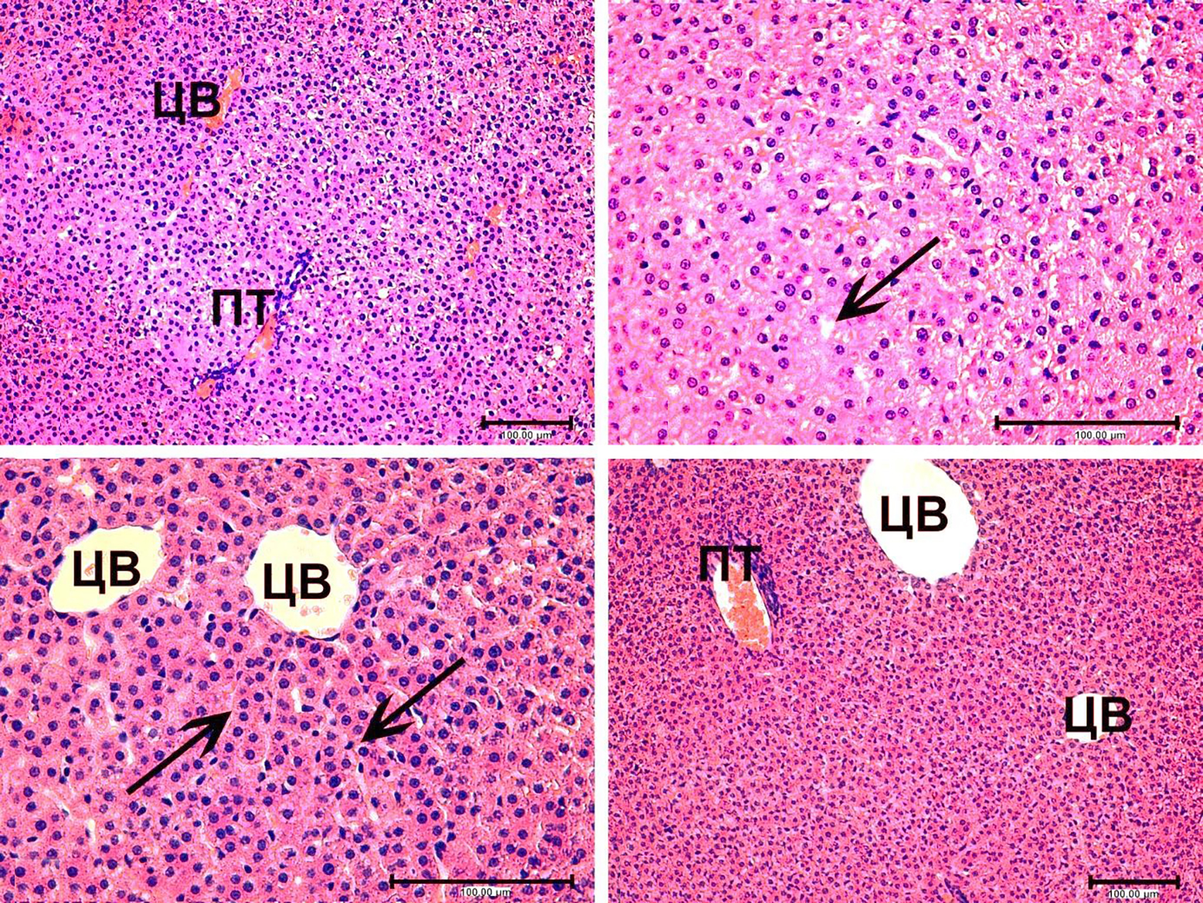
При субхроническом отравлении беременных крыс экотоксикантами на препаратах печени крысят, рождённых от них впоследствии, определялись выраженные дистрофические изменения гепатоцитов в разных участках паренхимы: как по периферии печёночных долек, так и вокруг портальных трактов. Часто эти изменения выражались в сильной вакуолизации или просветлении цитоплазмы клеток, что свидетельствовало о жировой или гидропической дистрофии клеток соответственно. На рис. 1, a можно увидеть участок жирового перерождения паренхимы.
Полиморфные гепатоциты теряли правильную трабекулярную архитектонику, характерную для строения печени в норме, располагались хаотично, беспорядочно (рис. 1, b). Большинство ядер печеночных клеток выглядели плотными, базофильно окрашенными. Иногда выявлялись участки паренхимы с разрушающимися гепатоцитами. Во многих местах в расширенных синусоидных капиллярах определялся выраженный гемостаз (рис. 1, c).
Отдельные перипортальные зоны инфильтрировались воспалительными клетками (см. рис. 1, b, c). Большей частью это были скопления крупных макрофагальных клеток с тёмным базофильным ядром и цитоплазмой или округлых тёмных лимфоцитов, что хорошо видно на рисунке. Большинство центральных вен были расширены и кровенаполнены (проявления гемостаза), так же как и кровеносные сосуды портальных трактов (рис. 1, d). Происходило набухание и утолщение соединительнотканной стромы печени, особенно вокруг портальных трактов. Такая патоморфологическая картина характерна для гепатозов, переходящих в хронический токсический гепатит.
Рис. 1. Структура печени крысы контрольной группы, окраска гематоксилином и эозином: a — в области портального тракта — вакуолизация гепатоцитов, потеря трабекулярного строения паренхимы; ×100; b — в области портального тракта — дистрофические изменения гепатоцитов (↑), макрофагальная инфильтрация (↑↑), потеря трабекулярного строения паренхимы; ×200; c — клеточные инфильтраты (↑), гемостаз в расширенных синусоидах (↑↑), потеря трабекулярного строения паренхимы; ×200; d — гемостаз в цен- тральных венах и сосудах портальных трактов (↑); ×100. Здесь: ПТ — портальный тракт, Ж — участок жирового перерождения, ЦВ — центральные вены.
Fig 1. The structure of the liver of a rat in the control group, stained with hematoxylin and eosin: a — in the area of the portal tract — vacuolization of hepatocytes, loss of the trabecular structure of the parenchyma; ×100; b — in the area of the portal tract — dystrophic changes in hepatocytes (↑), macrophage infiltration (↑↑), loss of the trabecular structure of the parenchyma; ×200; c — cellular infiltrates (↑), hemostasis in dilated sinusoids (↑↑), loss of the trabecular structure of the parenchyma; ×200; d — hemostasis in the central veins and vessels of the portal tracts (↑); ×100. Here: ПТ — portal tract, Ж — area of fatty degeneration, ЦВ — central veins.
Таким образом, структура печени крысят, рождённых от самок крыс, подвергшихся субхроническому отравлению бензином и формальдегидом в течение всей беременности, обладает выраженными патоморфологическими признаками, характерными для гепатоза, переходящего в токсический гепатит.
Морфологическое исследование печени крыс 1-й опытной группы (отравление экотоксикантами на фоне применения пептинсорбента)
Структура печени крысят 1-й опытной группы мало отличалась от таковой у животных контрольной группы после субхронического отравления. В большинстве печёночных клеток выявлялись признаки довольно сильно выраженных дистрофических изменений в виде вакуолизации цитоплазмы (рис. 2, a) наряду с участками жирового перерождения печёночной паренхимы.
Это проявлялось как вокруг центральных вен, так и в области портальных трактов. Гепатоциты были полиморфны, разных размеров, располагались беспорядочно. Ядра клеток были плотными, базофильно окрашенными. Синусоидные капилляры в паренхиме печени сужались, терялась правильная архитектоника расположения гепатоцитов (рис. 2, b). Отдельные перипортальные зоны печени инфильтрировались воспалительными клетками. Большей частью это были скопления макрофагов и лимфоцитов. Многие центральные вены расширялись и были кровенаполнены, так же как и кровеносные сосуды портальных трактов (рис. 2, c).
Рис. 2. Структура печени крысы 1-й опытной группы: a — вакуолизация гепатоцитов, потеря трабекулярного строения паренхимы; окраска по Ван-Гизону; ×100; b — дистрофические изменения гепатоцитов, потеря в паренхиме балочной архитектоники; окраска гематоксилином и эозином; ×200; c — гемостаз в центральных венах и сосудах портальных трактов (↑); ×100. Здесь: ЦВ — цен- тральные вены; ПТ — портальный тракт; Ж — участки с жировым перерождением.
Fig. 2. The structure of the rat liver of the 1st experimental group: a — vacuolization of hepatocytes, loss of the trabecular structure of the parenchyma; coloring according to Van Gieson; ×100; b — dystrophic changes in hepatocytes, loss of beam architectonics in the parenchyma; stained with hematoxylin and eosin; ×200; c — hemostasis in the central veins and vessels of the portal tracts (↑); stained with hematoxylin and eosin; ×100. Here: ПТ — portal tracts, ЦВ — central veins; Ж — areas with fatty degeneration.
Морфологическое исследование печени крыс 2-й опытной группы (отравление экотоксикантами на фоне применения мембранопротектора лимонника)
Структура печени крысят 2-й опытной группы была более приближенной к норме, чем структура печени крысят контрольной группы. Однако в гепатоцитах всё же выявлялись признаки умеренно выраженных дистрофических изменений цитоплазмы в виде вакуолизации не во всех клетках, а лишь в отдельных участках (рис. 3, a). Между тем встречались незначительных размеров зоны, которые составляли полиморфные гепатоциты с признаками выраженных дистрофических изменений в виде просветления цитоплазмы (рис. 3, b).
В отличие от контрольной группы вокруг многих портальных трактов и центральных вен прослеживалось относительно правильное расположение гепатоцитов в виде печёночных пластинок (рис. 3, c). Между ними хорошо просматривался просвет синусоидных капилляров со множеством удлинённых синусоидных клеток, выстилающих их, а также встречались крупные звездчатые печёночные макрофаги — клетки Купфера.
Большинство ядер печёночных клеток были округлыми, светлыми и содержали 1–2 ядрышка. В отдельных местах паренхимы печени выявлялось расширение синусоидных капилляров. Выраженных инфильтраций воспалительными клетками не встречалось, но иногда обнаруживались скопления таких клеток в виде розеток из 4–5 штук. Большинство центральных вен были без элементов крови в их просвете, лишь кровеносные сосуды портальных трактов содержали небольшое количество клеток, хотя сами сосуды при этом не были сильно расширены (рис. 3, d).
Рис. 3. Структура печени крысы 2-й опытной группы; окраска гематоксилином и эозином: a — дистрофические изменения гепа- тоцитов, потеря в паренхиме балочной архитектоники; ×100; b — дистрофические изменения гепатоцитов (↑), потеря в паренхиме балочной архитектоники; ×200; c — печёночные трабекулы (↑); ×200; d — центральные вены без элементов крови в их просвете, кровеносные сосуды портальных трактов содержат небольшое количество клеток; ×100. Здесь: ЦВ — центральные вены; ПТ — портальный тракт.
Fig. 3. The structure of the rat liver of the 2nd experimental group. Stained with hematoxylin and eosin: a — dystrophic changes in hepatocytes, loss of beam architectonics in the parenchyma; ×100; b — dystrophic changes in hepatocytes (↑), loss of beam architectonics in the parenchyma; ×200; c — hepatic trabeculae (↑); ×200; d — central veins without blood elements in their lumen, blood vessels of the portal tracts contain a small number of cells; ×100. ЦВ — central veins; ПТ — portal tract.
Таким образом, применение лимонника в качестве мембранопротектора наряду с интоксикацией беременных крыс несколько снижает степень патоморфологических изменений в печени рождённых крысят, но не кардинально.
Морфологическое исследование печени крыс 3-й опытной группы (отравление экотоксикантами на фоне применения свёклы)
Структура печени крысят 3-й опытной группы почти не отличалась от контрольной группы. В гепатоцитах выявлялись выраженные дистрофические изменения цитоплазмы, и степень проявления была примерно одинаковой во всех участках: как в области центральных вен, так и в области портальных трактов (рис. 4, a).
Во многих участках большинство клеток имели признаки жировой дистрофии в виде мелкокапельной вакуолизации цитоплазмы (рис. 4, b). Печёночные клетки были полиморфными, разных размеров. Большинство ядер печёночных клеток были базофильными. Полиморфные гепатоциты теряли правильное расположение в виде печёночных пластинок, характерное для строения печени в норме, и клетки располагались беспорядочно. Местами в паренхиме определялись некротически изменённые гепатоциты. В отдельных участках сохранялись расширения синусоидных капилляров, в которых наблюдалась агрегация эритроцитов (рис. 4, c).
Таким образом, паренхима печени крыс 3-й опытной группы относительно мало отличалась от таковой контрольной группы (рис. 4, d).
Рис. 4. Структура печени крысы 3-й опытной группы: a — дистрофические изменения гепатоцитов (↑), потеря в паренхиме балочной архитектоники; окраска гематоксилином и эозином; ×100; b — дистрофические изменения в виде вакуолизации цитоплазмы гепатоцитов (↑), потеря в паренхиме балочной архитектоники; окраска по Ван-Гизону; ×100; c — расширение синусоидных капил- ляров с гемостазом (↑), потеря в паренхиме балочной архитектоники; окраска гематоксилином и эозином; ×200; d — гемостаз (↑) в центральных венах и сосудах портального тракта, потеря в паренхиме балочной архитектоники; окраска гематоксилином и эо- зином; ×100. Здесь: ЦВ — центральные вены; ПТ — портальный тракт.
Fig. 4. The structure of the rat liver of the 3rd experimental group: a — dystrophic changes in hepatocytes (↑), loss of beam architectonics in the parenchyma; stained with hematoxylin and eosin; ×100; b — dystrophic changes in the form of vacuolization of the hepatocyte cytoplasm (↑), loss of beam architectonics in the parenchyma; сoloring according to Van Gieson; ×100; c — expansion of sinusoidal capillaries with hemostasis (↑), loss of beam architectonics in the parenchyma; stained with hematoxylin and eosin; ×200; d — hemostasis (↑) in the central veins and vessels of the portal tract, loss of beam architectonics in the parenchyma; stained with hematoxylin and eosin; ×100. Here: ЦВ — central veins; ПT — portal tract.
Морфологическое исследование печени крыс 4-й опытной группы (отравление экотоксикантами на фоне применения пептинсорбента, лимонника и свёклы)
На гистологических препаратах печени крысят 4-й опытной группы в большей части паренхимы границы печёночных долек определялись по расположению междольковых сосудов и желчных протоков, которые составляли «триады», характерные для печени млекопитающих (рис. 5, a). В центре полигональных печёночных долек располагались центральные вены, от которых радиально расходились печёночные пластинки (трабекулы), построенные чаще всего из двух рядов печёночных клеток паренхимы (рис. 5, b). Цитоплазма печёночных клеток окрашивалась в ровный розовый цвет, что свидетельствовало об отсутствии признаков дистрофических изменений.
Печёночные клетки имели одинаковые размеры, содержали одно, иногда два, довольно крупных ядра с 1–2 ядрышками в светлой кариоплазме. Между печёночными пластинками были хорошо видны кровеносные капилляры — синусоиды. Просвет капилляров в различных участках печёночной дольки был неодинаков, но хорошо просматривались их очертания. В капиллярах определялись многочисленные крупные клетки веретеновидной формы с базофильным ядром — звёздчатые ретикулоэндотелиоциты (клетки Купфера), которые выступали в просвет синусоидного капилляра.
Соединительнотканная строма печени представлена небольшим количеством пучков коллагеновых волокон в области портальных трактов (рис. 5, c). Коллагеновые волокна были чётко очерчены, признаки отёчности отсутствовали. В отдельных портальных трактах сохранялся слабый гемостаз. Вокруг них определялись участки паренхимы с гепатоцитами, которые имели признаки дистрофических изменений в виде просветления цитоплазмы вокруг ядра. Вблизи таких кровеносных сосудов определялись скопления эритроцитов в расширенных синусоидах, особенно по краям печёночной доли (рис. 5, d).
Рис. 5. Структура печени крысы 4-й опытной группы: a — печёночные трабекулы (↑), сохранение балочной архитектоники; окраска гематоксилином и эозином; ×100; b — печёночные трабекулы (↑) вокруг центральной вены; окраска гематоксилином и эозином; ×200; c — соединительнотканная строма печени (↑) в области портального тракта; окраска по Ван-Гизону; ×100; d — гемостаз в синусоидах (↑); окраска гематоксилином и эозином; ×100. Здесь: ЦВ — центральные вены; ПТ — портальный тракт.
Fig. 5. The structure of the rat liver of the 4th experimental group: a — hepatic trabeculae (↑), preservation of beam architectonics; stained with hematoxylin and eosin; ×100; b — hepatic trabeculae (↑) around the central vein; stained with hematoxylin and eosin; ×200; c — connective tissue stroma of the liver (↑) in the region of the portal tract; coloring according to Van Gieson; ×100; d — hemostasis in sinusoids (↑); staining with hematoxylin and eosin; ×100. Here: ЦВ — central veins; ПT — portal tract.
ЗАКЛЮЧЕНИЕ
При субхроническом отравлении экотоксикантами беременных самок крыс на фоне использования комбинированной смеси (пептинсорбент + лимонник + свёкла) у рождённых впоследствии ими крысят структура печени сохраняется относительно лучше, чем в контрольной группе, за исключением отдельных участков печени, в которых выявляются гемостаз и умеренно выраженные дистрофические изменения гепатоцитов. Вышеуказанная смесь обладает более выраженным гепатопротективным действием по сравнению с раздельным применением каждого из входящих в неё веществ при поражениях печени экотоксикантами.
ДОПОЛНИТЕЛЬНО
Источник финансирования. Авторы заявляют об отсутствии внешнего финансирования при проведении исследования.
Конфликт интересов. Авторы декларируют отсутствие явных и потенциальных конфликтов интересов, связанных с публикацией настоящей статьи.
Вклад авторов. Все авторы подтверждают соответствие своего авторства международным критериям ICMJE (все авторы внесли существенный вклад в разработку концепции, проведение исследования и подготовку статьи, прочли и одобрили финальную версию перед публикацией).
ADDITIONAL INFORMATION
Funding source. This study was not supported by any external sources of funding.
Competing interests. The authors declare that they have no competing interests.
Authors’ contribution. All authors made a substantial contribution to the conception of the work, acquisition, analysis, interpretation of data for the work, drafting and revising the work, final approval of the version to be published and agree to be accountable for all aspects of the work.
Об авторах
Олег Сергеевич Чуйкин
Башкирский государственный медицинский университет
Автор, ответственный за переписку.
Email: oschuikin@bashgmu.ru
ORCID iD: 0000-0003-4570-4477
SPIN-код: 4573-2715
кандидат медицинских наук, доцент
Россия, 450008 Республика Башкортостан, Уфа, ул. Ленина, д. 3Ляля Ахияровна Мусина
Башкирский государственный медицинский университет
Email: morphoplant@mail.ru
ORCID iD: 0000-0003-1237-9284
SPIN-код: 8779-6610
доктор биол. наук
Россия, 450008 Республика Башкортостан, Уфа, ул. Ленина, д. 3Эльвира Халитовна Галиахметова
Башкирский государственный медицинский университет
Email: galiahmetova.elvi@yandex.ru
ORCID iD: 0000-0003-4441-8145
SPIN-код: 9012-1052
кандидат фарм. наук, доцент
Россия, 450008 Республика Башкортостан, Уфа, ул. Ленина, д. 3Сергей Витальевич Аверьянов
Башкирский государственный медицинский университет
Email: svaveryanov@bashgmu.ru
ORCID iD: 0000-0003-1827-1629
SPIN-код: 8876-2827
доктор медицинских наук, профессор
Россия, 450008 Республика Башкортостан, Уфа, ул. Ленина, д. 3Наталья Вячеславовна Макушева
Башкирский государственный медицинский университет
Email: nvmakusheva@bashgmu.ru
ORCID iD: 0000-0002-0410-1445
SPIN-код: 9770-7244
кандидат медицинских наук, доцент
Россия, 450008 Республика Башкортостан, Уфа, ул. Ленина, д. 3Список литературы
- Мышкин В.А., Бакиров А.Б., Репина Э.Ф. Гепатотоксические вещества и современные направления коррекции гепатотоксического действия // Медицинский вестник Башкортостана. 2011. Т. 6, № 6. С. 131–136.
- Бакиров А.Б., Мышкин В.А., Репина Э.Ф., и др. Преодоление гепатотоксичности стойких органических загрязнителей: роль антиоксидантов пиримидиновой структуры // Гигиена труда и медицинская экология. 2016. № 3. C. 3–14.
- Зобнин Ю.В. Токсическое повреждение печени у детей // Сибирский медицинский журнал (Иркутск). 2017. Т. 151, № 4. С. 37–53.
- http://www.medline.ru/ [интернет]. Орлов Ю.В., Синячкин Д.А., Халимов Ю.Ш., Антушевич А.Е. Современное состояние проблемы лечения токсических гепатитов и фиброзов печени // Medline.Ru. Российский биомедицинский журнал. 2017. Т. 18. С. 488–510. Режим доступа: http://www.medline.ru/public/art/tom18/art33.html
- Петушок Н.Е., Петушок В.Г., Ельчанинова М.А., и др. Функциональная активность клеток крови и печени при ингаляционной интоксикации формальдегидом // Биомедицинская химия. 2005. Т. 51, № 1. С. 76–80.
- Чуйкин С.В., Аверьянов С.В., Сибиряк С.В., Мухаметова Е.Ш. Характеристика токсического влияния бензина, формалина и их комбинированного воздействия на систему иммуно-химического гомеостаза // Проблемы стоматологии. 2007. № 4. С. 57–59.
- Бронникова Г.З., Дюдьбин О.В., Сковородин Е.Н. Влияние антиоксидантов на печень птиц мясных пород // Морфология. 2020. Т. 157, № 2-3. C. 40. doi: 10.17816/morph.102264
- Myhre O., Hessel E.V.S. Editorial: toxicants and neurodevelopmental disorders // Reprod Toxicol. 2022. Vol. 110. P. 68–69. doi: 10.1016/j.reprotox.2022.03.010
- Ortega R., Carmona A. Neurotoxicity of environmental metal toxicants: special issue // Toxics. 2022. Vol. 10, N 7. P. 382. doi: 10.3390/toxics10070382
- Abbott LC. Exposure to toxicants affects everyone, especially the very young // Int J Mol Sci. 2022. Vol. 23, N 13. Р. 7232. doi: 10.3390/ijms23137232
- https://gostrf.com/ [интернет]. Методические рекомендации по содержанию лабораторных животных в вивариях научно-исследовательских институтов и учебных заведений [дата обращения: 19.09.2023]. Доступ по ссылке: https://gostrf.com/normadata/1/4293811/4293811893.htm
- https://archive.org/ [интернет]. Саноцкий И.В. Методы определения токсичности и опасности химических веществ (токсикометрия). Москва, 1970. С. 317. Доступ по ссылке: https://archive.org/details/B-001-026-879-ALL
- Фан Тхи Тху Нга, Максимова Е.В., Серегин В.В. Определение химического состава автомобильных бензинов методом газовой хроматографии их равновесных паров // Успехи в химии и химической технологии. 2007. Т. 21, № 7. С. 106–109.
- Третьякова В.Ф., Талышинский Р.М., Илолов А.М., и др. Методы анализа формальдегида // «Вестник МИТХТ» им. М.В. Ломоносова. 2008. Т. 3, № 6. С. 3–13.
Дополнительные файлы







